Article / Autopsy Case Report
Vasculitis with a neuromuscular presentation and associated cancer revealed by autopsy
Vasculitis with a neuromuscular presentation and associated cancer revealed by autopsy
Autopsy and Case Reports, vol. 10, no. 2, 2020
Hospital Universitário da Universidade de São Paulo
Received: 23 March 2020
Accepted: 24 April 2020
DOI: 10.4322/acr.2020.175
ABSTRACT: Peripheral neuropathy is common, but rarely due to vasculitis. This report is the case of a 74-year-old woman with systemic vasculitis who presented with progressive arm and leg weakness associated with numbness. Autopsy revealed a colon cancer, which may have triggered the vasculitis. This case illustrates the association between vasculitis and malignancy. The best treatment of vasculitis in patients with cancer-associated vasculitis is usually treatment of the cancer, which often yields remission of the vasculitis. This case also illustrates the difficulty of suspecting vasculitis since the symptoms and signs are nonspecific and protean. It is important not to miss a diagnosis of vasculitis. It is often life-threatening. It is treatable. The critical step in the diagnosis of vasculitis is to think of it.
Keywords : Paraneoplastic Polyneuropathy, Muscular Diseases, Systemic Vasculitis, Autopsy.
CASE REPORT
This 74-year-old woman was admitted to a community hospital in a rural area of the Mideast USA with the sudden onset of progressive symmetrical weakness of hands and feet, and numbness in a stocking glove distribution. Two weeks prior, she had an episode of abdominal pain and fecal incontinence that resolved. The patient had a 25-year history of hypertension. She also had a history of asthma, chronic obstructive pulmonary disease, mild depression, urinary tract infections, appendectomy, cholecystectomy, hysterectomy, thyroid lobectomy, cosmetic leg vein stripping, and repair of a ventral hernia. She had a remote history of smoking and did not drink alcohol. Her medications included enalapril, furosemide, potassium, montelukast, and amitriptyline plus perphenazine.
Computed tomography (CT) of the head and spine showed no acute processes. CT of the abdomen showed diverticulosis. The patient was started on empiric ciprofloxacin and metronidazole for presumptive urinary tract infection. Four days later, she was transferred to a nursing home for rehabilitation. Two days after that, she was brought back to the community hospital emergency room with profound weakness of her arms and inability to grasp with either hand. She also had increasing paresthesia of her feet. Her serum sodium was 127 mEq/L (reference range [RR]: 135-145 mEq/L). She was admitted with suspected Guillain Barré syndrome. A few days later, she was transferred to a referral hospital for further neurological evaluation.
On admission to the referral hospital, the patient was afebrile, with pulse 125/minute, blood pressure 140/90 mm Hg, respirations 18/minute and oxygen saturation 97% on supplemental oxygen at 3 L/min. She had distal extremity weakness, worse on the right (0/5) than the left (1-2/5). Sensory examination revealed numbness up to the ankles and wrists. Distal tendon reflexes were absent. Her sodium was 122 mEq/L, potassium 4.2 mEq/L (RR: 3.6-5 mEq/L), chloride 91 mEq/L (RR: 98-108 mEq/L), bicarbonate 26 mEq/L (RR: 22-26 mEq/L), glucose 98 mg/dL (RR: 65-100 mg/dL), blood urea nitrogen (BUN) 8 mg/dL (RR: 7-21 mg/dL), creatinine 0.4 mg/dL (RR: 0.5-1.4), hemoglobin 14.3 g/dL (RR: 12.0-15.2 g/dL), mean corpuscular volume 81.8 fL (RR: 78-101 fL), platelets 243,000/mm3 (RR: 140,000-450,000/mm3), white blood cell (WBC) count 13,500/mm3 (RR: 4,100-10,900/mm3) (83% neutrophils, 12% bands, 2% lymphocytes, 2% monocytes), erythrocyte sedimentation rate (ESR) 42 mm/hr (RR: <30 mm/hr), rheumatoid factor 226 IU/dL (RR: 40-60 IU/dL), C-reactive protein 16.8 mg/L (“high risk” >3 mg/L) and anti-nuclear antibody <40 IU/L (RR: <40 IU/L). Lumbar puncture showed cerebrospinal fluid with 1 WBC/mm3 and protein 73 mg/dL (RR: 15-60 mg/dL).
