Article / Autopsy Case Report
Amyloidosis: an unusual cause of portal hypertension
Amyloidosis: an unusual cause of portal hypertension
Autopsy and Case Reports, vol. 6, no. 2, pp. 9-18, 2016
Hospital Universitário da Universidade de São Paulo
Received: 07 March 2016
Accepted: 20 April 2016
Abstract: Amyloidosis comprises a group of diseases that occurs in five to nine cases per million patients per year worldwide irrespective of its classification. Although the hepatic involvement in primary amyloidosis is frequent, the clinical manifestations of liver amyloidosis are mild or even absent. The authors report the case of an aged man who complained of diffuse abdominal pain and marked weight loss and presented clinical signs of hepatopathy. Clinical workup revealed portal hypertension with ascites, hemorrhoids, and esophageal varices. The laboratory tests showed the cholestatic pattern of liver enzymes, hyperbilirubinemia, renal insufficiency and massive proteinuria accompanied by the presence of serum pike of monoclonal lambda light chain protein. The outcome was unfavorable, and the patient died. The autopsy findings revealed the diagnosis of amyloidosis predominantly involving the liver and kidneys. The bone marrow examination demonstrated the deposition of amyloid material associated with clonal plasma cells infiltration. The authors call attention to portal hypertension as a rare manifestation of primary amyloidosis. Meanwhile, this diagnosis should be taken into account whenever the hepatopathy is accompanied by laboratory abnormalities consistent with hepatic space-occupying lesions concomitantly with other organs involvement. In the case reported herein, kidney involvement was also present with renal failure, massive proteinuria with monoclonal serum gammopathy, what reinforced the diagnostic possibility of primary amyloidosis.
Keywords: Amyloidosis, Liver Diseases, Hypertension, Portal, Multiple myeloma.
INTRODUCTION
Amyloidosis is a protein metabolism disorder that results in extracellular fibrils deposition composed of low-molecular-weight protein subunits with similar chemical, structural, and staining characteristics.1 Amyloid deposits are related to a diversity of entities of varying etiologies involving several organs and systems.
AL amyloidosis and AA amyloidosis are the most clinically relevant types of the disease. Primary or AL amyloidosis occurs due to a plasma cell clonal disorder that results in the deposition of fragments of immunoglobulin light chains in several tissues.2 This type of amyloidosis, which is mostly found in developed countries, is commonly associated with multiple myeloma and Waldenström macroglobulinemia.1,3 In these cases, the mean age at diagnosis was 65 years, and two-thirds of the patients were males.4,5 Secondary amyloidosis is characterized by the serum amyloid AA and occurs more frequently in developing countries where it is commonly associated with chronic inflammatory diseases, such as rheumatoid arthritis, inflammatory bowel diseases, and chronic infections like tuberculosis and hanseniasis.6 Less frequent types of amyloidosis include the types called familiar, localized, senile, and those related to dialysis.6
The clinical features of amyloidosis vary according to the number and extension of the involved organs. Histologically, virtually every organ, such as kidney, heart, autonomic and peripheral nervous system, muscle, and skin, may exhibit any degree of amyloid deposition. However, while some patients may present only a single involved organ, others may show systemic involvement.5 Nonspecific symptoms, such as fatigue and weight loss, are the main initial complaints; however, the definite diagnosis is established when symptoms reflect the involvement of a particular organ.7 We present the interesting case of a patient that presented a rare manifestation of amyloidosis, namely: portal hypertension with ascites, esophageal varices, and hemorrhoids.
CASE REPORT
A 75-year-old man sought the medical facility complaining of diffuse abdominal pain, abdominal distension, postprandial fullness, hypersalivation, nausea, and frequent vomiting over the last 6 months. He referred some relief of symptoms with the use of a proton pump inhibitor and lost 10 kg of weight during this period. He was diagnosed with hemorrhoids 2 months ago and has been presenting episodes of hematochezia since then. He denied hematemesis and dysphagia. His relatives referred an altered sleep-wake cycle and periods of fluctuating levels of consciousness over the past few days. His medical history included dyslipidemia, and a recent diagnosis of chronic liver disease of undetermined etiology. He was taking furosemide, cholestyramine, chlortalidone, and pantoprazole. He was a smoker (60 packs/year) and a social drinker. He came from an endemic region of schistosomiasis and his wife recently had been diagnosed with the intestinal form of this disease.
