Article / Clinical Case Report
Received: 01 November 2018
Accepted: 16 September 2019
DOI: 10.4322/acr.2019.130
ABSTRACT: Mucosa-associated lymphoid tissue (MALT) lymphoma is the most common type of extra-nodal non-Hodgkin lymphoma, which mostly involves the stomach. The clinical suspicion and diagnosis are often challenging because of the lack of specific symptoms and conventional endoscopic findings. Three magnifying endoscopic signs of the gastric mucosa have been described as highly specific to the diagnosis of MALT lymphoma, such as (i) tree-like appearance of the microvessels; (ii) non-structural area; and (iii) ballooning crypt pattern. We report the case of a middle-aged woman in which these signs appeared chronologically over a period of 2 years, showing the association of the sequence of the endoscopic findings and the final histological diagnosis of gastric MALT lymphoma.
Keywords: Lymphoma, B-Cell, Marginal Zone, Endoscopy.
INTRODUCTION
MALT lymphoma is the most common type of extra-nodal non-Hodgkin lymphoma that mostly involves the stomach.1,2 The clinical suspicion is virtually absent, based on the symptoms, and the diagnosis is often challenging because of the non-specificity of the conventional endoscopic findings.
Patients with gastric MALT lymphoma can be asymptomatic or can present vague dyspeptic complaints. With conventional white light endoscopy, the mucosal alterations can mimic gastric lesions of different entities, such as gastritis, peptic ulcer, polyps, early or advanced gastric cancer, and subepithelial lesions.3-5
The growing use of high-magnification endoscopes and the enhancement of computed virtual chromoendoscopy are improving the early endoscopic diagnosis of many gastrointestinal diseases. These new techniques have increased the effectiveness of the diagnosis and have been changing the course and management of many entities.6-11
Ono et al.12,13 and Nonaka et al.14 described new signs of gastric MALT lymphoma; namely (i) the complete disappearance of the gastric mucosa’s microstructure; and (ii) the tree-like appearance of dilated vessels, both identified on magnified virtual chromoendoscopy. Recent studies4,13,14 endorsed the high sensitivity and specificity of these alterations and showed the usefulness of post-treatment endoscopic follow-up. Another sign of gastric MALT lymphoma is crypt swelling, which is also called “ballooning” (Figures 11B).13

We present a case in which the ballooning crypt pattern (BCP) and an area with microstructure loss and tortuous vessels were observed on the initial endoscopic assessment of a middle-aged woman. Although no malignancy was detected on the first target biopsy specimens, the development of tree-like dilated vessels and an increase in the size of the area with a loss of microstructure was observed over a period of 2 years. With these new findings MALT lymphoma was confirmed by the histopathologic examination.
CASE REPORT
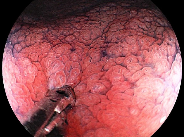
A 41-year-old female patient, previously diagnosed with Sjögren syndrome, and with a family history of gastric adenocarcinoma (her mother was diagnosed at the age of 65 years), was submitted to an upper gastrointestinal (UGI) endoscopy for gastric cancer screening. The gastric mucosa presented signs of chronic gastritis without atrophy, and a flat red area at the great curvature of the proximal antrum was depicted (Figure 1C). The indigo carmine staining was performed, and showed a discrete granulation of the mucosa (Figure 1D).
In a close-up view, a marked swelling of the crypts (ballooning) was detected within the lesion (Figures 2A). A thorough examination of this area detected a 2 mm depression, which presented a complete loss of the microstructure and was accompanied by tortuous vessels; however, there was no dilation or tree-like arrangement (Figure 2B).

These findings raised the suspicion of an early adenocarcinoma (0-IIb presentation), and target biopsies were sampled (Figure 3).

The histopathologic analyses showed plasmacytic proliferation at the lamina propria and rare lymphoepithelial cluster lesions. However, the immunohistochemistry (IHC) was not consistent with the diagnosis of MALT lymphoma.
An endoscopy with biopsies was repeated 3 months later with the same results, and was scheduled annually thereafter.
One year after the first examination, the patient's antral gastric mucosa presented signs of atrophy, and the size of the flattened red area remained steady; however, the diameter of the non-structural area was slightly enlarged. The vessels’ gauge and the tortuous shape were kept unchanged, as was the BCP and the histologic examination.
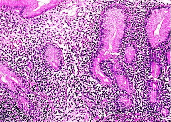
After 2 years of follow-up, and with four UGI endoscopies performed, we identified tree-like dilated vessels, an enlargement of the non-structural area size, and the maintenance of the BCP (Figures 11B). At this time, the biopsy revealed dense lymphoid infiltrate with plasmacytic features in the lamina propria mucosa, with occasional lymphoepithelial lesions, and displaced gastric glands (Figure 4), raising the hypothesis of MALT lymphoma of a plasmacytic type.

