Article / Autopsy Case Report
Hepatoid adenocarcinoma of the lung mimicking metastatic hepatocellular carcinoma
Hepatoid adenocarcinoma of the lung mimicking metastatic hepatocellular carcinoma
Autopsy and Case Reports, vol. 10, no. 2, 2020
Hospital Universitário da Universidade de São Paulo
Received: 06 January 2020
Accepted: 17 February 2020
DOI: 10.4322/acr.2020.162
ABSTRACT: Hepatoid adenocarcinoma of the lung is a rare subtype of lung cancer. We report a case of a metastatic hepatoid adenocarcinoma of the lung with aggressive behavior, including biopsy and autopsy findings. The pulmonary tumors showed features indistinguishable from hepatocellular carcinoma and were diffusely positive for Hepatocyte Paraffin 1.
Keywords: Adenocarcinoma, Hepatoid carcinoma, Hepatocellular carcinoma, Non-small cell carcinoma.
CASE REPORT
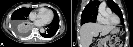
A 58-year-old male presented with cough and dyspnea for several months. He had no significant past medical history other than being a long-time smoker 31 packs/year. He was suspected of heart failure at a previous hospital because of pleural effusion in the chest radiography. He was referred to our hospital and a pleurocentesis was performed, with cytologic studies demonstrating atypical cells with hyperchromatic nuclei, prominent nucleoli and abundant eosinophilic and granular cytoplasm consistent with adenocarcinoma. The carcinoembryonic antigen (CEA) level was of 2260 ng/ml (reference value [RV]: <5.0 ng/ml); however, the alpha-fetoprotein (AFP) was not evaluated. A chest computed tomography (CT) revealed a 6.0-cm long poorly-defined right lower pulmonary lobe tumor with surrounding atelectasis and ipsilateral pleural effusion and a small contralateral pulmonary metastasis (Figure 1A). Whole-body CT scan and bone scintigraphy revealed metastases involving the bones, pleura, left lung (Figure 1A), and brain. At this time, no tumor in the liver was detected and the liver was not cirrhotic (Figure 1B).

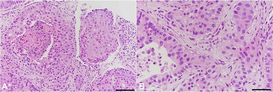
A fine needle biopsy of the right pulmonary lower lobe tumor revealed neoplastic cells with abundant eosinophilic cytoplasm and round nuclei arranged concentrically in a solid structure with central necrosis (Figure 2).

The immunohistochemical examinations were negative for thyroid transcription factor 1 (TTF-1), Napsin A, cytokeratin (CK) 5/6, and p40, but positive for CK7, polyclonal CEA (pCEA) and monoclonal CEA (mCEA), rendering the diagnosis of adenocarcinoma of unknown origin.
Three cycles of S-1 chemotherapy (tegafur, 5-chloro-2,4-dihydroxypyridine, and potassium oxonate) were administered, with tumor size reduction. Adjuvant radiotherapy and narcotic analgesia were combined afterward. The CT scan performed after six months of the diagnosis revealed an increasing size of the tumors in both lungs (Figure 3A). In addition, two liver nodules were detected (Figure 3B). The growing tumors in the right lung caused obstructive pneumonia, and the patient died of hypoxia six months after the initial presentation.

AUTOPSY
The autopsy was performed two hours after the patient’s death. The body weighed 59.6 kg and measured 168.0 cm in length (body mass index: 21.12).
The thoracic cavity contained more than 500 ml of hemorrhagic pleural effusion on the right side, with 200 ml of pale-yellow pleural effusion on the left. The right lung was 840.0 g (mean [m] reference value [RV]: 564.0 g), and the left lung 750.0 g (mRV: 480.4 g). Figure 4 shows the gross findings of the cut surfaces of the lungs. In the right lung, the pleura was thickened, the parenchyma was hardened, and the volume of the aerated region was decreased.

Multiple tumors (maximum diameter: 7.5 cm) in the right lower pulmonary lobe invaded the bronchi and pleura (Figures 4A, B). There were also several tumors in the left lung (maximum diameter: 2.5 cm). The tumors in the left lung were more circumscribed than those in the right (Figures 4C, D).