The physical examination revealed an ill-looking patient, icteric, and dehydrated. He was afebrile, his blood pressure was 80/60 mmHg, his pulse was a regular 72 beats per minute, and his room air oximetry was 97%. He was lucid and oriented in time and space, and the Glasgow Coma Scale was 15. The neurologic examination was normal. He had a jugular venous distension at 45 degrees, and lower limbs edema was present. The pulmonary examination disclosed bilateral diffuse crackles and hypophonesis of the heart sounds. The abdomen was distended; the liver was palpable until 7 cm below the xiphoid appendix (left liver lobe enlargement); and large ascites was present. The laboratory work-up is shown in Table 1

Other examinations included: ANA - HEp-2 = 1/320, nucleolar pattern, normal determination of complement fractions C3 and C4. Urinalysis showed proteinuria, 37,000 erythrocytes/ mm3, hyaline, and granular casts, and 24-hour urine protein was 7 g. Hepatitis B and C, and HIV serologies were negative. The anti-mitochondria antibody was negative, and ceruloplasmin and copper determinations were within the normal range. The rectum biopsy was negative for Schistosoma sp eggs. The monoclonal component was identified in the serum protein electrophoresis as a lambda chain by immunofixation.
The abdominal ultrasound (US) showed an enlarged liver with a globular shape, and nonspecific heterogeneous echotexture of the parenchyma. The biliary system, pancreas, and kidneys were normal. A huge amount of free ascitic fluid and bilateral pleural effusion were present. The hepatic Doppler US showed a normal gauge of the hepatic veins with multiphasic hepatofugal blood flow. The portal and superior mesenteric veins were enlarged with reduced velocity hepatopetal blood flow. The upper digestive endoscopy disclosed small and medium caliber esophageal varices, hypertensive gastritis, and a healing duodenal ulcer. The abdominal computed tomography showed an enlarged liver at the expense of the left and caudate lobes, plus splenomegaly, and ascites. Doppler echocardiography showed a mild double aortic lesion (mean systolic left ventricular/aortic gradient of 9 mmHg), mild diastolic left ventricular dysfunction, and preserved systolic function. Renal biopsy was not performed due to the patient's critical clinical status. A diagnostic paracentesis was undertaken and the results were consistent with portal hypertension (serum-ascites albumin gradient = 2.37 g/dL) and a high number of neutrophils consistent with the diagnosis of spontaneous bacterial peritonitis, which was treated with the administration of albumin and ceftriaxone. The patient's condition evolved with persistent altered mental status, and after 2 weeks of hospitalization he suddenly presented thoracic pain with no ischemic electrocardiogram changes nor elevation in myocardial necrosis markers. Two days after this complaint he presented cardiac arrest and died. An autopsy was performed.
AUTOPSY FINDINGS
At gross examination, the autopsy confirmed general findings of portal hypertension, such as severe ascites (4.0 L), splenomegaly, gastric and esophageal varices with no signs of bleeding. The spleen (341 g; reference value [RV]: 112 g) and the liver (2800 g; mean RV: 1720 g) were enlarged (Figure 1) and had a particularly firm and waxy consistency. Despite showing a fine nodular capsular surface, the liver did not show macroscopic portal tract fibrosis or cirrhosis. These gross findings raised the suspicion of an infiltrative disease and cytological smears were taken from the liver and the spleen. These samples were curiously difficult to smear onto the slides due to their waxy consistency.

The smears showed abundant amorphous material, which was purple on May-Grünwald-Giemsa stain and densely orangophilic on Papanicolaou stain (Figure 2). Intermingled spindle cells looked compressed by the waxy material.

