Caso clínico

Recepción: 21 Julio 2022
Aprobación: 05 Septiembre 2022
DOI: https://doi.org/10.37135/ee.04.16.10
Resumen: Se presenta el caso de una paciente de sexo femenino y edad de 10 años, la que requirió ingreso dos años antes con diagnóstico presuntivo de neumonía. El examen imagenológico de entonces mostró una imagen compatible con atelectasia y masa a nivel de lóbulo superior de pulmón izquierdo, requiriendo valoración en el servicio de cirugía, donde se decidió tratamiento de exéresis de masa luego de superar el cuadro infeccioso. La situación pandémica por COVID-19 provocó que la paciente dejara de seguir asistiendo y al ingresar nuevamente tenía un cuadro clínico agravado, precediendo con el tratamiento quirúrgico. Los hallazgos histopatológicos confirman la presencia de mucormicosis pulmonar. Después de 14 días con tratamiento de anfotericina B en forma liposómica, la paciente es dada de alta por la favorable evolución.
Palabras clave: mucormicosis, patología, procedimientos quirúrgicos operativos, enfermedades pulmonares fúngicas, niño.
Abstract: The case of a 10-year-old female patient who required admission two years earlier with a presumptive diagnosis of pneumonia is presented. The imaging examination at that time showed an image compatible with atelectasis and a mass in the upper lobe of the left lung, requiring evaluation in the surgery service, where a mass excision treatment was decided after overcoming the infectious condition. The pandemic situation due to COVID-19 caused the patient to stop attending, and when she was admitted again, she had an aggravated clinical picture. Surgical treatment proceeded with histopathological findings confirming the presence of pulmonary mucormycosis. After 14 days of treatment of amphotericin B in liposomal form, the patient is discharged due to favorable evolution.
Keywords: Mucormycosis, Pathology, Surgical Procedures Operative, Lung Diseases Fungal, Child.
INTRODUCCIÓN
Las mucormicosis son infecciones fúngicas angioinvasivas provocadas por Zigomycetes del orden mucorales. Estas afectan a personas con inmunodeficiencia o factores de riesgo asociados tales como: consumo de corticoides, profilaxis antibiótica contra otras infecciones producidas por hongos, diabetes, enfermedades oncohematológicas (principalmente leucemias asociadas a neutropenia en tratamiento de inducción) y pacientes en programa de trasplante. En población pediátrica ha sido asociada con prematuridad, aciduria metabólica congénita, bajo peso al nacer y malnutrición.(1,2,3,4,5,6,7,8,9,10,11,12,13,14,15,16,17,18)
Su incidencia anual se estima entre 0,43 y 1,7 casos por cada millón de habitantes, ubicándose como la tercera infección fúngica invasiva después de la candidiasis. En países en vías de desarrollo, la aspergilosis puede superar el 60% de índice de mortalidad en pacientes inmunodeprimidos y el 40% en pacientes inmunocompetentes. Esas cifras varían atendiendo al género y especie del hongo causante, presentación clínica y extensión de la enfermedad, así como al momento y tipo de tratamiento empleado.(1,2,4,6,9,10,11,13,14,15,16)
El proceso infeccioso se produce por el contacto con esporas de los mucorales a través del tracto respiratorio, digestivo o por soluciones de continuidad en la piel posteriores a traumatismos. Así, la forma de presentación más frecuentes son los casos es rino-orbito-cerebral (55%) y pulmonares (30%); sin embargo, esta última se observa en un 4% de los pacientes pediátricos.(1,2,3,4,8,9,14,15,16)
Los síntomas resultan inespecíficos y con baja sensibilidad diagnóstica, cuya manifestación depende del lugar de infección, apareciendo de 2 a 4 semanas después del contacto con los mucorales, cuya intensidad depende del estado inmunológico del huésped y la presencia de factores de riesgo asociados. En la mayoría de los casos se manifiesta fiebre, tos productiva, taquipnea y dificultad respiratoria; mientras que en menor medida aparece dolor torácico, astenia, hiporexia y hemoptisis.(2,3,4,9,11,13,14,15,16,19.20,21)
