Article / Clinical Case Report
Giant chondrosarcoma of the chest wall: a rare surgical challenge
Giant chondrosarcoma of the chest wall: a rare surgical challenge
Autopsy and Case Reports, vol. 10, no. 3, 2020
São Paulo, SP: Universidade de São Paulo, Hospital Universitário
Received: 20 December 2019
Accepted: 01 March 2020
DOI: 10.4322/acr.2020.166
ABSTRACT: The chest wall chondrosarcoma (CWC) is a rare slowly growing primary tumor of the chest wall with an incidence of <0.5 per million person-years. We present the case of a giant CWC that caused a mass effect on the mediastinum, heart, and lung. Large tumors with thoracic structures compression may be life threatening, and its resection and subsequent chest wall reconstruction represent a significant multidisciplinary surgical challenge. In this case, despite the large tumor dimensions, the preoperative planning—sparing key reconstructive options without compromising the tumor resection—allowed a complete en bloc tumor excision of a grade III chondrosarcoma with negative histologic margins. Successful reconstruction of the large full-thickness chest wall defect, with a latissimus dorsi muscle flap and methyl methacrylate incorporated into a polypropylene mesh in a sandwich fashion, was accomplished. Patient recovery was uneventful with good functional and aesthetic outcomes, and no evidence of recurrence at 1.5 years follow-up. This case report illustrates the main clinical, radiological, and histologic features of a CWC while discussing the surgical goals and highlighting the principles for chest wall reconstruction following extensive resection of a large and rare entity.
Keywords: Chondrosarcoma, Thoracic Wall, Reconstructive Surgical Procedures.
INTRODUCTION
Primary chest wall tumors account for 5% of all thoracic neoplasms and 1%–2% of all primary tumors.1 Sarcomas that involve the chest wall are rare and represent 6%–7% of the total.1,2 Chondrosarcoma is a rare entity, with an incidence of <0.5 per million people per year, but represents the most common primary chest wall malignancy (accounting for nearly one-third).1,3-5 Usually it presents as a slow-growing mass, which is often painful; it arises from either the vicinity of the costochondral junction or the sternum.3,6 It is more common from the sixth decade of life and has a slight male predominance.3,6,7 Previous history of thoracic trauma, radiotherapy, malignant degeneration of a chondroma or osteochondroma, can be associated with chest wall chondrosarcoma (CWC).1,3,5 Most chest wall defects requiring reconstruction result from oncologic resection (primary or recurrent).1 Other main indications are radiation injury, trauma, and infection.7,8 Surgical excision remains the major treatment for primary CWC since they tend to be resistant to chemo- or radiotherapy.1,3,4,6 The goal of adequate tumor resection is to obtain wide disease-free margins along with the maintenance of chest wall stability.3 The repair of extensive chest wall defects resulting from tumor resection presents a great challenge for the plastic reconstructive surgeon and plays a major role in patient treatment.9-11 The reconstruction allows the thoracic surgeon to perform the tumor resection with adequate margins to eliminate all possible remnant malignant tissue. Large tumor resection and subsequent reconstruction may present a life-threatening condition due to the proximity and potential harm to the vital thoracic structures. A multidisciplinary collaboration is essential to achieve an optimal outcome, to reduce the incidence of complications, and to improve patient recovery.9,11,12 The authors report the case of a giant chondrosarcoma in which a poor prognosis was expected due to tumoral features; however, a successful resection with negative margins and effective reconstruction was achieved. It demonstrates how a comprehensive multidisciplinary preoperative planning and surgical approach can provide the best clinical outcomes for the patient while dealing with a difficult condition.
CASE REPORT
A 62-year-old man presented to a tertiary oncologic hospital complaining of a chest wall mass that he first noticed 2 years earlier, which had undergone recent rapid growth. Mild asthenia was reported as the single symptom. Physical examination showed a large painless mass of the right anterolateral thoracic wall (Figure 1).

