Article / Autopsy Case Report
Fatal hemoperitoneum due to segmental arterial mediolysis
Fatal hemoperitoneum due to segmental arterial mediolysis
Autopsy and Case Reports, vol. 6, no. 3, pp. 7-15, 2016
Hospital Universitário da Universidade de São Paulo
Received: 02 September 2016
Accepted: 19 September 2016
ABSTRACT: Spontaneous hemoperitoneum due to vascular injury is a life-threatening condition mostly associated with aortic or splanchnic arterial disease, which stems from atherosclerotic, inflammatory, or infectious origin. However, in 1976, Slavin and Gonzales described a nonatherosclerotic arterial disease that may render aneurysmal formation predominantly in the splanchnic arterial bed. The clinical presentation is diverse, but abdominal pain and shock prevail. We report the case of a middle-aged man who presented a hemoperitoneum due to a middle colic artery aneurysm rupture and died after undergoing a surgical treatment attempt. The preoperative imaging study revealed the presence of a huge hematoma in the epiplon retrocavity, and abdominal free liquid as well as extensive arterial disease with multiple aneurysms. The autopsy findings included hemoperitoneum, hematoma in the upper left abdominal quadrant, the surgical ligature of the middle colic artery, and histologic features consistent with segmental arterial mediolysis. The authors call attention to this rare entity and highlight the autopsy as a fundamental examination to accurately reach this diagnosis.
Keywords: Splanchnic Circulation, Aneurysm, Abdominal Pain, Fibromuscular dysplasia, Autopsy.
CASE REPORT
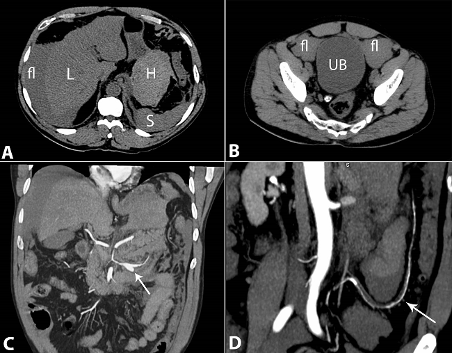
A 61-year-old Caucasian man sought medical care complaining of colicky hypogastric pain accompanied by nausea and hyperdefecation over the past 2 days. The initial clinical evaluation was unremarkable except for mild hypertension. The patient denied any previous diagnosis, but was a tobacco smoker of 10 packs/year. The clinical complaint worsened in the hours after admission with vomiting and fever despite the administration of painkillers, scopolamine, and metoclopramide concomitant with the rise in blood pressure. A few hours after admission, the patient presented a decreased level of consciousness accompanied by cold extremities, tachycardia, and severe hypotension (blood pressure of 50/30 mmHg). The cardiac, pulmonary examination results were average, but the abdomen was diffusely tender, and a crural hernia was easily reducible. Rectal examination was normal, and the patients' clinical status improved with saline volume resuscitation. Laboratory work-up showed normocytic normochromic anemia (hemoglobin: 7.8 g/dL; reference value [RV]: 13-15 g/dL), a normal remaining blood cell count, hyperglycemia (glucose: 276 mg/dL; RV: < 100 mg/dL), prolonged prothrombin time (INR = 1.69; RV: 1.0), and metabolic acidosis (pH = 7.26 with HCO3 = 12 mEq/L; RV: 14 mEq/L). Electrolytes, renal function tests, amylase, lipase, liver enzymes, and myocardium necrosis markers were normal. The electrocardiogram showed sinus tachycardia. The multidetector abdominal computed tomography showed, in the arterial phase, the presence of a hyperattenuating fluid in the epiplon retrocavity (Figure 1A) peripancreatic regions, and within the free abdominal cavity, consistent with intra-abdominal hemorrhage (Figure 1A, B). The angiographic study showed signs of small- and medium-sized vessels arteriopathy. Several branches of the celiac trunk, and the superior and inferior mesenteric arteries, showed diffuse caliber reduction, contour irregularity associated with narrowing and dilation, as well as segmental thrombosis. Saccular aneurysms were also found in the branches of both renal arteries close to the hilum and in the medium colic artery that emerged from the celiac trunk, which was most likely the origin of the hemoperitoneum. Active bleeding signs were not identified during the tomographic examination (Figure 1C, D; Figure 2).


