Caso clínico
Presentación de un caso de neumonía asociada con drepanocitemia
Presentation of a case of pneumonia associated with sickle cell disease
Presentación de un caso de neumonía asociada con drepanocitemia
Revista Eugenio Espejo, vol. 17, núm. 1, pp. 108-118, 2023
Universidad Nacional de Chimborazo

Recepción: 30 Septiembre 2022
Aprobación: 29 Noviembre 2022
Resumen: La anemia drepanocítica o hemoglobina S constituye una enfermedad genética producida por la mutación del gen HBB (11p15.4) del cromosoma 11. Paciente masculino afrodescendiente con una edad de 19 años que presenta fiebre de 38°C a 39°C, asociado con tos, expectoración verdosa y malestar general de tres días de evolución. Se diagnosticó neumonía bacteriana extrahospitalaria y anemia indefinida. Los estudios radiológicos mostraron cardiomegalia. La ecografía de abdomen reflejó hígado de tamaño normal, disminución de la ecogenicidad y ecoestructura granular fina en ambos riñones, prominencia de las paredes de los vasos portales, compresión del seno renal con mala diferenciación seno parénquima, bazo que no se visualiza y páncreas de características normales. Así, se necesitó corroborar el posible padecimiento de Sicklemia, siendo confirmada. La antibioticoterapia y la administración de hierro parenteral posibilitó la mejoría y el alta; aunque, las afectaciones en los órganos blanco ya habían provocado el deterioro general del estado de salud del paciente.
Palabras clave: anemia hemolítica, neumonía, electroforesis de las proteínas sanguíneas, infarto del bazo.
Abstract: Sickle cell anemia or hemoglobin S is a genetic disease caused by the mutation of the HBB gene (11p15.4) on chromosome 11. A case of a 19-year-old Afro-descendant male patient with a fever of 38 to 39°C is, associated with cough, expectoration greenish color, and general malaise of three days of evolution is presented. He was diagnosed with community-acquired bacterial pneumonia and indefinite anemia. Radiological studies showed cardiomegaly. Abdominal ultrasound revealed a normal-sized liver, decreased echogenicity and fine granular echostructure in both kidneys, prominence of the walls of the portal vessels, compression of the renal sinus with poor sinus-parenchyma differentiation, spleen not visible, and pancreas of standard characteristic. Thus, it was necessary to corroborate the possible condition of Sicklemia, being confirmed. Antibiotic therapy and parenteral iron administration improved and made discharge possible; however, the affectations in the target organs had already caused the general deterioration of the patient's state of health.
Keywords: Anemia Hemolytic, Pneumonia, Blood Protein Electrophoresis, Splenic Infarction.
INTRODUCCIÓN
La anemia drepanocítica (AS) o hemoglobina S constituye una enfermedad genética producida por la mutación del gen HBB (11p15.4) del cromosoma 11. Su origen está dado por la sustitución de un aminoácido (el ácido glutámico) por otro (la valina) en la sexta posición de la cadena de globina β3; así, disminuye la unión con el oxígeno haciendo que el eritrocito se atrofie y deforme, adquiriendo apariencia de hoz que entorpece la circulación sanguínea y provocan microinfartos, hemólisis y anemia.(1,2,3)
La anemia en las células falciformes afecta principalmente a individuos afrodescendientes. Mundialmente, se calcula que un 7% de la población es portador AS y alrededor de 400000 niños nacen con esa enfermedad cada año.(4)
Las estadísticas muestran que aproximadamente un 16% de los 1041559 afrodescendientes ecuatorianos residen mayoritariamente en las provincias de Guayas, Esmeraldas, Carchi, Imbabura y Napo, sufriría de drepanocitosis.(5)
Esta patología es de difícil diagnóstico debido a la ausencia de un cuadro clínico patognomónico y los resultados de los exámenes de laboratorios de rutina no son específicos, siendo la realización de estudios genéticos la única vía para detectar la presencia del gen mutado; al respecto, la electroforesis de hemoglobina sería la mejor opción.(6,7,8)
Los principales síntomas son: anemia crónica, dolor de elevada intensidad, infecciones bacterianas (neumonías, meningitis, osteomielitis, bacteriemia), priapismo y úlceras maleolares. Su padecimiento tiene un alto riesgo de muerte y de ocurrencia de accidente vascular encefálico (AVE) a edad temprana, en dependencia de la intensidad de la hemoslis intravascular y de la incidencia de otras complicaciones.(7,9,10)
El tratamiento se dirige hacia las manifestaciones clínicas y las complicaciones, como son: hidratación intravenosa, analgésicos y opiáceos para el control del dolor, antibióticos en caso de infecciones bacterianas asociadas, transfusiones sanguíneas ante anemias muy severas, entre otras.(11,12)
PRESENTACIÓN DEL CASO
Se trata de un paciente masculino afrodescendiente de ocupación estudiante, cuya edad era de 19 años, que acude al servicio de emergencia de un centro de salud del primer nivel de atención por presentar fiebre de 38°C a 39°C asociado con tos, expectoración verdosa y malestar general de tres días de evolución.
