Article / Clinical Case Report
Emphysematous gastritis due to Sarcina ventriculi infection in a diabetic liver-kidney transplant recipient
Emphysematous gastritis due to Sarcina ventriculi infection in a diabetic liver-kidney transplant recipient
Autopsy and Case Reports, vol. 10, no. 2, 2020
Hospital Universitário da Universidade de São Paulo
Received: 08 February 2020
Accepted: 27 February 2020
DOI: 10.4322/acr.2020.164
ABSTRACT: Emphysematous gastritis (EG) is a rare and potentially lethal process caused by invasive, gas-producing bacteria leading to inflammation and gas dissection of the stomach. The most common etiologic agents are Clostridium infections, but other organisms, including enterobacteria, staphylococcus, and fungi have also been identified. We report the first case of EG due to Sarcina ventriculi in a solid organ transplant recipient, who presented with epigastric pain and vomiting. The patient had a history of type 1 diabetes mellitus (DM) with recurrent episodes of ketoacidosis and systemic diabetic complications, including severe gastroparesis. CT scan studies demonstrated EG with venous air, and endoscopy showed severe gastritis and ulcerations. In the gastric biopsies, abundant Sarcina ventriculi were noted in areas of mucosal/submucosal necrosis. Antibiotic treatment was instituted at admission, and subsequent endoscopy demonstrated the disappearance of Sarcina, with some improvement of the gastric inflammation; however, the patient developed septic shock with multiorgan failure and expired. This case highlights the need to consider other infectious etiologies in transplant patients, in addition to the well-known opportunistic infections.
Keywords: Gastroparesis, Clostridium, Renal insufficiency, Graft Rejection, Liver Failure, Cholestasis, Diabetes Mellitus.
INTRODUCTION
Sarcina ventriculi was first described in 1842 in the stomach of a patient with gastric pain and vomiting.1 This Gram-positive, non-motile, anaerobic coccus from the clostridia class, thrives in acid environments and produces gas secondary to its exclusive carbohydrate fermentative metabolism.
The genus name Sarcina derives from Latin for its characteristic appearance resembling a roman soldier package or bundle, bound with a cord. Their appearance makes them easily recognizable in routine histology sections.
In recent years there has been an exponential rise in clinical reports implicating Sarcina ventriculi as a human pathogen.2-14 Delayed gastric emptying, gastroparesis, outlet obstruction, and gastric surgery provide an ideal medium for replication of the organism, which can be associated with minor or very severe gastroesophageal pathological changes, including EG.5
CASE REPORT
We present the case of a 35-year-old patient with combined liver-kidney transplantation for primary sclerosing cholangitis and diabetic nephropathy due to Type 1 DM. Induction immunosuppression was with steroids only, and maintenance was based on tacrolimus, mycophenolate mofetil (MMF) and steroids.
Both organs functioned well immediately, but throughout the post-transplantation period the patient had innumerable admissions for diabetic ketoacidosis (DKA), and consistently HbA1c was >11% (Reference range [RR]; <6%). Documented diabetic complications included gastroparesis, retinopathy, and diabetic foot ulcers.
In the fourth-year post-transplantation, the patient was admitted for severe epigastric pain, nausea, vomiting with episodes of coffee ground-like emesis, and diarrhea. Concurrent DKA, abnormal liver function tests with a cholestatic pattern, and icterus were also identified. There was leukocytosis (14.3 K/mm3, RR; 4.5-11.0 K/mm3), and the patient was empirically initiated on piperacillin-tazobactam and Amphotericin B.
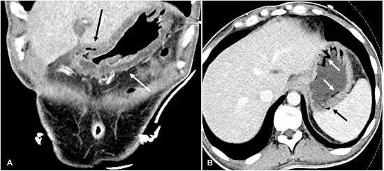
Computed Tomography (CT) scan of the abdomen showed diffuse gastric wall thickening due to edema (Figure 1A), with areas of gastric pneumatosis and venous air (Figure 1B). There was also punctate air in the superior mesenteric vein and main portal vein. No free air was noted.

Upper gastrointestinal (GI) endoscopy demonstrated severe mucosal erythema, multifocal superficial ulcerations with purulent exudates in the gastric body and antrum, and scattered blood clots, indicating recent hemorrhage (Figure 2).

Multiple biopsies of the stomach showed areas of inflamed body mucosa as well as fragments with complete mucosal/submucosal necrosis. There were fibrinopurulent exudates, focal hemorrhages, and abundant clusters of Sarcina ventriculi with their characteristic tetrad based clustered appearance (Figure 3 and Figure 4).


