Clinical Case Report
Mucinous adenocarcinoma of the appendix with inguinal node metastases
Mucinous adenocarcinoma of the appendix with inguinal node metastases
Autopsy and Case Reports, vol. 11, e2021335, 2021
Hospital Universitário da Universidade de São Paulo
Received: 11 July 2021
Accepted: 14 September 2021
Abstract: Mucinous adenocarcinoma of the appendix is a rare neoplasm with a low propensity for lymph node metastasis. The present case refers to an appendicular mucinous adenocarcinoma with inguinal lymph node metastasis. A 71-year-old woman underwent an appendectomy due to a clinical presentation of acute appendicitis. However, the histological examination of the surgical specimen revealed a mucinous adenocarcinoma of the appendix. After staging, the patient underwent a right hemicolectomy and was proposed for adjuvant chemotherapy. At the 3rd year of follow-up, inguinal lymphadenopathy was diagnosed, which biopsy confirmed inguinal node metastases from primary colorectal cancer, with areas of extracellular mucin. Restaging revealed liver and peritoneal metastasis, and the patient was proposed for palliative chemotherapy. Appendicular neoplasms, due to their rarity, represent a diagnostic and therapeutic challenge. This clinical case depicts an unusual metastasis pathway for an unusual neoplasm.
Keywords: Appendix, Adenocarcinoma Mucinous, Lymphatic Metastasis, Groin.
INTRODUCTION
Appendicular lesions are divided into neoplastic and non-neoplastic.1 The former encompasses epithelial and neuroendocrine tumors, and the latter corresponds to mucoceles and inflammatory diseases. Epithelial neoplasms include polyps, mucinous adenocarcinoma of the appendix (MACA), non-mucinous adenocarcinoma of the appendix (NMACA), or colonic type, and non-invasive mucinous neoplasms of the appendix, low-grade appendiceal mucinous neoplasm (LAMN), and high-grade appendiceal mucinous neoplasm (HAMN).2 Neuroendocrine neoplasms include neuroendocrine tumors and mixed tumors with features of adenocarcinoma.
Appendicular neoplasms are rare, with an incidence of 0.12 per million people per year.3 Among carcinomas, mucinous adenocarcinomas are the most common, followed by non-mucinous and neuroendocrine carcinomas.4
The classification of appendix adenocarcinomas into mucinous type is given by extracellular mucin in more than 50% of the lesion in a microscopic section.1
The median age at diagnosis of MACA is 59 years, with a slightly higher incidence in women (55%). At diagnosis, one-third of these tumors are staged as T3, half as T4 and M1, and the majority (80%) are N0.5 MACA is less prone to lymph node metastases than NMACAs,5 and well-differentiated ones are more likely to have peritoneal spread than distant metastases.6 To the best of our knowledge, no case of inguinal ganglion metastasis of mucinous adenocarcinoma of the appendix has been described by searching in PubMed with the MeSH terms “appendix”, “adenocarcinoma mucinous”, “lymphatic metastasis” and “groin”.
CASE REPORT
A 71-year-old woman with a history of total hysterectomy and bilateral salpingo-oophorectomy by adenomyosis with benign final pathology, 20 years ago, came to the Emergency Department for abdominal pain in the lower quadrants, of sudden onset, associated with anorexia and nausea over the last 36 hours. On the physical examination, she had hemodynamic stability, apyrexia, and abdominal right lower quadrant pain without signs of peritoneal irritation. Analytically, she had increased inflammatory parameters, and ultrasound revealed uncomplicated acute appendicitis (Figure 1).

The patient underwent an uneventful laparoscopic appendectomy. Pathological examination revealed well-differentiated invasive mucinous adenocarcinoma of the appendicular middle third, 2 cm in length, with subserosa invasion, without appendicular wall rupture, with overlapping evidence of acute appendicitis and appendicular mucosa of the proximal top with low-grade dysplasia lesions (Figure 2).

Further staging by computerized tomography (CT) failed to identify metastatic disease. The carcinoembryonic antigen (CEA) and carbohydrate antigen 19-9 (CA 19-9) were normal. No other lesions were identified in the lower digestive endoscopy (LDE); thus, the patient was staged as pT3cN0M0 and underwent laparoscopic radical right hemicolectomy. Histological examination revealed lymph node substage (12 lymph nodes) without signs of malignancy, and adjuvant chemotherapy (QT) with capecitabine was proposed.
