Artículos de presentación de casos
Ejercicios de articulación fonética del aparato estomatognático en una paciente con fisura velo-palatina
Phonetic articulation exercises of the stomatognathic apparatus in a patient with velo-palatal fissure
Ejercicios de articulación fonética del aparato estomatognático en una paciente con fisura velo-palatina
Revista Eugenio Espejo, vol. 14, núm. 2, pp. 83-91, 2020
Universidad Nacional de Chimborazo

Recepción: 21 Diciembre 2019
Aprobación: 13 Mayo 2020
Resumen: El caso clínico que se presenta correspondió a un paciente de género femenino de 53 años, y tuvo como objetivo mejorar la función del habla del aparato estomatognático de la paciente atendida. Se realizó un examen odontológico extraoral e intraoral para valorar la condición del aparato estomatognático diagnosticándole fisura palato-uvular. Una vez hecho el diagnóstico odontológico-médico y lingüístico se determinó los procedimientos de intervención, la mujer fue rehabilitada odontológicamente, quirúrgicamente se le realizó una palatoplastia y consecutivamente participó de 24 sesiones ordinarias y 10 de sesiones de refuerzo de ejercicios de articulación de varios fonemas enfatizando en /k/ /g/ /j/ /x/ /c/ ch/ /ñ/ /ll/ /y/. Se concluyó que después de las sesiones de intervención, la paciente evidenció una mejora en la producción de estos fonemas del habla, pasando de un rango muy bajo de 45/110 y 4/15 a un rango alto de 95/110 y 13/15 respectivamente, según los instrumentos de evaluación del lenguaje aplicados.
Palabras clave: sistema estomatognático, fonemas, fisura del paladar.
Abstract: The clinical case presented corresponds to a 53-year-old female patient, and aimed to improve the speech function of the stomatognathic apparatus of the patient attended. An extraoral and intraoral dental examination was performed to assess the condition of the stomatognathic apparatus, diagnosing palatal-uvular fissure. Once the dental-medical and linguistic diagnosis was made, the intervention procedures were determined, the woman was rehabilitated odontologically, she underwent a palatoplasty, and consecutively participated in 24 ordinary sessions and 10 sessions of reinforcement of joint exercises of various phonemes, emphasizing in /k/ /g/ /j/ /x/ /c/ /ch/ /ñ/ /ll/ /y/. It was concluded that after the intervention sessions, the patient showed an improvement in the production of these speech phonemes, going from a very low range of 45/110 and 4/15 to a high range of 95/110 and 13/15. Respectively according to the language assessment instruments applied.
Keywords: Stomatognathic System, Phonemes, Cleft palate.
INTRODUCCIÓN
De acuerdo con la Organización Mundial de la Salud (OMS), el estar saludable no se refiere solo a la ausencia de alguna patología o afección, se considera que una persona está sana integralmente considerando un estado integral de bienestar físico, mental y social. En relación con la dimensión biológica de la salud bucodental, se entiende como la ausencia de dolor orofacial crónico, cáncer de boca o garganta, llagas bucales, defectos congénitos como labio leporino o paladar hendido, enfermedades, caries dental, pérdida de dientes, trastornos que afectan al aparato estomatognático y otras enfermedades.(1)
Las malformaciones a nivel bucolabial afectan a 1 de cada 600 recién nacidos en todo el mundo, siendo el segundo defecto de nacimiento que con mayor frecuencia se presenta después del Síndrome de Down y el género masculino resulta el más afectado por estas patologías.(2,3)
El labio y paladar hendido se encuentran entre las malformaciones más comunes; estas no son homogéneas ya que presentan diferencia con respecto a la entidad, etiología y componente genético. Hasta la actualidad, se considera que sus mecanismos son diversos y poco claros: el sentido multifactorial, modelo de umbral, factores ambientales y disposición genética.(4)
Las personas que tienen esas malformaciones presentan un trastorno en la articulación del habla; es decir, dificultad en la movilización de las correspondientes estructuras anatómicas para producir parcial o totalmente los fonemas que integran el lenguaje hablado. En individuos que presentan labio fisurado ocurre generalmente con: /b/, /f/, /m/, o /p/, /v/, /w/”; y en casos con paladar hendido: “/c/, /g/, /i/, /k/, /l/, /n/, /ñ/, /r/, /y/, /č/”.(5)
Los fonemas consonantes se clasifican de acuerdo con el punto de articulación, modo de articulación, y actividad de las cuerdas bucales(6) (tabla 1).
