Clinical Case Report
A rare combination of Dermoid cyst and Cystadenoma: Are collision tumors in the ovary a real entity?
A rare combination of Dermoid cyst and Cystadenoma: Are collision tumors in the ovary a real entity?
Autopsy and Case Reports, vol. 11, e2021249, 2021
Hospital Universitário da Universidade de São Paulo
Received: 09 October 2020
Accepted: 02 December 2020
ABSTRACT: Collision tumors have been reported in various organs like the gastrointestinal tract, lung, skin, adrenals, central nervous system, lymph nodes, uterus, but are rarely seen in the ovary. Collision tumors are two histologically distinct neoplasms in the same organ without any intermixture between them. Here we present a case of a collision tumor of the ovary represented by a mucinous cystadenoma and teratoma. It is imperative for a surgical pathologist to correctly diagnose the collision tumor components and differentiate them from mixed tumors as it will dictate the appropriate treatment based on the individual biological aggressiveness of each component.
Keywords: Cystadenoma, Mucinous, Ovary, Teratoma.
INTRODUCTION
Collision tumor refers to the simultaneous coexistence of two distinct tumors in the same tissue without any transition zone or mixing interface. Collision tumors have been described in various body organs, e.g., liver, bone, kidney, brain, lung. However, collision tumors in the ovary are rarely seen.1 Case reports of collision tumors in the ovary were reported depicting the admixture of granulosa and cystadenocarcinoma, granulosa and teratoma, serous adenocarcinoma, and steroid cell tumor.2-4
The cystadenomas account for 30% of the ovarian tumors, and the mature cystic teratomas comprise 10-20% of the ovarian tumors.5 However, together only 2-10% of teratomas are associated with mucinous cystadenomas.6 Mature cystic teratoma co-existing with a mucinous cystadenocarcinoma is infrequently encountered, with only a handful of cases reported to date.
Here we report a collision tumor of the ovary with the simultaneous association of dermoid cyst and benign mucinous cystadenoma.
CASE REPORT
A 36-year-old female was referred to the Gynecology Department complaining of dysmenorrhea for the past 3 months associated with intermenstrual spotting. The abdominal examination revealed a freely mobile mass in the right lower abdominal quadrant. The pelvic CT scan revealed cystic lesions on bilateral adnexa, the left side with 7.4x6.2x6.1 cm, and the right side with 14.5x17.4x18.5 cm.Thus, the bilateral adnexal masses were excised along with hysterectomy. The cut surface of bilateral ovaries shows solid and cystic areas with focal papillaroid areas along with an occasional greyish brown, firm area, which revealed a teratomatous component (Figure 1).

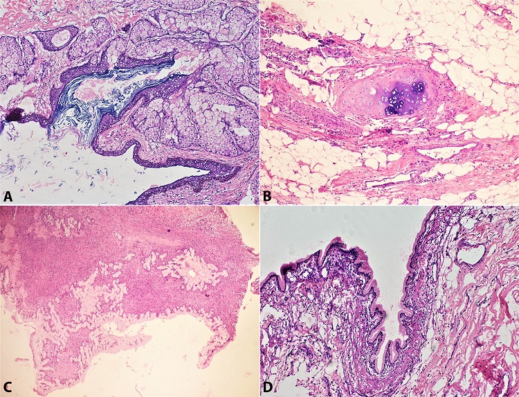
The Paraffin-embedded samples from left adnexa stained with H&E stain showed solid cystic ovarian parenchyma partially lined by stratified squamous epithelium along with the presence of pilosebaceous units, cystic spaces filled with keratinous debris with pigment-laden macrophages in its wall. A diagnosis of mature cystic teratoma was rendered on the left adnexa. Right adnexa showed ovarian stroma and many cysts like spaces lined by simple non-stratified columnar cells with abundant intracellular mucin and distinct areas of cartilaginous differentiation, pilo sebaceous units, and keratinous debris separated by ovarian parenchyma. (Figure 2 A to D). Hence a diagnosis of a mature cystic teratoma with mucinous cystadenoma was given However ,intraoperative frozen sections examination was reported as suggestive of mucinous cystadenoma on both sides. (Figure 2C)

DISCUSSION
The origin of teratomas is still widely disputed. The most accepted theory is that they arise from primordial germ cells.6 The diagnosis of a collision tumor is made when normal tissue intervenes between both tumors, and there is no histological admixture at the interface. The occurrence of a transition zone between the two tumors makes it difficult to differentiate between two colliding tumors or a true mixed tumor.3,7