The patient continued treatment with IV piperacillin-tazobactam and clindamycin for 8 days. Repeat CT scan and endoscopy 5 days after the initial diagnosis demonstrated apparent improvement of gastritis with gastric biopsies being negative for organisms. Some improvement of the upper GI symptoms was noted, but there was persistent C difficile-negative diarrhea, rectal bleeding, and pancolitis. The patient received additional treatment with vancomycin, micafungin, and metronidazole, with no clear improvement. Subsequently, the patient had severe anion gap metabolic acidosis, uremic pericarditis, encephalopathy, multifocal renal infarctions requiring hemodialysis, coagulopathy, shock, and multiorgan failure. Persistent leukocytosis was noted, reaching 47.4 K/mm3 before death.
Regarding the transplanted organs and immunosuppression, the patient reported at admission non-compliance with the immunosuppression medications for several weeks due to financial hardship. Due to the infection, immunosuppression during hospitalization was minimal, consisting only of tacrolimus with a goal of 3ng/ml. Serum creatinine was 3.6mg/dl at admission (baseline 1.2-1.4), but renal function progressively worsened. Biopsy of the kidney allograft showed acute tubular injury and chronic active antibody-mediated rejection (microvascular inflammation, injury, and remodeling); multiple Class I and II donor-specific antibodies were identified with mean fluorescence index (MFI) >10,000 each. The liver allograft biopsy showed chronic ductopenic rejection and cholestasis.
DISCUSSION
Sarcina ventriculi, an organism known for more than 150 years, is common in the environment and can occur in animals and humans with vegetarian diets.5-9 A handful of case reports and small series attribute to this organism a variable pathogenic role ranging from severe necrotizing, phlegmonous gastritis to a harmless entity colonizing the stomach.2,5,6,10,13 Development of Sarcina gastritis after ingestion of spores from soil and food is likely dependent on the conditions present in the gastric cavity. Whereas the organism appears to be innocuous in a stomach with intact mucosa and normal emptying, bacterial proliferation and gastritis can occur in patients with mucosal injury compounded by diabetic gastroparesis, surgical scarring, or neoplastic obstruction. An acidic environment and nutrients available from food stasis would facilitate the replication of Sarcina ventriculi and the potential development of EG. Pre-existing mucosal injury may act as a “nidus” for the anaerobic replication of the microorganism.5 In the case of our patient, the infection occurred in the setting of chronic gastric symptoms due to severe diabetic gastroparesis.
The diagnosis of EG is based on clinical, imaging, endoscopic, and histological findings.
Similar to ours, most patients present with non-specific symptoms, including abdominal pain, nausea, and vomiting. A high degree of suspicion is necessary for prompt diagnosis and treatment of EG.14
CT scan of the abdomen to demonstrate gastric intramural gas is the diagnostic modality of choice. EG should be differentiated from gastric emphysema, a benign self-resolving process more often resulting from increased air pressure in the gastric cavity (instrumentation, tube insertion).15 The identification of gastric wall air in association with infectious or acute abdomen symptoms is highly suspicious for EG. This process requires prompt treatment with antibiotics and an etiological diagnostic confirmation with endoscopic evaluation. Direct examination of the stomach provides the opportunity for microbiological studies and gastric biopsies. In the case of Sarcina ventriculi infections, routine Hematoxylin and Eosin (H&E) stained biopsies are diagnostic. These organisms appear with the characteristic tetrad based “packets” (Figure 3). Micrococcus can also form tetrads, but these are significantly smaller. The thick walls of Sarcina ventriculi in silver stain, can resemble fungal structures or vegetable matter.1 (Figure 3, Inset).
Cultures from the stomach are useful for other organisms causing EG but are not necessary or practical for Sarcina ventriculi identification that can be diagnosed morphologically on routine H&E staining. Nevertheless, Sarcina can be confirmed at the molecular level with polymerase chain reaction and sequencing of the 16Sribosomal RNA, and pyruvate decarboxylase genes.2,5,16
Treatment of EG should be instituted promptly and consists of IV antibiotics, proton pump inhibitors, and parenteral nutrition. The utilization of surgery in severe cases is more controversial.10,14,15
This is the first case of Sarcina EG reported in an organ transplant recipient, and the role of immunosuppression in Sarcina infections is unknown. It is possible that local conditions, including mucosal damage and abnormal gastric emptying, are more consequential for the infection than the immune status of the patient. On the other hand, liver transplant recipients have an increase in the load of Sarcina organisms17, and significant alterations of the microbiota composition occur after solid organ transplantation.18
Diabetic patients with gastroparesis represent a significant proportion of renal transplant recipients. Increased awareness of the risk of Sarcina ventriculi infections in these patients can help prevent unfavorable outcomes.
REFERENCES
Goodsir JWG. History of a case in which a fluid periodically ejected from the stomach contained vegetable organisms of an undercribed form. Edinb Med Surg J. 1842;57(151):430-43.
