Artículo Original
Investigation of factors affecting weight gain and physical activity in kidney transplant recipients
Los efectos del suplemento de aminoácidos de cadena ramificada en el tejido renal de ratas en ejercicio
Investigation of factors affecting weight gain and physical activity in kidney transplant recipients
Revista de nefrología, diálisis y transplante, vol. 42, núm. 2, pp. 124-133, 2022
Asociación Regional de Diálisis y Trasplantes Renales de Capital Federal y Provincia de Buenos Aires
Recepción: 21 Mayo 2021
Aprobación: 19 Julio 2021
Abstract: Introduction: One of the supplements used in exercise programs are branched-chain amino acids (BCAAs), which are preferred because of their effect on the regeneration of muscle protein synthesis. However, due to their properties, BCAAs increase their amount in the blood in a short time. In this case the result may increase the workload of the kidneys. Based on the information, this study investigated the effects of resistance exercise and BCAA supplements on kidney tissue. Methods: A total of 24 Wistar Albino male rats were equally divided into 4 groups: Control, BCAA, Exercise and Exercise + BCAA. In the six-week study, resistance swimming exercise was applied to the exercise groups. BCAA supplementation was given to BCAA groups at 2.5 mg/kg doses before exercise. At the end of the study, histological, immunochemical and RT-PCR analyzes were performed. Results:As a result of the findings, it was found that the use of BCAA supplements together with exercise caused tubular necrosis (p=0.002). There was a significant increase in caspase 3 IHC staining findings in BCAA and Exercise + BCAA groups compared to the control group (p=0.011; p=0.02). In addition, KIM-1 expression levels were higher in the Exercise group than in all other groups (p=0.004; p = 0.003; p=0.008). Conclusion: As a result, BCAA consumption with resistance exercise caused damage to kidney tissue.
Keywords: KEYWORDS: resistance exercise, kidney damage, caspase 3, branched chain amino acids, KIM-1.
Resumen: Introducción: Uno de los suplementos utilizados en los programas de ejercicio son los aminoácidos de cadena ramificada (BCAA), los cuales son preferidos por su efecto en la regeneración de la síntesis de proteínas musculares. Sin embargo, debido a sus propiedades, los BCAA aumentan su cantidad en la sangre en poco tiempo. En este caso, el resultado puede aumentar la carga de trabajo de los riñones. Con base en la información, este estudio investigó los efectos del ejercicio de resistencia y los suplementos de BCAA en el tejido renal. Material y métodos: Un total de 24 ratas macho Wistar Albino se dividieron por igual en 4 grupos: Control, BCAA, Ejercicio y Ejercicio + BCAA. En el estudio de seis semanas, se aplicó ejercicio de natación de resistencia a los grupos de ejercicio. La suplementación con BCAA se administró a grupos de BCAA en dosis de 2,5 mg/kg antes del ejercicio. Al final del estudio, se realizaron análisis histológicos, inmunoquímicos y RT-PCR. Resultados:Como resultado de los hallazgos se encontró que el uso de suplementos de BCAA junto con el ejercicio provocó necrosis tubular (p=0.002). Hubo un aumento significativo en los hallazgos de tinción IHC de caspasa 3 en los grupos BCAA y Ejercicio + BCAA en comparación con el grupo de control (p=0,011; p=0,02). Además, los niveles de expresión de KIM-1 fueron más altos en el grupo de ejercicio que en todos los demás grupos (p = 0,004; p = 0,003; p = 0,008). Conclusión: Como resultado, el consumo de BCAA con ejercicio de resistencia causó daño al tejido renal.
Palabras clave: ejercicio de resistencia, daño renal, caspasa 3, aminoácidos de cadena ramificada, KIM-1 .