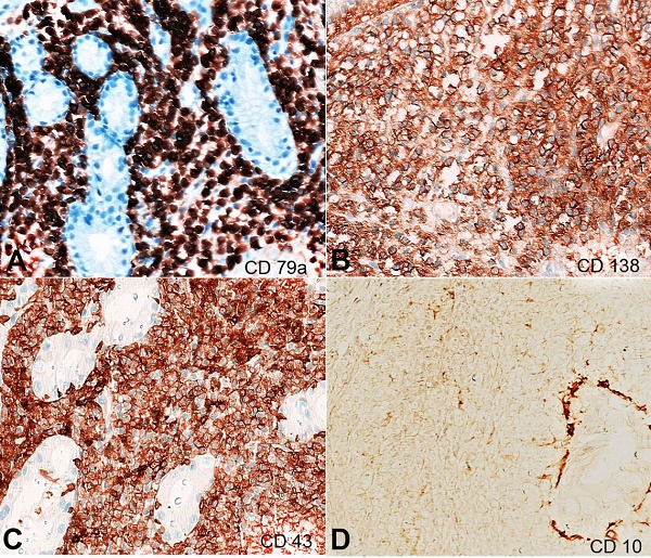
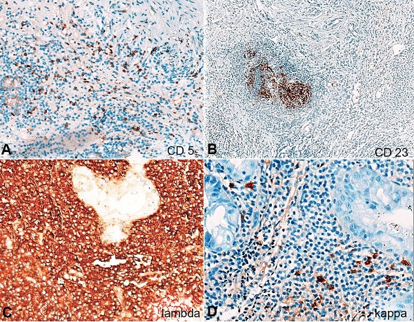
The IHC study demonstrated positivity for CD79a, CD43, and CD138, and negativity for CD20, CD5, CD23, and CD10 (Figures 5A-D and 66B). Additionally, there was a clear restriction for immunoglobulin light chain lambda, which was strong and diffusely positive in neoplastic cells. Kappa light chains were positive in rare reactive plasma cells (Figures 66D).


