Article / Clinical Case Report
Hyalinizing clear cell carcinoma of the soft palate: a review of literature review
Hyalinizing clear cell carcinoma of the soft palate: a review of literature review
Autopsy and Case Reports, vol. 10, no. 2, 2020
Hospital Universitário da Universidade de São Paulo
Received: 06 December 2019
Accepted: 10 February 2020
DOI: 10.4322/acr.2020.156
ABSTRACT: Hyalinizing clear cell carcinoma (HCCC), also known as clear cell carcinoma, not otherwise specified [CCC, (NOS)], is a rare minor salivary gland tumor characterized by proliferation of clear cells, organized in trabecular cords, or solid nests within loose to densely hyalinized stroma. It is considered a diagnosis of exclusion by the World Health Organization (WHO) because other salivary tumors may also have a clear cell component. Hence, there is a wide differential diagnosis. EWSR1-ATF1 gene rearrangements are fairly specific for this tumor, however, one of the recent studies have described its presence in clear cell odontogenic carcinoma (CCOC) one of its histologic mimickers. EWSR1 and CREM fusions have recently been described in these tumors but its importance is still not well described. Here we present a case of a 33-year-old woman who presented with a recurrent lesion of the soft palate. Her initial lesion was resected and diagnosed as low-grade myoepithelial tumor. Surgical margins at the time of initial resection were positive and the re-excision was recommended but the patient did not undergo surgery. Two years later, local recurrence at the same site was found and an excision was performed yielding negative margins. Histopathologic examination revealed features consistent with hyalinizing clear cell carcinoma. The patient remains disease free 1 year after the re-excision. The pathology, clinical characteristics, differential diagnosis and treatment of hyalinizing clear cell carcinoma are reviewed.
Keywords : EWSR1-ATF1 fusion protein, Carcinoma, Mucoepidermoid, PTCH protein, human, Head and Neck Neoplasms, Salivary Gland Neoplasms.
INTRODUCTION
Malignant salivary gland tumors comprise 3% of all head and neck cancers.1 HCCC is a rare tumor that arises most commonly in the minor salivary glands (up to ⅔ of the cases).2 It is a low-grade malignant salivary gland tumor with a good long-term prognosis. HCCC has a slight female predominance and usually arises in patients in the 7th decade. The palate and base of tongue are the most common sites followed by the floor of the mouth, buccal mucosa, lip, retromolar trigone, and other sites of minor salivary glands. Symptomatology of HCCC may be variable, ranging from asymptomatic to extensive mucosal ulceration, often requiring surgical excision. Areas associated with significant morbidity such as the tongue base may require radiation. The lesions are unencapsulated and have a mean size of 2.0 to 3.0 cm.3
Histologically, the tumor is composed of sheets, nests, cords, or trabeculae of epithelial cells with variably clear cytoplasm. The majority of the tumor cells are round to polygonal with eccentric nuclei and distinct cell borders, while others have relatively small eosinophilic cytoplasm rather than clear, and some have an admixture of both. The stroma in most of the cases is hyalinized, but some cases have myxoid stroma. Perineural invasion and rare mitotic activity may be seen. The immunohistochemical profile of HCCC typically includes positive staining for periodic acid-Schiff (PAS), cytokeratin (CK), epithelial membrane antigen (EMA), CAM 5.2, and p63; and negative stains for periodic acid–Schiff–diastase (PAS-D, PAS diastase), smooth muscle actin (SMA), muscle specific actin (MSA), S-100, and CD10. The stroma is positive for collagen I and fibronectin but negative for collagen IV and laminin. PAS positivity and diastase sensitivity in the tumor cells is indicative of glycogen in the cytoplasm, and p63 positivity suggests squamous differentiation. Mucin is positive in almost half of the cases, indicating mucinous differentiation.
