Article / Clinical Case Report
Isolated fetal lymphatic malformation of the thigh: prenatal diagnosis and follow-up
Isolated fetal lymphatic malformation of the thigh: prenatal diagnosis and follow-up
Autopsy and Case Reports, vol. 7, no. 1, pp. 49-53, 2017
Hospital Universitário da Universidade de São Paulo
Received: 30 August 2016
Accepted: 17 February 2017
ABSTRACT:
Fetal lymphatic malformation can be found in different parts of the fetal body. It occurs most frequently in the nuchal and axillary region and less frequently in the abdomen or inguinal areas. Lymphatic malformation has been associated with fetal aneuploidy, hydrops fetalis, structural malformations, and intrauterine fetal death. A 31-year-old gravida 3, para 2 woman was admitted to our hospital at 22 weeks of gestation (confirmed by ultrasonographic examination). The fetus was alive, and had a mass derived from the left inguinal region extending to the anterior left leg with fluid-filled cavities about 3-5 cm in size. There was no evidence of intra-abdominal extension of the mass. Amniocentesis was performed. Fetal magnetic resonance imaging revealed a left inguinal cystic mass, which extended to the left thigh. Antenatal follow-up was uneventful. The mother gave birth at term with a cesarean section. Postnatal clinical examination and imaging examination confirmed the diagnosis of lymphatic malformation. Fetal lymphatic malformation carries a high risk of aneuploidy and fetal malformations. Patients diagnosed with lymphatic malformation in antenatal follow-up should be assessed in terms of coexistent anomalies. Fetal karyotyping should be done and the fetus should be monitored for fetal hydrops.
Keywords: Fetal Thigh, Lymphatic Malformation, Prenatal Diagnosis.
INTRODUCTION
Lymphatic malformation is a benign, slow-flow vascular lesion composed of dilated lymphatic channels or cysts lined by endothelial cells with a lymphatic phenotype, occurring in different parts of the fetal body.1 It is typically detected in the nuchal (hygroma colli, 75%) and axillary regions (20%). Other locations are the retroperitoneum and intra-abdominal organs (2%), limbs and bones (2%), mediastinum (1%), and retroperitoneal areas.2 A cystic appearance, owing to complete or incomplete obstruction of lymph vessels that prevent communication with the venous system, is characteristic.3 About 50% of these lesions are present at birth and up to 90% become evident by the age of 2 years.2
Lymphatic malformations have been associated with fetal aneuploidy, hydrops fetalis, structural malformations, and intrauterine fetal death.3 In particular, they may be associated with Turner syndrome, Noonan syndrome, trisomy, cardiac anomalies, and fetal hydrops.4 In the present study, we reported the prenatal diagnosis and postnatal progression of a very rare liveborn case with isolated inguinal lymphatic malformation. An informed consent declaration was signed by the patient’s mother.
CASE REPORT
A 31-year-old woman, gravida 3, para 2, was first referred at 22+3 weeks for further evaluation of a cystic lesion in the fetal abdomen. Antenatal follow-up was uneventful until the fifth month of gestation, and the first trimester antenatal aneuploidy screening tests were normal. Her medical history was also normal. On referral, transabdominal sonography was performed by Medison SonoAce X8 system (Seoul, South Korea) and equipped with a 3DC2-5 volumetric probe. A singleton, live, female fetus with irregular subcutaneous cystic mass, measuring 55 × 38mm in size at the widest plane on the left inguinal region was revealed by ultrasound (Figure 1).

Fetal biometry was appropriate for the gestational age. This cystic mass was extending to the left leg until the knee. Color Doppler flow mapping revealed no blood flow within the lesion. The possible diagnosis was fetal inguinal lymphatic malformation. The assessment of amniotic fluid and placenta were normal.
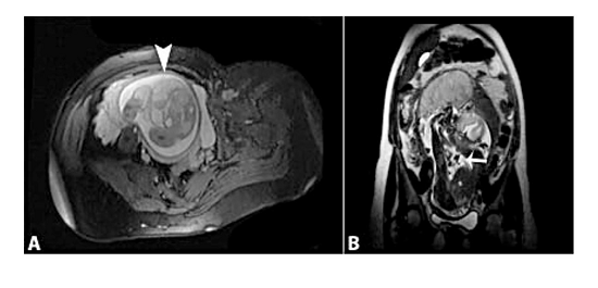
There was no evidence of any other fetal anomalies. The fetal thorax and intra-abdominal organs were normal in the magnetic resonance imaging (MRI) examination (Figure 2).

