Clinical Case Report and Review
An unusual case of adamantinoma of long bone
An unusual case of adamantinoma of long bone
Autopsy and Case Reports, vol. 11, e2021276, 2021
Hospital Universitário da Universidade de São Paulo
Received: 08 October 2020
Accepted: 11 March 2021
ABSTRACT: Adamantinoma of the long bones is an exceedingly rare and slow-growing tumor that affects the diaphysis of long bones, particularly the tibia. Based on the pattern of the epithelial cell component and the presence or absence of the osteofibrous dysplasia-like element, several histological variants have been described, such as (i) tubular (the most frequent), (ii) basaloid, (iii) squamous, (iv) spindle variant, (v) osteofibrous dysplasia –like variant, and (vi) Ewing’s sarcoma – like adamantinoma (the least frequent). The diagnosis may be challenging since this tumor may be mistakenly interpreted as carcinoma, myoepithelial tumor, osteofibrous dysplasia, and vascular tumor. We report the case of a 41-year-old male who presented with swelling over the right leg associated with pain. The X-ray showed a lytic lesion of the right-sided tibia. The diagnosis of adamantinoma was made based on the clinico-radiological, histomorphology, and immunohistochemical findings. Histologically, classic adamantinoma is a biphasic tumor characterized by epithelial and osteofibrous components in varying proportions and differentiating patterns. The diagnosis can be confirmed by immunohistochemistry for demonstrating sparse epithelial cell nests when the radiological features are strongly consistent with adamantinoma. This case is highlighted because the epithelial component can lead to a misdiagnosis, particularly when the clinico-radiological features are overlooked. Adamantinoma of long bones has the potential for local recurrence and may metastasize to the lungs, lymph nodes, or other bones. The prognosis is good if early intervention is taken.
Keywords : Adamantinoma, Diaphyses, Tibia.
INTRODUCTION
Adamantinoma is a rare neoplasm that tends to involve the tibia almost exclusively. It is a primary low-grade, malignant bone tumor; of unknown histogenesis. The term “adamantinoma” comes from the histological resemblance of the neoplasm to ameloblastomas of the jaw. Other bones can also be involved, like the femur, ulna, humerus, and radius. The neoplasm may start as a fibular lesion with subsequent involvement of the ipsilateral tibia. Males and females are affected almost equally, and most patients are young adults.1 Because of the indolent nature of this malignancy, it typically has a long and progressive clinical course, which is initially characterized by swelling, pain, and deformity. The histogenesis of adamantinoma is still unclear, although several studies confirmed an epithelial differentiation.2-4 Adamantinoma comprises 0.1-0.5% of all primary bone tumors.5 A local recurrence and distant metastases have been described to occur many years after the primary lesion.6-8Cutaneous metastasis is also seen in some instances.9 Radiographically, the adamantinoma presents as a lytic, eccentric, cortical lesion involving the tibia’s shaft. The lesion often had a ‘bubbly’ appearance, and most of them show perilesional sclerosis. Soft tissue involvement is also seen in larger tumor cases. The radiological and histological features are often similar to osteofibrous dysplasia. However, as adamantinoma is a locally aggressive lesion, its differentiation from benign conditions is important. The magnetic resonance imaging (MRI) may help to make the diagnosis.10 Osteofibrous dysplasia and adamantinoma appear to be related, and osteofibrous dysplasia may be a precursor of adamantinoma.11 Grossly, adamantinoma is poorly defined and may extend into the overlying soft tissue.
Morphologically many patterns of growth have been described like (i) basaloid, (ii)spindle, (iii) squamoid, and (iv) tubular. The most common variant is the basaloid, which consists of solid nests of basaloid cells with palisading at the periphery.12,13 The electron microscopy and immunohistochemistry confirmed the epithelial nature of the tumor cells. The keratins expressed by adamantinoma are mainly CK14 and CK19. In contrast to other bone and soft tissue tumors with epithelial phenotypes such as synovial sarcoma, chordoma, and epithelioid sarcoma, the adamantinoma lacks immunoreactivity for CK8 and CK18.
