Article / Clinical Case Report
Rare occurrence of uterine arteriovenous malformation clinically mimicking a malignant growth: A critical reminder for pathologists
Rare occurrence of uterine arteriovenous malformation clinically mimicking a malignant growth: A critical reminder for pathologists
Autopsy and Case Reports, vol. 10, no. 3, 2020
São Paulo, SP: Universidade de São Paulo, Hospital Universitário
Received: 20 November 2019
Accepted: 23 December 2019
DOI: 10.4322/acr.2020.144
ABSTRACT: Arteriovenous malformation (AVM) is a rare lesion in the uterus, which can lead to abnormal uterine bleeding. While AVM has been described in other organs in the literature, there is a paucity of pathology reports of the AVM in uterus. On gross examination, the uterus was markedly enlarged and partly distorted with a pedunculated solid mass, which on the cut surface showed multiple well-circumscribed hemorrhagic cysts ranging from 0.1 to 4.0 cm in size. Microscopically, they were malformed dilated vascular structures containing organized thrombi. We present this case of uterine AVM with gross and microscopic findings, which can serve as a crucial reminder for pathologists to keep in the differential diagnoses as a potential cause of abnormal uterine bleeding.
Keywords: Uterus, Arteriovenous Malformations, Pathology, Uterine Hemorrhage.
INTRODUCTION
Uterine arteriovenous malformation (AVM) is a rare and potentially fatal source of uterine bleeding due to abnormal vascular connections between arteries and veins. While the prevalence is unknown due to limited reported cases,1 an observational study on 265 patients with abnormal premenopausal bleeding showed an incidence of 3.4% by ultrasound.2 Uterine AVMs typically present in women of reproductive age; however, they can infrequently appear after menopause.3 Accurate preoperative radiological and clinical diagnosis is critical since uterine instrumentation used for abnormal uterine bleeding workups can inadvertently result in massive hemorrhage.4 When the preoperative diagnosis is inconclusive, intraoperative consultation can be a powerful tool to help guide surgical management. Thus, we describe a unique case report of a 58-year-old woman with postmenopausal bleeding in the setting of an unknown history of uterine AVM.
CASE REPORT
A 58-year-old gravida 2 para 2 morbidly obese woman with a history of severe chronic obstructive pulmonary disease (COPD), pulmonary hypertension, and congestive hepatopathy was referred to our institution for atypical profuse postmenopausal bleeding along with the imaging studies. The pregnancies were delivered at full term; the first via spontaneous vaginal delivery and the second via caesarian section followed by tubal ligation. There was no history of miscarriages or molar pregnancies and had had no curettage procedures.
She was previously hospitalized at an outside institution for severe anemia requiring 8 units of red blood cells transfusions three months prior to the surgery. Pelvic ultrasound visualized an enlarged (16 cm) uterus with an 11 cm right-sided fundal mass and 3-mm-thickened endometrium. Follow up magnetic resonance imaging (MRI) re-demonstrated the 11 cm heterogeneous isointense and hyperintense solid mass with peripheral cystic regions concerning for leiomyosarcoma or a degenerating fibroid (Figure 1A). There were multiple smaller isointense and heterogeneous hyperintense uterine masses including a 4.1 cm heterogeneous cervical mass. Multiple endometrial biopsies were negative for hyperplasia or malignancies. While outside workup was inconclusive for the etiology of her bleeding, she was treated with Megestrol Acetate with incomplete resolution of her symptoms.

Upon current admission, the patient was afebrile and hemodynamically stable. Physical examination was notable for a 10-weeks anteverted uterus with a small amount of blood at the external cervical orifice. There was no lymphadenopathy. The remainder of the exam was unremarkable. There was no evidence of metastatic disease on chest imaging. Although, the three‐dimensional computed tomography (CT) angiography could have helped to assess the condition for a non-surgical intervention,5 the patient desired a definitive surgical management in view of the extensive bleeding.
Hysterectomy with intraoperative consultation was pursued due to a high clinical suspicion of a malignant process. Procedural imaging findings revealed a large uterine mass perfused by perforator feeder vessels invading into the retroperitoneal space along with an irregular cervical mass heavily interlaced with uterine vessels (Figure 1B).
