Imágenes en Nefrología
Tumor pardo multifocal: reporte de caso en hemodiálisis crónica
Multifocal brown tumor: case report in chronic hemodialysis
Tumor pardo multifocal: reporte de caso en hemodiálisis crónica
Revista de nefrología, diálisis y transplante, vol. 42, núm. 2, pp. 170-178, 2022
Asociación Regional de Diálisis y Trasplantes Renales de Capital Federal y Provincia de Buenos Aires
Recepción: 04 Febrero 2022
Aprobación: 18 Marzo 2022
Palabras clave: tumores pardos múltiples, hiperparatiroidismo secundario, diálisis renal, hemodiálisis, enfermedad renal crónica terminal, lesiones osteolíticas, metástasis
Keywords: multiple brown tumors, secondary hyperparathyroidism, renal dialysis, hemodialysis, end-stage chronic kidney disease, osteolytic lesions, metastasis
INTRODUCCIÓN
El hiperparatiroidismo (HPT) secundario es una complicación muy frecuente de la enfermedad renal crónica terminal (ERCT). La PTH persistentemente elevada aumenta la actividad osteoclástica, la resorción ósea y la degradación, resultando en osteítis fibrosa.(1) Una variante singular de la osteítis fibrosa quística se presenta bajo la forma de tumor pardo, el cual representa una lesión lítica benigna que por lo general es resultado de un HPT de larga evolución no tratado.(2) Los tumores pardos se asocian con HPT primario, secundario, y terciario (44,3%, 51,5%, y 4,2%, respectivamente).(3)
El tumor pardo puede afectar cualquier hueso, pero más frecuentemente los huesos de la mandíbula, el fémur, el esternón, las costillas y, rara vez, la columna vertebral.(4) Describimos aquí un caso de presentación poco frecuente de tumores pardos múltiples con afectación extensa de la columna vertebral, costillas, esternón, clavículas, húmero, ambos huesos ilíacos, sacro, mandíbula y calota craneana en una paciente en hemodiálisis crónica.
CASO CLÍNICO
Mujer de 40 años autoderivada desde otro centro de diálisis en julio del 2019 por dolores óseos generalizados. Antecedentes de ERCT diagnosticado en el contexto de prequirúrgico por bocio multinodular eutiroideo; en hemodiálisis (HD) crónica desde enero del 2018, HPT secundario con diagnóstico al inicio de HD, HTA de más de 10 años de evolución y preeclampsia en 2 gestas (a los 22 y 29 años). AQx de apendicectomía, FAV (trasposición basílica en 2018) y 2 cesáreas. AGO de 3 gestas (2 partos, 1 aborto) ciclos oligomenorreicos. Sin antecedentes tóxicos ni alérgicos. Medicada al momento de su derivación con Carvedilol 25 mg/día, Losartán 50 mg/día, Ac. Fólico/Complejo vit B 1 cp/día, Omeprazol 20 mg/día, EPO 12000 U/sem, Hierro IV (suspendido), Calcitriol (suspendido) y Pregabalina 75 mg/día.
Presentaba un peso seco de 62,5-63 kg (ganancia interdialítica de 3,5-4 kg), sin diuresis residual. Serología para HIV, VHC y VHB negativas. EnTabla 1 se resume el laboratorio con las variables de interés al ingreso y evolución de estas a lo largo del periodo observado. Se agrega captor de fosfato (acetato de Calcio 6 cp/día) y vitamina D nutricional (300000 UI/mes). Se solicitan estudios complementarios para determinar causa de dolor óseo y mejor caracterización del HPT secundario.

