Resumen: La enfermedad COVID-19 ha ocasionado una de las crisis sanitarias más importantes de la historia. A propósito, se reporta el caso clínico de un trabajador de la salud sin antecedentes clínicos ni factores de riesgo cardiovascular que resultó contagiado, presentando secuela de hipertensión arterial que requirió tratamiento farmacológico. Existe la necesidad de continuar el estudio fisiopatológico de las consecuencias que genera esta patología, en especial de la relativa a la hipertensión arterial y la potencialidad de establecer una condición crítica y disfunción cardiovascular.
Palabras clave: hipertensión, infecciones por coronavirus, complicaciones.
Abstract: The COVID-19 disease has caused one of the most important health crises in history. In these terms, this clinical case is reported, which is related to a health worker with no medical history or cardiovascular risk factors. This patient was infected, presenting sequelae of arterial hypertension that required pharmacological treatment. It was showed the need to continue the pathophysiological study of the consequences generated by this pathology, especially regarding arterial hypertension and the potential to establish a critical condition and cardiovascular dysfunction.
Keywords: Hypertension, Coronavirus Infections, Complications.
Caso clínico
Hipertensión arterial como secuela de COVID-19. Reporte de un caso clínico
Arterial hypertension as a sequel to COVID-19. Clinical case report

Recepción: 22 Agosto 2021
Aprobación: 07 Noviembre 2021
Diciembre de 2019 marca el inicio de una de las crisis sanitarias más importantes de la historia, la emergencia de la enfermedad producida por una nueva cepa de coronavirus identificada genéticamente en enero de 2020.(1) En febrero, China reportó alrededor de 70000 casos y decreta medida de confinamiento y aislamiento social. Su virulencia genera expansión global y se decreta estado de pandemia.(2) En noviembre, el reporte es de aproximadamente 50 millones contagiados y 1300000 muertes a nivel mundial.(3)
Algunos grupos resultan más vulnerables ante el COVID-19: adultos mayores y personas con enfermedades preexistentes. En España, la media de la edad de las pacientes fue de 69,4 años y el 21% de los casos con edades entre 70 y 79 años falleció. En ese contexto, el 50% de los afectados presentaron hipertensión arterial (HTA).(4) Además, los infectados con enfermedades cardiovasculares y metabólicas previas enfrentan mayor riesgo de desarrollar complicaciones.(5)
Esta enfermedad también puede desencadenar secuelas y síntomas posteriores a la recuperación, principalmente patologías del sistema cardiovascular, observándose un aumento en la frecuencia cardíaca en reposo a más de 20 lpm y presencia de hipertensión arterial que requiere tratamiento farmacológico.(6)
Existen reportes de incremento de la presión arterial durante su fase activa y convaleciente sin relación aparente con factores biológicos tales como: sexo, edad y factores de riesgo cardiovascular.(7) Esta situación puede aumentar la severidad de los síntomas, incrementado la probabilidad de un desenlace fatal.(8)
Las afecciones respiratorias agudas pueden causar la activación de vías de coagulación, efectos proinflamatorios y trastorno de las células endoteliales. Al estudiar tejido pulmonar, se demostró que el 83% de las células que expresan ACE2 eran epiteliales alveolares de tipo II, lo que sugiere posibilidad de ser reservorio para la invasión viral. SARS-CoV-2 puede producir daño y disfunción miocárdica con aumento de enzimas cardíacas y alteraciones electrocardiográficas.(9,10)
El sistema renina-angiotensina tiene un papel fundamental en la regulación de la hipertensión y la lesión pulmonar aguda causada por virus como el SARS y el H7N9, los que producen cambios en la actividad de este sistema de regulación cardiovascular.(11,12) Al respecto, existe la hipótesis sobre los efectos nocivos de los inhibidores de la enzima convertidora de angiotensina y los bloqueadores de los receptores de angiotensina.(10)
DESARROLLO
Así, se presenta el caso de un paciente que se desempeña como profesional de la salud en puntos de atención de pacientes COVID-19, el que se presenta en punto de triaje con cuadro clínico de 3 días de evolución con cefalea holocraneana de gran intensidad, dolor retrocular, astenia, artralgias, mialgias y alza térmica.
El paciente no presenta ningún antecedente personal de importancia ni factores de riesgo cardiovascular.
Al examen físico se reporta un paciente consciente, alerta, álgico y diaforético.
Talla: 1,65 m
Peso: 60 kg
BMI: 22
Signos vitales: presión arterial 149/99; frecuencia cardiaca: 119 ppm; temperatura: 38,6°C; 24 respiraciones por minuto; SO2: 89-90% y escala de News: 7.
Piel: caliente.
Marcha y fascie no característica de procesos patológicos.
Cabeza: normocefálica, eritema conjuntival, orofaringe eritematosa.
Cuello: simétrico sin que se palpen adenopatías.
Tórax simétrico: ruidos cardíacos rítmicos.
Pulmones: expansibilidad conservada, leve utilización de musculatura accesoria y tiraje intercostal, murmullo vesicular disminuido en ambos campos de predominio en campo izquierdo.
Abdomen, región pélvica y extremidades sin alteraciones.
Sin focalidad neurológica.
Exámenes complementarios
Estos incluyeron:
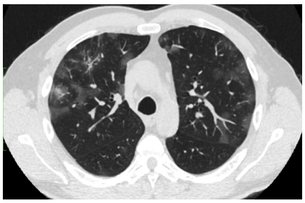
· Tomografía axial computarizada de tórax que reflejó infiltrado algodonoso bilateral con distribución parchada, además de infiltrados periféricos y subpleurales (figura 1).
· RT-PCR positivo por hisopado nasal.
· Biometría hemática, tiempos de coagulación, recuento plaquetario, urea, creatinina y glucosa basal, los que estuvieron dentro de los parámetros normales.
Figura 1. Tac de tórax

