Article / Autopsy Case Report
Pulmonary artery aneurysm rupture
Pulmonary artery aneurysm rupture
Autopsy and Case Reports, vol. 10, no. 1, 2020
São Paulo, SP: Universidade de São Paulo, Hospital Universitário
Received: 17 June 2019
Accepted: 07 October 2019
DOI: 10.4322/acr.2019.131
ABSTRACT: Pulmonary artery aneurysm is a disorder of varying etiology and should be diagnosed early for appropriate interventions. A 45-year-old man was hospitalized for chest pain, dyspnea, cough, chills, diarrhea, and vomiting, which had started 3 weeks before admission. Physical examination indicated a reduced vesicular murmur in the right hemithorax. A chest x-ray performed indicated a pneumothorax and pulmonary abscess in the right hemithorax. Thoracostomy released abundant purulent and fetid fluid. Direct examination of the pleural fluid using saline revealed structures similar to Trichomonas. Non-contrast chest computed tomography revealed right pneumothorax along with an irregular cavitation located at the pleuropulmonary interface of the posterior margin of the right lower lobe. A pleurostomy was performed. On the second postoperative day, the patient suffered a sudden major hemorrhage through the surgical wound and died on the way to the operating room. The autopsy revealed an abscess and ruptured aneurysm of the lower lobar artery in the lower right lung. Microscopic examination revealed extensive liquefactive necrosis associated with purulent inflammation and the presence of filamentous fungi and spores. This case can be characterized as a severe disorder that requires early diagnosis to achieve a good therapeutic response and to avoid fatal outcomes.
Keywords: Aneurysm, Rupture, Lung abscess, Trichomonas Infections, Thoracotomy, Hemoptysis.
CASE REPORT
A 45-year-old mixed-race man was referred to the Infectious Diseases Department of our hospital to be investigated for chest pain, dyspnea, cough, chills, diarrhea, and vomiting, which was associated with anorexia and a weight loss of 10 kg. He smoked tobacco and crack and was an alcoholic.
On admission to the previous hospital, the man was pale and malnourished, with poor oral hygiene. Pulmonary auscultation revealed decreased breaths sounds in the right hemithorax and diffused rhonchi. Hepatomegaly and tenderness elicited by palpation were also present. Chest x-ray revealed pneumothorax and findings consistent with empyema in the right hemithorax. Thoracostomy released abundant purulent and fetid fluid from the right hemithorax. Direct examination of the pleural fluid with saline, in light microscopy, revealed numerous active trophozoites similar to Trichomonas (Figure 1); Gram staining was not performed. The fluid culture was negative (probably due to improper sample handling). Antibiotic therapy with cefepime and metronidazole was initiated, and the patient was transferred to the Infectious Diseases Department of our hospital on day 10 for further management.

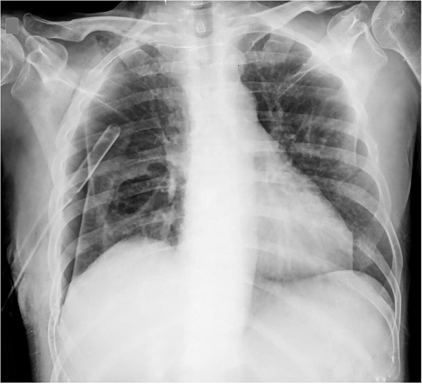
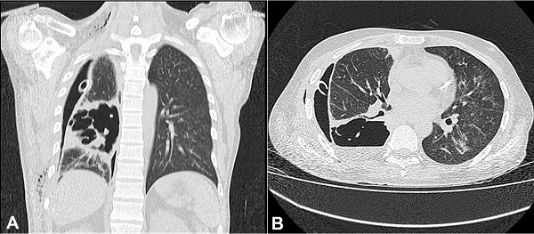
On admission to the Infectious Diseases Department, the patient was pale, disoriented, had tachycardia, decreased breath sounds at the base of the right hemithorax, which had a thoracic drainage tube. A new chest x-ray revealed right pneumothorax and an ovoid, homogeneous opacity without any air-fluid level in the right lower lung lobe, and the presence of thoracic drainage (Figure 2). A non-contrast chest computed tomography was performed, revealing the pneumothorax with irregular cavitation in the right hemithorax.

