Letter to the Editor
Ovarian hydatid cyst mimicking an ovarian neoplasm
Ovarian hydatid cyst mimicking an ovarian neoplasm
Autopsy and Case Reports, vol. 10, no. 3, 2020
São Paulo, SP: Universidade de São Paulo, Hospital Universitário
Received: 09 March 2020
Accepted: 06 May 2020
DOI: 10.4322/acr.2020.177
Dear Editor
Hydatid disease or echinococcosis is a parasitic infection caused by the larval stage of the parasite echinococcus or tapeworm. The different species of Echinococcus include Echinococcus granulosus, Echinococcus multilocularis, and Echinococcus vogeli, which are responsible for classical cystic echinococcosis, alveolar echinococcosis, and polycystic echinococcosis respectively.1 The definitive hosts are carnivores like dogs, wolves, foxes, jackals and hyenas passing the eggs of the parasite in their feces.2 Sheep, cattle, goats, camels and horses are the intermediate hosts.2 Humans are the accidental intermediate hosts and acquire primary infection by ingestion of eggs excreted by infected definitive carnivore hosts.3
Amongst the seven infective Echinococcus granulosus genotypes, G1 (sheep strain) is the most common genotype causing human disease worldwide.4 In India, G1 and G5 (cattle strain) genotypes of E. granulosus have been frequently associated with human infection.4 The G2 genotype (Tasmanian sheep strain) in buffalo has also been reported from India.1
The hydatid disease commonly affects the liver (60-75%) and the lungs (15-25%).3 The primary hydatid cyst of the pelvis is quite rare, with the incidence varying between 0.2-2.5%.3 Approximately 80% of cases of pelvic hydatid cyst involve the female genital tract, with ovary being the most common location.5 Ovarian echinococcosis is usually secondary, due to rupture of primary cysts of the abdominal organs, primarily the liver.2 However, primary ovarian hydatid cyst has also been reported, and dissemination via the systemic circulation or the lymphatics has been postulated as a possible route of transmission.6 Ovarian hydatid cyst may mimic an ovarian neoplasm because of non-specific clinical symptoms and radiological appearance.5,7
Although the seropositive cases of echinococcosis are increasing in the Indian subcontinent, ovarian involvement is rare, with few cases reported from India and none from the northeastern part of India.3 Here, we report a rare case of ovarian hydatid cyst in a nulliparous lady mimicking an ovarian neoplasm.
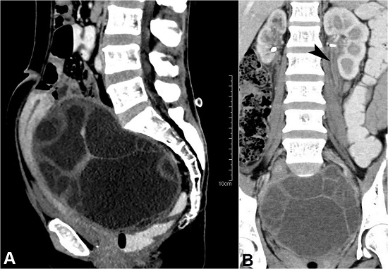
A 37-year-old nulliparous woman sought medical care complaining of progressive increment of the abdominal girth over the last year. She had significant weight loss and low-grade fever for the last month. She had no associated history of nausea, vomiting, diarrhea, anorexia, or jaundice. Her menses were irregular since then, and micturition was difficult demanding urinary catheterization. Her medical history was unremarkable. She was a daily wage laborer working on a farm with a recent history of traveling from central India. The abdominal examination revealed a palpable firm irregular mass arising from the pelvis. She was admitted with the working diagnosis of ovarian cystadenoma and ipsilateral hydroureteronephrosis. The routine blood biochemistry, urine examination, and chest X-ray were normal. The alpha-fetoprotein (AFP), carcinoembryonic antigen (CEA), cancer antigen 15-3 (CA 15-3), and cancer antigen 125 (CA 125) were normal. The contrasted-enhanced computed tomography (CECT) scan of the abdomen and pelvis revealed a large (14.8x12.6x9.5 cm) multiseptated cystic lesion in the Pouch of Douglas, consistent with the ovarian origin and ipsilateral hydroureteronephrosis (Figure 1A and 1B). Imaging findings mimicked an ovarian cyst.

