ORIGINAL
Tromboembolismo Pulmonar en los pacientes con COVID-19. Angiografía con tomografía computarizada: resultados preliminares
Pulmonary Thromboembolism in pacients with COVID-19. Computer tomography pulmonary angiography: preliminary results
Tromboembolismo Pulmonar en los pacientes con COVID-19. Angiografía con tomografía computarizada: resultados preliminares
Journal of Negative and No Positive Results, vol. 5, núm. 6, pp. 616-630, 2020
Research and Science S.L.
Recepción: 14 Abril 2020
Aprobación: 21 Abril 2020
Resumen
Objetivo. : Los pacientes con afectación pulmonar grave por COVID-19 presentan hipoxia y aumento progresivo del Dimero D por lo que los síntomas se solapan con el tromboembolismo pulmonar (TEP). La realización de AngioTC en estos pacientes es compleja y expone al personal del Servicio.En este trabajo se revisan los hallazgos clínicos, analíticos y en imagen de los pacientes con enfermedad por COVID-19 y tromboembolismo pulmonar.
Material y métodos. : Se realiza un estudio retrospectivo de los pacientes ingresados en nuestros hospitales con diagnóstico de COVID-19 a los que se les realizó un angioTC para descartar o confirmar la existencia de TEP. Se analizaron parámetros clínicos y analíticos de cada uno de ellos.
Resultados. :
Hemos realizado 18 estudios de angioTC de arterias pulmonares a los 277 pacientes ingresados con COVID-19 entre el 15 de marzo y el 10 de abril de 2020. El diagnóstico se confirmó en todos los casos con PCR. El motivo de consulta fue hipoxemia y aumento de las cifras de DÍmero D con descenso de los otros parámetros habitualmente alterados en esta enfermedad (ferritina, LDH y proteína C). Se evidenció la existencia de TEP en 8 pacientes. En cinco casos se observó en ramas lobares y segmentarias afectando en dos casos a ramas principales y lobares; en un caso la rama trombosada era una vena pulmonar. Se observó una tendencia a la linfopenia en los pacientes con trombosis. El 50% de los pacientes estaban ingresados en la UCI . En todos los casos se observaron pequeñas adenopatías hiliares y mediastínicas
Conclusión. : El TEP es una complicación de la enfermedad por COVID-19. El diagnóstico clínico es difícil de establecer por el solapamiento de la clínica y los datos analíticos de las dos entidades. Existe tendencia a la linfopenia en los pacientes con TEP.
Palabras clave: COVID-19+ coronavirus+ pandemia+ tromboembolismo pulmonar+ angioTC.
Abstract
Material and methods. : This is a retrospective study of patients admitted in our hospitals with the diagnosis of COVID-19 in which an angioTC was practiced in order to confirm or discard TEP. Clinical and analytical parameters were analyzed.
Results. :
Eighteen angioTC of pulmonary arteries in admitted patients with COVID-19 between March 15 and April 10, 2020 were performed. Diagnosis was confirmed in all cases with PCR. The reason for consultation was hypoxemia and increase in DDimero with decrease in other parameters, usually altered in this disease (ferritin, LDH and protein C). TEP was confirmed in eight patients. Lobar and segmental branches were affected in five cases; in two, main and lobar arteries were involved. Pulmonary vein was thrombosed in one case. A tendency towards lymphopenia was observed in patients with thrombosis. 50% of patients were hospitalized in ICU. Small hilar and mediastinic lymph nodes were observed in all cases.
Conclusion. : TEP is a complication in COVID-19 disease. Clinical diagnosis is difficult to establish due to overlapping of symptoms in both diseases. There is a tendency towards lymohopenia in patients with TEP.
Keywords: COVID-19, coronavirus, pandemic, pulmonary thromboembolism, angioTC.
Introducción
La enfermedad por COVID-19 es una pandemia que se ha extendido en los últimos meses desde China a Europa y después al resto del mundo occidental. En el momento de escribir este artículo (14 de abril de 2020) son 1.848.489 los afectados en el mundo de los que 177.633 están confirmados en España con 18.579 fallecidos.
