Article / Clinical Case Report
Peripheral ameloblastoma of the gingiva
Peripheral ameloblastoma of the gingiva
Autopsy and Case Reports, vol. 10, no. 1, 2020
São Paulo, SP: Universidade de São Paulo, Hospital Universitário
Received: 02 April 2019
Accepted: 18 September 2019
DOI: 10.4322/acr.2019.127
ABSTRACT: Peripheral Ameloblastoma (PA) is a benign odontogenic tumor, arising from the cell rest of Serres, reduced enamel epithelium and basal cells of the surface epithelium. Peripheral ameloblastoma is a rare odontogenic neoplasm occurring commonly in the mandibular gingiva. PA clinically resembles other peripherally occurring lesions like pyogenic granuloma, peripheral ossifying fibroma, peripheral giant cell granuloma, and squamous papilloma. The recurrence rate of PA is 16-19% which demands a straight follow up. We report a case of recurrent peripheral ameloblastoma occurring in a 72-year old male located in the mandibular lingual gingiva in relation to the 44, 45 element’s regions. The patient had a primary lesion excised from the same site 6 years before which was diagnosed as ameloblastoma.
Keywords: Ameloblastoma, Jaw neoplasm, Neoplasm recurrence, local odontogenic tumors.
INTRODUCTION
Peripheral ameloblastoma (PA) is a benign odontogenic tumor arising from the odontogenic epithelium with no influence of the ectomesenchyme. The WHO histological classification of tumors of the oral cavity (2017) included the extraosseous/peripheral ameloblastoma as one of the variants of ameloblastoma; thus, the origin of PA is similar. The tumor cell arises from the cell rest of Serres, the remnants of reduced enamel epithelium and the basal cells of the surface epithelium.1 Clinically PA is less aggressive than the conventional ameloblastoma and is considered as a hamartomatous lesion.2 The term “peripheral ameloblastoma” was first coined by Kuru in 1911 and until 2014 less than 200 cases of PA have been reported.3 It is a rare and unusual variant of odontogenic tumors with the prevalence of 1-5%. PA is most commonly noticed in the 5th and 6th decade of life in contrast to intraosseous ameloblastoma, which presents in younger age.4 PA shows a slight male predilection. The lingual aspect of the mandibular premolar is the most involved site. Clinically it presents as an exophytic tumor arising from the soft tissue of the tooth-bearing and is usually misinterpreted as a fibrous epulis or a pyogenic granuloma. PA is an indolent tumor that doesn’t invade the underlying bone; however, occasionally, a mild erosion may invade the cortical bone without reaching the bone marrow. The recurrence rate is reportedly low and is not attributed to the disease behavior but the result of incomplete excision.5 Herein we report a case of recurrent peripheral ameloblastoma arising in the lingual aspect of mandibular premolar in a 72- years old male patient.
CASE REPORT
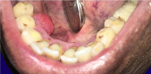
A 72- year old male patient attended the department of oral pathology for evaluation of a painless gingival growth in the premolar region of the right mandible. This lesion has been growing over the last year. The patient referred the excision of a similar lesion 6 years before which was diagnosed as ameloblastoma, but unfortunately, he did not have the previous documentation. His past medical history also included the diagnosis of diabetes mellitus that was on regular control. The examination revealed an oval-shaped exophytic mass of 1×1 cm in the lingual gingiva of the right mandible at the first and second premolar region. The surface was pebbly, with a sessile base and firm on palpation. No local enlarged lymph nodes were identified (Figure 1).

The Orthopantomography (OPG) showed no evidence of bone involvement. The initial working diagnosis was pyogenic granuloma though the suspicion of recurrence of ameloblastoma was not ruled out (Figure 2).

