Article / Clinical Case Report
Benign multicystic peritoneal mesothelioma: literature review and update
Benign multicystic peritoneal mesothelioma: literature review and update
Autopsy and Case Reports, vol. 10, no. 3, 2020
São Paulo, SP: Universidade de São Paulo, Hospital Universitário
Received: 12 January 2020
Accepted: 14 February 2020
DOI: 10.4322/acr.2020.159
ABSTRACT: Benign multicystic peritoneal mesothelioma (BMPM) is a rare peritoneal tumor diagnosed predominantly in pre-menopausal women. Associated risk factors include endometriosis and pelvic inflammatory disease in women, and prior abdominal surgery in both genders. To date, the pathogenesis of this disease remains controversial with possible etiologies, including a neoplastic versus a reactive process. Given the risk factors, some authors believe that this disease is secondary to a reactive process. However, because some studies describe cases where there is no prior surgical history or inflammatory milieu present, and because of this entity’s predilection for recurrence, some authors believe the origin to be neoplastic. Some genetic and familial associations have also been reported. Malignant transformation is extremely rare, with only two cases reported in the literature, despite the recurrence potential. Like the etiology, the name of this entity is also controversial. Some authors prefer the term “peritoneal inclusion cyst (PCM)” instead of “benign cystic mesothelioma” and argue that the term mesothelioma should only be used when there is evidence of atypia. Most cases of BMPM are discovered incidentally. Others reflect sequela of tumor mass effect. It appears intra-operatively as large, multi-focal, cystic lesions in the peritoneal and pelvic cavity. Diagnosis is achieved through surgical sampling with histopathological examination. Immunobiologically, BMPM exhibits multiple small cystic spaces with flattened lining containing calretinin positive cells without atypical features, mitotic figures, or tissue invasion. Treatment includes cytoreductive surgery. Here we present a case of BMPM in a 60-year-old male – a rare disease in an uncommon patient population.
Keywords: Cystic Mesothelioma, Mesothelioma, BAP1 protein, human, Asbestos, Cystic Lymphangioma.
CASE REPORT
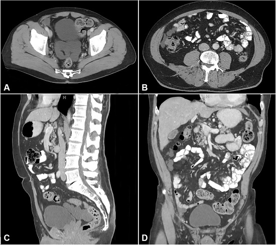
The patient is a 60-year-old male who initially presented to the emergency department with acute onset, throbbing, episodic right flank pain, associated with nausea and hematuria. There was a concern for renal colic, and non-contrast computerized tomography (CT) of the abdomen/pelvis demonstrated a 0.6 cm calculus in the right proximal ureter causing right obstructive uropathy. An incidental 7.9 x 9.6 cm multi-lobulated cystic mass located posterior to the urinary bladder was also discovered. His nephrolithiasis was treated, and follow-up CT of the abdomen/pelvis with intravenous contrast confirmed a persistent, lobular, fluid-attenuation mass within the recto-vesical space, and additional lobular cystic lesions within the right colonic gutter (Figure 1). Ultrasound done demonstrated multi-loculated anechoic complexes with thick septations.

Tumor markers, including CA-125, CA19-9, and CEA, were within normal range. Subsequent laparotomy revealed mucinous appearing deposits in the peritoneal surfaces in the right lower quadrant. The appendix had adhesions to the anterior abdominal wall and was also coated with tumor deposits. Specimens were sent to pathology, and frozen sections demonstrated lesions consisting of multiple cysts, some of which are multiloculated (Figure 2).

These cysts were lined by flattened mesothelial cells, which was consistent with benign multicystic peritoneal mesothelioma. The patient subsequently received hyperthermic intraperitoneal chemotherapy (HIPEC) with tumor debulking with resection of the cystic abdominal and pelvic lesions. On histology, the surgical specimens (peritoneal nodule, mesenteric nodule, right diaphragm peritoneal nodule, left upper quadrant nodules, omentum, and pelvic cystic mass) exhibited multiple small cystic spaces with bland, flattened mesothelial lining without atypia or invasion (Figure 3).

Immunohistochemistry revealed the tumor cells to be reactive for calretinin (Figure 4), and non-reactive for Ber-EP4 consistent with benign multicystic peritoneal mesothelioma.