Este refirió antecedentes patológicos personales de anemia crónica y ninguno de orden familiar; aunque, llama la atención que no constaron antecedentes quirúrgicos, alergia a medicamentos, transfusiones, traumatismos y hábitos tóxicos.
La anamnesis reveló la presencia de tos húmeda con expectoración verdosa abundante de 3 días de evolución, a lo que se agregó la existencia de falta de aire en el día previo al ingreso. También mencionó tres meses padeciendo cefalea generalizada de forma esporádica, astenia y anorexia que se intensificó desde 15 días antes.
Al examen físico se detectó mucosas húmedas e hipocoloreadas, tejido celular subcutáneo no infiltrado ni deshidratado y panículo adiposo disminuido.
Su índice de masa corporal era de 17 kg/m..
Aparato respiratorio: submatidez y vibraciones vocales aumentadas con murmullo vesicular disminuido en tercio medio de hemitórax izquierdo, estertores crepitantes a ese nivel y una frecuencia de 22 respiraciones por minutos.
Aparato cardiovascular: ruidos cardiacos taquicárdicos, no se auscultaron soplos; frecuencia cardiaca de 102 latidos por minutos y tensión arterial de 110/60 mm/hg.
Abdomen: excavado, depresible, no doloroso a la palpación, no visceromegalia, ruidos hidroaéreos presentes.
Sistema nervioso central: vigil, orientado en tiempo, espacio y persona, sin signos meníngeos ni de focalización neurológica.
Atendiendo a los elementos reportados por la anamnesis y a los datos obtenidos en el examen físico se estableció la presencia de:
· Síndrome de condensación inflamatoria pulmonar.
· Síndrome anémico.
· Síndrome de malnutrición proteico-energética.
El diagnóstico nosológico presuntivo inicial fue:
· Neumonía bacteriana extrahospitalaria.
· Anemia crónica de etiología no definida.
· Malnutrición por defecto.
Los resultados de los exámenes complementarios de laboratorio clínico y especiales reflejaron:
· Fórmula leucocitaria: leucos 18
· Polimorfonucleares: 080
· Linfocitos: 020
· Hemoglobina: 9,5 g/dl
· Hto: 29,7
· Volumen corpuscular medio (VCM): 78
· Concentración media hemoglóbica (MCH): 24
· Concentración corpuscular hemoglóbica media (MCHC): 29,5
· Diámetro globular medio (RDW): 13,3
· Recuento de glóbulos rojos: 3,34
· Hierro sérico: 50 mcg/dl (bajo)
· Capacidad total de fijación del hierro (CTFH): 211 mcg/dl
· Saturación de transferrina: 15%
· Creatinina: 1,1 mg/dl
· Urea: 32 mg/dl
· BUN: 15 mg/dl
· Dímero D: 0,1 ng/dl
· ALT: 30 mg/dl
· AST: 24 mg/dl
· GGT: 20 mg/dl
· VDRL:0,10 (no reactivo)
· HIV 1+2: 0,23 IC (normal)
· TSH:1,53 mg/dl
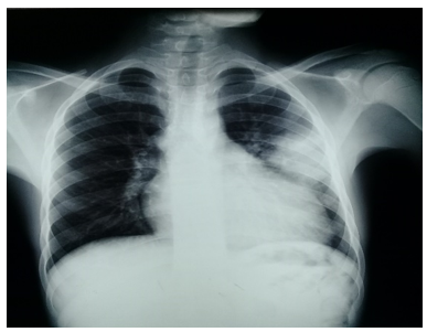
El estudio imagenológico mediante radiografía de tórax postero anterior inicial mostró la existencia de una imagen heterogénea de aspecto inflamatorio con proyección al tercio medio del hemitórax izquierdo: cardiomegalia (figura 1).
