Article / Clinical Case Report
Myeloid sarcoma in the tongue
Myeloid sarcoma in the tongue
Autopsy and Case Reports, vol. 10, no. 2, 2020
Hospital Universitário da Universidade de São Paulo
Received: 27 November 2019
Accepted: 15 February 2020
DOI: 10.4322/acr.2020.160
Abstract: Leukemic cells are rarely present in the oral cavity, and there are very few reports regarding such cases. However, we identified some reports of leukemic cells infiltrating tissues in the oral cavity, including gingival involvement. Recurrent painful oral ulcerations and prominent generalized periodontal destruction are the most common oral features of neutrophil disorders, and they may even be the initial symptoms of the disease. The ulcers may affect any part of the oral mucosa, including the tongue and palate. The objective of this report is to describe and discuss a case of myeloid sarcoma in the oral cavity of a 48-year-old male patient.
Keywords: Leukemia, Medical Oncology, Pathology, Oral, Oral Medicine.
INTRODUCTION
Based on the current World Health Organization (WHO) classification,1 myeloid sarcoma (formerly known as chloromas or granulocytic sarcomas) are extramedullary myeloid tumors that usually occurs concurrently with acute or chronic myeloid leukemia or with other types of myeloproliferative disorders. It can also be the first manifestation of relapse or, less frequently, may precede leukemia by months to years.2 Soft tissue changes in the oral cavity such as oral bleeding, mucosal petechiae, gingival enlargement, mucosal ulceration, necrosis, and infection, are known to be associated with leukemia.2-4
The infiltration of leukemic cells within the oral cavity is rare. However, some case reports on leukemic cells infiltrating tissues of the oral cavity, including the gingiva were reported.5-7 Recurrent, painful oral ulcerations, and prominent generalized periodontal destruction are common features of neutrophil disorders, and they may even be the initial symptoms of the disease. The ulcers may affect any part of the oral mucosa, including the tongue and palate.8
The objective of this report is to describe and discuss a case of leukemic infiltration of the oral cavity of a 48-year-old male patient. Besides the gingival bleeding, he had a rare clinical presentation characterized by the development of persistent ulceration on the lateral border of the tongue. In addition to the differential diagnosis, we also report the clinicopathological and immunohistochemical characteristics of this malignancy.
CASE REPORT
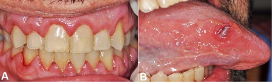
A 48-year male patient sought the emergency department complaining of malaise, sore throat, earache, and fever over the last week. His past medical history was unremarkable. The oral examination revealed generalized swollen gingiva on the buccal and lingual surfaces and petechiae (Figure 1A). The finding resembled hyperplasia and presented with spontaneous bleeding. On the right lateral border of the tongue, there was a hardened and ulcerated lesion of approximately 0.5cm (Figure 1B).

A complete blood count showed leukocytes of 119,000/mm3 (reference range [RR]; 3.500-10.500/mm3) and platelet of 36,000/mm3 (RR;150.000-450.000/mm3). He was hospitalized with a working diagnosis of acute leukemia.
Despite the high suspicion of leukemic infiltration of the tongue, we assume it was nonspecific ulceration and performed an excisional biopsy of the tongue, taking into account the differential diagnosis of an eosinophilic ulcer of the oral mucosa. The histological examination showed poorly-differentiated hematolymphoid cells, with the presence of eosinophilic and neutrophilic cells, consistent with myeloid sarcoma. The immunohistochemistry panel showed positivity for CD45, CD68, lysozyme, MPO, and CD15 (Figure 2), confirming our diagnostic hypothesis.

The hematologic workup included a bone marrow aspirate that showed 87% immature cells, with the expression of myeloid (CD13 and CD33) and monocytic markers (CD64, CD14, CD300e, CD11b, and HLA-DR) by flow cytometry (Figure 3).