Los cultivos micológicos para determinar sensibilidad in vitro a fármacos e identificar el agente causal pueden ser de gran provecho; sin embargo, el tiempo de obtención de los resultados tarda entre 3 a 6 semanas. A pesar de la angioinvasividad que caracteriza a estas infecciones, los hemocultivos carecen de utilidad clínica en estos casos por la baja sensibilidad y especificidad, reflejando negatividad en la mayoría de las muestras contaminadas.(1,4,6,7,9,11,12,13,14,15,16,17,18,19,20)
Esas particularidades diagnósticas inherentes a la ubicuidad de los patógenos causantes generaron el desarrollo de técnicas de amplificación mediante PCR en tiempo real y de hibridación in situ (en evaluación al momento que se elabora este documento). Estas se fundamentan en la presencia de altas concentraciones de copias de ácidos nucleicos de material de mucorales.(6)
La alta tasa de mortalidad de esta patología impone la implementación de un manejo multidisciplinario con carácter urgente, el que debe iniciarse desde la sospecha del diagnóstico. El retraso en el comienzo del tratamiento puede incrementar el riesgo de muerte hasta en 8 veces.(1,4,5,6,9,12)
El tratamiento farmacológico antifúngico de elección es Anfotericina B Liposomal en monoterapia con dosis de 3 a 5 miligramos/kilogramo/día, cuya duración dependería de la forma clínica y la respuesta a este; aunque, algunos autores mencionan que ciclos de 6 a 8 semanas han tenido efectividad, mostrando resolución clínica y radiográfica de las lesiones.(1,3,4,6,7,9,11,12)
La asociación de tratamiento quirúrgico radical con el farmacológico reduce el foco fúngico de infección y recidivas, logrando la erradicación de la enfermedad y la disminución de la mortalidad a un 11%.(1,2,3,6,12)
PRESENTACIÓN DEL CASO
Paciente femenina, cuya edad era de 10 años, procedente de la provincia de Cotopaxi, de condición socio económica media y con acceso a todos los servicios básicos, la que presentó neumonía adquirida en la comunidad dos años atrás, requiriendo hospitalización y realización de exámenes complementarios, cuya radiografía reflejó la presencia de imagen compatible con atelectasia (figura 1A) y la tomografía simple y contrastada de tórax posibilitó identificar una masa a nivel de lóbulo superior de pulmón izquierdo sugerente de quiste pulmonar (figura 1B). Este último hallazgo requirió valoración en el servicio de cirugía, decidiendo tratamiento de exéresis de masa luego que se superara el cuadro infeccioso.

Sin embargo, la situación provocada por la pandemia de COVID-19 provocó la interrupción del seguimiento por especialidades médicas correspondientes. En abril de 2021 es llevada a recibir atención médica por presentar cuadro de tos intermitente y hemoptisis aislada en una ocasión, lo que se asoció con los hallazgos radiológicos, aunque no se evidenciaron alteraciones en exámenes complementarios de laboratorio clínico (tabla 1), decidiendo ingreso para resolución quirúrgica.
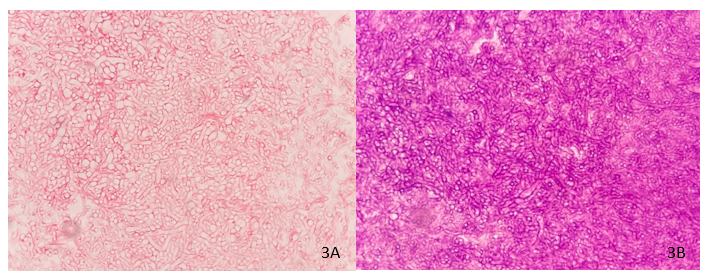
Durante el procedimiento quirúrgico se realizó toracotomía más lobectomía y exéresis de masa quística de 8 x 4 x 2 centímetros con superficies lisas (figura 2), la que estaba adherida al lóbulo superior. Las muestras correspondientes fueron enviadas para estudio histopatológico con tinción de PAS y hematoxilina eosina y, luego de 72 horas, se reportó hallazgo compatible con murcomicosis pulmonar (figura 3A y 3B), posibilitando descartar inmunodeficiencia asociada a nivel celular y humoral (tabla 1).
Figura 2.Lóbulo de pulmón y masa adherida a estructura

El reporte histopatológico indicó conductos respiratorios con inflamación crónica y focos de hemorragia intralveolar, presencia de material fibrinoide con abundantes estructuras tubulares pauciseptadas irregularmente ramificadas en ángulos mayores de 45 grados con centro claro y otras redondeadas. Las paredes eran PAS positivas, siendo un resultado compatible con mucormicosis pulmonar (figura 3).