En el 81% de los casos produce un cuadro leve, en el 14% se produce un cuadro grave con neumonía y en el 5% de los casos una enfermedad crítica con fallo respiratorio y multiorgánico con una mortalidad de un 2,3% variando la mortalidad según los países, que en el nuestro alcanza el 9,5%1.
La Tomografía Computarizada (TC) tiene una alta sensibilidad (97%)2 en el diagnóstico de la enfermedad3 comparada con la reacción en cadena de la polimerasa (PCR) por lo que tiene utilidad en el diagnóstico de la enfermedad, sobre todo en los casos en los que la radiografía es dudosa o hay retraso en obtener el resultado de la PCR2. El problema principal es el transporte del paciente a la máquina, la complejidad de la ejecución y la necesidad de la limpieza y desinfección de la sala.
Se han demostrado alteraciones de la coagulación en pacientes con infección grave. Uno de los parámetros que se encuentra alterado en los enfermos con infección por COVID-19 es el Dímero D. En ocasiones la cifra de Dímero D sigue en ascenso a pesar de que otros parámetros típicamente alterados en esta enfermedad como la ferritina, LDH y Proteina C tienden a normalizarse4. Cuando esto ocurre se plantea el diagnóstico diferencial con tromboembolismo pulmonar (TEP) como complicación de la enfermedad.
Es difícil tomar la decisión acerca de cuándo hacer AngioTC a estos pacientes por la dificultad que entraña, como ya hemos dicho el transporte y la ejecución. Este tipo de estudios obliga al servicio de radiología a hacer un esfuerzo con una redefinición de los circuitos de limpio/sucio del departamento. Existe además riesgo de contagio al personal del Departamento de Imagen. Además, los pacientes en ocasiones presentan alteración de la función renal lo que hace más difícil la decisión de hacer esta prueba.
Hemos revisado retrospectivamente los AngioTCs realizados en nuestros Servicios de Radiología a los pacientes con COVID-19 tratando de relacionar los hallazgos radiológicos con los parámetros clínicos y los resultados de los análisis habitualmente alterados en esta entidad. La intención es tratar de definir cuáles son los parámetros clínicos o analíticos que nos ayuden a precisar la necesidad de hacer un AngioTC de arterias pulmonares en el curso de esta enfermedad.
Material y Métodos
Se han revisado de forma retrospectiva los AngioTC realizados a 18 pacientes diagnosticados de enfermedad COVID-19 en el periodo comprendido entre el 15 de marzo y el 10 de abril de 2020 en los hospitales Universitarios de Torrevieja y Vinalopó. Todos los pacientes eran COVID-19 positivos y cumplían los criterios clínicos de diagnóstico de la enfermedad. Todos incluían en su tratamiento dosis profiláctica de heparina de bajo peso molecular (enoxaparina 40 mg cada 24 horas)
El estudio fue aprobado por el comité ético del hospital.
Los estudios fueron realizados en dos tipos de máquinas de tomografía computarizada: Philips Brilliance 64 y Philips Brilliance 16 (PhilipsMedical Systems, Netherlands). El estudio se adquirió en sentido cráneo caudal en una apnea en los pacientes conscientes y caudo craneal en los que estaban con respiración asistida; todos ellos se realizaron en supino. Los parámetros del estudio fueron: 120 kV, corriente del tubo de 100-300 mAs, colimación de 0,625-0,8 mm , pitch de 0,9-1,2 y rotación del gantry de 0,5 s. Se usó contraste no iónico (iopamiro, Bracco, Milan Italia) Iomeron 350 ,70-100 ml inyectado por la vena antecubital a 3,5-4 ml/seguido por 30 ml de suero salino usando un inyector. La región de interés (ROI) se colocó en la arteria pulmonar principal con un umbral de 100 UH y un retraso fijo de 5 s. La imagen fue reconstruida con un grosor de 1 mm y un incremento de 0,5 mm. La imagen se envió al sistema de archivo y comunicación (PACS) para su postprocesado.
