Short Communication
Received: 11 June 2020
Accepted: 28 July 2020
DOI: 10.4322/acr.2020.210
ABSTRACT: Chronic infection by hepatitis C virus (HCV) can lead not only to the development of hepatic cirrhosis, but also to the emergence of extra-hepatic manifestations (EHMs), such as oral lichen planus (OLP). Here, we describe a clinical presentation of massive, erosive OLP in an HCV-positive patient whose clinical management was difficult. Full remission was achieved after sustained virological response by using direct-acting anti-retrovirals. This case report demonstrates not only the importance of diagnosing EHMs for identification of HCV infection, but also the importance of controlling it for management of OLP and EHMs.
Keywords: Hepatitis C, Chronic, Lichen Planus, Oral.
INTRODUCTION
The infection by hepatitis C virus (HCV) has a characteristic immunological component in which there is a progressive loss of regulatory control over inflammation and increasing release of pro-inflammatory cytokines capable of leading to the destruction of hepatic parenchyma.1,2
Persistent immune activation and systemic inflammation have an impact on the progression of hepatic disease and development of extra-hepatic manifestations (EHMs) involving kidneys, eyes, musculoskeletal system, nervous system, skin and mucosas.3 Due to the scarcity of specific symptoms and signs of HCV infection, EHMs may be the first evidence of this infection.4
Lichen planus (LP) is one of the EHMs usually observed in individuals infected with HCV. In its idiopathic form, LP is described as a mucocutaneous condition affecting middle-aged adults, with a slight gender predilection for females.4 Overall, LP is a reaction immunologically mediated by antigens and especially orchestrated by T CD8+ lymphocytes, which promotes destruction of the keratinocytes in the basal layer of the epithelium.5,6
The first report of an association between LP and HCV was published in 1991.7 Since then, several hypotheses have been proposed to elucidate the mechanisms involved in the interaction between both conditions. However, their pathogenesis is not fully understood.8
The objective of the present case report is to describe the diagnostic process and treatment approach for an aggressive oral lichen planus (OLP) in a patient with HCV chronic infection.
CASE REPORT
A 51-year-old male patient sought a specialized care center complaining of ulcerations in the mouth. Intense pain was making feeding, swallowing, speaking and oral hygiene difficult. He reported that oral lesions appeared 10 months earlier and were initially treated with acyclovir for 15 days, with no relief neither lesions’ improvement. His blood cell count showed a remarkable thrombocytopenia. A HCV serology using ELISA (MEIA, kit AxSYM® HCV version 3.0, Abbott Laboratories, North Chicago, Illinois, USA) was positive result, and was confirmed with qualitative PCR (Cobas Amplicor HCV Monitor TM test, version 2.0, Roche Diagnostic Systems, NJ, USA) (Genotype 1a). The patient was treated with ribavirin and pegylated alpha-interferon, according to the current clinical protocol and therapeutic guidelines of the Ministry of Health.
After seven months of treatment, the patient sought our service because the oral lesions were progressively worsening. The physical examination showed that the lower lip was swollen and had extensive ulceration with crust formation (Figure 1A). These ulcerative erosive lesions were scattered all over the oral mucosa, being surrounded and interspersed by whitish lichenoid lines (Figure 11C), and purple scaling papules on the palms and dystrophic fingernails were observed (Figure 22B).


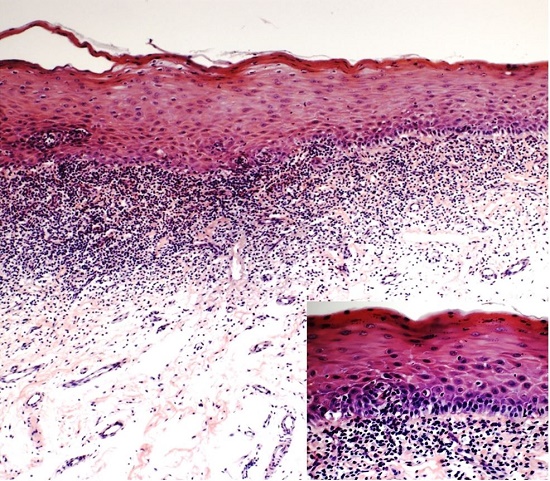
An incisional biopsy of the buccal mucosa was performed and histopathological examination showed a fragment of mucosa covered by hyper-parakeratinized stratified pavimentous epithelium, partially ulcerated, with intense and predominantly lymphocytic inflammatory infiltrate arranged in a juxta-epithelial band, which was compatible with the diagnosis of lichen planus (Figure 3).

