Letter to the Editor
Received: 11 April April 2020
DOI: 10.4322/acr.2020.174
Sir,
Marijuana, also known as cannabis (Cannabis sativa), is the most commonly abused illicit substance in the world. In India, the retail prices for marijuana are among the lowest in the world. Marijuana use in India has been a part of various religious, ritualistic, and traditional medicinal usages (in addition to recreational purposes) since ancient times. While the respiratory complications of marijuana abuse are diverse and well documented, diffuse alveolar hemorrhage (DAH) induced by marijuana smoking is a relatively rare phenomenon. We report a case of marijuana-induced DAH causing hemoptysis and respiratory distress, which to our knowledge, is the first report from India.
A 25-year man from Meghalaya, a state in the northeastern hilly region of India, presented with sudden-onset severe cough and hemoptysis for the past 3 days. There was associated breathing difficulty, especially on exertion and intermittent chest pain. There was no history of fever, chills, headache, double vision, urinary problems, constipation, nausea/vomiting, or joint pain. There was neither any history of chest trauma, pulmonary or cardiac disease, nor any known exposure to tuberculosis or the use of anticoagulation medications. He denied using alcohol or injectable drugs. However, he admitted smoking cigarettes regularly (1 pack/ day) and smoking marijuana occasionally for the last 7 years. The last occasion of marijuana smoking was 4 days prior to the hemoptysis episode. The patient was a known case of hemoglobinopathy E (HbE) (chromatographically confirmed), a common hemoglobin variant prevalent among the native population of the northeastern region of India. On examination, the patient was afebrile. There was no pallor, icterus, rash, lymphadenopathy, or pedal edema. Hemodynamically, the patient was stable (pulse: 105/ min; respiratory rate: 26/ min; BP: 110/70 mm Hg). Oxygen saturation at rest breathing room air was 84%. On respiratory system examination, there were crepitations over the right lower lobe with normal vesicular breath sound. Cardiovascular and abdominal examinations were normal. The patient was admitted for workup and management.
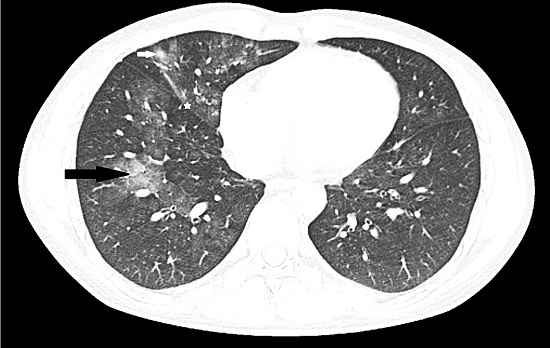
Laboratory investigations revealed hemoglobin 9.6 gm%, hematocrit 29%, and blood counts within normal limits without any increase in eosinophils. Serum biochemical testing showed renal and liver functions and electrolytes to be within normal limits, as were the urinalysis results. Random blood glucose was 140 mg/dL, and ESR was 12 mm/ hour. Chest X-ray showed increased interstitial markings. Further, high-resolution CT-thorax revealed ground-glass opacities in the right middle lobe (anterior to the fissure—white arrow) and right lower lobe (posterior to the fissure--black arrow) consistent with DAH (Figure 1).

Images of the right upper lobe were not included as there was no abnormality in the upper lobes. Bronchoscopy performed after 4 days of admission was normal, and Broncho-alveolar lavage (BAL) cytology showed normal alveolar macrophages. BAL bacterial, viral, fungal, AFB, and Pneumocystis jirovecii cultures were negative. Echocardiogram showed normal left ventricular function (ejection fraction: 65%), without valvular abnormalities. Ultrasonography (upper abdomen) was normal. The coagulation profile was normal. Serology for HIV, hepatitis B, and C viruses was non-reactive. Work-up for autoimmune disorders and vasculitis consisting of antinuclear antibody, rheumatoid factor, antineutrophilic cytoplasmic antibodies, serum complement factors (C3 and C4), cryoglobulin and angiotensin-converting enzyme levels were normal. Urine toxicological screen (lateral flow chromatographic competitive binding immunoassay; SRL Diagnostics Ltd., Mumbai, India), performed in view of the cannabis abuse history, was positive for cannabinoids (threshold: 50 ng/mL).