INTRODUCTION
Exercise is defined as the whole of regular, planned, rhythmic and purposeful movements.(1)Exercise can be used for therapeutic purposes and as well as a prevention against diseases. In addition, exercise can be used to lose weight and achieve aesthetic appearance.(2-3-4) To achieve these goals, people often prefer for programs that include heavy exercise and diet. In addition, some people use dietary supplements to achieve their goals in less time. Some of the commonly used nutritional supplements have been noted to be protein powder, L-carnitine, whey protein, creatine, and branched chain amino acid (BCAA) supplements.(5)
BCAAs composed of leucine, isoleucine, and valine amino acids have anabolic and anti-katabolic effects.(6-8) Therefore, they are often used as supplements in exercise which aimed at bodybuilding or increasing muscle strength.(9) In contrast to other amino acids, BCAAs are not metabolized in the liver and are entered directly into the circulation. Therefore, when they are consumed, their amount in the blood increases rapidly.(6, 10) Nephrons, the smallest functional unit of the kidney, are structures that filter the blood and try to retrieve all the useful substances in it. Amino acids, which are main structure matter of the body, are too important molecules to be excreted in the urine that it wants to reclaim all the nephrons. For this reason, amino acids taken into the body with BCAA supplementation and quickly passed into the blood are likely to increase infiltration and reabsorption workloads of nephrons.
The main cause of kidney disease pathophysiology is cell death. Because of kidney damage, cell death can occur in different parts of the kidney, and these deaths can be of different types in cells. The processes mediated by cell death occur through apoptosis, necrosis, and autophagy. When the relationship between kidneys and apoptosis is examined, it is stated that although it is common in the developmental stage, it is almost never seen in mature kidneys.(11) Thus, apoptosis is usually a good biomarker for kidney damage in adult kidneys.
Another molecule that can be used as a biomarker for kidney damage is glycoprotein-structured Kidney Injury Molecule-1 (KIM-1). KIM-1 molecule, which is normally expressed at low levels in adult individuals, is localized in the proximal tubules. Expression levels increase in possible proximal tubular damages. Because of this property, it can be used as a specific biomarker for proximal tubular damage.(12-13)
Based on this information, this experimental study was conducted to investigate the possible effects of resistant exercise and BCAA supplements on kidney tissues in terms of apoptosis and KIM-1.
MATERIAL AND METHODS
2. Animals
Twenty-four male Wistar albino rats (230-250 g), 2 months old, were used in the study. During the experiment, animals were housed in an animal room maintained at a temperature of 22° C, in 12-hours light periods, and a standard commercial pellet feed and tap water were provide ad-libitum.
The experiment was carried out Çanakkale Onsekiz Mart University Experimental Research Application and Research Center (ÇOMÜDAM). All animal procedures were approved by the Institutional Animal Care and Use Committee of Çanakkale Onsekiz Mart University (Approved number: 2019/09-02) in line with Guide for the Care and Use of Laboratory Animals (8th ed., 2011).
2. Experimental Design
Group I (Control): No application (n=6).
Group II (BCAA): The animals were given BCAA supplements every day for 6 weeks (n=6).
Group III (Exercise): The animals were undergoing resistant swimming exercises 5 days a week for 6 weeks (n=6).
Group IV (Exercise+BCAA): The animals were given BCAA supplements every day for 6 weeks and underwent resistant swimming exercises 5 days a week for 6 weeks (n=6).
3. Preparation and Application of BCAA Supplements
BCAA supplementation was prepared by mixing L-leucine, L-isoleucine, and L-valine (Sigma-Aldrich) in a ratio of 2:1:1. No fats or carbohydrates were added to the supplement. Based on research by Lu et al., prepared supplement was given by oral gavage at a dose of 2.5 mg/kg, just before exercise every day during the study period.(14)
4. Resistant Swimming Exercise Protocol
Swimming exercise was preferred in our study to force. Animals had to abide exercise. 5 % of body weights was attached to the tails of the animals in order to make swimming exercises resistant. A model developed by Viera (1988) was used in the swimming exercise (Table 1).(15) Tail weights for each animal in Exercise and Exercise + BCAA groups were enumerated and stored separately for each rat. The swimming pool was 67.5 cm wide, 94 cm long and 64 cm high, made of rectangular PPC material. The approximate water height was set at 50 ± 2 cm. The water temperature was kept between 32 ± 2oC.