The cavitation measured 10.0 × 7.5 × 5.0 cm, had thickened walls, and was located in the pleuropulmonary interface of the posterior margin of the right lower lobe. Its interior showed tissue bands indicating permeation and fluid collection consistent with an abscessed/necrotizing lung lesion in contact with the pleural space. Centrilobular ground-glass opacities, predominantly in the central regions of the left lung, were also visualized, probably representing a non-specific, inflammatory/infectious process (Figures 33B).

A pleurostomy was performed. Post-operatively, the man remained clinically and hemodynamically stable in the intensive care unit; however, on the second postoperative day, he suffered sudden major hemorrhage emanating from the surgical wound. Vasoactive drugs were administered, and he was immediately transferred for emergency thoracotomy, but died on the way to the operating room.
AUTOPSY FINDINGS
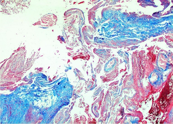
External examination revealed a cachectic corpse with cutaneous and mucosal pallor and thoracotomy in the posterolateral region of the right thorax. Internal examination revealed mucosanguinolent fluid in the trachea and bronchi. The right lung weighed 355 g (reference range = 360-570g1) and contained an abscess in the lower lobe, measuring 12.5 × 8.5 cm. The right lower lobar pulmonary artery also harbored a ruptured aneurysm (Figure 4), which was later confirmed by microscopy with the aid of histochemical staining (Figure 5).


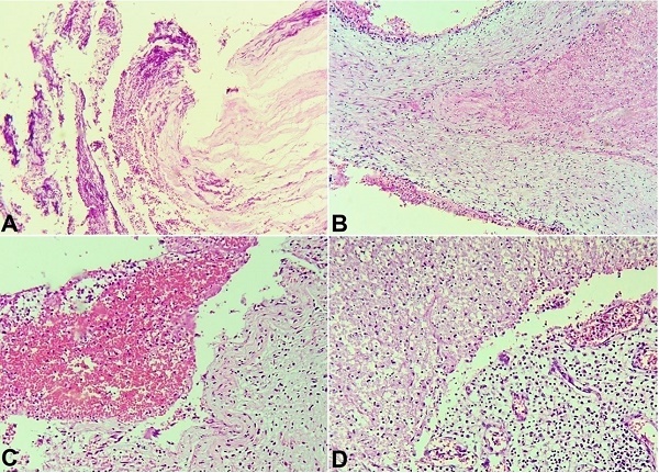
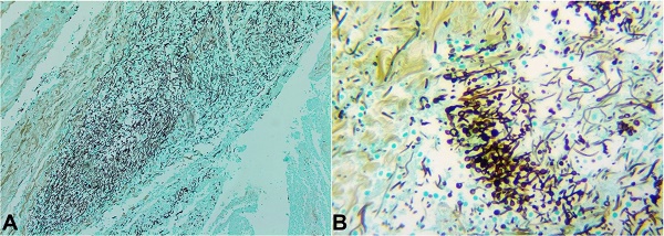
Microscopic examination of the lung revealed extensive liquefactive necrosis, associated with dense purulent inflammation (Figures 66D) and infiltration of filamentous fungi and spores (Figures 77B). Sparse foci of bronchopneumonia were detected on the remaining lung parenchyma. Other organs showed generalized visceral pallor, mild hydrocephalus ex-vacuo, and mild cerebral atrophy, with no additional pathology in the remaining organs. Death was attributed to massive pulmonary hemorrhage due to the rupture of the right lower lobar artery aneurysm, resulting from a chronic lung abscess formed in the right lower lobe.