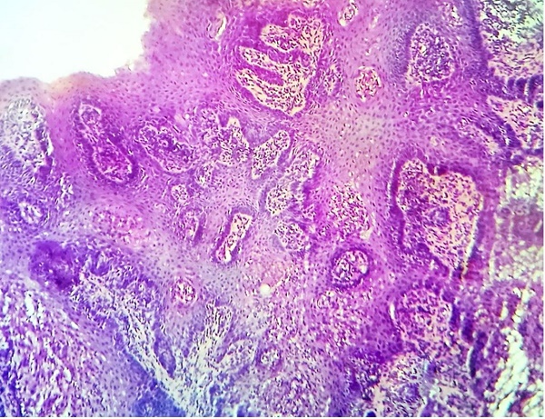
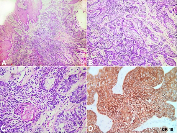
An incisional biopsy was done, considering the previous history of ameloblastoma and upon the microscopic examination, the diagnosis of pseudo epitheliomatous hyperplasia was made (Figure 3). However, complete excision was performed because the initial diagnosis was not convincing. The analysis of excisional biopsy showed numerous proliferating odontogenic epithelial islands spreading throughout the moderately dense connective tissue stroma. The odontogenic epithelial islands were mainly of follicular pattern with peripheral hyperchromatic palisaded columnar cells resembling ameloblasts. The center of the follicle disclosed stellate reticulum like cells. In some of the odontogenic epithelial islands, the central cells underwent squamous metaplasia with keratin formation.

The overlying stratified squamous epithelium was proliferative and was found to be in close association with the odontogenic epithelial islands in few areas. A moderate amount of chronic inflammation was depicted in the subepithelial zone. No inductive effect was noticed around the odontogenic epithelial islands. The histopathological diagnosis of the peripheral ameloblastoma-acanthomatous variant was made (Figures 444C). The immunohistochemical study was carried out with CK 19, and positive expression was found (Figure 4D). No recurrence was evidenced during the first two-month follow up. Considering the recurrent nature of the lesion, a regular follow up every six months was scheduled.

DISCUSSION
In 1959 Stanley and Krogh took the privilege of documenting the first case of peripheral ameloblastoma.6 PA predominantly occurs in the gingiva and also named as “Gingival ameloblastoma”.7 Though, PA is an indolent tumor with the recurrence rate 16-19%; their recurrence as ameloblastic carcinomas, makes the follow up mandatory.2 The size of the lesions barely crosses 4 cm resembling epulis and benign tumors like papilloma. PA often presents with papillary projections imposing quite often the differential diagnosis with pyogenic granulomas.8 PA is commonly found in the lingual mandibular gingiva of the premolar region. PA is defined as a “benign neoplasm or hamartomatous lesion confined to the soft tissues overlying the tooth-bearing areas of the jaws or alveolar mucosa in the edentulous area”. This definition has not included the extra gingival lesions that occur in the buccal mucosa, lips, palate, and floor of the mouth. It has been hypothesized that the buccal mucosal lesions have more chances of having its origin from the salivary excretory ducts. Odontogenic epithelial gingival hamartoma (OEGH) or odontogenic epithelial hamartoma (OEH) is another entity, which is similar to PA on clinical and histopathological grounds, though failed to substantiate since the reported cases were only six. Initially, few cases of PA were misdiagnosed as intraoral basal cell carcinomas (IOBCC) on the clinical and histopathological features, which were later overcome with the aid of Immunohistochemistry. PA shows strong positivity for calretinin, CK 5, 14, 19 and amelogenin, whereas most of the mesenchymal odontogenic tumors do not express these markers. Intraoral basal carcinoma is ruled out by evaluating their positivity for Bcr-Ep4.9,10
PA presents itself as a rare benign odontogenic neoplasm, that mostly occurs in the lingual gingiva of mandibular premolar region (as in the index case), followed by the anterior mandible and maxillary tuberosity region. The occurrence ratio between maxilla and mandible is 1:2.5.2 PA occurring in a remote area like pterygomandibular space is also documented in the literature.11 PA occurs in a wide range of age, between 16-92 years.12
