Article / Autopsy Case Report
Rupture of an ascending aortic aneurysm as a cause of sudden death
Rupture of an ascending aortic aneurysm as a cause of sudden death
Autopsy and Case Reports, vol. 6, no. 3, pp. 23-28, 2016
Hospital Universitário da Universidade de São Paulo
Received: 29 April 2016
Accepted: 02 August 2016
ABSTRACT: An 84-year-old female patient was brought to the emergency department in cardiac arrest. Cardiopulmonary resuscitation maneuvers were performed but were unsuccessful. The patient had a past medical history of systemic arterial hypertension with target-organ lesions, including stroke and myocardial infarction. The autopsy was carried out, and the most striking finding was cardiac tamponade due to the rupture of an ascending aortic aneurysm at the site of a complex atheromatous plaque. Rupture is the most serious complication of a thoracic aneurysm and must be considered in the differential diagnosis of sudden death.
Keywords: Aortic Aneurysm, Death, Sudden, Atherosclerosis.
CASE REPORT
An 84-year-old female patient was brought to the emergency department (ED) by the Pre Hospital Service in cardiac arrest (asystole). She had collapsed in the presence of relatives 30 minutes before, and the resuscitation maneuvers began 10 minutes before the hospital admission. In the ED, the cardiopulmonary resuscitation protocol for asystole lasted for a further 25 minutes, but was not successful. The relatives reported a previous medical history of systemic arterial hypertension (SAH), dilated cardiomyopathy, myocardial infarction, peripheral arterial disease, stroke, and transient ischemic attack. The autopsy was carried out with the agreement of the family.
AUTOPSY FINDINGS
The corpse weighed 78.0 kg and measured 1.69 m. The external examination was unremarkable with no signs of trauma. At the opening of the pleural and peritoneal cavities, no effusions were present. The mediastinal fat had hemorrhagic spots. The pericardial sac was bulging and tense, and after opening, a clot was found inside measuring approximately 750.0 mL in volume (Figure 1A). The heart weighed 430.0 g (mean reference value [mRV]: = 260 g) and had a thick layer of epicardial fat. The ventricular free walls were thickened, measuring 0.8 cm on the right (RV = 0.5 cm) and 2.0 cm on the left (RV = 1.5 cm), with a regular, brownish, and firm myocardial cut surface. The histologic exam showed cardiomyocyte hypertrophy and cytoplasmic lipofuscin pigment. The atrioventricular valves had myxoid degeneration. The main coronary artery branches had atheromatous plaques, which obstructed at least 25% of the lumen.

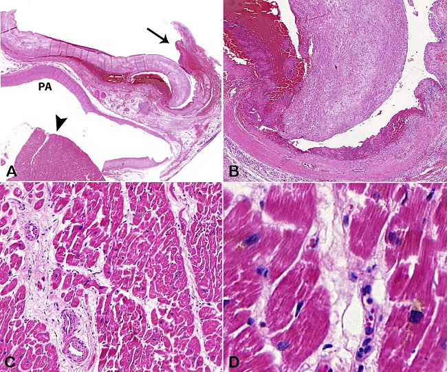
An ascending aortic aneurysm was detected, measuring about 8.5 cm in diameter (Figure 1B). At the opening of the arterial lumen, the endothelial surface was caked with atherosclerotic plaque. An area of the plaque was ruptured in the intra-pericardial portion of the ascending aorta (Figure 1C and 1D). On the left side, there was a dissection of the aortic wall measuring 6.0 cm in length from the point of rupture. The microscopy showed fractured atherosclerotic plaques covered by thrombi, and bleeding in the media and adventitia producing delamination of the arterial wall with rupture and moderate neutrophilic infiltration (Figure 2A and 2B). The aortic branches had hard walls with ulcerated and calcified atherosclerotic plaques. The myocardial had interstitial fibrosis and cardiomyocyte hypertrophy (Figure 2C and 2D).

The right kidney weighed 152.0 g, and the left kidney weighed 188.0 g (both RV = 120-150 g). The renal capsule was easily detached and the renal surface was finely granular, bilaterally. At microscopy, the findings were: glomerulosclerosis; focuses of interstitial chronic inflammatory infiltrate with fibrosis and atrophic tubules; and acute tubular necrosis and arteriolosclerosis.