Al Rasheed MR, Senseng CG. Sarcina ventriculi: review of the literature. Arch Pathol Lab Med. 2016;140(12):1441-5. http://dx.doi.org/10.5858/arpa.2016-0028-RS. PMid:27922772.
de Meij TGJ, van Wijk MP, Mookhoek A, Budding AE. Ulcerative gastritis and esophagitis in two children with sarcina ventriculi infection. Front Med (Lausanne). 2017;4:145. http://dx.doi.org/10.3389/fmed.2017.00145. PMid:28913339.
Laass MW, Pargac N, Fischer R, Bernhardt H, Knoke M, Henker J. Emphysematous gastritis caused by Sarcina ventriculi. Gastrointest Endosc. 2010;72(5):1101-3. http://dx.doi.org/10.1016/j.gie.2010.02.021. PMid:20538273.
Lam-Himlin D, Tsiatis AC, Montgomery E, et al. Sarcina organisms in the gastrointestinal tract: a clinicopathologic and molecular study. Am J Surg Pathol. 2011;35(11):1700-5. http://dx.doi.org/10.1097/PAS.0b013e31822911e6. PMid:21997690.
Liu L, Gopal P. Sarcina ventriculi in a patient with slipped gastric band and gastric distention. Clin Gastroenterol Hepatol. 2018;16(4):A25-6. http://dx.doi.org/10.1016/j.cgh.2017.06.042. PMid:28666946.
Ratuapli SK, Lam-Himlin DM, Heigh RI. Sarcina ventriculi of the stomach: a case report. World J Gastroenterol. 2013;19(14):2282-5. http://dx.doi.org/10.3748/wjg.v19.i14.2282. PMid:23599657.
Tolentino LF, Kallichanda N, Javier B, Yoshimori R, French SW. A case report of gastric perforation and peritonitis associated with opportunistic infection by Sarcina ventriculi. Lab Med. 2003;34(7):535-7. http://dx.doi.org/10.1309/CDFF04HE9FHDQPAN.
Haroon Al Rasheed MR, Kim GJ, Senseng C. A rare case of sarcina ventriculi of the stomach in an asymptomatic patient. Int J Surg Pathol. 2016;24(2):142-5. http://dx.doi.org/10.1177/1066896915610196. PMid:26453674.
Singh K. Emphysematous gastritis associated with Sarcina ventriculi. Case Rep Gastroenterol. 2019;13(1):207-13. http://dx.doi.org/10.1159/000499446. PMid:31123448.
Tuuminen T, Suomala P, Vuorinen S. Sarcina ventriculi in blood: the first documented report since 1872. BMC Infect Dis. 2013;13(1):169. http://dx.doi.org/10.1186/1471-2334-13-169. PMid:23566207.
Vatn S, Gunnes G, Nybo K, Juul HM. Possible involvement of Sarcina ventriculi in canine and equine acute gastric dilatation. Acta Vet Scand. 2000;41(3):333-7. PMid:11126583.
Alvin M, Al Jalbout N. Emphysematous gastritis secondary to Sarcina ventriculi. BMJ Case Rep. 2018;2018:224233. http://dx.doi.org/10.1136/bcr-2018-224233.
Watson A, Bul V, Staudacher J, Carroll R, Yazici C. The predictors of mortality and secular changes in management strategies in emphysematous gastritis. Clin Res Hepatol Gastroenterol. 2017;41(1):e1-7. http://dx.doi.org/10.1016/j.clinre.2016.02.011. PMid:27339595.
Matsushima K, Won EJ, Tangel MR, Enomoto LM, Avella DM, Soybel DI. Emphysematous gastritis and gastric emphysema: similar radiographic findings, distinct clinical entities. World J Surg. 2015;39(4):1008-17. http://dx.doi.org/10.1007/s00268-014-2882-7. PMid:25446476.
Sauter JL, Nayar SK, Anders PD, D’Amico M, Butnor KJ, Wilcox RL. Co-existence of sarcina organisms and helicobacter pylori gastritis/duodenitis in pediatric siblings. J Clin Anat Pathol (JCAP). 2013;1(1):1-3. http://dx.doi.org/10.17303/jcap.2013.103. PMid:25664331.
Sun LY, Yang YS, Qu W, et al. Gut microbiota of liver transplantation recipients. Sci Rep. 2017;7(1):3762. http://dx.doi.org/10.1038/s41598-017-03476-4. PMid:28630433.
Fricke WF, Maddox C, Song Y, Bromberg JS. Human microbiota characterization in the course of renal transplantation. Am J Transplant. 2014;14(2):416-27. http://dx.doi.org/10.1111/ajt.12588. PMid:24373208.
Notes
Author notes
Correspondence Cinthia B. Drachenberg, M.D. University of Maryland Hospital 22 South Greene St., NBW49 - Baltimore/MD – USA 21201 Phone: +1 (410) 328-5555 / Fax +1 (410) 328-5508 Cdrachenberg@som.umaryland.edu
Conflict of interest declaration