The patient was treated with oxygen support, intravenous ceftriaxone (1 g twice daily), cough suppressants, and injection tranexamic acid. Intravenous furosemide was also administered on the day of admission, as there was initial suspicion of acute pulmonary edema, which was ruled out after cardiology review and furosemide was stopped. Later, antibiotic was also stopped as the cultures were negative. The cough and hemoptysis resolved, and breathing difficulty subsided (within 3 days) with this conservative line of management. No other etiology could be identified. The case was considered a rare example of cough and hemoptysis due to marijuana smoking-induced diffuse alveolar hemorrhage. The patient was discharged uneventfully (with counseling sessions for de-addiction) and was found to be doing well at regular follow-ups.
Marijuana is the most widely used illicit drug globally (prevalence: 2.6 to 5%). It is the second most frequently smoked substance after tobacco but is smoked in longer inhalations and greater volumes leading to greater retentions of tar and carbon monoxide in the users than while using tobacco.1,2 DAH is an otherwise rare medical condition that is usually associated with vasculitis, connective tissue disorders, coagulopathies, and drugs (e.g., cocaine). Effects of marijuana on pulmonary structure and functions are complex and may produce very diverse respiratory manifestations, viz. increased cough and sputum production, pneumothorax, bullous disease, pneumomediastinum, pulmonary embolism, susceptibility to respiratory infections and exacerbation of bronchial asthma.1,2 However, DAH induced by marijuana inhalation is a very uncommon manifestation. As opposed to our case, the presentation was found to be immediate and more severe in two previous reports.3,4 The varied presentations may be related to the quantity of marijuana inhaled, type of preparation, additives and habitual use.3-5 The probable pathophysiology involved in cannabis-induced DAH is: increase intra alveolar pressure resulting in injury to the alveolar-capillary membrane due to repeated deep inhalation followed by the Valsalva maneuver and anti-thrombotic activities of cannabis inhibition of thrombin-induced clot formation.6,7 Further case series and investigations in the future would help in better understanding the involved pathophysiological mechanisms. Given the widespread use of marijuana worldwide, physicians should be aware of this rare association. Early diagnosis and conservative treatment with abstinence usually suffice in resolving this potentially fatal condition.
Informed consent was taken from the patient to report these findings.
REFERENCES
Chatkin JM, Zabert G, Zabert I, et al. Lung disease associated with marijuana use. Arch Bronconeumol. 2017;53(9):510-5. PMid:28483343.
Lee MHS, Hancox RJ. Effects of smoking cannabis on lung function. Expert Rev Respir Med. 2011;5(4):537-47, quiz 547. http://dx.doi.org/10.1586/ers.11.40. PMid:21859273.
Hashmi HRT, Duncalf R, Khaja M. A case report of cannabis induced hemoptysis. Medicine (Baltimore). 2016;95(13):e3232. http://dx.doi.org/10.1097/MD.0000000000003232. PMid:27043693.
Dumitrescu T, Chandak T. Diffuse alveolar hemorrhage (DAH) induced by marijuana smoking. Am J Respir Crit Care Med. 2015;191:A5844.
Monfort M, Larakeb A, Gouraud F. Hemoptysis in a young man smoking cannabis. Arch Pediatr. 2013;20(6):637-9. PMid:23619207.
Coetzee C, Levendal RA, van de Venter M, Frost CL. Anticoagulant effects of a Cannabis extract in an obese rat model. Phytomedicine. 2007;14(5):333-7. http://dx.doi.org/10.1016/j.phymed.2006.02.004. PMid:16644197.
Shafi MI, Liaquat S, Auckley D. Up in smoke: an unusual case of diffuse alveolar hemorrhage from marijuana. Respir Med Case Rep. 2018;25:22-4. http://dx.doi.org/10.1016/j.rmcr.2018.05.028. PMid:29998053.
Notes
Author notes
CorrespondenceBhupen Barman Department of General Medicine – North Eastern Indira Gandhi Regional Institute of Health and Medical Sciences (NEIGRIHMS) Mawdiangdiang, Shillong, Meghalaya, India Pin code: 793018 Phone: +91 0364-2538078 drbhupenb@gmail.com
Conflict of interest declaration