DISCUSSION
Aneurysm is defined as the focal dilation of a blood vessel involving all layers of the vascular wall (intima, media, and adventitia) and should be distinguished from vascular ectasia, which refers to the dilatation of an entire vascular segment.2,3 Pulmonary artery aneurysm (PAA) can be divided into two types based on its location. The proximal (or central) type occurs in the right and left pulmonary artery and pulmonary trunk, and the peripheral type involves the intrapulmonary (lobar) arteries.4
PAA has diverse etiologies, such as trauma, pulmonary hypertension, infection, congenital and acquired vascular abnormality, neoplasia, iatrogenic complications, and idiopathic causes.5-7
The formation of a pulmonary aneurysm of an infectious etiology is associated with the direct involvement of an adjacent pulmonary artery from a source of infection, ischemic lesions on the pulmonary artery wall, or the direct extension on the vessel wall of an intraluminal septic thromboembolism. Microorganisms and inflammation markedly destroy the arterial wall, resulting in the development of an aneurysmal sack.7,8
Untreated tuberculosis and syphilis have been associated with the formation of PAA,3 and an aneurysm associated with tuberculosis—Rasmussen aneurysm—is found in approximately 5% of patients with cavitary tuberculosis, although its exact incidence has not been determined.9 Aneurysms have been reported also in association with bacterial and viral pneumonia. The most common causative organisms of infectious pulmonary aneurysms are Staphylococcus aureus (22%), Salmonella (17%), Streptococcus (11%), and Enterococcus (11%) species.5
Trichomonas tenax is a pear-shaped flagellate parasite, found as an anaerobic commensal organism in the human oral cavity, usually in individuals with poor oral hygiene. Pulmonary trichomoniasis occurs in cases of chronic pulmonary diseases, such as pulmonary abscesses, lung cancer, and bronchiectasis, or aspiration of oropharyngeal secretions.10 As in this case, the diagnosis can be made by direct examination of fresh pleural fluid, with saline solution (saline solution—0.85% sodium chloride) of the pleural fluid, bronchoalveolar lavage, and sputum under an optical microscope, identifying mobile flagellate parasites showing morphology and size compatible with Trichomonas tenax.9-11
Abscesses are localized collections of purulent inflammatory tissue causing sustained suppuration in a confined tissue, organ, or space.12-14 Pulmonary abscess formation depends on factors associated with the etiological agent, host resistance, and conditions at the site of infection.13 Bronchoaspiration, coma, anesthesia, sinusitis, sepsis, gingivitis, malnutrition, and physical impairment when cough reflexes are suppressed are mechanisms that primarily cause pneumonia that progresses to tissue necrosis and the later formation of a lung abscess.12,13
In about 90% of the cases, the etiology of lung abscess is polymicrobial, with infection by aerobic bacteria being the main cause, followed by anaerobic bacteria and, more rarely, fungal infection.13 In the case reported here, spore-shaped fungi and unpigmented septate hyphae were identified. Aspergillus sp, Fusarium sp, Scedosporium sp and Candida sp. are some examples presented with this morphology.15 However, no evidence of fungal infection in other organs was identified nor any other pulmonary focus, and no positive blood culture for fungi has been reported. Thus, there was no evidence to determine that the fungal infection at the abscess site occurred due to fungal pneumonia, neither to bronchogenic or hematogenous dissemination.13
Empyema is defined as a collection of pus in the pleural cavity as a consequence of a parapneumonic effusion and should be treated by thoracic drainage.16,17 However, the increasing use of invasive devices, including thoracic tubes, may present as a risk factor for the development of local fungal infections.15,17,18 Due to the insertion of the drainage tube and damage to the normal mucosal barrier, thoracic surgery may also set patients at risk for fungal infection.17,18 Therefore we assume that the presence of fungi occurred after the pleural space drainage. However, the proven definition of the microorganism requires—in addition to histopathological documentation of infection—a positive culture result from a sample of a normally sterile site,19 which unfortunately was not possible in our case due to the contamination of the drained pleura.
Thus, in our case, lung abscess and empyema were attributed to polymicrobial (including Trichomonas spp) liquefaction pneumonia caused by bronchoaspiration due to reduced cough reflex and immunosuppression that occurs in alcoholism.20,21 the alcoholism and malnourishment cause immunosuppression and may favored the abscess development and the pleural space drainage. To drain the empyema, a pleurostomy was performed; making it easy for the fungus invasion. The exacerbation of the inflammatory process caused by empyema in conjunction with secondary fungal infection contributed to erosion of the arterial wall and subsequent rupture of the aneurysmal sack in the inferior lobar artery.7,8,17,18
PAA may present with various clinical manifestations based on the location, size, and etiology. Fever occurs, especially in infectious aneurysm. Dyspnea, cough, and cyanosis are reported in cases of injury causing compression of the trachea or bronchi. Additionally, syncope, chest pain, palpitation, and hoarseness have been reported.3 The most worrying and potentially fatal manifestation is hemoptysis, which occurs following an aneurysm rupture.4 In this case, the ruptured aneurysm manifested as a massive hemothorax through the thoracic surgical wound.