Clinically, PA presents as a solid lesion with a surface ranging from smooth, granular and warty or papillary, similar to the normal mucosa coloration like in our case. However, the tumor may take a darker hue.2 Our case was a recurrence after 6 years from the first excision, in the lingual mandibular gingiva with a papillary surface. The recurrence rate of PA is 16 to 19%,2 therefore a long term follow-up is mandatory, since chances are there for benign-appearing peripheral ameloblastoma to reoccur as ameloblastic carcinoma.2
PA originates from (i) the remnants of dental lamina in the gingiva, (ii) the pluripotent cells of the basal layer of the surface epithelium, and (iii) the pluripotential cells of the minor salivary gland.13 Macroscopically the cut sections of the tumor exhibit very tiny fluid-filled cystic spaces that were the most similar feature of our case.2 Microscopically, PA exhibits proliferating odontogenic epithelium as separate islands and chords resembling the odontogenic islands of the central ameloblastoma. The islands are also found to be very closely related to the overlying surface epithelium and surrounded by mature fibrous connective tissue characteristically without any calcifications. The islands take a more follicular pattern with the acanthomatous change of the stellate reticulum like cells making the stellate reticulum component less conspicuous. Group of basaloid cells with acanthomatous areas resembles basal cell carcinoma making the diagnosis of PA difficult. The presence of clear cells and ghost cells in the acanthomatous area facilitates the inclusion of other benign and malignant odontogenic tumors in the differential diagnosis.
The histopathological presentation of our case follows the pattern of the traditional peripheral ameloblastomas, such as the predominance of acanthomatous differentiation of the follicles with keratin formation. The surrounding connective tissue is of mature fibrous type. The peripheral ameloblast - like cells exhibited a reversal of polarity in fewer follicles. Few islands are found close to the surface epithelium. The inductive effect was not noticed adjacent to the islands. The inflammatory component was also observed subjacent to the epithelium.
The immunohistochemical study ameloblastomas express cytokeratins 5/6, 13, 14, and 19. CK13 is preferentially expressed in the stellate reticulum like cells, CK14 in peripheral cells and CK19 in all cells.14
The lesion was excised entirely in a conservative approach. Our case completed two months of follow up with no signs of relapse.
The recent molecular pathogenesis elucidated for ameloblastomas includes recurrent activating mutations in FGFR2, BRAF, and RAS, leading to dysregulation of the MAPK pathway. Secondary mutations are assumed to disrupt the SMO and SHH pathways.
Mutation of BRAF V600E enhances cell proliferation, survival, and neoplastic transformation. Together FGFR2, RAS and BRAF mutations are found in around 78-88% of ameloblastomas. Also, there is accumulating evidence that there exists a potential role for inhibitors of BRAF, dabrafenib observed in therapeutic clinical trials.15
To conclude, peripheral ameloblastoma a benign tumor, duly differentiated histopathologically from other clinically similar lesions. Immunohistochemical analysis using a panel of markers may aid involving misinterpretations. Complete surgical excision is advised with thorough microscopic evaluation of the margins for any odontogenic islands, which may contribute to recurrences.
REFERENCES
LeCorn DW, Bhattacharyya I, Vertucci FJ. Peripheral ameloblastoma: a case report and review of the literature. J Endod. 2006;32(2):152-4. http://dx.doi.org/10.1016/j.joen.2005.10.028. PMid:16427467.
Reichart PA, Philipsen HP. Odontogenic tumors and allied lesions. Batavia: Quintessence Publishing Co Inc; 2004. Chapter 6; p. 59-67: Peripheral Ameloblastoma.
Bertossi D, Favero V, Albanese M, et al. Peripheral ameloblastoma of the upper gingiva: report of a case and literature review. J Clin Exp Dent. 2014;6(2):e180. http://dx.doi.org/10.4317/jced.51124. PMid:24790720.
