Article / Clinical Case Report
Received: 26 October 2019
Accepted: 15 February 2020
DOI: 10.4322/acr.2020.161
ABSTRACT: Spindle cell carcinoma (SCC) is a rare variant of squamous cell carcinoma characterized by elongated and pleomorphic epithelial cells that resemble a sarcoma. Due to its rareness, and histological resemblance to various sarcomas, the diagnosis of this neoplasia is challenging. Herein we present the case of an 82-year-old female with a polypoid, ulcerated, soft tissue mass located on the left side of the maxilla. The tomographic examination showed a hyperdense mass that infiltrated the orbital cavity, ethmoidal cells, middle and lower nasal concha, maxillary sinus, zygomatic arch, and mandibular ramus on the left side. Histopathologically, the tumor was composed of spindle cells that were sarcomatous in appearance, with aberrant mitosis, along with a group of pleomorphic cells with a more epithelioid and hyperchromatic appearance on a stroma of densely vascularized fibrous tissue. The immunohistochemistry panel used to determine the lineage of the tumor rendered the diagnosis of SCC. The diagnosis of SCC is challenging to the pathologist since its morphology can resemble a sarcoma. Thus, immunohistochemistry is a valuable resource to support the diagnosis. We propose that SCC should be considered when examining a biphasic neoplasm with the aforementioned histological characteristics and markers.
Keywords: Carcinoma, Mouth, Diagnosis.
INTRODUCTION
Spindle cell carcinoma (SCC)—also known as carcinosarcoma, pseudosarcoma, sarcomatoid squamous cell carcinoma, and polypoid carcinoma—is an infrequent variant of squamous cell carcinoma and is confirmed by elongated and pleomorphic epithelial cells that resemble a sarcoma.1
SCC can originate from any corporal epithelium and is relatively more frequent in the upper aerodigestive tract. Whereas it constitutes less than 5% of squamous cell carcinomas of the sinonasal tract, in the skin and esophagus its incidence is even lower.2,3
Due to its rareness and histological resemblance to various sarcomas, the diagnosis of this neoplasia is challenging. We present a case report and discuss the principal clinical and histopathologic characteristics, the main immunohistochemical markers, which the pathologist can incorporate for an accurate diagnosis.
CASE REPORT
An 82-year-old female attended a dental consultation, presenting with a polypoid, ulcerated, soft tissue mass of 5 × 4 × 3 cm located on the left maxilla. The patient also experienced rhinorrhea and recurrent epistaxis but ignored when these signs and symptoms began (Figure 1A). The tomographic examination showed a hyperdense mass that infiltrated the orbital cavity, ethmoidal cells, middle and lower nasal concha, maxillary sinus, zygomatic arch, and mandibular ramus on the left side, with cortical erosion of the maxillary sinus floor (Figure 1B).

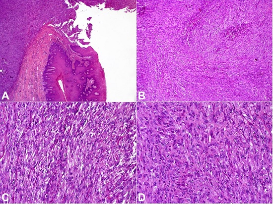
A biopsy was taken, and the microscopic morphology was represented by a cellular proliferation adjacent to the lining epithelium, which was composed of spindle cells that were sarcomatous in appearance with aberrant mitosis, and another group of pleomorphic cells with a more epithelioid and hyperchromatic appearance on a densely-vascularized stroma (Figure 2).

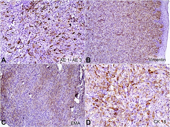
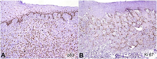
The immunohistochemistry panel (Table 1 and Figure 3) made the diagnosis of SCC based on positivity for epithelial (cytokeratins, epithelial membrane antigen [EMA], and P63) and mesenchymal markers (vimentin). Anti-Ki-67 revealed a high proliferative index of the tumor, which contributed to the confirmation of its malignant character. The patient was submitted to surgical removal of the tumor (Figure 4).



