Article / Autopsy Case Report
Troisier sign and Virchow node: the anatomy and pathology of pulmonary adenocarcinoma metastasis to a supraclavicular lymph node
Troisier sign and Virchow node: the anatomy and pathology of pulmonary adenocarcinoma metastasis to a supraclavicular lymph node
Autopsy and Case Reports, vol. 9, no. 1, e2018053, 2019
Hospital Universitário da Universidade de São Paulo
Received: 11 July 2018
Accepted: 02 October 2018
Funding
Funding source: NASA West Virginia Space Grant Consortium
Contract number: NNX10AK62H
Funding statement: Financial support: NASA West Virginia Space Grant Consortium [NNX10AK62H]
ABSTRACT: Metastatic spread of cancer via the thoracic duct may lead to an enlargement of the left supraclavicular node, known as the Virchow node (VN), leading to an appreciable mass that can be recognized clinically — a Troisier sign. The VN is of profound clinical importance; however, there have been few studies of its regional anatomical relationships. Our report presents a case of a Troisier sign/VN discovered during cadaveric dissection in an individual whose cause of death was, reportedly, chronic obstructive pulmonary disease. The VN was found to arise from an antecedent pulmonary adenocarcinoma. Our report includes a regional study of the anatomy as well as relevant gross pathology and histopathology. Our anatomical findings suggest that the VN may contribute to vascular thoracic outlet syndrome as well as the brachial plexopathy of neurogenic thoracic outlet syndrome. Further, the VN has the potential to cause compression of the phrenic nerve, contributing to unilateral phrenic neuropathy and subsequent dyspnea. Recognition of the Troisier sign/VN is of great clinical importance. Similarly, an appreciation of the anatomy surrounding the VN, and the potential for the enlarged node to encroach on neurovascular structures, is also important in the study of a patient. The presence of a Troisier sign/VN should be assessed when thoracic outlet syndrome and phrenic neuropathy are suspected. Conversely, when a VN is identified, the possibility of concomitant or subsequent thoracic outlet syndrome and phrenic neuropathy should be considered.
Keywords: Anatomy, Lung Cancer, Metastasis, Supraclavicular Node, Virchow, Troisier, Thoracic Outlet Syndrome.
INTRODUCTION
The Troisier sign represents an enlargement of a left-sided supraclavicular lymph node. The enlarged supraclavicular lymph node is known as a Virchow node (VN), Troisier node, or Virchow-Troisier node.1 The eponyms “Troisier” and “Virchow” acknowledge the individuals who identified the enlargement of supraclavicular nodes as a clinical sign of gastric cancer metastasis in the mid-to-late 19th century.2,3
The VN has been well-established as a signal node for the spread of gastric cancer.4-9 In addition, the VN has been identified as a seeding location for cancers arising from myriad locations apart from the stomach, including the intestines,7 urogenital system,10-18 esophagus,19 common bile duct,20 liver,21-23 as well as the pancreas,24,25 and lungs.26 The VN has also been reported with squamous cell carcinoma and lymphoma.16,27,28 Furthermore active tuberculosis has manifested as a VN.29 Even a hydatid cyst has been reported to masquerade as a classic VN.30 Because of its diverse etiology, the Virchow node holds clinical significance for many medical specialties.
Outside of its role as a signal node, the VN may, itself, cause signs and symptoms from its mass effect; the VN may lead to Horner syndrome.31 Therefore, its regional anatomy holds particular clinical significance.
Despite the clinical significance of the VN, only a few studies have been performed regarding its regional anatomical relationships. Our report describes a case of a VN discovered during cadaveric dissection and found to arise from an antecedent pulmonary adenocarcinoma. The report includes anatomical studies as well as relevant gross pathology and histopathology.
CASE REPORT
An enlarged left-sided supraclavicular lymph node, or Virchow node (VN), was observed during neck dissection of a 68-year-old white female cadaver, whose cause of death was recorded as chronic obstructive pulmonary disease.
ANATOMIC DISSECTION
Dissection revealed an enlarged left supraclavicular lymph node situated at the jugulo-subclavian venous junction (venous angle), a typical location for a VN (Figures 1 and 2). The VN, measured with a digital caliper (Mitutoyo 0-8 in (0-203.2mm) ABSOLUTE™ digimatic caliper series 500), was 3.7 × 2.4 × 1.4 cm.


