Article / Clinical Case Report
Pediatric multifocal histiocytic sarcoma- a fatal diagnosis not to miss!
Pediatric multifocal histiocytic sarcoma- a fatal diagnosis not to miss!
Autopsy and Case Reports, vol. 10, no. 2, 2020
Hospital Universitário da Universidade de São Paulo
Received: 01 November 2019
Accepted: 28 March 2020
DOI: 10.4322/acr.2020.170
ABSTRACT: Histiocytic sarcoma (HS) is a rare hematolymphoid malignant neoplasm with an aggressive clinical course. It can arise de novo or from low-grade B-cell lymphoma. We describe the case of a 16-year-old boy referred to our hospital with generalized lymphadenopathy, weight loss, and decreased appetite for one month. The patient died undiagnosed on the 7th day of hospitalization. Lymph node and bone marrow biopsies were performed one day before the patient died. The lymph node biopsy revealed an architectural effacement with a diffuse proliferation of large pleomorphic neoplastic cells containing large, multilobulated nuclei, coarse vesicular chromatin, prominent nucleoli, and a moderate amount of eosinophilic cytoplasm. The bone marrow aspiration smears and biopsy also showed evidence of infiltration by these above-mentioned cells. Based on the morphology, along with the exclusion of many differential diagnoses by an extensive panel of immunohistochemical markers, a diagnosis of HS was made. This case report aims at evaluating all the clinical and immunophenotypic features of a case of HS with multifocal presentation and an aggressive clinical course in order to give a correct and definite diagnosis at the proper time.
Keywords: Histiocytic Sarcoma, Lymphoma, Immunophenotyping.
INTRODUCTION
Histiocytic sarcoma (HS) is an extremely rare malignant neoplasm of hematolymphoid origin with an aggressive clinical course.1 It can occur de novo or arise from a low grade B cell lymphoma2 and accounts for less than 1% of all hematolymphoid malignancies.3 Recently, the World Health Organization (WHO) has characterized HS as a malignant proliferation of cells that have morphological and immunohistochemical features of mature tissue histiocytes.4 It is believed to be derived from the monocytic/macrophage lineage, which has major roles in the processing and presentation of antigens to the T and B lymphocytes.5 It is an aggressive neoplasm with poor prognosis and its etiology is still unknown.4 The diagnosis of HS relies on the confirmation of its histiocytic lineage and by excluding the possibility of lymphoma and other poorly differentiated large-cell malignancies.6 In most cases, the presentation is extranodal, involving the intestinal tract, skin, soft tissue and spleen; therefore the diagnosis of these sarcomas with nodal presentation and bone marrow infiltration has rarely been reported.4 We, herein, report a case of HS presenting with extensive lymphadenopathy and bone marrow infiltration in a 16-year-old boy with fatal course.
CASE REPORT
A 16-year-old boy presented with extensive lymphadenopathy, fever, weight loss, and decreased appetite for one month. There was no significant past medical or surgical history. On physical examination, multiple, firm to hard, lobulated and irregular lesions, ranging in size from 1.5 to 6.0 cm, were palpable at the cervical, supraclavicular, umbilical, and both right and left lumbar regions. No hepatomegaly or splenomegaly was noted. Complete blood count, renal and liver function tests, alpha-fetoprotein (AFP) and beta-human chorionic gonadotropin (β hCG) levels were normal. Chest X-ray showed evidence of pneumonitis, and no mediastinal widening was observed. An abdominal ultrasound revealed extensive abdominal adenopathy suggestive of lymphoma. Fine needle aspiration cytology (FNAC) of the cervical lesion was suggestive of a high-grade large-cell lymphoma. Cervical lymph node and bone marrow biopsies were performed one day before the patient’s death. The cervical lesion was excised and sent for histopathological examination.
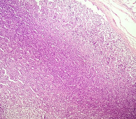
On histology, the lymph node showed complete effacement of its architecture by diffuse proliferation of large-sized pleomorphic neoplastic cells (Figure 1).

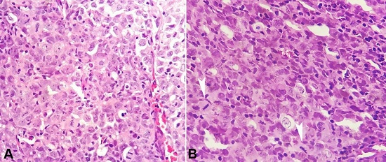
These cells had large, multilobated nuclei, coarse vesicular nuclear chromatin, and prominent nucleoli with abundant amount of eosinophilic cytoplasm. Large multinucleated cells were also noted (Figure 2A and Figure 2B). Numerous lymphocytes and few neutrophils interspersed these tumor cells. Frequent atypical mitotic figures were also noted.