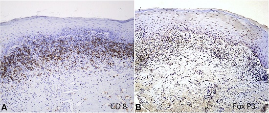
Additionally, immunohistochemical reactions with primary antibodies anti-CD8 (clone C8/144, DAKO, Glostrup, Denmark) and anti-FoxP3 (clone 236/E7, Abcam, Cambridge, UK) were also performed (Figure 4). Immune-positive cells were counted by using light microscope at magnification of 400x with LAS software V4.1. The counts of T CD8+ lymphocytes and T regulatory cells (Treg) were, respectively, 144 cells/mm2 and 50 cells/mm2.

Although the skin lesions were not biopsied, we believe these lesions were also manifestation of the lichen planus. Similar lesions are reported in the literature.9,10
Anti-nuclear antibodies (ANA), anti-DNA, anti-SSA and anti-SSB antibodies were analysed in order to rule out the possibility of systemic erythematous lupus, which were negative.
The initial treatment consisted of oral prednisone for 70 days (60 mg/day for 15 days, 40 mg/day for 10 days, 20 mg/day for 15 days and 5 mg/day for 30 days) and mouth rinsing with non-alcoholic solution of 0.05% clobetasol propionate (3x a day for 90 days). Significant improvement in the clinical picture was observed after 15 days of treatment with corticotherapy. The treatment of HCV was extended for 48 weeks, but the patient was considered a non-responder at the end of this period.
The oral lesions had alternating periods of remission and exacerbation during the 10-year follow-up, being clinically controlled by means of mouth rinsing with 0.05% clobetasol propionate and prednisone tablets.
The patient evolved to hepatic cirrhosis and entered the transplant list. Four years ago, the patient was treated with direct-acting anti-retrovirals (Sofosbuvir 400 mg/day, Daclatasvir 30 mg/day) for 12 weeks, which allowed sustained virological response (SVR) and significant improvement in the cirrhosis (compensated cirrhosis), resulting in his removal from the transplant list. The patient has been followed up since then (SVR) and until now he is in complete remission regarding the oral and cutaneous lesions. The patient is currently taking diuretics and non-selective beta-blockers for control of portal hypertension.
DISCUSSION
Hepatic diseases are usually silent, with slow progression and being typically diagnosed when the organ’s function is broadly impaired. When HCV infection is the cause of hepatic dysfunction, there is a triggering of systemic inflammatory reactions with deregulation of the patient’s immune response, which leads to the emergence of EHMs. These EHMs can help the clinician diagnose HCV infection. In the present case report, the presence of oral lesions led us to perform a further investigation, which resulted in the diagnosis of chronic C hepatitis.
Another importance of EHMs is that the literature seems to point to inflammatory characteristics similar to those observed in the progression of hepatic disease caused by HCV and in the pathogenesis of autoimmune diseases, such as OLP. The enhanced CD8+ response against HCV, 11 facilitated by the decrease in the amount and efficacy of Treg cells (Foxp3+),12,13 is involved in both fibrosis extension and rapid progression to cirrhosis, such as in the pathogenesis of OLP.14,15 This is precisely the inflammatory picture found in the present case of oral lesions, as there was a ratio of CD8+ cells to FoxP3+ cells evidencing an imbalance in the mechanisms of immunological tolerance. The presence of a great amount of T CD8+ cells is also thought to account for the more severe clinical presentation of OLP, which seems to be more common in patients with hepatitis C.16-19
In the present case, the lesions observed in the patient were not only more severe, but also of difficult therapeutic control. Even using systemic and local corticosteroids, the episodes of recurrence had to be controlled for several years. As one believes that HCV is the factor leading to deregulation of the systemic immune response, the therapeutic inefficiency of interferon and ribavirin in countering viral replication may have been the factor promoting the OLP recurrence observed in the patient.
Despite the improvement in the patient’s clinical picture with the use of corticosteroids, the complete resolution of the OLP lesions only occurred after the SVR was achieved with the use of direct-acting antiretrovirals. There are several studies in the literature reporting that interferon (associated or not with ribavirin) can lead to both establishment and impairment of the clinical picture of OLP. 20-22 Some authors believe that this fact is due to the drug’s side effects.20-22 On the other hand, the inefficiency of the interferon-based treatment in countering the HCV viral replication and in leading to SVR might also be a factor promoting exacerbation of OLP. This second hypothesis was further supported after the publication of case reports associating the involution of OLP and other EHMs 23,24 to the SVR with the use of AAD, 25-27 including re-establishment of immune tolerance in the patients.28-30 These findings make us to suggest that the ideal treatment for cases of HCV-associated OLP should be coupled with the establishment of SVR.
This case report has demonstrated that it is important not only to diagnose EHMs for identification of HCV infection, but also to control it for management of OLP as EHMs.