The VN was deep to the platysma and clavicular head of the sternocleidomastoid muscle, underlying what would otherwise be considered the lesser supraclavicular fossa (Figure 2). Also, the superior pole of the VN was under the inferior aspect of the superior omohyoid muscle at its attachment with its intermediate tendon (Figure 3). The VN was located immediately lateral to the internal jugular vein and, along with the thoracic duct, was located just superior to the subclavian vein (Figure 3). Underlying the VN was the phrenic nerve, transverse cervical artery, and anterior scalene muscle.

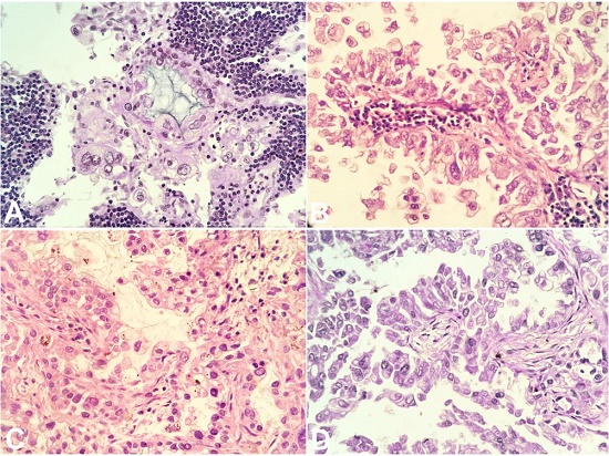
The VN was resected and macroscopically assessed, revealing that the node was enlarged by tumor (Figure 4). Histological studies revealed evidence of neoplastic cells, with a high nuclear-to-cytoplasmic ratio and aberrant nuclei and nucleoli, embedded within residual lymphoid tissue. Intra- and extra-cellular mucin was also identified.

The VN gross and histological appearance spurred further investigation in order to identify a primary tumor. The right and left lungs weighed 650 g and 690 g, and were 24.2 × 11.2 × 7.0 cm and 24.0 × 11.1 × 5.2 cm, respectively. The overlying pleura was tan and smooth and showed scattered areas of environmental pigmentation. A 3.0 × 2.0 cm area of fibrinous exudate located in the hilar region of the left lung. Pleural puckering was not seen. The lungs were divided into lobes and serially sectioned from superior to inferior. The inferolateral right lower lobe contained a 4.6 × 5.0 × 2.1 cm area of dark-red indurated hemorrhagic consolidation. In the left lung, the hilum of the upper lobe had a 4.0 × 3.5 × 3.0 cm area of environmental pigmentation and necrotic pale rubbery lymph nodes ranging from 0.8 to 1.2 cm, with areas of white friable material. In the left lower lobe, a 4.2 × 4.0 × 3.5 cm white, indurated mass encased the adjacent vasculature and abutted the hilum (Figure 5). The uninvolved parenchyma was tan with widened alveolar spaces.

Comparison of the histopathology of the VN and the parahilar mass revealed marked similarities (Figure 6), indicative of a primary parahilar adenocarcinoma metastatic to the left supraclavicular VN.

CLINICAL DISCUSSION
The Troisier sign/Virchow node (VN) has profound clinical importance. Though reports have described the VN in many clinical settings, a paucity of reports have described cadaveric analysis including gross and histopathological analysis of both the primary tumor site and the VN.