In the brain, discrete atherosclerosis of the circle of Willis and a glial scar formation in the white matter of the temporal lobe was observed, and measured 2.0 cm in diameter. Other pathologic findings included lungs with chronic inflammatory peribronchial infiltration (lymphocytes and monocytes) and centrilobular emphysema with mild bronchitis; liver with microgoticular steatosis and intense sinusoidal congestion (“nutmeg liver”); and chronic cystitis and an intramural uterine leiomyoma.
DISCUSSION
The autopsy case reported herein represents a death as a consequence of a complication of SAH and generalized atherosclerosis. The patient experienced sudden death due to the rupture of an atherosclerotic plaque in an ascending aortic aneurysm, with dissection, followed by hemopericardium, which produced cardiac tamponade and hypovolemic shock. The autopsy also revealed lesions in target organs produced by the atherosclerosis and the SAH, such as myocardial fibrosis, nephrosclerosis, and a glial scar from a previous stroke. These findings revealed poor long-term control of SAH.
The aortic dissection observed at the macroscopic exam can be classified as Stanford type A (when the aortic dissection involves the ascending aorta). In this case, the dissection was associated with a fusiform aortic aneurysm. Most of the thoracic aortic aneurysms (TAA) are consequent to degenerative diseases affecting the vascular wall, and atherosclerosis is responsible for almost one-third of all cases of aortic aneurysmal disease. Without treatment, especially regarding the control of SAH, the TAA evolves slowly, with progressive dilatation. The most common complications of an aortic aneurysm are dissection and rupture, which are important causes of death in the USA.1-4 It is important to explain that aneurysms can be complicated by wall rupture without dissection, and arterial wall dissection can occur without aneurysm.1-4
Aortic dissection has an incidence of 2.9 per 100,000 inhabitants/year and predominantly affects men between 60 and 80 years of age. Its main risk factors are high blood pressure (hypertension), dyslipidemia, smoking, Marfan syndrome, Ehlers-Danlos syndrome, Turner syndrome, other connective tissue diseases, previous aortic valve disease, cerebral aneurysm, and family history.5,6 Tertiary syphilis, with cardiovascular manifestation, classically dilates the ascending aorta and causes aortic valve regurgitation due to plasmacytic vasculitis involving the vasa vasorum in the adventitia. In atherosclerotic disease, the inflammation of the arterial wall is seen in the media and surrounds the atheromatous plaque.7,8
The clinical picture of aortic dissection includes chest pain radiating to the back, which, occasionally, can be associated with pulse asymmetry, syncope, stroke, myocardial infarction, aortic insufficiency, and acute heart failure. These signs and symptoms are more common in cases with a Stanford type A dissection.1,2,9 Rupture of an aneurysm is considered the most serious complication, and can occur because of a weakness of the wall or an atherosclerotic penetrating ulcer, which produces an intramural hematoma, dissection, and subsequent rupture. The rupture of an ascending aorta aneurysm occurs inside the pericardial sac or in the thoracic cavity (most commonly in the left hemithorax), producing intense chest pain, hypotension, shock, and sudden death.1,2 Cardiac tamponade is observed when the aneurysm rupture goes into the pericardial sac, as observed in this reported case. Occasionally, the aneurysm rupture passes into the esophagus through an aortoesophageal fistula.10 In a cohort study on acute aortic dissection with 1,079 patients enrolled, Nienaber et al.3 found that women were less likely to have aortic dissection (346 cases [32.1%]). However, the women were older and arrived later at the hospital to get medical assistance than the men, and were more likely to have neurologic signs (coma), aneurysm rupture (periaortic, pericardial, or pleural), shock, cardiac tamponade, higher in-hospital mortality, and a worse surgical outcome. In a similar cohort study, Gilon et al.11 found 126 cases of cardiac tamponade (18.7%) among 674 patients with Stanford type A aortic dissection, with a 54% mortality rate. In a retrospective study evaluating ruptured TAA in Stockholm, Sweden, Johansson et al.12 found a total of 158 cases in 1980 and 1989, with 41% of the cases arriving alive in the ED, but with an overall mortality rate near to 100%. In the city of Malmö, Sweden, Svensjö et al.13 found 63 cases of death due to the rupture of the thoracic aorta in the autopsy records from 1958 to 1985, with an incidence of 0.9/100,000 for men and 1.0 per 100,000 for women.
The size of the thoracic aneurysm can predict the risk of rupture. Davies et al.14 analyzed data from 721 patients with TAA; those patients with aneurysms greater than 6.0 cm in diameter had a 27-fold risk increase for rupture in a 5-year follow-up, with rupture and death occurring at a rate of 3.7% and 11.8% per year, respectively. In the case reported here, the patient had an aneurysm measuring 8.5 cm in diameter.
