Article / Clinical Case Report
Pediatric Granular Cell Tumor of the Breast: An uncommon neoplasm in an uncommon site and age group
Pediatric Granular Cell Tumor of the Breast: An uncommon neoplasm in an uncommon site and age group
Autopsy and Case Reports, vol. 9, no. 3, e2019099, 2019
São Paulo, SP: Universidade de São Paulo, Hospital Universitário
Received: 31 January 2019
Accepted: 03 April 2019
DOI: 10.4322/acr.2019.099
Abstract: Granular cell tumor (GCT) is a rare soft tissue neoplasm of Schwann cell origin. Most cases occur in adults; however, the precise incidence is unknown in children. GCT is usually a slow-growing, painless tumor involving the skin and soft tissues that is mostly located in the head and neck region, especially the tongue. The breast is one of the least common sites involved by GCT. This paper presents a 3-year-old girl who presented with a soft to firm, ill-defined swelling on the right breast with painful ulceration of the overlying skin. Fine needle aspiration rendered an initial diagnosis of fibrocystic change accompanied by apocrine metaplasia. Histologic evaluation of the excised breast mass revealed a benign granular cell tumor. Although rare, GCT of the breast should be included in the differential diagnosis for breast masses in pediatric patients. Proper diagnosis and timely management of this tumor are essential because of its malignant potential (<2% of cases) and high rate of local recurrence if not properly excised.
Keywords: Breast, Schwann Cells, S100 Proteins.
INTRODUCTION
Granular Cell Tumor (GCT) is a rare soft tissue neoplasm of probable Schwann cell origin. 1,2 In 1926 this tumor was first described by Abrikossof who named it as granular cell myoblastoma thinking the tumor originated from myofibroblasts. 1,2 In 1962, Fisher and Wechles confirmed the neural origin of the tumor. 2 GCT most commonly affects adults between 30 and 60 years of age, and it has an exceptional occurrence among children. 3 GCT occurs most commonly in the head and neck, and 40% of all cases arise in the tongue. 4,5 The breast is involved exceptionally with an overall occurrence of 5-6% of all cases. 5 Taking into account of all GCTs in all the sites, females are affected 2-3 times more commonly than men. 3 Most lesions are painless and solitary. Notwithstanding 5-25% of the cases may be multiple. 2 Malignant cases account for 1-2% of all cases and show a poor prognosis. 2 Incidence is common in people of African descent. 4
CASE REPORT
A 3-year-old girl presented with ulcerated painful swelling over the right breast for one and a half months ( Figure 1A). On examination, a soft to firm, ill-defined, ulcerated swelling measuring 3x2.2x1.5 cm at the upper outer quadrant of the right breast was noted. Doppler ultrasonography of the breast revealed a well circumscribed, hypoechoic mass with scant internal vascularity ( Figure 1B).

Fine needle aspiration cytology (FNAC) was performed, and the smears revealed cellular clusters and singly lying cells with round centrally placed nuclei, bland chromatin, and abundant granular cytoplasm with indistinct cytoplasmic borders. The background showed occasionally scattered macrophages ( Figure 2A and 2B).

The diagnosis of fibrocystic lesion of the breast with apocrine metaplasia was made. The skin nodule was excised. Grossly, the surgical specimen measured 4.5x2.5x1.4 cm. The overlying skin showed a central ulceration and measured 1x1 cm ( Figure 3), and the cut section showed a solid, light grey, well-circumscribed subcutaneous nodule involving the overlying skin measuring 3x2.2x1.5 cm.

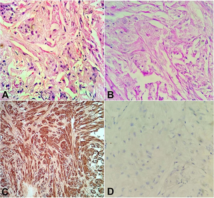
The histopathological examination showed sheets of polygonal cells exhibiting abundant eosinophilic and granular cytoplasm and vesicular nuclei ( Figure 4A). Mitoses were sparse with fewer than 1 per 10 high power field of 200x magnification. There was no necrosis. The tumor cells were Periodic Acid Schiff (PAS) positive and diastase resistant ( Figure 4B). Immunohistochemistry showed S100 and neuron-specific enolase (NSE) positivity in the tumor cells. S100 showed both nuclear and cytoplasmic positivity in the tumor cells ( Figure 4C). Ki67 index was less than 1% ( Figure 4D) and p53 expression was negative. Thus, a final diagnosis of benign GCT of the right breast was made. All the surgical margins were free of tumor. After six months of follow-up, the patient is doing well without evidence of tumor recurrence.