5. Sample Collection
At the end of the study, the animals were anesthetized with Xylazine (60 mg/kg) and Ketamine (5 mg/kg) by intramuscular injection. They were sacrificed by cervical dislocation in accordance with ethical rules. Then the kidney tissues were separated and divided into two parts. One parts of kidney tissue were fixed in 10% neutral buffered formaldehyde for histological and immunohistochemical examinations. The other parts immediately placed in cryovials and stored −80°C deep freeze for gene expression analysis.
6. Histopathological and Immunohistochemical Analysis
The kidney tissues were embedded in paraffin blocks after routine follow-up. 4 µm thick sections were taken from the prepared tissue blocks. The sections taken were stained with Hematoxylin&Eosin (H&E). In addition, the positively charged slides were taken at 4 µm thickness and immunohistochemically (IHC) stained with Caspase 3 (CPP32) Ab-4 primary antibody (1/200 dilution, Catalogue no: #PA5-77887, Thermo Scientific). Histopathological assessments were performed with camera-attached microscope (Cx43, Olympus, Japan). Damage was assessed using tubular necrosis and vacuolization parameters of H&E staining sections. In H&E staining, a cross-section taken from each animal was graded according to the criteria of tubular necrosis and vacuolization.(17) H&E results were graded, as previously described in the literature, as follows:
0 = No damage 1 = Mild damage 2 = Moderate damage 3 = Severe damage(17-18) According to their immune positivity in the IHC evaluation, the sections were evaluated as follows: 0= No staining, 1= Mild 2= Moderate 3= Severe(18)
7. Gene Expression Analysis
RNA was isolated from the kidney tissues obtained by taking 25-30 mg and using PURE Link RNA Mini Kit (CatNo.121B301BA). Purity and concentration measurements were made using NanoDrop ND-1000 in the obtained RNA samples. As for the purity rate, values between 1.8-2.1 were accepted from the RNAs measured at 260/280 nm.
cDNA synthesis was performed from the respective RNAs using the cDNA kit (High-Capacity cDNA Reverse Transcription Kit, Applied Biosystems ™). Quantitive Real-Time PCR (StepOnePlus ™ Real-Time PCR System) was applied using the obtained cDNA samples. TaqMan (RealQ Plus 2x Master Mix, Ampliqon, Denmark) was used for analysis of gene expression levels. The PCR condition was 10 minutes at 25° C, 120 minutes at 37° C, 5 minutes at 85° C and 4° C infinite.(19)
Caspase-3 (Gen-Bank NC_005115.4 and Rn 00563902), Bcl-2 (Gen-Bank NC_005112.4 and Rn99999125_m1) and KIM-1/HAVCR1 (Gen-Bank NC_000005.10 and Rn00597703-mL) genetic codes were evaluated by RT-PCR methods. Results were normalized using the beta-actin (Gen-Bank NC_005111.4 and Rn00667869_m1) housekeeping gene and the 2−(ΔΔCt) formula.
8. Statistical Analysis
Statistical evaluation of the data was performed using IBM SPSS Statistics SPSS 18 (SPSS 2009) package program. The results were presented as mean and standard deviation (mean ± SD). The one-way analysis of variance (ANOVA) and Mann Whitney U tests were used to compare the groups while results of p=<0.05 were considered as significant.