While the exact diagnosis was not completely known at the time of intraoperative consultation, there were no overt features of malignancy. At the time of surgery, a frozen section diagnosis of a spindle cell lesion with atypia, but no overt malignancy, was rendered. After discussion with the surgeon and given the findings, the decision was made to proceed with hysterectomy and bilateral salpingo-oophorectomy. Weighing the risks and benefits in the setting of the patient's comorbidities including morbid obesity, no lymphadenectomy was carried out. Her post-operative course was complicated by increased oxygen requirements from advance stages of COPD and incision site infection. Her condition stabilized and she was discharged on postoperative day 7. She continued to do well at her two-month follow-up visit with complete resolution of the symptoms.
PATHOLOGICAL FINDINGS
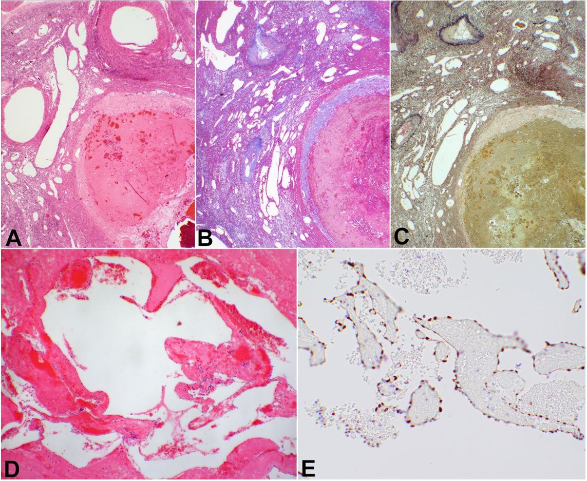
Gross examination assessment documented an enlarged 812 grams (mean reference range 110g), severely distorted uterus with a prominent 11 cm right posterior pedunculated solid mass (Figure 2A). Sectioning revealed a tan-grey firm cut surface with multiple well-circumscribed hemorrhagic cysts ranging in size from 0.1 to 4.0 cm in diameter that distorted the myometrium (Figure 2B). No areas of gross necrosis or calcifications were identified. Extensive histological sampling showed a moderately cellular lesion consisting of bland spindled cells with no evidence of cellular atypia, mitosis, or necrosis. The remainder of the specimen was submitted for permanent section review, where the uterus and cervical masses were further extensively sampled.

Histological examination of the uterine and cervical masses elucidated an abnormal evolution of bland endothelial cells into malformed arteries and venules with abrupt changes in, medial wall thickness, and abnormal vascular dilation highlighted by the trichrome and elastic stains (Figures 3A - 3C). The bland spindle cells lacked cytological atypia, mitosis, or necrosis. In areas of thrombus formation, there were many areas of intravascular papillary endothelial hyperplasia highlighted by ERG immunohistochemical (IHC) stain (Figures 33E). HMB45 and smooth muscle actin IHC stains were negative which ruled out angioleiomyoma. The final pathology diagnosis of uterine AVM was made.

DISCUSSION
Uterine AVMs are extremely rare and should be considered in the setting of persistent heavy uterine bleeding. Uterine AVMs are either acquired or, less commonly, developed congenitally.6 Acquired arteriovenous malformations stem from improper shunting of blood between intramural arterial branches and venous plexus as a result of uterine trauma.7 The most common iatrogenic causes are uterine surgical intervention such as caesarean section, myomectomy, or normal vaginal surgery.8,9 Less frequently, they can arise from gestational trophoblastic disease, endometrial malignancies, intrauterine devices, infections, or fibroids.6 In contrast, congenital AVMs are caused by abnormal vascular connections originating from defects during embryological differentiation and angiogenesis.10,11 The vessels often extend into the pelvis with the involvement of pelvic feeder vessels. These defects are diagnosed earlier in women of reproductive age. In this case, cesarean section was most likely the underlying etiology of our patient’s uterine AVM.
