ABSTRACT: Sickle cell disease encompasses a wide range of genotypic presentation with particular clinical features. The entity affects millions of people, particularly those whose ancestors came from sub-Saharan Africa and other countries in the Western Hemisphere, Saudi Arabia, and India. Currently, the high frequency of S and C genes reflects natural selection through the protection of heterozygotes against severe malaria, the high frequency of consanguineous marriages, improvement of some public health policies and the nutritional standards in the poorer countries where newborns are now living long enough to present for diagnosis and management. Although there is a high burden of the disease, in many countries, the new-born sickle cell screening test is being performed and is rendering an early diagnosis; however, it is still difficult for sickle cell patients to find proper treatment and adequate follow-up. Moreover, in many countries, patients are neither aware of their diagnosis nor the care they should receive to prevent complications; also, they do not receive adequate genetic counseling. Hemoglobin SC (HbSC) disease is the most frequent double sickle cell heterozygosis found in Brazil. The clinical course tends to be more benign with fewer hospitalizations compared with double homozygotic SS patients. However, HbSC patients may present severe complications with a fatal outcome. We report the case of a 36-year-old man who presented to the emergency care facility with symptoms consistent with the diagnosis of sickling crisis. The outcome was unfavorable and death occurred just hours after admission. The autopsy revealed a generalized vaso-occlusive crisis by sickled red cells, bone marrow necrosis, and fat embolism syndrome.
Keywords:Hemoglobin SC DiseaseHemoglobin SC Disease,Bone MarrowBone Marrow,NecrosisNecrosis,EmbolismEmbolism.
Article / Autopsy Case Report
Bone marrow necrosis and fat embolism syndrome: a dreadful complication of hemoglobin sickle cell disease
Received: 11 November 2017
Accepted: 23 November 2017
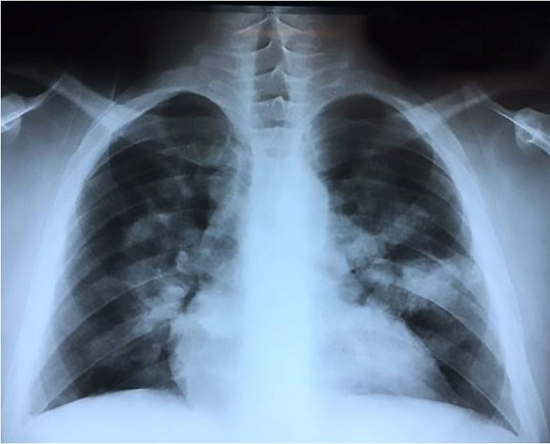
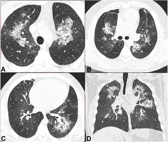
A 36-year-old mulatto male patient sought the emergency facility complaining of lumbar pain of progressive intensity over the past 3 days that worsened with trunk movement. This symptom irradiated to the dorsum and was accompanied by breathlessness. Concomitantly, he complained of wheezing, a cough with mucoid sputum, which was soon followed by dark urine. He had known diagnosis of SCD since the age of 23 years when he experienced an episode of priapism that required surgical intervention. Since then he had not followed any medical treatment. However, he experienced repeated episodes of bone pain, for which he used over-the-counter painkillers as self-medication. He ignored the same diagnosis among his relatives. He smoked for 2 years in his youth and still consumed alcoholic beverages. On physical examination, he was slightly pale, non-icteric and afebrile. His pulse rate was 124 beats per minute, blood pressure 110/80 mmHg, respiratory rate 28 respiratory movements per minute (rmpm), and room air oximetry was 83%. His body mass index was 25. No edema or lymphadenopathy were found. The heart and lungs examination was unremarkable; however, the abdomen was diffusely tender and the liver was palpable 2 cm below the right costal margin. The examination of his back and lumbar region was normal. The laboratory work-up disclosed normocytic normochromic anemia with a hemoglobin of 10.9 g/dL (reference value [RV]: 12.3-15.3 g/dL); hematocrit of 30.1% (RV: 36-45%); red cell distribution width of 20.6% (RV: 14%); leukocytosis with the presence of myelocytes and metamyelocytes in the peripheral blood; and a normal platelet count. The peripheral blood film revealed the presence of poikilocytosis, target cells, and stomatocytes; rare erythrocytes showed the presence of Howell-Jolly bodies, 20 polychromatic, 19 orthochromatic erythroblasts per 100 leukocytes and occasional sickled erythrocytes. Reticulocyte count was not available. C-reactive protein was 173 mg/L (RV: <5 mg/L), lactate dehydrogenase 686 U/L (RV: <250 U/L), and a total bilirubin 1.49 mg/dL (RV: <1.2 mg/dL) at the expense of indirect bilirubin. The renal function tests, electrolytes, liver enzymes, and urinalysis were normal. Blood and urine cultures were negative. The chest x-ray and computed tomography (CT) revealed peri-hilar bilateral confluent ground-glass opacities rendering small consolidations (Figures 1 and 2). An apparently calcified spleen of reduced dimension was an additional finding.