PTx: Paratiroidectomía; PTH i: Parathormona intacta (quimioluminiscencia); NA: no aplica; S/D: sin dato. PCR: Proteína C Reactiva Cuantitativa. Vit D nut: vitamina D nutricional
La TAC lumbosacra describía aumento difuso de la densidad ósea generalizada con múltiples lesiones osteolíticas en todos los cuerpos vertebrales, sacro, porción visible de ambos ilíacos y fractura patológica en L5. (Figura 1)
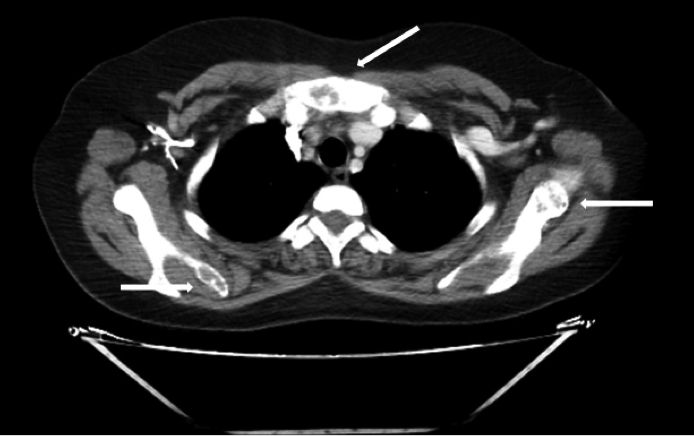
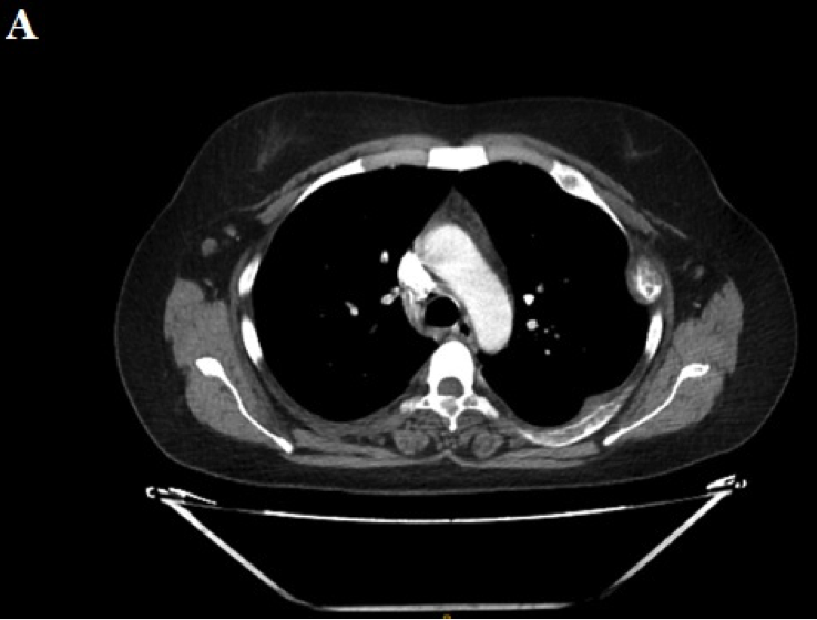
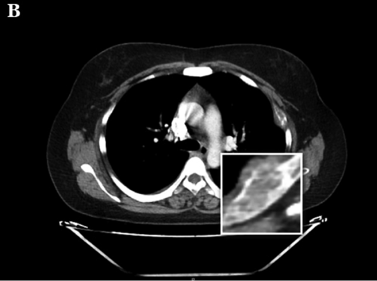
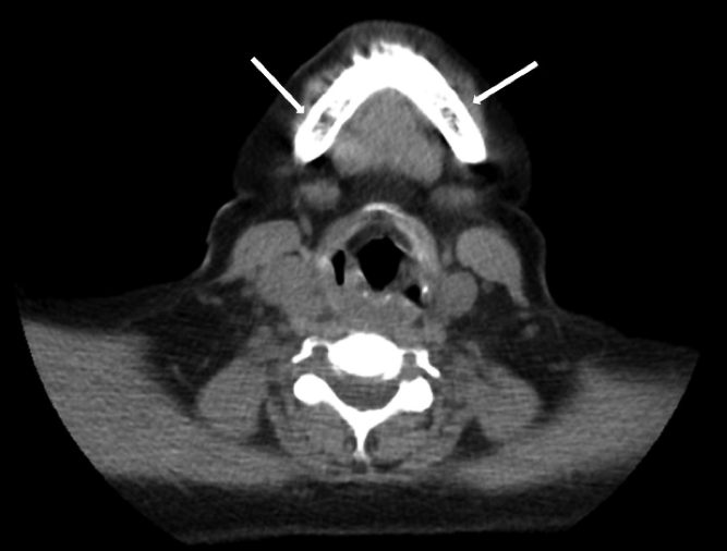
Ante la sospecha clínica de tumores pardos múltiples versus enfermedad metastásica se realiza IC con Oncología y en conjunto se solicitaron los siguientes estudios, que informaron como positivo: a) TAC de tórax, abdomen y pelvis (con contraste): leve enfisema centrolobulillar bilateral, opacidades nodulares con densidad de partes blandas (LSD y LSI). Resto de los órganos normales, no adenomegalias. Presencia de múltiples lesiones osteolíticas a nivel de todos los cuerpos vertebrales, esternón, región anterior de varias costillas, húmero, sacro, y porción visible de ambos ilíacos (Figuras 2, 3 . 4 A); b) TAC de cuello (con contraste): múltiples lesiones osteolíticas en la columna cervical.