Historically, AVMs were diagnosed post-operatively during pathological examination of the hysterectomy specimen.12 Fortunately, increasing availability and advances in imaging modalities has allowed for earlier detection of uterine AVMs. Ultrasound with Doppler and Spectral analysis is the initial diagnostic tool to detect abnormal vascularity within the myometrium.13 MRI and computed tomography (CT) are noninvasive approaches to confirm vascular abnormalities in conjunction with soft tissue assessment.14 Digital subtraction CT angiography is currently the gold standard for diagnostic confirmation with the additional benefit of feeder vessels identification for embolization.6,15 The differential diagnoses for the uterine hypervascular lesions include retained products of conception, gestational trophoblastic diseases, and malignancies; thus, radiographic interpretation can be challenging.16
Surgical management of uterine AVMs depends on multiple factors including hemodynamic stability, the desire of fertility, site and size of the lesion, and age. Uterine artery embolization is an effective first-line therapy for those who wish to preserve fertility. Hysterectomy is reserved for those who do not desire to preserve fertility, life-threatening hemodynamic instability, and failure of embolization therapies. Pharmacological approaches including methylergonovine, gonadotropin-releasing hormone agonists, and danazol can be considered in hemodynamically stable patients.17
Uterine AVMs and leiomyosarcomas are rare entities that can cause postmenopausal bleeding. Histologically, leiomyosarcoma is a malignant infiltrative proliferation of spindled cells with characteristic smooth muscle differentiation. Surgical management includes radical hysterectomy and lymph node staging.18
In contrast, uterine AVMs have structural abnormalities of arteries and venules, resulting in a proliferation of bland appearing spindled endothelial cells in the varying wall thickness that lack cytological atypia, mitosis, or necrosis. The varied-wall thickness can be highlighted using trichome and Verhoeff elastic stains. Differentiation between arteries and veins is difficult due to secondary venule intimal wall thickening from increased intraluminal pressure.19 Menorrhagia and metrorrhagia are the most common symptoms of acquired uterine AVMs due to high vascular flow through the altered arterial-venous differential pressure gradient.20 Furthermore, congestive heart failure secondary to uterine AVMs has been reported.21 In this case, the patient’s uterine AVM contributed to high cardiac demand, which in turn exacerbated her pulmonary hypertension and congestive hepatopathy.
This case report highlights the diagnostic difficulty of uterine AVMs and the importance of intraoperative consultation for unknown causes of abnormal postmenopausal uterine bleeding. Preoperative outside imaging interpretation favored a differential of leiomyosarcoma or degenerating fibroids. The concern for a sarcomatous process prompted extensive sampling of the uterus. However, frozen section examination demonstrated a bland spindled appearance with no evidence of cytological atypia, necrosis, or mitosis. On frozen sections, we were fairly certain that the lesion was not malignant histologically, however, we were uncertain about adequate sampling. Effective communication and astute clinical assessment prevented a radical hysterectomy, which might have included lymph node staging.
CONCLUSION
This case is a vivid example which teaches us that there are occasions when a lesion presents as a malignant growth clinically, but in fact, it may be a benign condition. When at an intraoperative consultation, the pathologist should be careful not to be swayed toward a malignant diagnosis by the surgeon and rely on her/his objective pathology findings.
REFERENCES
Aslan H, Acar DK, Ekiz A, et al. Sonographic features and management options of uterine arteriovenous malformation: A case report. Med Ultrason. 2015;17(4):561-3. http://dx.doi.org/10.11152/mu.2013.2066.174.sgh. PMid:26649357.
Timmerman D, Van den Bosch T, Peeraer K, et al. Vascular malformations in the uterus: ultrasonographic diagnosis and conservative management. Eur J Obstet Gynecol Reprod Biol. 2000;92(1):171-8. http://dx.doi.org/10.1016/S0301-2115(00)00443-7. PMid:10986453.
Sato E, Nakayama K, Nakamura K, Ishikawa M, Katagiri H, Kyo S. A case with life-threatening uterine bleeding due to postmenopausal uterine arteriovenous malformation. BMC Womens Health. 2015;15(1):1-8. http://dx.doi.org/10.1186/s12905-015-0163-8. PMid:25783637.
Yoon DJ, Jones M, Taani JA, Buhimschi C, Dowell JD. A systematic review of acquired uterine arteriovenous malformations: Pathophysiology, diagnosis, and transcatheter treatment. AJP Rep. 2016;6(1):e6-14. http://dx.doi.org/10.1055/s-0035-1563721. PMid:26929872.
Aiyappan SK, Ranga U, Veeraiyan S. Doppler sonography and 3D CT Angiography of Acquired Uterine Arteriovenous Malformations (AVMs): Report of two cases. J Clin Diagn Res. 2014;8(2):187-9. http://dx.doi.org/10.7860/JCDR/2014/6499.4056. PMid:24701531.
Grivell RM, Reid KM, Mellor A. Uterine arteriovenous malformations: A review of the current literature. Obstet Gynecol Surv. 2005;60(11):761-7. http://dx.doi.org/10.1097/01.ogx.0000183684.67656.ba. PMid:16250925.