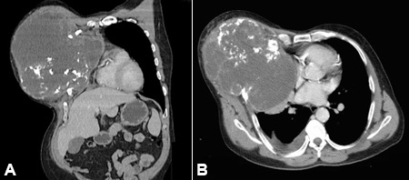
Previous ipsilateral rib fractures without other remarkable medical history were found. A computed tomography (CT) scan was performed, which was consistent with a CWC affecting the third to sixth right ribs, with a mass-effect on the mediastinum structures, the heart (mainly the right atrium), and a partial collapse of the right lung lobes (Figure 2).

A core needle biopsy revealed chondrosarcoma, and positron emission tomography ruled out regional or distant metastasis. A careful preoperative plan was set to allow a complete tumoral resection while preserving potential regional reconstructive options and their vascular supply. The patient underwent a wide en bloc resection of the tumor, including the adjacent chest wall, the third to sixth right ribs, parietal pleura (21 × 21 cm), thoracic skin (42 × 14 cm), and muscle (25 cm major diameter) (Figure 3A and 3B).

The resected tumor specimen presented the dimensions of 625 cm2, 13,120 cm3 (25.5 × 21 × 24.5 cm), and 5,610 g of weight (Figure 3C).
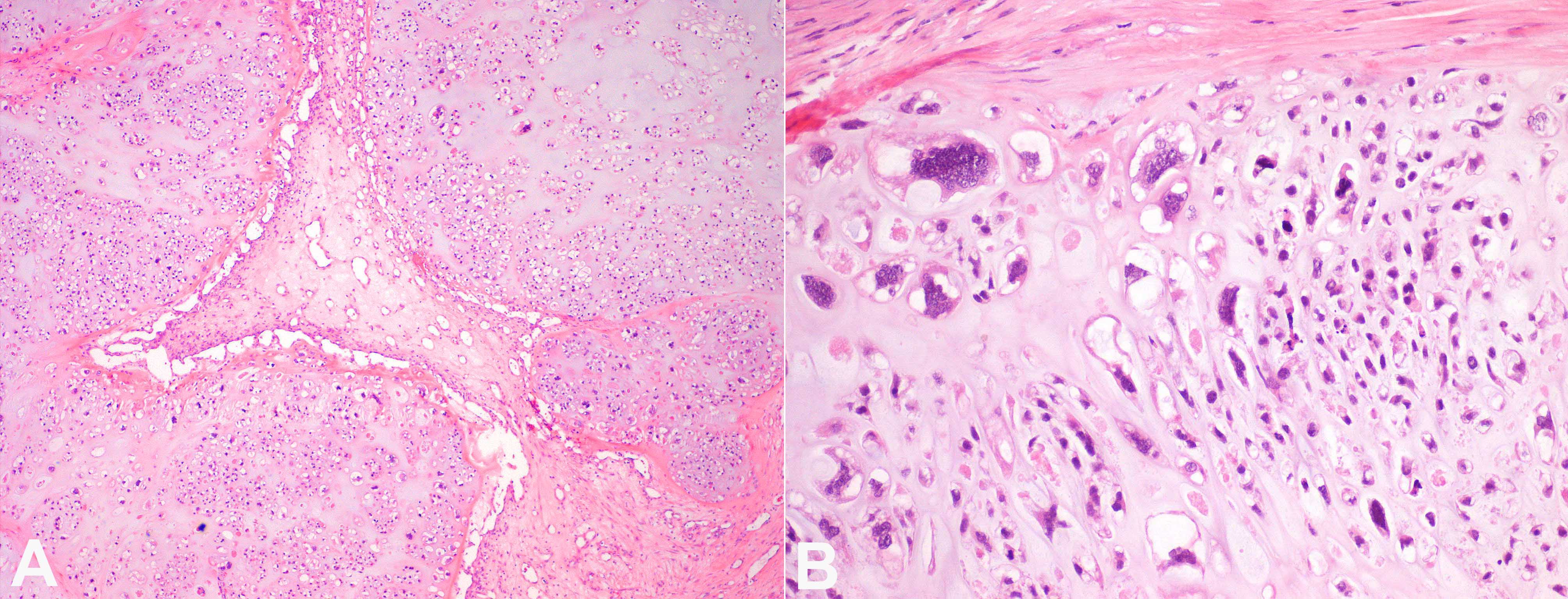
The histologic analysis reported a grade III conventional chondrosarcoma (Figure 4). Complete tumor excision with negative histologic margins was obtained. Reconstruction of the full-thickness chest wall defect was achieved with a sandwich technique of methyl methacrylate (MMA) between two layers of polypropylene mesh, sutured to the remaining ribs to maintain thoracic wall stability. It was covered with a pedicled latissimus dorsi (LD) muscle flap (Figure 5).