Martelli-Júnior H, Souza LN, Santos LA, Melo-Filho MR, De Paula AM. Peripheral ameloblastoma: a case report. Oral Surgery, Oral Medicine, Oral Pathology, Oral Radiology, and Endodontology. 2005;99(5):E31-3. http://dx.doi.org/10.1016/j.tripleo.2004.11.016. PMid:15829867.
Beena VT, Choudhary K, Heera R, Rajeev R, Sivakumar R, Vidhyadharan K. Peripheral ameloblastoma: a case report and review of literature. Case Rep Dent. 2012;2012:571509. http://dx.doi.org/10.1155/2012/571509. PMid:22570798.
Zhang X, Tian X, Hu Y, Zhang C, Wei C, Yang X. Oral peripheral ameloblastoma: a retrospective series study of 25 cases. Med Oral Patol Oral Cir Bucal. 2018;23(3):e277-81. http://dx.doi.org/10.4317/medoral.22225. PMid:29680843.
Philipsen HP, Reichart PA, Nikai H, Takata T, Kudo Y. Peripheral ameloblastoma: biological profile based on 160 cases from the literature. Oral Oncol. 2001;37(1):17-27. http://dx.doi.org/10.1016/S1368-8375(00)00064-6. PMid:11120479.
Upadhyaya JD, Bhattacharyya I, Fitzpatrick SG, Cohen DM, Islam MN. Peripheral ameloblastoma: a study of 18 cases and usage of Ber-EP4 immunohistochemistry to rule out a diagnosis of intraoral basal cell carcinoma. J Oral Maxillofac Surg. 2018;76(5):996-1004. http://dx.doi.org/10.1016/j.joms.2017.11.020. PMid:29247621.
Premalatha BR, Patil S, Rao RS, Reddy NP, Indu M. Odontogenic tumor markers - an overview. J Int Oral Health. 2013;5(2):59-69. PMid:24155593.
Kaneko T, Nakamura S, Kawano R, Horie N, Shimoyama T. Peripheral ameloblastoma of the mandible: a case report. J Oral Maxillofac Surg Med Pathol. 2016;28(6):565-8. http://dx.doi.org/10.1016/j.ajoms.2016.01.008. [Internet]
Isomura ET, Okura M, Ishimoto S, Yamada T, Ono Y, Kishino M, Kogo M. Case report of extragingival peripheral ameloblastoma in buccal mucosa. Oral Surgery, Oral Medicine, Oral Pathology, Oral Radiology, and Endodontology. 2009;108(4):577-9. http://dx.doi.org/10.1016/j.tripleo.2009.06.023. PMid:19778743.
On DH, Kang MH, Ryu J, Kang M. Peripheral ameloblastoma of the pterygomandibular space: a case report. J Oral Maxillofac Surg Med Pathol. 2019;31(3):192-5. http://dx.doi.org/10.1016/j.ajoms.2019.01.003.
Baden E, Doyle JL, Petriella V. Malignant transformation of peripheral ameloblastoma. Oral Surg Oral Med Oral Pathol. 1993;75(2):214-9. http://dx.doi.org/10.1016/0030-4220(93)90096-M. PMid:8426721.
Hunter KD, Speight PM. The diagnostic usefulness of immunohistochemistry for odontogenic lesions. Head Neck Pathol. 2014;8(4):392-9. http://dx.doi.org/10.1007/s12105-014-0582-0. PMid:25409846.
Brown NA, Betz BL. Ameloblastoma: a Review of Recent Molecular Pathogenetic Discoveries. Biomark Cancer. 2015;7(Suppl 2):19-24. http://dx.doi.org/10.4137/BIC.S29329. PMid:26483612.
Notes
Author notes
Correspondence Nagaraja Vezhavendhan Indira Gandhi Institute of Dental Sciences - Sri Balaji Vidyapeeth campus - Department of Oral Pathology and Oral Microbiology Pillayakuppam – Puducherry/Puducherry – India Zip Code 607402 Phone: +91-9944736536vendhandent@gmail.com
Conflict of interest declaration