On chest x-ray, an aneurysm appears as a lung nodule or hilar enlargment.22 The diagnostic modality of choice is pulmonary angiotomography, which provides important information regarding the extent, number, size, and location of the aneurysm, thereby aiding in the selection of an appropriate therapeutic approach.10,23,24 Unfortunately, pulmonary angiotomography was not performed in this patient.
Surgical repair is recommended in cases of a destructive process in the lungs, associated with secondary infections, symptomatic aneurysms, and thrombus formation in the aneurysmal sack, or an aneurysm with a diameter greater than 5.5 cm.3,4,23 Surgical treatments include aneurysmorrhaphy or arterioplasty and aneurysmectomy.4,23,24 When the patient is clinically stable and the lesion is located in a lobe, lobectomy can be performed, but it is associated with a high risk of complications and a mortality rate of 20%.25
Less invasive techniques have been used in the past after failure of surgical treatment.25 Currently, arterial catheter embolization is the treatment of choice for unstable and active bleeding patients.23-25
CONCLUSION
PAA is a rare entity of multifactorial etiology. Dissection and rupture are the most serious complications and can be fatal. In our case, autopsy and clinical findings revealed a lung abscess associated with Trichomonas infection in an alcoholic individual— rendering the formation of a right lower lobar artery PAA. Subsequently, a fungal superinfection occurred in the pleural cavity after the pleural space drainage. The inflammatory process involving the aneurysm caused its rupture, which resulted in a massive hemorrhage externalized by the thoracic surgical wound. It is important to remember that the presence of multiple infectious agents in the evolution of the disease process cannot be ruled out due to the fact that the patient was exposed to multiple risk factors, such as illicit drugs and alcoholism. Problem identification and prompt intervention is essential to try to avoid fatal complications.
REFERENCES
Finkbeiner WE, Ursell PC, Davis RL. Autopsy pathology: a manual and atlas. 2nd ed. Philadelphia: Elsevier; 2009. http://dx.doi.org/10.1016/B978-1-4160-5453-5.00015-X.
Stedman TL. Stedman’s Medical Dictionary. 27th ed. Baltimore: Lippincott Williams and Wilkins; 2000.
Kreibich M, Siepe M, Kroll J, Höhn R, Grohmann J, Beyersdorf F. Aneurysms of the pulmonary artery. Circulation. 2015;131(3):310-6. http://dx.doi.org/10.1161/CIRCULATIONAHA.114.012907. PMid:25601950.
Theodoropoulos P, Ziganshin BA, Tranquilli M, Elefteriades JA. Pulmonary artery aneurysms: four case reports and literature review. Int J Angiol. 2013;22(3):143-8. http://dx.doi.org/10.1055/s-0033-1347907. PMid:24436601.
Smith CB, Patel BN, Smith JP. Pulmonary artery pseudoaneurysma rising secondary tocavitary pneumonia. Radiol Case Rep (Online). 2012;7(3):654. http://dx.doi.org/10.2484/rcr.v7i3.654. PMid:27326290.
Raghuram AR, Kumar S, Balamurugan K, Sankarasubramanian V, Babu CS, Krishnan R. Rasmussen’s aneurysm – a brief report. Indian J Thorac Cardiovasc Surg. 2005;21(3):234-5. http://dx.doi.org/10.1007/s12055-005-0059-6.
Kim HS, Oh YW, Noh HJ, Lee KY, Kang EY, Lee SY. Mycotic pulmonary artery aneurysm as an unusual complication of thoracic actinomycosis. Korean J Radiol. 2004;5(1):68-71. http://dx.doi.org/10.3348/kjr.2004.5.1.68. PMid:15064561.
Kauffman SL, Lynfield J, Hennigar GR. Mycotic aneurysms of the intrapulmonary arteries. Circulation. 1967;35(1):90-9. http://dx.doi.org/10.1161/01.CIR.35.1.90. PMid:6016055.
AL-Quraishi MA, Shaalan NN, Sabeq R. Epidemiology study of pulmonary trichomoniasis in Babylon Province. ARC Journals. 2015;3:7-14.