Hoffman MK, Meilstrup JW, Shackelford DP, Kaminski PF. Arteriovenous malformations of the uterus: an uncommon cause of vaginal bleeding. Obstet Gynecol Surv. 1997;52(12):736-40. http://dx.doi.org/10.1097/00006254-199712000-00004. PMid:9408929.
Przybojewski SJ, Sadler DJ. Novel image-guided management of a uterine arteriovenous malformation. Cardiovasc Intervent Radiol. 2011;34(S2, Suppl 2):S161-6. http://dx.doi.org/10.1007/s00270-010-9940-9. PMid:20694468.
Takeda A, Koyama K, Imoto S, Mori M, Sakai K, Nakamura H. Progressive formation of uterine arteriovenous fistula after laparoscopic-assisted myomectomy. Arch Gynecol Obstet. 2009;280(4):663-7. http://dx.doi.org/10.1007/s00404-009-0981-8. PMid:19224230.
Ishikawa T. Congenital arteriovenous malformations involving the pelvis and retroperitoneum: a case report. Angiology. 1979;30(1):70-4. http://dx.doi.org/10.1177/000331977903000111. PMid:426322.
Kasznica J, Nisar N. Congenital vascular malformation of the uterus in a stillborn: a case report. Hum Pathol. 1995;26(2):240-1. http://dx.doi.org/10.1016/0046-8177(95)90043-8. PMid:7860055.
Timmerman D, Wauters J, Van Calenbergh S, et al. Color Doppler imaging is a valuable tool for the diagnosis and management of uterine vascular malformations. Ultrasound Obstet Gynecol. 2003;21(6):570-7. http://dx.doi.org/10.1002/uog.159. PMid:12808674.
Szpera-Goździewicz A, Gruca-Stryjak K, Breborowicz GH, Ropacka-Lesiak M. Uterine arteriovenous malformation - diagnosis and management. Ginekol Pol. 2018;89(5):276-9. http://dx.doi.org/10.5603/GP.a2018.0047. PMid:30084480.
Alessandrino F, Di Silverio E, Moramarco LP. Uterine arteriovenous malformation. J Ultrasound. 2013;16(1):41-4. http://dx.doi.org/10.1007/s40477-013-0007-z. PMid:24046800.
Vogelzang RL, Nemcek AA Jr, Skrtic Z, Gorrell J, Lurain JR. Uterine arteriovenous malformations: Primary treatment with therapeutic embolization. J Vasc Interv Radiol. 1991;2(4):517-22. http://dx.doi.org/10.1016/S1051-0443(91)72234-3. PMid:1797218.
Hashim H, Nawawi O. Uterine arteriovenous malformation. Malays J Med Sci. 2013;20(2):76-80. PMid:23983582.
Katimada Annaiah T, Kodakkattil Sreenivasan S. Uterine arteriovenous malformations: Clinical implications. Obstet Gynaecol. 2015;17(4):243-50. http://dx.doi.org/10.1111/tog.12218.
Giuntoli RL 2nd, Metzinger DS, DiMarco CS, et al. Retrospective review of 208 patients with leiomyosarcoma of the uterus: prognostic indicators, surgical management, and adjuvant therapy. Gynecol Oncol. 2003;89(3):460-9. http://dx.doi.org/10.1016/S0090-8258(03)00137-9. PMid:12798712.
Fleming H, Ostor AG, Pickel H, Fortune DW. Arteriovenous malformations of the uterus. Obstet Gynecol. 1989;73(2):209-14. PMid:2643064.
Molvi SN, Dash K, Rastogi H, Khanna SB. Transcatheter embolization of uterine arteriovenous malformation: Report of 2 cases and review of literature. J Minim Invasive Gynecol. 2011;18(6):812-9. http://dx.doi.org/10.1016/j.jmig.2011.07.007. PMid:22024270.
Koyalakonda SP, Pyatt J. High output heart failure caused by a large pelvic arteriovenous malformation. JRSM Short Rep. 2011;2(8):1-6. http://dx.doi.org/10.1258/shorts.2011.011057. PMid:21912732.
Notes
Author notes
CorrespondenceNeda A. Moatamed Department of Pathology & Laboratory Medicine Le Conte Avenue, 10833 – 13-145 CHS – Los Angeles/CA, USA BOX: 951732 Phone: +1 (310) 825-0581/ Fax: (310) 825-2483nmoatamed@mednet.ucla.edu
Conflict of interest declaration