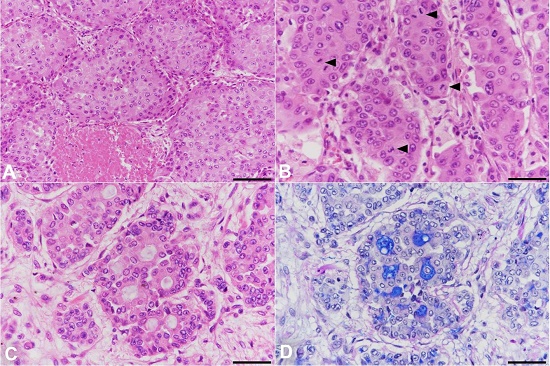
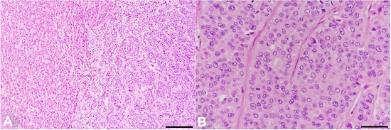
Microscopically, the tumors were composed of neoplastic cells containing abundant eosinophilic cytoplasm and round nuclei. The neoplastic cells formed solid nests and trabecular structures with central necrosis, with a distinct hepatoid morphology (Figure 5).

In addition, acidic mucin-producing acini was seen with both periodic-acid Schiff (PAS) and alcian blue (Figure 5D). The immunohistochemical reactions revealed positivity for Hepatocyte Paraffin 1 (Hep Par-1), pCEA, mCEA, CK7, and MOC-31 and negativity for AFP, TTF-1, Arginase-1, Sal-like protein 4 (SALL4), Glypican 3, CK20, CD10, Chromogranin A and Synaptophysin (Figure 6). SWI/SNF-related matrix-associated actin-dependent regulator of chromatin subfamily B member 1 (SMARCB1, INI-1), SMARCA2 (BRM), and SMARCA4 (BRG-1) were all retained. Although nuclei did not react for TTF-1, cytoplasmic TTF-1 staining was seen.

The tumors invaded the vasculature, pleura, and bronchi in the right lung. Also, the right peripheral lung exhibited organizing pneumonia and reduced alveolar airspaces because of the tumors.
The heart weighed 390.2 g (mRV: 377.5 g). The coronary arteries were mildly atherosclerotic with obstruction less than 30%. The right ventricle showed mild enlargement. Microscopically, small fibrotic foci were in the left ventricle.
At the opening of the peritoneal cavity, little peritoneal fluid was seen, and no peritoneal dissemination was detected.
The liver was 1420.3 g (mRV: 1431.7 g). Figure 7 shows the gross findings of the cut surface of the liver. Two nodules were seen, one in each major hepatic lobe, (maximum diameter: 2.3 cm).

They were well circumscribed and did not display capsulation. Microscopically, they demonstrated almost the same morphology as the lung lesions. Interestingly, the trabecular structures were even more marked in the liver lesions than in the lung lesions, as is seen in moderately differentiated hepatocellular carcinoma (Figure 8). There was no evidence of cirrhosis.

Immunohistochemical studies showed the same profile as those found in the lungs. In the non-neoplastic regions, the liver demonstrated sinusoidal dilatation around the central vein, consistent with right-sided heart failure.
Tumors were also seen in other organs, i.e., both adrenal glands, the left kidney, the lymph nodes, and the skin of the right chest wall. Microscopically, they all displayed the same morphology and immunohistochemical profile as the tumors found in the lungs and liver. Occult cancer (Adenocarcinoma, Gleason score: 3+4=7) was detected in the prostate with the usual features of prostatic adenocarcinoma. The aorta demonstrated mild atherosclerosis. There were no significant changes in the thyroid gland, gastrointestinal tract, spleen, bladder, or testes. Brain examination was not permitted.
DISCUSSION
The presenting symptoms in this case were cough and dyspnea and, on the basis of imaging studies, he was diagnosed with metastatic lung neoplasia. Autopsy revealed a widespread metastatic tumor, with the largest tumor in the right pulmonary lower lobe. Microscopically, the tumor cells formed trabecular structures, as seen in hepatocellular carcinoma, with mucin-producing acinar structures. The immunohistochemical examinations were reactive for Hep Par-1. Based on these pathological features, we considered the possibility of the adenocarcinoma of pulmonary origin or hepatocellular carcinoma of hepatic origin. However, we excluded the possibility of hepatocellular carcinoma of hepatic origin because the tumor in the lower lobe of the right lung was the largest and was increasing in size. The two liver nodules were tiny and well-circumscribed. In addition, there was no cirrhosis as is seen in the great majority of primary hepatocarcinoma. Thus, we concluded that the tumor with hepatoid features had its origin in the lungs.
