Clinical Case Report and Review
Non-traumatic myositis ossificans
Non-traumatic myositis ossificans
Autopsy and Case Reports, vol. 11, e2021316, 2021
Hospital Universitário da Universidade de São Paulo
Received: 26 April 2021
Accepted: 29 June 2021
ABSTRACT: Myositis ossificans (MO) is a benign, ossifying lesion that usually affects the skeletal muscle. The rare non-traumatic form of MO can cause diagnostic dilemma and management issues. These lesions, however, have similar radiology and histopathological characteristics described in the more frequently encountered traumatic forms. Depending on the stage of the lesion, the inherent feature of myositis ossificans varies, and so does the management of the lesion. We describe a non-traumatic MO occurring in latissimus dorsi of a young girl and discuss the review of literature on this rare subtype.
Keywords: Diagnostic Imaging, Myositis Ossificans, Pathology.
INTRODUCTION
Myositis Ossificans (MO) is a benign, non-neoplastic, heterotopic ossifying process that is generally solitary, well encapsulated, and circumscribed.1 It is most commonly seen in the skeletal muscles but can also occur in tendons and subcutaneous fat.2 In 1924, Noble3 classified MO into three subtypes – (i) myositis (fibrous) ossificans progressiva, (ii) traumatic MO, and (iii) MO circumscripta without history of trauma. MO can develop at any age; however, it is most commonly seen in young, vigorous, athletic active adolescents, and adults.1,4 MO has characteristic radiological and histological features, which are best appreciated in the mature forms of this pseudo-tumour.5 We report a case of myositis ossificans in a 12-year-old girl who did not have any history of preceding trauma and review the current literature on non-traumatic forms.
CASE REPORT
A 12-year-old girl presented with history of painful swelling in the right axilla for five days, with otherwise preserved general-condition. There was no history of antecedent trauma or injury. The girl was born following a full term normal vaginal delivery. The parents denied any injury during birth. On examination, a 10x8 cm sized, oval shaped, smooth surfaced firm to hard, tender swelling was seen originating from the right axilla extending from the anterior axillary to posterior axillary lines. The overlying skin was erythematous, and the lesion was fixed to the underlying muscle. The right shoulder movements were painful and terminally restricted. A working diagnosis of an abscess was made, and she was started on broad-spectrum antibiotics and anti-inflammatory medications. However, after five days no relief of symptoms was achieved. An ultrasonography of the axilla revealed a 6.5x4.2x4.1 cm well-defined encapsulated soft tissue lesion isoechoic to and likely originating from the muscle, without any increase in vascularity.
The magnetic resonance imaging revealed a well-encapsulated lesion within the belly of the latissimus dorsi muscle measuring 6.7x5.9x5.7 cm, which was homogeneously hypointense on T1 weighted images and hyperintense on T2 weighted images with some variegations of signal intensity due to the presence of numerous thin hypointense reticulations. On the post-contrast images, an enhancement was noted in the lesion’s capsule and in the septa that spanned throughout the stroma. No restriction of diffusion was noted. There was edema in the muscles of the right shoulder girdle and in the intermuscular plane. The computed tomography showed a well-defined lesion with peripheral calcification. (Figure 1A, B) A core biopsy was done and was suggestive of a myxoma.

The patient was submitted to exploratory surgery. Intraoperatively, the lesion arose from the latissimus dorsi muscle along the entire length from the origin to insertion. The planes of dissection were hardly achieved due to the dense fibrous adhesions with the surrounding skeletal muscle. A wide local excision of the lesion was done with a complete resection of the latissimus dorsi followed by primary closure of the defect (Figure 1C, D).
The specimen was globular, measuring 10 x 8 x 4.5 cm. The cut section showed a well-encapsulated lesion with adequate surgical margins, the nearest of 0,7 cm. The periphery of the lesion showed bone formation, while the central area showed myxoid regions with few hemorrhagic foci (Figure 2A). The microscopy revealed a well-circumscribed encapsulated lesion with a characteristic zonation pattern. The innermost central zone was composed of loosely textured myxoid and richly vascular tissue composed of spindle to stellate myofibroblasts (Figure 2B). Intermingles were many lymphocytes, plasma cells, macrophages, and multinucleate foreign body type of giant cells along with fibrinous material. The intermediate zone showed an admixture of fibroblasts with osteoblasts, which were associated with paint-like eosinophilic homogenous osteoid that was separated by thin-walled ectatic capillaries (Figure 2C). The peripheral zone showed osteoid undergoing calcification with the formation of mature lamellar bony trabeculae (Figure 2D).