Los estudios fueron revisados por dos radiólogos, uno de ellos experto en tórax; en caso de desacuerdo se resolvió por consenso. Se analizó la existencia o no de trombos y su localización, el índice de gravedad de la enfermedad basándonos en publicaciones previas5,6. Se valoró también la existencia de otros hallazgos de imagen, así como los valores de diferentes parámetros analíticos: Dímero D, ferritina, linfocitos, LDH, proteína C y pro BNP. La cifra de Dímero D fue recogida al ingreso y 24 horas antes de realizar el estudio de angioTC.
Análisis estadístico
Se realizó un estudio descriptivo donde se calcularon las medias y rangos de las variables cuantitativas recogidas en el estudio, siendo por su lado categorizadas las variables cualitativas en forma de proporciones.
A continuación se subdividieron en 2 grupos en función de si presentaban o no trombo vascular en el estudio de Angio-TC de arterias pulmonares, para luego comparar las medias en estos dos grupos con el test U de Mann-Whitney y comparar las proporciones de las variables cualitativas con el test exacto de Fisher.
Resultados
Entre el 15 de marzo y el 10 de abril de 2020 han ingresado 277 pacientes por la enfermedad COVID-19 con PCR positiva en los Hospitales de Torrevieja y Vinalopó. Hemos realizado 18 angioTCs de arterias pulmonares para descartar la existencia de tromboembolismo pulmonar.
Se estudió a un total de 18 pacientes (11 hombres y 7 mujeres) con una edad comprendida entre los 55 y los 88 años con una media de 71,4 años. En el 100 % de la muestra se confirmó el diagnostico de infección por COVID-19 mediante la técnica de reacción en cadena de la polimerasa (PCR).
Como antecedentes médicos destacables el 61,1 % presentaban hipertensión arterial (HTA) y el 44% dislipemia; sólo el 11,1 % de los pacientes padecía diabetes mellitus. Cuatro de los pacientes tenían antecedente de neoplasia, tres de ellos activa en tratamiento quimioterápico. Cuatro de los ocho pacientes con TEP estaban ingresados en la Unidad de Cuidados Intensivos (UCI).
Los pacientes presentaron un D-Dímero medio al ingreso de 1620,5, que aumentó en 17 de los 18 pacientes durante su ingreso, permaneciendo elevado en el paciente restante. Se hace notar que en uno de nuestros centros el D-Dímero se calculaba hasta un máximo de 4.400 y no se cuantificaba por encima de este valor. El pro-BNP se registró en 13 de los 18 pacientes con un valor medio de 1066,69 (rango 86-3220). La LDH estaba elevada en todos los pacientes con una media de 616,39 y un rango de 432-1172. El 50% tenía linfopenia en su analítica obteniéndose un valor medio de 1,19 % de linfocitos con un rango que va de 0,33-6,23%. La media de la ferritina fue de 1138,53 con un rango comprendido entre 217-4051. La PCR fue valorada al ingreso y previamente a la realización del angio-TC, siendo la media al diagnóstico de 7.73+0.5-36y previa al angio-TC de 9.150+0.5-28.4 (Tabla 1)

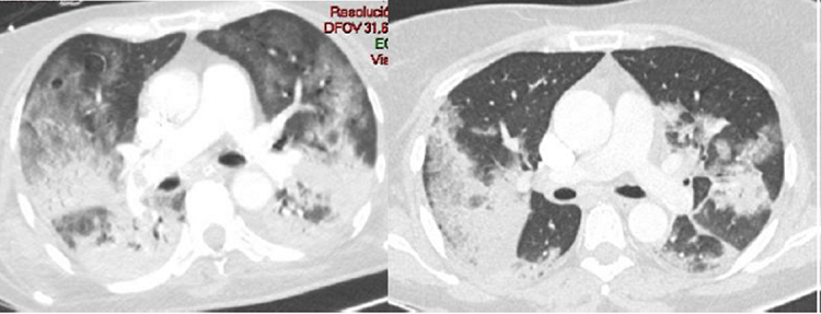
El angio-TC se solicitó en todos los casos por aumento considerable del D-Dímero con una mejoría de los otros datos de infección/inflamación. Todos los pacientes presentaban hipoxia, solo una paciente de los 18 presentó algún signo sugestivo de tromboembolismo pulmonar (dilatación de cavidades derechas en la ecografía, que no se confirmó en la TC). En la angio-TC todos los pacientes a excepción de uno presentaron alteraciones pulmonares típicas de afectación por COVID-19, siendo clasificados en índice de gravedad según la clasificación propuesta por la Sociedad Británica de Imagen Torácica (BSTI), encontrándose afectación moderada/grave en el 16,7% y grave en el 77,8% de los pacientes. El 50% de los pacientes presentaban además datos de neumonía organizada y el 77,8% adenopatías mediastínicas. El estudio angiográfico demostró trombo en 8 de los 18 pacientes (44,4 %), 7 de ellos arteriales y 1 en un caso de las venas pulmonares, siendo la localización del trombo lobar y segmentario en el 37.5% y con afectación exclusiva segmentaria y subsegmentaria en el 50%.