Direct skin closure without the need for grafting or a musculocutaneous flap was possible due to the auto-expansion of non-affected thoracic skin by the tumor. Patient recovery was uneventful. He was extubated in the operating room and discharged from the intensive care unit (ICU) on the third post-operative day. Hospital post-operative length of stay was 13 days. During the follow-up period, the patient presented a good general health state and respiratory outcomes, without dyspnea or fatigue. The chest wall did not present paradoxical movements, and complete healing with a pleasant aesthetic result was obtained (Figure 6).

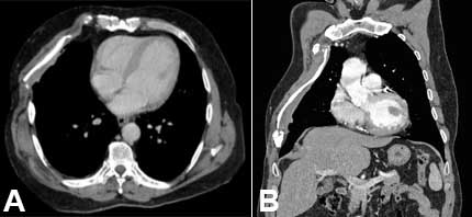
Considering the tumor histological type, the disease-free resection margins, and the good clinical progression of the patient, regular surveillance without the requirement for additional treatments was decided at a multidisciplinary team meeting. At the 1.5-year follow-up visit, physical examination and thoracic CT scan showed no evidence of tumoral recurrence (Figure 7).

DISCUSSION
Although a rare entity, chondrosarcoma is the most common malignant tumor of the chest wall, and prompt diagnosis is required.1,3 Most patients present with an enlarging, painful mass arising from the bony costochondral junction or the sternum.1,3 A CT scan is the gold standard imaging study for diagnosis and operative planning.3,6 The keys to successful treatment are early recognition and radical excision with adequate margins, as chondrosarcoma is relatively resistant to radiotherapy and chemotherapy.3,4 Resection may be performed in an appropriate surgical candidate based on imaging characteristics or image-guided percutaneous biopsy results.3
The case reported herein presents peculiar and interesting features of CWC management and thoracic reconstruction. Besides being a rare entity, this chondrosarcoma’s dimensions are markedly larger than those reported in the medical literature, considering an average tumor volume of 311–611.5 cm3 (range: 1.5–6,372 cm3) and an average resection area of 81.6–266 cm2.2,9,12,13 Clinical presentation with a painless mass is unusual (about 25% of cases), especially in large tumors.2,3,6,13 The typical chondrosarcoma CT findings were present in our case, consisting of a lobulated mass with calcifications—a flocculent or “popcorn” calcification pattern.3 After the diagnosis was confirmed by core needle biopsy, the subsequent treatment was discussed at a multidisciplinary oncologic team meeting. A wide en bloc resection with appropriate margins, bony chest wall reconstruction preserving respiratory mechanics, and vascularized soft-tissue coverage was considered the best option, according to primary CWC recommendations.3-5 Reconstruction of complex full-thickness defects of the chest wall remains a great challenge due to its important role in respiratory function and the protection of vital organs. For skeletal support reconstruction, synthetic materials are currently most commonly used.7-11 The ideal characteristics of prosthetic materials include: rigidity (avoiding paradoxical chest motion), malleability (intraoperative, shaped according to defect), inertness (allowing in-growth of fibrous tissue and preventing infection), and radiolucency (radiographic follow-up).8,10-12 Diverse synthetic materials are available, providing reliable stability and contributing to full recovery after oncologic resection of the chest wall, with associated shorter hospitalization and ventilator time.7,9,11 Polypropylene mesh (Prolene® or Marlex®), combined with MMA in a sandwich technique when additional rigid support was needed, has been frequently used with excellent physiologic and aesthetic outcomes.1,3,9-11 Bioprosthetic meshes, including acellular dermal matrices, are also available, offering a good alternative in defects with a high risk of infection and/or skin dehiscence where the synthetic mesh is contraindicated.8 The reconstructive choice for skeletal support should consider different aspects of the chest wall defect: (i) small defects (<5 cm) or those located posteriorly under