Article / Autopsy Case Report
Received: 06 July 2018
Accepted: 20 October 2018
DOI: https://doi.org/10.4322/acr.2018.061
ABSTRACT: Pulmonary thromboembolism (PTE) is one of the major complications in oncologic patients. The incidence of PTE in these cases is 4 to 7 times higher than in non-oncologic patients. Ovarian tumors, specifically those of large sizes, may impair the blood flow through the pelvic veins as tumor pressure over the pelvic vessels increases the incidence of thrombosis. The authors report the case of the unexpected death of a 74-year-old female due to massive pulmonary thromboembolism, associated with an ovarian tumor almost of 15 kg of weight that filled the abdominal and pelvic cavities. The compressive effect on the walls of the pudendal and periuterine veins somehow facilitated the local thrombosis. According to the histological characterization on post-mortem samples, the mass was identified as an “atypical proliferative (borderline) mucinous tumor.” The case emphasizes the important association between pulmonary thromboembolism and ovarian tumors
Keywords: Autopsy, Sudden Death, Ovarian Neoplasms, Pulmonary Thromboembolism.
INTRODUCTION
Deep vein thrombosis (DVT) and pulmonary thromboembolism (TEP) are severe1 and frequent2 complications (42%) in women with advanced ovarian neoplasms,1-4 large uterine fibromas5 and in patients undergoing chemotherapy.6 In patients with large solid malignancies, besides the mechanism triggered by the immunologic, inflammatory and the released substances related to the tumor response, the pressing on the large vessels such as the inferior vena cava, pelvic and iliac veins may result in bloodstream stasis, turbulent flow and vessels injury, increasing the probability for thombosis.7 Among all abdominal and pelvic tumors in women, ovarian neoplasms represent the main cause of pulmonary embolism and thrombophlebitis.8,9
The WHO classification of 2014 divides the surface epithelial tumors of the ovary into benign, borderline and malignant and the different histological types into serous, mucinous, endometrioid, clear cells, Brenner and seromucinous.10 Borderline ovarian tumors are characterized by a smaller aggressiveness when compared with other epithelial forms11 and are currently defined “atypical proliferative epithelial tumors.” This type of tumor usually occurs in the third or fourth decade and is unilateral in 80% of cases.12 According to the tumor biology and behavior, the prognosis is usually favorable, but life-threatening outcomes may be observed by the compression on the surrounding structures when the tumor reaches large dimensions, leading to unexpected death.
In this context, the main goal of this case report is to emphasize the important association between pulmonary thromboembolism and ovarian tumors of such greatness.
CASE REPORT
A 74-year-old female who lived alone was found dead in her home. The estimated time of death was evaluated to be of 48 hours. According to the relatives’ information, she was diagnosed with hypertension and was under a diagnostic workup of an ovarian cyst. The judicial authority required an autopsy, which was performed 2 days after the discovery of the corpse.
Autopsy Presentation
The external examination revealed an apparent well-preserved corpse with a body mass index of 34.8, without any sign of external injuries. The examination of the head and neck was unremarkable. However, the examination of the lung depicted an extensive bilateral thrombosis of the main pulmonary arteries until their segmental subdivision. The large thrombus entirely occluded the arterial lumen, reproducing the shape of the vessel as a “cast”, coated by the intimal surface, characterizing a bilateral massive pulmonary thromboembolism.
According to the morphological characteristics, a thromboembolic nature was macroscopically confirmed (Figures 1 and 2).


At the opening of the abdominal and pelvic cavities, the left uterine adnexa were represented by a smooth cystic tumor, weighing 15 kg (Figure 3) and measuring 33 cm in its longest axis. At the cut surface, the cyst was multiloculated and drained a yellowish mucinous material. No papillary excrescences were seen, but a partly necrotic and solid nodule of 8.5 cm was found adhered to the cystic wall.

