Article / Clinical Case Report
Giant keratocystic odontogenic tumor: a challenging diagnosis
Giant keratocystic odontogenic tumor: a challenging diagnosis
Autopsy and Case Reports, vol. 6, no. 3, pp. 41-46, 2016
Hospital Universitário da Universidade de São Paulo
Received: 09 March 2016
Accepted: 21 June 2016
ABSTRACT: The keratocystic odontogenic tumor, although a benign lesion, is peculiarly aggressive with a high recurrence rate. Its involvement with the maxillary antrum is atypical. We report the unusual case of a 20-year-old male patient with an extensive antral tumor associated with an impacted third molar, which was initially misdiagnosed as a dentigerous cyst. Clinical, radiographic, and histopathologic aspects were analyzed to provide useful information for the correct diagnosis, treatment, and prognosis within a multidisciplinary approach.
Keywords: Carnoy's solution, Molar, Third, Maxillary Sinus, Odontogenic Tumors.
INTRODUCTION
The odontogenic keratocyst (OKC) was first described by Philipsen in 1956 as an odontogenic cyst with a keratinous epithelial lining and its distinctive histological features were elaborated by Pindborg and Hansen in 1962.1 However, in 1967, Toller suggested that the OKC should rather be regarded as a benign neoplasm and not as a typical cyst.2 Ever since Mikulicz presented the first case of OKC, in 1876, as a “dermoid cyst,” this interesting lesion has been the subject of debate owing to its varied origin, debated development, peculiar behavior, unique tendency to recur, and disputed treatment modalities.3
Keratocystic odontogenic tumors (KCOTs) are very aggressive with high mitotic counts and epithelial turnover rates, and a relatively high recurrence rate.4 Additionally, the epithelial lining is not as inactive as that of other cysts and appears to have an innate growth potential, as observed with a benign tumor.1 These are designated as a consistent finding in Gorlin syndrome.5 Based on their biological behavior, neoplastic features, and recent research in genetics, the WHO in 2005 reclassified OKC as KCOT, which is now defined as a benign unicystic or multicystic, intraosseous tumor of odontogenic origin, with a characteristic lining of parakeratinized stratified squamous epithelium and potential for aggressive, infiltrative behavior.6,7 KCOT is a benign developmental intraosseous neoplasm of the jaws arising from cell rests of the dental lamina (the oral epithelial lining of the developing tooth follicle) and an extension of basal cells of overlying oral epithelium.1
KCOT is predominant in males; it occurs mainly in the second and third decade of life, and is most frequently found in the posterior body of the mandible and ascending ramus.7 In the maxilla, the canine region is the most common location for KCOT, and it is quite unusual for it to occur in the maxillary sinus. Less than 1% of KCOTs are involved with the maxillary sinus.4,8 Clinically, KCOT is a fast-growing expansive lesion when it is involved near the maxillary sinus. It could easily expand to an enormous size occupying the entire maxilla. Maxillary sinus is a less dense structure, thus allowing the rapid growth of the lesion.7 Such an extensive lesion involving an unusual site often presents with diagnostic and, therefore, therapeutic challenges.
The purpose of this report is to present a rare case of KCOT in the maxillary sinus associated with an impacted tooth in a young Asian male. In addition, we discuss relevant issues about the diagnosis, management, and prognosis of these lesions, within a multidisciplinary approach.
CASE REPORT
A 20-year-old male patient reported for an evaluation of a right-side, unilateral, painless facial swelling of 6 months' duration. The patient was apparently healthy with no significant medical, dental, or surgical history. On systematic clinical examination, a diffused swelling was evident, which extended from the right ala of the nose to the right outer canthus of the eye mediolaterally, and from the infra-orbital region to the level of right commissure, without the presence of lymphadenopathy (Figure 1).

