Article / Clinical Case Report
Received: 27 June 2019
Accepted: 22 August 2019
DOI: https://doi.org/10.4322/acr.2019.122
ABSTRACT: Mucoepidermoid carcinoma (MEC) is the most common malignant salivary gland tumor. Although the parotid gland is the most common site of involvement, other major salivary glands and the minor salivary glands—most commonly of the palate—also can be involved. The management of mucoepidermoid carcinoma depends on the grade of the tumor and the adequacy of resection. We present the case of a 56-year-old female presenting a painless progressive cheek mass over 2 months. Imaging and fine-needle aspiration cytology provided the diagnosis of Mucoepidermoid carcinoma. A superficial parotidectomy was done, and the histopathology revealed a predominantly cystic tumor with a bilayered epithelium of oncocytic and basal cells. Moderate nuclear pleomorphism with infiltration of atypical squamous cells in few glandular cysts was seen. Special staining revealed the presence of intracellular mucin. A diagnosis of Warthin-like variant of MEC was made, based on these findings. After the surgical procedures, the patient is disease-free at 8 months of follow-up. The Warthin-like variant is a rare variant of MEC with fewer than 10 cases described in the English literature. Various differential diagnoses include the malignant transformation of Wartin tumor (WT), squamous metaplasia of WT, and metastasis from a distant primary. We emphasize the role of routine microscopy in identifying rare variants of common malignancies. Even though translocation studies are helpful in diagnosis, the typical histopathological findings should confirm it.
Keywords: Salivary Gland Neoplasms, Carcinoma, Mucoepidermoid, Parotid Neoplasm.
INTRODUCTION
Salivary gland neoplasms constitute about 3% of all neoplasms of the head and neck. The pleomorphic adenoma is the most common benign tumor (86%), and the mucoepidermoid carcinoma is the most common malignant tumor.1 Mucoepidermoid carcinoma (MEC) comprises 5-10% of all salivary gland tumors and mainly involves the major salivary glands. The parotid gland is the most common site followed by the submandibular and sublingual glands. The involvement of the minor salivary glands is also noted, with the palate being the most common site. On rare occurrences, MEC involves the mandible as well. The histology of MEC is varied and includes sclerosing, unicystic, oncocytic, sebaceous, clear cell, and goblet cell variants. Recently, a new variant—a Warthin-like variant of MEC—was described in the literature showing specific t(11:19) translocation resulting in gene fusion exhibiting a better prognosis than conventional MEC.2
We report an uncommon case of a Warthin-like variant of MEC with a diagnostic and therapeutic dilemma.
CASE REPORT
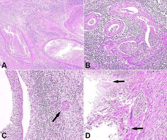
A 56-year-old woman presented complaining of a painless progressive mass on her left cheek over the last 2 months. Clinical examination revealed a solitary 4 × 4 cm mass arising from the left parotid gland. The ultrasound examination showed a cystic lesion localized within the superficial lobe of the left parotid gland. Preoperative fine-needle aspiration cytology revealed a cellular smear consisting of atypical squamous cells, intermediate cells, mucous cells, and cystic macrophages in a necroinflammatory background (Figure 1). Based on the above cytomorphological features, the diagnosis of a high-grade MEC was rendered. The patient underwent superficial parotidectomy with ipsilateral selective neck dissection. Gross examination showed a well-circumscribed solid and cystic tumor measuring 1.8 × 1.2 × 1 cm. The histological examination showed a tumor predominantly composed of epithelial cysts and islands of oncocytic cells with surrounding lymphoid cell-rich stroma (Figure 2A). These epithelial cysts were lined by a bilayered epithelium of oncocytic and basal cells (Figure 2B). At many places, these bilayered epithelia were replaced by squamous cells, intermediate cells, and occasional mucous cells. Moderate nuclear pleomorphism was noted in a few glandular cysts with infiltration of atypical squamous cells with surrounding reactive stroma (Figure 2C and 2D).


Foci of necrosis were noted. Special stain for mucicarmine and periodic acid-Schiff (PAS) demonstrated intracellular mucin (Figure 3A and 3B). A final diagnosis of an intermediate grade MEC, Warthin-like variant was made. Based on the final histopathological diagnosis, no further adjuvant therapy was given. The patient is disease-free at 8 months of follow-up.

DISCUSSION
The diagnosis and management of salivary gland neoplasms are mainly based on the histopathological entity and the grade of the neoplasm. Benign tumors are usually managed by surgery alone, while malignant tumors require surgery with additional adjuvant therapy. Warthin tumor (WT) and MEC are two histologically distinct salivary gland neoplasms. WT or adenolymphoma is the second most common benign tumor of the salivary glands seen in the elderly population and commonly occurs in the superficial lobe of the parotid gland as a slow-growing indolent mass. Smoking is considered a risk factor for WT.3 Histologically, WT has morphologic characteristics consisting of (i) cystic structures lined by bilayered oncocytic and basaloid epithelium with papillary projections; and (ii) underlying lymphoid stroma. In contrast, MEC is the most common malignant salivary gland tumor, which is histologically composed of a mixture of mucous cells, intermediate cells, and squamous-like or epidermoid cells. MEC and WT are usually not considered in the differential diagnosis of a single lesion because they have distinct clinical and histological diagnostic criteria. However, a tumor showing the morphology of both WT and MEC is very unusual, as in our case.