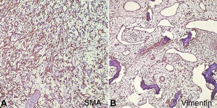
These trabeculae were rimmed by osteoblasts. The myofibroblasts were delineated by Actin, and the osteoblasts were better highlighted by Vimentin. (Figure 3A, B) The capsule was formed by loose myxoid to compressed fibrous tissue, separating the lesion from the surrounding skeletal muscle bundles. There was no nuclear pleomorphism or atypical mitosis. The histology was pathognomonic of Myositis Ossificans. The girl at 3 months follow-up is asymptomatic.

DISCUSSION
MO verbatim is a term used to describe ossification secondary to inflammation of the muscle, which is also defined as a solitary, benign, ossifying soft tissue lesion manifesting within the skeletal muscle.1 The classification proposed by Noble3 described three entities: - (i) MO progressive, (ii) traumatic MO circumscripta, and (iii) non-traumatic MO cirumscripta.1,3 Traumatic MO is the most common subtype.1 MO progressive, also known as progressive fibrodysplasia ossificans is characterized by disabling fibrosis and ossification of muscles, which is caused by a mostly fatal, rare, autosomal dominant inherited disorder involving the Bone morphogenic protein receptor 1 (BMP1), affecting children below the age of 5 years.6 Non-traumatic circumscripta MO is the other rare condition, in which there is no antecedent history of trauma, as described in the index case.7
A PubMed search for the terms “Non-traumatic myositis ossificans” retrieved only anecdotal case reports in the English literature (Table 1).

Non-traumatic MO has been reported in a wide age range from as young as 5 months to as old as 83 years.8,9 This lesion does not show any gender predilection. Various muscle groups have been described to be affected, with the thigh and hip compartment being the commonest.7,8,10-14 Isolated reports of rarer muscle groups such as the paraspinal, trapezius, rhomboids, teres minor, and intercostal muscle have also been reported.2,9,15-17 The index case was seen to arise from the latissimus dorsi, which has not been previously reported. This finding delineates that non-traumatic sub-type of MO does not show any predisposition towards any specific muscle. The size of the lesion varies depending on the site, ranging from 2 to 8 cm in the largest dimension.7,18
Some of the patients of non-traumatic MO had an underlying or antecedent illness such as viral and bacterial infections or spasticity due to cerebral palsy.11,12 The cause for developing MO begins with injury to the muscle, which sets in motion an inflammatory cascade. The cesspool of cytokines such as Transforming Growth Factor and bone morphogenic proteins target the endothelial cells in the muscle. These activated endothelial cells undergo an epithelial-mesenchymal transition to form the pluripotent mesenchymal stem cells. These stem cells differentiate to form the myofibroblasts, chondrocytes, and osteoblasts, culminating in bone formation.1 MO goes through 3 phases of maturation.1 The maturation beings with a poorly circumscribed area composed of densely packed immature mesenchymal cells, which is followed by an intermediate stage with endochondral ossification, evidenced by the presence of peripheral calcification radiologically. The final stage is the mature stage, which is characterized by the peripheral zone of compact lamellar bone and central loose myofibroblasts separated by endochondral ossification. Throughout the three stages, the patients usually complain of pain and swelling accompanied by restriction of movement if the lesion is present in the vicinity of a joint.1 The pain gradually improves as the lesion matures.