Despite the adopted supportive measures, the clinical status rapidly deteriorated, and the patient was submitted to an exploratory laparotomy, which evidenced a huge hemoperitoneum (up to 3 L of bloody effusion in the abdominal cavity) along with a huge hematoma in the infrapancreatic region (involving the body and the tail of the pancreas), and in the Treitz angle. After releasing the colonic splenic angle, active bleeding was depicted from arteries that could not have their origin precisely identified. Artery ligation was attempted, but the patient presented a cardiac arrest during the surgical procedure, which was promptly reversed with cardiac massage. Supposedly to stop the bleeding, surgical dressings were left in the cavity, and the surgical wound was sutured. Although the patient received a transfusion of a significant volume of blood components, and an infusion of vasoactive drugs, he died 5 hours after the surgical procedure.
AUTOPSY FINDINGS
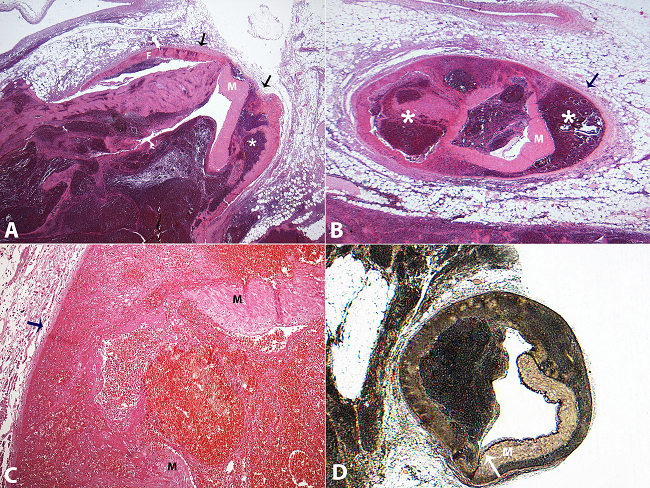
An autopsy was performed a few hours after the patient's death. Upon inspection, the abdomen was moderately distended, and blood easily leaked from the surgical suture upon manipulation. The abdominal cavity showed a huge hemoperitoneum with surgical dressings soaked in blood. An extensive hematoma up to 1000 mL affected the pancreas, duodenal wall, left kidney, left adrenal gland, spleen, diaphragm, mesentery, and mesocolon (Figure 3A). A small ruptured and sutured aneurysm was detected at the distal site of the middle colic artery (Figure 3B). The hematoma and local splanchnic vessels were sampled for histology. The kidneys and liver looked anemic due to massive intra-abdominal hemorrhage. The aorta showed some uncomplicated atherosclerotic plaques (mild atherosclerosis) and a normal diameter, without dissection or aneurysm. The heart showed moderate left ventricular hypertrophy (2.0 cm), and the coronary and cerebral arteries showed only mild atherosclerosis.

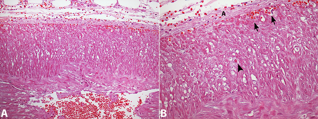
On histologic examinations, acute arterial dissection was observed along the sampled middle colic artery. The ruptured aneurysm showed medial defects, such as a detachment of the adventitia from the outer media (gap-aneurysm) and accompanying dissecting hematoma, with fibrin deposition, hemorrhage, and necrosis. Dissection of the hematoma showed areas of internal elastica loss, and areas of expansion and compression of the adventitia (Figure 4). Areas of preserved medial muscle of the artery showed vacuolar change with membranous residues, apoptotic figures, and micro hemorrhages (Figure 5). Areas of thrombosis were seen amidst the interstitial hematoma. These findings were consistent with segmental arterial mediolysis in the injurious or acute phase.