DISCUSSION
Benign multicystic peritoneal mesothelioma (BMPM), first described by Plaut in 1928,1 is a rare peritoneal tumor that arises from the peritoneal mesothelial cells. To date, there are less than 200 documented cases worldwide,2 and it accounts for approximately 3-5% of the peritoneal mesotheliomas. This condition is most commonly described in women of reproductive age with a ratio of 4-5:1 female to male, with very few cases reported in females over 30 years of age.3
The pathogenesis of BMPM remains to be elucidated. Due to its association with pelvic inflammatory disease (PID), endometriosis, leiomyoma, and a history of previous surgery,1,3,4 some authors believe that it has a possible reactive etiology.5 One of the hypotheses states that chronic peritoneal inflammation triggers the proliferation and migration of peripheral mesothelial cells and associated connective tissue, giving rise to these cysts.6 However, lack of previous surgery or inflammation in some reported cases and high recurrence rate (50-60%)7 has led others to believe that the disease etiology is likely neoplastic. Various terms have been used to describe this entity including, multilocular peritoneal inclusion cyst, cystic mesothelioma, peritoneal mesothelial cysts, inflammatory cysts of the peritoneum, and postoperative peritoneal cysts, what shows the lack of consensus on the etiology and behavior of this entity.3 The time between the surgery and the development of these cysts ranges from 6 months to 20 years,8 and the relapse may occur decades after the primary surgery.9 Recurrence occurs more frequently in large masses or disseminated disease.10 A genetic and familial association of BMPM has been reported by a few studies. One report describes a 43-year-old man with familial Mediterranean fever, which is more commonly associated with malignant mesothelioma, who developed BMPM.11 Another case described two female siblings with no history of prior surgery, pelvic inflammatory disease, or endometriosis and was diagnosed with BMPM.12 Unlike pleural mesothelioma, benign multicystic mesothelioma has not been associated with asbestos exposure.12
Most of the cases of BMPM are diagnosed incidentally on imaging or during laparotomy for other indications. In others, the clinical presentation depends on tumor bulk and location, with large lesions causing abdominal pain, fullness, distention, intestinal obstruction, nausea, vomiting, weight loss, and/or changes in bowel habits.4,13 Abdominal tenderness, abdominal distention, and palpable abdominal or pelvic mass may be present on physical examination. BMPM typically arise from the pelvic peritoneum but can also develop on the serosal surfaces of ovary, uterus, bladder, rectum, cul-de-sac, lymph nodes, spleen, and liver.3,4 In women, BMPM is typically located along the peritoneal surfaces of the posterior cul-de-sac. In men, BMPM commonly develops along the peritoneal surface of the recto-vesicular pouch. Ultrasound or CT reveals multicystic masses. In our case, also the ultrasound demonstrated multi-loculated anechoic complexes with thick septations14 and CT revealed well-defined, low attenuating, cystic abdominopelvic masses with possible enhancement.15 Magnetic resonance imaging (MRI) shows hyperintense signals reflecting cystic fluid, with possible gadolinium enhancement of the septa.16 In all imaging modalities, mild free-fluid and minimal peritoneal thickening may be noted – a stark contrast to malignant peritoneal mesothelioma, which frequently presents with frank ascites and diffuse peritoneal thickening. Diagnosis is achieved through surgical sampling with immunohistopathologic studies. It has also been suggested that the biologic behavior of the condition is worse in patients with high levels of CA125.7
Grossly, cysts in BMPM can be unilocular or multilocular. They are either free-floating in the abdominal cavity or adherent to the peritoneal structures like ovaries, bowel, fallopian tubes, appendix, omentum, and uterus. Individual cysts range from 1 mm to >1 cm. These cysts sometimes cluster and form grape-like masses in the peritoneal cavity, which can range from a few millimeters to 20 cm.3 The cysts are either empty or contain clear or hemorrhagic fluid.