CASE REPORT
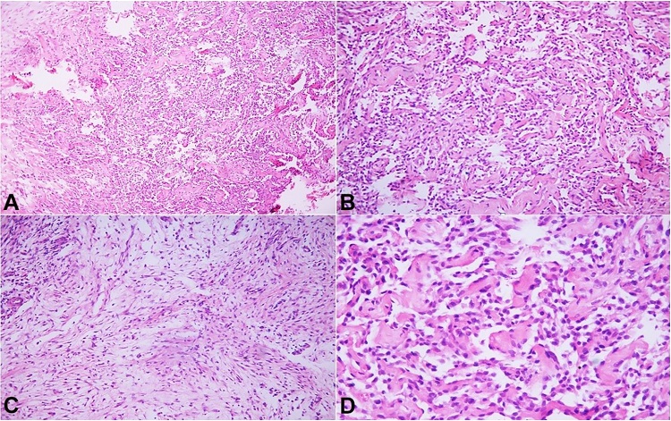
A 41-year-old male patient presented with swelling associated with pain of the right leg, which gradually increased over the last two and a half years. There was no previous history of trauma, tuberculosis, or any other significant comorbidity. Overall, the patient’s health status was good except for the leg swelling and associated pain. The clinical examination revealed a firm and tender swelling on the right leg’s anterolateral surface of 20 cm in its longest axis. The overlying skin appeared normal. The remaining systemic examination was normal. All the hematological and biochemical parameters were within the normal range. The X-ray of the leg showed a cortical erosion in the tibia diaphysis and associated soft tissue involvement. The biopsy histomorphology showed a biphasic tumor comprising fibrous stroma with cords and glandular pattern of epithelial cells exhibiting a central discohesion (Figures 1A, 1B). Some areas show fibrous components (Figure 1C). The high-power examination showed round to oval epithelial cells with bland nuclear features and mild to moderate cytoplasm, and no pleomorphism (Figure 1D).

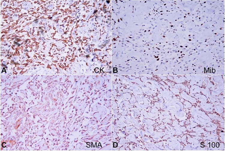
The immunohistochemistry showed a Pan CK positivity, MIB proliferation index (KI 67) 20-30%, SMA-negative, S100-equivocal (Figures 2A, 2B, 2C, and 2D). CD34 was negative.

The computed tomography (CT) study of the right leg revealed multiple patchy cortical erosions/irregularities in the right tibia in the diaphysis and contiguous involvement of adjacent upper metaphysis. There were adjoining soft tissue thickenings. Streak artifacts are noted due to postoperative changes (screws) (Figure 3A).

The MRI sagittal section of the right leg reveals cortical erosions/ irregular outlines of the tibia with altered signals in the adjoining bone marrow and soft tissue. Susceptibility artifacts are noted due to postoperative metallic screws (Figure 3B). The patient was followed for 3 years, with no signs of metastasis or local relapse.
DISCUSSION
Adamantinoma is a rare primary low-grade malignant tumor of the bone affecting patients aging 2 years to 86 years, with the median of 25 to 35 years, and with a predominance among women (female: male ratio of 5:4).14,15 Adamantinoma mostly involves the tibia and fibula; however, other bones can also be affected.
Several histological patterns have been described, such as (i) tubular, (ii) basaloid, (iii) squamous, (iv) spindle-cell, and (v) osteofibrous dysplasia-like variant. Out of these four histological patterns, the basaloid and spindle variants may present a more aggressive behavior. The tubular adamantinoma consists of thin cords of epithelial cells with central discohesion resulting in a vascular or glandular appearance. In the basaloid variant, the epithelial cells exhibit solid nests of basaloid cells with distinctive peripheral palisading. The squamous variant with or without keratinization may resemble well-differentiated squamous cell carcinoma. The spindled form shows uniform spindling with the presence of clefts lined by epithelial cells. The pattern of osteofibrous dysplasia predominantly characterizes the histologic features of the differentiated adamantinoma. Foci of calcification, giant cells, xanthoma, and spindle cells have also been described in adamantinoma. Izquierdo et al.16 reported an adamantinoma case with a sarcomatoid transformation that showed a complete loss of epithelial differentiation, and Povýšil et al.17 reported a rhabdoid variant of differentiated adamantinoma.