![Photomicrography of the medium colic artery. A - Ruptured aneurysm with detachment of the adventitia (arrows) from the outer media (gap-aneurysm [asterisk]) with fibrin (F) and partial necrosis of the media (M) (H&E, 12.5X); B - Dissecting hematoma (asterisk) in the distal segment expansion, and compression of the adventitia (arrow) (H&E, 12.5X); C and D - Gap and rupture of the media (M) with areas of internal elastica (white arrow) loss. (C = H&E, 200X; D = Verhoeff, 12.5X original magnification).](../2236-1960-acrep-06-03-0007-gf04.png)

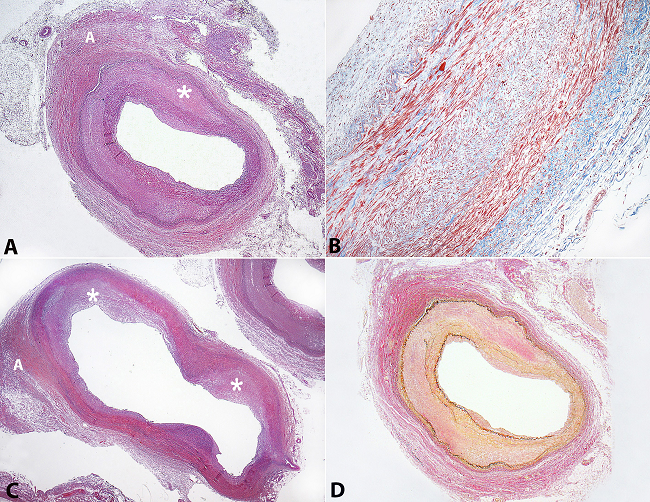
Additionally, the left renal artery showed a medial gap in a chronic phase with fibromuscular thickening of the media, and adventitial fibrosis and thickening (Figure 6), while branches of the right renal artery showed focal medial muscle vacuolization and apoptosis. The splenic artery showed eccentric adventitial fibrosis and mild intimal thickening. The inferior mesentery showed atherosclerotic intimal thickening. Curiously, as a microscopic autopsy finding, a couple of bronchial artery branches showed fibromuscular thickening, which was similar to the medial hyperplasia pattern described in fibromuscular dysplasia. The findings in the renal and splenic arteries were interpreted as healing or a chronic phase of segmental arterial mediolysis.

Capillary and arteriolar sclerosis (arteriolosclerosis) were observed in the spleen and the small vessels of the kidneys, and were attributed to arterial hypertension. Ischemic signs of systemic shock were observed in the central nervous system (CNS), kidneys, and gastrointestinal tract.
DISCUSSION
Descriptions on artery diseases dated from the 2nd century AD when the Greek surgeon Antyllus gave a clear description of the aneurysm and its potential for rupture.1 Even though it is not documented, Ruffer2,3 claimed that arterial degenerative diseases were prevalent amongst the Egyptians. Although preceded by many scholars, the founder of cardiovascular pathology-Giovanni Maria Lancisi (1654-1720)-began to study aneurysms more precisely, as shown in his work entitled “De Motu Cordis et Aneurysmatibus,” which was posthumously published in 1728.4 Nevertheless, the history of aneurysms includes additional works by William and John Hunter, Morgagni, Rokitansky, and Virchow, which further contributed to the knowledge of the pathophysiology of arterial diseases.3
Arterial diseases have been well studied; however, this knowledge is continuously growing, and new arterial diseases are still being described. In 1976, Slavin and Gonzales-Vitale5 first described the “segmental mediolytic arteritis,” from studying three autopsied patients with arterial lesions in the abdominal muscular arteries characterized by either partial or total mediolysis, linear deposition of fibrin between the media and adventitia, and variable inflammatory infiltrate. This entity was further named segmental arterial mediolysis (SAM) because of the scarcity of the inflammatory findings. According to the original description, mediolysis is responsible for the development of arterial gaps, which become sites prone to dissecting aneurysms, or arterial luminal occlusion. Massive life-threatening intra-abdominal or retroperitoneal hemorrhage, splanchnic ischemia, or organ injury are the results of such arterial disease.
From 1976 to 2012, 85 cases of SAM were compiled and systematically reviewed by Shenouda et al.,6 which showed that SAM occurred mostly in the sixth decade of life with a slight predominance among men (male:female ratio is 1.5:1), and that systemic arterial hypertension was the unique associated comorbidity (found in 21% of the cases). Inada et al.7 showed the mortality rate of 50% associated with aneurysm rupture.