The main differential of such types of lesions is the malignant transformation of WT, metaplastic changes in WT and the Warthin-like variant of MEC. The coexistence of WT and MEC is rare, with only 29 cases reported worldwide.4-6 Malignant transformation of the epithelial component of WT, such as squamous cell carcinoma, MEC, adenocarcinoma, and undifferentiated, poorly differentiated, and anaplastic carcinoma is extremely rare and only seen in 0.3% of cases.4 Transformation can occur spontaneously or following radiotherapy. Seifert et al.7 proposed four criteria to support a diagnosis of malignant transformation of WT; namely (i) the presence of a pre-existing benign WT; (ii) the presence of transition zones from benign oncocytic to malignant epithelia; (iii) infiltrating growth in the surrounding lymphoid tissue; and (iv) exclusion of metastases to the lymphoid stromal component of a primary extra salivary tumor.
Focal squamous metaplasia in WT is known. Although uncommon, WT with extensive squamous metaplasia is known as “metaplastic WT” or “infarcted WT,” with an incidence ranging from 0% to 7.6% of all WTs.8 The differentiation between a metaplastic WT and MEC can be challenging. While the normal epithelium in WT exhibits a double-layered structure, the metaplasia presents an increase in epithelial layers and formation of cystic structures lined by mucus and intermediate cells. The key point of differentiation is the absence of atypical cells and infiltrative growth in metaplasia. However, the presence of both squamous and mucinous metaplasia in WT is extremely rare at 0.2%.9 The third differential diagnosis of the tumor showing both WT- and MEC-like features is the recently described entity: the Warthin-like variant of MEC. The presence of bilayered oncocytic epithelium is the one of the most reliable histological findings that distinguishes metaplastic WT from Warthin-like MEC. The key point is the presence of mucous cells, represented by positive carcinoembryonic antigen and antibody/PAS staining. Epithelioid cells of MEC rarely show keratinization, whereas extensive keratinization is seen in squamous cell carcinoma. The extremely rare condition of “tumor to tumor metastasis” also should be considered. Various cancers, including lung and renal, can metastasize to WT.10 This can be excluded by proper physical and clinical examination.
In 2015, Ishibashi et al.2 gave the first description of a Warthin-like variant of MEC. A similar histomorphology was also described by Heatley et al.11 in a 17-year-old female presenting with a cystic lesion, which, on initial excision, resembled WT and classical mucoepidermoid morphology in the recurrent tumor. A retrospective review of the initial histology revealed the squamoid appearance and focal presence of mucin, which raised the suspicion of Warthin-like MEC. Only eight cases of Warthin-like MEC have been described in the English literature to date (Table 1).

Hang et al.12 described the cytological picture of a Warthin-like MEC as showing dense lymphocytic infiltration and cystic change, which resembled WT on low-power field examination. The tumor epithelium has a metaplastic appearance with squamoid and goblet cells, which could be misinterpreted as intermediate and mucinous cells as in MEC. These findings are similar to our case.
Cytogenetic studies of the tumor showing both WT and MEC characteristics identified specific chromosomal translocations: t(11;19) (q21;p13), and t(11;15)(q21;q26) result in novel fusion oncogenes CRTC1-MAML2 and CRTC3-MAML2, respectively. These fusion genes act as transcription factors on the Notch and CREB regulatory pathway.6 Ishibashi et al.2 reported 15 cases of WT with diffuse squamous metaplasia, 5 of which were reclassified into low-grade MEC after testing positive for CRTC1-MAML2 gene fusion. Some subsets of WT were also found to harbor t(11;19) translocation. However, various series of metaplastic WT did not find any fusion abnormalities. Metaplastic Warthin-like tumors with fusion gene positivity are more likely to be diagnosed as MEC due to the similarity of the histologic features. Therefore, a definite diagnosis can be confirmed by gene fusion studies. A cytogenetic study was not done in our patient due to financial constraints.
The prognosis of MEC depends on the tumor stage and grade, and the adequacy of resection margins.13 MEC grading is based on the percentage of mucous cells into the low, intermediate, and high grade. Low-grade lesions are usually managed with surgery alone while high-grade lesions or high-risk lesions (with neural invasion, necrosis, mitotic figures, anaplasia), and margin-positive lesions require adjuvant radiotherapy.6 No case of metastases has been reported in patients with MEC coexisting with WT of the parotid gland treated with margin-free excision. However, one patient presented with local recurrence, whose initial margin status was unknown.11 The prognosis of Warthin-like MEC is usually considered with better than the classical MEC given its benign component and the lower grade of the MEC component. Since our patient had intermediate histology with negative margins and negative lymph nodes, no adjuvant therapy was given. She is disease-free at 8 months of follow-up.