The histological and IHC analysis rendered the diagnosis of an extranodal marginal zone lymphoma with marked plasmacytic differentiation.
According to the European Society of Medical Oncology guidelines for gastric MALT lymphoma,15 the patient was diagnosed as stage I using the Lugano staging system, which means she had a superficial lesion restricted to the gastrointestinal tract.
Helicobacter pylori infection was present in the first gastric biopsy, and eradication was confirmed 3 months later by histology. However, H. pylori infection was detected once again in histological analysis after 2 years. New eradication therapy was conducted and confirmed by urea breath test.
The patient was followed-up every 3-months with UGI endoscopy with biopsies; to date there has not been a complete remission of the lymphoma. During this period, fluorescence in situ hybridization (FISH) was performed, with a negative result for t(11;18) chromosomal translocation. If complete remission is not achieved within 1 year from the negative urea breath test, combined radiotherapy and chemotherapy is scheduled.
DISCUSSION
We present a case of gastric MALT lymphoma in its earliest original lesion observing the relationship between the magnifying endoscopic findings with the histology in a chronological assessment.
Wotherspoon’s grading system score for MALT lymphoma considers the presence of marginal zone cells and prominent lymphoepithelial lesions infiltrating the lamina propria as the key findings for the diagnosis.16 In the presented case, these alterations were only found after 2 years of follow-up, when the enlargement of the non-structural area and the emergence of dilated tree-like vessels were depicted. Even the IHC could not confirm the MALT lymphoma diagnosis before the microvascular and microstructural changes.
The study by Ono et al.13 shows 100% specificity for BCP in confirmed cases of gastric MALT lymphoma. Indeed, in our case, the BCP was present from the very first exam; however, it was not associated with the histological and IHC diagnosis of MALT lymphoma. This mucosal structural change-as an isolated finding-did not correlate with the lymphoepithelial infiltration of the gastric mucosa nor with the typical IHC panel. We observed the appearance of the magnifying endoscopic signs chronologically in this case. BCP seemed to precede the malignancy, as did small foci of non-structural areas (< 5 mm). Dense infiltration of the lymphoepithelial lesions was only observed after the expansion of the non-structural areas and the appearance of the tree-like dilated vessels.
Therefore, the histopathologic examination may not identify signs of malignancy on target biopsies of BCP and of non-structural areas smaller than 5 mm. Thus, we propose that these might be considered pre-malignant signs of gastric MALT lymphoma.
REFERENCES
Zucca E, Roggero E, Bertoni F, Cavalli F. Primary extranodal non-Hodgkin’s lymphomas. Part 1: Gastrointestinal, cutaneous and genitourinary lymphomas. Ann Oncol. 1997;19(8):727-37. http://dx.doi.org/10.1023/A:1008282818705. PMid:9332679.
Nakamura S, Matsumoto T, Iida M, Yao T, Tsuneyoshi M. Primary gastrointestinal lymphoma in Japan: a clinicopathologic analysis of 455 patients with special reference to its time trends. Cancer. 2003;97(10):2462-73. http://dx.doi.org/10.1002/cncr.11415. PMid:12733145.
Zullo A, Hassan C, Ridola L, Repici A, Manta R, Andriani A. Gastric MALT lymphoma: old and new insights. Ann Gastroenterol. 2014;27(1):27-33. PMid:24714739.
Nonaka K, Ohata K, Matsuhashi N, et al. Is narrow‐band imaging useful for histological evaluation of gastric mucosa‐associated lymphoid tissue lymphoma after treatment? Dig Endosc. 2014;26(3):358-64. http://dx.doi.org/10.1111/den.12169. PMid:24118642.
Iwamuro M, Takata K, Kawano S, et al. Magnifying endoscopic features of follicular lymphoma involving the stomach: a report of two cases. Case Rep Gastrointest Med. 2016;2016:1-6. http://dx.doi.org/10.1155/2016/2082698. PMid:27747111.
Anagnostopoulos GK, Yao K, Kaye P, et al. High-resolution magnification endoscopy can reliably identify normal gastric mucosa, Helicobacter pylori-associated gastritis, and gastric atrophy. Endoscopy. 2007;39(3):202-7. http://dx.doi.org/10.1055/s-2006-945056. PMid:17273960.
Yao K, Oishi T, Matsui T, Yao T, Iwashita A. Novel magnified endoscopic findings of microvascular architecture in intramucosal gastric cancer. Gastrointest Endosc. 2002;56(2):279-84. http://dx.doi.org/10.1016/S0016-5107(02)70194-6. PMid:12145613.
Yao K, Anagnostopoulos G, Ragunath K. Magnifying endoscopy for diagnosing and delineating early gastric cancer. Endoscopy. 2009;41(5):462-7. http://dx.doi.org/10.1055/s-0029-1214594. PMid:19418401.
Kawamura M, Abe S, Oikawa K, et al. Topographic differences in gastric micromucosal patterns observed by magnifying endoscopy with narrow band imaging. J Gastroenterol Hepatol. 2011;26(3):477-83. http://dx.doi.org/10.1111/j.1440-1746.2010.06527.x. PMid:21155881.
Yamasaki Y, Uedo N, Kanzaki H, et al. Investigation of mucosal pattern of gastric antrum using magnifying narrow-band imaging in patients with chronic atrophic fundic gastritis. Ann Gastroenterol. 2017;30(3):302-8. http://dx.doi.org/10.20524/aog.2017.0134. PMid:28469360.
Dohi O, Yagi N, Majima A, et al. Diagnostic ability of magnifying endoscopy with blue laser imaging for early gastric cancer: a prospective study. Gastric Cancer. 2017;20(2):297-303. http://dx.doi.org/10.1007/s10120-016-0620-6. PMid:27294430.
Ono S, Kato M, Ono Y, et al. Characteristics of magnified endoscopic images of gastric extranodal marginal zone B-cell lymphoma of the mucosa-associated lymphoid tissue, including changes after treatment. Gastrointest Endosc. 2008;68(4):624-31. http://dx.doi.org/10.1016/j.gie.2008.02.066. PMid:18534580.
Ono S, Kato M, Ono Y, et al. Target biopsy using magnifying endoscopy in clinical management of gastric mucosa‐associated lymphoid tissue lymphoma. J Gastroenterol Hepatol. 2011;26(7):1133-8. http://dx.doi.org/10.1111/j.1440-1746.2011.06729.x. PMid:21443666.
Nonaka K, Ishikawa K, Arai S, et al. A case of gastric mucosa-associated lymphoid tissue lymphoma in which magnified endoscopy with narrow band imaging was useful in the diagnosis. World J Gastrointest Endosc. 2012;4(4):151-6. http://dx.doi.org/10.4253/wjge.v4.i4.151. PMid:22523617.
Zucca E, Copie-Bergman C, Ricardi U, Thieblemont C, Raderer M, Ladetto M. Gastric marginal zone lymphoma of MALT type: ESMO Clinical Practice Guidelines for diagnosis, treatment and follow-up. Ann Oncol. 2013;24(Suppl. 6):vi144-48. http://dx.doi.org/10.1093/annonc/mdt343. PMid:24078657.
Zullo A, Hassan C, Cristofari F, Perri F, Morini S. Gastric low-grade mucosal-associated lymphoid tissue-lymphoma: helicobacter pylori and beyond. World J Gastrointest Oncol. 2010;2(4):181-6. http://dx.doi.org/10.4251/wjgo.v2.i4.181. PMid:21160595.
Notes
Author notes
Correspondence Eduardo Koji Marchi Ogawa Hospital Universitário - Endoscopy Service - Universidade de São Paulo (USP) Avenida Miguel Stefano, 632, Ap. 42 – São Paulo/SP – Brazil CEP: 04301-000 Phone: +55 (11) 97632-1588ekmogawa@gmail.com
Conflict of interest declaration