PRESENTACIÓN DEL CASO
Mujer de 53 años que acude a la Consulta Odontológica de la Universidad Nacional de Chimborazo, que aqueja tener dificultad para hablar y deglutir debido a la presencia de paladar fisurado; asimismo, refiere haber sido tratada quirúrgicamente al respecto cuando era niña pero que desconocía la naturaleza de ese procedimiento, además de no padecer de alergias medicamentosas conocidas.
Al examen físico
- Signos vitales: presión arterial 128/73; frecuencia cardiaca: 67ppm; temperatura: 6.5 °C, respiraciones por minuto 18
- Exploración neurológica: consiente, orientada y colaboradora.
- Cuello: carótidas rítmicas y simétricas. No palpación de adenopatías.
Conducta diagnóstica
Valoración clínica mediante la observación:
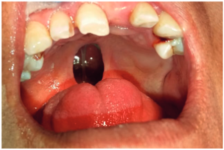
- Examen del sistema estomatognático revela fisura velo-palatina (figura 1)
- Generación de odontograma refleja necrosis pulpar, ausencias dentales y caries.
Figura 1. Fisura velo-palatina

Fuente: historia clínica del paciente
El diagnóstico radiológico mediante RX panorámica permitió corroborar la presencia de fisura velo-palatina y valorar la posibilidad de corrección mediante cirugía.
Los exámenes de laboratorio clínico de biometría hemática, tiempos de coagulación, recuento plaquetario, urea, creatinina y glucosa basal estuvieron dentro de los parámetros normales.
Con respecto a la evaluación del nivel de producción de fonemas mediante los instrumentos de la Prueba de Evaluación del Lenguaje Oral(7) y El Algoritmo de Habla(8) se obtuvo un rango muy bajo de 45/110 y 4/15 respectivamente, determinándose dificultades específicas en los fonemas /k/ /g/ /j/ /x/ /c/ ch/ /ñ/ /ll/ /y/.
Actitud terapéutica y evolución
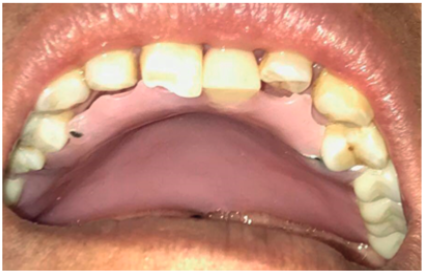
Se procedió a la restauración de todos los órganos dentarios en 4 sesiones diferentes, en las cuales se trató con éxito la necrosis pulpar y las caries en dentina; además, se colocó una placa de acrílico como medida paliativa para la fonación y la deglución (figura 2).
Figura 2. Placa de acrílico

Fuente: historia clínica del paciente
Después de la colocación de la placa de acrílico, se realizaron 24 sesiones ordinarias y 10 de refuerzo en las que se realizaron ejercicios de articulación de fonemas, enfatizando en los que la paciente mostró mayores dificultades; una vez concluidas, mejoró la producción del habla alcanzando el rango medio con resultados de 76/110 y 8/15 respectivamente según los instrumentos de evaluación mencionados.
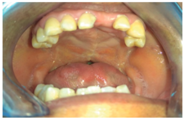
A través de la Fundación Operación Sonrisa Ecuador, la paciente fue sometida a palatoplastia con resultados favorables (figura 3).
Figura 3. Palatoplastia

Fuente: historia clínica del paciente
Posterior a la recuperación posquirúrgica, se retomaron los ejercicios para corregir las praxias bucofonatorias sin reportarse mejoría importante durante los tres primeros meses; a partir de cuales, la paciente evidenció una mejora significativa llegando a obtener un rango medio alto de 92/110 y 12/15 según los resultados de los instrumentos de evaluación mencionados. De igual manera, la capacidad de deglución se incrementó en un 90%.