With the working diagnosis of hemolytic crisis, and a possible pulmonary infection, the patient was treated with saline, ceftriaxone, clarithromycin, morphine, and oxygen supplementation. His vital signs improved over the next 12 hours, but suddenly he presented worsened abdominal pain with nausea, vomiting and tachypnea (respiratory rate of 36 rmpm). He became obtunded and unresponsive to any stimuli, and presented cardiac arrest in pulseless electrical activity followed by asystole. Aspiration of vomiting was evident during the orotracheal intubation maneuver.
The capillary electrophoresis of the hemoglobin undertaken after death revealed the presence of 1.9% HbF, 50.3% HbS, 3.6% HbA2, and 44.2% HbC, rendering the diagnosis of hemoglobinopathy SC.
The lungs were edematous and boggy with multiple areas of friable consolidation and gross thromboemboli (Figure 3).

Microscopic examination showed acute and organizing thrombi, and mainly necrotic bone marrow embolism in pulmonary artery branches and arterioles, fat embolism in the alveolar septa capillary, and fibrin thrombi. There were multifocal areas of pulmonary congestion, hemorrhage, alveolar edema, and diffuse alveolar damage (Figure 4). Focal hemosiderin deposition was a sign of previous chronic hemorrhage.

The kidneys showed congestion, acute tubular necrosis, and glomerular fat emboli.
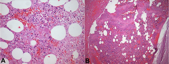
The bone marrow was hypercellular, mainly due to precursor erythroid cell hyperplasia, with large areas of infarction (about 50%), hemorrhage, and sickled cells (Figure 5).

The brain was mildly congested and edematous. Microscopically, it showed intraparenchymal vascular congestion and small foci of recent perivascular hemorrhage with sickled red cells and some pyknotic neurons.
The liver was congested and microscopically showed diffuse sinusoidal congestion with sickled red cells, mild steatosis, and foci of extramedullary hematopoiesis.
The spleen was diminished and atrophic, with fibrous plaques on the surface and extensive scarring fibrosis and calcifications in the parenchyma. Multiple Gamna-Gandy nodules with calcifications and hemosiderin deposits were seen.
Other findings were systemic congestion with sickled red cells, foci of ischemic necrosis in the pancreas, adrenals, and gastrointestinal tract. The heart showed moderate hypertrophy of the left ventricle wall.
The cause of the death was attributed to SCD crisis complicated by bone marrow necrosis and fat embolism syndrome with fatal impairment of lung function due to thrombosis, hemorrhage, and acute alveolar damage.