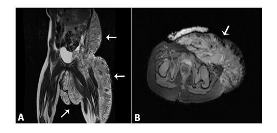
Cytogenetic analysis revealed normal karyotype by genetic amniocentesis. Detailed information was given to the parents about the possible postnatal prognosis. They decided to continue with the pregnancy. Follow-up was uneventful until the 36th week of gestation. The dimensions of the cystic mass remained the same. At 36 weeks gestation, oligohydramnios was diagnosed, and the fetus was small for that gestational age. A 2600 g infant was delivered at 38 weeks’ gestation by cesarean section because of the mother’s previous history of cesarean delivery. In the postnatal examination, a multicystic and translucent mass was seen which had 5 cm maximum diameter without any skin lesion. The mass extended from the left inguinal region to the left thigh, and a hemangioma was detected on the left inguinal region of 25 mm width. No cyst damage occurred during the delivery. The Apgar scores were 7 and 9 after 1 and 5 min, respectively. MRI reported an inguinal lymphatic malformation, and an ultrasound revealed there was no fetal anomaly and no apparent invasion of the mass into the abdominal cavity and the intra-abdominal organs. The MRI detected lymphatic-venous vascular malformation, which was associated with the femoral vein (Figure 3). It was not necessary to schedule any pediatric surgical intervention.

Sclerotherapy was recommended but not accepted by the family. Echocardiography revealed increased aortic gradient and patent foramen ovale. Additional structural anomaly was not detected. Propranolol and sildenafil were started. After 7 days, the patient was discharged and regular clinical examinations were recommended. Heart failure developed during the second year of follow-up.
DISCUSSION
We report a rare case of fetal lymphatic malformation that originated from lower limb. Fetal lymphatic malformation is a congenital malformation in which distended fluid-filled spaces develop. Typically, they are slow-growing benign lesions resulting from a developmental anomaly of the lymphatic system. The incidence is reported to be between 1 in 6,000 and 1 in 16,000 live births.3 They are classified as macrocystic (cystic hygroma), microcystic, and mixed type. Macrocystic lymphatic malformation is composed of collections of large, interconnected lymphatic cysts with overlying normal skin. It is most commonly located in the cervicofacial region, the axilla, or the lateral chest wall. Microcystic lymphatic malformation presents as a cluster of clear, translucent, or hemorrhagic vesicles leaking lymphatic fluid intermittently. The most frequent localizations are proximal extremities, trunk, axilla, and the oral cavity.1 From these definitions, the present case seems to be consistent with uncommon localized macrocytic lymphatic malformation. Detection of these unusual locations occurs in the second half of the pregnancy. In the present case, we also detected it at second trimester with gray scale Doppler ultrasonography.
The distinctive imaging feature of the lymphatic malformation is the absence of blood flow, which is observed with the use of color Doppler ultrasonography to distinguish it from hemangioma.5 In this case, the fetal MRI also provided more information about the infiltration of the lesion to the fetal thoracal structures, and complemented the role of sonography. Traditionally, ultrasonography has been used as the primary screening method for prenatal diagnosis. MRI may provide information about both the anatomy and the extension of the lesion, thus providing the information essential for parental counselling.3 Also, 3D ultrasound helped to identify the lesion clearly and completely, and make the consultation with pediatric surgeons and parents more comprehensive.2
Lymphatic malformation has been associated with fetal aneuploidy, hydrops fetalis, structural malformations, and even fetal death. Thus chromosome examination and genetic sonogram should be recommended for lymphatic malformation due to its association with a poor outcome.6 The obstetric prognosis depends on the volume and the location of the disease. The fetal prognosis varies with the degree of chromosomal anomalies and hydrops.2
In our case, normal karyotype and anatomy were reported; in fact, hydrops was not develop during antenatal follow-up. Actually, only 9% of cases result in healthy children with normal karyotypes, while the rest with chromosome or physical abnormalities are either terminated (89%) or liveborn (2%).7 There are some bad prognosing factors including septation, an appearance in early pregnancy, an increased number of cysts, co-existing malformations, chromosomal abnormalities, and nuchal localization—all of which were absent in our case.3
These malformations do not show spontaneous recovery after childbirth, and need to be actively treated. Recent trends in the management of patients with lymphatic malformations has shifted to a multidisciplinary approach involving intra-lesional sclerotherapy and medical management with surgical resection reserved as a second-line treatment.8 Intra-lesional therapy options include injection of sclerosing agents, such as bleomycin, tetracycline, alcohol, and OK-432.3,9-12 In our case, sclerotherapy was not accepted by the family. Even though hydrops had not developed during the in-utero period, cardiac decompensation occurred 2 years later. Grabb et al.13 reported that there were complete involutions during the following 5 years of follow-up.
To the best of our knowledge, there are four published case reports similar to ours involving a fetal abdominal lymphatic malformation extending to an extremity having been diagnosed by prenatal sonography. In three cases, pregnancy was terminated, and in one case, postnatal surgical resection or sclerotherapy was successfully performed.14,15 Differently from these previous reports, in our case, an isolated inguinal lymphatic malformation was observed without an intra-abdominal component, and was associated by an abnormal femoral vein.
