Article / Clinical Case Report
Desmoplastic fibroma of the mandible: a rare gnathic bone tumor with a review of the literature
Desmoplastic fibroma of the mandible: a rare gnathic bone tumor with a review of the literature
Autopsy and Case Reports, vol. 9, no. 4, e2019091, 2019
Hospital Universitário da Universidade de São Paulo
Received: 19 February 2019
Accepted: 07 May 2019
ABSTRACT: Desmoplastic fibroma (DF) is a rare bone tumor, which is known to involve mostly the gnathic bones. In this setting, the clinical presentation is usually represented by a bulging tumor of the face. Radiologically, the tumor is usually characterized by an expansile lytic bone lesion. The histopathology of the tumor shows a poorly circumscribed hypocellular lesion rich in collagen fibers with interspersed spindle cells having bland nuclear chromatin. Despite the lack of mitoses and nuclear pleomorphism, DF has an aggressive nature, presenting as a destructive growth causing entrapment of neuro-vascular bundles, sinusitis, or trismus. Some cases of DF show mutations in the adenomatous polyposis coli pathway shown by nuclear localization of the β-catenin protein. Few reports showed an association with tuberous sclerosis, though most of these cases were sporadic. We discuss a rare case of desmoplastic fibroma involving the mandible, and a review of the literature of the DF cases involving the gnathic bones.
Keywords: Bone Neoplasms, Fibroma, Desmoplastic, Mandible, Maxilla, Histology.
INTRODUCTION
Desmoplastic fibroma (DF) is an unusual bone tumor having a myofibroblastic origin, akin to the desmoid tumor seen in the soft tissue.1 Jaffe2 is credited to have described DF as a separate entity in 1958 and gave it the present nomenclature. As per the WHO classification of soft tissue and bone tumors of 2013; DF is classified as a benign tumor;3 however, it is reported to present aggressive behavior.4 In this article, we discuss a case of DF affecting the mandible and review the available literature data on DF affecting the gnathic bones, in an attempt to better understand the clinical and pathological characteristics of this rare tumor.
CASE REPORT
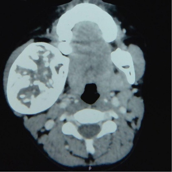
A 5-year-old girl was reported to the Head and Neck Surgery Department with the complaint of progressive right facial swelling over the last 2 years that reached the size of 7 × 6 cm at the initial evaluation. The mass involved the right side of the mandible with regular margins, but did not reduce the mouth opening. A contrast-enhanced computed tomography (CT) showed a 6.5 × 6 × 4.5 cm lytic lesion involving the right ramus and body of the mandible (Figure 1).

The child was taken up for the excision of the tumor followed by reconstruction of the mandible with a costochondral graft and plating. The excised specimen (hemimandibulectomy) had an expansile lesion with an intact cortex (Figure 2A). At the tumor’s cut surface, a poorly circumscribed light-greyish firm lesion was seen (Figure 2B). The histology showed an infiltrative hypocellular collagenized stroma with interspersed thin bone trabeculae. The bone trabeculae lacked osteoblastic rimming. The spindle cells had bland nuclear chromatin and indistinct cell borders, which appeared to merge with the surrounding fibrous stroma (Figure 3A).


These spindle cells showed a dense and diffuse cytoplasmic positivity for vimentin (Figure 3B) and cytoplasmic positivity for smooth muscle actin (SMA) (Figure 3C). β-catenin immunohistochemistry was negative (Figure 3D). At the end of 5 months of follow-up, the girl is asymptomatic without any evidence of recurrence.
DISCUSSION
DF is a rare benign neoplasm of the bone with the incidence of 0.1% of all bone tumors.3 In a Mayo Clinic study, nine cases of DF were retrieved out of a total of 9,000 bone tumors.2 Of these, the mandible was the most common site of involvement, indicating the predilection of DF for the gnathic bones.2 The first case of DF to involve the gnathic bones was reported in 1965 by Griffith and Irby,5 in their description of an 8-year-old girl who presented with a moon-like facies secondary to a palpable expansile mass in the left side of the mandible.