The case reported herein fulfilled the epidemiological and clinical features of SAM. Despite the multiple aneurysms presented in our patient's imaging studies, the ruptured aneurysm was of the middle colic artery, which is frequently found in descriptions of the literature. Along with the involvement of the abdominal arteries, SAM is also described in the CNS (mostly in the internal carotids and vertebral arteries), renal arteries, aorta, and iliac arteries. The celiac trunk, splenic artery, hepatic artery (commonly, or its branches), middle colic artery, and gastroepiploic artery are the most involved abdominal vessels, in descending order of appearance.6,7 The involvement of the pericardial arteries has been reported in neonates, children, and young patients.8-11 In one-third of cases, multiple arterial lesions are observed mostly within the abdominal cavity,7,11 and the simultaneous involvement of the CNS and splanchnic arteries also has been reported.12,13 Although incidentally diagnosed, asymptomatic cases have been reported, and subclinical presentation cases are suspected, the clinical features of SAM are mainly characterized by abdominal pain, abdominal distension, and shock, which are followed by neurologic symptoms.6,7,14-16 Our patient presented imaging evidence of different phases of SAM; therefore, we deduced that the disease may have previously started without symptoms. At the time of the middle colic artery’s dissection and rupture, the patient's complaint became disabling. It is probable that the initial episode of pain and intestinal habit alteration was due to the involvement of the left colic artery, which was revealed as entirely altered at the imaging examination.
Based on the morphologic changes, Slavin17 proposed that SAM is a vasospastic disorder due to hyperdense areas of alpha-1 adrenergic receptor on the membrane of the arterial medial smooth muscle cells. The hyperactivation of the muscle fibers promotes a cytoplasmic Ca+ overload with consequent mitochondrial dysfunction, mediolysis, and/or apoptosis easing the detachment of the outer media from the adventitia. Nonetheless, the association of some cases of SAM with autoimmune diseases (e.g. systemic lupus erythematosus, Crohn's disease, Grave's disease, thyroiditis, and the presence of immunoglobulin G (IgG), IgM and the demonstration of the presence of complement’s components in the affected vessel wall, also favor the possibility of an immunological mechanism in the pathogenesis of SAM.18-21 The clinical history in the present case did not show evidence of any administered sympathomimetic drugs, weight-reducing or muscle-building agents that could trigger an abnormal adrenergic response. However, this hypothesis cannot be ruled out due to the acute presentation and the limited clinical data.
The diagnosis of SAM relies on angiographic and histologic findings. The angiographic findings overlap with inflammatory vasculitis and collagen diseases, and include arterial dilation, single or multiple aneurysms, arterial stenosis, dissecting hematomas, and arterial occlusion.7,14,16 Histologic features include an acute injurious phase and a reparative phase. The initial lesion or mediolysis occurs in segments of the arterial bed. It is caused by cytoplasmic vacuolization of a circumferential sector or the entirety of the outer media smooth muscle cells that may evolve to the whole media, preserving the intima and internal elastica. This pattern of injury, when healed after granulation tissue repair, renders stenosis very similar to the histologic findings of fibromuscular dysplasia (FMD). Mediolysis may also be accompanied by the loss of the intima, and internal elastica, forming arterial gaps with subsequent saccular or fusiform aneurysms development. These aneurysms can rupture or resolve, depending on their size. Nevertheless, a dissecting aneurysm also may arise at the intact arterial wall of the gap, continuing the dissection between the outer media and the adventitia.16 These injury phases may be found concomitantly in different arteries or in different segments of the same vessel in the first weeks of bleeding.16 Our patient's histologic findings were consistent with the diagnosis of SAM. Unfortunately, the sampling of many other abdominal arteries for histology and pathologic examination was limited by the huge abdominal hematoma, although some of the main branches could be examined. Crucially, we managed to demonstrate the acute and chronic injurious phases of SAM in the sampled arteries.
