Letter to the Editor
Received: 02 October 2019
Accepted: 21 October 2019
DOI: 10.4322/acr.2019.134
Dear Editor,
Schwannoma or neurilemmoma is a benign tumor of neural origin, uncertain etiology, firstly described in 1910 by Verocay (1910).1 Schwannomas tend to occur in adults between the third and fifth decades of life and do not show sex predilection.2 Most of the lesions occur in the head and neck regions (25-40%).3 However, despite the lips and the oral cavity are highly innervated anatomic sites, they are rarely found in these locations. Only 1% of all schwannomas arise in the oral cavity, being the tongue the most common intraoral site of occurrence.4 Moreover, schwannomas in the lower lip are excessively rare during childhood and adolescence, with only a few well-documented cases published in the English-language literature. Herein, we presented a rare case of schwannoma in the lower lip mimicking a mucocele in a 7-year-old male child.
The patient, a 7-year-old Caucasian male, was referred to the oral medicine service of the School of Dentistry at Tiradentes University, complaining of a painless lesion on the lip over the last 2 months. The extraoral examination was unremarkable. The intraoral examination revealed a fibrous resilient nodular lesion on the left lower lip mucosa, with the coloration resembling normal mucosa, measuring 0.8 cm (Figure 1).

Past medical history was not contributory, except for a local trauma. Based on the clinical aspects, the diagnostic hypothesis was a mucocele. An excisional biopsy was performed, and the specimen was sent for histopathological analysis. Histological examination showed an encapsulated tumor composed of spindle-shaped cells with well-aligned nuclei interpreted as Schwann cells.
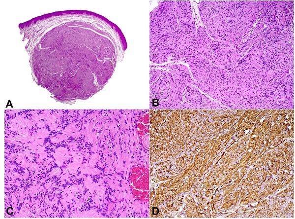
A palisaded arrangement surrounding central acellular areas, known as Verocay bodies, was observed in most parts, forming a typical Antoni A histological pattern. Less cellular areas comprised of diffusely arranged spindle shaped-cells were also observed, characterizing an Antoni B pattern (Figure 2AC). Immunohistochemical analysis showed a marked positivity of neoplastic cells for S-100 protein (Figure 2D). The diagnosis was schwannoma was made. After one year of follow-up, there was no recurrence of the tumor.

Swellings of the lower lip can represent many entities, and lip schwannoma is overlooked in the initial differential diagnosis due to its rarity in this location.3,4 In our case, the submucosal presentation, slow growth pattern, with no hardening of surround tissues, the clearly defined limits of the tumor, and history of the habit of biting the mucosa reported during the anamnesis suggested a benign process. Therefore, our diagnostic hypothesis included mainly conditions commonly observed in young patients, such as reactive proliferative processes and mesenchymal tumors, and the patient was misdiagnosed with mucocele. Mucocele is a common lesion of the lip, asymptomatic in most cases, similar to the mucosa in color, clinically resembling a variety of other lesions that affect oral soft tissues.5 Because it is the most common lesion of the lower lip, it would be a dentists’ leading hypothesis as a provisional diagnosis. Thus, histopathological analysis is a necessary procedure to assure the correct diagnosis and therapeutic management.
In the oral cavity, the tongue is the most common site affected by schwannoma, and lip tumors are considered rare, with only 21 cases reported in the literature, including the current case. Lip schwannoma tends to occur in adults between the third and fifth decades of life, with a mean age of 26.4 years (range: 7-82) and do not show sex predilection.3 The diagnosis of schwannoma is based on histological features. Morphologically, schwannoma spindle-shaped cells are arranged in two distinct patterns, Antoni A and B, in variable proportions, with a few or none intralesional axons, forming completely encapsulated lesions.5,6 The current case fulfills all the morphological criteria to be classified as schwannoma. It has also been highlighted that immunohistochemical positivity for S-100 protein, a marker of neural differentiation, is widely observed in schwannomas.4-6 Marked immunoexpression of S-100 protein was seen in the current case, confirming the neural derivation of the tumor.
Regarding the treatment, a conservative surgical excision is the best approach, and the prognosis is excellent.4 Local recurrence of schwannomas has not been reported after complete surgical excision of the tumors, and malignant transformation is exceptionally rare.4,6
Although tumors of the peripheral nerve sheath are rare, they must also be included among the differential diagnoses of nodular lesions of the lower lip;5 familiarity with morphological and immunohistochemical aspects of these lesions is essential to avoid diagnostic mistakes and provide a satisfactory therapeutic approach.
The patient signed informed consent declaration authorizing the use of the images and medical information. The manuscript was approved by the Institutional Ethics Committee.
REFERENCES
Verocay J. Zur Kenntnis der Neurofibrome. Beitr Pathol Anat. 1910;48:1-68
Alotaiby FM, Fitzpatrick S, Upadhyaya J, Islam MN, Cohen D, Bhattacharyya I. Demographic, clinical and histopathological features of oral neural neoplasms: A retrospective study. Head Neck Pathol. 2019;13(2):208-14. http://dx.doi.org/10.1007/s12105-018-0943-1. PMid:29931661.
Sitenga J, Aird G, Vaudreuil A, Huerter CJ. Clinical features and management of schwannoma affecting the upper and lower lips. Int J Dermatol. 2018;57(9):1047-52. http://dx.doi.org/10.1111/ijd.13920. PMid:29377087.
Desai J. An unexpected and rare outcome of a common nodular mass on upper lip in a pediatric patient with a history of trauma - Schwannoma. Natl J Maxillofac Surg. 2019;10(1):102-4. http://dx.doi.org/10.4103/njms.NJMS_48_18. PMid:31205398.
Cunha JLS, Silva AF, Rocha RS, Silveira EJD, Albuquerque RLC Jr. Palisaded encapsulated neuroma clinically mimicking a mucocele: report of a case. J Bras Patol Med Lab. 2018;54(3):189-92. http://dx.doi.org/10.5935/1676-2444.20180033.
Vera-Sirera B, Fernades-Ciacha L, Floria LM, Vera-Sempere F. Palatal ancient schwannoma: optical, immunohistochemical and ultrastructural study with literature review. Eur Arch Otorhinolaryngol. 2017;274(12):4195-202. http://dx.doi.org/10.1007/s00405-017-4759-5. PMid:28975399.
Notes
Author notes
Correspondence John Lennon Silva Cunha Oral Pathology Section - Department of Oral Diagnosis - Piracicaba Dental School - University of Campinas (UNICAMP) Av. Limeira 901, P.O. Box. 52 – Piracicaba/SP, Brazil CEP: 1314-903 Phone: +55 (79) 99654-0805lennonrrr@live.com
Conflict of interest declaration