A thorough intraoral examination disclosed a diffuse soft swelling of 5 × 3 cm diameter along the right maxillary alveolus, which caused the obliteration of the buccal vestibule and extended from the maxillary right canine to the maxillary right second molar region. Upon digital compression, the swelling was soft and fluctuant in consistency, which indicated buccal cortical plate resorption. All teeth were negative to percussion and mobility tests. No visual disturbance or nasal obstruction were reported or observed.
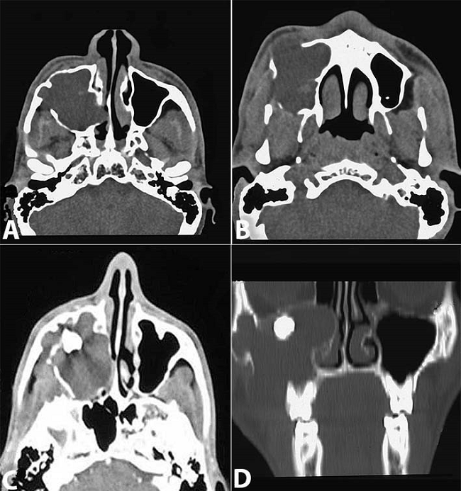
Routine laboratory parameters were normal. Radiological examination depicted a single unilocular radiolucency with smooth, corticated margins extending from the root apex of the right maxillary canine to the right maxillary tuberosity region. The radiolucency was associated with an impacted maxillary right third molar displacing it superiorly into the opacified right maxillary antrum. Destruction of the posterior wall of the sinus was also evident. The involved teeth showed no deviation; however, slightly resorbed roots were detected with right maxillary first and second premolars and right maxillary first molar. To visualize the lesion in more detail, computed tomography (CT) was performed, which revealed a large, well-defined, non-enhancing, hypodense osteolytic lesion (5.2 × 5 × 4.7 cm) with a well-defined margin. The lesion involved the right maxillary bone and the maxillary sinus, and caused complete opacification of the right antrum and displacement of the right maxillary third molar to the anteromedial wall of the sinus (Figure 2). The expansile cystic lesion caused thinning of the antral walls and erosion of the buccal cortical bone of the right maxillary bone. Based on these observations, a tentative pre-operative diagnosis of dentigerous cyst associated with the right maxillary third molar was proposed.

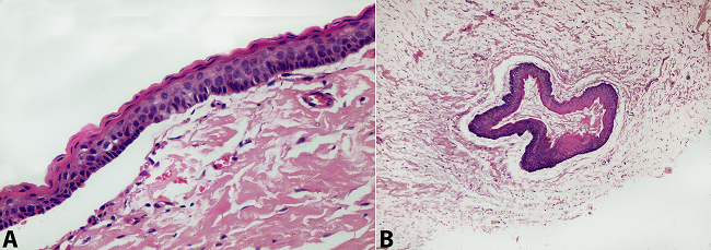
An incisional biopsy was performed and the histopathological examination of hematoxylin and eosin stained sections revealed a cystic mass lined by a parakeratinized stratified squamous epithelium of variable thickness (four to eight cell layers). The epithelium showed a lack of rete ridges, a distinctive basal layer with palisaded and hyperchromatic nuclei, surface corrugations, and detachment from the capsule in focal areas (Figure 3A). The connective tissue capsule was loose to moderately dense, and was fibro cellular in nature showing spindle shaped fibroblasts and foci of chronic inflammatory infiltrate composed of lymphocytes, macrophages, and plasma cells. A few daughter cysts and odontogenic rests were also seen within the capsule (Figure 3B).

The histopathological findings were suggestive of KCOT. After careful evaluation, the expansile maxillary tumor was enucleated as a whole using the Caldwell-Luc procedure. The associated impacted right maxillary third molar was simultaneously removed to avoid tumor fragmentation, and prophylactic chemical cauterization was done using Carnoy's solution. Betadine irrigation was performed and the borders of the wound were then sutured. The wound healed uneventfully, showing no recurrent sign during the follow-up period of more than 6 years.