the scapula above the fourth rib, may not require skeletal reconstruction 8,10,11,14; (ii) lateral defects more often require mesh reconstruction8,11; (iii) for resection of <4 ribs a mesh-only reconstruction is applied; and (iv) for ≥4 ribs and/or a sternal resection, mesh with MMA is recommended.9 MMA has been widely used for rigid chest wall reconstruction, often applied between two layers of polypropylene mesh in a sandwich fashion, which is modeled to the thoracic curved shape.8,15,16 It is relatively inexpensive, and its rigidity provides excellent stability and coverage of vital structures.15 However, in some studies, MMA was associated with higher rates of seroma and infection requiring removal; problems with anchorage and prosthesis dislocation; and fracture of the MMA edges with associated chronic pain.8,15,16 More recently, titanium prosthetic devices have been used for bridging multiple ribs and/or sternal defects after oncologic resections.16-18 Titanium devices provide a light-weight but strong rigid support for rib fixation and chest wall reconstruction.17 Their advantages include a high strength-to-weight ratio, precise molding, integration with the bone over time, resistance to infection, and low interference with the CT.17,18 Moreover, these titanium devices closely ‘mimic’ the anatomic contour of the ribs, thus better restoring the chest wall shape and allowing more physiologic rib movement and breathing mechanics, compared to what can be achieved with MMA.15,17 However, some complications involving fracture or displacement of the titanium systems were reported.15,16,18 In complex chest wall defects, the reconstruction with titanium devices usually requires combination with synthetic or biological meshes and/or muscle flap coverage.15,17,18
Soft-tissue coverage of the chest wall is based on the defect location and size, the availability of local and regional options, previous surgeries or radiotherapy, the general condition of the patient, and the prognosis.1,8,9 The pedicled muscular or musculocutaneous flaps are usually the first choice for coverage (75%–90% in different series).1,9,11 The most commonly used are LD, rectus abdominis, pectoralis major, serratus anterior, and as a salvage procedure, the omentum flap.1,3,7,10,11 Free flaps are reserved for cases where regional flaps are unavailable, insufficient, or have previously failed.1,7,9-11,14 Chimeric flaps from the subscapular axis can be used to repair massive chest wall defects.8 A flap selection algorithm—according to the location and dimensions of the defect—was proposed: (i) lateral small defects (<300 cm2): LD is indicated; (ii) lateral large (≥300 cm2): LD or free flap; (iii) central small: pectoralis major; (iv) central large: pedicled vertical rectus abdominus myocutaneous (VRAM) flap or if internal mammary vessels damaged, free VRAM and/or omentum flap; (v) high (infraclavicular): VRAM flap or free flap; and (vi) low (supracostal margin): external oblique and/or omentum flap.9
Preoperative planning in chest wall reconstruction is paramount and requires a methodic evaluation of the anticipated defect, considering the defect’s size and layers to repair (skeleton and soft tissue), and the preservation of potential reconstructive options without compromising the appropriate extension of tumor resection. In this case, the patient underwent resection of four ribs, which is a significant number considering the data reported in the literature (mean: three to four ribs).2,10-12,13,19 Chest skeletal support was restored with the MMA-polypropylene mesh sandwich technique while a pedicled LD muscle flap provided soft tissue coverage, in accordance with reconstructive recommendations for the number of ribs resected (four or more ribs), and the dimension and location of the defect (lateral ≥300 cm2).1,9,11 LD muscle (or musculocutaneous) flap is among the best options since it is a reliable and large flap that can be tailored to the defect.1,7,12 It has a wide arc of rotation, being particularly suited for anterior and anterolateral defects, but can be successfully used