The examination of the contralateral ovary and uterus was unremarkable, the latter showing an atrophic endometrium. The bilateral dissection of the deep vessels of the lower limbs failed to show thrombosis, while the exploration of the veins of the pudendal plexus (ovarian and periuterine veins) showed the presence of extensive thrombosis (Figure 4).

No other noteworthy finding was detected. The cause of death was identified as massive pulmonary thromboembolism in a woman with a large ovarian neoplasm. During the autopsy, different organs were sampled (uterus, ovarian neoplasm, pudendal plexuses and thrombotic formations) for histopathologic investigation.
Moreover, samples of biological fluids (heart and femoral blood, urine, bile and gastric content) were taken for toxicological analyses. The search for drugs and/or alcohol was performed and results were negative.
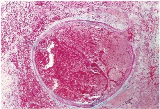
Microscopically, the massive ovarian neoplasm was assessed as “atypical proliferating mucinous tumor (borderline)” (Figure 5) and the thrombotic nature of the occluding material in the periuterine veins was confirmed, with secondary thromboembolism in the pulmonary arteries.13

Therefore, the cause of death was identified as pulmonary thromboembolism due to pelvic thrombosis, concomitant with a giant ovarian neoplasm. According to the evidence provided by the autopsy and the histological findings, the compression effect of the mass on the pudendal venous plexus enabled the formation of intravascular thrombi, whose detachment led to pulmonary embolism and death.
DISCUSSION
In 1865, Trousseau14 described the correlation between tumors and venous thrombosis, and since then, neoplasms have been recognized as a risk factor for venous thromboembolism (VTE) and, consequently, pulmonary embolism (PE).15 The Virchow classic triad of endothelial damage, hypercoagulability and venous stasis is considered to be the mechanism responsible for the pathogenic onset.16 The Trousseau syndrome (tumor-associated thrombosis) is the second cause of death in oncologic patients after the progression of the disease itself.17 The risk of pulmonary embolism in this group of patients is 4 to 7 times higher if compared to non-neoplastic patients.4,17
Previous studies18 report thrombotic events in 20% of patients with malignancy18 and up to 20% of these patients will present embolic events.19 Some neoplasms, especially pancreatic and gastrointestinal,20 are associated with higher rates of thrombosis.15,21 Other neoplasms of the peritoneal and pelvic cavities (i.e., endometrial or bladder tumors) and, in particular, ovarian and extrahepatic biliary ducts are usually linked to high incidence of pulmonary embolism.22,23 In particular, the highest prevalence of pulmonary embolism and thrombophlebitis has been witnessed in neoplastic ovarian patients,8 especially among germinal types.24 This is due to the combination of the pelvic blood flow obstruction by the mass,7 the effect of estrogen hormone treatment25 and the overexpression of the tissue factor associated with high D-dimer levels, which is considered to be an important factor in hypercoagulability.26 The coagulation cascade activation and the embolic events occur in association with neoplasms because of the tissue factor (TF) and cancer procoagulant (CP).27 Moreover, a crucial role may be played by inflammatory cytokines and the relationship between neoplastic cells, monocytes, macrophages, platelets and endothelial cells. In addition, thrombosis may be favored by chemotherapy, hormone therapy or radiotherapy. Other mechanisms that also may take part in thrombus formation are related to the relationship between the host and the tumor (i.e., acute phase inflammation, angiogenesis), decreased inhibitors of coagulation and impaired fibrinolysis.28,29
It is evident that the development of the neoplasm highlights the importance of therapeutic choices, even in the case of benign neoplasms, along with the analysis and characterization of the social and cultural conditions of the patient. This case confirms what is reported in the literature30,31 about the association between pulmonary embolism and epithelial neoplasms.
CONCLUSION
The presented case is peculiar because a sudden death occurred from complications related to ovarian neoplasm, with increased predisposition to deep venous thrombosis.
According to Italian Law, all the material sampled during a Judicial Autopsy does not require any authorization by the family members of the deceased to be studied and published, except with the precaution of maintaining the anonymity of the patient.