DISCUSSION
KCOT, formerly believed to be a cyst, has certain uniquely distinguishable clinical and histologic features.5 The term “odontogenic keratocyst,” as it was previously named, is nonspecific and only indicates keratin formation. The production of keratin is attributed to epithelial squamous metaplasia, which can lead to the keratinization of other odontogenic cysts (dentigerous, radicular, and residual cysts) as well.9,10 The WHO's re-classification of this lesion from cyst to tumor underscores its potential aggressive nature, which indeed is the main difference between KCOT and other jaw cysts. It has an active epithelial component having an innate growth potential and a relatively high recurrence rate. The epithelial lining demonstrates a high mitotic activity and turnover rate.1,4 The increased cell activity is confirmed by elevated levels of oxidative enzymes and acid phosphatase, which is indicative of high metabolic and lysosomal activities. The active epithelial lining may rarely develop into squamous cell carcinoma.11 The epithelium of KCOT has decreased apoptotic activity, allowing the survival of genetically unstable cells. The higher epithelial proliferation rate, and the inhibition of apoptosis of the damaged cells, are important steps in tumor development.7 KCOT exhibits unique growth and biological behavior compared to common cysts, wherein the growth is due to the active proliferation of the epithelial lining. Most of the commonly occurring cysts grow mainly because of the osmotic pressure of the cystic fluid. This pushing type of growth causes the buccal and lingual cortical plate expansion. KCOT, however, behaves like a benign tumor growing by extension rather than by expansion. Here, the osmotic pressure of the cystic fluid is quite low; thus, the extension is along the path of least resistance. The lesion mainly involves the cancellous bone and grows in the anteroposterior direction with little evidence of cortical expansion in the initial stages. They are poor bone resorbers that invade the compact bone much later.1,8,10
Clinically, KCOTs are often asymptomatic; however, they occasionally may cause swelling, pain, discharge, teeth mobility, and invasion of adjacent structures. If secondarily infected, symptoms like pain, swelling, and discharge are not uncommon, wherein the lesion can be easily confused with inflammatory conditions like sinusitis. In this case, the patient had a localized asymptomatic swelling, which is the most commonly reported symptom.4 The swelling was soft and fluctuant, indicating buccal cortical plate resorption, which is not uncommon with large KCOTs in the posterior maxilla.12 The anatomical structure, loose maxillary bone density, and empty space of the maxillary antrum may be the contributing factors for the development of such an expansile tumor in the present case. KCOTs may cause the radicular displacement of adjacent teeth, but root resorption is rare.5 Contrary to this, none of the teeth showed any deviation; however, rhizolysis was detected in three teeth of our patient. Radiographically, KCOT appears as well-defined radiolucency with an osteosclerotic rim, which may be unilocular or multilocular.4 Multilocularity of these lesions is attributed to their tendency to expand through the marrow spaces owing to their active epithelium.13 Scalloped margins are observed in the long standing lesions due to the regional resorption of the surrounding bone.8 Even though KCOTs present a varied radiographic appearance, the lack of cortical expansion appears to be the only reliable radiographic parameter compared with odontogenic cysts or ameloblastomas.6
KCOT can occur anywhere within the jaws and can resemble other lesions that present with similar radiological features. Therefore, many cystic and neoplastic lesions can be considered as the differential diagnosis. These include dentigerous cysts, lateral periodontal cysts, radicular cysts, ameloblastomas, adenomatoid odontogenic tumors, odontogenic myxomas, simple bone cysts, central giant cell granulomas, arteriovenous malformations, and a number of fibro-osseous lesions. It has been shown that an unerupted tooth is involved in the lesion in 25-40% of cases. Thus, clinically and radiologically, it mimics a dentigerous cyst, as was the scenario in the reported case. Therefore, a thorough preoperative differentiation between these lesions is of utmost importance as it leads to the choice of surgical method.4,14 With KCOT involving the maxillary antrum being a rarity, its detection solely by plain radiography may result in misdiagnosis.1 CT and/or magnetic resonance imaging (MRI) examinations can eliminate the superimposition of anatomical structures leading to the three-dimensional geometric accuracy.14 Additionally, these examinations may help to assess the infiltration following cortical perforation and soft tissue involvement.5 Therefore, CT/MRI can aid both diagnosis and preoperative preparation of these lesions involving a rare site, compared to the traditional two-dimensional views.