The long bone adamantinomas can be further divided into 2 main groups according to the clinical, radiologic, and histologic data. The first group, defined as classical adamantinoma, is characterized by the abundance of tumor cells forming basaloid, spindled, tubular, or squamoid patterns. In this group, most of the tumor cells strongly stain for cytokeratin. Radiologically, some of these tumors are intracortical, whereas others may expand into the bone medulla, producing large lytic lesions, or toward the soft tissues. This supports the notion that at least some of these tumors are locally aggressive. The patient’s age with classic adamantinoma ranges from 15 to 65 years (mean, 40 years).
The second group is defined as differentiated adamantinoma, which is characterized histologically by a predominance of osteofibrous dysplasia-like pattern with a small inconspicuous component of epithelial elements scattered within the fibroblastic stromal tissue. The epithelial elements consist of small nests, tubular structures, and individual cells that stain positively for cytokeratin. Radiologically, differentiated adamantinomas are uniformly intracortical, producing lytic or sclerotic lesions that are localized predominantly in the anterolateral cortex of the tibia but occasionally in the fibula as well. All patients with this type of adamantinoma are in the first or second decades of life.
The CT scan may demonstrate the soft tissue extension and cortical involvement. CT scan plays a role in the routine work-up of adamantinomas and is also useful in detecting pulmonary metastases. The MRI plays a crucial role in locoregional staging since it depicts distant cortical foci, intramedullary and soft tissue extension. The MRI is also a useful tool for determining tumor-free margins and the strategy for reconstructive surgery.18
Two morphological patterns of adamantinoma are described on MRI: (i) multiple small nodules in one or more foci and (ii) solitary lobulated focus. Adamantinomas usually show a low signal intensity on T1-weighted images and a high signal on T2-weighted images. However, these findings are nonspecific.19,20
It has been postulated that the predominance of the osteofibrous dysplasia-like pattern in differentiated adamantinoma results from a secondary reparative process overgrowing matured and regressing tumor tissue. This process may lead to the total elimination of the recognizable tumor cells from the lesion. Therefore, osteofibrous dysplasia, which has a similar anatomic location, age distribution, and radiologic appearance as differentiated adamantinoma, may, in some cases, represent the evolution of an underlying adamantinoma.
Bishop et al.21 reported adamantinoma-like Ewing family tumors of the head and neck. There may be difficulty in making the diagnosis as they display significant histologic overlap with other more common undifferentiated malignancies.
Regardless of the histologic subtypes, all adamantinomas have been uniformly positive for keratins 14 and 19. Immunohistochemically, the epithelial cells show keratin expression, especially basal epithelial cell keratins (CKs 5, 14, and 19) and vimentin. The keratin immunoreactivity pattern is independent of the histologic subtype, despite the marked variety in differentiation pattern, suggesting a common histogenesis for all adamantinoma subtypes.
The cytogenetic analysis has been performed to understand the histopathogenesis of adamantinoma and osteofibrous dysplasia. The trisomies 7, 8, and 12 suggests a common histogenesis of osteofibrous dysplasia and adamantinoma.22
Adamantinoma may resemble numerous conditions like an aneurysmal bone cyst, unicameral bone cyst, fibrous dysplasia, chondromyxoid fibroma, giant cell tumor, eosinophilic granuloma, osteomyelitis, chondrosarcoma, hemangioendothelioma, angiosarcoma, and non-ossifying fibromas. Clinical history, site, age, radiological and histopathological features, along with another ancillary testing, can be used to differentiate it from other clinical condition (Table 1).23

Adamantinomas are locally aggressive tumors and are extremely slow-growing with the potential to metastasize. Prognosis is excellent if excised early with a wide margin. Metastasis to the lung or lymph nodes is as high as 12-29%.23 Recurrence of the tumor is frequent after inadequate therapy, and the behavior of the recurrent neoplasm resembles more and more a sarcoma. The local recurrence rate ranges between 18 and 32%. However, the precise 5-year mortality rate is difficult to ascertain because of the rarity of this tumor.