Mizutani et al.32 performed a study of the end node of the thoracic duct, which would be deemed a VN if enlarged due to metastasis. Their study identified the presence of the end node in 5 of 35 individuals (14%; two males and three females of a sample of 15 males and 20 females). Of the five end nodes, two were tethered to the dorsal aspect of the carotid sheath and three were located anterior to the anterior scalene muscle. The VN in our case was anterior to the anterior scalene muscle, which is the normal location of the end node of the thoracic duct.32 For reference, an in vivo clinical image of a VN of similar size (3.0 x 2.5 cm) and location to that reported in this study has been presented by Siosaki and Souza.33
The VN described in this case was in close proximity to several anatomical structures that warrant discussion. For example, the anterior scalene was located posterior to the VN. Therefore, enlargement of the VN may compress the anterior scalene muscle. Because the anterior scalene forms the anterior boundary of the scalene triangle, through which the brachial plexus of nerves and the subclavian artery pass, enlargement of the VN may cause left-sided brachial plexopathy and decreased blood flow into the left upper extremity. Indeed, there have been several reports of brachial plexopathy as a result of compression by a tumor.34 Therefore, the VN should be considered as a cause of thoracic outlet syndrome - both neurogenic thoracic outlet syndrome and vascular thoracic outlet syndrome. This finding is particularly important with regard to individuals with chronic obstructive pulmonary disease (COPD), similar to the individual described in this report, because the forced breathing in COPD may contribute to scalene muscle hypertrophy, a narrow interscalene passage, and subsequent insult to the neurovascular bundle.35
The left phrenic nerve was located between the VN and the anterior scalene muscle. Therefore, enlargement of the Virchow node could encroach upon the left phrenic nerve, potentially contributing to unilateral phrenic neuropathy. Unilateral phrenic neuropathy may be entirely asymptomatic. However, it may cause weakness, of varied severity, to its ipsilateral hemidiaphragm. It is, therefore, important to consider the aforementioned anatomical relationship in the context of the individual presented in this case, whose cause of death was listed as chronic obstructive pulmonary disease but was determined to have pulmonary adenocarcinoma and increased alveolar dead space. Indeed, the VN compressing the phrenic nerve may have contributed to dyspnea in this individual. Hypothetically, if the VN were to develop from a metastasis of a Pancoast tumor, the encroachment upon the brachial plexus, subclavian artery, phrenic nerve, and, additionally, the cervical sympathetic chain, could be exacerbated by both the Pancoast tumor and VN.36 Indeed, the VN, even in the absence of a Pancoast tumor, has caused Horner syndrome.31
CONCLUSION
Pulmonary adenocarcinoma, as well as several other forms of cancer, may metastasize through the thoracic duct and cause enlargement of a left supraclavicular lymph node. In addition to the importance of recognizing the enlargement of the lymph node as a sign of metastasis, it is important to regard the Virchow node (VN) as a potential source of neurovascular encroachment. As our report shows, the VN has the potential to contribute to varied neuropathies of the brachial plexus and phrenic nerve as well as compression of the subclavian artery and vascular thoracic outlet syndrome due to its anatomical location. Therefore, the presence of a Troisier sign/VN should be assessed when thoracic outlet syndrome and phrenic neuropathy are suspected. Conversely, when a VN is identified, the possibility of concomitant or subsequent thoracic outlet syndrome and phrenic neuropathy should be considered.
ACKNOWLEDGEMENTS
Funding came from the NASA West Virginia Space Grant Consortium [NNX10AK62H]. The individual presented in this case willingly donated her body for the advancement of science. The authors would like to acknowledge the West Virginia Anatomical Board, who approved this research, and the WVU Human Gift Registry for providing the whole-body specimen. Most importantly, the authors would like to acknowledge the individual who donated her body for the advancement of science, without whom, this work would not have been possible. The cadaver was that of a woman who voluntarily donated her body for the advancement of science through the West Virginia University Human Gift Registry. The research was approved by the West Virginia Anatomical Board.
REFERENCES
Morgenstern L. The Virchow-Troisier node: a historical note. Am J Surg. 1979;138(5):703. http://dx.doi.org/10.1016/0002-9610(79)90353-2. PMid:386813.
Virchow R. Zur Diagnose der Krebse in Unterleibe. Med Reform. 1848;45:248.
Troisier CE. L’adénopathie sus-claviculaire dans les cancers de l’abdomen. Arch Gen de Med. 1889;1:129-39; 297-309.
Westreich R, Brower S, Lawson W. Primary lymph node malignant gastrinoma with metastasis to Virchow’s node: a case report. Otolaryngol Head Neck Surg. 2004;131(6):1027-8. http://dx.doi.org/10.1016/j.otohns.2004.03.017. PMid:15577814.
Sugawara H, Ichiki M, Sai K, et al. Noticeable clinical response to S-1/CDDP combination therapy for Virchow node recurrence after surgery for advanced gastric carcinoma with marked involvement of the esophagus - report of a case. Gan To Kagaku Ryoho. 2009;36(5):855-8. PMid:19461194.
