Article / Autopsy Case Report
Received: 08 July 2019
Accepted: 30 July 2019
DOI: https://doi.org/10.4322/acr.2019.113
ABSTRACT: Hypertrophic cardiomyopathy used to be regarded as a rare untreatable cause of sudden death in young male athletes. This report is the case of a middle-aged female patient with hereditary hypertrophic cardiomyopathy masked by superimposed pericarditis and revealed by autopsy. This case report illustrates how co-morbidity can hide a crucial diagnosis. This case report also illustrates the value of autopsy disclosing a familial disease that is increasingly recognized and dramatically more treatable than a few decades ago. Sudden death due to hypertrophic cardiomyopathy has become preventable, if the diagnosis is made soon enough. The lessons for patient care from this case include the importance of not missing the diagnosis of hypertrophic cardiomyopathy in female patients.
Keywords: Hypertrophic cardiomyopathy, Pericarditis, Autopsy.
CASE REPORT
This 42-year-old black female in the Midwest USA had a history of heart failure, hypertension, intravenous heroin and cocaine use, hepatitis B, hepatitis C, ethanol abuse, smoking, schizophrenia, depression, and three episodes of subacute endocarditis 3-4 years prior. She had been resident in a drug and alcohol rehabilitation center for ten months. Her chronic medications included nadolol, spironolactone, and sertraline.
The patient was admitted to the hospital with dyspnea and sharp left-sided chest pain of gradual onset for 48 hours, worse with movement, inspiration and the supine position. She had a parasternal high-pitched pansystolic heart murmur, increased with inspiration. Her abdomen was protuberant with a fluid wave. Her troponin was <0.08 ng/mL and erythrocyte sedimentation rate 28 mm/hr (reference range [RR]: <20 mm/hr). The next day, computed tomography scan showed a large pericardial effusion with evidence of cardiac tamponade, marked cardiomegaly and a markedly dilated right ventricle. Echocardiogram showed a pericardial effusion estimated to be 300 mL. The patient was discharged that day on indomethacin, furosemide, spironolactone, carvedilol, irbesartan, olanzapine and sertraline. Blood cultures were negative.
Three days later, on a Friday afternoon, the patient was brought to the emergency department with sharp, left-sided chest pain, rated 7/10, worse with breathing and movement, associated with gradually worsening dyspnea. She also had right lower back pain, rated 7/10, for one day. Her temperature was 35 degrees C, pulse 84/minute, blood pressure 103/74 mm Hg and respirations 22/minute. She had pulmonary crackles one-third of the way up her back, S3 and S4 gallops, a grade 2/6 systolic murmur at the left sternal border and right costovertebral angle tenderness. Chest x-ray showed marked cardiomegaly and pulmonary edema. Her troponin was 0.13 ng/mL (RR: <0.08 ng/mL), B-type natriuretic peptide 229 pg/mL (RR: <80 pg/mL), creatinine 2.3 mg/dL (RR: 0.5-1.4 mg/dL), glucose 152 mg/dL (RR: 70-110 mg/dL), hemoglobin 13.8 g/dL (RR: 11.7-15.7 g/dL), white blood cell count 9,100/mm3 (RR: 3,800-10,600/mm3), and platelet count 206,000/mm3 (RR: 156,000-369,000/mm3). Electrocardiogram showed sinus rhythm and nonspecific ST-segment and T-wave changes. She was admitted to the hospital and treated with intravenous furosemide (one 40 mg dose) and intravenous ketorolac, along with continuing indomethacin, furosemide, spironolactone, carvedilol, irbesartan, olanzapine and sertraline. She had diuresis of 700 mL, with improvement in her symptoms, pulse 74/minute, blood pressure 123/88 mm Hg and respirations 24/minute.