The liver, lungs, and other organs were normal. The mass, the omentum, and the left ovary were surgically excised and sent for histopathological examination.
The gross specimen consists of an already ruptured cystic mass, measuring 12.5x9x0.5 cm along with multiple whitish vesicles ranging in size from 6.5-0.5cm (Figure 2A). A compressed left ovary was also identified, measuring 4.3x 4 cm with left fallopian tube measuring 4.5x2.5 cm. Histologically, the cyst showed characteristic features of a hydatid cyst with both ectocyst and endocyst. The germinal layers showed many scolices, and the surrounding fibrocollagenous tissue showed evidence of chronic non-specific inflammation with foreign body giant cell reaction. (Figure 222D) The left ovary showed ovarian tissue with a corpus luteum, and a hydatid cyst adhered to the outer surface of the ovary. The omental tissue also showed a hydatid cyst with evidence of chronic non-specific inflammation. Histopathology confirmed the diagnosis of an ovarian hydatid cyst.

The worldwide incidence of cystic echinococcosis is about 100,000 - 300,000 cases annually and is known to occur in all continents.1,4Echinococcus granulosus is the most common type, being endemic in the Mediterranean, Eastern Europe, Middle East, Africa, South America, Australia, and New Zealand. Echinococcus multilocularis is found in the northern parts of Europe, Asia, Canada, and the USA. In contrast, Echinococcus vogeli is found only in Central and South America.2 Echinococcosis is endemic in all the regions of India with an annual incidence of around 1-200 per 100,000 population.8 High prevalence of echinococcosis has been reported from the northern, central, and southern part of India.8
Females are at higher risk for acquiring echinococcosis, and this increased risk has been attributed to active female participation in farming and herding of livestock in the rural communities.1 The female genital tract is rarely involved with less than 0.5% of all cases of hydatid cysts, with the ovary being the most common location, followed by the uterus.2,3 The hydatid cysts are rarely found in the ovary as the primary target organ with few cases reported in the literature.9,10 The present case was a female and from central India, which is an endemic region for echinococcosis. Our case was of primary ovarian hydatidosis since none of the other organs were involved.
Ovarian hydatidosis usually presents with non-specific symptomatology such as abdominal pain, swelling, infertility, and pressure symptoms due to mass effect on the pelvic organs.11
Ovarian echinococcosis can mimic either a polycystic disease or malignancy of the ovary. The diagnostic challenge is due to the non-specific clinical symptomatology.7 Ovarian malignancies are known to present as ovarian cysts.12 Owing to its multilocular cystic appearance, an ovarian hydatid cyst may resemble the septal structures and thus reminds an ovarian cyst or even an ovarian malignancy.5
Serodiagnostic assays are very helpful in confirming the diagnosis and have a sensitivity ranging from 64-87%.5 Fine-needle aspiration cytology (FNAC) may help in establishing the diagnosis; however, its role has been controversial due to the concern over microscopic spillage along the needle tract.13 FNAC was not done in our case as we were suspecting a malignant ovarian tumor. Histopathological examination is required for the final confirmatory diagnosis. When the diagnosis of echinococcosis is made preoperatively, it is recommended to previously administer an albendazole-based therapy in order to reduce the risk of dissemination and hamper recurrences.7
The ideal treatment for ovarian hydatid cyst is surgical excision, which could be either radical or conservative. Care must be taken to avoid perioperative rupture of the cyst.7 The other alternatives like PAIR (Puncture, Aspiration, Injection, Re-aspiration) have been described for those who are not surgical candidates.14 The recurrence rate after surgical treatment has been reported to be about 2% and the survival rate is 95%.14
Awareness regarding echinococcal ovarian cyst, especially in endemic areas, will avoid the diagnostic problems and potentially serious complications.5 Due to the unusual presentation and localization, one may misdiagnose an ovarian cyst. Thus, it is important to keep in mind this rare entity as a differential in patients presenting with cystic mass at the ovary, causing mass effect, mainly when proceeding from an endemic area.