En el análisis estadístico comparativo entre el grupo que presentó trombo en el estudio de angio-TC y los que no lo presentaron no se obtuvieron resultados significativos, si bien el recuento linfocitario en ambos grupos mostró una tendencia a la linfopenia mayor en los pacientes con trombo que los que no presentaron este hallazgo (p = 0.08).
Todos los casos tenían adenopatías hiliares y mediastínicas de un tamaño comprendido entre 5 y 12 mm
No se obtuvieron datos estadísticamente significativos probablemente condicionado por la N de la muestra.
Discusión
Al final del año 2019 se identificó un nuevo coronavirus como causa una neumonía en Wuhan, una ciudad en la provincia de Hubei en China7. La enfermedad se ha transmitido rápidamente por todo el mundo debido a que es altamente contagioso. La Organización Mundial de la Salud (OMS) denominó a la enfermedad COVID-19. Produce neumonía en el 81% de los pacientes y distress respiratorio en el 14% de los pacientes que evoluciona a fallo respiratorio, shock y fallo multiorgánico en el 5% de los casos. En la necropsia se ha descrito el hallazgo de áreas de hemorragia en la periferia del pulmón8 lo que sugiere el efecto trombótico y microangiopático del virus.
Los hallazgos alterados en los análisis más característicos en esta enfermedad son linfopenia, aumento de la LDH, la ferritina y aumento del Dímero D. Es bien sabido que el Dímero D se asocia con TEP, pero también se puede ver en otras condiciones como cáncer, enfermedad vascular periférica, embarazo y enfermedades inflamatorias.
La presencia de hipoxia y el aumento del Dímero D son datos que hace que exista un solapamiento entre el COVID-19 y el tromboembolismo pulmonar que clínicamente plantea problemas a la hora de tomar la decisión de cambiar la dosis de antIcoagulación de heparina profiláctica a dosis terapéuticas9.
Se han descrito previamente casos de TEP en infecciones víricas10 y en el COVID-19 11,12. Hemos revisado retrospectivamente la serie de pacientes a los que les hemos realizado TC para tratar de averiguar si existen factores clínicos o radiológicos que nos permitan hacer una selección adecuada de los pacientes que son candidatos a realizar AngioTC ya que la realización de la prueba ofrece dificultades operativas, expone al paciente a radiación y obliga a usar contraste intravenoso13.