On Saturday, the patient had increased dyspnea, chest pain and back pain. Urgent echocardiogram showed a large pericardial effusion with diastolic collapse of the right atrium, right ventricular dysfunction with dilatation and hypokinesis, evidence of moderate-severe pulmonary hypertension, moderate-severe tricuspid regurgitation, thickening of the mitral valve chordae tendineae, mild mitral regurgitation and left ventricular hypertrophy with preserved systolic function and an ejection fraction of 65%; wall thicknesses were not measured. The patient was rushed to the operating room where she was found to have diffuse fibrinous pericarditis; 965 mL of bloody fluid were drained, a pericardial window created and a pericardial drain placed. Intraoperatively, the patient's platelet count was 292,000/mm3, international normalized ratio (INR) 1.3 (RR: 0.8-1.2) and partial thromboplastin time (PTT) 32 seconds (RR: 25-33 seconds). Gram stain of the pericardial fluid showed very rare polymorphonuclear leukocytes and no organisms; aerobic, anaerobic, mycobacterial and fungal cultures all subsequently returned negative. Cytology of the pericardial fluid showed red blood cells, lymphocytes, macrophages and occasional mesothelial cells. Pericardial biopsy demonstrated acute fibrinous and organizing pericarditis. Following surgery, the patient had markedly improved oxygenation, but electrocardiogram revealed atrial fibrillation and a new incomplete right bundle branch block.
On Sunday, at 04:00, the patient's heart rate was 143/minute, blood pressure 110/79 mm Hg and respirations 34/minute. 200 mL of pericardial fluid had been drained following surgery. At 16:00, her heart rate was 142/minute and blood pressure 94/69 mm Hg. At 16:58, electrocardiogram showed supraventricular tachycardia. The patient was given furosemide and diltiazem. Her respiratory function deteriorated and she was put on mechanical ventilation. At 18:14, chest x-ray showed bilateral airspace disease and pleural effusions. At 20:00, the patient's heart rate was 98/minute, but blood pressure 95/67 mm Hg. Diltiazem was discontinued and infusions of amiodarone and phenylephrine started. At 21:36, she was given atropine. At 23:40, arterial blood showed PCO2 48 mm Hg and PO2 52 mm Hg (on 100% oxygen and 5 cm H2O of positive end-expiratory pressure).
At midnight, the patient's heart rate was 74/minute, blood pressure 93/56 mm Hg and respirations 44/minute. At 01:30, an infusion of dobutamine was started. At 01:55, the patient's central venous pressure was 38 mm Hg and an infusion of epinephrine was added. At 02:00, the patient became bradycardic (with a heart rate of 30-40/minute) and profoundly hypotensive (systolic blood pressure 70 mm Hg). Amiodarone was stopped and her heart rate increased to 60-70/minute. At 02:16, arterial blood showed PCO2 50 mm Hg and PO2 56 mm Hg (on 100% oxygen and 10 cm H2O of positive end-expiratory pressure). The patient's central venous pressure was >40 mm Hg and her heart rate dropped to 20-30/minute, with no pulse despite paced beats, epinephrine, bicarbonate and ongoing infusions of epinephrine, phenylephrine and dobutamine. She was pronounced dead at 02:56.
AUTOPSY FINDINGS
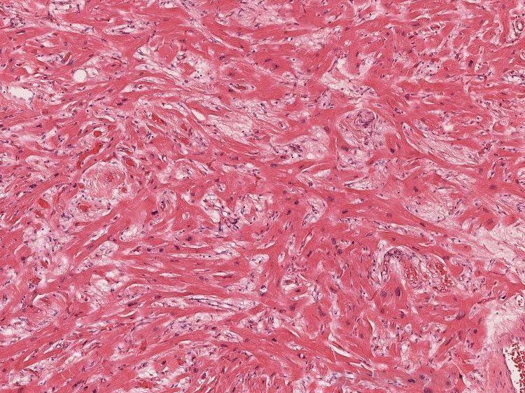
Postmortem examination revealed hypertrophic cardiomyopathy with heart weight 670 grams (RR: 200-430 grams), left ventricular wall thickness 1.7 cm (RR: 1.0-1.5 cm) and septal thickness 1.1 cm (RR: 1.2-1.6 cm). Only part, approximately half, of the right ventricle was hypertrophied and the right ventricular wall thickness ranged from 0.3 cm to 0.7 cm (RR: 0.25-0.50). There was moderate dilatation of the right ventricle and right atrium, reflected in dilatation of the tricuspid valve to 13.5 cm in circumference (RR: 10.2-10.9 cm). The left ventricle and left atrium were not dilated; the mitral valve circumference was 9 cm (RR: 8.2-9.1 cm). Microscopic examination showed extensive myocyte hypertrophy and myocyte disarray of anterior and posterior left ventricle and right ventricle (Figure 1).