REFERENCES
Rao SS, Narang R, Mehra B. The spectrum of hydatid disease in rural central India: An 11-year experience. Ann Trop Med Public Health. 2012;5(3):225-30. http://dx.doi.org/10.4103/1755-6783.98624.
Tampakoudis P, Assimakopoulos E, Zafrakas M, Tzevelekis P, Kostopoulou E, Bontis J. Pelvic echinococcus mimicking multicystic ovary. Ultrasound Obstet Gynecol. 2003;22(2):196-8. http://dx.doi.org/10.1002/uog.172. PMid:12905519.
Sharma A, Sengupta P, Mandal S, Raychaudhuri G. Hydatid cyst of ovary mimicking ovarian neoplasm with its imprint cytology. Am J Case Rep. 2012;13:276-8. http://dx.doi.org/10.12659/AJCR.883639. PMid:23569548.
Eckert J, Deplazes P. Biological, epidemiological, and clinical aspects of echinococcosis: A zoonosis of increasing concern. Clin Microbiol Rev. 2004;17(1):107-35. http://dx.doi.org/10.1128/CMR.17.1.107-135.2004. PMid:14726458.
Goyal NA, Vaidya RR, Zaidi SH, Gandhewar MR. Hydatid cyst of ovary: An unusual site. Int J Reprod Contracept Obstet Gynecol. 2015;4:2053-5. http://dx.doi.org/10.18203/2320-1770.ijrcog20151314.
Singh S, Reddy M. A rare case of primary peritoneal hydatid cyst. Int J Reprod Contracept Obstet Gynecol. 2017;6(1):360-3. http://dx.doi.org/10.18203/2320-1770.ijrcog20164698.
Cattorini L, Trastulli S, Milani D, et al. Ovarian hydatid cyst: A case report. Int J Surg Case Rep. 2011;2(6):100-2. http://dx.doi.org/10.1016/j.ijscr.2010.12.005. PMid:22096695.
Parikh F. Echinococcosis – Cut to cure but what about control? J Assoc Physicians India. 2012;60:9-10. PMid:23405533.
Uchikova E, Pehlivanov B, Uchikov A, Shipkov C, Poriazova E. A primary ovarian hydatid cyst. Aust N Z J Obstet Gynaecol. 2009;49(4):441-2. http://dx.doi.org/10.1111/j.1479-828X.2009.01015.x. PMid:19694705.
Aybatlı A, Kaplan PB, Yüce MA, Yalçin O. Huge solitary primary pelvic hydatid cyst presenting as an ovarian malignancy: case report. J Turk Ger Gynecol Assoc. 2009;10(3):181-3. PMid:24591866.
Shahi KS, Bhandari G, Gupta RK, Kashmira M. Pelvic hydatid disease mimicking ovarian cyst. J Med Soc. 2015;29(3):177-9. http://dx.doi.org/10.4103/0972-4958.170803.
Chanu SM, Dey B, Raphael V, Panda S, Khonglah Y. Clinicopathological profile of ovarian cysts in a tertiary care hospital. Int J Reprod Contracept Obstet Gynecol. 2017;6(10):4642-5. http://dx.doi.org/10.18203/2320-1770.ijrcog20174456.
Kullolli GK, Vaidya MK, Patil R. Unusual presentation of hydatid cyst- a case study. Int J Sci Stud. 2017;5:218-22.
Ray S, Gangopadhyay M. Hydatid cyst of ovary- a rare entity. J Turk Ger Gynecol Assoc. 2010;11(1):63-4. PMid:24591898.
Notes
Author notes
Correspondence Vandana Raphael North Eastern Indira Gandhi Regional Institute of Health and Medical Sciences (NEIGRIHMS) Mawdiangdiang, Shillong, Meghalaya, India, 793018 Phone: 9436707442raphaellyngdoh@gmail.com
Conflict of interest declaration