Even with highly suggestive clinical and radiographic features, KCOT can often be misdiagnosed—and even more so when it involves the maxilla. Therefore, the best way to confirm its diagnosis is by recognizing its characteristic histopathologic features.2 The histopathologic features of KCOT are confirmatory with distinctly different epithelial lining. However, these classic features may be altered by inflammation, which can lead to confusion.6 Histologically, it has the characteristic lining of parakeratinized stratified squamous epithelium with an aggressive clinical presentation.4 Previously considered a subtype, the orthokeratotic variety is currently considered as an “innocent” entity and is still believed to be a developmental odontogenic cyst.14
Histopathologic diagnosis is particularly important for adequate treatment planning and, hence, for preventing recurrences.1 KCOT has a high rate of recurrence (up to 60%), which is comparable only to ameloblastoma.15 The involvement of a tooth—the third molar in particular—is considered to be an important risk factor for the development of recurrence.6 In the present case, KCOT involved the right maxillary antrum along with the right maxillary impacted third molar. The likelihood of recurrences depends on numerous variables, which are yet to be clearly determined. There is no consensus regarding the best treatment option of KCOT, which must be managed in a case-by-case manner. The surgical treatment aims to control potential recurrence with the least possible morbidity.5,6 Following careful assessment, we decided on an antral cystectomy using the Caldwell-Luc procedure, followed by treatment of the cavity with Carnoy's solution. The Caldwell-Luc procedure provides a direct view of the maxillary sinus, and Carnoy's solution kills the epithelial remnants or satellite cysts.1 Carnoy's solution is a tissue fixative that kills epithelial remnants in the osseous margin because it can penetrate bone to a depth of 1.54 mm.8 KCOTs involving the maxillary sinus invariably become large expanded lesions, which present challenges in achieving complete hemostasis in the anatomically delicate areas.7 Such cases, therefore, require a multidisciplinary collaboration between different specializations with careful treatment planning for a favorable prognosis, including the absence of KCOT recurrence. Due to the frequent recurrence of KCOT, patients are recommended to be kept under long-term supervision as recurrences can occur up to 10 years after treatment. However, it is more common during the first 5-7 years.6 Our patient was observed for 6 years after treatment with no evidence of recurrence.
CONCLUSION
The reclassification of KCOT from cyst to tumor underscores its aggressiveness, which should motivate the clinician to manage the disease aggressively. The lesion is unique in terms of its high recurrence rate, and it is a good mimic owing to its variety of clinical and radiographic appearances. Thus, only a cautious approach aided with wisely chosen diagnostic tests can help to make a preoperative diagnosis of this challenging tumor in an unusual site.