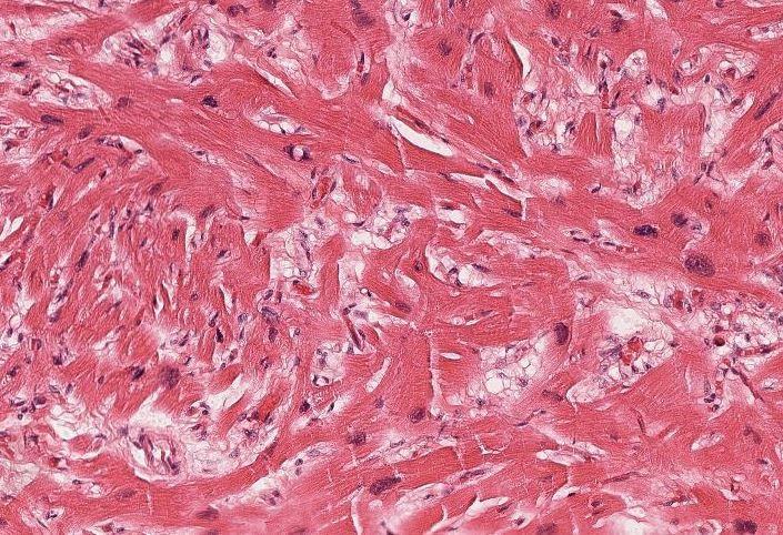
There was interstitial fibrosis with deposition of loose connective tissue in most areas of myocyte disarray, but some areas had less fibrosis (Figure 2).

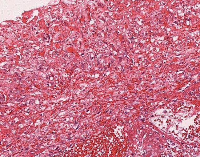
The autopsy also showed diffuse severe organizing hemorrhagic pericarditis with fibrinous exudate covering the surface of the heart. There were extensive adhesions, but these were fibrinous adhesions, yielding to separation by fingers (Figure 3).

The mitral valve had a 2 cm area of scarring and a microscopic vegetation of recent thrombus. The tricuspid and pulmonic valves were dilated, but otherwise normal. The aortic valve displayed no abnormalities.
At autopsy, there was evidence of heart failure: pulmonary edema, pleural effusions, passive congestion of the liver and ascites. There were 1100 mL of serous fluid in the abdominal cavity and 100 ml of fluid in each pleural cavity.
The autopsy also showed moderate acute pneumonia of the left upper, right upper and right middle lobes, and a 2 cm subacute renal cortical infarct.
DISCUSSION
Hypertension cannot explain this patient's myocardial disease. Hypertension would not cause the extensive myocyte disarray in anterior and posterior left ventricle and right ventricle revealed by microscopic examination at autopsy. Furthermore, hypertension would not cause the asymmetric hypertrophy of only part of the right ventricle.
Neither the clinical history nor the autopsy findings provided an etiology for this patient’s organizing hemorrhagic pericarditis. Microscopic examination of pericardial tissue before and after the patient's death revealed no infecting organisms. Aerobic, anaerobic, mycobacterial and fungal cultures of the pericardial fluid drained two days antemortem were all negative. Although the patient's INR was slightly elevated, her PTT and platelet count were normal, and autopsy revealed no substantial hemorrhage beyond the pericardium, so the patient's pericarditis cannot be explained by a bleeding diathesis. Pericardial fluid cytology revealed no malignant cells. Autopsy disclosed no occult malignancy and microscopic examination of pericardium showed no metastasis.
Pericarditis seemed to be the cause of this patient's rapid cardiac decompensation two days before she died, when echocardiogram showed a large pericardial effusion with evidence of cardiac tamponade, but drainage of nearly a liter of pericardial fluid provided only transient clinical improvement. The patient proceeded to suffer refractory cardiogenic shock and arrhythmias culminating in her death. Why didn't therapy for pericarditis save the patient's life? Postmortem examination revealed another disease, an underlying myocardial disease, which explains why therapy for pericarditis could not save her life. This patient’s hypertrophic cardiomyopathy explains her heart failure and can be regarded as the underlying cause of death. This patient's hypertrophic cardiomyopathy was unsuspected prior to the autopsy. So, this case illustrates the value of autopsy in revealing the true cause of death. The hypertrophic cardiomyopathy was unsuspected because it was masked by the pericarditis. So, this case also illustrates how comorbidity can mask a crucial diagnosis, in this case, the cause of death.
