Article / Autopsy Case Report
Pulmonary alveolar microlithiasis: Incidental finding - should we Ignore?
Pulmonary alveolar microlithiasis: Incidental finding - should we Ignore?
Autopsy and Case Reports, vol. 10, no. 1, 2020
São Paulo, SP: Universidade de São Paulo, Hospital Universitário
Received: 22 August 2019
Accepted: 15 October 2019
DOI: 10.4322/acr.2019.133
ABSTRACT: Pulmonary alveolar microlithiasis (PAM) is a rare entity, presenting mostly as an incidental finding. This disease has an autosomal recessive inheritance with inactivating mutations in the gene “solute carrier family 34 member 2”. The present study was conducted to bring attention to this rare though preventable disease. The study was a cross-sectional descriptive study, conducted at the Department of Pathology, of a tertiary care hospital in New Dehli-India. PAMs were incidentally seen in two patients diagnosed with micronodular hepatic cirrhosis leading to reanalysis of 212 autopsies, retrospectively. Statistical analysis was done using Stata 14.0. We observed three forms (Type A, B and C) of round hyaline bodies measuring in diameter with thin delicate, radiating fibrils. These bodies were PAS positive, showed black discolouration of the pigment with von Kossa stain and birefringence on polarized microscopy using Congo red stain, however the refringence was light green as compared to apple green birefringence seen with amyloid deposition. PAM has a slow progressive course leading to a high rate of incidental detection. Drugs known to inhibit the micro-crystal growth of hydroxyapatite may slow the disease progression. The family members of patients with PAM may also be kept on follow up with regular imaging. Key messages: It is important to bring out the incidental finding as, seemingly innocuous observations may provide valuable insight into incurable diseases, especially rare diseases.
Keywords: Incidental Findings, Autopsy, Calcification, Physiologic.
INTRODUCTION
Pulmonary alveolar microlithiasis (PAM) is a rare entity, mostly described in early literature as an incidental finding. PAM were described as laminated bodies in the pulmonary alveoli more than 150 years back by Friedreich et al.1 who named them Corpora Amylacea Pulmonum. In 1918, these bodies were also reported by Norwegian Harbitz who termed it as Harbitz syndrome.2 In 1933, Puhr et al.3 coined the entity as “pulmonary alveolar microlithiasis” and identified as rare autosomal recessive disease with high penetrance characterized by intra-alveolar accumulation of minute calculi called microliths. Michaelis et al.4 and Dobashi et al.5, gave a complete histopathological description of these bodies. The microliths are round, oval, lobular, concentric and laminated in appearance. They vary in diameter from 0.01-2.8mm. PAM are periodic acid Schiff (PAS) positive and consist of calcareous lamellae around a central nucleus with an amorphous or granular aspect. X-ray spectroscopy has revealed the composition of the PAM to be calcium and phosphate, in a ratio of 2:1.6,7
The disease generally presents in the third or fourth decade with mild clinical signs and symptoms with chronic and deteriorating evolution. The clinical presentation includes cough, breathlessness, chest pain and a lung disorder with restrictive pattern. The biochemical investigations are generally normal. Imaging may reveal diffuse micronodular calcification with sandstorm appearance.8
The precise pathogenesis of PAM is not known; however, it is postulated that local accumulation of calcium salts might be due to an inborn defect in metabolism at alveolar surface leading to increased alkalinity or mucopolysaccharide deposition. Another hypothesis is that in patients with PAM, the impaired mucociliary function may lead to excess mucus accumulation within alveoli and condensation of mucus may induce the formation of microliths. However, PAM is considered to be an autosomal recessive disease associated with inactivating mutations in the gene “solute carrier family 34 member 2”, encoding a sodium-dependent phosphate cotransporter (SLC34A2/Npt2b/NaPi-2b), presently. SLC34A2 gene is most commonly involved and is located on chromosome 4p15.2.9-11 The gene is composed of 4122 base pairs and 13 Exons. SLC34A2 gene encodes for 2280nt mRNA transcript and 690 aminoacids. The gene is expressed primarily in alveolar epithelial type II cells and is responsible for the uptake of phosphate released from phospholipids in outdated surfactant.7
The formation of calcium phosphate microliths in PAM could be explained by the inability to clear phosphate from the alveolar space. Mutations of the SLC34A2 gene are also associated with testicular microlithiasis.12 The gene expression is higher in lungs, salivary glands, thyroid, kidney, testis, breast and female genital, cervix, uterus). It is also expressed in the gastrointestinal tract (stomach, small intestine and esophagus) including the hepatobiliary system.