The imaging diagnosis of MO is better achieved by computed tomography, especially in the mature stage.5 Lee at al.13 have described a ‘checkerboard pattern’ on ultrasonography, in the early lesion of MO. Magnetic resonance imaging usually shows isointense to hypointensity on T1 weighted images and heterogenous intensity on T2 weighted images.1 Computed tomography is diagnostic, with the presence of the peripheral curvilinear calcific rim and central lucence.1,5 As reported in conventional traumatic MO, some cases of non-traumatic MO have also reported concurrent raised erythrocyte sedimentation rate and rise in serum levels of C-reactive protein, alkaline phosphatase, and creatinine phosphokinase.7,13,14
In most cases, the diagnosis is established after a biopsy. The gross specimen of MO usually shows a well-circumscribed lesion that has a gritty sensation on sectioning due to the calcification. The cut surface shows a white, soft and gelatinous or hemorrhagic center and yellowish-grey granular surface in the periphery. The histology is characterized by the zonal patterns, which reflect different degrees of cellular maturation that are usually conspicuous after 3 weeks.1,2 In the mature stage, the central zone will be composed of immature, loosely packed, richly vascular myofibroblastic tissue. A trucut biopsy from this area alone, can result in an erroneous report of nodular fasciitis, myxoma or mere granulation tissue.1 These myofibroblasts can show mild degrees of nuclear pleomorphism and increased mitosis. However, nuclear hyperchromasia and atypical mitosis are seldom seen.1 Also seen part of this milieu are varying number of macrophages, lymphocytes, plasma cells, fibrinous material, and multinucleated giant cells. In addition, there is prominent endothelial proliferation, focal areas of hemorrhage, and entrapped atrophic or necrotic muscle fibers. The intermediate zone, which surrounds the central zone, shows cellular condensation into poorly defined trabeculae with a mixture of fibroblast and osteoblasts separated by thin-walled ectatic vascular channels. While moving towards the periphery, the osteoid undergoes increasingly endochondral ossification, which finally evolves into mature lamellar bone.1 Characteristically, the bone formation is most prominent at the periphery and margins of the lesion, where they are rimmed by a monolayer of osteoblasts which are monotonous and have very little variation in size and shape.
The differential diagnosis in the mature stage, include periosteal reaction, para-osteal osteochondromatosis, and sinister extra-skeletal and para-osteal osteosarcoma.1 The prognosis of MO is excellent considering that, in many instances, it shows as a self-limiting process, with reports of spontaneous remission.8,15 Early stages of non-traumatic MO have been successfully treated by non-steroidal anti-inflammatory drugs and physiotherapy.11,12 An anecdotal report showed a considerable decrease of the lesion’s size following localized radiotherapy.7 However, all cases of mature non-traumatic MO need surgical management for effective resolution by excision and primary closure.1
In conclusion, a possibility of non-traumatic MO needs to be considered when a patient presents with a painful lump arising in a muscle showing the presence of calcification on radiology. Though the lesion remains well circumscribed, depending on the stage of the lesion, the degree of calcification and mature bone formation varies. Biopsy of the lesion is diagnostic in identifying the characteristic zonation pattern, circumscribed nature, and lack of nuclear pleomorphism helps to negate sinister possibilities. Management of mature lesions mandates surgical excision. However, early stages can be effectively managed by NSAIDs and physiotherapy alone.
REFERENCES
1 Walczak BE, Johnson CN, Howe BM. Myositis Ossificans. J Am Acad Orthop Surg. 2015;23(10):612-22. http://dx.doi.org/10.5435/JAAOS-D-14-00269. PMid:26320160.
2 Sferopoulos NK, Kotakidou R, Petropoulos AS. Myositis ossificans in children: a review. Eur J Orthop Surg Traumatol. 2017;27(4):491-502. http://dx.doi.org/10.1007/s00590-017-1932-x. PMid:28275867.
3 Noble TP. Myositis ossificans, a clinical and radiological study. Surg Gynecol Obstet. 1924;39:795.
4 Tyler P, Saifuddin A. The imaging of myositis ossificans. Semin Musculoskelet Radiol. 2010;14(2):201-16. http://dx.doi.org/10.1055/s-0030-1253161. PMid:20486028.
5 Lewis D. Myositis ossificans. J Am Med Assoc. 1923;80(18):1281-7. http://dx.doi.org/10.1001/jama.1923.02640450001001.
6 Pignolo RJ, Shore EM, Kaplan FS. Fibrodysplasia ossificans progressiva: diagnosis, management, and therapeutic horizons. Pediatr Endocrinol Rev. 2013;10(Suppl 2):437-48.
7 El Bardouni A, Boufettal M, Zouaidia F, et al. Non-traumatic myositis ossificans circumscripta: a diagnosis trap. J Clin Orthop Trauma. 2014;5(4):261-5. http://dx.doi.org/10.1016/j.jcot.2014.09.005. PMid:25983509.