Hypertrophic cardiomyopathy is a heterogeneous group of more than 50 genetic diseases caused by mutations in genes for the cardiac myocyte contractile or sarcomere complex proteins.1 Most of these mutations cause asymmetric hypertrophy of the interventricular septum and many of them cause left ventricular outflow tract obstruction due to subaortic stenosis. What they all have in common is myocardial hypertrophy as a compensatory response. The characteristic microscopic abnormality is myocyte disarray, which is well illustrated in this case. Fibrosis and small vessel disease are also features of the microscopic pathology of hypertrophic cardiomyopathy, but these are thought to be secondary and modified by factors such as the left ventricular mass, the patient gender and maybe local autocrine signaling.2
There are apparent gender and racial differences in hypertrophic cardiomyopathy. Women tend to be older at diagnosis, with worse symptoms, more left ventricular outflow tract obstruction and more adverse outcomes.3 Black patients have a hypertrophic cardiomyopathy phenotype characterized by lower prevalence of the well-recognized echocardiographic features, such as left ventricular outflow tract obstruction, and have worse exercise capacity and more frequent electrocardiographic abnormalities.4,5 The lack of asymmetric hypertrophy of the upper septum in the black patient of this case report no doubt made it difficult to recognize her hypertrophic cardiomyopathy on echocardiogram. The apparent gender and racial differences in hypertrophic cardiomyopathy might be due to factors other than the biology of the disease. In particular, the later age at diagnosis, worse symptoms and more adverse outcomes in women could be due to delay in diagnosis by physicians, who think of hypertrophic cardiomyopathy as a male disease.
Adverse outcomes of hypertrophic cardiomyopathy are increasingly preventable. The worst adverse outcome, sudden death due to a ventricular arrhythmia, can be prevented with an implantable cardioverter–defibrillator.6 Heart failure due to left ventricular outflow tract obstruction can be treated with pharmacologic therapy (beta-blockade and calcium channel blockade), transaortic septal myectomy or alcohol septal ablation.6 Mavacamten is an orally administered allosteric modulator of cardiac myosin that inhibits the excessive myosin-actin cross-bridge formation underlying excessive contractility in hypertrophic cardiomyopathy.1 A recent clinical trial has shown that mavacamten can reduce left ventricular outflow tract obstruction and improve exercise capacity and symptoms in patients with hypertrophic cardiomyopathy.7 End-stage disease can be treated with heart transplantation. With all of these treatment options, mortality from hypertrophic cardiomyopathy can be reduced to 0.5% per year, which represents a 90% Improvement from 35 years ago.6
Treatability makes the diagnosis of hypertrophic cardiomyopathy important. For this purpose, cardiac magnetic resonance imaging has joined echocardiography as crucial in the diagnosis and management of patients with hypertrophic cardiomyopathy.8 Cardiac magnetic resonance imaging allows noninvasive assessment of the presence and extent of myocardial fibrosis by late gadolinium enhancement.8 Late gadolinium enhancement aids management because it predicts adverse outcomes. These adverse outcomes can be correlated with specific mutations.9 Identifying the specific mutation in a patient and the family can greatly facilitate determining the prognosis and most appropriate management because hypertrophic cardiomyopathy is a heterogeneous group of diseases, not a single disease. Genetic testing for this purpose is rapidly improving with advances in whole genome sequencing, proteomics and machine learning.1,10,11 The improving diagnostic techniques and treatment modalities have implications for screening families.
Hypertrophic cardiomyopathy typically has an autosomal dominant pattern of transmission, so the children of a patient with hypertrophic cardiomyopathy each have a 50% chance of inheriting the condition. When an adult patient is found to have hypertrophic cardiomyopathy, when should children in the family be screened? Guidelines have recommended screening children between the ages of 10 and 12 years old unless a child meets criteria for early onset of disease, but a recent study found that almost 10% of children under the age of 10 years old had disease manifest on echocardiography and 1% had symptoms of disease.12 So, screening at a younger age may be appropriate.