REFERENCES
Svendsen E, Karwinski B. Prevalence of pulmonary embolism at necropsy in patients with cancer. J Clin Pathol. 1989;42(8):805-9. http://dx.doi.org/10.1136/jcp.42.8.805. PMid:2475526
Satoh T, Oki A, Uno K, et al. High incidence of silent venous thromboembolism before treatment in ovarian cancer. Br J Cancer. 2007;97(8):1053-7. http://dx.doi.org/10.1038/sj.bjc.6603989. PMid:17895896
Abu Saadeh F, Norris L, O’Toole S, et al. Tumour expression of tissue factor and tissue factor pathway inhibitor in ovarian cancer- relationship with venous thrombosis risk. Thromb Res. 2013;132(5):627-34. http://dx.doi.org/10.1016/j.thromres.2013.09.016. PMid:24094893
Zhang Y, Yang JX, Wu M, Shen K. Clinicopathological conference: an advanced ovarian carcinoma patient suddenly died of pulmonary embolism. Zhongguo Yi. Xue Ke Yuan Xue Bao. 2003;25:471-5.
Shiota M, Kotani Y, Umemoto M, et al. Risk factors for deep-vein thrombosis and pulmonary thromboembolism in benign ovarian tumor. Tohoku J Exp Med. 2011;225(1):1-3. http://dx.doi.org/10.1620/tjem.225.1. PMid:21817850
Rodriguez AO, Wun T, Chew H, Zhou H, Harvey D, White RH. Venous thromboembolism in ovarian cancer. Gynecol Oncol. 2007;105(3):784-90. http://dx.doi.org/10.1016/j.ygyno.2007.02.024. PMid:17408726
Pineo GF, Brain HC, Gallus AS, Hirsh J, Hatton MW, Regoeczi E. Tumors, mucus production, and hypercoagulability. Am NY Acad Sci. 1974;230(1):262-70. http://dx.doi.org/10.1111/j.1749-6632.1974.tb14458.x. PMid:4522873
Levitan N, Dowlati A, Remick SC, et al. Rates of initial and recurrent thromboembolic disease among patients with malignancy versus those without malignancy: risk analysis using medicare claims data. Medicine. 1999;78(5):285-91. http://dx.doi.org/10.1097/00005792-199909000-00001. PMid:10499070
Boger-Megiddo I, Weiss NS. Histologic subtypes and laterality of primary epithelial ovarian tumors. Gynecol Oncol. 2005;97(1):80-3. http://dx.doi.org/10.1016/j.ygyno.2004.11.054. PMid:15790441
Kurman RJ, Carcangiu ML, Herrington CS, et al. WHO classification of tumours of female reproductive organs. 4th ed. Lyon: WHO Press; 2014.
Ayhan A, Guvendag Guven ES, Guven S, Kucukali T. Recurrence and prognostic factors in borderline ovarian tumors. Gynecol Oncol. 2005;98(3):439-45. http://dx.doi.org/10.1016/j.ygyno.2005.05.033. PMid:16009407
Jetley S, Khetrapal S, Ahmad A, Jairajpuri ZS. Atypical proliferative endometrioid tumor of ovary: report of a rare case. J Postgrad Med. 2016;62(2):129-32. http://dx.doi.org/10.4103/0022-3859.168092. PMid:26497398
Janssen W. Forensic histopathology. Berlin: Springer; 1977.
Trousseau A. Clinique médicale de l’Hôtel-Dieu de Paris. Paris: JB Bailliere et Fils; 1865.