The present study was conducted to bring attention to this rare, though preventable, entity with particular attention to histopathological details, which in turn may contribute to a better understanding of this rare disease.
SUBJECTS AND METHODS
The study was conducted at the Department of Pathology, of a tertiary care hospital, retrospectively. Pulmonary alveolar microliths were incidentally found in two patients diagnosed with micronodular cirrhosis of liver and pulmonary hypertension with extensive edema. This finding inspired us to reanalyze all the autopsies conducted in the last five years. Two hundred and twelve autopsies were reviewed and one more case of PAM was identified. Written informed consent had already been obtained from next of kin for autopsies. Statistical analysis was done using Stata 14.0.
The clinical details of these three cases are described below.
Case 1
A 51-year-old male, known case of Type II diabetes mellitus, hypertension and a chronic alcohol consumer in cirrhogenic doses, presented with fever and altered sensorium and yellowish discoloration of eyes and urine and myalgia for three days. The patient deteriorated showing confusion, aggressive behavior and altered sensorium without any motor deficit. On investigation, he was found to have deranged liver function tests. Chest X-Ray revealed bilateral homogenous opacities in the right lung, 2-D echo showed left ventricular hypertrophy. USG abdomen revealed hepatosplenomegaly with ascites and gall bladder wall edema. The patient died with a final diagnosis of hepatic encephalopathy.
On autopsy, microbiological examination revealed sterile CSF, pleural fluid and peritoneal fluid. Tissue samples of lung, myocardium, liver, kidney, pancreas, spleen, adrenal glands, stomach and brain, were taken for histopathology investigation. On gross examination, the lungs were congested and boggy and liver was enlarged. The external surface was smooth with retained capsular sheen. Rest of the organs were normal. The selected specimens were formalin-fixed and paraffin-embedded. Sections were cut at three micra and stained using the standard H&E and special stains such as PAS, MT, reticulin Perl, ZN, van Kossa and Congo red were carried out wherever required. All slides were examined and photographed on a Nikon eclipse Ni microscope.
Sections from the liver showed micro and macro-vesicular steatosis. Mild portal and periportal infiltrate composed of mononuclear cells was noted with a small fibrous expansion of the portal tracts. Bilateral kidneys showed mostly normal glomeruli. The tubulo-interstitium appeared unremarkable. Blood vessels showed intimal proliferation with onion skin appearance in some vessels. Cerebral hemispheres showed astrocytic swelling with a prominence of nuclei and nucleoli. Pons, medulla, and cerebellum showed normal histomorphology. To summarize, the salient post-mortem findings included diffuse alveolar edema with micro and macrovesicular steatosis and cirrhosis of the liver.
Case 2
A 36-year-old male, nonsmoker, chronic alcohol consumer, and a known case of acute on chronic liver failure, presented with jaundice, reduced appetite, and abdominal distension. The patient was conscious, well oriented, afebrile with a pulse rate of 72 bpm, SPO2-98% with icterus, asterixis, and palmar erythema. There was no pallor, edema, cyanosis, clubbing or lymphadenopathy. Liver function tests were deranged with markedly raised bilirubin (26.93mg/dL; reference range [RR]; up to 1.2mg/dL). He gradually developed cholestatic pruritis with conjugated hyperbilirubinemia. He developed fever on day five with reduced urine output, hepatic encephalopathy and septic shock and was intubated. Patient died with a final diagnosis of hepatic encephalopathy and septic shock. Microbiological examination revealed sterile CSF and peritoneal fluid. The pleural fluid showed growth of Klebsiella pneumoniae. Tissue samples of lung, myocardium, liver, kidney, pancreas, spleen, adrenal glands, stomach and brain, were taken for histopathology investigation. On gross examination, the lungs were congested and boggy. The liver was shrunken with micro and macronodular cirrhosis. The remaining organs were normal. The selected specimens were processed as described for case 1. Sections from the liver showed complete effacement of architecture with nodules of variable sizes separated by thick bridging fibrous septae which were infiltrated by a dense lymphocytic inflammatory infiltrate. Bile plugs were noted. No ductular proliferation was seen. Few degenerated hepatocytes were seen in the pools of necrotic cells. The spleen showed features of chronic congestive splenomegaly. The kidneys maintained the normal architecture; however, the glomeruli showed lobular accentuation and the tubulointerstitial compartment showed tubular necrosis with edematous cytoplasm and mild inflammation. Blood vessels appeared normal.
