Casuística
Glomerulonefritis por cambios mínimos post vacuna COVID-19 AstraZeneca
Glomerulonephritis due to minimal changes post COVID-19 vaccine AstraZeneca
Glomerulonefritis por cambios mínimos post vacuna COVID-19 AstraZeneca
Revista de nefrología, diálisis y transplante, vol. 42, núm. 1, pp. 65-68, 2022
Asociación Regional de Diálisis y Trasplantes Renales de Capital Federal y Provincia de Buenos Aires
Recepción: 10 Agosto 2021
Aprobación: 16 Septiembre 2021
Resumen: Reportamos un caso de una mujer de 28 años, con síndrome nefrótico debido a glomerulonefritis por cambios mínimos 48 horas después de la administración de la vacuna contra SARS-CoV2 de AstraZeneca. La paciente tuvo síndrome nefrótico idiopático en la infancia tratado empíricamente con corticoides y ciclosporina, en remisión completa desde los 9 años. Algunos reportes sugieren que determinadas enfermedades glomerulares podrían asociarse infrecuentemente a las vacunas.
Palabras clave: COVID-19, coronavirus, síndrome respiratorio agudo severo, SARS-CoV-2, vacunación, síndrome nefrótico de cambios mínimos.
Abstract: We report a case of a 28-year-old woman with minimal change disease secondary nephrotic syndrome 48 hours after the administration of the AstraZeneca SARS-CoV2 vaccine. The patient had suffered idiopathic nephrotic syndrome in childhood treated empirically with corticosteroids and cyclosporine, in complete remission from the age of 9. Some reports suggest that glomerular disease might appear infrequently associated to some vaccines.
Keywords: COVID-19, coronavirus, severe acute respiratory syndrome, SARS-CoV-2, vaccination, minimal change nephrotic syndrome.
INTRODUCCIÓN
Las podocitopatías son un conjunto de enfermedades renales en las cuales, directa o indirectamente, la injuria de los podocitos, asociada o no a complejos inmunes, conduce a proteinuria o síndrome nefrótico. En la injuria primaria de los podocitos sin depósitos de complejos inmunes se pueden observar cuatro patentes histológicas diferentes: esclerosis mesangial difusa, glomerulonefritis focal y segmentaría (FSGS), glomerulopatía colapsante y glomerulonefritis por cambios mínimos (MCD). La combinación de proteinuria y alguna de estas lesiones en la biopsia renal define la injuria del podocito como un mecanismo unificante subyacente, que puede resultar de diferentes causas como, por ejemplo, infecciones, tóxicos, drogas, enfermedades inmunológicas y genéticas.
Dentro de otras causas infrecuentes de podocitopatías, específicamente de MCD, se han publicado reportes aislados que asocian a esta entidad con diferentes vacunas.(1-4) Las vacunas para el SARS-CoV2 han sido desarrolladas rápidamente en respuesta a la pandemia para limitar el contagio y la mortalidad, utilizando distintos mecanismos para generar inmunidad. Entre las muy infrecuentes complicaciones graves asociadas a estas vacunas se reportaron distintas glomerulopatías. A la fecha se han descripto glomerulonefritis a cambios mínimos, glomerulonefritis membranosa, glomerulonefritis por IgA, glomerulonefritis extracapilares asociadas a ANCA y a anticuerpos antimembrana basal glomerular después de la vacunación para SARS-CoV2.(5-8, 12-16)
Una respuesta inmunológica inadecuada podría ser la causa de la aparición de casos de enfermedad glomerular de Novo o recurrente, asociada a la vacuna contra SARS-CoV2.
REPORTE DE CASO
Mujer de 28 años, con antecedente de síndrome nefrótico idiopático a los 4 años, tratada con corticoides y ciclosporina, presentó remisión completa desde los 9 años. No se le realizó biopsia renal en la infancia. La paciente presentó controles anuales de laboratorios que se encontraban en un rango de normalidad.
En 2011 cursó un embarazo sin complicaciones. Durante la pandemia contrajo COVID-19 (hisopado positivo el 14/10/2020, detección de antígeno por inmunocromatografía) con síntomas leves (malestar general, cefalea, odinofagia y anosmia).
Recibió primera dosis de vacuna contra COVID-19 el 09/06/2021 (AstraZeneca). A las 48 horas de la aplicación comienza con edemas de miembros inferiores. Tres semanas más tarde fue admitida en nuestro hospital, presentándose normotensa, lúcida, en anasarca. Los análisis de laboratorio al ingreso fueron los siguientes: colesterol total 491 mg/dl, proteínas totales 4,28 g/dl, triglicéridos 310 mg/dl, albúmina sérica 1,4 g/dl, Cr 0,65 mg/dl, Urea 33 mg/dl, proteinuria 4,5gr/24 hs, Hb 13,1 g/dl, plaquetas 403.000/mm3, C3129 mg/dl, C4 27 mg/dl, HIV no reactivo, MPO 0,10 U/ml, PR3 0,5 U/ml, anti MBG negativo, FAN negativo.