A literature search was made using MESH terms “Desmoplastic fibroma,” “mandible,” and “maxilla” using the PubMed database. A total of 54 cases of DF involving the gnathic bones were found (Table 1). 42 cases (77%) involved the mandible, while the remaining showed the involvement of the maxilla. Most of the cases presented in childhood and adolescence, with 34 cases occurring between the age of 2 years and 16 years. However, DF has also been reported in adults, including a 60-year-old woman.6 There appears to be a female preponderance with a female to male ratio of 2.25:1. The mean tumor size was approximately 40 mm. Radiologically, most of the cases were characterized by an osteolytic expansile lesion with cortical thinning. Similarly, multilocular lytic lesions were reported in a few cases, and a sunburst appearance in those tumors with soft tissue extension.3,6-12 Frick et al.,13 in a retrospective study comprising 95 DF cases showed that osteolytic lesions with prominent T2 shortening in the magnetic resonance imaging (MRI) study makes the diagnosis of intraosseous DF plausible.

Grossly, the tumor is poorly circumscribed within the bone having a rubbery fibrous appearance.3 Only one case of multiple asynchronous DF involving the gnathic bones was reported.18 Histologically, the lesion is poorly demarcated and characterized by the presence of hypocellular collagen-rich stroma with few remnants of thin bony trabeculae.4 The sparse fibroblasts have uniform nuclei with a paucity of mitosis.1 The spindle cells stain for antibodies to muscle-specific markers, such as SMA (53%-77%).3,19 The differential diagnosis on histology included low grade fibrosarcoma (LGF), fibrous dysplasia (FD) and low-grade osteosarcoma (LGO).3 LGF may not show the characteristic herring-bone pattern with low to moderate cellularity.47 However, in addition to the similar low cellularity, DF shows cells with indistinct cell borders with an absence of nuclear atypia, and these cells are seen to encase boy trabecular spicules. FD is characterized by numerous irregularly shaped curvilinear woven bone, intervening hypocellular connective tissue composed of bland fibroblastic cells, and the presence of retraction of the bone from adjacent connective tissue.48 LGO shows focal chondro-osseous differentiation or myxoid areas with the cells showing anisocytosis. LGO has a high Ki67 proliferative index and is positive for P53.49 The involvement of adenomatous polyposis coli (APC)/β-catenin pathway is well established in desmoid fibromatosis.50 The morphological similarity has led some researchers to look for involvement of the APC/β-catenin pathway in cases of DF. However, the poor yield of DNA from decalcified sections has always been a hindrance.19,42 Flucke et al.42 showed the presence of a classic hot spot mutation 121 A>G in exon 3 of the gene, which is also seen in cases of desmoid fibromatosis.41 The expression of β-catenin by immunohistochemistry in DF specimens led to conflicting results, with approximately six cases reporting a nuclear expression, while the others showed equivocal or absent staining for β-catenin.3,19,36,41,42,45 None of the reported cases had an associated familial adenomatous polyposis syndrome. Thus, the role of APC/β-catenin pathway cannot be excluded as part of the tumorigenesis; however, in the same breath, the findings point towards a far less essential role when compared to cases of desmoid fibromatosis. Though no definite etiological factor has been found, the literature data showed three cases to be associated with underlying tuberous sclerosis.11,20,37 A possible explanation is the tendency to form intra-oral hamartomas composed of proliferating fibroblasts and hemangioblasts.51 The treatment of choice is the en-bloc resection with a wide margin followed by reconstruction. Inadequately surgical margins are associated with higher rates of recurrence.30 Aggressive curettage also has been suggested as an alternative therapeutic approach by some authors.52 Anecdotal reports of successful use of radiotherapy in patients with DF are available, though these cases were of DF involving the lower limbs and not the gnathic bones.53,54 A wide range of complications have been described in cases of DF ranging from difficulty in mouth opening, extension into the adjacent soft tissue, perineural encasement, loosening of the overlying tooth, dysfunction of the temporomandibular joint, sinusitis, and nasal obstruction.1,8,13,22,23,25,27,28,32,36,41,42,44 All the complications are secondary to the aggressive nature of the tumor and the mass effect.