RESULTS
1. Histopathological Evaluation
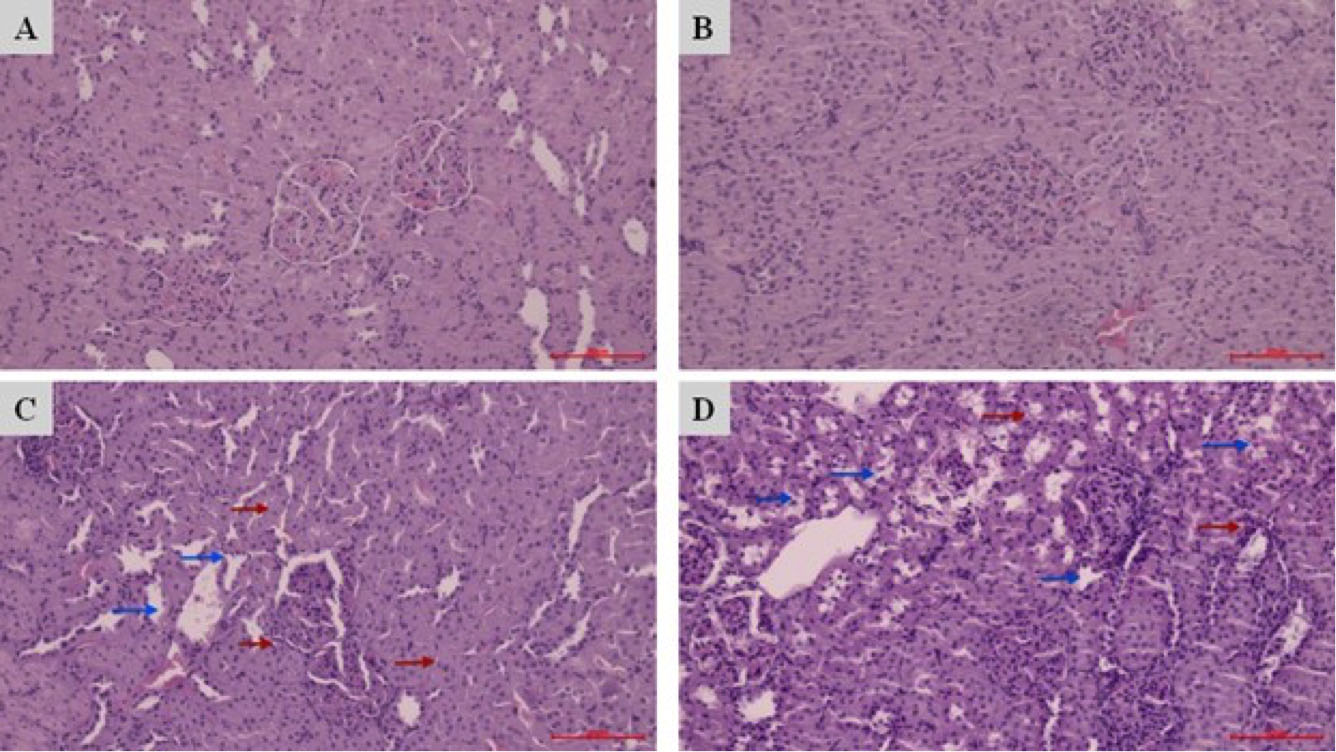
H&E staining revealing tubular necrosis and vacuolization parameters evaluation results are presented in (Table 2). In the control group, no evidence of tubular necrosis or vacuolization was found (Figure 1.A). Although minimal tubular necrosis and/or vacuolization were observed in some cases in BCAA group, these changes were not statistically significant(Figure 1.B), in order of p=0.125 and p=0.162). Both tubular necrosis and vacuolization were observed in Exercise group and Exercise+BCAA group (Figures 1.C, 1.D). A statistically significant increase in tubular necrosis was found in Exercise group compared to Control group (p=0.007). Similarly, tubular necrosis was significantly increased in Exercise+BCAA group compared to Control group (p=0.002). In addition, the increase in Exercise+BCAA group was found to be statistically significant when compared to BCAA group (p=0.007). In terms of vacuolization, a statistically significant increase was found in the Exercise group compared to the Control group (p=0.026).


(A) Control; (B) BCAA; (C) Exercise; (D) Exercise+BCAA (H&E, 200x). Vacuolization (red arrows) and tubular necrosis (blue arrows) areas were shown
2. Immunohistochemical evaluation
On the immunohistochemical staining using the rat anti-Caspase 3 primary antibody (Figure 2), there was no difference in the findings of Control and Exercise groups (Figures 3.A, C). Caspase 3 concentrations increased in BCAA and Exercise + BCAA groups (Figure 3.B, D). According to the evaluation results, a statistically significant increase was found in BCAA group compared to Control group (p=0.011). The increase in the BCAA group was also statistically significant compared to Exercise group (p=0.046). Significant increases were observed in Exercise+BCAA group compared to the control group (p=0.02).