The prognosis is excellent, and the death from HCCC is rare. Complete surgical excision with a wide clear margin with or without radiotherapy is the standard treatment.4 It is associated with an EWSR1-ATF1 gene fusion in the majority of the cases.3
CASE REPORT
A 33-year-old female was referred to the oral and maxillofacial surgeon because of a recurrent palatal lesion. She denied pain, fevers, chills, or sore throat. Her past medical history included a palatal lesion excision 2 year prior. Histologic work-up, at that time, revealed the tumor to be present at surgical resection margins and to have immunoreactivity for cytokeratin AE1/AE3, cytokeratin 5/6, and 903, p63, and polyclonal CEA; and non-reactive with calponin, S-100, SMA, and CD-117. A diagnosis of low-grade myoepithelial tumor was rendered.
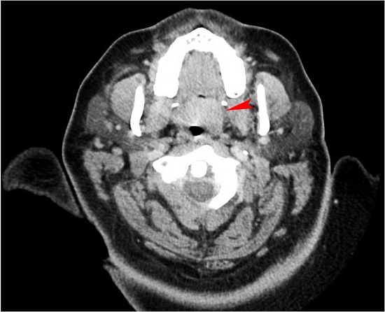
The current computed tomography (CT) of the soft tissue of the neck with contrast demonstrated a mildly enhancing soft tissue mass in the soft palate measuring 15 × 19 mm and significant fatty replacement of the parotid glands. The submandibular glands appeared symmetric with no lymphadenopathy (Figure 1).

Excision of the soft palate with left maxillary sinus, temporal rotational flap, palate closure, and extraction of teeth 3, 5, 13, 15, 17, 18, 19, and 32 was performed. The postoperative period was uneventful, and she was discharged for outpatient follow-up with a multidisciplinary care team.
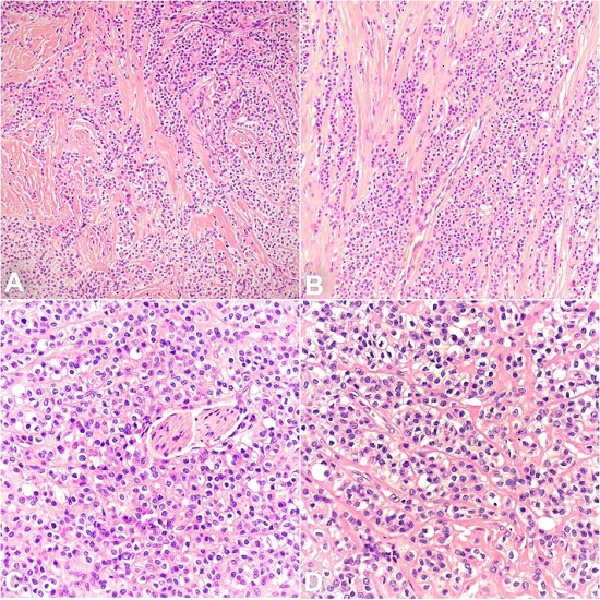
Grossly, the tumor measured 3.2 × 3.1 × 2.3 cm, and was well-circumscribed with a tan brown cut surface. Histological examination revealed clear cells arranged in cords and nests surrounded by hyalinized bands (Figure 2).

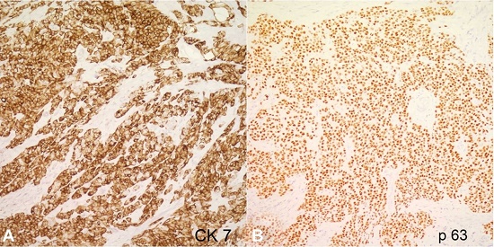
Perineural invasion was identified with no evidence of lymphovascular invasion. Immunohistochemical evaluation revealed the tumor cells to be immunoreactive to cytokeratin AE1/AE3, cytokeratin 7, and p63 (Figure 3), and weak and focally reactivity for EMA; and no reactivity for vimentin, S-100, and smooth muscle actin. It was PAS-positive (diastase sensitive).

On follow-up, she remained well and asymptomatic 12 months after the surgery.