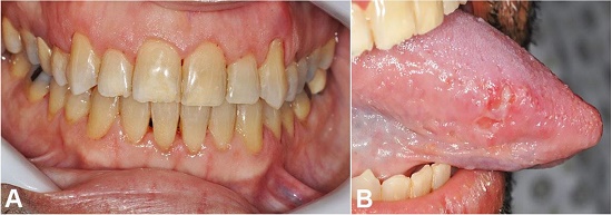
The cytogenetic analysis revealed a normal karyotype, and the panel of myeloid mutations by next-generation sequencing revealed mutations in FLT3, NPM1, and DNMT3 genes confirming the diagnosis of acute myeloid leukemia (AML). Daunorubicin (90 mg/m2) and cytarabine were given as induction chemotherapy. The patient had complete involution of the oral manifestations (gingival enlargement and the tongue ulcer) after 15 days of the first cycle of chemotherapy (Figure 4A and Figure 4B).

DISCUSSION
Leukemia is a worldwide public health problem with a complex etiology. The microscopic and molecular diagnostic criteria, currently proposed by WHO1 for its classification, require the molecular markers. In 2013, it was estimated that 333,975 people were living with leukemia in the United States, and 60,140 new cases were expected for 2016, and 24,400 would likely die.4 According to the Brazilian National Cancer Institute (INCA) in Brazil, 5,940 new cases of leukemia are estimated to occur in men and 4,860 in women for each year of the biennium 2018-2019.9 These values correspond to an estimated risk of 5.75 new cases per 100,000 men and 4.56 new cases per 100,000 women.9
The involvement of soft tissues of the oral cavity associated with all types of leukemia may present as lymphadenopathy, laryngeal pain, gingival bleeding, oral ulceration, and gingival enlargement.6,10 Among the different acute leukemias, the myelocytic and monocytic variants most frequently cause severe oral changes.7,11
The oral manifestation of myeloid sarcoma is rare. To the best of our knowledge, only 45 cases have been reported in the literature, of which only 6 were isolated oral myeloid sarcomas with bone marrow involvement.12 In some cases of isolated myeloid sarcomas, using real-time polymerase chain reaction (RT-PCR), gene fusions specific to AML were detected in the bone marrow of patients, suggesting that marrow involvement might occur early in the process before clinical detection. In these cases, if an inadequate systemic treatment is used, isolated myeloid sarcomas likely progress to AML in 5 to 12 months.12
According to Stafford et al.,13 oral lesions are more frequently seen in patients with acute leukemia. Oral manifestations are three times less frequent in chronic leukemia compared to acute leukemia.6 They may be either the result of direct infiltration by leukemic cells (primary), or could be secondary to underlying thrombocytopenia, neutropenia, or impaired granulocyte function. Gingival infiltration, as the initial presentation of AML, is seen in 5% of the cases. Dreizen et al.14 showed that the incidence of gingival infiltrates was higher in patients with acute monocytic leukemia (66.7%), followed by those with acute myelomonocytic leukemia (18.5%) and acute myeloblastic leukemia (3.7%).
Leukemia patients presenting with early oral symptoms in routine dental practice are rare. Usually, the differential diagnoses include trauma, infection, and drug-induced ulcer. In our case, we considered leukemic infiltration because of the complete blood count at presentation.
As seen in our case, in the majority of the patients, myeloid sarcoma occurs in association with AML. However, Byrd et al.15 showed that the granulocytic sarcoma could be initially misdiagnosed in 46% of leukemia patients. The clinical course of granulocytic sarcoma can be varied and may be associated with three clinical situations: (i) AML, (ii) chronic myeloproliferative disorders, or (iii) as a forerunner of AML.9 Our case highlights a rare clinical presentation of myeloid sarcoma in the oral cavity in the context of AML, characterized by the development of persistent ulceration on the lateral border of the tongue, in addition to the gingival bleeding.