REFERENCES
Naggie S, Hepatitis C. Virus, Inflammation, and Cellular Aging: Turning Back Time. Top Antivir Med. 2017;25(1):3-6. PMid:28402927.
Negro F, Forton D, Craxi A, Sulkowski MS, Feld JJ, Manns MP. Extrahepatic morbidity and mortality of chronic hepatitis C. Gastroenterology. 2015;149(6):1345-60. http://dx.doi.org/10.1053/j.gastro.2015.08.035. PMid:26319013.
Viganò M, Colombo M. Extrahepatic Manifestations of Hepatitis C Virus. Gastroenterol Clin North Am. 2015;44(4):775-91. http://dx.doi.org/10.1016/j.gtc.2015.07.006. PMid:26600219.
Carrozzo M, Scally K. Oral manifestations of hepatitis C virus infection. World J Gastroenterol. 2014;20(24):7534-43. http://dx.doi.org/10.3748/wjg.v20.i24.7534. PMid:24976694.
Carrozzo M, Thorpe R. Oral lichen planus: a review. Minerva Stomatol. 2009;58(10):519-37. PMid:19893476.
Lehman JS, Tollefson MM, Gibson LE. Lichen planus. Int J Dermatol. 2009;48(7):682-94. http://dx.doi.org/10.1111/j.1365-4632.2009.04062.x. PMid:19570072.
Mokni M, Rybojad M, Puppin D Jr, et al. Lichen planus and hepatitis C virus. J Am Acad Dermatol. 1991;24(5):792. http://dx.doi.org/10.1016/S0190-9622(08)80376-3. PMid:1651354.
Oliveira Alves MG, Almeida JD, Guimarães Cabral LA. Association between hepatitis C virus and oral lichen planus: HCV and oral Lichen Planus. Hepat Mon. 2011;11(2):132-3. PMid:22087133.
Gorouhi F, Davari P, Fazel N. Cutaneous and mucosal lichen planus: a comprehensive review of clinical subtypes, risk factors, diagnosis, and prognosis. ScientificWorldJournal. 2014;2014:742826. http://dx.doi.org/10.1155/2014/742826. PMid:24672362.
Yokozeki H, Niiyama S, Nishioka K. Twenty-nail dystrophy (trachyonychia) caused by Lichen Planus in a patient with gold allergy. Br J Dermatol. 2005;152(5):1087-9. http://dx.doi.org/10.1111/j.1365-2133.2005.06581.x. PMid:15888190.
Larrubia JR, Moreno-Cubero E, Lokhande MU, et al. Adaptive immune response during hepatitis C virus infection. World J Gastroenterol. 2014;20(13):3418-30. http://dx.doi.org/10.3748/wjg.v20.i13.3418. PMid:24707125.
Claassen MA, de Knegt RJ, Tilanus HW, Janssen HL, Boonstra A. Abundant numbers of regulatory T cells localize to the liver of chronic hepatitis C infected patients and limit the extent of fibrosis. J Hepatol. 2010;52(3):315-21. http://dx.doi.org/10.1016/j.jhep.2009.12.013. PMid:20129690.
Farid C, Sheikh WE, Swelem R, El-Ghitany E. Frequency of FOXP3+ Regulatory T-cells in the Blood of Chronic Hepatitis C Patients with Immune Mediated Skin Manifestations; Relationship to Hepatic Condition and Viral Load. Clin Lab. 2016;62(12):2339-48. http://dx.doi.org/10.7754/Clin.Lab.2016.160421. PMid:28164561.
Shu Y, Hu Q, Long H, Chang C, Lu Q, Xiao R. Epigenetic Variability of CD4+CD25+ Tregs Contributes to the Pathogenesis of Autoimmune Diseases. Clin Rev Allergy Immunol. 2017;52(2):260-72. http://dx.doi.org/10.1007/s12016-016-8590-3. PMid:27687891.
Tao JH, Cheng M, Tang JP, Liu Q, Pan F, Li XP. Foxp3, Regulatory T Cell, and Autoimmune Diseases. Inflammation. 2017;40(1):328-39. http://dx.doi.org/10.1007/s10753-016-0470-8. PMid:27882473.
Carrozzo M, Gandolfo S, Carbone M, et al. Hepatitis C virus infection in Italian patients with oral lichen planus: a prospective case-control study. J Oral Pathol Med. 1996;25(10):527-33. http://dx.doi.org/10.1111/j.1600-0714.1996.tb01726.x. PMid:8986963.
Sánchez-Pérez J, Castro M, Buezo GF, Herrera JF, Borque MJ, García-Diez A. Lichen planus and hepatitis C virus: prevalence and clinical presentation of patients with lichen planus and hepatitis C virus infection. Br J Dermatol. 1996;134(4):715-9. http://dx.doi.org/10.1111/j.1365-2133.1996.tb06977.x. PMid:8733378.