Tiroides aumentada de tamaño a expensas del lóbulo derecho, múltiples formaciones nodulares, siendo la mayor con degeneración quística de 23x15mm. No adenomegalias (Figura 5); c) TAC de cerebro (con cte): Aumento difuso de la densidad ósea con múltiples lesiones osteolíticas en sacabocado (Figura 6); d) Proteinograma por EF: leve aumento en zona de alfa-2 globulina. e) Marcador tumoral (mama) CA 15,3:7,6 U/ml + examen ginecológico, ambos normales. f) Centellograma óseo total marcado con Tc 99: múltiples lesiones osteolíticas (Figura 7); g) Centellograma de paratiroides marcado con Sestamibi: captación selectiva en ambos polos inferiores sugestiva de tejido paratiroideo hiperplasiado. (Figura 8)









Debido a patología tiroidea se realizó interconsulta con endocrinología, quien solicitó Ecografía tiroidea que informó tiroides aumentada de tamaño, vol der: 21,5 cc y vol. izq:5,6 cc, múltiples formaciones nodulares bilaterales, nódulo dominante derecho 23,5 mm, nódulo dominante izquierdo 29,5 mm. TIRADS 3. Sin adenomegalias. Por la multifocalidad de las lesiones líticas se decidió punción de lesión ósea (cadera derecha) que informó osteítis fibrosa quística con ausencia de malignidad + punción tiroidea que se informó como benigno (Categoría II de BETHESDA).
Se indica por lo tanto Tiroidectomía total más Paratiroidectomía Subtotal el 04/02/20, resultando un diagnóstico anatomopatológico de hiperplasia de paratiroides y bocio multinodular, ambos sin criterio de malignidad. La paciente presentó PTH postoperatoria de 842 pg/ml, por lo cual retomó tratamiento con calcitriol que luego rotó a paricalcitol por hiperfosfatemia (Tabla 1). Inició, además, tratamiento de sustitución con levotiroxina 100 mcg/día.
Se solicitó, además, para completar valoración metabolismo óseo: a) par radiológico para realizar Score de Adragaos y Kaupilla los cuales resultaron negativos para calcificaciones vasculares; b) densitometría ósea (DEXA): negativa para osteoporosis (CL: 1410 g/cm2, 1,7 Z score y CF: 0,959 g/cm2, -0,2 Z score) y c) marcadores óseos: osteocalcina: mayor a 600 ng/mL, Beta Cross Laps: 4,99 ng/mL.
En julio de 2021 cursó internación por neumonía por COVID-19, por el cual requirió internación por oxigenoterapia en sala común durante 21 días. Debido a hipercalcemia e hiperfosfatemia se suspendió paricalcitol y se inició tratamiento con cinacalcet, en septiembre 2021, con mala tolerancia oral, por lo cual fue suspendido también en meses posteriores y se decidió continuar con paricalcitol según fosfatemia. Actualmente, en plan de segunda paratiroidectomía por HPT persistente y síndrome anémico resistente a EPO.