The cytogenetic analysis is one of the most important prognostic determinants in AML.16 Based on the cytogenetics and molecular findings, patients are stratified as having favorable, intermediate, and unfavorable risk.17
Our case revealed mutations in FLT3 and NPM1 genes, which are considered intermediate risk factors. Recently, Visani et al.18 stated that the combination of genetic, epigenetic, and transcriptional data would represent, in the future, the molecular basis for treatment decisions with the highest predictive potential.
Although the infiltration of malignant cells into the oral tissues is not an uncommon feature in leukemic patients, especially in patients with acute leukemia, infiltration of the tongue is rare19. On the other hand, while myeloid sarcomas can occur in any part of the body, the involvement of the oral cavity is uncommon, with only 37 cases reported according to the Yap et al. 20 report.
Myeloid sarcoma is a rare extramedullary tumor formed with immature myeloid cells. Usually appears with other oncohematologic disorders or myelodysplastic syndrome. Isolated myeloid sarcomas are unusual and typically progress to form AML.1 The clinical features reported on the oral cavity are diverse. The most common presentation of the tumor is a nodule with variables pigmentations, possible ulceration, and bleeding. It can affect the oral cavity on the tonsils, lips, gingiva, palate and tongue.20
Hitherto, there is not a precise percentage of the several oral site’s involvements. Like our case, another recent case-report by Ignacio-Cconchoy et al.20 also described oral myeloid infiltration in the tongue as the first manifestation of an oncohematologic disease.
The diagnosis of myeloid sarcomas in the oral cavity can be very challenging, especially without a history of hematological disorders or gingival leukemic involvement, due to nonspecific clinical features. Although very infrequent, the tongue can be an anatomical site of leukemic cell infiltration, and all professionals involved in the diagnosis of oncohematologic diseases should be alert to this possibility and assess the need for further investigation.
ACKNOWLEDGEMENTS
Laboratory of Pathology, Hospital Sírio-Libanês, São Paulo – SP.
REFERENCES
Swerdlow SH, Campo E, Harris NL, et al. WHO classification of tumours of haematopoietic and lymphoid tissues: 2. Genebra: WHO; 2017.
Dineshkumar T, Suresh V, Ramya R, Rajkumar K. Primary intraoral granulocytic sarcoma: a rare case presenting as generalized gingival enlargement. J Oral Maxillofac Pathol. 2016;20(3):523-6. http://dx.doi.org/10.4103/0973-029X.190958. PMid:27721621.
Jinbu Y, Naito H, Noguchi T, Akasaka Y, Ozawa K. Unusual tumor formation in the tongue of an acute myelocytic leukemia patient: report of a case. Oral Med & Pathol. 2000;5(1):53-6. http://dx.doi.org/10.3353/omp.5.53.
Noone A-M, Cronin KA, Altekruse SF, et al. Cancer incidence and survival trends by subtype using data from the surveillance epidemiology and end results program, 1992-2013. Cancer Epidemiol Biomarkers Prev. 2017;26(4):632-41. http://dx.doi.org/10.1158/1055-9965.EPI-16-0520. PMid:27956436.
Jinbu Y, Naito H, Noguchi T, Akasaka Y, Ozawa K. Unusual tumor formation in the tongue of an acute myelocytic leukemia patient: report of a case. Oral Med. Pathol. 2000;5(1):53-6. http://dx.doi.org/10.3353/omp.5.53.
Gomez RS, Duarte ECB, Guimarães ALS, et al. B-leukemic infiltrate in palate. Oral Oncol Extra. 2004;40(3):54-7. http://dx.doi.org/10.1016/j.ooe.2004.02.002.
Hasan, S., Khan, N. I. & Reddy, L. B. Leukemic gingival enlargement: report of a rare case with review of literature. 2015;5(1):65-7. http://dx.doi.org/10.4103/2229-516X.149251. PMID: 25664273.
Tirali RE, Yalcinkaya Erdemci Z, Cehreli SB. Oral findings and clinical implications of patients with congenital neutropenia: a literature review. Turk J Pediatr. 2013;55(3):241-5. PMid:24217068.