Lei L, Zhan L, Tan W, Chen S, Li Y, Reynolds M. Foxp3 gene expression in oral lichen planus: a clinicopathological study. Mol Med Rep. 2014;9(3):928-34. http://dx.doi.org/10.3892/mmr.2014.1919. PMid:24469541.
Lorenzini G, Viviano M, Chisci E, Chisci G, Picciotti M. A comparative immunohistochemical and immunophenotypical study on lymphocytes expression in patients affected by oral lichen planus. J Oral Pathol Med. 2013;42(8):642-7. http://dx.doi.org/10.1111/jop.12058. PMid:23495733.
Nagao Y, Sata M, Ide T, et al. Development and exacerbation of oral lichen planus during and after interferon therapy for hepatitis C. Eur J Clin Invest. 1996;26(12):1171-4. http://dx.doi.org/10.1046/j.1365-2362.1996.610607.x. PMid:9013095.
Nagao Y, Kawaguchi T, Ide T, Kumashiro R, Sata M. Exacerbation of oral erosive lichen planus by combination of interferon and ribavirin therapy for chronic hepatitis C. Int J Mol Med. 2005;15(2):237-41. http://dx.doi.org/10.3892/ijmm.15.2.237. PMid:15647837.
Grossmann SM, Teixeira R, Aguiar MC, Carmo MA. Exacerbation of oral lichen planus lesions during treatment of chronic hepatitis C with pegylated interferon and ribavirin. Eur J Gastroenterol Hepatol. 2008;20(7):702-6. http://dx.doi.org/10.1097/MEG.0b013e3282f1cc5d. PMid:18679075.
Sise ME, Bloom AK, Wisocky J, et al. Treatment of hepatitis C virus-associated mixed cryoglobulinemia with direct-acting antiviral agents. Hepatology. 2016;63(2):408-17. http://dx.doi.org/10.1002/hep.28297. PMid:26474537.
Mazzaro C, Dal Maso L, Quartuccio L, et al. Long-term effects of the new direct antiviral agents (DAAs) therapy for HCV-related mixed cryoglobulinaemia without renal involvement: a multicentre open-label study. Clin Exp Rheumatol 2018;36(2 Suppl 111):107-14. PMID: 29465371.
Yoshikawa A, Terashita K, Morikawa K, et al. Interferon-free therapy with sofosbuvir plus ribavirin for successful treatment of genotype 2 hepatitis C virus with lichen planus: acase report. Clin J Gastroenterol. 2017;10(3):270-3. http://dx.doi.org/10.1007/s12328-017-0742-3. PMid:28447325.
Misaka K, Kishimoto T, Kawahigashi Y, Sata M, Nagao Y. Use of direct-acting antivirals for the treatment of hepatitis C virus-associated oral lichen planus: a case report. Case Rep Gastroenterol. 2016;10(3):617-22. http://dx.doi.org/10.1159/000450679. PMid:27920651.
Nagao Y, Kimura K, Kawahigashi Y, Sata M. Successful treatment of hepatitis C virus-associated oral lichen planus by interferon-free therapy with direct-acting antivirals. Clin Transl Gastroenterol. 2016;7(7):e179. http://dx.doi.org/10.1038/ctg.2016.37. PMid:27388424.
Comarmond C, Garrido M, Pol S, et al. Direct-acting antiviral therapy restores immune tolerance to patients with hepatitis C virus-induced cryoglobulinemia vasculitis. Gastroenterology. 2017;152(8):2052-2062.e2. http://dx.doi.org/10.1053/j.gastro.2017.02.037. PMid:28274850.
Mester A, Lucaciu O, Ciobanu L, Apostu D, Ilea A, Campian RS. Clinical features and management of oral lichen planus (OLP) with emphasis on the management of hepatitis C virus (HCV)-related OLP. Bosn J Basic Med Sci. 2018;18(3):217-23. http://dx.doi.org/10.17305/bjbms.2018.3133. PMid:29984679.
Wiznia LE, Laird ME, Franks AG Jr. Hepatitis C virus and its cutaneous manifestations: treatment in the direct-acting antiviral era. J Eur Acad Dermatol Venereol. 2017;31(8):1260-70. http://dx.doi.org/10.1111/jdv.14186. PMid:28252812.
Notes
Author notes
Correspondence Karem L. Ortega Universidade de São Paulo (USP), Faculdade de Odontologia, Patologia Oral, Departamento de Estomatologia Av. Prof. Lineu Prestes, 2227, Butantã, CEP 05508-900, São Paulo, SP, Brasil Phone: +55 (11) 3091-7418 klortega@usp.br
Conflict of interest declaration