The next day, electromyography showed evidence of a severe axonal and demyelinating sensorimotor peripheral neuropathy. Magnetic resonance imaging of the brain showed age-related volume loss with chronic microangiopathic disease. Blood and urine testing for lead and mercury poisoning returned negative. Intravenous immunoglobulin therapy was started.
The next day, the patient was pleasant and conversant despite persistent sodium levels between 120 and 129 mEq/L. Her upper and lower extremities showed 2+ edema. CT showed marked elevation of the left hemidiaphragm, a small left pleural effusion and left basilar atelectasis. CT of the abdomen and pelvis was negative. Serology for human immunodeficiency virus, hepatitis B, hepatitis C, and Lyme disease IgM returned negative. The syndrome of inappropriate antidiuretic hormone was suspected and fluid restriction commenced.
The next day, a rheumatologist elicited a history of 2 episodes in the past 9 months of frontal headache, dry mouth, anorexia and early satiety; also, the patient had been told by an optometrist that she had dry eyes, but this was asymptomatic. The patient had remained afebrile in the hospital, with blood pressure 117-142 / 50-70 mm Hg. On examination by the rheumatologist, the patient had a non-blanching erythematous skin rash over her feet, palpable purpura over her left breast, loss of sensation from her feet up to her knees and from her fingertips to her elbows, inability to move her legs and right arm, areflexia, and glossitis, but no salivary or parotid gland enlargement. The WBC count was 13,700/mm3, hemoglobin 12.7 g/dL, BUN 8 mg/dL, and creatinine 0.3 mg/dL. The rheumatologist suspected vasculitis and prednisone (50 mg daily) was started. C3 complement was later reported 110 mg/dL (RR: 79-152 mg/dL), C4 complement <10 mg/dL (RR: 13-75 mg/dL), and serum protein electrophoresis and cryoglobulin test negative. Over the next few days, there was no neurological improvement, but the patient's serum sodium rose to 132 mEq/L.
The next day, the patient reported feeling much better, but that night began having episodes of confusion and delirium. Immunoglobulin therapy was discontinued and trazodone was started. The following day, she remained afebrile and hemodynamically stable. Her oxygen saturation was 98-100%. She appeared comfortable. Her lungs were clear. Her neurological status remained unchanged. The next day, serology for anti-Ro/SSA and anti-La/SSB was negative. The following day, open biopsies of the peroneus brevis muscle and peroneal and sural nerves were performed, which revealed necrotizing vasculitis of vessels in muscle and sural nerve, active and chronic neurogenic muscular changes, epineural fibrosis and chronic axonal loss.
The next day, the patient developed a large hematoma of unclear etiology in her upper right arm. Her platelet count dropped from 230,000/mm3 to 136,000/mm3. Chest radiograph showed unchanged left basilar atelectasis. The patient was receiving stress-ulcer prophylaxis as well as deep venous thrombosis prophylaxis. Bilateral venous duplex examination of her upper extremities showed no evidence of deep venous thrombosis. Immunofluorescence for anti-neutrophilic cytoplasmic antibodies was reported negative at a dilution of 1:20 (normal <1:40).
The following day, the patient exhibited acute mental status changes. Her hemoglobin dropped from 11.7 g/dL to 9.2 g/dL over 12 hours. CT showed a large left parietotemporal intraparenchymal hematoma with surrounding vasogenic edema; this compressed the posterior aspect of the left lateral ventricle and induced a small amount of midline shift. A decompressive craniotomy was performed. Follow-up CT showed a decrease in compression of the left ventricle and decreased midline shift. Electroencephalogram showed severely abnormal diffuse slowing, periodic lateralized epileptiform discharges, bi-hemispheric epileptiform discharges, and an electrographic seizure. Intravenous phenytoin (100 mg) was given.
