Dear Editors,
We present herein a case of a 24-year-old woman—gravida2, para1, abortion0, who presented with excessive vomiting and slight vaginal bleeding at the seventh week of pregnancy. She had a history of one full-term uneventful vaginal delivery, 3 years ago. The viability scan of her current pregnancy was performed at 7 weeks and revealed a live embryo. Routine investigations showed no abnormality, and she was prescribed folic acid. At 12 weeks an early anomaly scan was done, which confirmed a viable fetus, with a normal nasal bone and a nuchal translucency of 1.1 mm. Doppler study revealed that the pulsatility index of both uterine arteries was below 2.0. No abnormality in the fetus or placenta was reported.
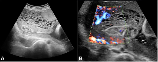
The patient did not attend the scheduled consultations at the antenatal clinic and presented again at 26 weeks’ gestation. There were no complaints of repeated episodes of vaginal bleeding. As the 16-18 weeks anomaly scan was missed, she was sent for an ultrasound to check on fetal anomalies. The ultrasonography (USG) report revealed the following findings: (i) a single intrauterine fetus with fetal heart frequency of 138 beats per minute; (ii) a mean gestational age of 25weeks 3days(determined by biparietal diameter, femur length, abdominal circumference, and head circumference); (iii) the expected birth weight of the fetus was 928 g; (iv) the amniotic fluid volume was in the normal range for the gestational age; (v) there was no gross congenital anomaly in the fetus; (vi) the placenta was conspicuous with a focal thickening in the right lateral aspect measuring 93×50 mm; (vii) the abnormal area of placenta showed multiple hypoechoic/cystic areas with some blood flow on Doppler study (Figure 1).

Figure 1
Ultrasound showing placenta with the cystic area.
Quantitative serum beta human chorionic gonadotropin (sβHCG) assay revealed the result of 112,506 mIU/mL (expected range for the gestational age 518-74,719 mIU/mL). Unfortunately, maternal serum alpha-fetoprotein was not tested in this patient, and no amniocentesis was performed for cytogenetic analysis.
The patient was counseled regarding the risk of future pregnancy-related complications. As the patient asked for termination, special permission was received from the health authorities, and induction of delivery was planned. Labor was induced, and an “en-caul” fetus and placenta were delivered; the fetus took a few gasps and expired. The fetus weighed 920 g, and the external examination did not depict any gross skeletal or soft tissue anomaly. There was excessive bleeding after delivery of the placenta, which was managed with prostaglandins and an oxytocin drip.
The placenta weighed 550 g and measured 12×12×5 cm. Half of the placenta was spongy and appeared normal on gross examination, while the other half was entirely replaced by numerous grape-like vesicles of various sizes (ranging from 1.5 to 3 cm) filled with clear fluid. The umbilical cord measured 25 cm, with no false or true knots (
Figure 2).

Figure 2
Gross view of the - A – Placenta with villi; B – Fetus with normal phenotype.
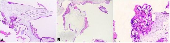
The histopathology study of the normal-looking placental part showed normal villi and sinusoids. The histology of the molar area revealed enlarged villi with hydropic change. The hydropic villi exhibited prominent invaginations, cisterns, and extensive circumferential trophoblastic proliferation (
Figure 3). Sections drawn from the central part of placenta revealed a dividing membrane between the normal placenta and the villous part (
Figure 4).

Figure 3
Photomicrographs of the placenta showing in A, B, and C – Hydropic avascular villi with cisterns and trophoblastic hyperplasia.