Hemoglobin SC disease (HbSC) is part of a group of disorders called “sickle cell diseases” (SCDs), which comprises hemoglobin SC disease and other hemoglobinopathies such as SD, SE, and others.1 These are hereditary hemoglobinopathies, which, in due course of genetic alterations, result in defective hemoglobin and consequent altered-form erythrocytes due to hemoglobin polymerization (which is the underlying mechanism for most of the complications of the disease).2 In 2001, newborn screening for SCD started in Brazil when the National Newborn Screening Program (PNTN)/Guthrie test was founded. According to data from the Ministry of Health, around 3500 children are born with SCD each year in Brazil, and the estimated number of cases of the disease ranges between 25,000 and 30,000, which shows the high prevalence of this disease in the Brazilian population, and its importance to public health.1 SCD is not only relevant in Brazil, but also in other parts of the world, where it is considered a public health concern, especially in Africa.3,4
Among all of SCD, SS, and SC genotypes are the most common.5 The SS genotype (inheritance of 2 βS alleles), also known as sickle cell anemia (SCA), is a debilitating disease with severe pain crisis, hemolysis, increased susceptibility to infections, cerebrovascular events, chronic organ damage, frequent hospitalizations, and consequently low expectancy of life (42 years for men and 48 years for women).6 Although SC hemoglobinopathy has a more protracted course, both SC and SS may present with similar complications.7 Studies focused on laboratory biomarkers have shown that SCA individuals are more associated with endothelial dysfunction and hemolysis, while the HbSC genotype is more associated with increased blood viscosity and inflammatory disorders.8 Proliferating retinitis, osteonecrosis, and acute chest syndrome, may have equal or higher incidence in HbSC compared to SCA.9 The first manifestation of HbSC usually appears around 20 years of age and irreversible organ failure is 10-35 years later than SCA.10 Our patient first became aware he had SCD at the age of 23, when he experienced an episode of priapism. However, apparently, he was not well informed of the HbSC diagnosis, which was only confirmed post-mortem with the hemoglobin electrophoresis.
During the patient’s brief stay in the hospital, the working diagnosis was of SCD, and there was evidence suggesting both SCA and HbSC as possible causes. The radiological findings of an atrophic and calcified spleen suggested SCA. In SCA, most patients present with autoinfarction and asplenia within the first 18-36 months of life. Meanwhile, HbSC patients often have preserved splenic function (only 36% of HbSC patients have asplenic findings).9,11,12 However, the laboratory findings with the hemoglobin of 10.9 g/dL and the hematocrit of 30.1% were more consistent with the diagnosis of HbSC or sickle cell trait.8
Our patient’s cause of death, depicted at autopsy, was necrosis of the bone marrow with subsequent fat embolism syndrome (FES) and sickled red cells in the pulmonary capillaries. This clinical entity is the result of the release of fat globules into the circulation, causing respiratory and neurologic damage, cutaneous and hematological manifestations.13 Although FES is most often associated with long bone fractures, occurring in up to 2.4% of multiple long bone fracture patients, it is a dreadful known complication of SC hemoglobinopathy.14
FES as a consequence of bone marrow necrosis in individuals with SCD was first described by Wade and Stevenson,15 in 1941, who found “widespread necrosis with marked reduction in the blood-forming constituents and fat, and fat emboli in the lung, liver, brain, spleen and kidneys.” In 2005, a review article16 retrieved 24 cases in the literature. Nine years later, Tsitsikas et al.17 reported 58 gathered cases. Out of these 58 patients, 11 (19%) had HbSS, 25 (43%) presented HbSC and 10 (17%) had HbSβ+. The higher frequency of FES in HbSC individuals may be explained by higher hematocrit and subsequent higher blood viscosity, although the entire pathogenesis of FES is still not fully understood.18
Bone marrow necrosis is a common finding in SCD patients. Due to the anatomy of trabecular bone, the material from the necrotic marrow enters the venules, gaining access to the veins and the systemic circulation.16 It is important to understand the difference between bone marrow embolism and fat embolism. The former has been observed mainly in the medium and small branches of pulmonary arteries, while the latter ends up in the microscopic circulation.19