Case 3
A 42-year-old male, nonsmoker, chronic alcoholic user and diagnosed with acute on chronic liver failure presented with icterus, asterixis and palmar erythema. Liver function tests were deranged with markedly raised bilirubin (9.2mg/dL; RR; up to 1.2mg/dL). He gradually developed cholestatic pruritis with conjugated hyperbilirubinemia. He developed fever with reduced urine output and hepatic encephalopathy, severe hypotension, and septic shock. The patient died with a final diagnosis of septic shock with multiorgan dysfunction. On autopsy, microbiological examination revealed sterile CSF and peritoneal fluid. Escherichia coli and Klebsiella pneumoniae were isolated from pleural fluid. Tissue samples of lung, myocardium, liver, kidney, pancreas, spleen, adrenal glands, stomach and brain, were taken for histopathology investigation. On gross examination, the lungs were congested and boggy. The liver was shrunken and showed the presence of micronodules. The remaining organs were normal. The selected specimens were processed as described for cases 1 and 2.
Sections from the liver showed completely effaced architecture by nodules of variable size. Regenerating nodules, separated by thick bridging fibrous septae, were infiltrated by dense lymphocytic inflammatory infiltrate. Bile plugs were noted. No ductular proliferation was seen. Few degenerated hepatocytes were seen in the pools of necrotic cells. Spleen showed features of chronic congestive splenomegaly. Renal glomeruli showed lobular accentuation. Tubulointerstitial compartment showed tubular necrosis with cytoplasmic edematous change and mild inflammation. Blood vessels appeared normal.
RESULTS
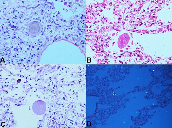
The microscopic examination from the lungs in all the three cases discussed above, revealed round or ellipsoid hyaline bodies measuring 200-800µm in diameter with thin delicate and radiating fibrils. These bodies were detected lying freely in the airspace and varied mildly in morphology though they may represent the same spectrum. Some of these bodies showed a rim of thick hyaline material with radiating fibrils terminating before this hyaline membrane (Type A, Figure 1A) while others showed thinner peripheral hyaline membrane with radiating fibrils terminating at the edge of hyaline membrane (Type B, Figure 1B). The third type was smaller (200-250 µm) with fibrils extending till the edge (Type C, Figure 1C). Type A bodies showed concentric rings with appearance reminiscent of annual layers of a tree trunk. These bodies showed finely granular pigment at the end of these radiating fibrils. Type B bodies also showed yellow pigment though less defined. Type ‘B’ and ‘C’ showed the presence of refractile material in the core. On polaroid microscopy using Congo red stain, PAM showed birefringence, however the refringence was light green as compared to apple green birefringence seen with amyloid deposition (Figure 1D).

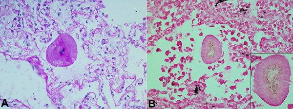
Pulmonary alveolar microliths were found to be positive for periodic acid Schiff (PAS) (Figure 2A). The microliths on von Kossa stain showed a black coloration of granular pigment at the end of the radiating fibrils (Figure 2B).