(A) Control; (B) BCAA; (C) Exercise; (D) Exercise+BCAA (200x). The cells indicated by the blue arrow are apoptotic cells that are positively stained, and the cells shown by the green arrow are normal cells that are negatively stained
3. Gene Expression Levels
When the findings of KIM-1's genetic expression rates were examined, significant differences were found between the groups. KIM-1 expression was statistically significantly higher in Exercise group than the Control, BCAA and Exercise+BCAA groups (in order of p=0.004; p=0.003; p=0.008). A statistically significant increase was noted in Exercise+BCAA group compared to BCAA group (p=0.043). (Figure 4.C)

DISCUSSION AND CONCLUSION
Exercise physiology is examined; blood flow to the kidneys decreases during exercise, and reperfusion is increased at the end of exercise. With this mechanism, high frequency and intensity exercise can damage the kidneys.(20) Moreover, it is reported that this situation causes a significant change in urinary markers indicating tubular kidney damage.(21) It is known that high intensity and resistance exercise increases creatinine and some metabolites by causing muscle damage.(22-24) Therefore, it is an expected effect to increase kidney workload. In our study, tubular necrosis parameter was used to evaluate the increase in renal workload and metabolites. Accordingly, we think that the statistically significant increase in tubular necrosis in the Exercise and Exercise+BCAA groups compared to Control group was related to the increased renal workload. In addition, a significant increase was found in Exercise+BCAA group compared to BCAA group. We think that the reason for this increase is the use of supplements just before exercise. The addition of exogenous BCAA use to the increased workload of the kidney can be expected to cause an increase in glomerular filtration and reabsorption workload.
Vacuolization is a morphological change in cells, also it is a component of autophagy.(25)Autophagy is an intracellular recycling system that plays a role in clearing damaged cell components. Exercise is also described as one of the stimuli that induces autophagy. The reason why exercise induces autophagy is to limit tissue damage during exercise, maintain tissue continuity, and limit inflammatory responses.(26) As a result, vacuolization can reduce cell activity in kidney cells, as well as lead to cell death because of autophagy. In addition, it is known that there are some changes in the fluid-electrolyte balance after heavy exercise.(27)Among these changes, especially a serious decrease in potassium has been revealed by studies. Although the mechanism of hypokalaemia that occurs after potassium loss leads to kidney disease is not clear, it is histologically associated with vacuolization.(28-29) In our study, a statistically significant increase was found in Exercise group compared to Control group in terms of vacuolization. The significant increase in vacuolization observed in this group might have been caused by potassium loss after intensity exercise.
Caspase 3 is one of the primary mediators of apoptosis. It can be activated both by extrinsic and intrinsic pathways.(30) For this reason, caspase 3 was evaluated by both IHC and RT-PCR methods in our study. The evaluation of the results attract attention. The first point is that the number of positively stained apoptotic cells in BCAA supplement groups was higher than that in the other groups. In addition, caspase-3 expression rates were decreased within these groups. The RT-PCR method shows the active gene regions, while the IHC method shows the amount of protein in cells regardless of the relevant gene region. If there is enough protein in the cell, the gene regions close by becoming inactive. Therefore, RT-PCR results showed that apoptosis was not inhibited, leading to the deactivation of high levels of caspase-3 in gene regions. Furthermore, caspase 3 is a substance released as an inactive precursor in the form of procaspase 3. Activated by active caspase 8 or 9 in the environment, it becomes caspase 3.(31-32) Caspase 3, which determined by IHC, exists already present in the cell. However, with gene expression synthesis is produced that procaspase 3. When these findings are evaluated together, it is thought that BCAAs activate the procaspase 3 present in the cell and show the effect of directing the cells to apoptosis. Similarly, Viana et al. in their study, it stated that in rats fed a rich leucine diet and formed tumours, the increased amount of leucine also increased oxidative stress.(33) It suggests that leucine found in BCAA supplements similarly activates procaspase 3’s by increasing oxidative stress. Another possibility for procaspase 3 activation may be the absence of other amino acids other than BCAA. Damaged cells cannot repair themselves due to insufficient amino acids and therefore go to apoptosis by caspase 3 activation. In short, BCAAs can be the cause of apoptosis as secondary, even if they are not the primary cause. Another point is that although active caspase-3 was not observed in Exercise group, Caspase-3 expression was increased compared to Exercise+BCAA group. This finding suggests that exercise and BCAAs have antagonistic effects on the mechanism of apoptosis. In other words, exercise does not directly cause apoptosis but prepares the environment for other stressors such as low glucose levels, oxygen deficiency and increased ADP levels. According to these findings, the use of BCAA in combination with high intensity resistance exercise can cause serious kidney damage in people with a predisposition.