CONCLUSION
We describe a rare case of DF affecting the mandible. Although a benign, rare, bone tumor, DF involves the gnathic bones, mostly the mandible, with relative frequency. It usually presents in childhood as an osteolytic bony lesion. The morphology is similar to desmoid fibromatosis with approximately half the cases showing nuclear positivity for β-catenin immunohistochemistry. The APC/β-catenin pathway may play a role in tumorigenesis, though it may not be exclusive. Cases of tuberous sclerosis also may present with DF as part of the tendency to form proliferative fibroblastic hamartomas.
REFERENCES
Kaplan KJ, Torske KR. Pathologic quiz case: a 3-year-old boy with swelling of the right mandible. Arch Pathol Lab Med. 2002;126(1):107-8. PMid: 11800663
Inwards CY, Unni KK, Beabout JW, Sim FH. Desmoplastic fibroma of bone. Cancer. 1991;68(9):1978-83. http://dx.doi.org/10.1002/1097-0142(19911101)68:9<1978::AID-CNCR2820680922>3.0.CO;2-H. PMid: 1913545
Woods TR, Cohen DM, Islam MN, Rawal Y, Bhattacharyya I. Desmoplastic fibroma of the mandible: a series of three cases and review of literature. Head Neck Pathol. 2015;9(2):196-204. http://dx.doi.org/10.1007/s12105-014-0561-5. PMid: 25113037
Ben Slama L, Zaghbani A, Hidaya S, Ruhin B. Desmoplastic fibroma. Rev Stomatol Chir Maxillofac. 2009;110(6):327-8. http://dx.doi.org/10.1016/j.stomax.2009.07.007. PMid: 19828163
Griffith JG, Irby WB. Desmoplastic fibroma. Report of a rare tumor of the oral structures. Oral Surg Oral Med Oral Pathol. 1965;20(2):269-75. http://dx.doi.org/10.1016/0030-4220(65)90201-X. PMid: 14319604
Reid EN, Lawoyin DO, Suresh L, Longwe E. Desmoplastic fibroma of the anterior mandible. Case report and review of literature. N Y State Dent J. 2009;75(3):32-3. PMid: 19548491
Cranin AN, Gallo L, Madan S. Desmoplastic fibroma. A rare oral tumor in children. N Y State Dent J. 1994;60(2):34-9. PMid: 8139821
Gersak MM, Lenghel LM, Baciut G, et al. Ultrasonography of desmoplatic fibroma of the mandible: a case report. Med Ultrason. 2015;17(3):407-10. http://dx.doi.org/10.11152/mu.2013.2066.173.mmg. PMid: 26343094
Hopkins KM, Huttula CS, Kahn MA, Albright JE. Desmoplastic fibroma of the mandible: review and report of two cases. J Oral Maxillofac Surg. 1996;54(10):1249-54. http://dx.doi.org/10.1016/S0278-2391(96)90363-8. PMid: 8859247
Iwai S, Matsumoto K, Sakuda M. Desmoplastic fibroma of the mandible mimicking osteogenic sarcoma: report of a case. J Oral Maxillofac Surg. 1996;54(11):1370-3. http://dx.doi.org/10.1016/S0278-2391(96)90500-5. PMid: 8941192
Miyamoto Y, Satomura K, Rikimaru K, Hayashi Y. Desmoplastic fibroma of the mandible associated with tuberous sclerosis. J Oral Pathol Med. 1995;24(2):93-6. http://dx.doi.org/10.1111/j.1600-0714.1995.tb01146.x. PMid: 7745549