CONCLUSION
Fetal lymphatic malformation carries high risk of aneuploidy and fetal malformation. Fetal karyotyping is recommended because of the co-existing aneuploidies. Since neonatal resuscitation may be needed, pediatricians should be consulted. Patients in antenatal follow-up should be assessed in terms of other anomalies.
REFERENCES
1 Wassef M, Blei F, Adams D, et al. Vascular Anomalies classification: recommendations from the International Society for the Study of Vascular Anomalies. Pediatrics. 2015;136(1):e203-14. PMid:26055853 http://dx.doi.org/10.1542/peds.2014-3673.
2 Schild RL, Orhan Y, Meyberg H, Braunschweig T, Kno¨pfle G, Gembruch U. Three-dimensional ultrasound of a massive fetal lymphangioma involving the lower extremity. Ultrasound Obstet Gynecol. 2003;22(5):547-51. PMid:14618671 http://dx.doi.org/10.1002/uog.915
3 Temizkan O, Abike F, Ayvaci H, Demirag E, Görücü Y, Isık E. Fetal axillary cystic hygroma:a case report and review. 2011 Licensee PAGEPress. Italy Rare Tumors. 2011;3(4):e39. http://dx.doi.org/10.4081/rt.2011.e39
4 Masood SN, Masood MF. Case report of fetal axillo-thoraco-abdominal cystic hygroma. Arch Gynecol Obstet. 2010;281(1):111-5. PMid:19360432 http://dx.doi.org/10.1007/s00404-009-1068-2
5 Rasidaki M, Sifakis S, Vardaki E, Koumantakis E. Prenatal diagnosis of a fetal chest wall cystic lymphatic malformation using ultrasonography and MRI: a case report with literature review. Fetal Diagn Ther. 2005;20(6):504-7. PMid:16260884 http://dx.doi.org/10.1159/000088039
6 Gedikbasi A, Gul A, Sargin A, Ceylan Y. Cystic hygroma and lymphatic malformation: associated findings, perinatal outcome and prognostic factors in live-born infants. Arch Gynecol Obstet. 2007;276(5):491-8. PMid:17429667 http://dx.doi.org/10.1007/s00404-007-0364-y
7 Descamps P, Jourdain O, Paillet C, et al. Etiology, prognosis and management of nuchal cystic hygroma: 25 new cases and literature review. Eur J Obstet Gynecol Reprod Biol 1997;71(1)3-10.
8 Bagrodia N, Defnet AM, Kandel JJ. Management of lymphatic malformations in children. Curr Opin Pediatr. 2015;27(3):356-63. PMid:25888145 http://dx.doi.org/10.1097/MOP.0000000000000209
9 Atalar MH, Cetin A, Kelkit S, Buyukayhan D. Giant fetal axillo-thoracic cystic hygroma associated with ipsilateral foot anomalies. Pediatr Int. 2006;48(6):634-7. PMid:17168988 http://dx.doi.org/10.1111/j.1442-200X.2006.02263.x.
10 Ozeki M, Kanda K, Kawamoto N, et al. Propranolol as an alternative treatment option for paediatric lymphatic malformation. Tohoku J Exp Med. 2013;229(1):61-6. PMid:23257321 http://dx.doi.org/10.1620/tjem.229.61
11 Luo Y, Liu L, Rogers D, et al. Rapamycin inhibits lymphatic endothelial cell tube formation by downregulating vascular endothelial growth factor receptor 3 protein expression. Neoplasia. 2012;14(3):228-37. PMid:22496622 http://dx.doi.org/10.1593/neo.111570
12 Okazaki T, Iwatani S, Yanai T, et al. Treatment of lymphatic malformation in children: our experience of 128 cases. J Pediatr Surg. 2007;42(2):386-9. PMid:17270554 http://dx.doi.org/10.1016/j.jpedsurg.2006.10.012
13 Grabb WC, Dingman RO, Oneal RM, Dempsey PD. Facial hamartomas in children: neurofibroma, lymphatic malformation, and haemangioma. Plast Reconstr Surg. 1980;66(4):509-2715. PMid:7208665 http://dx.doi.org/10.1097/00006534-198010000-00003
14 Deshpande P, Twining P, O’Neill D. Prenatal diagnosis of fetal abdominal lymphatic malformation by ultrasonography. Ultrasound Obstet Gynecol. 2001;17(5):445-8. PMid:11380973 http://dx.doi.org/10.1046/j.1469-0705.2001.00367.x.
15 Rha SE, Byun JY, Kim HH, et al. Prenatal sonographic and MR imaging findings of extensive fetal lymphatic malformation: a case report. Korean J Radiol. 2003;4(4):260-3. PMid:14726645 http://dx.doi.org/10.3348/kjr.2003.4.4.260
Notes
Author notes
Correspondence İlay Gözükara Medical Faculty - Mustafa Kemal University Serinyol Hatay - Turkey 05065041167 ilayozt@gmail.com
Conflict of interest declaration