Arginase-1 might be useful for distinguishing between hepatocellular carcinoma and hepatoid adenocarcinoma because Arginase-1 is a specific marker of hepatocellular carcinoma and is not expressed in hepatoid adenocarcinoma.1 In our case, the tumor cells in the lung and liver were both negative for Arginase-1. This result supported our diagnosis of pulmonary origin.
Hepatoid adenocarcinoma of the lung is a rare subtype of lung carcinoma, and only 22 cases have been reported in the full-text English literature.2-19 Ishikura et al.,20 first reported a hepatoid adenocarcinoma of the lung and proposed the following two diagnostic criteria: (i) presence of typical acinar or papillary adenocarcinoma, and (ii) presence of a carcinoma component which resembles hepatocellular carcinoma and produces AFP. However, only 12 out of 23 (52.2%) hitherto described cases exhibited high serum AFP levels (>10 ng/ml). One (4.3%) case exhibited a normal serum AFP level, and the serum AFP level was not assayed in ten (43.5%) cases, including the index case. The immunohistochemical examination of the tumor showed positivity for AFP in 14 out of 23 (60.9%) cases, while 6 out of 23 (26.1%) cases (including our case) were negative for AFP. AFP expression was not assessed in 3 out of 23 (13.0%) cases. Haninger et al.,5 examining five cases of hepatoid adenocarcinoma of the lung, found two cases negative for AFP; however, these cases displayed a pure hepatoid morphology. Based on these findings, Haninger et al.5, proposed the following modifications to Ishikura’s criteria: (i) The tumor can be a pure hepatoid adenocarcinoma or contain components of typical acinar or papillary adenocarcinoma, signet cells, or neuroendocrine carcinoma, and (ii) AFP expression is not mandatory for a diagnosis of hepatoid adenocarcinoma of the lung, as long as other markers of hepatic differentiation are expressed. We support the modified criteria for two reasons. The first is that AFP does not represent hepatoid differentiation. In a study involving a tissue microarray-based immunohistochemical analysis, Terracciano et al.16 reported that only 10 (8.2%) out of 121 hepatocellular carcinomas were positive for AFP. The second is that neither a high serum AFP level nor the tumor AFP expression directly results in a poor prognosis.5,6,17 In the current case, the cancer was aggressive, and the patient died six months after the initial diagnosis regardless of the tumor’s negative expression of AFP. Therefore, hepatoid morphology is the most important factor for diagnosing hepatoid adenocarcinoma of the lung.
The Hep Par-1-positive immunophenotype is also helpful for diagnosing hepatoid carcinoma. In the current case, the tumor cells were strongly positive for Hep Par-1. Out of 19 cases in which the tumor expression of Hep Par-1 was tested, 17 (89.5%) cases, including the current case, were found to be positive for Hep Par-1.2-10,14-18 Although Hep Par-1 is not a specific marker of hepatoid differentiation,21 a combination of the Hep Par-1-positive immunophenotype and hepatoid morphology should be considered to be supportive of the diagnosis of hepatoid adenocarcinoma.
The detection of cytoplasmic TTF-1 staining might aid the diagnosis of hepatoid adenocarcinoma of the lung. Including the present case, cytoplasmic TTF-1 staining was reported in nine cases of the disease.5,9,10,18 In previous studies, TTF-1 immunoreactivity was detected in the cytoplasm of hepatocytes or hepatocellular carcinoma, and it was found to be caused by a protein of approximately 160 kDa reacting with a specific anti-TTF-1 antibody (clone 8G7G3/1).22,23 Therefore, the cytoplasmic TTF-1 immunoreactivity seen in hepatoid adenocarcinoma might occur via the same mechanism. Therefore, in cases in which cytoplasmic TTF-1 staining is detected in an adenocarcinoma despite the nuclei of the cancer cells being negative for TTF-1, the possibility that the tumor originated in the lungs needs to be considered.
Hepatoid adenocarcinoma has a very poor prognosis.6 In the present case, the cancer presented an aggressive behavior. However, patients that were operated on at an early stage of the disease, exhibited a favorable prognosis.5,12,15,24 Recently, Basse et al.18 reported that mismatch repair deficiency hepatoid adenocarcinoma of the lung responded to anti-programmed death-ligand 1 (PD-L1) antibody therapy, despite the absence of PD-L1 expression. Although it is uncertain how often hepatoid adenocarcinoma of the lung displays mismatch repair deficiency, anti-PD-L1 therapy should be considered in such cases.