The patient’s family was informed that she was not likely to make a meaningful recovery. A decision was reached with the family to provide comfort measures only and the patient died several days later.
Autopsy Findings
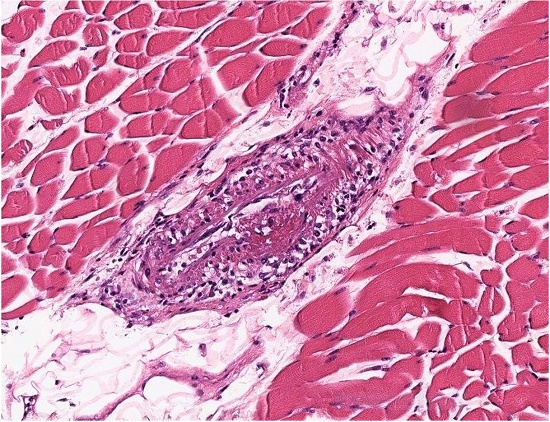
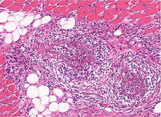
Postmortem examination revealed necrotizing vasculitis in skeletal muscle, (Figure 1 and Figure 2), peripheral nerves, esophagus, stomach, small intestine, pancreas, liver, adrenals, kidneys, lungs and pericardium, involving predominantly medium-sized arteries, but also some large parenchymal arteries in the liver, associated with multifocal thromboses in liver (up to 2 cm), myocardium, thoracic lymph nodes and left adrenal gland, and hemorrhages in left parietal-occipital cerebrum (7 × 6 × 5 cm), upper right arm (29 × 18 cm), stomach, intestines, bladder, pericardium, trachea, mesentery, omentum, right ovary and right breast. In addition to Figure 1 and Figure 2, a virtual (digital) slide of skeletal muscle is available for viewing at the Larry Nichols collection.1 It is case 003.


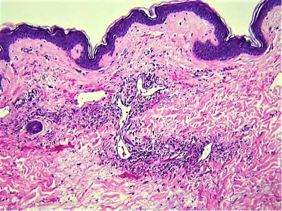
Autopsy also revealed leukocytoclastic vasculitis involving arterioles, capillaries and venules in the skin (Figure 3).

Autopsy also revealed a small, 0.6 cm, moderately differentiated, invasive adenocarcinoma in the cecum. The cerebral blood vessels had severe hypertensive vasculopathy and moderate atherosclerosis in those of the circle of Willis, but no vasculitis. There was severe acute transmural ischemic colitis of the rectum, a microscopic acute infarct of the left adrenal, and moderate coronary atherosclerosis, with up to 60% stenosis of the left anterior descending coronary artery. The myocardium had a microscopic area of necrosis adjacent to a thrombosed arteriole. The aorta had moderate atherosclerosis and mild cystic medial degeneration, but no aortitis. The pulmonary arteries contained a branched, recently formed (4 × 0.5 × 0.3 cm) thrombus in the left lower lobe, a branched, recently formed (6 × 1 × 0.5 cm) thrombus in the right middle lobe, microscopic non-occlusive thrombi, and multifocal fibrous intimal thickening suggestive of previous organized thromboemboli, but no vasculitis. The skin had petechiae and ecchymoses on the trunk and limbs. The kidneys had arteriolar nephrosclerosis, but no vasculitis or glomerulonephritis.