DISCUSIÓN
La patogenia del HPTS es compleja y aún no se conoce por completo, donde existe una interacción intrincada de varios factores.(1, 4-5) La resistencia a los niveles de PTH es un factor importante que junto a la hipocalcemia y a la hiperfosfatemia presentes en el paciente en diálisis, contribuyen a perpetuar un círculo vicioso entre los mismos, donde también la deficiencia de vitamina D y los valores elevados de FGF23 juegan un rol importante.(5)
Los tumores pardos en la ERC se asocian al HPTS grave, por lo cual es más frecuente observar en el marco de un HPTS que en pacientes con HPT primario, y están relacionados a las mujeres de mediana edad de sexo femenino, con diversos grados de agresividad y riesgo de reaparición.(6)
También conocidos como “osteoclastomas” los tumores pardos no son malignos, pero son neoplasias destructivas formadas por células gigantes multinucleadas similares a osteoclastos y macrófagos llenos de hemosiderina, que les dan el nombre “pardos”.(7-8)
En términos de manejo, los tumores pardos son complicados, ya que no existen recomendaciones o ensayos clínicos como guía para su tratamiento; más aún, ni las guías K-DOQI o KDIGO hacen mención de ellos.(9-10) Los expertos coinciden que el manejo implica una reducción agresiva de la PTH mediante el tratamiento de la hiperfosfatemia, la hipocalcemia y la deficiencia de vitamina D, lo cual implica una ingesta dietética de fosfato reducida, un uso meticuloso de quelantes de fosfato, la adición de vitamina D nativa y activa y, en lo posible calcimiméticos.(4) Por otra parte, el tratamiento con paratiroidectomía permite la reosificación de las zonas afectadas.(11) El diagnóstico de tumores pardos puede ser complicado, ya que su apariencia puede simular malignidad. Una biopsia es un procedimiento útil que ayuda a distinguir una lesión benigna de una neoplasia y puede orientar el tratamiento adecuado.(12)
En el caso de nuestra paciente la extensa diseminación de las lesiones líticas óseas, llevo a considerar distintos diagnósticos diferenciales, tales como mieloma múltiple y enfermedad metastásica. Teniendo en cuenta la multifocalidad, resultó mandatorio la biopsia ósea, confirmando el diagnóstico de tumor pardo. Por lo tanto, se indicó la paratiroidectomía subtotal como parte del abordaje agresivo por el grado de severidad de este, acompañado de tiroidectomía total debido a la magnitud del bocio multinodular. Si bien existe asociación en ciertos casos reportados con carcinoma de tiroides,(13) ninguno de los nódulos del paciente tenían imágenes ecográficas sospechosas de malignidad, lo cual se confirmó también con la anatomía patológica.
La paratiroidectomía parece ser la mejor opción después de que falla el tratamiento médico, a pesar de que las guías no se expiden sobre el caso de los tumores pardos en particular, existen datos e informes que demuestran los beneficios de la paratiroidectomía con la remineralización del hueso y la regresión de los tumores solo unos meses después de la cirugía.(5, 14)
Los tumores pardos a su vez afectan sobre todo mandíbula y costillas, y huesos largos, siendo menor el compromiso de la columna vertebral.(4, 7, 11, 15-16) Es de notar que nuestra paciente presentaba además del compromiso extenso de la columna vertebral, afección de calota craneana, mandíbula, esternón, clavículas, costillas, húmero, ambos ilíacos, y sacro, constituyendo un caso verdaderamente de presentación infrecuente con compromiso de tal magnitud descrito hasta el momento en la literatura. Las razones por las que sólo un limitado número de pacientes con HPT secundario severo desarrollan estos tumores son desconocidas.(17)
Nuestro caso ilustra una presentación dramática de tumores pardos, donde a pesar de un tratamiento quirúrgico agresivo, el mismo todavía sigue fuera de control y por lo tanto se encuentra en vías de una segunda paratiroidectomía. Por lo que podemos concluir que ante la sospecha diagnóstica de tumores pardos el diagnóstico temprano y el manejo interdisciplinario es fundamental para evitar complicaciones futuras tales como fracturas o compresión medular en el caso de afección de la columna vertebral.
BIBLIOGRAFÍA
1) Moe SM, Sprague SM. Mineral bone disorders in chronic kidney disease. En: Brenner and Rector's The Kidney. 8th ed. Philadelphia: WB Saunders Company, 2007. p. 1784-807.
2) Psaila A, Conti L, Azzopardi AP, Coppini DV. A brown tumor secondary to hyperparathyroidism in the maxilla, skull, scapula, and femora. Proc (Bayl Univ Med Cent). 2020;34(1):163-5. doi: 10.1080/08998280.2020.1826260.
3) De La Flor Merino JC, Justo P, Domínguez JJ, Gómez-Berrocal A, Seva AE, Marschall A, et al. Multiple brown tumors-forgotten pathology in times of calcimimetics: a case report and literature review. SAGE Open Med Case Rep. 2021;9:2050313X211039383. doi: 10.1177/2050313X211039383.