The heart was also enlarged (435 g; mean RV: 340 g), the kidneys had a nodular surface, and the cortex was pale. Renal samples were collected for immunofluorescence.
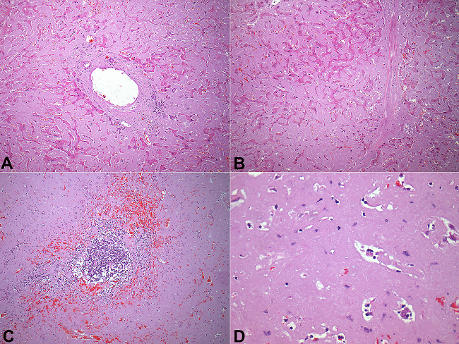
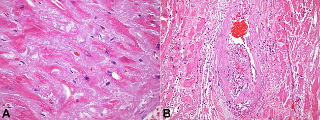
The histological examination showed a diffuse and dense deposition of amyloid, confirmed by Congo red staining and apple-green birefringence under polarized light in several organs. The liver and the spleen showed massive and compressive sinusoidal deposition (Figure 3). Small vessels were also affected, particularly some hepatic veins. The heart showed moderate diffuse interstitial deposition and some vascular amyloid deposition. Also, a focus of organizing thrombosis was detected in the myocardium (Figure 4).


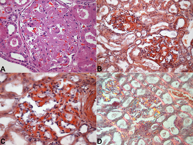
The kidneys showed diffuse mesangial glomerular amyloid deposition. The cortical interstitium showed fibrosis and interstitial hyalinization with some peritubular and capillary amyloid deposits (Figure 5). The tubules were atrophic with hyaline cylinders. Immunofluorescence showed a weak reaction for immunoglobulin A (IgA) and kappa light chain in the mesangium and tubules. Lambda light chain fluorescence was moderate, global, and diffuse in glomerular mesangium, and focal in the interstitium and vessels. Immunofluorescence was negative for IgG, IgM, C1q, C3, and fibrinogen.

The bone marrow showed moderate amyloid deposition and increased cellularity, which was mainly due to granulocytic proliferation, but also due to an increased plasma cell count. Erythroid and megakaryocytic cell series were preserved. Plasma cells were generally typical, isolated, or in small clusters, and made up about 10% of the bone marrow nucleated cells. These cells were positive for Epithelial Membrane Antigen (EMA) and focally for CD138, and negative for CD56 and cyclin D1. Kappa and lambda light-chains were detected in a proportion of 1:1, which was consistent with a monoclonal lambda plasma dyscrasia (Figure 6). A small component of reactive CD20+ B and CD3+ T lymphocytes were detected. These findings were consistent with primary AL amyloidosis with multiorgan clinical manifestations related to a bone marrow plasma cell dyscrasia.

Minor amyloid deposition was also detected in the tongue, thyroid, lungs, lymph nodes, pancreas, and venules and capillary vessels in the bowels. A previous rectal biopsy was reviewed and no amyloid deposition was detected retrospectively.
DISCUSSION
We present the case of a 75-year-old man with AL lambda light-chain amyloidosis with systemic involvement associated with plasma cell dyscrasia, the diagnosis of which was made at the autopsy. The liver and kidneys were the most involved organs, and the prevailing symptoms were hepatic failure, portal hypertension, and nephrotic syndrome. The patient presented hepatomegaly, altered canalicular hepatic enzymes (alkaline phosphatase and gamma glutamyl transpeptidase), increased prothrombin time, jaundice associated with portal hypertension confirmed by the presence of ascites (with high serum-ascites albumin gradient), esophageal varices, hemorrhoids, hepatic encephalopathy, massive proteinuria, hypoalbuminemia, and renal failure.