REFERENCES
1 Kwon HI, Lim WB, Kim JS, et al. Odontogenic Keratocyst associated with an ectopic tooth in the Maxillary sinus: a report of two cases and a review of the literature. Korean J Pathol. 2011;45(Suppl 1):S5-10. http://dx.doi.org/10.4132/KoreanJPathol.2011.45.S1.S5
2 Chaudhary S, Sinha A, Barua P, Mallikarjuna R. Keratocystic odontogenic tumour (KCOT) misdiagnosed as a dentigerous cyst. BMJ Case Rep. 2013;2013 PMid:23429028
3 El-Hajj G, Anneroth G. Odontogenic keratocysts: a retrospective clinical and histologic study. Int J Oral Maxillofac Surg. 1996;25(2):124-9. http://dx.doi.org/10.1016/S0901-5027(96)80057-9. PMid:8727585
4 Cakur B, Miloglu O, Yolcu U, Göregen M, Gürsan N. Keratocystic odontogenic tumor invading the right maxillary sinus: a case report. J Oral Sci. 2008;50(3):345-9. http://dx.doi.org/10.2334/josnusd.50.345. PMid:18818473
5 Grasmuck EA, Nelson BL. Keratocystic odontogenic tumor. Head Neck Pathol. 2010;4(1):94-6. http://dx.doi.org/10.1007/s12105-009-0146-x. PMid:20237995
6 Sánchez-Burgos R, González-Martín-Moro J, Pérez-Fernández E, Burgueño-García M. Clinical, radiological and therapeutic features of keratocystic odontogenic tumours: a study over a decade. J Clin Exp Dent. 2014;6(3):e259-64. http://dx.doi.org/10.4317/jced.51408. PMid:25136427
7 Byun JH, Kang YH, Choi MJ, Park BW. Expansile keratocystic odontogenic tumor in the maxilla: immunohistochemical studies and review of literature. J Korean Assoc Oral Maxillofac Surg. 2013;39(4):182-7. http://dx.doi.org/10.5125/jkaoms.2013.39.4.182. PMid:24471040
8 Gupta A, Rai B, Nair MA, Bhut MK. Keratocystic odontogenic tumor with impacted maxillary third molar involving the right maxillary antrum: an unusual case report. Indian J Dent Res. 2011;22(1):157-60. http://dx.doi.org/10.4103/0970-9290.79984. PMid:21525696
9 Regezi JA, Sdubba JJ. Oral pathology: clinical-pathologic correlations. 2nd ed. Philadelphia: W.B. Saunders Company; 1993. p. 337-341.
10 R.A .Cawson, E.W.Odell. Cawson's essentials of oral pathology and oral medicine. 8th ed. Edinburgh: Churchill Livingstone; 2008.
11 Scharffetter K, Balz-Herrmann C, Lagrange W, Koberg W, Mittermayer C. Proliferation kinetics-study of the growth of keratocysts: morpho-functional explanation for recurrences. J Craniomaxillofac Surg. 1989;17(5):226-33. http://dx.doi.org/10.1016/S1010-5182(89)80074-5. PMid:2668340
12 Makowski GJ, McGuff S, Van Sickels JE. Squamous cell carcinoma in a maxillary odontogenic keratocyst. J Oral Maxillofac Surg. 2001;59(1):76-80. http://dx.doi.org/10.1053/joms.2001.19297. PMid:11152194
13 Haring JI, Van Dis ML. Odontogenic keratocysts: a clinical, radiographic, and histopathologic study. Oral Surg Oral Med Oral Pathol. 1988;66(1):145-53. http://dx.doi.org/10.1016/0030-4220(88)90082-5. PMid:2457195
14 Koçak-Berberoğlu H, Çakarer S, Brkić A, Gürkan-Koseoglu B, Altuğ-Aydil B, Keskin C. Three-dımensıonal cone- beam computed tomography for dıagnosıs of keratocystıc odontogenıc tumours; evaluatıon of four cases. Med Oral Patol Oral Cir Bucal. 2012;17(6):e1000-5. http://dx.doi.org/10.4317/medoral.17629. PMid:22549670
15 DelBalso AM. An approach to the diagnostic imaging of jaw lesions, dental implants, and the temporomandibular joint. Radiol Clin North Am. 1998;36(5):855-90, vi. http://dx.doi.org/10.1016/S0033-8389(05)70067-1. PMid:9747192
Notes
Author notes
Correspondence Kumar Pushpanshu Department of Dentistry - SriKrishna Medical College & Hospital Muzaffarpur, Bihar - India Pin code: 842001 Phone: +91 (85) 2178-5644 drpushpanshu@yahoo.co.in
Conflict of interest declaration