For medicolegal reasons, or to evaluate the quality of medical assistance, a pathologist must give an estimate of the extent, localization, and time of the rupture, which are revealed during the autopsy of a deceased person from an aortic aneurysm rupture. This issue was competently addressed by Ma and Ang15 in the case report of an 82-year-old woman who died from spontaneous rupture of the descending thoracic aorta distal to the left subclavian artery ostium through an atheromatous plaque, without exhibiting a local aneurysm. Deaths immediately after such a rupture show an acute inflammatory response with neutrophils in the vessel wall. Signs of healing indicate that the rupture is old: tissue granulation and fibrosis appear after a week; and chronic pericarditis, fistula formation, and false aneurysm appear after 2-3 weeks.15-18 In the case reported here, we could find hemorrhage and a discrete leukocyte infiltration in the adventitia by the area of rupture, indicating immediate death after the event. In many cases, the diagnosis of an aneurysm and its rupture is only made at autopsy. Vázquez Muñiz and Delgado Osorio19 evaluated 16 patients with acute dissection of the thoracic aorta. The type A dissection was more common (88%) and the overall mortality was 93%, with eight cases (50%) diagnosed at autopsy. Nine cases had cardiac tamponade (56%). Young and Ostertag20 found 114 cases of aortic aneurysms, 95.6% due to atherosclerosis and SAH, among 3,375 autopsied cases during 5 years in Germany. The percentage of thoracic aneurysms, thoracic aneurysms with rupture, and rupture as the immediate cause of death were 22.8%, 41.2%, and 65.4%, respectively. SAH was a high risk factor for aneurysm rupture in this study.20
The present case represents how a thoracic aneurysm can be the cause of sudden death and must be listed in the differential diagnosis made by all doctors working in an ED. The diagnosis in the emergency room can be performed with imaging auxiliary methods, such as a bedside ultrasound or computed tomography, and the thoracic and cardiac surgery teams must be immediately activated.21 However, the mortality rate is very high, even when the patients arrive alive at the hospital.11,12,14,19 Preventive health measures should be implemented for people with aortic aneurysms, such as blood pressure control, smoking cessation, and close observation of the aneurysm using imaging exams with surgical intervention, when properly indicated, to avoid lethal outcomes.1,2
REFERENCES
1 Hiratzka LF, Bakris LG, Beckman JA, et al. 2010 ACCF / AHA / AATS / ACR / ASA / SCA / SCAI / SIR / STS / SVM guidelines for the diagnosis and management of patients with Thoracic Aortic Disease: a report of the American College of Cardiology Foundation / American Heart Association Task Force on Practice Guidelines, American Association for Thoracic Surgery, American College of Radiology, American Stroke Association, Society of Cardiovascular Anesthesiologists, Society for Cardiovascular Angiography and Interventions, Society of Interventional Radiology, Society of Thoracic Surgeons, and the Society for Vascular Medicine. Circulation. 2010;121(13):E266. http://dx.doi.org/10.1161/CIR.0b013e3181d4739e. PMid:20233780
2 Isselbacher MS. Thoracic and abdominal aortic aneurysms. Circulation. 2005;111(6):816-28. http://dx.doi.org/10.1161/01.CIR.0000154569.08857.7A. PMid:15710776
3 Nienaber CA, Fattori R, Mehta RH, et al. Gender-related differences in acute aortic dissection. Circulation. 2004;109(24):3014-21. http://dx.doi.org/10.1161/01.CIR.0000130644.78677.2C. PMid:15197151
4 Tsai TT, Nienaber CA, Eagle KA. Acute aortic syndromes. Circulation. 2005;112(24):3802-13. http://dx.doi.org/10.1161/CIRCULATIONAHA.105.534198. PMid:16344407
5 Meszaros I, Morocz J, Szlávi J, et al. Epidemiology and clinicopathology of aortic dissection. Chest. 2000;117(5):1271-8. http://dx.doi.org/10.1378/chest.117.5.1271. PMid:10807810