The unavailability of the genetic study is a limitation of our report. However, the presence of the histological picture should raise suspicion regarding this rare and clinically relevant variant. The rarity of this tumor has resulted in the lack of definitive evidence for diagnosis and management. Further research is required before this variant can be clearly defined.
REFERENCES
Subhashraj K. Salivary gland tumors: a single institution experience in India. Br J Oral Maxillofac Surg. 2008;46(8):635-8. http://dx.doi.org/10.1016/j.bjoms.2008.03.020. PMid: 18620785
Ishibashi K, Ito Y, Masaki A, et al. Warthin-like mucoepidermoid carcinoma: a combined study of fluorescence in situ hybridization and whole-slide imaging. Am J Surg Pathol. 2015;39(11):1479-87. http://dx.doi.org/10.1097/PAS.0000000000000507. PMid: 26457352
Lamelas J, Terry JH Jr, Alfonso AE. Warthin’s tumor: multicentricity and increasing incidence in women. Am J Surg. 1987;154(4):347-51. http://dx.doi.org/10.1016/0002-9610(89)90002-0. PMid: 3661835
Smółka W, Markowski J, Piotrowska-Seweryn A, Paleń P, Dobrosz Z, Dziubdziela W. Mucoepidermoid carcinoma in Warthin tumor of the parotid gland. Arch Med Sci. 2015;11(3):691-5. http://dx.doi.org/10.5114/aoms.2015.52379. PMid: 26170867
Williamson JD, Simmons BH, El-Naggar A, Medeiros LJ. Mucoepidermoid carcinoma involving Warthin tumor: a report of five cases and review of the literature. Am J Clin Pathol. 2000;114(4):564-70. http://dx.doi.org/10.1309/GUT1-F58A-V4WV-0D8P. PMid: 11026102
Citak EC, Yilmaz EB, Sagcan F, Bozkurt F, Arpaci RB, Vayisoglu Y. Mucoepidermoid carcinoma in Warthin tumor of the parotis in childhood: a case report and review of the literature. J Pediatr Hematol Oncol. 2019;41(6):494-7. http://dx.doi.org/10.1097/MPH.0000000000001303. PMid: 30198962
Seifert G, Bull HG, Donath K. A histologic subclassification of the cystadenolymphoma of the parotid gland. Virchows Arch A Pathol Anat Histol. 1980;388(1):13-38. PMid: 7467121
Yorita K, Nakagawa H, Miyazaki K, Fukuda J, Ito S, Kosai M. Infarcted Warthin tumor with mucoepidermoid carcinoma-like metaplasia: a case report and review of the literature. J Med Case Rep. 2019;13(1):12. http://dx.doi.org/10.1186/s13256-018-1941-3. PMid: 30636634
Rotellini M, Paglierani M, Pepi M, Franchi A. MAML2 rearrangement in Warthin’s tumor: a fluorescent in situ hybridisation study of metaplastic variants. J Oral Pathol Med. 2012;41(8):615-20. http://dx.doi.org/10.1111/j.1600-0714.2012.01159.x. PMid: 22582766
Yu C, Song Z, Xiao Z, Lin Q, Dong X. Mucoepidermoid carcinoma arising in Warthin’s tumor of the parotid gland: clinicopathological characteristics and immunophenotypes. Sci Rep. 2016;6(1):30149. http://dx.doi.org/10.1038/srep30149. PMid: 27417276
Heatley N, Harrington KJ, Thway K. Warthin tumor-like mucoepidermoid carcinoma. Int J Surg Pathol. 2018;26(1):31-3. http://dx.doi.org/10.1177/1066896917724889. PMid: 28793830
Hang JF, Shum CH, Ali SZ, Bishop JA. Cytological features of the Warthin-like variant of salivary mucoepidermoid carcinoma. Diagn Cytopathol. 2017;45(12):1132-6. http://dx.doi.org/10.1002/dc.23785. PMid: 28755513
Boahene DK, Olsen KD, Lewis JE, Pinheiro AD, Pankratz VS, Bagniewski SM. Mucoepidermoid carcinoma of the parotid gland: the Mayo clinic experience. Arch Otolaryngol Head Neck Surg. 2004;130(7):849-56. http://dx.doi.org/10.1001/archotol.130.7.849. PMid: 15262762
Notes
Author notes
Correspondence Mukund Sable Department of Pathology - All India Institute of Medical Sciences Bhubaneswar, Orissa – India 751019 Phone: +91 (79) 7816-0417/+91 (94) 3888-4175 mukundnsable@gmail.com
Conflict of interest declaration