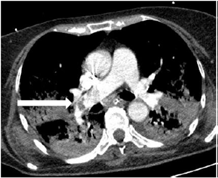
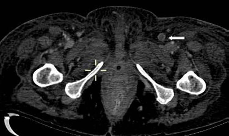
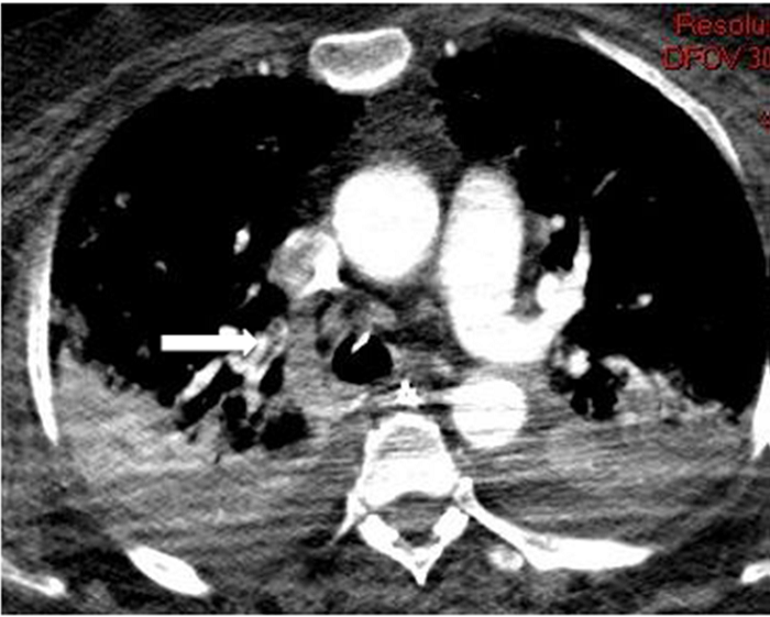
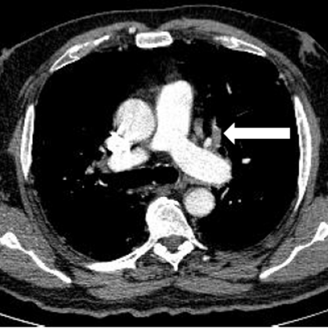
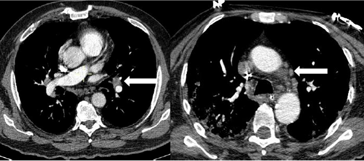
Todos los pacientes de la serie tenían hipoxia y aumento de las cifras de Dímero D con normalización en la cifra de otros parámetros típicamente alterados en esta enfermedad. De los ocho pacientes con TEP solo en dos había afectación múltiple y en ramas principales y lobares (Figura 1). En uno de los dos casos días después se confirmó la existencia de una extensa trombosis de las venas iliacas y femoral derecha como causa del TEP (Figura 2). En los otros seis casos el trombo era único y en ramas de pequeño calibre (Figura 3). En uno de los pacientes el trombo afectaba a la vena pulmonar superior izqda (Figura 4).




En la mayoría de los casos en que se vio enfermedad tromboembólica la enfermedad pulmonar era grave desde el punto de vista de la imagen,seis casos (Figura 5), en otro era moderado-grave y en un tercer paciente no había evidencia de afectación pulmonar, el paciente estaba diagnosticado de silicosis pulmonar (Figura 6) y tenía antecedentes de una neoplasia de páncreas irresecable a tratamiento con quimioterapia con fiebre y PCR positiva para COVID-19. Cuatro de los 8 pacientes con TEP tenían enfermedad muy evolucionada y grave con respiración asistida e ingreso en la UCI. Todos los pacientes tenían adenopatías mediastínicas lo que podría traducir un estado de gran inflamación (Figura 7) que podría explicar la cifra alta de Dímero D en los casos en que no existía enfermedad tromboembólica.



No hemos encontrado datos clínicos ni analíticos significativos que nos puedan orientar a la existencia de TEP con una tendencia en la serie en los que se confirmó la existencia de trombos a una cifra más baja de linfocitos La mitad de los pacientes que presentaron TEP estaban ingresados en la UCI con enfermedad grave.
La razón por la que se produce la enfermedad tromboembólica no está clara. Aunque en una de las series publicadas 8 no ha habido evidencia de trombos en las ramas vasculares pulmonares en otro estudio de autopsias de pacientes con SRAS mostró trombos en arterias pulmonares en 4 de 8 pacientes y en 3 trombos en las venas de los miembros inferiores14.
Es probable que existan varios factores que influyan en la aparición trombos, desde factores inflamatorios locales a inmovilización y estados pro-coagulantes como enfermedad neoplásica previa. Pero la existencia de evolución tórpida de la enfermedad con hipoxia y cifras de Dimero D en aumento justifica la realización de un angioTC de arterias pulmonares ya que la existencia de trombos en el árbol vascular pulmonar fue indicación de anticoagulación en todos los casos en los que se demostró la existencia de trombos.