Perls stain performed to characterize the refractile material in the core excluded the presence of iron. Negative Gram and Grocott stain excluded the presence of bacterial or fungal elements. Ziehl Neelsen stain was performed using 0.5% H2SO4 as decolorizer, and ruled out the presence of any acid-fast bacilli including members of Nocardiaceae family. PAM were seen in the background of varying degree of alveolar edema in both lungs. Also, an increase in histiocytic activity and focal alveolar septal wall thickening was noted. The mild intimal proliferation and medial thickening were observed in both arteries and veins. No granuloma/thrombi or hyaline membrane formation was seen. These differentiated PAM from an infective etiology due to the conspicuous absence of any inflammatory cells.
DISCUSSION
In the present study, we endeavored to present the histopathological findings of three autopsies in which PAM was detected, incidentally. PAM are more commonly seen in alveolar spaces as compared to metastatic or dystrophic calcification which are more common in interstitial or vascular compartment.13 Previous literature mentioned that corpora amylacea pulmonum differs from the PAM since the former presents in old-age patients with a lesser density of such bodies, which lack calcification. Pulmonary alveolar microlithiasis have demonstrated similar histomorphological findings as those demonstrated in the literature on corpora amylacea pulmonum.14-15 We also consider both entities to be part of a spectrum of the same disease. In our study, the prevalence of PAM was 1.4% as compared to 3.8% in previous literature.4 Since all the three autopsies had underlying liver disease, the association with mutations of SLC34A2 gene was also explored. There is no association of liver disease with mutations of SLC34A2 gene in literature. In our subjects, there was no history of consanguinity in the families.
In India, this entity was first reported by Viswanathan et al.14 Very few cases have been reported in the literature from different regions of India and less than 60 autopsies depicted cases of PAM.16-20
The entity generally has a slowly progressive course, leading to a higher rate of incidental detection during work-up for other illnesses, or at autopsy. There is no specific available treatment. Disodium etidronate has also been tried in the dose of 10 mg/kg per day orally for as long as one year with regression of the calcific densities in some studies. It is known to inhibit the microcrystal growth of hydroxyapatite. Lung transplantation has been performed in a few patients though their long-term survival is yet to be proved.21-23
We recommend genetic counseling to the index cases’ family members as well as their chest X-ray follow-up since the disease shows a familial inheritance and the treatment is not easily available, presently. On initial presentation, the option to start Disodium etidronate for inhibition of the microcrystal growth of hydroxyapatite can also be considered.
Written informed consent was obtained from next of kin for autopsies.
REFERENCES
Friedreich N. Corpora amylacea in den Lungen. Arch Path Anat. 1856;9:613-18.
Harbitz E. Extensive calcification of the lungs as a distinct disease. Arch Intern Med (Chic). 1918;21(1):139-46. http://dx.doi.org/10.1001/archinte.1918.00090070150012.
Puhr L. Mikrolithiasis alveolaris pulmonum. Arch Path Anat. 1933;290:156-160.
Michaels L, Levene C. Pulmonary corpora amylacea. J Pathol Bacteriol. 1957;74(1):49-56. http://dx.doi.org/10.1002/path.1700740108.
Dobashi M, Yuda F, Masuda A, Terashima K, Imai Y. Electron microscopic study on amyloid fibril formation in human lymph nodes. Histol Histopathol. 1986;1(3):277-89. PMid:2980120.
Pracyk JB, Simonson SG, Young SL, Ghio AJ, Roggli VL, Piantadosi CA. Composition of lung lavage in pulmonary alveolar microlithiasis. Respiration. 1996;63(4):254-60. http://dx.doi.org/10.1159/000196556. PMid:8815975.
Ferreira Francisco FA, Pereira e Silva JL, Hochhegger B, Zanetti G, Marchiori E. Pulmonary alveolar microlithiasis. State-of-the-art review. Respir Med. 2013;107(1):1-9. http://dx.doi.org/10.1016/j.rmed.2012.10.014. PMid:23183116.
Kent G, Gilbert ES, Meyer HH. A clinical review of pulmonary microlithiasis. JAMA. 1956;161(12):1-2.