Actitud terapéutica y evolución:
A las 24 horas, el paciente tuvo seguimiento domiciliario, observándose que mantenía sintomatología febril y respiratoria leves.
Signos vitales: presión arterial 160/100; frecuencia cardíaca: 105 ppm; temperatura: 37,6 °C, respiraciones por minuto: 24, SO2: 87-90%.
Terapéutica
Como tratamiento no farmacológico, se indica dieta baja en sal, hidratación oral, fisioterapia respiratoria, vigilancia estricta de los signos de alarma y control diario de tensión arterial (tabla 1).

El tratamiento farmacológico incluyó paracetamol y metamizol para control de alza térmica persistente. En consideración a la persistencia de la elevación de las siguientes cifras tensionales (brazo derecho: 160/110, brazo izquierdo: 155/95) se prescribe enalapril de 10 mg en la mañana.
El paciente cumplió con 28 días de aislamiento y reposo. Luego del alta médica, se constata una pérdida de peso de 6 kilos, manteniendo cefalea, fatiga, taquicardia y maneja cifras tensionales que oscilaron entre 160/95 y 155/90, por lo que se decide incrementar el tratamiento de enalapril con otra dosis de 10 mg en la noche, logrando controlar la sintomatología.
Seguimiento:
El tratamiento indicado durante el alta se cumple durante 5 meses, realizando autocontroles que reflejan niveles normales y se suspende administración de medicamento. Durante las dos semanas posteriores estuvo asintomático y con cifras tensionales dentro de los límites normales, pero luego presenta cefalea holocraneana, por lo que, acude a valoración médica que reporta tensión arterial de 147/104 que requiere de retomar el tratamiento con enalapril de 10 mg cada día en la mañana.
Además, se realiza electrocardiograma y biometría hemática que se encuentran dentro de parámetros normales.
DISCUSIÓN
El SARS-CoV-2, virus que aparece en una provincia de China en diciembre de 2019,(13) actualmente ha afectado a millones de personas de todos los rangos de edad y condición, cuya morbimortalidad sigue ascendiendo mientras se generan recursos terapéuticos o de inmunidad más eficientes.(14)
Un alto nivel de incidencia de HTA en pacientes con COVID-19 se apreció en un estudio de 138 pacientes, donde alrededor del 60% de los que presentaron síntomas graves tenían tensión arterial alta.(15)
Los mecanismos que originan la posible relación entre la HTA y COVID-19 no son conocidos a cabalidad, la hipótesis más aceptada se relaciona con la mala respuesta del sistema renina angiotensina-aldosterona y la enzima convertidora de angiotensina 2, presente en los pulmones, corazón y vasculatura sistémica (en menor medida en los dos últimos). Esta interviene en el metabolismo de las bradicininas.(16,17,18,19)
La angiotensina II es un potente vasoconstrictor que modifica la tensión arterial a través de dos mecanismos (actividad las arteriolas que aumenta la resistencia vascular periférica y retención directa de sal y agua por los riñones o de la secreción de aldosterona por las glándulas suprarrenales), produciendo inflamación vascular y remodelado cardiaco a largo plazo.(16,17,18,19)
La fase de rehabilitación de los pacientes luego de la infección debe ser continua e ir de la sintomatología aguda hasta la crónica. Las principales secuelas se relacionan con síndromes de inmovilización, respiratorio, cardiovascular, neurológico y psicológico,(20) reportándose dificultad respiratoria, tos, fatiga, debilidad muscular, estrés postraumático, limitaciones en las actividades diarias, fibrosis pulmonar y trastornos cardiovasculares y renales.(21)
El estudio de las secuelas hipertensivas de la enfermedad producida por el nuevo coronavirus resulta de interés para las ciencias de la salud. Al respecto, se recomienda el monitoreo secuencial de la tensión arterial, considerando los rangos de presión arterial sistólica es ≥140 mm Hg y/o presión arterial diastólica ≥90 mm Hg como elevados.(22,23)
CONCLUSIONES
El caso clínico de COVID-19 que se presenta constituye una evidencia de la necesidad de continuar el estudio fisiopatológico de las secuelas que esta genera, en especial de la relativa a la hipertensión arterial y la posibilidad de establecer una condición crítica y disfunción cardiovascular. El paciente no presentaba antecedentes ni factores de riesgo cardiovascular, sin embargo, luego de la infección por SARS-CoV-2 desarrolló hipertensión arterial sostenida que requirió tratamiento farmacológico.
Conflicto de intereses: los autores declaran que no existen.
Declaración de contribución:
Fausto Maldonado Coronel, Diana Karina Haro Medina y Katherine Paulina Maldonado Coronel recolectaron datos del caso clínico y redactaron el artículo.
Bryan Jesús Morales Fiallos y Darwin Patricio Yaucén Yumi realizaron búsqueda bibliográfica y discusión del caso clínico.