Durante los 14 días posteriores a la intervención quirúrgica, se administró tratamiento de anfotericina B en forma liposómica, observándose una evolución clínica favorable que permitió dar alta con indicaciones para dar seguimiento clínico en consulta externa. Al año de haber sido tratada, la historia clínica de la paciente no reflejó reingresos asociados con patologías de origen micótico o pulmonar infecciosa.
DISCUSIÓN
Desde el 2019 hasta 2022, se observó un incremento de los casos de infecciones causadas por mucorales asociados con el contagio del virus del SARS-COV(22) o inmunosupresión coexistente; pero, otras enfermedades fúngicas como la aspergilosis en población pediátrica mantienen una baja incidencia.(2,4,5,7,11) Además, entre un 9,5 y 17% de los casos corresponden a personas inmunocompetentes.(5,6)
Cámara López et al.(23) menciona que esta resulta una enfermedad de rápida progresión, requiriendo tratamiento de manera urgente. Sin embargo, en el caso que se presenta, la paciente se vio obligada por la situación a demorar el comienzo del tratamiento, arriesgándose a que se presentaran complicaciones o agravar su condición. El método diagnóstico y el tratamiento seguido coincidió con el criterio de esos autores, así como los hallazgos histopatológicos.
El cuadro clínico fue muy similar al descrito en la literatura y que coincide con entidades: aspergilosis, tuberculosis, masas tumorales, malformaciones congénitas, entre otras; pues los hallazgos radiológicos más frecuentes son: consolidaciones lobares, cavitaciones, derrame pleural, masa pulmonar el 2% y patrón multinodular asociado a signos de doble halo y halo inverso, con resultados poco específicos en los casos en recuperación inmunológica. Así, el abordaje diagnóstico confirmatorio debe desarrollarse mediante estudio histopatológico directo con tinciones de hematoxilina-eosina y ácido periódico de Schiff, pudiendo elevarse su especificidad a través de tinción de blanco de calco flúor y la técnica Gomori-Grocott empleando metenamida de plata.(1,2,4,9,10,11,12,13,15,16,17)
Los estudios y ensayos farmacoterapéuticos realizados no coinciden en una alternativa de tratamiento de la mucormicosis que sea superior a las demás. Varios autores recomiendan el uso de anfotericina B liposomal en dosis de 5 miligramos/kilo/día, ya que su toxicidad renal y hepática es menor que en la forma no lipídica, debiendo ser administrada hasta la desaparición de los síntomas o en el caso de enfermedades inmunosupresoras, hasta la estabilización de estas. Aunque, resulta prudente mencionar que no hay evidencia científica que muestre disminución en la estancia hospitalaria, disminución de la carga fúngica o mortalidad asociada en el uso de terapia combinada de anfotericina B con azoles o candinas.(9,10,11,12,14)
CONCLUSIÓN
El caso de mucormicosis que se presenta aporta una nueva experiencia profesional al afrontamiento de esta patología. La forma en que se realizó el diagnóstico y el tratamiento coincidió con lo que se describe en la literatura; aunque, la paciente tuvo la particularidad de verse obligada a aplazar la terapia por la situación epidemiológica complicada que se presentó.
Conflicto de intereses: los autores declaran no tener.
Declaración de contribución:
La concepción de la idea, diseño del protocolo de trabajo, recolección de datos, búsqueda bibliográfica y redacción del manuscrito contó con la participación de todos los autores.
REFERENCIAS BIBLIOGRÁFICAS
1. Quiroz N, Villanueva J, Lozano E. Mucormicosis. Rev Asoc Colomb Dermatol [Internet]. 2017 [citado 8 Sep 2021]; 25(4): 284-293. Disponible en: https://revistasocolderma.org/sites/default/files/mucormicosis.pdf.
2. Pozo-Laderas J, Pontes A, Pozo-Salido C, Robles-Arista J, Linares-Silicia M. Mucormicosis diseminadas en pacientes sin inmunodeficiencias: una enfermedad que también existe. Rev Iberoam Micol [Internet]. 2015 [citado 9 Sep 2021]; 32(2): 63-70. Disponible en: https://pesquisa.bvsalud.org/portal/resource/pt/ibc-137303.