Sleeman DJ, Paterson A, Eveson JW. Desmoplastic fibroma of the maxillary alveolus. Eur J Cancer B Oral Oncol. 1993;29B(2):151-2. http://dx.doi.org/10.1016/0964-1955(93)90039-H. PMid: 8180592
Frick MA, Sundaram M, Unni KK. Imaging findings in desmoplastic fibroma of bone: distinctive T2 characteristics. AJR Am J Roentgenol. 2005;184(6):1762-7. http://dx.doi.org/10.2214/ajr.184.6.0.1841762. PMid: 15908527
Templeton K, Glass N, Young SK. Desmoplastic fibroma of the mandible in a child: report of a case. Oral Surg Oral Med Oral Pathol Oral Radiol Endod. 1997;84(6):620-3. http://dx.doi.org/10.1016/S1079-2104(97)90362-0. PMid: 9431529
Bakaeen G, Rajab LD. Desmoplastic fibroma of the mandible: report of a case. Int J Paediatr Dent. 1999;9(2):117-21. http://dx.doi.org/10.1046/j.1365-263x.1999.00115.x. PMid: 10530221
Cupero TM, Thomas RW, Manning SC. Desmoplastic fibroma of the maxillary sinus. Otolaryngol Head Neck Surg. 2001;125(6):661-2. http://dx.doi.org/10.1067/mhn.2001.119866. PMid: 11743475
Smith ML, Williams JK, Gruss JS. Desmoplastic fibroma of the zygoma. Plast Reconstr Surg. 1999;103(7):1964-9. http://dx.doi.org/10.1097/00006534-199906000-00023. PMid: 10359260
Herford AS, Reder P, Ducic Y. Multifocal desmoplastic fibromas of the mandible. J Oral Maxillofac Surg. 2001;59(9):1078-81. http://dx.doi.org/10.1053/joms.2001.25032. PMid: 11526582
Hauben EI, Jundt G, Cleton-Jansen AM, et al. Desmoplastic fibroma of bone: an immunohistochemical study including beta-catenin expression and mutational analysis for beta-catenin. Hum Pathol. 2005;36(9):1025-30. http://dx.doi.org/10.1016/j.humpath.2005.07.004. PMid: 16153468
Vargas-Gonzalez R, Martin-Brieke WS, Gil-Orduña C, Lara-Hernandez F. Desmoplastic fibroma-like tumor of maxillofacial region associated with tuberous sclerosis. Pathol Oncol Res. 2004;10(4):237-9. http://dx.doi.org/10.1007/BF03033768. PMid: 15619647
Ikeshima A, Utsunomiya T. Case report of intra-osseous fibroma: a study on odontogenic and desmoplastic fibromas with a review of the literature. J Oral Sci. 2005;47(3):149-57. http://dx.doi.org/10.2334/josnusd.47.149. PMid: 16313094
Wippold FJ 2nd, White FV, Jamroz G, Haughey B, Forsen J. Desmoplastic fibroma of the mandible in an infant. Pediatr Radiol. 2005;35(9):906-9. http://dx.doi.org/10.1007/s00247-005-1479-6. PMid: 15889247
Moorjani V, Stockton V. Desmoplastic fibroma with perineural extension. AJR Am J Roentgenol. 2005;185(6):1498-9. http://dx.doi.org/10.2214/AJR.04.1526. PMid: 16304003
Said-Al-Naief N, Fernandes R, Louis P, Bell W, Siegal GP. Desmoplastic fibroma of the jaw: a case report and review of literature. Oral Surg Oral Med Oral Pathol Oral Radiol Endod. 2006;101(1):82-94. http://dx.doi.org/10.1016/j.tripleo.2005.03.034. PMid: 16360612
Rius JP, Ferrís JT. Desmoplastic fibroma of the jaw: a rare kind of tumour. An Pediatr (Barc); 2009;72(1):94-5. http://dx.doi.org/10.1016/j.anpedi.2008.11.010.