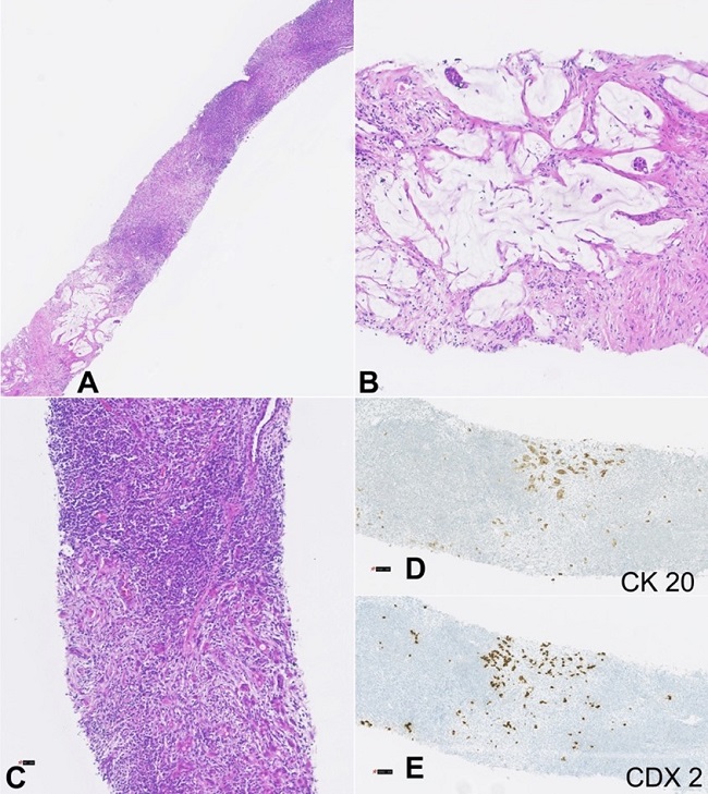
In the third year of follow-up, the patient presented a right inguinal swelling. The ultrasound depicted two suspicious lymph nodes (Figure 3). The tru‐cut biopsy revealed adenocarcinoma, with areas of extracellular mucin and an immunophenotypic profile compatible with primary colorectal neoplasia (Figure 4). At that time, tumor markers were elevated, the LDE did not identify endoluminal lesions, and CT did not show the involvement of others lymph nodes groups. The patient was re-staged to stage IV and proposed for palliative chemotherapy with FOLFIRI and bevacizumab. Five months later, due to abdominal complaints, the patient underwent an abdominal CT that identified liver metastasis and findings suggestive of peritoneal carcinomatosis. The patient died 3 months after by digestive bleeding and suspected gastrointestinal perforation due to bevacizumab toxicity and disease progression.


DISCUSSION
As in the present case, the adenocarcinoma of the appendix is usually masked by the picture of acute appendicitis.7
Diagnosis and staging overlap with the other colic neoplasms. Tumor markers CEA and CA 19-9 are elevated in most advanced mucinous tumors,8 CT and ultrasound do not distinguish between neoplastic and non-neoplastic appendicular mucinous lesions, MRI is superior in detecting extraluminal mucin and peritoneal disease,9 and positron emission tomography is not recommended because of the high incidence of false negatives.10 LDE is indicated for screening for cecal involvement and synchronous colic lesions, present in up to 42% of these patients.11 Echo-endoscopy can be helpful in the differential diagnosis of appendicular lesions, but percutaneous biopsy is contraindicated due to the risk of peritoneal dissemination.
The treatment of appendix adenocarcinoma depends largely on the diagnostic timing (not suspected, suspected, or confirmed) or the surgical regimen (urgent or elective). In an emergency context, the gold standard is therapeutic appendectomy for patients with a clinical picture of acute appendicitis. Given the suspicion of intraoperative neoplasia, the extent of surgery should be dictated by the ability to obtain macroscopic free margins, ranging from resection of the caecum to ileocolectomy, or right hemicolectomy. If peritoneal disease is suspected, cytoreductive surgery is not indicated ad initium. In elective surgery, diagnostic appendectomy is indicated for mucinous lesions whenever the preoperative neoplastic diagnosis is not available. In situations with preoperative confirmation, right hemicolectomy should be performed in localized disease, coupled with cytoreductive surgery with hyperthermic intraperitoneal chemotherapy (HIPEC) in metastatic disease. In cases of contained rupture, right hemicolectomy should be the norm, and in free rupture, this should be associated with peritoneal lavage and peritoneal biopsies of suspect lesions.
Well-differentiated MACA is associated with a low risk of lymph node metastasis (6% T1, 0% T2, 7% T3, 22% T4), and there seems to be no significant difference in the survival of patients undergoing appendectomy or radical right hemicolectomy.5 Therefore, patients undergoing R0 appendectomy (margin-negative resection) for well-differentiated tumors, T1 or T2, can be kept under surveillance, leaving the right hemicolectomy for the remaining cases, as in the clinical case described (T3 and proximal margin with low-grade dysplasia).12
The role of radiotherapy and adjuvant chemotherapy is not established. Extrapolating from the efficacy of adjuvant chemotherapy with fluorouracil (FU) and oxaliplatin for N+ colon adenocarcinoma cases, adjuvant chemotherapy appears to be a valid option in adenocarcinomas of the appendix with lymph node invasion.12 In the present case, the lymph node substage dictated the need for adjuvant chemotherapy. According to the literature, 5-year survival of MACA patients varies between 37% and 69%5.