The differential diagnosis of SAM depends on the phase of the arterial lesions and includes cystic medial necrosis; systemic and inflammatory vasculitis (e.g. polyarteritis nodosa, Behçet syndrome); mycotic aneurysm; collagen vascular diseases (e.g. Ehler-Danlos syndrome); splanchnic atherosclerotic aneurysms; and FMD.22 Each one has its typical clinical or histologic features that permit their differentiation in most cases. The epidemiological, clinical, and histologic features presented by our patient were not consistent with any of the aforementioned diagnostic possibilities. Some cases diagnosed in the advanced stage of the reparative phase of SAM may show close similarity with FMD. However, these two entities exhibit different ages of onset, sex, distribution of the affected arteries, and clinical symptoms. In our case, we could evidence all the phases of SAM in different vascular beds.23 We dared to consider the pulmonary, renal, and splenic arterial findings (which resembled an FMD lesion) as an advanced reparative phase of SAM in the lung, which widened the spectrum of arterial involvement of our case to the bronchial vessels. In a recent review, Kim et al.24 found 101 cases of SAM in a total of 76 studies, with 22% of SAM-related mortality and very rare involvement of arteries outside the abdomen.
Our case set great store by the autopsy in revealing this uncommon diagnosis. Without the autopsy study, it is likely that this case would have been interpreted as an atherosclerotic splanchnic aneurysm, and the extension to the lung and spleen would not have been detected. We also call attention to this diagnostic possibility and strongly advise the angiographic study in older patients with abdominal pain of an unknown cause.
ACKNOWLEDGEMENTS
The authors thank Dr. Richard Slavin for consultation on the pathological findings.
Felipe-Silva A and Campos FPF contributed equally to the article.
REFERENCES
1 Fortner G, Johansen K. Abdominal aortic aneurysms. West J Med. 1984;140(1):50-9. PMid:6702193
2 Ruffer MA. On arterial lesions found in Egyptians mummies. J Pathol & Bact. 1911;XV:453.
3 Stehbens WE. History of aneurysms. Med Hist. 1958;2(4):274-80. PMid:13599778 http://dx.doi.org/10.1017/S0025727300023978
4 Fye WB. Profiles in Cardiology. Giovanni Maria Lancisi, 1654-1720. Clin Cardiol. 1990;13(9):670-1. PMid:2208828 http://dx.doi.org/10.1002/clc.4960130917
5 Slavin RE, Gonzalez-Vitale JC. Segmental mediolytic arteritis: a clinical pathological study. Lab Invest. 1976;35(1):23-9. PMid:940319
6 Shenouda M, Riga C, Naji Y, Renton S. Segmental arterial mediolysis: a systematic review of 85 cases. Ann Vasc Surg. 2014;28(1):269-77. PMid:23988553 http://dx.doi.org/10.1016/j.avsg.2013.03.003
7 Inada K, Maeda M, Ikeda T. Segmental arterial mediolysis: unrecognized cases culled from cases of ruptured aneurysm of abdominal visceral arteries reported in the Japanese literature. Pathol Res Pract. 2007;203(11):771-8. PMid:17920781 http://dx.doi.org/10.1016/j.prp.2007.07.010
8 Slavin RE, Inada K. Segmental arterial mediolysis with accompanying venous angiopathy: a clinical pathologic review, report of 3 new cases, and comments on the role of endothelin-1 in its pathogenesis. Int J Surg Pathol. 2007;15(2):121-34. PMid:17478765 http://dx.doi.org/10.1177/1066896906297684
9 Slavin RE, Cafferty L, Cartwright J Jr. Segmental mediolytic arteritis: a clinicopathologic and ultrastructural study of two cases. Am J Surg Pathol. 1989;13(7):558-68. PMid:2660608 http://dx.doi.org/10.1097/00000478-198907000-00003
10 Lie JT, Berg KK. Isolated fibromuscular dysplasia of the coronary arteries with spontaneous dissection and myocardial infarction. Hum Pathol. 1987;18(6):654-6. PMid:3596585 http://dx.doi.org/10.1016/S0046-8177(87)80368-4.