Another molecule involved in apoptosis is Bcl-2, which is involved in the intrinsic pathway. Bcl-2, a pro-apoptotic protein, is often examined in apoptosis.(34) Our findings concluded that BCAAs showed no activity in apoptosis mechanisms over Bcl-2 expression. Research involving other molecules is also needed to further examine the effectiveness of these results in relation to this mechanism.
KIM-1, which is known to increase kidney damage, can be used as a sensitive marker for the identification of acute tubular damage, especially in proximal tubules.(35) In the results of KIM-1, a statistically significant increase was observed in Exercise group compared to all other groups, and in Exercise+BCAA group compared to only BCAA group. When KIM-1 expression findings and histopathological findings are evaluated together, they show that there is a connection between proximal tubular damage and exercise. It suggests that the damage caused by the consumption of BCAAs with exercise may be in other parts of the kidney, such as the bowman's capsule and glomerular membrane.
As a result, the use of BCAA supplements before resistant exercise causes some damage to the kidneys. From a molecular point of view, exercise provides the cellular basis for apoptosis, while BCAAs affect caspase-3 activation, leading to kidney damage. Therefore, it is suggested that it should be investigated whether the use of BCAA supplements causes possible kidney damage in individuals if they are used at rest, not before exercise. Our study is the first study investigating the link between BCAA consumption in kidney tissues in resistant exercises and demonstrating that KIM-1 expression levels increase with exercise because of the parameters and findings examined. As a result of these data, we believe that more experimental and clinical studies are needed to understand the mechanisms, clarify, and confirm our evidence.
Limitations of this study include the experimental design and the lack of some parameters such as creatinine levels, Bax expression levels, glomerular filtration rates and serum potassium levels. On the other hand, both histopathological and genetic evaluations constitute an important strength of our study. Based on this study, extensive studies are needed regarding the effects of exercise and BCAA supplements at different doses and at different times.
BIBLIOGRAPHY
1) Booth FW, Roberts CK, Laye MJ. Lack of exercise is a major cause of chronic diseases. Compr Physiol. 2012;2(2):1143-211. doi: 10.1002/cphy.c110025.
2) Ardıç F. Exercise prescription. Turk J Phys Med Rehab. 2014;60 (Suppl. 2):S1-S8. doi: 10.5152/tftrd.2014.25665.
3) Daenen L, Varkey E, Kellmann M, Nijs J. Exercise, not to exercise, or how to exercise in patients with chronic pain? Applying science to practice. Clin J Pain. 2015;31(2):108-14. doi: 10.1097/AJP.0000000000000099.
4) Idorn M, Thor Straten P. Exercise and cancer: from "healthy" to "therapeutic"? Cancer Immunol Immunother. 2017;66(5):667-71. doi: 10.1007/s00262-017-1985-z.
5) Kerksick CM, Wilborn CD, Roberts MD, Smith-Ryan A, Kleiner SM, Jäger R, et al. ISSN exercise & sports nutrition review update: research & recommendations. J Int Soc Sports Nutr. 2018;15(1):38. doi: 10.1186/s12970-018-0242-y.
6) Bifari F, Nisoli E. Branched-chain amino acids differently modulate catabolic and anabolic states in mammals: a pharmacological point of view. Br J Pharmacol. 2017;174(11):1366-77. doi: 10.1111/bph.13624.
7) Goron A, Moinard C. Amino acids and sport: a true love story? Amino Acids. 2018;50(8):969-80. doi: 10.1007/s00726-018-2591-x.