DISCUSIÓN
Según Muros,(9) la disglosia palatal es la incorrecta producción de los fonemas debido a la presencia de un problema físico que impide la emisión de ciertos sonidos, como frenillo sublingual, hendidura del paladar, hipoacusia. Esta puede clasificarse en diferentes tipos: labiales, mandibulares, dentales, linguales, velopalatales, y mixtas.
Las velopalatales son malformaciones orgánicas del paladar óseo y del velo del paladar, como en el caso que se presenta. Los niveles de gravedad en las disglosias dependerán del grado de afectación en la articulación de los fonemas y no existe relación directa con el grado de alteración orgánica. Antes de comenzar con un tratamiento es importante conocer la causa del rotacismo para saber qué camino seguir. El delicado mecanismo de articulación de los fonemas /k/ /g/ /j/ /x/ /c/ ch/ /ñ/ /ll/ /y/ hace que esos sonidos sean los más difíciles de pronunciar dentro del lenguaje humano, los que se vieron afectados en la paciente que motiva este artículo.(10)
La afectada tomó sesiones de articulación del aparato estomatognático acorde con su diagnóstico, al igual que fue rehabilitada odontológicamente e intervenida quirúrgicamente como sugiere la Agencia de Salud Valenciana.(11) Este tipo de corrección por cirugía implica disminuya el defecto en la pronunciación por el papel que juega el velo del paladar en la articulación;(12) aseveración que coincide con la mejoría manifestada por la paciente después del procedimiento de palatoplastia en relación con el nivel de producción fonemas (medio alto).
Las malformaciones congénitas descritas anteriormente en el presente caso clínico, afectan directamente la producción de fonemas desde el punto de vista anatómico y fisiológico de la persona, de ahí la importancia de realizar ejercicios musculares y respiratorios pre y post quirúrgicamente para ayudar a mejorar la articulación de dichos sonidos producidos por el aparato estomatognático, lo que coincide con los resultados de otros estudios,(13) en los que se aconseja el entrenamiento ante este tipo de patología como parte de su proceso correctivo posibilitando que integre buenas prácticas en la pronunciación de sílabas y palabras y se adapte a las potencialidades de su nueva condición.
El nivel de posibilidad de ingerir alimentos mejoró paulatinamente de acuerdo con las intervenciones realizadas desde un 50% inicial hasta un 90% posquirúrgico; al respecto, la Agencia de Salud Valenciana(11) manifiesta que la intervención del paladar tiene una finalidad más funcional que estética, dado que se pretende conseguir una deglución correcta de alimentos.
CONCLUSIONES:
Las personas que presentan malformaciones velo-palatinas muestran problemas en la producción de los fonemas /k/ /g/ /j/ /x/ /c/ ch/ /ñ/ /ll/ /y/. La atención clínica a un paciente con las malformaciones congénitas de labio y paladar fisurado requiere un tratamiento holístico, es decir que involucren el área médica, odontológica, lingüística, psicológica, nutricional entre otras, para lograr devolver tanto la estética como la funcionalidad del aparato estomatognático.
Los ejercicios de articulación de la cavidad bucal son muy importantes para mejorar la producción de fonemas del habla, estos deben incluir ejercicios musculares y respiratorios que se adapten a las necesidades del paciente, al igual que su ejecución se debe realizar hasta devolver a un nivel satisfactorio la función de la fonación. En este caso, después de la intervención, la paciente evidencia una mejora significativa, pasando de un rango muy bajo a un rango medio alto según los instrumentos de evaluación aplicados.
Conflictos de intereses: los autores declaran que no existen.
Declaración de contribución:
Dennys Vladimir Tenelanda López y Cristian David Guzmán Carrasco trabajaron en la recopilación de información y la redacción del artículo; mientras que Mónica Alexandra Castelo Reyna y Deysi Lucía Damián Tixi elaboraron la discusión del caso y realizaron la revisión final de la redacción del artículo.
REFERENCIAS BIBLIOGRÁFICAS
1. Organización Mundial de la Salud [Internet]. Sitio web mundial: OMS; 2018 [actualizado 17 Feb 2018; citado 12 Dic 2019]. Disponible en: http://www.who.int/suggestions/faq/es/.