Gunderson CC, Thomas ED, Slaughter KN, et al. The survival detriment of venous thromboembolism with epithelial ovarian cancer. Gynecol Oncol. 2014;134(1):73-7. http://dx.doi.org/10.1016/j.ygyno.2014.04.046. PMid:24793732
Heath OM, van Beekhuizen HJ, Nama V, et al. Venous thromboembolism at time of diagnosis of ovarian cancer: Survival differs in symptomatic and asymptomatic cases. Thromb Res. 2016;137:30-5. http://dx.doi.org/10.1016/j.thromres.2015.11.030. PMid:26653367
Ikushima S, Ono R, Fukuda K, Sakayori M, Awano N, Kondo K. Trousseau’s syndrome: cancer-associated thrombosis. Jpn J Clin Oncol. 2016;46(3):204-8. http://dx.doi.org/10.1093/jjco/hyv165. PMid:26546690
Lee AY, Levine MN, Butler G, et al. Incidence, risk factors, and outcomes of catheter-related thrombosis in adult patients with cancer. J Clin Oncol. 2006;24(9):1404-8. http://dx.doi.org/10.1200/JCO.2005.03.5600. PMid:16549834
Caine GJ, Stonelake PS, Lip GY, Kehoe ST. The hypercoagulable state of malignancy: pathogenesis and current debate. Neoplasia. 2002;4(6):465-73. http://dx.doi.org/10.1038/sj.neo.7900263. PMid:12407439
Dvorak HF. Thrombosis and cancer. Hum Pathol. 1987;18(3):275-84. http://dx.doi.org/10.1016/S0046-8177(87)80010-2. PMid:3546076
Rickles FR, Edwards RL. Activation of blood coagulation in cancer: Trousseau’s syndrome revisited. Blood. 1983;62(1):14-31. PMid:6407544
Belt RJ, Leite C, Haas CD, Stephens RL. Incidence of hemorrhagic complications in patients with cancer. JAMA. 1978;239(24):2571-4. http://dx.doi.org/10.1001/jama.239.24.2571. PMid:660790
Khorana AA, Francis CW, Culakova E, Kuderer NM, Lyman GH. Frequency, risk factors, and trends for venous thromboembolism among hospitalized cancer patients. Cancer. 2007;110(10):2339-46. http://dx.doi.org/10.1002/cncr.23062. PMid:17918266
Bakhru A. Effect of ovarian tumor characteristics on venous thromboembolic risk. J Gynecol Oncol. 2013;24(1):52-8. http://dx.doi.org/10.3802/jgo.2013.24.1.52. PMid:23346314
Poller L. Oral contraceptives, blood clotting and thrombosis. Br Med Bull. 1978;34(2):151-6. http://dx.doi.org/10.1093/oxfordjournals.bmb.a071485. PMid:350338
Uno K, Homma S, Satoh T, et al. Tissue factor expression as a possible determinant of thromboembolism in ovarian cancer. Br J Cancer. 2007;96(2):290-5. http://dx.doi.org/10.1038/sj.bjc.6603552. PMid:17211468
Molnar S, Guglielmone H, Lavarda M, Rizzi ML, Jarchum G. Procoagulant factors in patients with cancer. Hematology. 2007;12(6):555-9. http://dx.doi.org/10.1080/10245330701521416. PMid:17852460
De Cicco M. The prothrombotic state in cancer: pathogenic mechanisms. Crit Rev Oncol Hematol. 2004;50(3):187-96. http://dx.doi.org/10.1016/j.critrevonc.2003.10.003. PMid:15182825
Kurman RJ. Blaustein’s Pathology of the female genital tract. 5th ed. New York: Springer; 2001. p. 791-904.
Srettabunjong S. Systemic thromboembolism after deep vein thrombosis caused by uterine myomas. Am J Forensic Med Pathol. 2013;34(3):207-9. http://dx.doi.org/10.1097/PAF.0b013e318298a456. PMid:23835533
Srettabunjong S, Chuangsuwanich T. Inferior vena cava tumor thrombosis secondary to metastatic uterine cancer: a rare cause of sudden unexpected death. J Forensic Sci. 2016;61(2):555-8. http://dx.doi.org/10.1111/1556-4029.13032. PMid:27404631
Notes
Author notes
Correspondence Riccardo Zoja Sezione di Medicina Legale - Università degli Studi Via Luigi Mangiagalli, 37 - Milano - Italy C.A.P.: 20133 Phone: +39 (02) 50315685/Fax: +39 (02) 50315724 riccardo.zoia@unimi.it
Conflict of interest declaration