DISCUSSION
Granular cell tumor is a rare soft tissue neoplasm of probable Schwann cell origin. 1,2 Clinically, cutaneous GCT has a nonspecific appearance rendering it a challenging diagnosis to make. GCT presents as an asymptomatic, solitary, hard nodule, occasionally sensitive and itchy, with variable coloration including native skin to brown-red color. 2 Most cases of GCT are benign but about 1-3% are malignant. 2
Although GCT may occur anywhere in the body, the head and neck region is most frequently involved, accounting for 45-65% of all cases. 4 About 70% of the tumors in the head and neck occur in the oral cavity, most commonly involving the tongue. 4 Others sites include respiratory (10%) and gastrointestinal systems (4%-6%). 6 Breast is an uncommon location for GCT being involved in up to 6% of published cases. 4,5 GCT of the breast most commonly occurs in women in the fourth and fifth decades with a frequency approximately 1 in 1000 breast neoplasms. 5 It is extremely rare in children. 3
To the best of our knowledge, only 7 cases of breast GCT in children have been reported in the English literature ( Table1). 7-13 Our case is the youngest of the 7 reported cases. While most of the reported cases presented with a unilateral painless breast mass, our patient presented with a unilateral painful breast mass, with the pain likely attributed to ulceration of the skin, which is usually not seen in breast GCT ( Table 1). The present case is rare due to its uncommon site, age at occurrence, and clinical presentation.
| Authors | Age (Y) | Gender | Clinical presentation | Tumor size (cm) | Side and location | Cytological diagnosis | Histological diagnosis |
|---|---|---|---|---|---|---|---|
| Apisarnthanarax 7 | 15 | F | Painless mass; No skin changes | 1.5 | Left breast | Not known | GCT (Excision) |
| Aderiran 8 | 17 | F | Mass | 0.9 | Left breast | Not known | GCT (Excision) |
| Yang 9 | 17 | F | Palpable painless mass | 2.7 | Right sub-areolar | Not done | GCT (core and excision) |
| De Simone 10 | 14 | F | Palpable intermittently painful mass; No skin retraction | 2.6 | Left upper inner quadrant | Not done | GCT (core and excision) |
| Marshall 11 | 15 | F | Two palpable painful masses; No skin changes | 1.1 | Both masses in right breast | Not done | GCT and fibroadenoma (Excision) |
| Heinzerling 12 | 15 | F | Palpable painless mass; No skin changes | 3 | Right upper outer quadrant | Not done | GCT (Excision) |
| Omar 13 | 9.1 | F | Palpable painful mass; No skin changes | 1.1 | Right upper outer quadrant | Not done | GCT (Excision) |
| Present case | 3 | F | Palpable mass; Skin ulceration | 4.5 | Right upper outer quadrant | Done | GCT (Excision) |
Cytologically, breast GCT has a varied differential diagnosis including benign lesions like fibrocystic lesion with apocrine metaplasia, fat necrosis, and malignant tumors like ductal carcinoma with apocrine metaplasia. 14 In the present case, the cytological diagnosis was a fibrocystic lesion of the breast with apocrine metaplasia as the cells showed abundant cytoplasm that was interpreted as apocrine metaplasia of the ductal epithelial cells. 14 Cytologically apocrine cells have a well-defined cytoplasmic border in contrast to the undefined cytoplasmic borders characteristic of GCT cells. 14 Moreover, the cytoplasmic granularity is more prominent in GCT. 14 Benign breast lesions have two-dimensional sheets comprised of ductal and myoepithelial cells, in contrast to syncytial or three-dimensional clusters of cells in GCT. 14