Figura 1. Radiografía de tórax en vista postero anterior

Fuente: historia clínica del paciente.
La imagen de la tomografía axial computarizada simple de tórax (TAC) confirmó la presencia de un condensado en tercio medio izquierdo del tórax y el aumento del área cardiaca a expensas del ventrículo izquierdo (figura 2).
Figura 2.TAC simple de tórax

Fuente: historia clínica del paciente.
El informe de la ecografía de abdomen reflejó hígado de tamaño normal, disminución de la ecogenicidad y ecoestructura granular fina en ambos riñones, prominencia de las paredes de los vasos portales, compresión del seno renal con mala diferenciación seno parénquima, bazo que no se visualiza y páncreas de características normales. Así, la correlación de hallazgos clínicos y ecográficos confirma hepatopatía e insuficiencia renal bilateral y la necesidad de corroborar el posible padecimiento de Sicklemia (figura 3).
Figura 3.Ecografía de abdomen

Fuente: historia clínica del paciente
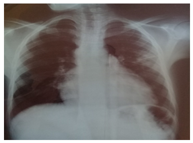
El paciente recibió antibioticoterapia mediante ceftriaxona 1 gramo y claritromicina 500 mg por vía intravenosa cada 12 horas por 10 días; además, se le administró hierro parenteral 100 mg tres veces por semana, evolucionando de forma satisfactoria desde el punto de vista clínico, humoral e imagenológico (figura 4).
Figura 4.Radiografía de tórax vista postero anterior de evolución del paciente

Fuente: historia clínica del paciente.
Una vez mejorado el cuadro neumónico y la alta sospecha de que este paciente podría ser portador de una anemia hemolítica del tipo de la drepanocitemia, se le realizó el estudio de la electroforesis de hemoglobina el cual resultó ser positivo para hemoglobina S (figura 5).
Figura 5.Electroforesis de hemoglobina

Fuente: historia clínica del paciente.
La afectación de la capacidad total de fijación del hierro y la saturación de transferrina se trató con la administración de hierro parenteral, mejorando las cifras de hemoglobina hasta 11,9 g/dl al final de su estadía hospitalaria.
Al décimo quinto día después del ingreso, el paciente fue dado de alta hospitalaria por la mejoría clínica notable, instruyéndosele acerca de la enfermedad hematológica y los cuidados paliativos que debería seguir.
DISCUSIÓN
La drepanocitemia es la forma de anemia hemolítica más extendida en el mundo, la que tiene repercusiones importantes en el estado de salud de las personas que la padecen. La calidad de los servicios de atención de salud incide en la detección temprana; preferiblemente, desde la etapa preconcepcional con los oportunos consejos genéticos y la disposición de cuidados necesarios para esta enfermedad.(13)
Esta patología produce dos formas de afectación en el aparato respiratorio: infarto pulmonar y neumonías bacterianas, debido al comprometimiento del flujo sanguíneo hacia las estructuras del pulmón. En este caso, se presentó en forma de neumonía, descartando la presencia de infarto pulmonar según las manifestaciones clínicas y la negatividad de presencia de Dímero D.(14,15)
La correlación entre los reportes imagenológicos sobre hígado y riñones con los resultados humorales, además de la presencia de concomitancia con otros tipos de anemias en un mismo paciente resulta un elemento que coincide con lo descrito diferentes fuentes.(16) Tal y como se recomienda en la literatura, la valoración de los hallazgos clínicos e imagenológicos durante el diagnóstico y el manejo de la entidad se realizó de forma multidisciplinaria, permitiendo una mayor efectividad en la recuperación y mejor orientación al paciente y su familia acerca de las características de esta enfermedad y su capacidad de transmisión genética a los descendientes.(17)
En este caso, la falta de atención de la patología generó complicaciones de largo plazo: dolor crónico, problemas cardiacos y pulmonares, pudiendo haberse presentado otras mencionadas por algunos autores: alteraciones neurológicas, hipertensión arterial e insuficiencia renal, úlceras crónicas y problemas visuales.(18)
Así como lo observado en este paciente, resulta frecuente que la enfermedad en cuestión se manifieste de forma asintomática durante un tiempo prolongado, pero al presentarse crisis dolorosas y complicaciones asociadas se requerirá de ingreso hospitalario urgente.(19)
CONCLUSIONES
En el caso que se presenta, el paciente se mantuvo asintomático por mucho tiempo sin recibir la atención médica adecuada para su padecimiento de anemia drepanocítica. Al presentarse la complicación pulmonar se realizó el hallazgo de la enfermedad de base. El tratamiento de la neumonía detectada posibilitó su mejoría y que fuera dado de alta, pero las afectaciones halladas en diferentes órganos blanco generaron un deterioro del estado de salud en general.