An extensive panel of immunohistochemical markers was done (Table 1), which showed a strong positive reaction for CD68, CD4, vimentin, and weak positivity for CD45 and S-100 protein (Figure 3). EBV-LMP1 was negative. The Ki-67 index was 60%.


The tumor cells were negative for PanCK and EMA, which ruled out carcinoma. Negativity for PLAP, SALL4 and OCT4 ruled out germ cell tumor, negativity for CD30 and ALK protein ruled out anaplastic large cell lymphoma, negativity for TdT, CD3, CD5, CD7, CD20, CD56, and PAX5 ruled out lymphoblastic lymphomas, negativity for MPO and CD117 ruled out myeloid sarcomas, negativity for CD1a, Langerin, CD21 and CD35 ruled out dendritic origin tumors, negativity for HMB-45, MelanA and Sox10 ruled out melanoma, and negativity for desmin ruled out rhabdomyosarcoma.
Bone marrow aspiration and biopsy were obtained, both of which showed cellularity of over 80% with a diffuse infiltration by the large pleomorphic cells as described earlier in the lymph node biopsy. All three hematopoietic cell lineages were suppressed. The immunohistochemistry profile of the bone marrow biopsy was similar to the findings in the lymph node biopsy. The histiocytic origin of the tumor was confirmed by the positive reaction of the tumor cells for CD68 (clone KP1) (Figure 4).

The patient died from respiratory failure probably due to infection. The diagnosis was made posthumously on the basis of lymph node biopsy and immunohistochemistry taken just before his death. The autopsy of the patient was not performed as the deceased’s next of kin refused to authorize the procedure due to religious reasons.
DISCUSSION
Histiocytic sarcoma (also formerly known as “true histiocytic lymphoma”) is rare, with only a limited number of bona fide cases reported. HS occurs in individuals over a wide age range. The median age at presentation is 46 years with a predilection for males.4 While it occurs mainly in adults, pediatric HS cases have been reported.7 Pediatric HS has been reported in autoimmune lymphoproliferative syndrome.7 In the present case, the child has no such history.
The clinical presentation of HS varies according to organ involvement. In the majority of the cases, it occurs at extranodal sites, most commonly the gastrointestinal tract, skin, soft tissue, and spleen. However, Takahashi. E et al.5 described lymph nodes as the most common site of presentation. Two cases were diagnosed as a solitary mass in the rectum8 and spleen.4 In one case, HS was diagnosed with bone marrow biopsy.4
The 2001 WHO classification of hematopoietic and lymphoid tissues described HS as neoplasm with the absence of clonal B or T cell receptor rearrangements.5 Nevertheless, rare cases of HS with detectable immunoglobulin heavy chain (IGH) gene rearrangements have been described.9 Consequently, 2008 WHO classification no longer considers the absence of IGH gene or TCR gene rearrangements as a criterion for diagnosing HS and suggests that such cases are examples of transdifferentiation from one hematopoietic cell lineage to another.5 The molecular criterion of HS remains unchanged in the 2016 revised WHO classification of hematopoietic and lymphoid tissues.10
The diagnosis of HS is based on immunophenotypic markers. The tumor cells are positive for histiocytic-associated antigens, including CD68, CD163, and lysozyme, with the typical absence of B-cell and T-cell related markers. Histiocytes are frequently positive for HLA-DR, CD45RO, and CD45. S-100 protein may be expressed by the tumor cells but mostly focally and less intensely than in interdigitating dendritic cell sarcoma. Neoplastic cells are negative for markers linked with interdigitating or follicular dendritic cells (CD35, CD23, CD21), Langerhans cells (Langerin and CD1a), epithelial (PanCK and EMA), melanocytic (HMB-45 and Melan A) and myeloid cells (CD13, CD33, MPO) markers.5,11 However, it should be emphasized that none of the antibodies are specific for histiocytic origin. Therefore, evaluation with an extensive panel of antibodies in the context of morphology and clinical features is important.5
Diagnosis of HS requires recognition of the atypical histiocytic origin of the tumor cells along with the expression of the histiocytic-related markers, followed by exclusion of the differential diagnosis using an extensive panel of immunohistochemical markers.5 The differential diagnosis includes reactive histiocytic proliferation, dendritic cell sarcomas, large-cell non-Hodgkin lymphoma including anaplastic large-cell lymphoma and diffuse large-cell lymphoma, poorly differentiated large-cell carcinomas, malignant melanoma, and monocytic leukemia.5,12
The prognosis of HS is poor. Current data suggest that HS most often presents at an advanced clinical stage, with limited response to chemotherapy and high mortality. Most patients die because of the progression of the disease, since they are diagnosed at a later stage.5 However, the prognosis of local, small primary tumors is favorable.4 The stage of the disease and the tumor size are important prognostic indicators.1 No standardized treatment has been established for HS so far. For patients with localized lesions, the choice of treatment is surgical resection with or without radiation therapy.11 For multifocal, non-resectable, or aggressive disease, usually, chemotherapy is recommended.