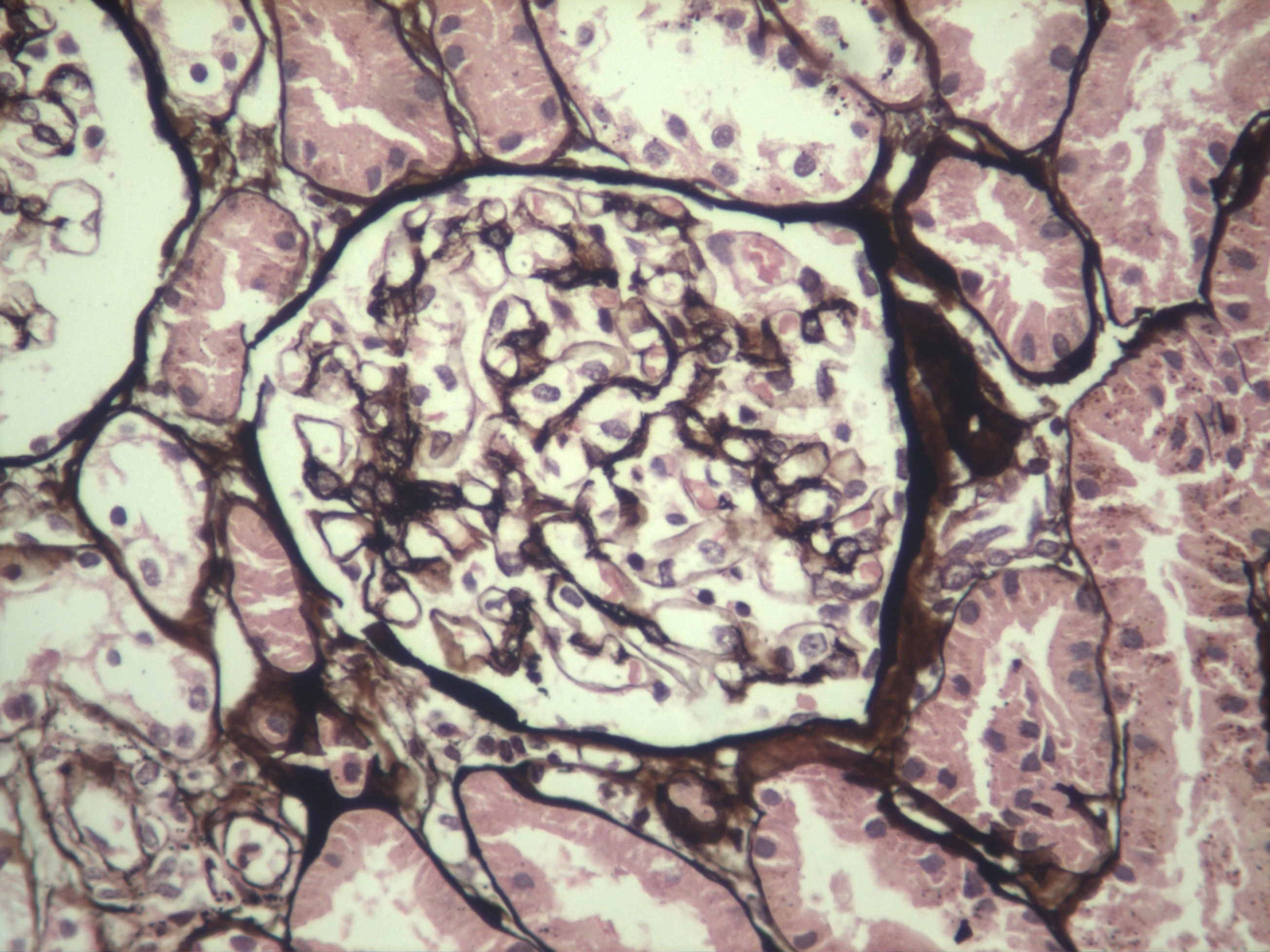
Se realizó punción durante biopsia renal y se estableció el diagnóstico de glomerulonefritis a cambios mínimos, observándose glomérulos ópticamente normales sin depósitos inmunes.(Imagen 1)
La paciente fue externada y medicada con prednisona vía oral 1mg kg/día, atorvastatina 20 mg/día, antiagregación plaquetaria con AAS 100 mg/día, omeprazol 20 mg/día y profilaxis con trimetoprima-sulfametoxazol. Una semana después, la paciente, con un descenso de peso de 10 kg, no presentaba edemas. Luego de cuatro semanas de iniciar el tratamiento, presentó proteinuria negativa.