The current adamantinoma treatment includes en bloc tumor resection with wide operative margins, limb reconstruction, and limb salvage. This approach provides lower rates of local recurrence than the previously reported data.23 Unfortunately, neither radiation therapy nor chemotherapy has shown effectiveness in the treatment of this insidious tumor.
CONCLUSION
Although the adamantinoma incidence is low, it is important to recognize this rare bone tumor since there is a possibility of recurrence, as well as metastasis if not adequately managed. The histologic features of primary adamantinoma are usually characteristic enough for a presumptive diagnosis; however, the rarity and the heterogeneity of the tumor could pose diagnostic uncertainty in some cases, especially those arising in non-tibial locations. Extensive sampling of the lesion is important, especially in the differentiated adamantinoma, where the epithelial component may only be seen focally. To assure the histological diagnosis Pathologists should employ immunohistochemistry for demonstrating the eventual sparse epithelial cell nests when radiology is suggestive for adamantinoma. Correct diagnosis should lead to resection with wide surgical margins.
REFERENCES
1 Amin MB, Buckley CH, Anthony PP. Chapter title [[Q1: Q1]]. In: Fletcher CDM, Diagnostic histopathology of tumors. 2nd ed. Edinburgh: Churchill Livingstone; 2013. p. 1576-8.
2 Rosai J. Adamantinoma of the tibia: electron microscopic evidence of its epithelial origin. Am J Clin Pathol. 1969;51(6):786-92. http://dx.doi.org/10.1093/ajcp/51.6.786. PMid:5770677.
3 Rosai J, Pinkus GS. Immunohistochemical demonstration of epithelial differentiation in adamantinoma of the tibia. Am J Surg Pathol. 1982;6(5):427-34. http://dx.doi.org/10.1097/00000478-198207000-00004. PMid:6181697.
4 Mori H, Yamamoto S, Hiramatsu K, Miura T, Moon NF. Adamantinoma of the tibia: ultrastructural and immunohistochemical study with reference to histogenesis. Clin Orthop Relat Res. 1984;&NA;(190):299-310. http://dx.doi.org/10.1097/00003086-198411000-00053. PMid:6207973.
5 Schulenburg CA. Adamantinoma. Ann R Coll Surg Engl. 1951;8(5):329-53. PMid:14830121.
6 Khémiri C, Mrabet D, Mizouni H, et al. Adamantinoma of the tibia and fibula with pulmonary metastasis: an unusual presentation. BMJ Case Rep. 2011;2011(1):bcr0620114318. http://dx.doi.org/10.1136/bcr.06.2011.4318. PMid:22675031.
7 Ramesh R, Burrah R, Thambuchetty N, Shivakumar K, Ananthamurthy A, Manjunath S. Adamantinoma of the tibia: a case report. Indian J Surg Oncol. 2012;3(3):239-41. http://dx.doi.org/10.1007/s13193-012-0168-9. PMid:23997514.
8 Filippou DK, Papadopoulos V, Kiparidou E, Demertzis NT. Adamantinoma of tibia: a case of late local recurrence along with lung metastases. J Postgrad Med. 2003;49(1):75-7. http://dx.doi.org/10.4103/0022-3859.923. PMid:12865576.
9 Luber AJ, Glembocki DJ, Butler DC, Patel NB. Metastatic adamantinoma presenting as a cutaneous papule. Cutis. 2019;104(1):E15-6. PMid:31487350.
10 Judmaier W, Peer S, Krejzi T, Dessl A, Kühberger R. MR findings in tibial adamantinoma: a case report. Acta Radiol. 1998;39(3):276-8. PMid:9571943.
11 Springfield DS, Rosenberg AE, Mankin HJ, Mindell ER. Relationship between osteofibrous dysplasia and adamantinoma. Clin Orthop Relat Res. 1994;(309):234-44. PMid:7994967.