8) Pitkänen HT, Oja SS, Rusko H, Nummela A, Komi PV, Saransaari P, et al. Leucine supplementation does not enhance acute strength or running performance but affects serum amino acid concentration. Amino Acids. 2003;25(1):85-94. doi: 10.1007/s00726-002-0343-3.
9) Wolfe RR. Branched-chain amino acids and muscle protein synthesis in humans: myth or reality? J Int Soc Sports Nutr. 2017;14(1):1-7. doi: 10.1186/s12970-017-0184.
10) Holeček M. Branched-chain amino acids in health and disease: metabolism, alterations in blood plasma, and as supplements. Nutr Metab (Lond). 2018;15:33. doi: 10.1186/s12986-018-0271-1.
11) Priante G, Gianesello L, Ceol M, Del Prete D, Anglani F. Cell death in the kidney. Int J Mol Sci. 2019;20(14):3598. doi: 10.3390/ijms20143598.
12) Ichimura T, Bonventre JV, Bailly V, Wei H, Hession CA, Cate RL, et al. Kidney injury molecule-1 (KIM-1), a putative epithelial cell adhesion molecule containing a novel immunoglobulin domain, is up-regulated in renal cells after injury. J Biol Chem. 1998;273(7):4135-42. doi: 10.1074/jbc.273.7.4135.
13) van Timmeren MM, van den Heuvel MC, Bailly V, Bakker SJ, van Goor H, Stegeman CA. Tubular kidney injury molecule-1 (KIM-1) in human renal disease. J Pathol. 2007;212(2):209-17. doi: 10.1002/path.2175.
14) Lu M, Zhang X, Zheng D, Jiang X, Chen Q. Branched-chain amino acids supplementation protects streptozotocin-induced insulin secretion and the correlated mechanism. Biofactors. 2015;41(2):127-33. doi: 10.1002/biof.1188.
15) Vieira R, Haebisch H, Kokubun E, Hell NS, Curi R. Sistema de natação para exercício físico de ratos. Arq Biol Tecnol. 1988;31(3):387-94.
16) Campos-Ferraz PL, Bozza T, Nicastro H, Lancha AH Jr. Distinct effects of leucine or a mixture of the branched-chain amino acids (leucine, isoleucine, and valine) supplementation on resistance to fatigue, and muscle and liver-glycogen degradation, in trained rats. Nutrition. 2013;29(11-12):1388-94. doi: 10.1016/j.nut.2013.05.003.
17) Büyük B, Demirci T, Adalı Y, Eroğlu HA. ¿Puede el líquido amniótico ser una solución alternativa de conservación de órganos para el almacenamiento renal en frío? Rev Nefrol Diál Traspl. 2020;40(1):14-24.
18) Kandemir FM, Yildirim S, Kucukler S, Caglayan C, Mahamadu A, Dortbudak MB. Therapeutic efficacy of zingerone against vancomycin-induced oxidative stress, inflammation, apoptosis, and aquaporin 1 permeability in rat kidney. Biomed Pharmacother. 2018;105:981-91. doi: 10.1016/j.biopha.2018.06.048.
19) Doğanlar ZB, Uzun M, Ovali MA, Dogan A, Ongoren G, Doğanlar O. Melatonin attenuates caspase-dependent apoptosis in the thoracic aorta by regulating element balance and oxidative stress in pinealectomised rats. Appl Physiol Nutr Metab. 2019;44(2):153-63. doi: 10.1139/apnm-2018-0205.
20) Lin X, Jiang C, Luo Z, Qu S. Protective effect of erythropoietin on renal injury induced in rats by four weeks of exhaustive exercise. BMC Nephrol. 2013;14:130. doi: 10.1186/1471-2369-14-130.
21) Spada TC, Silva JMRD, Francisco LS, Marçal LJ, Antonangelo L, Zanetta DMT, et al. High intensity resistance training causes muscle damage and increases biomarkers of acute kidney injury in healthy individuals. PLoS One. 2018;13(11):e0205791. doi: 10.1371/journal.pone.0205791.
22) Baird MF, Graham SM, Baker JS, Bickerstaff GF. Creatine-kinase- and exercise-related muscle damage implications for muscle performance and recovery. J Nutr Metab. 2012;2012:960363. doi: 10.1155/2012/960363.