The histogenesis of the ovarian mucinous cystadenoma has not yet been fully clarified. There has been the suggestion of a surface epithelial metaplasia origin or a teratomatous origin. The ultrastructure studies and mucin histochemical studies have supported the surface epithelial metaplasia theory.8,9 The frequent co-existence of mature cystic teratoma and mucinous cystadenoma is the basis for the teratoma theory. Germ cell tumors comprise approximately 30% of the primary ovarian tumors, and of these, 95% are mature cystic teratomas. The most common histological combination of collision tumors in the ovary is the coexistence of teratoma with mucinous tumors.10 The main differentiating feature between collision tumor and teratoma with cystadenoma component is that the former presents a distinct collar of normal ovarian parenchyma separating the teratoma and cystadenoma component, while the latter entity shows an intermixture of both the histological components. Various hypothesis has been proposed for the existence of collision tumors in the ovary. The first hypothesis is that the first tumor’s presence causes changes in the tissue microenvironment, making it conducive for the seeding of a metastatic tumor or development of the second tumor. The second theory proposes that the existence of two primary tumors is just a chance occurrence. This theory was supported by Vang et al.,11 who showed the ovarian mucinous tumors associated with mature cystic teratomas exhibited morphological and immunophenotypic diversity. The third theory proposes that both the primary coexisting tumors have a common stem cell origin.12
The evidence of a clonal relationship could be provided by additional molecular analyses demonstrating shared genetic changes in the mucinous tumor and adjacent conventional teratomatous elements. Thus, supporting the theory of a teratomatous origin for these mucinous tumors.
In a study by Fuji et al.13 the homozygous genetic patterns similar to those of the teratomatous components were shown in mucinous tumors arising together with mature cystic teratomas, and it was suggested that these mucinous tumors developed from pre-existing mature cystic teratomas.
Although not all mucinous tumors are of germ-cell origin, mucinous elements in dermoid cysts may be of teratomatous origin as they are more likely to be intestinal rather than Mullerian in differentiation.14
Another study published stated that molecular findings which are significant allelic imbalance for microsatellite markers, indicating homozygosity rather than heterozygosity for chromosomal polymorphisms in some ovarian mucinous cystadenomas associated with mature cystic teratomas, were consistent with a germ cell origin.15 Okada et al.16 demonstrated a possible association between dermoid cyst and multiseptated cyst. Multiseptated cyst contains fatty tissue foci. It was also stated that recognizing of the potential for the coexistence of these two neoplasms in the same ovary is essential to make a correct diagnosis.
CONCLUSION
Collision tumors involving ovaries are rare. The surgeon should establish good perioperative communication with the pathologists and whenever possible, a specialized gynecology pathologist is advisable since a thorough grossing and recognition of close differential diagnosis lead the correct diagnosis.
REFERENCES
1 Bostanci MS, Yildirim OK, Yildirim G, et al. Collision tumor: dermoid cysts and mucinous cystadenoma in the same ovary and a review of the literature. Obstet Gynecol Cases Rev. 2015;2(2):1-3. http://dx.doi.org/10.23937/2377-9004/1410031.
2 Ozbey C, Erdogan G, Pestereli HE, Simsek T, Karaveli S. Serous papillary adenocarcinoma and adult granulosa cell tumor in the same ovary. An unusual case. APMIS. 2005;113(10):713-5. http://dx.doi.org/10.1111/j.1600-0463.2005.apm_255.x. PMid:16309432.