Chen YG, Peng LL, Lu QN, Sun YH, Qiao JG, Zhao Y. Skeletal desmoplastic fibroma in right mandible: a case report. Hua Xi Kou Qiang Yi Xue Za Zhi. 2008;26(2):222-4. PMid: 18605471
Iatrou IA, Theologie-Lygidakis N, Leventis MD. Case report: desmoplastic fibroma of the mandible in a child presenting with TMJ dysfunction. Eur Arch Paediatr Dent. 2008;9(2):105-8. http://dx.doi.org/10.1007/BF03262620.18534181
Shi H, Wang P, Wang S, Yu Q. Desmoplastic fibroma of the mandible. Dentomaxillofac Radiol. 2008;37(7):408-11. http://dx.doi.org/10.1259/dmfr/86899184. PMid: 18812604
Salah MB, Mekni A, Azouz H, et al. Infantile desmoplastic fibroma of the maxilla. Tunis Med. 2008;86(8):749-51. PMid: 19472760
Chemli H, Karray F, Dhouib M, Makni S, Abdelmoula M. Mandibular desmoplastic fibroma: diagnosis and therapeutics difficulties. Rev Stomatol Chir Maxillofac. 2009;110(4):239-41. http://dx.doi.org/10.1016/j.stomax.2009.03.002. PMid: 19447456
Schneider M, Zimmermann AC, Depprich RA, et al. Desmoplastic fibroma of the mandible--review of the literature and presentation of a rare case. Head Face Med. 2009;5(1):25. http://dx.doi.org/10.1186/1746-160X-5-25. PMid: 19930688
Boedeker D, Kelsch R, Kraut R. Desmoplastic fibroma of the anterior maxillary alveolus. J Oral Maxillofac Surg. 2011;69(8):2164-6. http://dx.doi.org/10.1016/j.joms.2010.09.016. PMid: 21211877
Averna R, De Filippo M, Ferrari S, Bacchini E, Rossi C. Desmoplastic fibroma of the mandible. Acta Biomed. 2011;82(1):69-73. PMid: 22069959
Shekhar MG, Reddy RS, Ravikanth M, Lavanya R, Kumar M. Desmoplastic fibroma of the mandible: case report and review of literature. Prim Dent Care. 2011;18(3):115-8. PMid: 21740701
Mir-Mari J, Aguirre-Urizar JM, Berini-Aytes L, Gay-Escoda C. Giant desmoplastic fibroma in the anterior zone of the maxilla. J Craniofac Surg. 2011;22(6):2350-3. http://dx.doi.org/10.1097/SCS.0b013e318231e322. PMid: 22134275
Azola AM, Wartmann CT, Fischer MK, Ambro BT, Pereira KD. Desmoplastic fibroma arising from the anterior maxillary sinus in a child. Arch Otolaryngol Head Neck Surg. 2012;138(9):859-62. http://dx.doi.org/10.1001/archoto.2012.1661. PMid: 22986721
Tandon S, Garg RK. Intraoral desmoplastic fibroma: a manifestation of tuberous sclerosis. Fetal Pediatr Pathol. 2012;31(4):195-201. http://dx.doi.org/10.3109/15513815.2011.648719. PMid: 22404501
Bontemps P, Brix M, Simon E. Desmoplastic fibroma of the zygoma. Rev Stomatol Chir Maxillofac Chir Orale. 2014;115(3):169-71. http://dx.doi.org/10.1016/j.revsto.2013.12.007. PMid: 24456914
Jamali M, Lazow SK, Solomon MP, Berger J. Desmoplastic fibroma: report of rare lesion in unusual craniofacial location. N Y State Dent J. 2013;79(3):43-5. PMid: 23767400
Ferri A, Leporati M, Corradi D, Ferri T, Sesenna E. Huge desmoplastic fibroma of the paediatric mandible: surgical considerations and follow-up in three cases. J Craniomaxillofac Surg. 2013;41(5):367-70. http://dx.doi.org/10.1016/j.jcms.2012.10.019. PMid: 23218503