11 Inada K, Ikeda T. Fifty-two cases of segmental arterial mediolysis (SAM). Pathol Clin Med. 2008;26:185-94.
12 Ro A, Kageyama N, Takatsu A, Fukunaga T. Segmental arterial mediolysis of varying phases affecting both the intra-abdominal and intracranial vertebral arteries: an autopsy case report. Cardiovasc Pathol. 2010;19(4):248-51. PMid:19375356 http://dx.doi.org/10.1016/j.carpath.2009.02.002
13 Sakata N, Takebayashi S, Shimizu K, et al. A case of segmental mediolytic arteriopathy involving both intracranial and intraabdominal arteries. Pathol Res Pract. 2002;198(7):493-500. PMid:12234069 http://dx.doi.org/10.1078/0344-0338-00290
14 Kalva SP, Somarouthu B, Jaff MR, Wicky S. Segmental arterial mediolysis: clinical and imaging features at presentation and during follow-up. J Vasc Interv Radiol. 2011;22(10):1380-7. PMid:21840227 http://dx.doi.org/10.1016/j.jvir.2011.07.001
15 Takagi C, Ashizawa N, Eishi K, Hatashi T, Tanaka K, Seto S, Yano K. Segmental mediolytic arteriopathy involving celiac to splenic and left renal arteries. Inter Med. 2003;42:818-23.
16 Slavin RE. Segmental arterial mediolysis: course, sequelae, prognosis and pathologic-radiologic correlation. Cardiovasc Pathol. 2009;18:352-60.
17 Slavin RE. Segmental arterial mediolysis: a review of a proposed vascular disease of the peripheral sympathetic nervous system: a density disorder of the alpha-1 adrenergic receptor? J Cardiovasc Dis Diagn. 2015;3(2):190.
18 Inayama Y, Kitamura H, Kitamura H, Tobe M, Kanisawa M. Segmental mediolytic arteritis; clinicopathologic study and three-dimensional analysis. Acta Pathol Jpn. 1992;42(3):201-9. PMid:1570742
19 Juvonen T, Niemelä O, Reinilä A, Nissinen J, Kairaluoma MI. Spontaneous intraabdominal haemorrhage caused by segmental mediolytic arteritis in a patient with systemic lupus erythematosus: an underestimated entity of autoimmune origin? Eur J Vasc Surg. 1994;8(1):96-100. PMid:8307224 http://dx.doi.org/10.1016/S0950-821X(05)80128-8.
20 Juvonen T, Räsänen O, Reinilä A, et al. Segmental mediolytic arteritis: electronmicroscopic and immunohistochemical study. Eur J Vasc Surg. 1994;8(1):70-7. PMid:8307220 http://dx.doi.org/10.1016/S0950-821X(05)80124-0.
21 Basso MC, Flores PC, Marques AA, et al. Bilateral extensive cerebral infarction and mesenteric ischemia associated with segmental arterial mediolysis in two young women. Pathol Int. 2005;55(10):632-8. PMid:16185293 http://dx.doi.org/10.1111/j.1440-1827.2005.01881.x.
22 Filippone EJ, Foy A, Galanis T, et al. Segmental arterial mediolysis: report of 2 cases and review of the literature. Am J Kidney Dis. 2011;58(6):981-7. PMid:21872379 http://dx.doi.org/10.1053/j.ajkd.2011.05.031
23 Pillai AK, Iqbal SI, Liu RW, Rachamreddy N, Kalva SP. Segmental arterial mediolysis. Cardiovasc Intervent Radiol. 2014;37(3):604-12. PMid:24554198 http://dx.doi.org/10.1007/s00270-014-0859-4
24 Kim HS, Min SI, Han A, Choi C, Min SK, Ha J. Longitudinal evaluation of segmental arterial mediolysis in splanchnic arteries: case series and systematic review. PLoS One. 2016;11(8):e0161182. PMid:27513466 http://dx.doi.org/10.1371/journal.pone.0161182
Notes
Author notes
Correspondence Aloísio Felipe-Silva Anatomic Pathology Service - Hospital Universitário - Universidade de São Paulo (USP) Avenida Professor Lineu Prestes, 2565 CEP: 05508-000 Phone: +55 (11) 3091-9384 aloisiosilva@hu.usp.br
Conflict of interest declaration