DISCUSSION
In 1994, Milchgrub et al.,5 firstly described hyalinizing clear cell carcinoma as a distinct entity in a landmark case series featuring 11 patients. HCCC is a particularly rare malignant epithelial neoplasm of the salivary gland, usually composed of a monomorphous population of cells with clear cytoplasm within loose to densely hyalinized stroma. So far, about 68 distinct cases have been reviewed in the English literature,3,4,6 with most cases being reported amongst women in their 7th or 8th decade. The World Health Organization (WHO) refers to HCCC as “Clear cell carcinoma, not otherwise specified (NOS)” and is considered a diagnosis of exclusion because of the wide differential diagnosis as other salivary gland tumors can have clear cell component. The great majority of cases occur in the oral cavity (> 80%), most commonly at the base of the tongue or hard palate, and less commonly in the parotid gland, nasopharynx, hypopharynx, and lacrimal gland.7 Clinically, HCCCs are most commonly asymptomatic; however, some may present as swelling, dysphagia, or mucosal ulceration.4 HCCCs may sometimes erode or extend into the bone, which makes it difficult to distinguish from other odontogenic neoplasms.3 The prognosis of HCCC is generally good, with low locoregional recurrence after primary surgical management.
Grossly, the tumor is usually poorly circumscribed, non-encapsulated, and infiltrates into adjacent tissues. It has a white-tan to grey cut surface with the average size ranging from 1.0 and 4.5 cm (mean 2.0–3.0 cm). Gross cystic change is uncommon. Histologically, HCCCs can be varied but tends to present as monotonous epithelial cells with variably clear cytoplasm arranged in nests, cords, sheets, or trabeculae. The predominance of clear cells is seen in most cases; however, some cases show tumor cells with an eosinophilic cytoplasm. The clear cytoplasm, in this entity, is attributed to the presence of glycogen rather than mucin, giving it a diastase-sensitive positive periodic acid-Schiff (PAS) reaction. Nuclei are round, eccentric with small or inconspicuous nucleoli. Mitotic figures are rare, and necrosis is generally absent. Perineural invasion is found in almost half of all cases.7 Stroma usually shows dense hyalinization; however, in some case it is loose and myxoid. Mucinous differentiation is seen in about half of the cases. Some cases may reveal focal squamous differentiation.3
The immunohistochemical staining pattern of HCCC includes positive staining for diastase-sensitive periodic acid-Schiff (PAS), polyclonal carcinoembryonic antigen (CEA), cytokeratin CAM 5.2, epithelial membrane antigen (EMA), cytokeratin, and p63; and is negative for desmin, smooth muscle actin (SMA), S-100, and CD10 (PAS-D). Mucin is focally positive in up to half of the cases.3 Re-arrangements of the ESWR1 and ATF1 genes are found in approximately 82% of HCCC cases, 7 which separates these tumors from histological mimics except clear cell odontogenic carcinoma, which also has a similar mutation.8 Some of the recent studies described EWSR1-CREM fusions in these carcinomas, however, its importance is less studied and poorly understood. 9,10
None of its histological features are particularly unique and are insufficient to differentiate HCCC from other malignant salivary tumors like mucoepidermoid carcinomas, epithelial-myoepithelial carcinomas, myoepithelial carcinoma or even distant metastases from clear cell renal carcinoma and certain bone tumors like clear cell odontogenic carcinoma and calcifying epithelial odontogenic tumor, Pindborg tumor.3,4
Mucoepidermoid carcinoma (MEC), the most common salivary gland malignancy, is one of the major differential diagnosis of HCCC. Mucoepidermoid carcinomas most commonly occur in the parotid gland with the peak incidence in the second decade of life and are characteristically composed of mucinous, intermediate (clear cell) and squamous tumor cells forming solid and cystic patterns. Unlike HCCC, MEC lacks hyalinized background and nests of tumor cells. Of note, the presence of mucin containing cells on H&E does not exclude HCCC.3 Mucoepidermoid carcinoma has mucin as well as glycogen content, and unlike HCCC, it stains positive for periodic acid-Schiff diastase (PAS/D). Unfortunately, immunohistochemical staining does not help much in differentiating HCCC from MEC. In difficult cases, fluorescence in situ hybridization (fish) for MAML2 and EWSR1 can be used to distinguish the two entities.
Epithelial-myoepithelial carcinoma (EMC) is a biphasic malignant salivary gland tumor composed of inner ductal cells with eosinophilic cytoplasm, and outer polygonal cells with clear cytoplasm. Due to the clear cytoplasm it sometimes resembles HCCC; however, myoepithelial markers i.e., S100, calponin, and actin are positive in EMC in contrast to HCCC, which does not have a myoepithelial component. One of the recent studies,11 have shown HRAS mutations to be positive in 82.7% cases of EMC.