DISCUSSION
This case illustrates important aspects of vasculitis. Vasculitis usually presents with nonspecific signs and symptoms that are more often due to other conditions, such as fever that is more often due to infection. The patient in this case presented with weakness; that is more often due to Guillain Barré syndrome (suspected in this case), stroke, anemia, hypothyroidism, myasthenia gravis or encephalitis, just to name a few other causes. This patient's weakness was associated with numbness; that is more often due to diabetes mellitus, alcohol, chemotherapy, vitamin deficiency, Lyme disease or amyloidosis, just to name a few other causes. Peripheral neuropathy is common, especially in the elderly, but vasculitis is rarely the cause.2,3 Acute onset, as occurred in this case, or asymmetric findings raise the likelihood of that peripheral neuropathy is due to vasculitis.3 Peripheral neuropathy due to vasculitis is typically sensory and motor or sensory alone, but not pure motor.4 Almost any sign or symptom can be a manifestation of vasculitis. The most important step in the diagnosis of vasculitis is to think of it. The diagnosis of vasculitis requires biopsy or blood tests you would not seek unless you thought of the possibility of vasculitis.
Treatment and prognosis of vasculitis depend on what type of vasculitis an individual patient has, but individual cases of vasculitis are often difficult to classify.5 Our case illustrates this aspect of vasculitis. The 2012 revised international Chapel Hill consensus conference nomenclature of vasculitides provides definitions of the types of vasculitis.6 This nomenclature has Takayasu arteritis and giant cell arteritis as the only two types of large vessel vasculitis, polyarteritis nodosa and Kawasaki disease as the only two types of medium vessel vasculitis, and then 7 types of small vessel vasculitis, divided into those associated with antineutrophil cytoplasmic antibodies and those with immune complexes.6 Polyarteritis nodosa is defined as a necrotizing arteritis of medium or small arteries without glomerulonephritis or vasculitis in arterioles, capillaries or venules, and not associated with antineutrophil cytoplasmic antibodies (ANCAs).6 Our case had necrotizing arteritis involving predominantly medium arteries without glomerulonephritis or ANCA, but also leukocytoclastic vasculitis involving arterioles, capillaries and venules in the skin, which excludes it from the definition of polyarteritis nodosa.
The 2012 revised international Chapel Hill consensus conference nomenclature of vasculitides has a category called vasculitis associated with probable etiology and lists cancer-associated vasculitis in this category without describing this entity.6 The complete autopsy in this case revealed an unsuspected small (0.6 cm) invasive adenocarcinoma of the colon, so this might be a cancer-associated vasculitis. Malignant tumors are sometimes an immunological trigger resulting in an autoimmune vasculitis. In a study of 60 patients with cancer-associated vasculitis, 23% had vasculitis diagnosed before the malignancy (an average of one year prior), 38% had vasculitis and malignancy diagnosed concurrently, and 5% had the vasculitis treated effectively by surgical excision of the cancer.7 Few of the 60 patients in that study, however, had surgically removable tumor; 63% had hematologic malignancies and only 37% had solid tumors.7 In a study of 15 patients limited to those with solid tumors and paraneoplastic vasculitis, 53% had complete resolution of vasculitis after tumor removal and 27% had complete resolution of vasculitis after successful cytotoxic chemotherapy for the malignancy.8 Our patient had cutaneous leukocytoclastic vasculitis; this is the most common type of vasculitis associated with cancer.7,8 Consideration of the possibility of an occult malignancy is important in older adult patients who present with vasculitis, especially leukocytoclastic vasculitis of the skin.
Failure of vasculitis to respond to therapy should heighten the consideration of the possibility of an occult malignancy driving a paraneoplastic process.8 What makes this particularly important is that successful treatment of the cancer so often leads to simultaneous remission of the vasculitis. Recurrence of the vasculitis can herald recurrence of the cancer. This was seen in 47% of the patients in the study of solid tumor cancer-associated vasculitis; in one patient with bladder cancer, this happened 3 times, treated successfully each time, and the patient was free of disease at last follow-up, 4 years after initial presentation.8 The patient of our report, unfortunately, died of intracranial hemorrhage before her malignancy was discovered at autopsy.