Katayama M, Matsumoto H, Kanda T, et al. Complete histological response in advanced gastric cancer with Virchow’s node metastasis after chemotherapy including S-1/CDDP--report of a case. Gan To Kagaku Ryoho. 2010;37(11):2173-6. PMid:21084821.
Sundriyal D, Kumar N, Dubey SK, Walia M. Virchow’s node. BMJ Case Rep. 2013;2013(sep12 1):1-2. http://dx.doi.org/10.1136/bcr-2013-200749. PMid:24031077.
Yoon EWT, Nishihara K. Virchow’s node together with an Irish node. Clin Case Rep. 2017;5(6):1046-7. http://dx.doi.org/10.1002/ccr3.967. PMid:28588870.
Sato T, Mori M, Aoki J, Tanabe K. Pulmonary Tumor Thrombotic Microangiopathy due to Advanced Gastric Cancer with Virchow’s Node Metastasis. Int Heart J. 2018;59(2):443-7. http://dx.doi.org/10.1536/ihj.17-249. PMid:29503403.
Yamada Y, Honda N, Hayase Y, Senda H, Fukatsu H, Segawa A. Two cases of primary urethral carcinoma in females. Hinyokika Kiyo. 1983;29(8):941-5. PMid:6675444.
Cebesoy FB, Balatt O, Aydin A. Virchow’s node as a first manifestation of ovarian serous carcinoma: case report. Eur J Gynaecol Oncol. 2008;29(2):182-3. PMid:18459560.
Rahman M, Nakayama K, Rahman MT, Katagiri H, Ishibashi T, Miyazaki K. Enlarged Virchow’s node as an initial complaint of serous ovarian adenocarcinoma. Eur J Gynaecol Oncol. 2012;33(5):546-8. PMid:23185810.
Scott AF, Mohr DW, Ling H, Scharpf RB, Zhang P, Liptak GS. Characterization of the genomic architecture and mutational spectrum of a small cell prostate carcinoma. Genes (Basel). 2014;5(2):366-84. http://dx.doi.org/10.3390/genes5020366. PMid:24823478.
Kemal Y, Kokcu A, Kefeli M, et al. Virchow’s node metastasis: an unusual presentation of ovarian cancer. Eur J Gynaecol Oncol. 2016;37(3):398-400. PMid:27352573.
Park EJ, Stroie FA, McArdle BJ, Psutka SP. Metastatic adenocarcinoma of the prostate presenting as supraclavicular and bulky generalized lymphadenopathy with a benign digital rectal exam. Urol Case Rep. 2017;13:128-30. http://dx.doi.org/10.1016/j.eucr.2017.04.005. PMid:28567325.
Franzen A, Günzel T, Buchali A, Coordes A. Etiologic and differential diagnostic significance of tumor location in the supraclavicular fossa. Laryngoscope. 2018;128(3):646-50. http://dx.doi.org/10.1002/lary.26775. PMid:28727141.
de la Riva-Pérez PA, García-Gómez FJ, Buján-Lloret C, Calvo-Morón MC, Castro-Montaño J. Virchow Node From Prostate Carcinoma by 18F-Choline PET/CT. Clin Nucl Med. 2018;43(4):271-2. PMid:29356745.
Werner RA, Andree C, Javadi MS, et al. A voice from the past: rediscovering the virchow node with prostate-specific membrane antigen-targeted 18F-DCFPyL positron emission tomography imaging. Urology. 2018;117:18-21. http://dx.doi.org/10.1016/j.urology.2018.03.030. PMid:29626569.
Matono S, Fujita H, Sueyoshi S, Tanaka T, Yamana H, Shirouzu K. Long-term survival after three-field lymph-adenectomy for an adenocarcinoma in Barrett’s esophagus with metastasis to Virchow’s node. Jpn J Thorac Cardiovasc Surg. 2006;54(1):11-5. http://dx.doi.org/10.1007/BF02743777. PMid:16482930.
Ochiai T, Ikoma H, Inoue K, et al. Long-term survival of a patient with common bile duct cancer after Virchow’s node recurrence: Report of a case. Surg Today. 2011;41(10):1432-5. http://dx.doi.org/10.1007/s00595-010-4447-1. PMid:21922372.
Mondal RK, Dutta A, Basu K, Chakraborti S. Virchows node: rare presentation of childhood hepatocellular carcinoma. Indian J Pediatr. 2005;72(2):177-8. http://dx.doi.org/10.1007/BF02760707. PMid:15758545.