Odontogenic tumors, like clear cell odontogenic carcinoma (CCOC) and clear cell calcifying epithelial odontogenic tumor (CEOT), also called Pindborg tumor, are also among the differential diagnoses of hyalinizing clear cell carcinoma. CCOC is a malignant epithelial neoplasm, most commonly arising in the mandible and characterized by sheets and island of vacuolated and clear cells organized in sheets and trabeculae. CCOC cannot be reliably distinguished from HCCC except by its location and radiologic examination is very essential to tell them apart. CCOC has also been proven to show EWSR1 rearrangement.8 Because of the clear cell morphology and EWSR1 gene rearrangement, these tumors can be very difficult to distinguish from HCCC with bone invasion.
Calcifying Epithelial Odontogenic Tumor (CEOT) is a rare locally invasive epithelial odontogenic neoplasm characterized by amyloid-like material that may become calcified. The tumor is composed of sheets, cords, and islands of polyhedral epithelial cells with abundant eosinophilic cytoplasm and intercellular bridges surrounding acellular hyalinized, eosinophilic amyloid type material. When stained with Congo red, this acellular amyloid type material shows the classic apple-green birefringence, unlike HCCC. CEOT has also recently been shown to have PTCH1 mutations.12 In one of the studies,13 CEOT has also been shown to exhibit the Liesegang ring phenomenon. At first, amyloid is PAS-negative and cytokeratin negative, however, over time, as the tumor passes through stages of development the amyloid becomes cytokeratin positive and amyloid negative.13
Metastatic tumors like renal cell carcinoma should also be considered in the differential diagnosis of hyalinizing clear cell carcinoma. However, these patients usually have a history of renal mass. In case of metastasis these tumors will be positive for CAIX and PAX8 unlike HCCC and lack EWSR1 rearrangement.
Table 1 summarizes the major differentials of hyalinizing clear cell carcinoma, and Table 2 summarizes the immunohistochemical patterns.


CONCLUSION
Hyalinizing clear cell carcinoma (HCCC) is a rare minor salivary gland tumor characterized by epithelial cells with variably clear cytoplasm arranged in sheets, cords, nests, or trabeculae set in a loose hyalinized stroma. Because of the clear cell morphology, it can be easily confused with other aggressive salivary gland tumors having clear cells like epithelial-myoepithelial carcinoma, mucoepidermoid carcinoma, and myoepithelial carcinoma etc. Hyalinizing clear cell carcinomas, however, have an excellent overall outcome with only occasional metastasis, unlike its other mimickers, therefore, rendering accurate diagnoses is imperative, not only so that the patient can receive the correct treatment, but also that they do not receive the treatment they do not require. Immunohistochemistry is also not very specific for these tumors. Because of its significant histologic and immunohistochemical overlap with other salivary gland neoplasms they pose a diagnostic challenge to pathologists. Since conventional methods are not completely conclusive for these tumors, there is a relatively specific test that may be ordered to diagnose the hyalinizing variant of clear cell carcinoma specifically. Molecular tests to determine the presence of EWSR1 and AFT1 rearrangement is rather specific for HCCC.11-14 However, one of the recent studies have described its presence in clear cell odontogenic carcinoma.8 EWSR1-CREM fusion have also recently been found in these tumors,9,10 however, its importance is yet to be described. As the field of molecular pathology advances, perhaps FISH or microarray evaluation of properly preserved tissue will become a standard ancillary test for the diagnosis of salivary gland tumors.
REFERENCES
Lawal AO, Adisa AO, Kolude B, Adeyemi BF. Malignant salivary gland tumours of the head and neck region: a single institutions review. Pan Afr Med J. 2015;20:121. http://dx.doi.org/10.11604/pamj.2015.20.121.3458. PMid:26213602.
Ellis GL, Auclair PL, editors. Armed forces Institute of pathology (AFIP) atlas of tumor pathology. Tumors of the salivary glands. Maryland: ARP Press; 2008. p. 301-309.