Histologically, BMPM demonstrates numerous small cystic spaces lined by a single layer of cuboidal or flattened mesothelial cells. The cysts are variably sized and often contain pale eosinophilic proteinaceous fluid. There is usually no evidence of nuclear atypia; however, sometimes cells may show bi or multinucleation with hyperchromatic nuclei that may have a hobnail, cribriform, or tufting appearance. These features exhibit complex architecture, mimicking malignant peritoneal mesothelioma, which complicates arriving at a definitive diagnosis.3 The loose fibrovascular stroma between the cysts often contains sparse inflammatory infiltrate with occasional lymphoid aggregates, and granulation tissue with recent and old hemorrhages. Immunohistochemical stains typically show immunoreactivity for epithelial membrane antigen (EMA), calretinin, CA125, Wilms’ tumor antigen, vimentin, D2-40, and keratin. Furthermore, Ber-EP4 stain would not show immunoreactivity, thus making the diagnosis of carcinoma less likely. Some cases have shown positivity for ER and/or PR.3
The differential diagnosis for BMPM is wide and includes both benign and malignant lesions that present as cystic abdominal or pelvic masses. Benign lesions include cystic lymphangioma of the retroperitoneum,8,9,17-23 cystic form of endosalpingiosis, endometriosis, Mullerian cysts, cystic adenomatoid tumors, and cystic mesonephric duct remnants. Malignant lesions, mimicking BMPM include malignant mesothelioma, serous tumors involving peritoneum, and ovarian clear cell carcinomas.17,18
Malignant mesothelioma (MM) is a major differential in the diagnosis of BMPM, and distinguishing benign and malignant mesothelioma is very crucial to patient care. MM is an aggressive, malignant tumor of mesothelial cells arising in pleura, peritoneum, or pericardium likely related to asbestos exposure. It can show a variety of morphologic patterns, including microglandular, tubular, and papillary growth, but is rarely cystic. Microscopic examination shows the presence of cytologic atypia and mitotic activity and infiltrating growth pattern.
Invasion is the most reliable criterion for determining that a mesothelial proliferation is malignant; however, some reactive/benign mesothelial proliferations show the entrapment of benign mesothelial cells within a fibrous stroma, which can mimic neoplastic invasion making the morphological diagnosis very difficult. Certain immunohistochemical stains like p53, EMA, GLUT-1, IMP-3, and CD14624 are typically more positive for reactive than for malignant cases, but one cannot rely on the immunological signs to distinguish the two.25 More recently, it is found that the loss of BRCA1-associated protein 1 (BAP1) expression is associated with malignant mesothelioma, and this helps distinguish MM from other reactive/atypical mesothelial lesions.26,27 Several studies have shown that the homozygous deletion of p16 by FISH is found only in malignant mesotheliomas, which is not present in benign mesothelial proliferations.28,29 Currently, BAP1 IHC and p16 FISH are considered to be the most effective in discriminating benign and malignant cases.24
Cystic lymphangioma is a benign tumor occurring in the mesentery, omentum, mesocolon, and the retroperitoneum, and ovaries mainly of children,19 and is characterized by cystic dilatation of lymphatics that when presents in the retroperitoneum may resemble BMPM on imaging with uni or multilocular cysts.9 Microscopic examination reveals the cysts to be lined by flattened endothelial cells and filled with chylous material with fibrotic stroma containing lymphocytic infiltrates. These can be differentiated from BMPM with immunohistochemical staining for endothelial markers: CD34, CD31, factor VIII, and VEGFR3,18,23 which are not immunoreactive in mesothelial cells. Florid cystic endosalpingiosis can also present like BMPM when it involves the peritoneal lining and forms a mass lesion. The radiological and gross appearance of these lesions can be easily confused with benign cystic mesothelioma or even endometriotic cysts, and the histopathological examination becomes necessary for the diagnosis. Microscopically, these cysts are lined by the tubal epithelium with a variable population of ciliated cells, nonciliated secretory cells, and occasional intercalated cells.21 The immunohistochemical analysis shows immunoreactivity for PAX8, CK7, WT1, estrogen, and progesterone receptors.30 Adenomatoid tumor grossly and histologically resembles BMPM. It is a benign, localized proliferation of mesothelial cells that is often discovered incidentally. It is usually well circumscribed with smooth, firm, tan-yellow, and sometimes cystic cut surface. Microscopically, they are distinguished from the BMPM by the presence of a recognizable solid component along with the cystic component. The mesothelial cells are bland and may show vacuolated cytoplasm, giving a signet ring morphology. The immunohistochemical profile is similar to that of BMPM, thus differentiating the two relies on morphologic and clinical features. Mullerian cysts present grossly as large multilocular cysts, which may resemble BMPM on imaging. Microscopically, they are characterized by cuboidal to tall columnar, mucin, or serous secreting lining of nonciliated epithelium with loose fibrous tissue, dilated vessels, and incomplete smooth muscle bundles which are usually found around the genitourinary organs or pelvis.22,31 Immunohistochemical staining shows reactivity for paired box gene 8 (PAX8), estrogen receptor (ER), progesterone receptor (PgR) and is non-reactive for calretinin and D2-40.31
Treatment options range from conservative management to complete resection, followed by hyperthermic intraperitoneal chemotherapy (HIPEC). However, no consensus has yet been achieved on the standard treatment and follow-up of these patients. Some authors believe that asymptomatic patients should be followed conservatively with serial imaging,3 and the surgical intervention should only be considered as the disease becomes aggressive. However, at the same time, there are no defined guidelines for the follow-up and interval between serial imaging of the patients undergoing conservative treatment.