Although mechanical obstruction by the fat emboli is necessary for the occurrence of FES, it is not the only requirement. Pell et al.20 showed fat emboli passing through the heart (using transesophageal echocardiography) in cases of long bone fracture patients in a much higher frequency than FES occurs. Therefore, it has been hypothesized that biochemical factors, such as the agglutination of chylomicrons and very-low-density lipoprotein cholesterol and direct damage to the lung tissue by free fatty acids, play an important role in the pathogenesis of FES.21,22
There are still no definitive criteria for the diagnosis of FES, which is usually made on clinical grounds. However, biochemical and imaging tests may be ancillary tools. The classic triad is a red-brown petechial rash, mostly on the head, neck, anterior thorax, axillae, and sub-conjunctiva; central nervous system depression and pulmonary edema. Gurd’s23 criteria is most commonly used for diagnosing FES, although its reliability has been questioned and other schemes have been proposed, such as Schonfeld’s and Lindeque et al.’s24 criteria. In the appropriate setting, the rash is very specific for FES. However, it is present in less than half the patients.25 Hypoxemia often occurs within the first 72 hours along with thrombocytopenia and leukocytosis.26
Chest radiography usually reveals unspecific diffuse or patchy bilateral opacities.23 In contrast, chest CT may be useful to evaluate the patients with the potential diagnosis of FES, and, more importantly, to rule out or demonstrate an alternative diagnosis. The most common finding on the CT is the patchy ground-glass opacities, which are usually associated with interlobular septal thickening (crazy-paving pattern), and eventually airspace consolidation and small centrilobular nodules.27
Bronchoalveolar lavage also has been described as an ancillary tool for the diagnosis of FES. Patients with FES may present fat-laden macrophages in a percentage that ranges from 31% to 82%, while patients without FES present less than 2%. A cut-off value of 5% is apparently sensible for diagnosing FES, but with poor specificity. However, if the cut-off raises to 30% the specificity also raises substantially.28-32
The mortality of SC crisis with FES is high. In their 2014 review, Tsitsikas et al.17 found 64% mortality. Comparing the patients of different groups that received exchange transfusion (ET), top-up transfusion, or no transfusion, the higher survival rate was observed in the ET group (mortality rate of 29%, 61%, and 91%, respectively), indicating that ET may be the cornerstone in the treatment of FES. However, clinical trials are lacking to support such an observation. The mortality rate of SCD complicated by FES might be underestimated because many cases are only diagnosed postmortem; and diagnosis of milder cases is often difficult and missed.17
Our patient presented with abdominal and lumbar pain, hypoxemia, and bilateral lung opacities, and a history of sickle cell disease, which led to the diagnosis of vaso-occlusive crisis and acute chest syndrome (ACS). This clinical presentation fulfilled the criteria for ACS, since there was a new radiographic pulmonary infiltrate associated with hypoxemia, tachypnea, cough, and wheezing.33 Fat embolism is one of the proposed underlying mechanisms of ACS.34 Our patient had neither petechial rash nor central nervous system depression prior to his cardiac arrest. The diagnosis of FES was not made ante-mortem possibly because of the lack of its clinical hallmarks and its resemblance with ACS. The chest imaging also led to a diagnosis of a possible lung infection. Moreover, FES is a rare event in non-traumatic patients, whereas ACS is a frequent diagnosis in Brazilian emergency rooms.
We conclude that SCD patients who present with back and abdominal pain associated with respiratory failure and laboratory findings consistent with hemolysis (even in the absence of marked sickled erythrocytes) should ever be treated in intensive care units and those who rapidly progress to neurological dysfunction should early be submitted to ET.
Correspondence Fernando Peixoto Ferraz de Campos Internal Medicine Department - Hospital Universitário - University of São Paulo (USP) Av. Prof. Lineu Prestes 2565 - Butantã - São Paulo/SP - Brazil CEP: 05508-000 Phone: +55 (11) 3091-9275 fpfcampos@gmail.com