Corut A, Senyigit A, Ugur SA, et al. Mutations in SLC34A2 cause pulmonary alveolar microlithiasis and are possibly associated with testicular microlithiasis. Am J Hum Genet. 2006;79(4):650-6. http://dx.doi.org/10.1086/508263. PMid:16960801.
Huqun IS, Izumi S, Miyazawa H, et al. Mutations in the SLC34A2 gene are associated with pulmonary alveolar microlithiasis. Am J Respir Crit Care Med. 2007;175(3):263-8. http://dx.doi.org/10.1164/rccm.200609-1274OC. PMid:17095743.
Ferreira Francisco FA, Pereira e Silva JL, Hochhegger B, Zanetti G, Marchiori E. Pulmonary alveolar microlithiasis. State-of-the-art review. Respir Med. 2013;107(1):1-9. http://dx.doi.org/10.1016/j.rmed.2012.10.014. PMid:23183116.
Castellana G, Lamorgese V. Pulmonary alveolar microlithiasis. World cases and review of the literature. Respiration. 2003;70(5):549-55. http://dx.doi.org/10.1159/000074218. PMid:14665786.
Mariotta S, Ricci A, Papale M, et al. Pulmonary alveolar microlithiasis: report on 576 cases published in the literature. Sarcoidosis Vasc Diffuse Lung Dis. 2004;21(3):173-81. PMid:15554073.
Viswanathan R. Pulmonary alveolar microlithiasis. Thorax. 1962;17(3):251-6. http://dx.doi.org/10.1136/thx.17.3.251. PMid:13926265.
Khurana A, Malik R, Sharma J, Khurana U, Goyal A. Pulmonary Alveolar Microlithiasis: A commonly misdiagnosed rare entity. Sultan Qaboos Univ Med J. 2018;18(2):236-8. http://dx.doi.org/10.18295/squmj.2018.18.02.021. PMid:30210859.
Gayathri Devi HJ, Mohan Rao KN, Prathima KM, Das JK. Pulmonary alveolar microlithiasis. Lung India. 2011;28(2):139-41. http://dx.doi.org/10.4103/0970-2113.80334. PMid:21712928.
Chandra S, Mohan A, Guleria R, Das P, Sarkar C. Bilateral stony lung: pulmonary alveolar microlithiasis. BMJ Case Rep. 2009;2009:1012. PMid:21686505.
Hira HS, Singh T, Chowdhary V. Pulmonary alveolar microlithiasis: role of transbronchial lung biopsy. J Assoc Physicians India. 2000;48(8):832-3. PMid:11273481.
Malhotra B, Sabharwal R, Singh M, Singh A. Pulmonary alveolar microlithiasis with calcified pleural plaques. Lung India. 2010;27(4):250-2. http://dx.doi.org/10.4103/0970-2113.71967. PMid:21139727.
Singh NK, Gupta A. Pulmonary alveolar microlithiasis. J Assoc Physicians India. 1995;43(9):647-8. PMid:8773074.
Stamatis G, Zerkowski HR, Doetsch N, Greschuchna D, Konietzko N, Reidemeister JC. Sequential bilateral lung transplantation for pulmonary alveolar microlithiasis. Ann Thorac Surg. 1993;56(4):972-5. http://dx.doi.org/10.1016/0003-4975(93)90370-W. PMid:8215680.
Edelman JD, Bavaria J, Kaiser LR, Litzky LA, Palevsky HI, Kotloff RM. Bilateral sequential lung transplantation for pulmonary alveolar microlithiasis. Chest. 1997;112(4):1140-4. http://dx.doi.org/10.1378/chest.112.4.1140. PMid:9377936.
Jackson KB, Modry DL, Halenar J, L’abbe J, Winton TL, Lien DC. Single lung transplantation for pulmonary alveolar microlithiasis. J Heart Lung Transplant. 2001;20(2):226. http://dx.doi.org/10.1016/S1053-2498(00)00500-3. PMid:11250426.
Notes
Author notes
Correspondence Manisha Agarwal Army Hospital (R&R) - Department of Laboratory Sciences and Molecular Medicine New Delhi, India Phone: 8826956272manishagrwl079@gmail.com
Conflict of interest declaration