CONCLUSION
We report an autopsy case of hepatoid adenocarcinoma of the lung, which metastasized to multiple organs and progressed aggressively. The lung tumors exhibited hepatoid features and were diffusely positive for Hep Par-1. The lung tumors were considered to mimic hepatocellular carcinoma because morphologically, the liver tumors displayed more marked hepatoid features than the lung tumors. The patient’s clinical features were the most useful tool for aiding the identification of the primary site. In addition, TTF-1 cytoplasmic staining might help to identify the primary site in such cases, as it is seen in some adenocarcinomas of pulmonary origin despite the nuclei of such tumors being negative for TTF-1.
ACKNOWLEDGEMENTS
We thank Dr. Shigeki Morita for his thoughtful suggestions regarding the present case.
REFERENCES
Yan BC, Gong C, Song J, et al. Arginase-1: a new immunohistochemical marker of hepatocytes and hepatocellular neoplasms. Am J Surg Pathol. 2010;34(8):1147-54. http://dx.doi.org/10.1097/PAS.0b013e3181e5dffa. PMid:20661013.
Che YQ, Wang S, Luo Y, Wang JB, Wang LH. Hepatoid adenocarcinoma of the lung: presenting mediastinal metastasis without transfer to the liver. Oncol Lett. 2014;8(1):105-10. http://dx.doi.org/10.3892/ol.2014.2064. PMid:24959228.
Motooka Y, Yoshimoto K, Semba T, et al. Pulmonary hepatoid adenocarcinoma: report of a case. Surg Case Rep. 2016;2(1):1. http://dx.doi.org/10.1186/s40792-016-0129-6. PMid:26943677.
Mokrim M, Belbaraka R, Allaoui M, et al. Hepatoid Adenocarcinoma of the Lung: A Case Report and Literature Review. J Gastrointest Cancer. 2012;43(Suppl 1):S125-7. http://dx.doi.org/10.1007/s12029-011-9318-5. PMid:21894458.
Haninger DM, Kloecker GH, Bousamra M 2nd, Nowacki MR, Slone SP. Hepatoid adenocarcinoma of the lung: report of five cases and review of the literature. Mod Pathol. 2014;27(4):535-42. http://dx.doi.org/10.1038/modpathol.2013.170. PMid:24030743.
Grossman K, Beasley MB, Braman SS. Hepatoid adenocarcinoma of the lung: review of a rare form of lung cancer. Respir Med. 2016;119:175-9. http://dx.doi.org/10.1016/j.rmed.2016.09.003. PMid:27692141.
Sun JN, Zhang BL, Li LK, Yu HY, Wang B. Hepatoid adenocarcinoma of the lung without production of alpha-fetoprotein: a case report and review of the literature. Oncol Lett. 2016;12(1):189-94. http://dx.doi.org/10.3892/ol.2016.4559. PMid:27347123.
Papatsimpas G, Kamposioras K, Goula K, et al. Hepatoid pancoast tumor: a case report and review of the literature. Lung Cancer. 2012;77(2):239-45. http://dx.doi.org/10.1016/j.lungcan.2012.05.102. PMid:22677427.
Gavrancic T, Park YH. A novel approach using sorafenib in alpha fetoprotein-producing hepatoid adenocarcinoma of the lung. J Natl Compr Canc Netw. 2015;13(4):387-91, quiz 91. http://dx.doi.org/10.6004/jnccn.2015.0054. PMid:25870375.
Shaib W, Sharma R, Mosunjac M, Farris AB 3rd, El Rayes B. Hepatoid adenocarcinoma of the lung: a case report and review of the literature. J Gastrointest Cancer. 2014;45(Suppl 1):99-102. http://dx.doi.org/10.1007/s12029-013-9558-7. PMid:24408270.
Miyake M, Ito M, Mitsuoka A, et al. Alpha-fetoprotein and human chorionic gonadotropin-producing lung cancer. Cancer. 1987;59(2):227-32. http://dx.doi.org/10.1002/1097-0142(19870115)59:2<227::AID-CNCR2820590209>3.0.CO;2-X. PMid:2433015.
Hayashi Y, Takanashi Y, Ohsawa H, Ishii H, Nakatani Y. Hepatoid adenocarcinoma in the lung. Lung Cancer. 2002;38(2):211-4. http://dx.doi.org/10.1016/S0169-5002(02)00214-3. PMid:12399135.