Nuestro estudio tiene muchas limitaciones. Se trata de una serie corta y retrospectiva. Es necesario un estudio prospectivo para investigar la incidencia real de enfermedad tromboembólica en pacientes con COVID-19. Por otra parte la cifra de Dímero D en la mayoría de los casos no estaba cuantificada por encima de 4.400 en muchos casos; este estudio motivó un cambio en la cuantificación del Dímero D en uno de nuestros hospitales. Por último será necesario hacer estudio de coagulación en los pacientes positivos para descartar alteraciones que puedan haber influido en la aparición de esta complicación.
En conclusión, queremos llamar la atención a la posibilidad de que una complicación relativamente frecuente de la infección por COVID-19 es el TEP. En pacientes con hipoxia y cifras de Dímero D elevado con tendencia a la normalización de la ferritina es importante descartar o confirmar la presencia de TEP debido a las implicaciones terapéuticas que tiene para el paciente. La enfermedad grave y el ingreso en la UCI podría ser un factor de riesgo añadido para presentar tromboembolismo en este tipo de pacientes. Cuando existe esta complicación hay tendencia a la linfopenia.
Referencias
- https://www.mscbs.gob.es/en/profesionales/saludPublica/ccayes/alertasActual/nCov-China/situacionActual.htm (entrada 14 abril 2020)
Tao A, Zhenlu Y, Hongyan H, Chenao Z, Chong C, Wenzhi L, Qian T, et all. Correlation of Chest CT and RT-PCR Testing in CoronavirusDisease 2019 (COVID-19) in China: A Report of 1014 Cases. In press
Kanne JP. Chest CT findings in 2019 Novel Coronavirus (2019-n CoV) infections from Wuhan, China: Key points for the radiologist.Radiology 2020; 295:16-17
- https://www-uptodate-com.m-hmos.a17.csinet.es/contents/coronavirus-disease-2019-covid-19?search=covid%2019&source=search_result&selectedTitle=1~150&usage_type=default&display_rank=1 (5 de abril de 2020)
Yang R, Li X, Zhen Y, Zhang X, Xiong Q, Luo Y, Gao C et al. Chest CT Severity score: An Imaging Tool for Assessing Severe COVID-19. Published Online:Mar 30 2020 https://doi.org/10.1148/ryct.2020200047
- https://www.bsti.org.uk/standards-clinical-guidelines/clinical-guidelines/bsti-covid-19-guidance-for-the-reporting-radiologist/ (entrada 15 abril 2020)
McIntosh K, Hirsch M, Bloom A. Coronavirus disease 2019 (COVID-19): Epidemiology, virology, clinical features, diagnosis, and prevention. Literature review current through: Mar 2020. | This topic last updated: Apr 16, 2020.
Fox S, Akmatbekov, Harbert, Li G, Brown Q, Vander Heide R. Pulmonary and Cardiac Pathology in COVID-19: The First Autopsy Series from New Orleans.doi: https://doi.org/10.1101/2020.04.06.20050575
Zuckier L, Moadel R, haramati L, Freeman L. Diagnostic Evaluation of Pulmonary Embolism During the COVID-19 Pandemic.Journal of Nuclear Medicine, published on April 1, 2020 as doi:10.2967/jnumed.120.245571
Ishiguro T, Matsuo K, Fujii S , Takayanagi N. Acute thrombotic vascular events complicating influenza-associatedpneumonia. Acute thrombotic vascular events complicating influenza-associated pneumonia
Xie Y, Wang X, Yang P, Zhang S. COVID-19 Complicated by Acute Pulmonary Embolism. Radiology: Cardiothoracic Imaging 2020; 2(2):e200067 • https://doi.org/10.1148/ryct.2020200067
Chen J, Wang X, Zhang S, Liu B, Wu X, Wang Y et all.Findings of acute pulmonary embolism in COVID-19 patients. THELANCETID-D-20-00678
Kooraki S, Hosseiny M, Myers L, Gholamrezanezhad A. Coronavirus Outbreak: What the Department of Radiology Should Know. J Am CollRadiol 2020 in press
Ng KH, Wu AK, Cheng VC, et al. Pulmonary artery thrombosis in a patient with severe acute respiratory syndrome. Postgrad Med J. 2005;81:1-3.
Notas de autor
Autor para correspondencia. Correo electrónico: angelesfrnc@yahoo.com (Ángeles Franco-López).
Declaración de intereses