Hypertrophic cardiomyopathy is the most common inherited cardiomyopathy. With an estimated incidence of 1 in 200, there are approximately 750,000 persons in the US alone with it and 20 million worldwide.6 The rapidly evolving diagnostic tests and therapeutic strategies for hypertrophic cardiomyopathy make this an important diagnosis never to miss.
CONCLUSION
This is the report of a case of hypertrophic cardiomyopathy unsuspected clinically because the diagnosis was obscured by superimposed pericarditis, but revealed by autopsy, demonstrating the value of autopsy. Hypertrophic cardiomyopathy is an important diagnosis not to miss because it represents an autosomal dominant genetic disease and making the diagnosis can save the lives of family members.
REFERENCES
Makavos G, Κairis C, Tselegkidi ME, et al. Hypertrophic cardiomyopathy: an updated review on diagnosis, prognosis, and treatment. Heart Fail Rev. 2019;24(4):439-59. http://dx.doi.org/10.1007/s10741-019-09775-4. PMid: 30852773
McKenna WJ, Moon JC, Sulaiman A. Understanding the myocardial architecture of Hypertrophic Cardiomyopathy for clinical care. J Am Coll Cardiol. 2019;73(20):2503-5. http://dx.doi.org/10.1016/j.jacc.2019.03.466. PMid: 31118143
Pelliccia F, Limongelli G, Autore C, Gimeno-Blanes JR, Basso C, Elliott P. Sex-related differences in cardiomyopathies. Int J Cardiol. 2019;286:239-43. http://dx.doi.org/10.1016/j.ijcard.2018.10.091. PMid: 30409740
Sorensen LL, Pinheiro A, Dimaano VL, et al. Comparison of clinical features in blacks versus whites with Hypertrophic Cardiomyopathy. Am J Cardiol. 2016;117(11):1815-20. http://dx.doi.org/10.1016/j.amjcard.2016.03.017. PMid: 27084053
Wells S, Rowin EJ, Bhatt V, Maron MS, Maron BJ. Association between race and clinical profile of patients referred for Hypertrophic Cardiomyopathy. Circulation. 2018;137(18):1973-5. http://dx.doi.org/10.1161/CIRCULATIONAHA.117.032838. PMid: 29712699
Maron BJ. Clinical course and management of Hypertrophic Cardiomyopathy. N Engl J Med. 2018;379(7):655-68. http://dx.doi.org/10.1056/NEJMra1710575. PMid: 30110588
Heitner SB, Jacoby D, Lester SJ, et al. Mavacamten treatment for obstructive Hypertrophic Cardiomyopathy: a clinical trial. Ann Intern Med. 2019;170(11):741. http://dx.doi.org/10.7326/M18-3016. PMid: 31035291
Habib M, Hoss S, Rakowski H. Evaluation of Hypertrophic Cardiomyopathy: newer Echo and MRI Approaches. Curr Cardiol Rep. 2019;21(8):75. http://dx.doi.org/10.1007/s11886-019-1173-1. PMid: 31243594
Miller RJH, Heidary S, Pavlovic A, et al. Defining genotype-phenotype relationships in patients with Hypertrophic Cardiomyopathy using cardiovascular magnetic resonance imaging. PLoS One. 2019;14(6):1-22.
Bagnall RD, Ingles J, Dinger ME, et al. Whole genome sequencing improves outcomes of genetic testing in patients with Hypertrophic Cardiomyopathy. J Am Coll Cardiol. 2018;72(4):419-29. http://dx.doi.org/10.1016/j.jacc.2018.04.078. PMid: 30025578
Captur G, Heywood WE, Coats C, et al. Identification of a multiplex biomarker panel for Hypertrophic Cardiomyopathy using quantitative proteomics and machine learning. Mol Cell Proteomics. 2019.
Lafreniere-Roula M, Bolkier Y, Zahavich L, et al. Family screening for hypertrophic cardiomyopathy: is it time to change practical guidelines? Eur Heart J. 2019; ehz396. http://dx.doi.org/10.1093/eurheartj/ehz396. PMid: 31170284
Notes
Author notes
Correspondence Larry Nichols Department of Pathology - Mercer University School of Medicine 1501 Mercer University Drive - Macon/GA - USA 31207 Phone: +478 304-2405 nichols_l@mercer.edu
Conflict of interest declaration