2. Serrano C, Ruiz J, Quiceno L, Rodríguez M. Labio y/o Paladar Hendido: Una Revisión. Rev Usta Salud [Internet]. 2009 [citado 10 de Dic 2019]; 8(1): 44-52. Disponible en: http://revistas.ustabuca.edu.co/index.php/USTASALUD_ODONTOLOGIA/article/viewFile/1180/973.
3. Alfwaress FSD, Khwaileh FA, Rawashdeh MA, Alomari MA, Nazzal MS. Cleft Lip and Palate: Demographic Patterns and the Associated Communication Disorders. J Craniofac Surg [Internet]. 2017 [citado 10 Dic 2019]; 28(8): 2117-2121. Disponible en: https://www.ncbi.nlm.nih.gov/pubmed/29023294.
4. Voigt A, Radlanski RJ, Sarioglu N, Schmidt G. Lippen-Kiefer-Gaumen-Spalten. Der Pathologe [Internet]. 2017 [citado 12 Dic 2019]; 38(4): 241-247. Disponible en: https://link.springer.com/article/10.1007%2Fs00292-017-0313-x.
5. Martínez H. La articulación del habla en individuos con hendiduras labiopalatinas corregidas: estudio de dos casos. Rev CEFAC [Internet]. 2006 [citado 18 Dic 2019]; 8(2): 186-197. Disponible en: https://www.redalyc.org/pdf/1693/169320515009.pdf.
6. Navarro P. Adquisición del lenguaje. Orden de adquisición de las consonantes en la lengua española. Rev Internac de Filología y su Didáctica [Internet]. 2007 [citado 18 Dic 2019]; 30(1): 297-336. Disponible en: https://cvc.cervantes.es/literatura/cauce/pdf/cauce30/cauce30_15.pdf.
7. Ramos-Sanchez JL, Cuadrado-Gordillo I, Fernández-Antelo I. Prueba para la evaluación del lenguaje oral [Internet]. Madrid: EOS; 2008 [actualizado 2018; citado 18 Dic 2019]; Disponible en: https://www.worldcat.org/title/elo-prueba-para-la-evaluacion-del-lenguaje-oral-manual/oclc/804066408.
8. Tenelanda-López D, Crespo-Mora I, Benítez-Pérez G, Sánchez-Varela G. Caso clínico: paladar fisurado y su influencia en las funciones del aparato estomatognático. SATHIRI [Internet]. 2019 [citado 17 Dic 2019]; 14(2): 270-276. Disponible en: http://revistasdigitales.upec.edu.ec/index.php/sathiri/article/view/908/978. doi:10.32645/13906925.908.
9. Muros C. Rotacismo. [Internet]. Granada: Colegio de PP. Escolapio; 2012. [citado 20 Dic 2019]. Disponible en: https://www.orientacionandujar.es/wp-content/uploads/2013/05/rotacismo.pdf.
10. Logopedia [Internet]. Disglosias; 2019 [actualizado 2019; citado 20 Dic 2019]. Disponible en: http://www.apepalen.cyl.com/diversidad/diver/logope/habla/disglosias.htm.
11. Agencia de Salud Valenciana. Guía sobre fisuras labio-palatinas. [Internet]. Valencia: Aficaval; 2012 [actualizado 2012; citado 20 Dic 2019]. Disponible en: http://www.aficaval.com/documentos/guiacastella.pdf.
12. Pichel V. Estudio Clínico-Epidemiológico y Logo foniátrico de niños operados por Fisura labio palatina. [tesis de pregrado en Internet]. Ciudad de la Habana: Instituto Superior de Ciencias Médicas de la Habana; 2008.
13. Rey-Lancheros DE, Gavilán-Acosta HJ, Espitia-Cuchango HE. (2017). Implementación de un algoritmo para la identificación de usuarios considerando problemas fisiológicos que afectan el habla. Iteckne [Internet]. 2017 [citado 23 Dic 2019]; 14(2): 131-139. Disponible en: http://www.scielo.org.co/pdf/itec/v14n2/1692-1798-itec-14-02-00131.pdf. https://dx.doi.org/10.15332/iteckne.v14i2.1767.