Hassan HAH, Ibrahim AHH, Karim FA, et al. Relation between Trichomonas tenax and pulmonary diseases. Egypt J Med Sci. 2014;35:633-52.
Brasil. Ministério da Saúde. Agência Nacional de Vigilância Sanitária – ANVISA. Manual de procedimentos básicos em microbiologia clínica para o controle de infecção hospitalar: Módulo I/Programa Nacional de Controle de Infecção Hospitalar. Brasília: Ministério da Saúde; 2000.
Abbas AK, Kumar V, Aster JC. Robbins & Cotran Pathologic Basis of Disease. 9th ed. Philadelphia: Elsevier/Saunders; 2015.
Kuhajda I, Zarogoulidis K, Tsirgogianni K, et al. Lung abscess-etiology, diagnostic and treatment options. Ann Transl Med. 2015;3(13):183. PMid:26366400.
Duncan C, Nadolski GJ, Gade T, Hunt S. Understanding the lung abscess microbiome: outcomes of percutaneous lung parenchymal abscess drainage with microbiologic correlation. Cardiovasc Intervent Radiol. 2017;40(6):902-6. http://dx.doi.org/10.1007/s00270-017-1623-3. PMid:28321543.
Guarner J, Brandt ME. Histopathologic diagnosis of fungal infections in the 21st century. Clin Microbiol Rev. 2011;24(2):247-80. http://dx.doi.org/10.1128/CMR.00053-10. PMid:21482725.
Garvia V, Paul M. Empyema. Treasure Island (FL): StatPearls Publishing; 2019 [cited 2018 Nov 23]. Available from: https://www.ncbi.nlm.nih.gov/books/NBK459237/
Goel MK, Juneja D, Jain SK, Chaudhuri S, Kumar A. A rare presentation of aspergillus infection as empyema thoracis. Lung India. 2010;27(1):27-9. http://dx.doi.org/10.4103/0970-2113.59265. PMid:20539768.
Ko SC, Chen KY, Hsueh PR, Luh KT, Yang PC. Fungal empyema thoracis: an emerging clinical entity. Chest. 2000;117(6):1672-8. http://dx.doi.org/10.1378/chest.117.6.1672. PMid:10858401.
Jaya S, Vipparti H. Mixed fungal lung infection with Aspergillus fumigatus and Candida albicans in an immunocompromised patient: case report. J Clin Diagn Res. 2014;8(4):DD08-10. PMid:24959447.
Happel KI, Nelson S. Alcohol, immunosuppression, and the lung. Proc Am Thorac Soc. 2005;2(5):428-32. http://dx.doi.org/10.1513/pats.200507-065JS. PMid:16322595.
Szabo G, Saha B. Alcohol’s effect on host defense. Alcohol Res. 2015;37(2):159-70. PMid:26695755.
Nguyen ET, Silva CI, Seely JM, Chong S, Lee KS, Müller NL. Pulmonary artery aneurysms and pseudoaneurysms in adults: findings at CT and radiography. AJR Am J Roentgenol. 2007;188(2):126-34. http://dx.doi.org/10.2214/AJR.05.1652. PMid:17242217.
Chatterjee K, Colaco B, Colaco C, Hellman M, Meena N. Rasmussen’s aneurysm: a forgotten scourge. Respir Med Case Rep. 2015;16:74-6. http://dx.doi.org/10.1016/j.rmcr.2015.08.003. PMid:26744661.
Cajigas-Loyola SC, Miller RL, Spieler B, Carbonella G. Mycotic pulmonary artery aneurysm mimicking a Rasmussen aneurysm. Ochsner J. 2018;18(1):104-7. PMid:29559882.
Keeling NA, Costello R, Lee MJ. Rasmussen’s aneurysm: a forgotten entity? Cardiovasc Intervent Radiol. 2008;31(1):196-200. http://dx.doi.org/10.1007/s00270-007-9122-6. PMid:17659424.
Notes
Author notes
Correspondence Leticia Goulart Campos Department of Pathology - Unidade de Anatomia Patológica - Hospital Universitário Cassiano Antônio Moraes (HUCAM) - Universidade Federal do Espírito Santo (UFES) Av. Marechal Campos, 1468 – Vitória/ES – Brazil CEP: 29047-971 Phone: +55 (27) 33357179 leticia.gcampos@gmail.com
Conflict of interest declaration