Conflictos de intereses: no se presentan.
Declaración de contribución: el autor desarrolló todo el proceso investigativo.
REFERENCIAS BIBLIOGRÁFICAS
1. Colombo B, Svarch EG, Martínez G. Genética y clínica de las hemoglobinopatías humanas. Ciudad de La Habana: Pueblo y Educación; 2017. p. 146-95.
2. Bernal M, Collazos A, Bonilla RD, Tascón EP. Determination of the prevalence of hemoglobin S, C, D, and G in neonates from Buenaventura, Colombia. Colomb Med. [Internet]. 2018 [citado 30 Jul 2021]; 41. Disponible en: http://colombiamedica.univalle.edu.co/index.php/comedica/article/view/695/791.
3. Arigliani M, Kitenge R, Castriotta L, et al. Lung function in children with sickle cell disease from Central Africa. Thorax [Internet]. 2019 [citado 2022 Sep 12]; 74: 604-606. Disponible en: https://thorax.bmj.com/content/thoraxjnl/74/6/604.full.pdf. http://dx.doi.org/10.1136/thoraxjnl-2018-212720.
4. Sundd P, Gladwin MT, Novelli EM. Pathophysiology of Sickle Cell Disease. Annual review of pathology [Intenet]. 2019 [citado 2022 Ago 27]; 14: 263–292. Disponible en: https://www.ncbi.nlm.nih.gov/pmc/articles/PMC7053558/pdf/nihms-1562670.pdf. https://doi.org/10.1146/annurev-pathmechdis-012418-012838
5. Toala-Olivo YR, Manner-Marcillo JK. Riesgos y beneficios de la hidroxiurea en la prevención de crisis hemolítica en niños con drepanocitosis [tesis en Internet]. Guayaquil: Universidad de Guayaquil; 2018 [citado 2022 Sep 21]. Disponible en: http://repositorio.ug.edu.ec/bitstream/redug/38893/1/CD%20067-%20TOALA%20OLIVO%20YALITZA%20DEL%20ROCIO.pdf.
6. Arigliani M, Gupta A. Management of chronic respiratory complications in children and adolescents with sickle cell disease. European Respiratory Society [Internet]. 2020 [2022 Sep 9]; 157(29). Disponible en: https://err.ersjournals.com/content/29/157/200054. https://doi.org/10.1183/16000617.0054-2020.
7. Ruhl A, Parker S, Sadreameli S, et al. Identifying Clinical and Research Priorities in Sickle Cell Lung Disease. Annals of the American Thoracic Society [Internet]. 2019 [citado 2022 Jul 28]; 16(9): Blood 2018;11: e17-e32. Disponible en: https://www.atsjournals.org/doi/full/10.1513/AnnalsATS.201906-433ST. https://doi.org/10.1513/AnnalsATS.201906-433ST.
8. Strasser E, Adu P, Kubi GA, et al. Blood Donors’ Age, Haemoglobin Type, G6PD Status, and Blood Group Impact Storability of CPDA-1 Banked Whole Blood: A Repeated-Measure Cohort Study in Cape Coast, Ghana. Advances in Hematology [Internet]. 2020 [citado 2022 Sep 11]; 2020: 1687-9104. Disponible en: https://www.hindawi.com/journals/ah/2020/4959518/. https://doi.org/10.1155/2020/4959518.