Surgery is considered the mainstay of treatment by most because of its high overall recurrence rate of 50-60% after the resection, with 33% in men and 50% in women.1 This high recurrence rate also warrants an intense surveillance schedule after the primary resection. For surveillance, some authors suggest that CT should be done every 3 months for the first year after resection and then annually for the next 5 years.4
In contrast to the conservative management and surgery alone, cytoreduction followed by HIPEC has also been tried by many, including our case.
Since BMPM has been shown to have a malignant potential by a few studies, some prefer cytoreduction followed by HIPEC with cisplatin and doxorubicin, including our case in contrast to conservative treatment or surgery alone. This modality is also thought to lower the recurrence rate.4 Our patient is also in disease remission currently.
Other treatment options include laparoscopic laser ablation with potassium titanyl phosphate, and sclerosing therapy with tetracycline,32 treatment with anti-estrogen therapy (e.g., tamoxifen), and GnRH agonists (e.g., leuprolide acetate). In one of the case studies, the recurrence was treated with cyst aspiration in one patient and hormonal treatment in the other. Both resulted in the regression of the cyst and alleviation of clinical symptoms.29
Like the etiology, the treatment for benign cystic mesothelioma remains controversial. There is no standard algorithm for the treatment and follow up of these patients.14 Despite the recurrence which occurs more frequently in large masses or disseminated disease,10 the prognosis is very good, with only one death reported in the literature.33 Two cases have been reported to have malignant transformation.34
REFERENCES
Canu GL, Medas F, Columbano G, et al. Benign multicystic peritoneal mesothelioma in a male patient with previous Wilms’ Tumor: a case report and review of the literature. Case Reports in Surgery. 2018;4324986:1-5. https://doi.org/10.1155/2018/4324986.
Khurram MS, Shaikh H, Khan U, et al. Benign multicystic peritoneal mesothelioma: a rare condition in an uncommon gender. Case Rep Pathol. 2017;2017:9752908. http://dx.doi.org/10.1155/2017/9752908. PMid:28607791.
Rapisarda AMC, Cianci A, Caruso S, et al. Benign multicystic mesothelioma and peritoneal inclusion cysts: are they the same clinical and histopathological entities? A systematic review to find an evidence-based management. Arch Gynecol Obstet. 2018;297(6):1353-75. http://dx.doi.org/10.1007/s00404-018-4728-2. PMid:29511797.
Dzieniecka M, Kałużyński A. Benign multicystic peritoneal mesothelioma (BMPM) - case report and review of the literature. Pol J Pathol. 2011;62(2):122-4. PMid:21866473.
Groisman GM, Kerner H. Multicystic mesothelioma with endometriosis. Acta Obstet Gynecol Scand. 1992;71(8):642-4. https://doi.org/10.3109/00016349209006236.
Zhang CH, Yu JW, Luo M. Multicystic peritoneal mesothelioma: a short review. Curr Probl Cancer. 2017;41(5):340-8. http://dx.doi.org/10.1016/j.currproblcancer.2017.03.002. PMid:28528021.
Almudévar Bercero E, García-Rostán y Pérez GM, García Bragado F, Jiménez C. Prognostic value of high serum levels of CA-125 in malignant secretory peritoneal mesotheliomas affecting young women. A case report with differential diagnosis and review of the literature. Histopathology. 1997;31(3):267-73. http://dx.doi.org/10.1046/j.1365-2559.1997.2510855.x. PMid:9354898.