Ultrastructural analyses and immunohistochemical studies based on the S100 positivity demonstrate that GCT originates from the Schwann cells. 15 Histologically, the tumor consists of a well-demarcated dermal proliferation of round or polygonal cells with a centrally located nucleus and granular eosinophilic cytoplasm. 16 Ultrastructural studies elucidated that the granularity seen on light microscopy is due to the numerous lysosomes at the ultrastructural level. 17 Cytoplasm contains pustulo-ovoid bodies which are Periodic Acid Schiff (PAS) positive and diastase resistant. 14,16 Usually, epidermis overlying the tumor shows pseudoepitheliomatous hyperplasia which introduces squamous cell carcinoma into the potential histologic differential diagnosis of GCT in the skin. 16 Apart from S100 and NSE, GCT shows a varying degree of positivity for a wide panel of markers including Inhibin A, Calretinin, Vimentin, Protein gene product (PGP 9,5), Melanoma directed monoclonal antibody NKI/C3, and CD68. 16,17
Six diagnostic criteria were described for malignant GCT, 17 which include (i) Necrosis, (ii) Spindle formation in the cells, (iii) A vesicular nucleus with a large nucleoli, (iv) Increased mitotic activity (>2 mitosis/ 10 high-power fields at 200x magnification), (v) High nuclear to cytoplasmic ratio, (vi) Nuclear pleomorphism. 17 The presence of 3 or more of these criteria supports a diagnosis of malignant GCT. 17 Our patient’s GCT diagnosis was of benign nature as none of the above criteria were present.
The expression of p53 and a high Ki67 index are associated with an aggressive clinical course. 18 In benign tumors, the p53 is negative, and Ki67 is under 1%, while the malignant cases express p53 and Ki67 in 10% and 30% of cells, respectively. 18 According to the current literature, local recurrence is related to insufficient surgical excision. 19 The recurrence rate after wide local excision with negative and positive surgical margins is 2-8% and >20%, respectively. 20 Therefore, assessment and reporting of surgical margin is crucial to lessen recurrences. 20 In our case, the lack of expression of p53, the Ki67 index less than 1%, and the negative surgical margins contributed to the lack of tumor relapse to date.
CONCLUSION
Although rare, granular cell tumor of the breast should be included in the differential diagnosis in pediatric patients presenting with a breast mass. It should be remembered that the tumor may arise in different locations. Cytopathologists should be aware of the pitfalls in diagnosing GCT on FNAC. Proper diagnosis and timely management of this tumor are essential due to its malignant potential (<2% of cases) and its high local recurrence with suboptimal excision. Total excision with wide margins is vital for treatment success.
REFERENCE
Bean SM, Eloubeidi MA, Eltoum IA, Cerfolio RJ, Jhala DN, Preoperative diagnosis of a mediastinal granular cell tumour by EUS-FNA: a case report and review of the literature. Cytojournal. 2005;2(8):1-8.
Diniz G, Vuruskaner H, Celebiler H, Ortac R, Aktas S, Ozener V. On üç yaşında bir kız çocukta, uyluk yumuşak dokusunda lokalize granüler hücreli tümör olgusu. Türkiye Ekopatoloji Dergisi. 2005;11(1):33-6.
Nasier H, Danfort RD Jr, Sunbuli M, Dimitrijevic O. Malignant granular cell tumour: case report with a novel karyotype and review of the literature. Ann Diagn Pathol. 2010;14(4):273-8. http://dx.doi.org/10.1016/j.anndiagpath.2009.08.004. PMid:20637434.
Ravich A, Stout AP, Ravich RA. Malignant granular cell myoblastoma involving the urinary bladder. Ann Surg. 1945;121(3):361-72. http://dx.doi.org/10.1097/00000658-194503000-00010. PMid:17858577.
Rexeena B, Paul A, Nitish RA, Kurian C, Anila RK. Granular cell tumour of breast: a case report and review of literature. Indian J Surg Oncol. 2015;6(4):446-8.
Becelli R, Perugini M, Gasparini G, Cassoni A, Fabiani F. Abrikissoff’s tumour. J Craniofac Surg. 2001;12(1):78-81. http://dx.doi.org/10.1097/00001665-200101000-00013. PMid:11314193.