6 Coady MA, Davies RR, Roberts M, et al. Familial thoracic aortic aneurysms of patterns. Arch Surg. 1999;134:361. http://dx.doi.org/10.1001/archsurg.134.4.361. PMid:10199307
7 Kennedy JL, Barnard JJ, Prahlow JA. Syphilitic coronary artery ostial stenosis resulting in acute myocardial infarction and death. Cardiology. 2006;105(1):25-9. http://dx.doi.org/10.1159/000088337. PMid:16179782
8 Cabot RC, Scully RE, Mark EJ, et al. Case records of the Massachusetts General Hospital. Weekly clinicopathological exercises: case 10-1998. A 46-year-old man with chest pain and coronary ostial stenosis. N Engl J Med. 1998;338(13):897-903. http://dx.doi.org/10.1056/NEJM199803263381308. PMid:9518283
9 Hagan PG, Nienaber CA, Isselbacher IN, et al. The International Registry of Acute Aortic Dissection (IRAD): new insights into an old disease. JAMA. 2000;283(7):897-903. http://dx.doi.org/10.1001/jama.283.7.897. PMid:10685714
10 Ambepitiya SG, Michiue T, Bessho Y, Kamikodai Y, Ishikawa T, Maeda H. An unusual presentation of thoracic aortic aneurysm rupturing into the esophagus: an autopsy case report. Forensic Sci Med Pathol. 2010;6(2):121-6. http://dx.doi.org/10.1007/s12024-009-9137-1. PMid:20087793
11 Gilon D, Mehta HR, Oh JK, et al. Characteristics and in-hospital outcomes of patients with cardiac tamponade complicating acute aortic dissection type A. Am J Cardiol. 2009;103(7):1029-31. http://dx.doi.org/10.1016/j.amjcard.2008.12.013. PMid:19327436
12 Johansson G, Markström U, Swedenborg J. Ruptured thoracic aortic aneurysms: a study of incidence and mortality rates. J Vasc Surg. 1995;21(6):985-8. http://dx.doi.org/10.1016/S0741-5214(95)70227-X. PMid:7776479
13 Svensjö S, Bengtsson H, Bergqvist D. Thoracic and thoracoabdominal aortic aneurysm and dissection: an investigation based on autopsy. Br J Surg. 1996;83(1):68-71. http://dx.doi.org/10.1002/bjs.1800830122. PMid:8653370
14 Davies RR, Goldstein LJ, Coady MA, et al. Yearly rupture or dissection for thoracic aortic aneurysms rates: simple prediction based on size. Ann Thorac Surg. 2002;73(1):17-27, discussion 27-8. http://dx.doi.org/10.1016/S0003-4975(01)03236-2. PMid:11834007
15 Ma TK, Ang LC. Spontaneous rupture of thoracic aorta through an atheromatous plaque: case report and literature review. Am J Forensic Med Pathol. 1996;17(1):38-42. http://dx.doi.org/10.1097/00000433-199603000-00006. PMid:8838468
16 Shkrum MJ, Silver MD. Delayed rupture of spontaneous tear to the ascending aorta-report of two fatalities. Pathology. 1992;24(3):146-9. http://dx.doi.org/10.3109/00313029209063162. PMid:1437285
17 Gore I, Seiwert VJ. Dissecting aneurysm of the aorta: pathologic aspects: an analysis of eighty-five fatal cases. Arch Pathol Lab Med. 1952;53(2):121-41. PMid:14884830
18 Braunstein H. Pathogenesis of dissecting aneurysm. Circulation. 1963;28(6):1071-80. http://dx.doi.org/10.1161/01.CIR.28.6.1071. PMid:14082920
19 Vázquez Muñiz CA, Delgado Osorio H. Acute dissection of the thoracic aorta: experience at the Puerto Rico Medical Center (1991 through 1995). Bol Asoc Med P R. 1997;89(10-12):161-6. PMid:9580383
20 Young R, Ostertag H. Incidence, etiology and risk of rupture of aortic aneurysm. An autopsy study. Dtsch Med Wochenschr. 1987;112(33):1253-6. http://dx.doi.org/10.1055/s-2008-1068231. PMid:3608854
21 Neves FF, Pazin A Jr, Santos JC, Nogueira-Barbosa MH, Elias J Jr, Muglia VF. Acute type A aortic dissection and cardiac tamponade. J Emerg Med. 2011;40(1):62-4. http://dx.doi.org/10.1016/j.jemermed.2008.01.030. PMid:19022611
Notes
Author notes
Correspondence Amaro Nunes Duarte Neto Pathology Department - Faculty of Medicine - University of São Paulo Av. Dr. Arnaldo, 455 - Cerqueira Cesar - São Paulo/SP - Brazil CEP: 01246-903 Phone: +55 (11) 98546-4225 amaro.ndneto@hc.fm.usp.br
Conflict of interest declaration