DISCUSSION
SCC is derived from epithelial cells that, due to the epithelial-mesenchymal transition-related mechanisms, undergo divergent cell differentiation, acquiring a fusiform morphology and, thus, a sarcomatous appearance. SCC may be observed in (i) areas of epithelial dysplasia with a transition to the proliferation of malignant fusiform cells; or (ii) in islands of conventional squamous cell carcinoma, which helps confirm the epithelial origin of the tumor.3
Gómez-Oliveira et al.4 diagnosed nine cases of primary and recurrent oral cavity SCC over 19 years. In their sample, the mean age was 59 years, and no gender predominance was observed.
According to the literature, this neoplasm develops in adulthood—as observed in our patient. In our histopathological reference center, 88% of the total malignant neoplasms are diagnosed as oral squamous cell carcinomas. However, the frequency of fusiform carcinoma cells is low at 2.5%. Thus, this entity’s clinical features, histopathological, and immunohistochemical characteristics should be highlighted for inclusion in the differential diagnosis.
In the oral cavity, SCC is most frequently diagnosed in the buccal mucosa, gum, alveolar ridge, and tongue.5 In our case, the finding of an ulcerated and erythematous mass involving the nasal turbinates and maxillary sinus led us to consider the diagnosis of malignancy (mucoepidermoid carcinoma; squamous cell carcinoma or any neoplasm of lymphocyte origin), which demanded a biopsy.
At first glance, histologically, the results were consistent with the diagnosis of sarcoma. However, as previously described, foci of squamous cell carcinoma were observed, even admixing with the transition to fusiform proliferation.3,6 Terada and Kawasaki7 reported the histopathological characteristics of this neoplasia—a diagnosis that was supported by the positivity for antibodies to AE1/AE3, CK5/6, CK18, CK19, p63, and vimentin. We noted positivity for antibodies to AE1/AE3, CK18, p63, vimentin, and EMA, confirming that we were confronted with a biphasic tumor. We believe that the diagnosis of this entity remains on the histomorphological; however, an immunohistochemical panel like the one we use despite not being specific is very useful to know the epithelial origin. The Ki-67 index was consistent with high-proliferative neoplasia.
In a literature review, we found that immunohistochemistry is an essential tool for correctly diagnosing SCC in many cases. We used a broad panel of antibodies that permitted the pathologist to consider other neoplasms as differential diagnoses, primarily sarcomas; for example, AE1/AE3, EMA, vimentin, CK 5/6, CK18, CK19, p63, CK7, CK14, CK20, S100, CD56, HMB45, and CD34.7,8
In our case—based on its positivity for cytokeratins, EMA, and p63—the tumor revealed its epithelial origin. In contrast, its positivity for vimentin evidenced its mesenchymal differentiation due to the epithelium–mesenchymal transition, which characterizes this entity. Its negativity for other markers, such as S-100, HMB-45, smooth muscle actin (a-SMA), desmin, and CD34, helped to rule out sarcomas of melanocytic, neural, muscular, and vascular origin.3
CONCLUSIONS
The diagnosis of SCC is challenging for the pathologist due to the morphologic similarity with sarcoma, mainly in cases with a minimal or absent dysplastic/malignant epithelial component. Thus, the immunohistochemical study is crucial to complement and support the diagnosis. We propose that SCC should be considered when examining a biphasic neoplasm with the aforementioned histological characteristics and markers.
Informed written consent was obtained from the patient for publication of this report and any accompanying images.
REFERENCES
Samuel S, Sreelatha SV, Hegde N, Nair PP. Spindle cell carcinoma in maxilla. BMJ Case Rep. 2013;2013(1):bcr2013009611. http://dx.doi.org/10.1136/bcr-2013-009611. PMid:23632620.
Fuente Cañibano R, Alañon Fernández MA, Murillo-Lázaro CM, et al. Carcinoma fusocelular de orofaringe: una variante poco frecuente de carcinoma epidermoide. Rev Soc Otorrinolaringol Castilla Leon Cantab La Rioja. 2012;3:277-82. [Spanish]
El-Naggar AK, Chan JKC, Grandis JR, et al. WHO classification of head and neck tumours, 4th ed. Lyon: International Agency for Research on Cancer; 2017.
Gómez-Oliveira G, Ferreras-Granado J, Junquera Gutiérrez LM. Carcinoma fusocelular de cavidad oral. Revisión de 9 casos. Rev Esp Cir Oral y Maxilofac. 2006;28(1):43-50. http://dx.doi.org/10.4321/S1130-05582006000100004.
Urs AB, Kumar P, Uniyal A, Singh S, Gupta S. Sarcomatoid carcinoma: a clinicopathological profile of two cases with diagnostic emphasis. Contemp Clin Dent. 2018;9(5, Suppl 1):S164-7. http://dx.doi.org/10.4103/ccd.ccd_43_18. PMid:29962785.
Romañach MJ, Azevedo RS, Carlos R, de Almeida OP, Pires FR. Clinicopathological and immunohistochemical features of oral spindle cell carcinoma. J Oral Pathol Med. 2010;39(4):335-41. http://dx.doi.org/10.1111/j.1600-0714.2009.00843.x. PMid:20002980.
Terada T, Kawasaki T. Spindle cell carcinoma of the nasal cavity. Int J Clin Oncol. 2011;16(2):165-8. http://dx.doi.org/10.1007/s10147-010-0121-2. PMid:20838841.
Shibuya Y, Umeda M, Yokoo S, Komori T. Spindle cell squamous carcinoma of the maxilla: report of a case with immunohistochemical analysis. J Oral Maxillofac Surg. 2000;58(10):1164-9. http://dx.doi.org/10.1053/joms.2000.9582. PMid:11021715.
Notes
Author notes
Correspondence Juan Carlos Cuevas González Stomatology Department - Biomedical Sciences Institute - Autonomous University of Ciudad Juárez Anillo Envolvente del Pronaf, s/n, Zona Pronaf – Ciudad Juárez/Chihuahua – México 32315 Phone: +52 656-688-4800 juan.cuevas@uacj.mx
Conflict of interest declaration