McFadden DE, Clement PB. Peritoneal inclusion cysts with mural mesothelial proliferation. A clinicopathological analysis of six cases. Am J Surg Pathol. 1986;10(12):844-54. http://dx.doi.org/10.1097/00000478-198612000-00003. PMid:3789251.
Bhavsar T, Saeed-Vafa D, Harbison S, Inniss S. Retroperitoneal cystic lymphangioma in an adult: a case report and review of the literature. World J Gastrointest Pathophysiol. 2010;1(5):171-6. http://dx.doi.org/10.4291/wjgp.v1.i5.171. PMid:21607159.
D’Antonio A, Baldi C, Addesso M, Napolitano C. The first case of benign multicystic mesothelioma presenting as a splenic mass. Ecancermedicalscience. 2016;10:678. http://dx.doi.org/10.3332/ecancer.2016.678.
Eryilmaz MK, Mutlu H, Tazegul G, et al. Multiple pelvic cysts in a patient with familial Mediterranean fever: benign cystic mesothelioma. J Cancer Res Ther. 2017;13(6):1047-9. PMid:29237974.
Bernstein EM, Tate A, Silasi DA, Rutherford T. Benign multicystic mesothelioma: a case report of three sisters. 2009;1(2):e46. http://dx.doi.org/10.4081/rt.2009.e46.
Wang T-B, Dai W-G, Liu DW, Shi HP, Dong WG. Diagnosis and treatment of benign multicystic peritoneal mesothelioma. World J Gastroenterol. 2013;19(39):6689-92. http://dx.doi.org/10.3748/wjg.v19.i39.6689. PMid:24151400.
Vallerie AM, Lerner JP, Wright JD, Baxi LV. Peritoneal inclusion cysts: a review. Obstet Gynecol Surv. 2009;64(5):321-34. http://dx.doi.org/10.1097/OGX.0b013e31819f93d4. PMid:19386139.
Park JY, Kim KW, Kwon HJ, et al. Peritoneal mesotheliomas: clinicopathologic features, CT findings, and differential diagnosis. AJR Am J Roentgenol. 2008;191(3):814-25. http://dx.doi.org/10.2214/AJR.07.3628. PMid:18716115.
Lee R, Tong A, Kurtis B, Gilet AG. Benign multicystic peritoneal mesothelioma: AIRP best cases in radiologic-pathologic correlation. Radiographics. 2016;36(2):407-11. http://dx.doi.org/10.1148/rg.2016150157. PMid:26963453.
Singh A, Chatterjee P, Pai MC, Chacko RT. Multicystic peritoneal mesothelioma: not always a benign disease. Singapore Med J. 2013;54(4):e76-8. http://dx.doi.org/10.11622/smedj.2013085. PMid:23624458.
Safioleas MC, Constantinos K, Michael S, Konstantinos G, Constantinos S, Alkiviadis K. Benign multicystic peritoneal mesothelioma: a case report and review of the literature. World J Gastroenterol. 2006;12(35):5739-42. http://dx.doi.org/10.3748/wjg.v12.i35.5739. PMid:17007034.
Evans A, Lytwyn A, Urbach G, Chapman W. Bilateral lymphangiomas of the ovary: an immunohistochemical characterization and review of the literature. Int J Gynecol Pathol. 1999;18(1):87-90. http://dx.doi.org/10.1097/00004347-199901000-00014. PMid:9891248.
Taneja S, Sidhu R, Khurana A, Sekhon R, Mehta A, Jena A. MRI appearance of florid cystic endosalpingiosis of the uterus: a case report. Korean J Radiol. 2010;11(4):476-9. http://dx.doi.org/10.3348/kjr.2010.11.4.476. PMid:20592933.
Clement PB, Young RH. Florid cystic endosalpingiosis with tumor-like manifestations: a report of four cases including the first reported cases of transmural endosalpingiosis of the uterus. Am J Surg Pathol. 1999;23(2):166-75. http://dx.doi.org/10.1097/00000478-199902000-00005. PMid:9989843.