8 Nishio J, Nabeshima K, Iwasaki H, Naito M. Non-traumatic myositis ossificans mimicking a malignant neoplasm in an 83-year-old woman: a case report. J Med Case Rep. 2010;4:270.
9 Simmonds J, Taki N, Chilton I, Vecchiotti M. A rare case of pediatric nontraumatic myositis ossificans in the posterior triangle. Int J Pediatr Otorhinolaryngol. 2016;84:116-8.
10 Igrutinovic G MJ, Jakovljevic A, Dimic S, Elek Z, Milosavljevic S. Non-traumatic myositis ossificans of the thigh. A case report. Ann Ital Chir. 2019;8:S2239253X19030111.
11 Juneja M, Jain R, Mishra D, Gautam VK. Myositis ossificans of bilateral hip joints in a patient with diplegic cerebral palsy. J Clin Neurosci. 2011;18(4):580-1. http://dx.doi.org/10.1016/j.jocn.2010.07.143. PMid:21316244.
12 Kougias V, Hatziagorou E, Laliotis N, Kyrvasillis F, Georgopoulou V, Tsanakas J. Two cases of myositis ossificans in children, after prolonged immobilization. J Musculoskelet Neuronal Interact. 2019;19(1):118-22. PMid:30839310.
13 Lee KR, Park SY, Jin W, Won KY. MR imaging and ultrasonography findings of early myositis ossificans: a case report. Skeletal Radiol. 2016;45(10):1413-7. http://dx.doi.org/10.1007/s00256-016-2441-4. PMid:27511030.
14 Mahale YJ, Vyawahare CS, Dravid NV, Upase A, Rathi R. A rare case of non traumatic myositis ossificans circumscripta. J Orthop Case Rep. 2015;5(3):15-7. PMid:27299058.
15 Jung D, Cho KT, Roh JH. Non-traumatic myositis ossificans in the lumbosacral paravertebral muscle. J Korean Neurosurg Soc. 2013;53(5):305-8. http://dx.doi.org/10.3340/jkns.2013.53.5.305. PMid:23908707.
16 Ozbayrak M, Guner AL, Unal VS, Tokat F, Er O, Karaarslan E. (18)F-fluorodeoxyglucose-positron emission tomography avid paraspinal soft-tissue mass mimicking a malign neoplasm: non-traumatic myositis ossificans. Spine J. 2016;16(10):e705-6. http://dx.doi.org/10.1016/j.spinee.2016.03.036. PMid:27001110.
17 Saussez S, Blaivie C, Lemort M, Chantrain G. Non-traumatic myositis ossificans in the paraspinal muscles. Eur Arch Otorhinolaryngol. 2006;263(4):331-5. http://dx.doi.org/10.1007/s00405-005-0997-z. PMid:16133463.
18 Abdallah A, Gokcedag A, Ofluoglu AE, Emel E. Non-traumatic myositis ossificans in the lumbar spine. Am J Case Rep. 2014;15:421-5.
19 Taylor WJ. II. Myositis ossificans with a report of two cases: one traumatic, the other non-traumatic. Ann Surg. 1903;37(6):825-33. PMid:17861304.
20 Li P-F, Lin Z-L, Pang Z-H. Non-traumatic myositis ossificans circumscripta at elbow joint in a 9-year-old child. Chin J Traumatol. 2016;19(2):122-4. http://dx.doi.org/10.1016/j.cjtee.2016.01.009. PMid:27140223.
21 Igrutinovic G, Mladenovic J, Jakovljevic A, Dimic S, Elek Z, Milosavljevic S. Non-traumatic myositis ossificans of the thigh. A case report. Ann Ital Chir. 2019;8:2239253X19030111. PMid:31112518.
22 Pătru S, Pădureanu V, Rădulescu D, et al. A nontraumatic myositis ossificans case of the forearm: case report and literature review. Exp Ther Med. 2021;21(5):531. http://dx.doi.org/10.3892/etm.2021.9963. PMid:33815604.
Notes
Author notes
Correspondence Manoj Gopal Madakshira Command Hospital, Department of Laboratory Medicine Carriappa Road, Lucknow, Uttar Pradesh, India Phone: +91 8551926889 manoj.gopal@gmail.com
Conflict of interest declaration