Amyloid deposits in the liver are reported to be present in up to 54% of patients with AL amyloidosis.8 This rate is considered to be underestimated because of the lack of liver biopsy in all cases. However, autopsy series show that hepatic amyloidosis may be present in up to 96% of the AL amyloidosis cases.9-11
The clinical features of hepatic amyloidosis are generally mild. Hepatomegaly and alkaline phosphatase elevation are the most common findings. However, weight loss may be present in 72% of cases, fatigue in 60%, abdominal discomfort in 53%, and loss of appetite in 26%.11-13 Hepatomegaly may be present in 57-83% of patients and does not relate to the amount of the amyloid deposition.14,15 Less frequent symptoms include early satiety, edema, anorexia, nausea, ascites, purpura, splenomegaly, and spiders. Cholestatic jaundice, although rare, is associated with poor prognosis.12
Portal hypertension is a rare complication of hepatic amyloidosis16-18 and seems to be related to reduced sinusoidal lumen and increased resistance to blood flow due to massive perisinusoidal amyloid deposits.18,19 Mortality reaches 80% when esophageal varices bleeding occurs.20 The presence of ascites is found in 10-20% of the cases and is generally due to heart failure and/or nephrotic syndrome rather than portal hypertension.21-23 Our patient concomitantly presented nephrotic syndrome, but the serum-ascites albumin gradient was high (2.37 g/dL), which is consistent with ascites of portal hypertension origin.
In hepatic amyloidosis, the hepatic enzymes work up frequently shows an increase alkaline phosphatase determination as the hallmark alteration.11 In a series of 98 patients with hepatic amyloidosis, the increment of this enzyme was present in 86% of cases; 61% of them showed dosages above 500 UI/L. Aspartate aminotransferase was increased (two times the upper limit of the RV) in 37% of the patients.11
At admission, our patient presented nephrotic proteinuria associated with renal function impairment. Indeed, the kidney is the organ mostly involved in AL amyloidosis. The amyloid fibrils may be deposited either in the glomeruli as in the arteries, veins, tubules, and interstitium. Proteinuria ranges from a mild to a massive amount and is present in 70-75% of the cases; one-third of patients present nephrotic syndrome and 20% of them evolve to end-stage renal disease.4,24 In a study comprising 145 patients25 with biopsy-proven AL amyloidosis, the patients with renal disease presented the lambda light-chain in the proportion of 12:1, while in the patients without renal disease this proportion was 4:1. Furthermore, among the 84 patients with renal amyloidosis, those with lambda light-chain presented higher proteinuria (7 g/24 hours) in comparison with the patients whose light-chain was kappa (3 g/24 hours). In this study, the lambda light-chain amyloid seemed to be more nephrotoxic than the kappa. The magnitude of proteinuria and the renal failure were the limiting factors for survival in the patients with AL amyloidosis.25,26
The cardiac involvement, found in 60% of the patients with amyloidosis, was also present in our patient but with less clinical relevance. Characterized by interventricular septum and free ventricular wall thickening;27 this involvement resulted in diastolic dysfunction and heart failure. Our patient presented jugular venous distension and diastolic myocardial dysfunction, which could be explained, even mildly, by the cardiac involvement. The atypical chest pain presented 2 days before the patient's death-although it was not accompanied by myocardial necrosis markers nor any electrocardiographic ischemic changes-may be interpreted as being of ischemic origin, in the light of the findings at autopsy, and may have contributed to the cause of death. Sudden death, syncope secondary to arrhythmias or bundle branch block, as well as angina pectoris, and myocardial infarction due to amyloid deposits in coronary arteries are also manifestations of cardiac amyloidosis.28