Brasil. Ministério da Saúde, Instituto Nacional de Câncer José Alencar Gomes da Silva. Estimativa 2018-Incidência de câncer no Brasil. Brasília: Ministério da Saúde; 2017.
Zimmermann C, Meurer MI, Grando LJ, Gonzaga Del Moral JÂ, da Silva Rath IB, Schaefer Tavares S. Dental treatment in patients with leukemia. J Oncol. 2015;2015:571739. http://dx.doi.org/10.1155/2015/571739. PMid:25784937.
Jordan RCK, Glenn L, Treseler PA. Granulocytic sarcoma: case report with an unusual presentation and review of the literature. J Oral Maxilofac Surg. 2002;60(10):1206-11. http://dx.doi.org/10.1053/joms.2002.35036.
Kirnbauer B, Wölfler A, Sill H, Beham A, Prettenhofer U, Jakse N. Myeloid sarcoma in the oral cavity. Int J Stomatol Occlusion Med. 2013;6(2):65-9. http://dx.doi.org/10.1007/s12548-012-0071-6.
Stafford R, Sonis S, Lockhart P, Sonis A. Oral pathoses as diagnostic indicators in leukemia. Oral Surg Oral Med Oral Pathol. 1980;50(2):134-9. http://dx.doi.org/10.1016/0030-4220(80)90200-5. PMid:6967202.
Dreizen S, McCredie KB, Keating MJ, Luna MA. Malignant gingival and skin ‘infiltrates’ in adult leukemia. Oral Surg Oral Med Oral Pathol. 1983;55(6):572-9. http://dx.doi.org/10.1016/0030-4220(83)90373-0. PMid:6576290.
Byrd JC, Edenfield WJ, Shields DJ, Dawson NA. Extramedullary myeloid cell tumors in acute nonlymphocytic leukemia: a clinical review. J Clin Oncol. 1995;13(7):1800-16. http://dx.doi.org/10.1200/JCO.1995.13.7.1800. PMid:7602369.
Grimwade D, Walker H, Oliver F, et al. The importance of diagnostic cytogenetics on outcome in AML: analysis of 1,612 patients entered into the MRC AML 10 trial. The Medical Research Council Adult and Children’s Leukaemia Working Parties. Blood. 1998;92(7):2322-33. http://dx.doi.org/10.1182/blood.V92.7.2322. PMid:9746770.
Schoch C, Kern W, Schnittger S, Hiddemann W, Haferlach T. Karyotype is an independent prognostic parameter in therapy-related acute myeloid leukemia (t-AML): an analysis of 93 patients with t-AML in comparison to 1091 patients with de novo AML. Leukemia. 2004;18(1):120-5. http://dx.doi.org/10.1038/sj.leu.2403187. PMid:14586477.
Visani G, Loscocco F, Isidori A, Piccaluga PP. Genetic profiling in acute myeloid leukemia: a path to predicting treatment outcome. Expert Rev Hematol. 2018;11(6):455-61. http://dx.doi.org/10.1080/17474086.2018.1475225. PMid:29792762.
Yap M, Hewson I, McLean C, Ciciulla J. Oral myeloid sarcoma: two case reports. Aust Dent J. 2014;59(4):511-5. http://dx.doi.org/10.1111/adj.12220. PMid:25159834.
Ignacio-Cconchoy FL, Benites-Zapata VA, Yanac-Avila RL, Vela-Velàsquez CT. Myeloid sarcoma of the tongue as a first manifestation of acute promyelocytic leukemia: a case report. Rep Pract Oncol Radiother. 2020;25(2):174-7. http://dx.doi.org/10.1016/j.rpor.2019.12.026. PMid:32021572.
Notes
Author notes
Correspondence Eduardo Rodrigues Fregnani Oral Medicine Department - Hospital Sírio-Libanês Rua Adma Jafet, 91 – São Paulo/SP – Brazil. CEP: 01308-060 Phone: +55 (11) 3394-5369 eduardofregnani@me.com
Conflict of interest declaration