Figure 4
Photomicrograph of the placenta showing molar villi and a dividing membrane.
Therefore, a diagnosis of twin pregnancy with complete hydatidiform mole (CHM) was established considering the following points: (i) a normal fetus without evidence of aneuploidy on USG and a villous change in the placenta; (ii) very high sβHCG determination; (iii) gross examination of the placenta showing one normal looking hemisphere and one part entirely converted into hydropic villi; with no malformations of the fetus; (iv) histopathology of the placenta with hydropic villi showing, cisterns and extensive trophoblastic proliferation; and (v) a sharp division between the molar and normal placental tissue.
The patient was submitted to a chest x-ray, which was normal, ruling out metastatic disease. On day 10, after delivery, a sβHCG assay was done, which had decreased to 1492.9 mIU/mL. The sβHCG level further declined sharply to 149.0 on day 20, and became nil on day 30.
The patient had no extra bleeding during puerperium. She remains on follow-up and has been advised to use contraception for 1year.
Twin pregnancy with coexistent hydatidiform mole is a rare complication of pregnancy, and the incidence has been reported to be 1 in 22,000-100,000 pregnancies, with most being CHM.
1
Our report aims to acquaint the obstetrician with this rare entity and to call attention for the differential diagnosis with entities which appear similar on USG, but have different prognosis and management. In patients where a cystic placenta with a fetus is seen on USG, twin pregnancy with complete hydatidiform mole, placental mesenchymal dysplasia (PMD) or partial mole (PM) has to be considered.
PMD is a more advanced form of aberrant placental development in comparison to molar pregnancy. It is not a trophoblastic disease but associated with placentomegaly and grape-like vesicles on USG. Approximately 23% of cases of PMD are associated with Beckwith–Wiedemann syndrome in which macrosomia, omphalocele, visceromegaly, and increased childhood tumors are present. In cases of PMD, intrauterine growth retardation, fetal demise, and preterm labor are frequently seen, but good fetal outcome can be achieved in certain cases with prolongation of pregnancy.
PMD is associated with normal or slightly raised sβHCG levels compared to hydatidiform mole, which is associated with very high sβHCG levels. On histopathology, in the case of PMD, the placenta shows enlarged stem cell villi with an absence of trophoblastic proliferation and stromal inclusions. On immunohistochemistry, P57 marker may be absent in some or all stromal cells of abnormal villi in PMD; however, it is present in the cytotrophoblast cells.
2
In both PM and CHM, the placenta shows cystic change; however, PMs are associated with an abnormal karyotype, while in CHM the karyotype is essentially diploid and no fetus is identified.
PMs have a triploid karyotype, such as 69XXY karyotype in 70% to 80% of cases, 69XXX in 20% to 25% cases, and 69XYY in rare cases. PM has a paternal origin, where a normal ovum is fertilized either by two haploid spermatozoa (dispermic 90%) or by fertilization by one spermatozoon followed by duplication of the paternal chromosome content (monospermic 10%). P57 staining is an indirect test for androgenetic component and helps to distinguish between a partial and complete hydatidiform mole, being absent in cases with complete hydatidiform mole, while it is present in cases of PM. Trophoblastic cells are seen in plenty in the villi of CHM as compared to PM, where minimal proliferation is seen.
3
In a woman where a cystic/hydropic change is seen in the placenta on USG, the fetal morphology is studied for abnormality. If no congenital anomaly is evident, sβHCG determination is normal or slightly elevated, and the karyotype is normal, the pregnancy is allowed to progress, considering a diagnosis of PMD. However, if malformations are evident or cytogenetics reveals triploid karyotype, PM is suspected, and pregnancy termination should be promptly considered. When twin pregnancy with complete hydatidiform mole is suspected, pregnancy can be continued further to improve fetal outcome with counseling and careful observation for future risks of pre-eclampsia, hemorrhage, and prematurity. The patient should be followed up for persistent trophoblastic disease which is most frequently seen in CHM.
4
References
Sebire NJ, Foskett M, Paradinas FJ, et al. Outcome of twin pregnancies with complete hydatidiform mole and healthy co-twin. Lancet. 2002;359(9324):2165-6. http://dx.doi.org/10.1016/S0140-6736(02)09085-2. PMid: 12090984
Ernst LM. Placental mesenchymal dysplasia. J Foetal Med. 2015;2(3):127-33. http://dx.doi.org/10.1007/s40556-015-0056-9.
Busca A, Parra-Herran C. Incomplete/partial mole [cited 2019 June 24]. Available from: http://www.pathologyoutlines.com/topic/placentaincompletemole.html
Feltmate CM, Growdon WB, Wolfberg AJ, et al. Clinical characteristics of persistent gestational trophoblastic neoplasia after partial hydatidiform molar pregnancy. J Reprod Med. 2006;51(11):902-6. PMid: 17165438
Notes
How to cite: Deepti J. Complete hydatidiform mole with a twin pregnancy at 26 weeks: a rare obstetric complication. Autops Case Rep [Internet]. 2019 Oct-Dec;9(4):e2019108.
https://doi.org/10.4322/acr.2019.108
The author retains an informed consent and the manuscript is by the Institutional Ethics Committee.
Financial support: None
Author notes
Correspondence Jain Deepti Chhotu Ram Hospital 10,11 Huda Complex – Rohtak/Haryana – India Pin code: 124001 Phone: (91) 94665-94411 deeptijain62@gmail.com
Conflict of interest declaration
Conflict of interest: None