3. Carillo-Rodriguez V, Soto-Ramos M, Hernández-Saldaña R, Hinojos-Gallardo L, González-Ortiz S. Mucormicosis pulmonar en niños. Presentación de 3 casos y revisión de la literatura. Neumol Cir Tórax [Internet]. 2017 [ciatdo 9 Sep 2021]; 76(2): 96-101. Disponible en: https://www.medigraphic.com/cgi-bin/new/resumen.cgi?IDARTICULO=73382.
4. Carrillo-Rodríguez V. Micosis pulmonares en niños. Un enfoque diagnóstico. Neumol Pediatr [Internet]. 2018 [citado 8 Sep 2021]; 13(1): 5-10. Disponible en: https://www.google.es/url?sa=t&rct=j&q=&esrc=s&source=web&cd=&cad=rja&uact=8&ved=2ahUKEwiys8eeiab3AhWaSjABHS6wAM8QFnoECA4QAw&url=https%3A%2F%2Fneumologiapediatrica.cl%2Findex.php%2FNP%2Farticle%2Fdownload%2F206%2F197%2F203&usg=AOvVaw0jM5zF3PQheA4XFE4C7Tb9.
5. Flores-Chávez A, Rodríguez-Temoche L, Alarcón-Rojas K, Pereyra-López S. Mucormicosis gástrica en un niño inmunocompetente. Rev Gastroenterol Perú [Internet]. 2019 [citado 8 Sep 2021]; 39(2): 193-196. Disponible en: https://pesquisa.bvsalud.org/portal/resource/pt/biblio-1058515.
6. Martín-Gómez M, Salavert-Lletí M. Mucormicosis: perspectiva de manejo actual y de futuro. Rev Iberoam Micol [Internet]. 2021 [citado 9 Sep 2021]; 38(2): 1-10. Disponible en: https://www.sciencedirect.com/science/article/pii/S1130140621000292.
7. Cox G. Mucormycosis (zygomycosis). UpToDate MediMedia [Internet]. 2021 [citado 9 Ago 2022]. Disponible en: https://www.medilib.ir/uptodate/show/2465.
8. Quindós G. Epidemiología de las micosis invasoras: un paisaje en continuo cambio. Rev Iberoam Micol [Internet]. 2018 [citado 8 Sep 2021]; 35(4): 171-178. Disponible en: https://www.elsevier.es/es-revista-revista-iberoamericana-micologia-290-articulo-epidemiologia-micosis-invasoras-un-paisaje-S1130140618300585.
9. Rodríguez-Dorantes L, Gómez-Toscano V, Rodríguez-Jurado R, Díaz-García L. Enfermedad fúngica invasiva por hongos filamentosos: perfil clínico-epidemiológico y de respuesta farmacológica en un Hospital de tercer nivel en México. Rev Latin Infect Pediatr [Internet]. 2018 [citado 9 Sep 2021]; 33(4): 152-158. Disponible en: https://www.medigraphic.com/pdfs/infectologia/lip-2018/lip184e.pdf.
10. Fishman J. Epidemiology of pulmonary infections in immunocompromised patients. UpToDate [Internet] 2021. [21 Oct 2021]. Disponible en: https://www.uptodate.com.exbiblio.usfq.edu.ec/contents/epidemiology-ofpulmonary-infections-inimmunocompromisedpatients?search=mucormicosis&source=search_result&selectedTitle=12~87&usage_type=default&display_rank=12.
11. González-Vicent M, Ramos-Amador J. La infección fúngica en el paciente pediátrico inmunodeprimido. Rev Iberoam Micol [Internet]. 2021 [ 2 Oct 2021]; 38(2): 75-83. Disponible en: https://www.elsevier.es/es-revista-revista-iberoamericana-micologia-290-articulo-la-infeccion-fungica-el-paciente-S1130140621000310.
12. Nocua-Báez L, Uribe-Jerez P, Tarazona-Guaranga L, Robles-R, Cortés-J. Azoles de antes y ahora: una revisión. Rev Chilen Infectol [Internet]. 2020 [3 Oct 2021]; 37(3): 219-230. Disponible en: https://www.scielo.cl/scielo.php?script=sci_arttext&pid=S071610182020000300219&lang=pt.