Gondak RO, Correa MB, Costa MV, Vargas PA, Lopes MA. Maxillary desmoplastic fibroma with initial symptoms suggestive of sinusitis. Oral Surg Oral Med Oral Pathol Oral Radiol. 2013;116(6):e510-3. http://dx.doi.org/10.1016/j.oooo.2013.03.016. PMid: 23669201
Flucke U, Tops BB, van Diest PJ, Slootweg PJ. Desmoid-type fibromatosis of the head and neck region in the paediatric population: a clinicopathological and genetic study of seven cases. Histopathology. 2014;64(6):769-76. http://dx.doi.org/10.1111/his.12323. PMid: 24206198
Guerrero JS, Ruiz CA, Al-Jandan BA, Bustillo JA. Desmoplastic fibroma of the mandible: report of a misdiagnosed case. J Mich Dent Assoc. 2014;96(3):30-3. PMid: 24961082
Khatib B, Pogrel MA. Desmoplastic fibroma of the mandible in young children-a case series. Int J Oral Maxillofac Surg. 2017;46(2):173-80. http://dx.doi.org/10.1016/j.ijom.2016.09.018. PMid: 27816276
Khan A, Peters SM, Han C, Yoon AJ, Philipone EM. A 23-year-old female with a painless left mandibular swelling. Oral Surg Oral Med Oral Pathol Oral Radiol. 2017;124(6):519-24. http://dx.doi.org/10.1016/j.oooo.2017.08.017. PMid: 28964765
Skinner HR, Vargas A, Solar A, et al. Desmoplastic fibroma of the mandible in a pediatric patient: a case report of resection and reconstruction with a six-year follow-up. J Oral Maxillofac Surg. 2017;75(7):1568.e1-e10. http://dx.doi.org/10.1016/j.joms.2017.03.003 PMid: 28384463.
Van Blarcom CW, Masson JK, Dahlin DC. Fibrosarcoma of the mandible: a clinicopathologic study. Oral Surg Oral Med Oral Pathol. 1971;32(3):428-39. http://dx.doi.org/10.1016/0030-4220(71)90203-9. PMid: 5285189
Schuch LF, Silva KD, Carvalho PHDA, et al. Mandibular monostotic fibrous dysplasia: a case report. Oral Surg Oral Med Oral Pathol Oral Radiol. 2018;126(3):e103. http://dx.doi.org/10.1016/j.oooo.2018.02.349.
Tabatabaei SH, Jahanshahi G, Marvasti FD. Diagnostic challenges of low-grade central osteosarcoma of jaw: a literature review. J Dent. 2015;16(2):62-7. PMid: 26046099
Aitken SJ, Presneau N, Kalimuthu S, et al. Next-generation sequencing is highly sensitive for the detection of beta-catenin mutations in desmoid-type fibromatoses. Virchows Arch. 2015;467(2):203-10. http://dx.doi.org/10.1007/s00428-015-1765-0. PMid: 25838078
Crino PB, Nathanson KL, Henske EP. The tuberous sclerosis complex. N Engl J Med. 2006;355(13):1345-56. http://dx.doi.org/10.1056/NEJMra055323. PMid: 17005952
Nishida J, Tajima K, Abe M, et al. Desmoplastic fibroma. Aggressive curettage as a surgical alternative for treatment. Clin Orthop Relat Res. 1995;(320):142-8. PMid: 7586818
Nag HL, Kumar R, Bhan S, Awasthy BS, Julka PK, Ray RR. Radiotherapy for desmoplastic fibroma of bone: a case report. J Orthop Surg (Hong Kong). 2003;11(1):90-3. http://dx.doi.org/10.1177/230949900301100117. PMid: 12810978
Sanfilippo NJ, Wang GJ, Larner JM. Desmoplastic fibroma: a role for radiotherapy? South Med J. 1995;88(12):1267-9. http://dx.doi.org/10.1097/00007611-199512000-00016. PMid: 7502123
Notes
Author notes
Conflict of interest declaration