In the presented case, it is hard to say if the inguinal lymph node metastasis were an extension of the peritoneal involvement or if they already existed at the time of the appendectomy. Initially, the patient had only inguinal lymph node involvement, and the findings suggestive of peritoneal carcinomatosis, which was not confirmed, was related to a TC performed 5 months after the diagnosis of inguinal involvement.
CONCLUSION
Appendicular neoplasms, due to their rarity, represent a diagnostic and therapeutic challenge. This clinical case depicts an unusual metastasis pathway for an unusual neoplasm.
REFERENCES
1 Carr NJ, Cecil TD, Mohamed F, et al. A Consensus for Classification and Pathologic Reporting of Pseudomyxoma Peritonei and Associated Appendiceal Neoplasia: the Results of the Peritoneal Surface Oncology Group International (PSOGI) Modified Delphi Process. Am J Surg Pathol. 2016;40(1):14-26. http://dx.doi.org/10.1097/PAS.0000000000000535. PMid:26492181.
2 MIsdraji J, Pai RK. Appendiceal adenocarcinoma. In: WHO Classification of Tumours Editorial Board, editor. WHO classification of tumours: digestive system tumours. 5th ed. Lyon: International Agency for Research on Cancer; 2019. p. 147.
3 McCusker ME, Coté TR, Clegg LX, Sobin LH. Primary malignant neoplasms of the appendix: a population-based study from the surveillance, epidemiology and end-results program, 1973-1998. Cancer. 2002;94(12):3307-12. http://dx.doi.org/10.1002/cncr.10589. PMid:12115365.
4 Turaga KK, Pappas SG, Gamblin T. Importance of histologic subtype in the staging of appendiceal tumors. Ann Surg Oncol. 2012;19(5):1379-85. http://dx.doi.org/10.1245/s10434-012-2238-1. PMid:22302267.
5 Turaga KK, Pappas S, Gamblin TC. Right hemicolectomy for mucinous adenocarcinoma of the appendix: just right or too much? Ann Surg Oncol. 2013;20(4):1063-7. http://dx.doi.org/10.1245/s10434-012-2783-7. PMid:23456377.
6 Carr NJ, Bibeau F, Bradley RF, et al. The histopathological classification, diagnosis and differential diagnosis of mucinous appendiceal neoplasms, appendiceal adenocarcinomas and pseudomyxoma peritonei. Histopathology. 2017;71(6):847-58. http://dx.doi.org/10.1111/his.13324. PMid:28746986.
7 Ito H, Osteen RT, Bleday R, Zinner MJ, Ashley SW, Whang EE. Appendiceal adenocarcinoma: long-term outcomes after surgical therapy. Dis Colon Rectum. 2004;47(4):474-80. http://dx.doi.org/10.1007/s10350-003-0077-7. PMid:14978617.
8 Carmignani CP, Hampton R, Sugarbaker CE, Chang D, Sugarbaker PH. Utility of CEA and CA 19-9 tumor markers in diagnosis and prognostic assessment of mucinous epithelial cancers of the appendix. J Surg Oncol. 2004;87(4):162-6. http://dx.doi.org/10.1002/jso.20107. PMid:15334630.
9 Low RN, Barone RM, Lucero J. Comparison of MRI and CT for predicting the Peritoneal Cancer Index (PCI) preoperatively in patients being considered for cytoreductive surgical procedures. Ann Surg Oncol. 2015;22(5):1708-15. http://dx.doi.org/10.1245/s10434-014-4041-7. PMid:25201499.
10 Rohani P, Scotti SD, Shen P, et al. Use of FDG-PET imaging for patients with disseminated cancer of the appendix. Am Surg. 2010;76(12):1338-44. http://dx.doi.org/10.1177/000313481007601217. PMid:21265346.
11 Trivedi AN, Levine EA, Mishra G. Adenocarcinoma of the appendix is rarely detected by colonoscopy. J Gastrointest Surg. 2009;13(4):668-75. http://dx.doi.org/10.1007/s11605-008-0774-6. PMid:19089515.
12 Melnitchouk N, Meyerhardt JA. Epithelial tumors of the appendix. UpToDate; 2021 [cited 2020 Oct 23]. Available from: https://www.uptodate.com/contents/epithelial-tumors-of-the-appendix?search=Epithelial%20tumors%20of%20the%20appendix&source=search_result&selectedTitle=1~150&usage_type=default&display_rank=1
Notes
Author notes
Correspondence Ricardo Vaz-Pereira Centro Hospitalar de Trás-Os-Montes e Alto Douro (CHTMAD), Serviço de Cirurgia Geral Av. Noruega, 5000-508, Vila Real, Portugal Phone: +351 91398-1567 rjpereira@chtmad.min-saude.pt
Conflict of interest declaration