23) Sorichter S, Mair J, Koller A, Calzolari C, Huonker M, Pau B, et al. Release of muscle proteins after downhill running in male and female subjects. Scand J Med Sci Sports. 2001;11(1):28-32. doi: 10.1034/j.1600-0838.2001.011001028.x.
24) Tsatalas T, Giakas G, Spyropoulos G, Sideris V, Lazaridis S, Kotzamanidis C, et al. The effects of eccentric exercise-induced muscle damage on running kinematics at different speeds. J Sports Sci. 2013;31(3):288-98. doi: 10.1080/02640414.2012.729135.
25) Kroemer G, Galluzzi L, Vandenabeele P, Abrams J, Alnemri ES, Baehrecke EH, et al.; Nomenclature Committee on Cell Death 2009. Classification of cell death: recommendations of the Nomenclature Committee on Cell Death 2009. Cell Death Differ. 2009;16(1):3-11. doi: 10.1038/cdd.2008.150.
26) Mooren FC, Krüger K. Exercise, autophagy, and apoptosis. Prog Mol Biol Transl Sci. 2015;135:407-22. doi: 10.1016/bs.pmbts.2015.07.023.
27) Gladden LB. Lactate metabolism: a new paradigm for the third millennium. J Physiol. 2004;558(Pt 1):5-30. doi: 10.1113/jphysiol.2003.058701.
28) Lindinger MI. Potassium regulation during exercise and recovery in humans: implications for skeletal and cardiac muscle. J Mol Cell Cardiol. 1995;27(4):1011-22. doi: 10.1016/0022-2828(95)90070-5.
29) Thomson MN, Schneider W, Mutig K, Ellison DH, Kettritz R, Bachmann S. Patients with hypokalemia develop WNK bodies in the distal convoluted tubule of the kidney. Am J Physiol Renal Physiol. 2019;316(2):F292-F300. doi: 10.1152/ajprenal.00464.2018.
30) Jiao C, Chen W, Tan X, Liang H, Li J, Yun H, et al. Ganoderma lucidum spore oil induces apoptosis of breast cancer cells in vitro and in vivo by activating caspase-3 and caspase-9. J Ethnopharmacol. 2020;247:112256. doi: 10.1016/j.jep.2019.112256.
31) Bildik A, Bayar İ. Kanserde Apoptotik Yolakların İnhibisyonu. Turkiye Klinikleri J Vet Sci. 2018;9(2):42-51. doi: 10.5336/vetsci.2018-62141.
32) Goldar S, Khaniani MS, Derakhshan SM, Baradaran B. Molecular mechanisms of apoptosis and roles in cancer development and treatment. Asian Pac J Cancer Prev. 2015;16(6):2129-44. doi: 10.7314/apjcp.2015.16.6.2129.
33) Viana LR, Tobar N, Busanello ENB, Marques AC, de Oliveira AG, Lima TI, et al. Leucine-Rich diet induces a shift in tumour metabolism from glycolytic towards oxidative phosphorylation, reducing glucose consumption and metastasis in walker-256 tumour-bearing rats. Sci Rep. 2019;9:15529. doi: 10.1038/s41598-019-52112-w.
34) Rautureau GJ, Day CL, Hinds MG. Intrinsically disordered proteins in bcl-2 regulated apoptosis. Int J Mol Sci. 2010;11(4):1808-24. doi: 10.3390/ijms11041808.
35) Yin W, Kumar T, Lai Z, Zeng X, Kanaan HD, Li W, et al. Kidney injury molecule-1, a sensitive and specific marker for identifying acute proximal tubular injury, can be used to predict renal functional recovery in native renal biopsies. Int Urol Nephrol. 2019;51(12):2255-65. doi: 10.1007/s11255-019-02311-1.
Notas de autor
haeroglu@comu.edu.tr
Información adicional
Cómo citar este artículo (How to cite this article): : Aydeğer C, Eroğlu HA. The effects of branched chain amino acid supplement on kidney tissue of exercising rats. Rev Nefrol Dial Traspl. abr.-jun. 2022; 42(2):124-33.