Konishi E, Nakashima Y, Iwasaki T. Immunohistochemical analysis of retroperitoneal Müllerian cyst. Hum Pathol. 2003;34(2):194-8. http://dx.doi.org/10.1053/hupa.2003.12. PMid:12612890.
Sawh RN, Malpica A, Deavers MT, Liu J, Silva EG. Benign cystic mesothelioma of the peritoneum: a clinicopathologic study of 17 cases and immunohistochemical analysis of estrogen and progesterone receptor status. Hum Pathol. 2003;34(4):369-74. http://dx.doi.org/10.1053/hupa.2003.31. PMid:12733118.
Alì G, Bruno R, Fontanini G. The pathological and molecular diagnosis of malignant pleural mesothelioma: a literature review. J Thorac Dis. 2018;10(Suppl 2):S276-84. http://dx.doi.org/10.21037/jtd.2017.10.125. PMid:29507796.
Husain AN, Colby T, Ordonez N, et al. Guidelines for pathologic diagnosis of malignant mesothelioma: 2012 update of the consensus statement from the International Mesothelioma Interest Group. Arch Pathol Lab Med. 2013;137(5):647-67. http://dx.doi.org/10.5858/arpa.2012-0214-OA. PMid:22929121.
Hwang HC, Sheffield BS, Rodriguez S, et al. Utility of BAP1 immunohistochemistry and p16 (CDKN2A) FISH in the diagnosis of malignant mesothelioma in effusion cytology specimens. Am J Surg Pathol. 2016;40(1):120-6. http://dx.doi.org/10.1097/PAS.0000000000000529. PMid:26448191.
Pillappa R, Maleszewski JJ, Sukov WR, et al. Loss of BAP1 expression in atypical mesothelial proliferations helps to predict malignant mesothelioma. Am J Surg Pathol. 2018;42(2):256-63. http://dx.doi.org/10.1097/PAS.0000000000000976. PMid:29076876.
Chung CT, Santos GC, Hwang DM, et al. FISH assay development for the detection of p16/CDKN2A deletion in malignant pleural mesothelioma. J Clin Pathol. 2010;63(7):630-4. http://dx.doi.org/10.1136/jcp.2010.076794. PMid:20591913.
Tangjitgamol S, Erlichman J, Northrup H, et al. Benign multicystic peritoneal mesothelioma: cases reports in the family with diverticulosis and literature review. Int J Gynecol Cancer. 2005;15(6):1101-7. http://dx.doi.org/10.1111/j.1525-1438.2005.00198.x. PMid:16343188.
Nomani L, Calhoun BC, Biscotti CV, Grobmyer SR, Sturgis CD. Endosalpingiosis of axillary lymph nodes: a rare histopathologic pitfall with clinical relevance for breast cancer staging. Case Rep Pathol. 2016;2016:2856358. http://dx.doi.org/10.1155/2016/2856358. PMid:27088025.
Yasukawa M, Uchiyama T, Ohbayashi C, et al. A case of a Müllerian cyst arising in the posterior mediastinum. Oxf Med Case Rep. 2018;2018(11):omy080. http://dx.doi.org/10.1093/omcr/omy080. PMid:30319783.
Rosen DM, Sutton CJ. Use of the potassium titanyl phosphate (KTP) laser in the treatment of benign multicystic peritoneal mesothelioma. Br J Obstet Gynaecol. 1999;106(5):505-6. http://dx.doi.org/10.1111/j.1471-0528.1999.tb08307.x. PMid:10430204.
Raafat F, Egan M. Benign cystic mesothelioma of the peritoneum: immunohistochemical and ultrastructural features in a child. Pediatr Pathol. 1988;8(3):321-9. http://dx.doi.org/10.3109/15513818809042975. PMid:3174512.
González-Moreno S, Yan H, Alcorn KW, Sugarbaker PH. Malignant transformation of “benign” cystic mesothelioma of the peritoneum. J Surg Oncol. 2002;79(4):243-51. http://dx.doi.org/10.1002/jso.10081. PMid:11920782.
Notes
Author notes
Correspondence Momal Tara Chand Anatomical & Clinical Pathology - Ascension St. John Hospital 22101 Moross Rd – Detroit/MI – USA PO Box: 48236 Phone: +001 (313) 343-3133 / Fax: +001 (313) 881-4727taramomal@gmail.com
Conflict of interest declaration