CONCLUSION
As these tumors are exceedingly rare, understanding this malignancy is highly important. Recognizing HS at the proper time may be crucial for patients´ care and appropriate treatment.
REFERENCES
Machado ES, Miranda AC, Escopelli T, Caron R, Escopelli AC. Histiocytic sarcoma. Rev Bras Hematol Hemoter. 2011;33(2):155-7. http://dx.doi.org/10.5581/1516-8484.20110038. PMid:23284265.
Skala SL, Lucas DR, Dewar R. Histiocytic sarcoma: review, discussion of transformation from B-Cell lymphoma, and differential diagnosis. Arch Pathol Lab Med. 2018;142(11):1322-9. http://dx.doi.org/10.5858/arpa.2018-0220-RA. PMid:30407858.
Zhao J, Niu X, Wang Z, Lu H, Lin X, Lu Q. Histiocytic sarcoma combined with acute monocytic leukemia: a case report. Diagn Pathol. 2015;10(1):110. http://dx.doi.org/10.1186/s13000-015-0350-9. PMid:26187047.
Jang YH, Park CJ, Huh JR, Jang S, Chi HS. A case of histiocytic sarcoma diagnosed by bone marrow biopsy in a patient suffering from fever for 8 months. Korean J Lab Med. 2009;29(4):282-5. http://dx.doi.org/10.3343/kjlm.2009.29.4.282. PMid:19726888.
Takahashi E, Nakamura S. Histiocytic sarcoma: an updated literature review based on the 2008 WHO classification. J Clin Exp Hematop. 2013;53(1):1-8. http://dx.doi.org/10.3960/jslrt.53.1. PMid:23801128.
Sundersingh S, Majhi U, Seshadhri RA, Tenali GS. Multifocal histiocytic sarcoma of the gastrointestinal tract. Indian J Pathol Microbiol. 2012;55(2):233-5. http://dx.doi.org/10.4103/0377-4929.97891. PMid:22771652.
Venkataraman G, McClain KL, Pittaluga S, Rao VK, Jaffe ES. Development of disseminated histiocytic sarcoma in a patient with autoimmune lymphoproliferative syndrome and associated Rosai-Dorfman disease. Am J Surg Pathol. 2010;34(4):589-94. http://dx.doi.org/10.1097/PAS.0b013e3181d5ddf8. PMid:20216376.
Park MI, Song KS, Kang DY. Histiocytic sarcoma of rectum - a case report. Korean J Pathol. 2006;40:156-9.
Kim JM, Oh YS, Lee DW. A case of histiocytic sarcoma arising in head and neck region with rhabdoid differentiation. Korean J Otorhinolaryngol-Head Neck Surg. 2016;59(9):672-5. http://dx.doi.org/10.3342/kjorl-hns.2016.59.9.672.
Swerdlow SH, Campo E, Pileri SA, et al. The 2016 revision of the World Health Organization classification of lymphoid neoplasms. Blood. 2016;127(20):2375-90. http://dx.doi.org/10.1182/blood-2016-01-643569. PMid:26980727.
Flego V, Popper H, Volaric D, Bulat-Kardum L. Pulmonary histiocytic sarcoma: a case report and literature review. AJIM. 2017;5(5):91-4. http://dx.doi.org/10.11648/j.ajim.20170505.16.
Hornick J, Jaffe E, Fletcher C. Extranodal histiocytic sarcoma: clinicopathologic analysis of 14 cases of a rare epithelioid malignancy. Am J Surg Pathol. 2004;28(9):1133-44. http://dx.doi.org/10.1097/01.pas.0000131541.95394.23. PMid:15316312.
Notes
Author notes
Correspondence Vandana Raphael Department of Pathology - North Eastern Indira Gandhi Regional Institute of Health and Medical Sciences - NEIGRIHMS Mawdiangdiang, Shillong/Meghalaya – India Pin code 793018 Phone: +91 (0364) 9932089757 pragbaishya@gmail.com
Conflict of interest declaration