A difficulty in this case is explaining the large intracerebral hemorrhage, which was the immediate cause of death. Vasculitis was not found in the cerebral vasculature. The intracerebral hemorrhage in this case cannot be directly attributed to vasculitis in the brain, but was most likely related to the patient's widespread vasculitis, perhaps due to thromboembolism from a site of vasculitis in the neck or mediastinum. Satisfying explanation sometimes eludes even complete autopsies.
The treatment of vasculitis has improved substantially. For instance, the advent of cyclophosphamide as a therapy for ANCA‐associated vasculitis (AAV) improved 2-year survival from less than 10% to over 80%.9 Improvements in the therapy and prognosis of vasculitis make it important never to miss this diagnosis and to learn from cases such as the one in this report.
CONCLUSION
This is the report of a case of systemic vasculitis presenting with neuromuscular disease, distal leg and arm weakness associated with numbness. Vasculitis is rarely the cause of such a peripheral neuropathy, which apparently delayed the diagnosis in this case. Vasculitis usually presents with nonspecific signs and symptoms that are more often due to other conditions. Autopsy revealed an occult cancer in the cecum. Paraneoplastic vasculitis often goes into remission with successful treatment of the tumor. One lesson from this case might be expressed: Consider the possibility of an occult malignancy causing vasculitis in an older adult because the best treatment of the vasculitis will then be treatment of the tumor. Another lesson might be expressed: The critical step in the diagnosis of vasculitis is to think of it.
REFERENCES
Nichols L. The Larry Nichols collection. 2020 [cited 2020 Mar 23]. Available from: https://histosrv.vub.ac.be/mercer/
Ricci L, Luigetti M, Florio L, Capone F, Di Lazzaro V. Causes of chronic neuropathies: a single-center experience. Neurol Sci. 2019;40(8):1611-7. http://dx.doi.org/10.1007/s10072-019-03899-z. PMid:31001716.
Doughty CT, Seyedsadjadi R. Approach to peripheral neuropathy for the primary care clinician. Am J Med. 2018;131(9):1010-6. http://dx.doi.org/10.1016/j.amjmed.2017.12.042. PMid:29408540.
Gwathmey KG, Tracy JA, Dyck PJB. Peripheral nerve vasculitis: classification and disease associations. Neurol Clin. 2019;37(2):303-33. http://dx.doi.org/10.1016/j.ncl.2019.01.013. PMid:30952411.
Corral-Gudino L, González-Vázquez E, Calero-Paniagua I, et al. The complexity of classifying ANCA-associated small-vessel vasculitis in actual clinical practice: data from a multicenter retrospective survey. Rheumatol Int. 2020;40(2):303-11. http://dx.doi.org/10.1007/s00296-019-04406-5. PMid:31385079.
Jennette JC, Falk RJ, Bacon PA, et al. 2012 revised International Chapel Hill Consensus Conference Nomenclature of Vasculitides. Arthritis Rheum. 2013;65(1):1-11. http://dx.doi.org/10.1002/art.37715. PMid:23045170.
Fain O, Hamidou M, Cacoub P, et al. Vasculitides associated with malignancies: analysis of sixty patients. Arthritis Rheum. 2007;57(8):1473-80. http://dx.doi.org/10.1002/art.23085. PMid:18050165.
Solans-Laqué R, Bosch-Gil JA, Pérez-Bocanegra C, Selva-O’Callaghan A, Simeón-Aznar CP, Vilardell-Tarres M. Paraneoplastic vasculitis in patients with solid tumors: report of 15 cases. J Rheumatol. 2008;35(2):294-304. PMid:18085729.
Misra DP, Naidu GSRSNK, Agarwal V, Sharma A. Vasculitis research: current trends and future perspectives. Int J Rheum Dis. 2019;22(Suppl 1):10-20. http://dx.doi.org/10.1111/1756-185X.13370. PMid:30168260.
Notes
Author notes
Correspondence Larry Nichols Department of Pathology - Mercer University School of Medicine 1501 Mercer University Drive – Macon/GA – United States of America 31207 Phone: +478 304-2405 Nichols_l@mercer.edu
Conflict of interest declaration