Apisarnthanarax P. Granular cell tumor. An analysis of 16 cases and review of the literature. J Am Acad Dermatol. 1981;5(2):171-82. http://dx.doi.org/10.1016/S0190-9622(81)70085-9. PMid:6267110.
Adeniran A, Al-Ahmadie H, Mahoney MC, Robinson-Smith TM. Granular cell tumor of the breast: a series of 17 cases and review of the literature. Breast J. 2004;10(6):528-31. http://dx.doi.org/10.1111/j.1075-122X.2004.21525.x. PMid:15569210.
Yang WT, Edeiken-Monroe B, Sneige N, Fornage BD. Sonographic and mammographic appearances of granular cell tumors of the breast with pathological correlation. J Clin Ultrasound. 2006;34(4):153-60. http://dx.doi.org/10.1002/jcu.20227. PMid:16615051.
De Simone N, Aggon A, Christy C. Granular cell tumor of the breast: clinical and pathologic characteristics of a rare case in a 14-year-old girl. J Clin Oncol. 2011;29(22):e656-7. http://dx.doi.org/10.1200/JCO.2011.35.9448. PMid:21646617.
Marshall AP, Spottswood SE, Grau AM, Jackson JP. Juvenile fibroadenoma and granular cell tumor of the breast in an adolescent. J Pediatr Surg. 2012;47(10):1930-3. http://dx.doi.org/10.1016/j.jpedsurg.2012.07.050. PMid:23084210.
Heinzerling NP, Koehler SM, Szabo S, Wagner AJ. Pediatric granular cell tumor of the breast: a case report and review of the literature. Case Rep Surg. 2015;2015:568940. http://dx.doi.org/10.1155/2015/568940. PMid:26491597.
Omar L, Pfeifer CM, Kulkarni S, Sharma P, Sengupta A, Kwon JK. Granular cell tumor in a premenstrual female breast. Clin Imaging. 2018;52:334-6. http://dx.doi.org/10.1016/j.clinimag.2018.09.003. PMid:30241035.
Chung S, Noh WC. Fine needle aspiration cytology of granular cell tumor in breast- a case report. Korean J Cytopathol. 2007;8(2):157-60.
Stefansson K, Wollmann RL. S-100 protein in granular cell tumours (granular cell myoblastomas). Cancer. 1982;49(9):1834-8. http://dx.doi.org/10.1002/1097-0142(19820501)49:9<1834::AID-CNCR2820490916>3.0.CO;2-G. PMid:6280846.
Bellezza G, Colella R, Sidoni A, et al. Immunohistochemical expression og Galectin-3 and HMBE-1 in granular cell tumours: a new finding. Histol Histopathol. 2008;23(9):1127-30. PMid:18581283.
Fanburg-Smith JC, Meis-Kindblom JM, Fante R, Kindblom LG. Malignant granular cell tumour of soft tissue; diagnostic criteria and clinicopathologic correlation. Am J Surg Pathol. 1998;22(7):779-94. http://dx.doi.org/10.1097/00000478-199807000-00001. PMid:9669341.
Le BH, Boyer PJ, Lewis JE, Kapadia SB. Granular cell tumour. Arch Pathol Lab Med. 2004;128(7):771-5. PMid:15214825.
Abraham T, Jackson B, Davis I, Yu J, Peterson C. Mohs surgical treatment of a granular cell tumour on the toe of a child. Pediatr Dermatol. 2007;24(3):235-7. http://dx.doi.org/10.1111/j.1525-1470.2007.00392.x. PMid:17542870.
Lack EE, Worsham GF, Callihan MD, et al. Granular cell tumour: a clinicopathologic study of 110 patients. J Surg Oncol. 1980;13(4):301-16. http://dx.doi.org/10.1002/jso.2930130405. PMid:6246310.
Notes
Author notes
Correspondence Evarisalin Marbaniang Department of Pathology - North Eastern Indira Gandhi Regional Institute of Health and Medical Sciences (NEIGRIHMS) Mawdiangdiang, Shillong, Meghalaya, India 793018 Phone: +91 883740-9267 evarisalinmarbaniang@yahoo.com
Conflict of interest declaration