for most defect locations.1,7,11-14 Planning of the surgical incision placements for thoracotomy access is essential if a regional flap is to be used for reconstruction. Sparing the LD and serratus muscles during thoracotomy, or the pectoralis muscle in anterior resections—also avoiding the section of flap dominant pedicles—will preserve these options for subsequent reconstruction. In this patient, a large anterolateral chest wall resection with the sacrifice of local muscle flaps was needed, while vital thoracic structures were preserved, avoiding life-threatening conditions. Team planning of the thoracotomy allowed the preservation of LD and its pedicle traced near the resection margins. Preservation of the regional flaps provides an effective option, with shorter operative and recovery time, compared with the alternative free flap reconstruction. Adequate reconstruction delivers protection of the underlying viscera, improvement in respiratory mechanics that can significantly shorten ventilator requirements and hospital stay, and maintenance of thoracic shape with better cosmetic results.2,3 Our patient's length of hospital stay was 13 days (including 3 days in ICU), which is among the lowest data mentioned in the literature (11.5–20 days; 4–5 days in ICU).9-12 Chondrosarcomas usually have a better prognosis than other chest wall malignancies, with 5-year survival rates of 85%–90%.2,13,19 Histologically, they are classified into three grades (I–III), with grade III chondrosarcomas presenting as highly cellular tumors with marked pleomorphism and frequent mitoses, which are associated with lower survival rates.3 Our patient had clinical and tumoral features that could be considered poorer prognostic factors, such as being older than 50 years, having a large tumor volume (>200 cm3), grade III histology, and compression of thoracic structures.2,3,10,13 However, wide excision with clear margins stands as a main prognostic factor for long-term survival since local recurrence portends systemic metastasis and eventual tumor-related mortality.2,3 A complete tumoral excision with negative margins in addition to a successful functional and aesthetic chest wall reconstruction was accomplished in this patient. Therefore, tumoral resection must never be compromised due to concerns regarding the defect closure. A multidisciplinary approach and teamwork between thoracic and plastic surgeons are fundamental, allowing a safe and reliable one-stage tumoral resection and chest wall reconstruction with optimal oncologic outcomes and minimal patient morbidity.
ACKNOWLEDGEMENTS
The authors would like to thank Dr. Mariana Afonso from the Department of Pathological Anatomy, Portuguese Institute of Oncology - Porto, for her work on the histologic images of tumoral specimen preparation and analysis.
REFERENCES
Tukiainen E. Chest wall reconstruction after oncological resections. Scand J Surg. 2013;102(1):9-13. http://dx.doi.org/10.1177/145749691310200103. PMid:23628630.
Walsh GL, Davis BM, Swisher SG, et al. A single-institutional, multidisciplinary approach to primary sarcomas involving the chest wall requiring full-thickness resections. J Thorac Cardiovasc Surg. 2001;121(1):48-60. http://dx.doi.org/10.1067/mtc.2001.111381. PMid:11135159.
Rascoe PA, Reznik SI, Smythe WR. Chondrosarcoma of the thorax. Sarcoma. 2011;2011:342879. http://dx.doi.org/10.1155/2011/342879. PMid:21647360.
Kawana S, Yamamoto H, Maki Y, Sugimoto S, Toyooka S, Miyoshi S. Reconstruction of anterior chest wall with polypropylene mesh: two primary sternal chondrosarcoma cases. Acta Med Okayama. 2017;71(3):259-62. http://dx.doi.org/10.18926/AMO/55210. PMid:28655947.
Abraham VJ, Devgarha S, Mathur RM, Sisodia A, Yadav A. Dedifferentiated chondrosarcoma of the rib masquerading as a giant chest wall tumor in a teenage girl: an unusual presentation. Korean J Thorac Cardiovasc Surg. 2014;47(4):427-30. http://dx.doi.org/10.5090/kjtcs.2014.47.4.427. PMid:25207259.
Sangma MM, Dasiah S. Chondrosarcoma of a rib. Int J Surg Case Rep. 2015;10:126-8. http://dx.doi.org/10.1016/j.ijscr.2015.03.052. PMid:25841154.