12 Hazelbag HM, Taminiau AH, Fleuren GJ, Hogendoorn PC. Adamantinoma of the long bones: a clinicopathological study of thirty-two patients with emphasis on histological subtype, precursor lesion and biological behavior. J Bone Joint Surg Am. 1994;76(10):1482-99. http://dx.doi.org/10.2106/00004623-199410000-00008. PMid:7929496.
13 Kahn LB. Adamantinoma, osteofibrous dysplasia and differentiated adamantinoma. Skeletal Radiol. 2003;32(5):245-58. http://dx.doi.org/10.1007/s00256-003-0624-2. PMid:12679847.
14 Carmpanacci M. Osteofibrous dysplasia and adamantinoma: bone and soft tissue tumors. New York: Springer-Verlag Wien; 1999. p. 707-31. http://dx.doi.org/10.1007/978-3-7091-3846-5_44.
15 Moon NF, Mori H. Adamantinoma of the appendicular skeleton: updated. Clin Orthop Relat Res. 1986;(204):215-37. PMid:3514033.
16 Izquierdo FM, Ramos LR, Sánchez-Herráez S, Hernández T, Alava E, Hazelbag HM. Dedifferentiated classic adamantinoma of the tibia: a report of a case with eventual complete revertant mesenchymal phenotype. Am J Surg Pathol. 2010;34(9):1388-92. http://dx.doi.org/10.1097/PAS.0b013e3181ecfe6a. PMid:20717000.
17 Povýšil C, Kohout A, Urban K, Horák M. Differentiated adamantinoma of the fibula: a rhabdoid variant. Skeletal Radiol. 2004;33(8):488-92. http://dx.doi.org/10.1007/s00256-004-0755-0. PMid:14999433.
18 Van der Woude HJ, Hazelbag HM, Bloem JL, Taminiau AH, Hogendoorn PC. MRI of adamantinoma of long bones in correlation with histopathology. AJR Am J Roentgenol. 2004;183(6):1737-44. http://dx.doi.org/10.2214/ajr.183.6.01831737. PMid:15547221.
19 Jain D, Jain VK, Vasishta RK, Ranjan P, Kumar Y. Adamantinoma: a clinicopathological review and update. Diagn Pathol. 2008;3(1):8. http://dx.doi.org/10.1186/1746-1596-3-8. PMid:18279517.
20 Qureshi AA, Shott S, Mallin BA, Gitelis S. Current trends in the management of adamantinoma of long bones. An international study. J Bone Joint Surg Am. 2000;82(8):1122-31. http://dx.doi.org/10.2106/00004623-200008000-00009. PMid:10954102.
21 Bishop JA, Alaggio R, Zhang L, Seethala RR, Antonescu CR. Adamantinoma-like ewing family tumors of the head and neck: a pitfall in the differential diagnosis of basaloid and myoepithelial carcinomas. Am J Surg Pathol. 2015;39(9):1267-74. http://dx.doi.org/10.1097/PAS.0000000000000460. PMid:26034869.
22 Hazelbag HM, Wessels JW, Mollevangers P, van den Berg E, Molenaar WM, Hogendoorn PC. Cytogenetic analysis of adamantinoma of long bones: further indications for a common histogenesis with osteofibrous dysplasia. Cancer Genet Cytogenet. 1997;97(1):5-11. http://dx.doi.org/10.1016/S0165-4608(96)00308-1. PMid:9242211.
23 Jain D, Jain VK, Vasishta RK, Ranjan P, Kumar Y. Adamantinoma: a clinicopathological review and update. Diagn Pathol. 2008;3(1):8. http://dx.doi.org/10.1186/1746-1596-3-8. PMid:18279517.
Notes
Author notes
Correspondence Anil Kumar Verma All India Institute of Medical Sciences, Department of Pathology and Laboratory Medicine 402 F, Jainam Planet apartment, Tatibandh, Raipur, Chhattisgarh, India, 492099 Phone: +91 9818442256 anilgsvm2003@gmail.com
Conflict of interest declaration