DISCUSIÓN
La MCD es una podocitopatía caracterizada por la presencia de borramiento de los pies de los podocitos (observándose esto con microscopía electrónica) y la ausencia tanto de alteraciones estructurales glomerulares en la microscopía óptica como de depósitos inmunes en la inmunofluorescencia.
La patogénesis de la MCD es desconocida. Shalhoub en 1974 propuso que la MCD era un desorden sistémico de la inmunidad mediada por células, donde los linfocitos T secretaban una citoquina (“linfoquina circulante tóxica para la membrana basal glomerular”) que ocasionaba un aumento de la permeabilidad glomerular a las proteínas plasmáticas y síndrome nefrótico.(10) Esta hipótesis aún no está probada, datos acumulados en las últimas décadas continúan proveyendo resultados conflictivos respecto al rol de las citoquinas en MCD.
Recientemente, varios estudios sugieren que productos microbianos y no citoquinas circulantes pueden ser los factores que conducen al incremento en la expresión de CD80 en el podocito, alteraciones del citoesqueleto y la aparición de proteinuria en MCD.(9, 19-20)
La MCD es usualmente reactivada por infecciones del tracto respiratorio superior, que son conocidas inductoras de citoquinas proinflamatorias, la IL-8 está incrementada en la mayoría de los pacientes con MCD durante las recaídas. Esto sugiere que la IL-8, producida en respuesta a infecciones virales, puede jugar un rol en el mecanismo no mediado por CD80 de la proteinuria.(17-19)
También se ha informado MCD post infección por SARS-CoV2. En estos casos aislados se podría sugerir un mimetismo molecular entre la proteína de la espiga SARS-CoV2 y antígenos propios de podocitos, como un eventual mecanismo fisiopatológico.(8-18) La paciente presentó COVID-19 leve el año anterior sin haber experimentado síntomas, lo que haría menos probable este mecanismo.
La aparición de síndrome nefrótico por MCD ha sido reportado entre 4 a 18 días luego de aplicarse la vacuna contra influenza y 6 semanas posteriores a la vacuna contra tétanos-difteria-poliomielitis.(1-2) La MCD post vacunación estaría relacionada con una respuesta generalizada mediada por citoquinas o con una rápida activación de la respuesta inmune por células T.
CONCLUSIONES
En el presente caso, el síndrome nefrótico dos días después de la aplicación de la vacuna hace pensar en un rol predominante de la respuesta inmune mediada por citoquinas,(7) en el contexto de una activación aberrante del sistema inmune en un individuo predispuesto, no descartando la importancia de la eventual función amplificadora de la producción de citoquinas que pueden tener diferentes moléculas virales presentes en la vacuna.
Excede a esta comunicación determinar la posible fisiopatología entre la vacunación anti SARS-CoV-2 y la podocitopatía descripta, sin embargo, podemos hipotetizar que bajo ciertas condiciones la respuesta inmune gatilla una serie de eventos que generan injuria en los podocitos con síndrome nefrótico subsiguiente.
En conclusión, en el caso presentado probablemente la respuesta inmune posterior a la vacuna anti SARS-CoV-2, en una persona predispuesta, generó un síndrome nefrótico secundario a una podocitopatía, MCD.
BIBLIOGRAFÍA
1) Clajus C, Spiegel J, Bröcker V, Chatzikyrkou C, Kielstein JT. Minimal change nephrotic syndrome in an 82 year old patient following a tetanus-diphteria-poliomyelitis-vaccination. BMC Nephrol. 2009;10:21. doi: 10.1186/1471-2369-10-21.
2) Kielstein JT, Termühlen L, Sohn J, Kliem V. Minimal change nephrotic syndrome in a 65-year-old patient following influenza vaccination. Clin Nephrol. 2000;54(3):246-8.
3) Kikuchi Y, Imakiire T, Hyodo T, Higashi K, Henmi N, Suzuki S, et al. Minimal change nephrotic syndrome, lymphadenopathy and hyperimmunoglobulinemia after immunization with a pneumococcal vaccine. Clin Nephrol. 2002;58(1):68-72. doi: 10.5414/cnp58068.
4) Abeyagunawardena AS, Goldblatt D, Andrews N, Trompeter RS. Risk of relapse after meningococcal C conjugate vaccine in nephrotic syndrome. Lancet. 2003;362(9382):449-50. doi: 10.1016/s0140-6736(03)14072-x.
5) Lebedev L, Sapojnikov M, Wechsler A, Varadi-Levi R, Zamir D, Tobar A, et al. Minimal change disease following the Pfizer-BioNTech COVID-19 vaccine. Am J Kidney Dis. 2021;78(1):142-5. doi: 10.1053/j.ajkd.2021.03.010.