The International Myeloma Working Group formulated the diagnostic criteria for AL amyloidosis, requiring the presence of all of the following: (i) the presence of an amyloid-related systemic syndrome; (ii) positive amyloid staining by Congo red staining in any tissue or the presence of amyloid fibrils by electronic microscopy; (iii) evidence that amyloid is light-chain-related established by direct examination of the amyloid; and (iv) evidence of plasma cell proliferative disorder.29,30
The presence of plasma cell dyscrasia may be demonstrated by the presence of the serum or urinary M protein, abnormal serum free light-chain, or clonal plasma cells proliferation in the bone marrow.24,29,30 The diagnosis of plasma cell myeloma could be based on the presence of M-protein in the serum in the setting of myeloma-related end organ damage (amyloidosis) and bone marrow monoclonal plasma cell proliferation. According to WHO classification, the amount of clonal plasma cells in bone marrow of multiple myeloma patients usually exceeds 10%, but no minimal level is designated, since 5% of patients with symptomatic myeloma have less than 10% marrow plasma cells. Thereafter, in the setting of myeloma-related end-organ damage with M-protein in the serum or urine, the diagnosis of multiple myeloma can be made even with less than 10% of clonal plasma cells in the bone marrow.31 However, other typical findings of multiple myeloma as hypercalcemia, anemia and bone lesions were lacking. In the case reported herein, the serum protein electrophoresis depicted the presence of a monoclonal spike identified as lambda light-chain by the immunofixation technique. Indeed, the lambda light chain is responsible for 75% of all cases of the AL amyloidosis, while the kappa light chain occurs in 25% of cases, and biclonality in 5% of cases, as observed in the series (121 cases of AL amyloidosis) of Palladini et al.32
The definite diagnosis of amyloidosis requires histological confirmation. The kidney or hepatic biopsy will render the diagnosis in 90% of cases; however, this invasive procedure has inherent non-negligible complications. The reason why it was not performed in our patient was because of his poor clinical status and the increased risk of bleeding.
The mean survival time of the patients with AL amyloidosis ranges between 12 and 18 months4,33 and is even smaller when associated with multiple myeloma. The hepatic involvement34 decreases the survival time to between 10 and 14 months, the association with portal hypertension to 8-9 months,11 and the presence of cholestatic jaundice to 3-5 months.12,34 Renal failure and restrictive cardiomyopathy are frequently related to the cause of death.15
Since the hepatic involvement is not the predominant form of presentation of AL amyloidosis, it is important to consider this diagnosis in a patient with hepatomegaly of unknown cause, and even more the pattern of bilirubin, ALT, AST, ALP, and γGT abnormalities in this case is classic for hepatic space-occupying diseases as sarcoidosis, metastases or amyloidosis. Furthermore, the involvement of other organs, such as the kidney, heart, autonomic and peripheral nervous system, muscle, and skin should always be evaluated. In our case, the presence of renal function impairment, massive proteinuria, and serum monoclonal gammopathy reinforced the diagnostic possibility of primary amyloidosis.
This case was very puzzling because the clinical features were suitable for other frequent diagnoses, and (i) the electrophoresis result was not available while the patient was alive; (ii) the echocardiogram did not depict the described granular sparkling appearance of the thickened cardiac walls; and (iii) the rectal biopsy lacked amyloid deposition. During hospitalization, the main diagnostic hypothesis remained on the hepatosplenic schistosomiasis with portal hypertension associated with glomerular complications related to the parasite immune response. Favoring this hypothesis, our patient came from an endemic region of Schistosoma mansoni and had a familiar history of this diagnosis. Further investigation, unfortunately, was hampered by the patient's clinical status. The autopsy was fundamental for the precise diagnosis of this case, showing the outstanding value of this study for teaching purposes, quality control of medical care, and reliability of the death certificate.