Selvasekaran R, Cherian JV, Venkataraman J. Metastasis of hepatocellular carcinoma to Virchow’s node: have the tumor cells gone astray? Hepatobiliary Pancreat Dis Int. 2007;6(6):650-2. PMid:18086635.
Loh KY, Yushak AW. Images in clinical medicine. Virchow’s node (Troisier’s sign). N Engl J Med. 2007;357(3):282. http://dx.doi.org/10.1056/NEJMicm063871. PMid:17634463.
Soto Iglesias S, Baltar Arias R, Vázquez Rodríguez S, et al. Virchow’s node as the form of onset of squamous cell carcinoma of the pancreas. Gastroenterol Hepatol. 2009;32(10):693-6. http://dx.doi.org/10.1016/j.gastrohep.2009.06.006. PMid:19748706.
Saif MW, Hotchkiss S, Brennan M, Kaley K. Pancreatic adenocarcinoma with supraclavicular lymph node metastasis: Is this the Virchow’s node? JOP. 2011;12(1):66-7, author reply 70. PMid:21206107.
Soussi G, Daboussi S, Mhamdi S, et al. Second lung malignancy and Richter syndrome in chronic lymphocytic leukemia: case report and literature review. Multidiscip Respir Med. 2017;12(1):24. http://dx.doi.org/10.1186/s40248-017-0107-2. PMid:28975027.
Cervin JR, Silverman JF, Loggie BW, Geisinger KR. Virchow’s node revisited. Analysis with clinicopathologic correlation of 152 fine-needle aspiration biopsies of supraclavicular lymph nodes. Arch Pathol Lab Med. 1995;119(8):727-30. PMid:7646330.
Anastassiades CP, Poterucha TH. Virchow’s node, jaundice, and weight loss--lymphoma mimicking gastrointestinal malignancy. Nat Clin Pract Gastroenterol Hepatol. 2006;3(11):645-8. http://dx.doi.org/10.1038/ncpgasthep0635. PMid:17068502.
Levy Z, Schottland E. Active tuberculosis presenting as enlarged Virchow node in an otherwise well patient. Crit Care Med. 2018;46:501. http://dx.doi.org/10.1097/01.ccm.0000529041.92531.7e
Duman U, Yeşıl C, Gündüz M, Denız IK. Isolated left supraclavicular hydatid cyst mimicking Virchow’s node. Turk J Gastroenterol. 2012;23(5):612-4. http://dx.doi.org/10.4318/tjg.2012.0447. PMid:23161314.
Maslovsky I, Gefel D. Virchow’s node and Horner’s syndrome. Am J Med. 2006;119(2):180-1. http://dx.doi.org/10.1016/j.amjmed.2005.07.067. PMid:16443433.
Mizutani M, Nawata S, Hirai I, Murakami G, Kimura W. Anatomy and histology of Virchow’s node. Anat Sci Int. 2005;80(4):193-8. http://dx.doi.org/10.1111/j.1447-073X.2005.00114.x. PMid:16333915.
Siosaki MD, Souza AT. Images in clinical medicine. Virchow’s node. N Engl J Med. 2013;368(6):e7. http://dx.doi.org/10.1056/NEJMicm1204740. PMid:23388028.
Sanghvi DA, Merchant N, Iyer VR. Malignant brachial plexopathy: a pictorial essay of MRI findings. Indian J Radiol Imaging. 2010;20(4):274-8. http://dx.doi.org/10.4103/0971-3026.73543. PMid:21423902.
Szaraz ZT. The thoracic outlet syndrome: first rib subluxation syndrome. In: Gatterman MI, editor. Foundations of chiropractic: subluxation. St. Louis, Missouri: Elsevier Health Sciences; 2005. p. 461.
Pancoast HK. Importance of careful roentgen-ray investigation of apical chest tumors. JAMA. 1924;83(18):1407. http://dx.doi.org/10.1001/jama.1924.02660180025007
Notes
Author notes
Correspondence Matthew J. Zdilla Department of Natural Sciences and Mathematics - West Liberty University CSC 139, West Liberty/WV - United States of America, 26074 P.O. Box 295 Phone +1 304-336-8631 / Fax: +1 304-336-8266 mzdilla@westliberty.edu
Conflict of interest declaration