4) Ghernautan V, Idrees Z, Nassar M, Ciobanu C, Ramdass A. Brown tumor with spine involvement at multiple levels in a hemodialysis patient. Cureus. 2021;13(8):e17000. doi: 10.7759/cureus.17000.
5) Wiederkehr M. Brown tumor complicating end-stage kidney disease. Clin Nephrol Case Stud. 2020;8:72-9. doi: 10.5414/CNCS110195.
6) Gorsane I, Zammouri A, El Meddeb J, Younsi F, Bartkiz A, Abdelmoula J, Barbouch S, Ben Abdallah T. Les tumeurs brunes chez les hémodialysés chroniques [Brown tumors in chronic hemodialysis patients]. Nephrol Ther. 2016;12(2):86-93. French. doi: 10.1016/j.nephro.2015.09.003.
7) Sánchez-Calderón MD, Ochoa-Cacique D, Medina Carrillo O, García González U, Vicuña González RM, Bravo Reyna CC, et al. Brown tumor of the cervical spine in a patient with secondary hyperparathyroidism: a case report. Int J Surg Case Rep. 2018;51:328-330. doi: 10.1016/j.ijscr.2018.09.023.
8) Duval-Sabatier A, Gondouin B, Bouvier C, Bataille S, Berland Y, Brunet P. Brown tumor: still an old disease? Kidney Int. 2011;80(10):1110. doi: 10.1038/ki.2011.290.
9) National Kidney Foundation. K/DOQI clinical practice guidelines for bone metabolism and disease in chronic kidney disease. Am J Kidney Dis. 2003;42(4 Suppl. 3):S1-201.
10) Kidney Disease: Improving Global Outcomes (KDIGO) CKD-MBD Update Work Group. KDIGO 2017 Clinical Practice Guideline Update for the Diagnosis, Evaluation, Prevention, and Treatment of Chronic Kidney Disease-Mineral and Bone Disorder (CKD-MBD). Kidney Int Suppl. 2017;7(1):1-59. doi: 10.1016/j.kisu.2017.04.001.
11) Alfawareh MD, Halawani MM, Attia WI, Almusrea KN. Brown tumor of the cervical spines: a case report with literature review. Asian Spine J. 2015;9(1):110-20. doi: 10.4184/asj.2015.9.1.110.
12) Parikh P, Shetty S, Rodrigues G, Bhat SN. Brown tumour mimicking skeletal metastasis. BMJ Case Rep. 2021 13;14(7). doi: 10.1136/bcr-2021-243478.
13) Jeong C, Kwon HI, Baek H, Kim HS, Lim DJ, Baek KH, et al. Association of hyperparathyroidism and papillary thyroid cancer: a multicenter retrospective study. Endocrinol Metab (Seoul). 2020;35(4):925-32. doi: 10.3803/EnM.2020.725.
14) Abdelhadi M, Nordenström J. Bone mineral recovery after parathyroidectomy in patients with primary and renal hyperparathyroidism. J Clin Endocrinol Metab. 1998;83(11):3845-51. doi: 10.1210/jcem.83.11.5249.
15) Gheith O, Ammar H, Akl A, Hamdy A, El-Saeed M, El-Salamouny T, et al. Spinal compression by brown tumor in two patients with chronic kidney allograft failure on maintenance hemodialysis. Iran J Kidney Dis. 2010;4(3):256-9.
16) Araújo SM, Bruin VM, Nunes AS, Pereira EN, Mota AC, Ribeiro MZ, et al. Multiple brown tumors causing spinal cord compression in association with secondary hyperparathyroidism. Int Urol Nephrol. 2013;45(3):913-6. doi: 10.1007/s11255-012-0123-2.
17) Del Valle EE, Spivacow FR, Buteler RG. Brown tumor and secondary hyperparathyroidism in CKD. Rev Nefrol Dial Traspl. 2018;38(1):91-3.
Notas de autor
paula.dionisi@unc.edu.ar
Información adicional
Cómo citar este artículo (How to cite this article): : Dionisi MP, Quintero MA, Quintero ML, Maldonado RA. Tumor pardo multifocal: reporte de caso en hemodiálisis crónica. Rev Nefrol Dial Traspl. abr.-jun. 2022; 42(2):170-8.