9. Kato GJ, Gladwin MT, Steinberg MH. Deconstructing sickle cell disease: Reappraisal of the role of hemolysis in the development of clinical subphenotypes. Blood Rev [Internet]. 2007 [citado 2022 Ago 19]; 21: 37-47. Disponible en: https://pubmed.ncbi.nlm.nih.gov/17084951/. https://doi.org/10.1016/j.blre.2006.07.001.
10. Gladwin MT, Sachdev V, Jison ML, Shizukuda Y, Plehn JF, et al. Pulmonary hypertension as a risk factor for death in patients with sickle cell disease. N Engl J Med [Internet]. 2017 [citado 2022 Jul 17]; 350(9): 886-895. Disponible en: https://pubmed.ncbi.nlm.nih.gov/14985486/#:~:text=Conclusions%3A%20Pulmonary%20hypertension%2C%20diagnosed%20by,a%20high%20risk%20of%20death. https://doi.org/10.1056/NEJMoa035477.
11. Mussa A, Egesa WI, Nakalema G. Sickle Cell Disease in Children and Adolescents: A Review of the Historical, Clinical, and Public Health Perspective of Sub-Saharan Africa and Beyond. International Journal of Pediatrics [Internet]. 2022 [citado 2022 Sep 24]; 2022: 1687-9740. Disponible en: https://downloads.hindawi.com/journals/ijpedi/2022/3885979.pdf. https://doi.org/10.1155/2022/3885979.
12. Riehm-Meier E, Abraham A, Farsano RM. Sickle Cell Disease and Hematopoietic Stem Cell Transplantation. Gewerbestrasse: Springer; 2018.
13. Limerick E, Abraham A. Across the Myeloablative Spectrum: Hematopoietic Cell Transplant Conditioning Regimens for Pediatric Patients with Sickle Cell Disease. J Clin Med [Internet]. 2022 [citado 2022 Oct 27]; 11(13). Disponible en: https://www.mdpi.com/2077-0383/11/13/3856/htm. https://doi.org/10.3390/jcm11133856.
14. Maldonado-Rojas MA, Toro-Opazo C. Anemias hemolíticas autoinmunes, diagnóstico y tratamiento. Rev Hemat [Internet]. 2020 [citado 2022 Oct 3]; 24(1): 70-78. Disponible en: https://revistahematologia.com.ar/index.php/Revista/article/view/217.
15. López-Vidal H, Peña C, Gajardo C, Valladares X, Cabrera ME. Anemia hemolítica autoinmune en Chile: un análisis retrospectivo de 43 pacientes. Rev Méd Chile [Internet]. 2019 [citado 2022 Nov 5]; 147(7): 836-841. Disponible en: http://www.scielo.cl/scielo.php?script=sci_arttext&pid=S0034-98872019000700836&lng=es. http://dx.doi.org/10.4067/S0034-98872019000700836.
16. Hernández-González JL, Fortún-Prieto A, Campo-Díaz MC. Fundamentos fisiopatológicos para el diagnóstico de la anemia hemolítica autoinmune Rev Ciencias Médicas Pinar del Río [Internet]. 2019 [citado 2022 Jul 18]; 23(5). Disponible en: http://scielo.sld.cu/scielo.php?script=sci_arttext&pid=S1561-31942019000500745.
17. Phillips J, Henderson AC. Hemolytic Anemia: Evaluation and Differential Diagnosis. Am Fam Physician [Internet]. 2018 [citado 2022 Sep 02]; 98(6): 354-361. Disponible en: https://www.proquest.com/docview/2454235031/fulltextPDF/E33C8B9B28034C06PQ/1?accountid=36757.
18. Abboud MR. Standard management of sickle cell disease complications. Hematology/Oncology and Stem Cell Therapy [Internet]. 2020 [citado 2022 Sep 27]; 13(2): 85-90. Disponible en: https://www.sciencedirect.com/science/article/pii/S1658387620300261. https://doi.org/10.1016/j.hemonc.2019.12.007.
19. Jacob SA, Mueller EL, Cochrane AR, Carroll AE, Bennett WE. Bennett. Variation in hospital admission of sickle cell patients from the emergency department using the Pediatric Health Information System. Pediatr Blood Cancer [Internet]. 2020 [citado 2022 Ago 15]; 67(6). Disponible en: https://onlinelibrary.wiley.com/doi/epdf/10.1002/pbc.28067. https://doi.org/10.1002/pbc.28067.