Weinreb I. Hyalinizing clear cell carcinoma of salivary gland: a review and update. Head Neck Pathol. 2013;7(Suppl 1), S20-9. http://dx.doi.org/10.1007/s12105-013-0466-8.
O’Sullivan-Mejia ED, Massey HD, Faquin WC, Powers CN. Hyalinizing clear cell carcinoma: report of eight cases and a review of literature. Head Neck Pathol. 2009;3(3):179-85. http://dx.doi.org/10.1007/s12105-009-0124-3. PMid:20596970.
Milchgrub S, Gnepp DR, Vuitch F, Delgado R, Albores-Saavedra J. Hyalinizing clear cell carcinoma of salivary gland. J. Am J Surg Pathol. 1994;18(1):74-82. http://dx.doi.org/10.1097/00000478-199401000-00007. PMid:7506496.
AlAli BM, Alyousef MJ, Kamel AS, Al Hamad MA, Al-Bar MH, Algowiez RM. Primary paranasal sinus hyalinizing clear cell carcinoma: a case report. Diagn Pathol. 2017;12(1):70. http://dx.doi.org/10.1186/s13000-017-0659-7. PMid:28946910.
Antonescu CR, Katabi N, Zhang L, et al. EWSR1-ATF1 fusion is a novel and consistent finding in hyalinizing clear-cell carcinoma of salivary gland. Genes Chromosomes Cancer. 2011;50(7):559-70. http://dx.doi.org/10.1002/gcc.20881. PMid:21484932.
Bilodeau EA, Weinreb I, Antonescu CR, et al. Clear cell dontogenic carcinomas show EWSR1 rearrangements: a novel finding and biologic link to salivary clear cell carcinomas. Am J Surg Pathol. 2013;37(7):1001-5. http://dx.doi.org/10.1097/PAS.0b013e31828a6727.
Kao YC, Sung YS, Zhang L, et al. EWSR1 fusions with CREB family transcription factors define a novel myxoid mesenchymal tumor with predilection for intracranial location. Am J Surg Pathol. 2017;41(4):482-90. http://dx.doi.org/10.1097/PAS.0000000000000788. PMid:28009602.
Chapman E, Skalova A, Ptakova N, et al. Molecular profiling of hyalinizing clear cell carcinomas revealed a subset of tumors harboring a novel EWSR1-CREM fusion: report of 3 cases. Am J Surg Pathol. 2018;42(9):1182-9. http://dx.doi.org/10.1097/PAS.0000000000001114. PMid:29975250.
Urano M, Nakaguro M, Yamamoto Y, et al. Diagnostic significance of HRAS mutations in epithelial-myoepithelial carcinomas exhibiting a broad histopathologic spectrum. Am J Surg Pathol. 2019;43(7):984-94. http://dx.doi.org/10.1097/PAS.0000000000001258. PMid:30994537.
Peacock ZS, Cox D, Schmidt BL. Involvement of PTCH1 mutations in the calcifying epithelial odontogenic tumor. Oral Oncol. 2010;46(5):387-92. http://dx.doi.org/10.1016/j.oraloncology.2010.02.023. PMid:20371205.
Sarit Aviel-Ronen MD, Pavel Liokumovich MD, David Rahima MD. The amyloid deposit in calcifying epithelial odontogenic tumor is immunoreactive for cytokeratins. Arch Pathol Lab Med. 2000;124(6):872-6. PMid:10835524.
Jin R, Craddock KJ, Irish JC, Perez-Ordonez B, Weinreb I. Recurrent hyalinizing clear cell carcinoma of the base of tongue with high-grade transformation and EWSR1 gene rearrangement by FISH. Head Neck Pathol. 2012;6(3):389-94. http://dx.doi.org/10.1007/s12105-012-0338-7. PMid:22350795.
Notes
Author notes
Correspondence Momal Tara Chand Department of Pathology - Ascension St. John Hospital 22101 Moross Rd – Detroit/Michigan – USA PO Box: MI 48236 Phone: +001- (313) 398-3922 / Fax: +001- (313) 881-4727momal.chand@ascension.org; taramomal@gmail.com
Conflict of interest declaration