6) D'Agati VD, Kudose S, Bomback AS, Adamidis A, Tartini A. Minimal change disease and acute kidney injury following the Pfizer-BioNTech COVID-19 vaccine. Kidney Int. 2021;100(2):461-3. doi: 10.1016/j.kint.2021.04.035.
7) Morlidge C, El-Kateb S, Jeevaratnam P, Thompson B. Relapse of minimal change disease following the AstraZeneca COVID-19 vaccine. Kidney Int. 2021;100(2):459. doi: 10.1016/j.kint.2021.06.005.
8) Leclerc S, Royal V, Lamarche C, Laurin LP. Minimal change disease with severe acute kidney injury following the Oxford-AstraZeneca COVID-19 vaccine: a case report. Am J Kidney Dis. 2021;78(4):607-10. doi: 10.1053/j.ajkd.2021.06.008.
9) Cara-Fuentes GM, Johnson RJ, Garin EH. Cytokines as active factors in minimal change nephrotic syndrome. En: Kaneko K., ed. Molecular mechanisms in the pathogenesis of idiopathic nephrotic syndrome. Springer, Tokyo: 2016, p. 105-40. https://doi.org/10.1007/978-4-431-55270-3_8.
10) Shalhoub RJ. Pathogenesis of lipoid nephrosis: a disorder of T-cell function. Lancet. 1974;2(7880):556-60. doi: 10.1016/s0140-6736(74)91880-7.
11) Vivarelli M, Massella L, Ruggiero B, Emma F. Minimal change disease. Clin J Am Soc Nephrol. 2017;12(2):332-45. doi: 10.2215/CJN.05000516.
12) Gillion V, Jadoul M, Demoulin N, Aydin S, Devresse A. Granulomatous vasculitis after the AstraZeneca anti-SARS-CoV-2 vaccine. Kidney Int. 2021;100(3):706-7. doi: 10.1016/j.kint.2021.06.033.
13) Anderegg MA, Liu M, Saganas C, Montani M, Vogt B, Huynh-Do U, et al. De novo vasculitis after mRNA-1273 (Moderna) vaccination. Kidney Int. 2021;100(2):474-6. doi: 10.1016/j.kint.2021.05.016.
14) Sacker A, Kung V, Andeen N. Anti-GBM nephritis with mesangial IgA deposits after SARS-CoV-2 mRNA vaccination. Kidney Int. 2021;100(2):471-2. doi: 10.1016/j.kint.2021.06.006.
15) Rahim SEG, Lin JT, Wang JC. A case of gross hematuria and IgA nephropathy flare-up following SARS-CoV-2 vaccination. Kidney Int. 2021;100(1):238. doi: 10.1016/j.kint.2021.04.024.
16) Aydın MF, Yıldız A, Oruç A, Sezen M, Dilek K, Güllülü M, et al. Relapse of primary membranous nephropathy after inactivated SARS-CoV-2 virus vaccination. Kidney Int. 2021;100(2):464-5. doi: 10.1016/j.kint.2021.05.001.
17) Ciuntu A. The role of cell signaling molecules in the pathogenesis of glomerulonephritis in children. Moldovan Med J. 2021;64(2):37-4. doi: 10.52418/moldovan-med-j.64-2.21.07.
18) Kudose S, Batal I, Santoriello D, Xu K, Barasch J, Peleg Y, et al. Kidney biopsy findings in patients with COVID-19. J Am Soc Nephrol. 2020;31(9):1959-68. doi: 10.1681/ASN.2020060802.
19) Ishimoto T, Shimada M, Gabriela G, Kosugi T, Sato W, Lee PY, et al. Toll-like receptor 3 ligand, polyIC, induces proteinuria and glomerular CD80, and increases urinary CD80 in mice. Nephrol Dial Transplant. 2013;28(6):1439-46. doi: 10.1093/ndt/gfs543.
20) Xing CY, Saleem MA, Coward RJ, Ni L, Witherden IR, Mathieson PW. Direct effects of dexamethasone on human podocytes. Kidney Int. 2006;70(6):1038-45. doi: 10.1038/sj.ki.5001655.
Notas de autor
fperezdepedro@gmail.com
Información adicional
Cómo citar este artículo (How to cite this article):: Arias C, Pérez De Pedro F, Caliva E, Farías B, Iotti A, Rubio D. Glomerulonefritis por cambios mínimos post vacuna COVID-19 AstraZeneca. Rev Nefrol Dial Traspl. ene.-mar. 2022; 42(1):65-8.
Conflictos de intereses:: Los autores declaran no poseer ningún interés comercial o asociativo que presente un conflicto de intereses con el trabajo presentado.