13. Spellberg B, Ibrahim A. Mucormicosis [Internet]. 9na ed. Principios de Medicina Interna Harrison: México: McGraw-Hill Education; 2018 [citado 10 oct 2021]. Disponible en: http://www.untumbes.edu.pe/vcs/biblioteca/document/varioslibros/0834.%20Harrison.%20Principios%20de%20Medicina%20Interna%2C%20Vol.%201.pdf.
14. Bonifaz A. Mucormicosis y entomoftoromicosis [Internet]. 6ta ed. Micología Médica Básica: México: McGraw-Hill Education; 2015 [actualizado 2020; citado 10 oct 2021]. Disponible en: https://accessmedicina.mhmedical.com/content.aspx?bookid=2980§ionid=252138002#252138040.
15. Arenas R. Mucormicosis y entomoftoromicosis [Internet]. 6ta ed. Micología Médica Ilustrada: México; McGraw-Hill Education; 2019. [actualizado 2019; citado 9 oct 2021]. Disponible en: https://www.mheducation.com.co/micologia-medica-ilustrada-9786071514240-col#tab-label-product-description-title.
16. Milner D, Pecora N, Solomon I, Soong T. Infecciones Fúngicas [Internet]. Junio 2017. Diagnóstico Patológico de Enfermedades Infecciosas: Guatemala; Amolca; 2017. [actualizado 2017, citado 10 oct 2021]. Disponible en: http://www.libreriaserviciomedico.com/product/473028/diagnostico-patologico-de-enfermedades-infecciosas---milner.
17. Francis JR, Villanueva P, Bryant P, Blyth CC. Mucormycosis in Children: Review and Recommendations for Management. J Pediatric Infect Dis Soc [Internet]. 2018 [2021 Nov 11]; 7(2): 159–164. Disponible en: https://pubmed.ncbi.nlm.nih.gov/29294067/. https://doi.org/10.1093/jpids/pix107.
18. Kohan R, Delgado T, Yousef Breval I, Arbesú Cruz A. Mucormicosis pulmonar por Cunninghamella spp. en paciente trasplantado renal. Rev Esp Quimioter [Internet]. 2017 [2021 Oct 2]; 30(6): 472-473. Disponible en: https://seq.es/wp-content/uploads/2017/12/kohan27nov2017.pdf.
19. Agrawal R, Yeldani A, Savas H, Parekh N, Lombardi P, Hart E. Pulmonary Mucormycosis: Risk Factors, Radiologic Findings, and Pathologic Correlation. Radiographics [Internet]. 2020 [2021 Oct 12]; 40(3): 566-666. Disponible en: https://pubs.rsna.org/doi/pdf/10.1148/rg.2020190156.
20. Hammer M, Madan R, Hatabu H. Pulmonary Mucormycosis: Radiologic Features at Presentation and Over Time. Cardiopulmonary Imaging. AJR [Internet]. 2018 [2021 Oct 12]; 210(4): 742-747. Disponible en: https://www.ajronline.org/doi/full/10.2214/AJR.17.18792.
21. Santos-Silva J, Torres C, Clemente S, Calvinho P. Isolated Pulmonary Mucormycosis in an immunocompetent patient. Rev Port Cir Cardiotorc Vasc [Internet]. 2019 [2021 Oct 12]; 26(2): 151-153. Disponible en: https://pubmed.ncbi.nlm.nih.gov/31476818/.
22. Alastruey-Izquierdo A. Alerta Epidemiológica Mucormicosis asociada a la COVID-19. [Internet]. 2021 [2021 Oct 24] Organización Panamericana de la Salud. Disponible en: https://www.who.int/news-room/articles-detail/invitation-to-participate-in-survey-to-establish-the-first-who-fungal-priority-pathogens-list-(fppl).
23. Cámara-López D, Reyes-Castañeda EG, Cabrera-Arévalo CE, Calvillo-Rivera JG, Alonso-Moctezuma A. Mucormicosis rino-órbito-cerebral: casuística en un hospital de tercer nivel en México, en 3 años. Rev Esp Cirug Oral y Maxilofac [Internet]. 2022 [citado 2022 Mar 21]; 44(1): 23-29. Disponible en: http://scielo.isciii.es/scielo.php?script=sci_arttext&pid=S1130-05582022000100023&lng=es. https://dx.doi.org/10.20986/recom.2022.1312/2021.