REFERENCES
1 Glenner GG. Amyloid deposits and amyloidosis. The beta-fibrilloses (first of two parts). N Engl J Med. 1980;302(23):1283-92. http://dx.doi.org/10.1056/NEJM198006053022305. PMid:6154243
2 Merlini G, Comenzo RL, Seldin DC, Wechalekar A, Gertz MA. Immunoglobulin light chain amyloidosis. Expert Rev Hematol. 2014;7(1):143-56. http://dx.doi.org/10.1586/17474086.2014.858594. PMid:24350907
3 Gertz MA, Lacy MQ, Dispenzieri A. Amyloidosis. Hematol Oncol Clin North Am. 1999;13(6):1211-33, ix. http://dx.doi.org/10.1016/S0889-8588(05)70122-2. PMid:10626146
4 Kyle RA, Gertz MA. Primary systemic amyloidosis: clinical and laboratory features in 474 cases. Semin Hematol. 1995;32(1):45-59. PMid:7878478
5 Kyle RA, Greipp PR. Amyloidosis (AL). Clinical and laboratory features in 229 cases. Mayo Clin Proc. 1983;58(10):665-83. PMid:6353084
6 Pinney JH, Lachmann HJ. Systemic AA amyloidosis. Subcell Biochem. 2012;65:541-64. http://dx.doi.org/10.1007/978-94-007-5416-4_20. PMid:23225016
7 Park MA, Mueller PS, Kyle RA, Larson DR, Plevak MF, Gertz MA. Primary (AL) hepatic amyloidosis: clinical features and natural history in 98 patients. Medicine. 2003;82(5):291-8. http://dx.doi.org/10.1097/01.md.0000091183.93122.c7. PMid:14530778
8 Lovat LB, Persey MR, Madhoo S, Pepys MB, Hawkins PN. The liver in systemic amyloidosis: Insights from 123I serum amyloid P component scintigraphy in 484 patients. Gut. 1998;42(5):727-34. http://dx.doi.org/10.1136/gut.42.5.727. PMid:9659172
9 Ebert EC, Nagar M. Gastrointestinal manifestations of amyloidosis. Am J Gastroenterol. 2008;103(3):776-87. http://dx.doi.org/10.1111/j.1572-0241.2007.01669.x. PMid:18076735
10 Girnius S, Seldin DC, Skinner M, et al. Hepatic response after high-dose melphalan and stem cell transplantation in patients with AL amyloidosis associated liver disease. Haematologica. 2009;94(7):1029-32. http://dx.doi.org/10.3324/haematol.2008.001925. PMid:19454500
11 Park MA, Mueller PS, Kyle RA, Larson DR, Plevak MF, Gertz MA. Primary (AL) hepatic amyloidosis: clinical features and natural history in 98 patients. Medicine (Baltimore). 2003;82(5):291-8. http://dx.doi.org/10.1097/01.md.0000091183.93122.c7. PMid:14530778
12 Gertz MA, Kyle RA. Hepatic amyloidosis (primary [AL], immunoglobulin light chain): the natural history in 80 patients. Am J Med. 1988;85(1):73-80. http://dx.doi.org/10.1016/0002-9343(88)90505-0. PMid:3389383
13 Buck FS, Koss MN. Hepatic amyloidosis: morphologic differences between systemic AL and AA types. Hum Pathol. 1991;22(9):904-7. http://dx.doi.org/10.1016/0046-8177(91)90180-W. PMid:1916751
14 Levine RA. Amyloid disease of the liver. Correlation of clinical, functional and morphologic features in forty-seven patients. Am J Med. 1962;33(3):349-57. http://dx.doi.org/10.1016/0002-9343(62)90231-0. PMid:14464647
15 Kyle RA, Bayed ED. Amyloidosis: review of 236 cases. Medicine (Baltimore). 1975;54(4):271-99. http://dx.doi.org/10.1097/00005792-197507000-00001. PMid:1152671
16 Aramaki T, Terada H, Okumura H, et al. Portal hypertension secondary to intrahepatic arterio-portal shunt in primary amyloidosis: a case report. Gastroenterol Jpn. 1989;24(4):410-3. PMid:2777017
17 Norero B, Pérez-Ayuso RM, Duarte I, et al. Portal hypertension and acute liver failure as uncommon manifestations of primary amyloidosis. Ann Hepatol. 2014;13(1):142-9. PMid:24378278
18 Wang YD, Zhao CY, Yin HZ. Primary hepatic amyloidosis: a mini literature review and five cases report. Ann Hepatol. 2012;11(5):721-7. PMid:22947537