3 Dgani R, Rozenman D, Lifschitz-Mercer B. Granulosa cell tumor arising in an ovary with mature cystic teratoma. Int J Gynaecol Obstet. 1993;41(3):287-9. http://dx.doi.org/10.1016/0020-7292(93)90562-B. PMid:8102994.
4 Nirenberg A, Ostor AG, Quinn MA. Collision tumor: serous adenocarcinoma and steroid cell tumor of the ovary. Pathology. 1992;24(2):60-2. http://dx.doi.org/10.3109/00313029209063624. PMid:1322520.
5 Kumar V, Abbas A, Fausto N, Aster J. Robbins and Cotran pathologic basis of disease. Philadelphia, Pa: Els Saunders; 2010.
6. Talerman A, Vang R. Germ cell tumor of the ovary. In: Kurman RJ, Ellenson LH, Ronnett BM. Blaustein’s pathology of the female genital tract. 6th ed. Springer; 2011. p. 847-907.
7 Matias-Guiu X, Caixas A, Costa I, Cabezas R, Prat J. Compound medullary-papillary carcinoma of the thyroid: true mixed versus collision tumor. Histopathology. 1994;25(2):183-5. http://dx.doi.org/10.1111/j.1365-2559.1994.tb01578.x. PMid:7982684.
8 Fenoglio CM, Ferenczy A, Richart RM. Mucinous tumors of the ovary. Ultrastructural studies of mucinous cystadenomas with histogenetic considerations. Cancer. 1975;36(5):1709-22. http://dx.doi.org/10.1002/1097-0142(197511)36:5<1709::AID-CNCR2820360526>3.0.CO;2-7. PMid:1192360.
9 Nomura K. Mucin histochemistry of ovarian mucinous cystadenomas expressing gastrointestinal characteristics. Pathol Int. 1995;45(6):430-5. http://dx.doi.org/10.1111/j.1440-1827.1995.tb03480.x. PMid:7581934.
10 Tang P, Soukkary S, Kahn E. Mature cystic teratoma of the ovary associated with complete colonic wall and mucinous cystadenoma. Ann Clin Lab Sci. 2003;33(4):465-70. PMid:14584762.
11 Vang R, Gown AM, Zhao C, et al. Ovarian mucinous tumors associated with mature cystic teratomas. Am J Surg Pathol. 2007;31(6):854-69. http://dx.doi.org/10.1097/PAS.0b013e31802efb45. PMid:17527072.
12 Brandwein-Gensler M, Urken M, Wang B. Collision tumor of the thyroid: a case report of metastatic liposarcoma plus papillary thyroid carcinoma. Head Neck. 2004;26(7):637-41. http://dx.doi.org/10.1002/hed.20024. PMid:15229907.
13 Fujii K, Yamashita Y, Yamamoto T, et al. Ovarian mucinous tumors arising from mature cystic teratomas: A molecular genetic approach for understanding the cellular origin. Hum Pathol. 2014;45(4):717-24. http://dx.doi.org/10.1016/j.humpath.2013.10.031. PMid:24485845.
14 Russel P, Farnsworth A, Russel P, Farnsworth A. Surgical pathology of the ovaries 2nd ed. New York: Churchill Livingstone; 1987. 273-8.
15 Magi-Galluzi C, O’Connell JT, Neffen F. Are mucinous cystadenomas of the ovary derived from germ cells. A genetic analysis. Mod Pathol. 2001;14:140A.
16 Okada S, Ohaki Y, Ogura J, Ishihara M, Kawamura T, Kumazaki T. Computed tomography and magnetic resonance imaging findings in cases of dermoid cyst coexisting with surface epithelial tumors in the same ovary. J Comput Assist Tomogr. 2004;28(2):169-73. http://dx.doi.org/10.1097/00004728-200403000-00003. PMid:15091118.
Notes
Author notes
Correspondence Dr Arvind Kumar Department of Pathology and Laboratory Medicine, All India Institute of Medical Sciences, Rishikesh 249203, Uttarakhand, India Phone: +919410994467 drarvindkumar10@gmail.com
Conflict of interest declaration