Hiroshima K, Iyoda A, Toyozaki T, et al. Alpha-fetoprotein-producing lung carcinoma: report of three cases. Pathol Int. 2002;52(1):46-53. http://dx.doi.org/10.1046/j.1440-1827.2002.01311.x. PMid:11940206.
Kishimoto T, Yano T, Hiroshima K, Inayama Y, Kawachi K, Nakatani Y. A case of α-fetoprotein–producing pulmonary carcinoma with restricted expression of hepatocyte nuclear factor-4α in hepatoid foci: a case report with studies of previous cases. Hum Pathol. 2008;39(7):1115-20. http://dx.doi.org/10.1016/j.humpath.2007.12.013. PMid:18570977.
Lin SF, Hsu WH, Chou TY. Primary pulmonary hepatoid carcinoma: report of a case and review of the literature. Kaohsiung J Med Sci. 2013;29(9):512-6. http://dx.doi.org/10.1016/j.kjms.2013.01.007. PMid:24018156.
Terracciano LM, Glatz K, Mhawech P, et al. Hepatoid adenocarcinoma with liver metastasis mimicking hepatocellular carcinoma: an immunohistochemical and molecular study of eight cases. Am J Surg Pathol. 2003;27(10):1302-12. http://dx.doi.org/10.1097/00000478-200310000-00002. PMid:14508391.
Valle L, Thomas J, Kim C, et al. Hepatoid adenocarcinoma of the lung metastasizing to the tonsil. Mol Clin Oncol. 2017;6(5):705-7. http://dx.doi.org/10.3892/mco.2017.1215. PMid:28529745.
Basse V, Schick U, Gueguen P, et al. A mismatch repair-deficient hepatoid adenocarcinoma of the lung responding to Anti-PD-L1 durvalumab therapy despite no PD-L1 expression. J Thorac Oncol. 2018;13(7):e120-2. http://dx.doi.org/10.1016/j.jtho.2018.03.004. PMid:29935850.
Arnould L, Drouot F, Fargeot P, et al. Hepatoid adenocarcinoma of the lung: report of a case of an unusual alpha-fetoprotein-producing lung tumor. Am J Surg Pathol. 1997;21(9):1113-8. http://dx.doi.org/10.1097/00000478-199709000-00018. PMid:9298890.
Ishikura H, Kanda M, Ito M, Nosaka K, Mizuno K. Hepatoid adenocarcinoma: a distinctive histological subtype of alpha-fetoprotein-producing lung carcinoma. Virchows Arch A Pathol Anat Histopathol. 1990;417(1):73-80. http://dx.doi.org/10.1007/BF01600112. PMid:1694332.
Fan Z, van de Rijn M, Montgomery K, Rouse RV. Hep par 1 antibody stain for the differential diagnosis of hepatocellular carcinoma: 676 tumors tested using tissue microarrays and conventional tissue sections. Mod Pathol. 2003;16(2):137-44. http://dx.doi.org/10.1097/01.MP.0000052103.13730.20. PMid:12591966.
Pan CC, Chen PC, Tsay SH, Chiang H. Cytoplasmic immunoreactivity for thyroid transcription factor-1 in hepatocellular carcinoma: a comparative immunohistochemical analysis of four commercial antibodies using a tissue array technique. Am J Clin Pathol. 2004;121(3):343-9. http://dx.doi.org/10.1309/8BM44NK626997DJJ. PMid:15023038.
Gu K, Shah V, Ma C, Zhang L, Yang M. Cytoplasmic immunoreactivity of thyroid transcription factor-1 (clone 8G7G3/1) in hepatocytes: true positivity or cross-reaction? Am J Clin Pathol. 2007;128(3):382-8. http://dx.doi.org/10.1309/CADCVWHR2QF6JMVN. PMid:17709311.
Carlinfante G, Foschini MP, Pasquinelli G, Scotti R, Cavazza A. Hepatoid carcinoma of the lung: a case report with immunohistochemical, ultrastructural and in-situ hybridization findings. Histopathology. 2000;37(1):88-9. http://dx.doi.org/10.1046/j.1365-2559.2000.00955-5.x. PMid:10931226.
Notes
Author notes
Correspondence Yu Miyama Department of Pathology - Graduate School of Medicine - The University of Tokyo 7-3-1 Hongo – Bunkyo-ku/Tokyo 113-0033 – Japan Phone: +81 (3) 5841-3341 / Fax: +81 (3) 3815-8379 miyamay-pat@h.u-tokyo.ac.jp
Conflict of interest declaration