19 Lee SS, Hadengue A, Girod C, Braillon A, Lebrec D. Reduction of intrahepatic vascular space in the pathogenesis of portal hypertension. In vivo and in vitro studies in the rat. Gastroenterology. 1987;93(1):157-61. PMid:3582902
20 Bion E, Brenard R, Pariente EA, et al. Sinusoidal portal hypertension in hepatic amyloidosis. Gut. 1991;32(2):227-30. http://dx.doi.org/10.1136/gut.32.2.227. PMid:1864548
21 Serra L, Poppi MC, Criscuolo M, Zandomeneghi R. Primary systemic amyloidosis with giant hepatomegaly and portal hypertension: a case report and a review of the literature. Ital J Gastroenterol. 1993;25(8):435-8. PMid:8286779
22 Levy M, Polliack A, Lender M. The liver in amyloidosis. Digestion. 1974;10(1):40-51. http://dx.doi.org/10.1159/000197521. PMid:4847635
23 Gregg J, Herskovic T, Bartholomew L. Ascites in systemic amyloidosis. Arch Intern Med. 1965;116(4):605-10. http://dx.doi.org/10.1001/archinte.1965.03870040119024. PMid:5835364
24 Pozzi C, Locatelli F. Kidney and liver involvement in monoclonal light chain disorders. Semin Nephrol. 2001;22(4):319-30. PMid:12118397
25 Gertz MA, Leung N, Lacy MQ, et al. Clinical outcome of immunoglobulin light chain amyloidosis affecting the kidney. Nephrol Dial Transplant. 2009;24(10):3132-7. http://dx.doi.org/10.1093/ndt/gfp201. PMid:19403931
26 Sezer O, Eucker J, Jakob C, Possinger K. Diagnosis and treatment of AL amyloidosis. Clin Nephrol. 2000;53(6):417-23. PMid:10879660
27 Dubrey SW, Hawkins PN, Falk RH. Amyloid diseases of the heart: assessment, diagnosis, and referral. Heart. 2011;97(1):75-84. http://dx.doi.org/10.1136/hrt.2009.190405. PMid:21148582
28 Reichling JJ, Kaplan MM. Clinical use of serum enzymes in liver disease. Dig Dis Sci. 1988;33(12):1601-14. http://dx.doi.org/10.1007/BF01535953. PMid:2904353
29 Kyle RA, Rajkumar SV. Criteria for diagnosis, staging, risk stratification and response assessment of multiple myeloma. Leukemia. 2009;23(1):3-9. http://dx.doi.org/10.1038/leu.2008.291. PMid:18971951
30 Rajkumar SV, Dimopoulos MA, Palumbo A, et al. International Myeloma Working Group updated criteria diagnosis of multiple myeloma. Lancet Oncol. 2014;15(12):e538-48. http://dx.doi.org/10.1016/S1470-2045(14)70442-5. PMid:25439696
31 Campos E, Swerdlow SH, Harris NL, Pileri S, Stein H, Jaffe ES. The 2008 WHO classification of lymphoid neoplasm and beyond: evolving concepts and approached applied. Blood. 2011;117(19):5019. http://dx.doi.org/10.1182/blood-2011-01-293050. PMid:21300984
32 Palladini G, Russo P, Bosoni T, et al. Identification of amyloidogenic light chains requires the combination of serum-free light chain assay with immunofixation of serum and urine. Clin Chem. 2009;55(3):499-504. http://dx.doi.org/10.1373/clinchem.2008.117143. PMid:19131635
33 Tan SY, Pepys MB, Hawkins PN. Treatment of amyloidosis. Am J Kidney Dis. 1995;26(2):267-85. http://dx.doi.org/10.1016/0272-6386(95)90647-9. PMid:7645531
34 Peters RA, Koukoulis G, Gimson A, Portmann B, Westaby D, Williams R. Primary amyloidosis and severe intrahepatic cholestatic jaundice. Gut. 1994;35(9):1322-52. http://dx.doi.org/10.1136/gut.35.9.1322. PMid:7959246
Notes
Author notes
Correspondence Vilma Takayasu Internal Medicine Division - Hospital Universitário - Universidade de São Paulo (USP) Avenida Professor Lineu Prestes, 2565 - Butantã - São Paulo/SP - Brazil CEP: 05508-000 E-mail: vilmatakayasu@uol.com.br
Conflict of interest declaration