Arnold PG, Pairolero PC. Chest-wall reconstruction: an account of 500 consecutive patients. Plast Reconstr Surg. 1996;98(5):804-10. http://dx.doi.org/10.1097/00006534-199610000-00008. PMid:8823018.
Althubaiti G, Butler CE. Abdominal wall and chest wall reconstruction. Plast Reconstr Surg. 2014;133(5):688e-701e. http://dx.doi.org/10.1097/PRS.0000000000000086. PMid:24776572.
Chang RR, Mehrara BJ, Hu QY, Disa JJ, Cordeiro PG. Reconstruction of complex oncologic chest wall defects: a 10-year experience. Ann Plast Surg. 2004;52(5):471-9, discussion 479. http://dx.doi.org/10.1097/01.sap.0000122653.09641.f8. PMid:15096930.
Mansour KA, Thourani VH, Losken A, et al. Chest wall resections and reconstruction: a 25-year experience. Ann Thorac Surg. 2002;73(6):1720-5, discussion 1725-6. http://dx.doi.org/10.1016/S0003-4975(02)03527-0. PMid:12078759.
Losken A, Thourani VH, Carlson GW, et al. A reconstructive algorithm for plastic surgery following extensive chest wall resection. Br J Plast Surg. 2004;57(4):295-302. http://dx.doi.org/10.1016/j.bjps.2004.02.004. PMid:15145731.
Hameed A, Akhtar S, Naqvi A, et al. Reconstruction of complex chest wall defects by using polypropylene mesh and a pedicled latissimus dorsi flap: a 6-year experience. J Plast Reconstr Aesthet Surg. 2008;61(6):628-35. http://dx.doi.org/ 10.1016/j.bjps.2007.04.011.
Kachroo P, Pak PS, Sandha HS, et al. Single-institution, multidisciplinary experience with surgical resection of primary chest wall sarcomas. J Thorac Oncol. 2012;7(3):552-8. http://dx.doi.org/10.1097/JTO.0b013e31824176df. PMid:22307013.
Netscher DT, Baumholtz MA. Chest reconstruction: I. Anterior and anterolateral chest wall and wounds affecting respiratory function. Plast Reconstr Surg. 2009;124(5):240e-52e. http://dx.doi.org/10.1097/PRS.0b013e3181b98c9c. PMid:20009799.
Khullar OV, Fernandez FG. Prosthetic reconstruction of the chest wall. Thorac Surg Clin. 2017;27(2):201-8. http://dx.doi.org/10.1016/j.thorsurg.2017.01.014. PMid:28363375.
Ng CS. Recent and future developments in chest wall reconstruction. Semin Thorac Cardiovasc Surg. 2015;27(2):234-9. http://dx.doi.org/10.1053/j.semtcvs.2015.05.002. PMid:26686454.
Billè A, Okiror L, Karenovics W, Routledge T. Experience with titanium devices for rib fixation and coverage of chest wall defects. Interact Cardiovasc Thorac Surg. 2012;15(4):588-95. http://dx.doi.org/10.1093/icvts/ivs327. PMid:22815325.
De Palma A, Sollitto F, Loizzi D, et al. Chest wall stabilization and reconstruction: short and long-term results 5 years after the introduction of a new titanium plates system. J Thorac Dis. 2016;8(3):490-8. http://dx.doi.org/10.21037/jtd.2016.02.64. PMid:27076945.
Salo JTK, Tukiainen EJ. Oncologic resection and reconstruction of the chest wall: a 19-year experience in a single center. Plast Reconstr Surg. 2018;142(2):536-47. http://dx.doi.org/10.1097/PRS.0000000000004597. PMid:29889739.
Notes
Author notes
Correspondence Íris M. Brito Department of Plastic Surgery and Burns Unit - Coimbra University Hospital Center Praceta Prof. Mota Pinto – Coimbra – Portugal 3000-075 Phone: +35 (19) 1154-5232 iris_rbrito@hotmail.com
Conflict of interest declaration