Article / Clinical Case Report
Pulmonary histoplasmoma: a disguised malady
Pulmonary histoplasmoma: a disguised malady
Autopsy and Case Reports, vol. 8, no. 4, e2018065, 2018
Hospital Universitário da Universidade de São Paulo
Received: 30 October 2018
Accepted: 14 November 2018
Abstract: Histoplasmosis is a mycosis caused by the dimorphic fungus, Histoplasma capsulatum, which is transmitted via dust and aerosols. Lung involvement is the most common, with a varied clinical presentation. Although it is not the only source of infection, H. capsulatum is frequently found in bat guano, which is the reason why it is highly prevalent among caving practitioners. The solitary histoplasmoma of the lung is an unusual and chronic manifestation of this entity, which mimics, or at least is frequently misconstrued, as a malignancy. Almost invariably, the diagnosis of this type of histoplasmosis presentation is achieved after lung biopsy. The authors present the case of a young woman who sought medical care because of chest pain. The diagnostic work-up revealed the presence of a pulmonary nodule. She was submitted to a thoracotomy and wedge pulmonary resection. The histologic analysis rendered the diagnosis of histoplasmoma. This report aims to call attention to this diagnosis as the differential diagnosis of a pulmonary nodule.
Keywords: Histoplasmosis, Fungal, Lung Diseases, Granulomatous Diseases, Chronic.
CASE REPORT
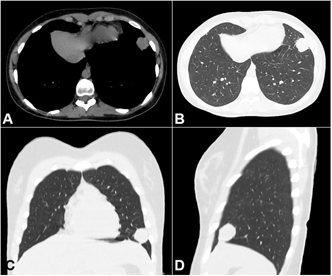
A 25-year-old woman sought medical attention complaining of chest pain, with characteristics of pleurisy, at the base of the left hemithorax, which had progressed over the last 6 months. Initially, the symptom was intermittent and of variable duration. She denied fever or weight loss. Her past medical history included asthma and a papillary thyroid carcinoma, which was resected 8 years ago, with no evidence of relapse to date. The physical exam was normal except for the presence of a central neck scar. A chest radiograph (Figure 1) showed a round opacity (coin lesion) at the base of the left pulmonary inferior lobe, which, on the thoracic computed tomography (Figure 2) was revealed to be a peripheral lesion in close contact with the pleura, measuring approximately 2.5 cm in its longest axis.


The initial working diagnosis was a neoplastic lesion because of the prior thyroid disease. The patient was submitted to a thoracotomy, and a wedge pulmonary resection was performed. The specimen was analyzed by frozen sections, which ruled out malignancy. The post-operative recovery was uneventful and she was discharged on day 5 after surgery, and was kept off medications.
Grossly, the lesion was round, measured 2.5 cm, and was surrounded by a dense and thick fibrous capsule with a softened and pearly-colored core, which contained concentric whitish layers resembling an onion (the latter was most evident after the formalin fixation) with few interspersed calcifications (Figure 3A and 3B). Histopathology showed a sharp single nodule limited by a fibrous capsule. The center showed coagulative necrosis with concentric lines of mild calcification. The periphery showed palisaded histiocytes and moderate inflammatory infiltrate composed of lymphocytes, plasma cells, and some multinucleated giant cells. The Gomori-Grocott with silver methenamine (GMS) stain showed numerous rounded to oval clustered 2-4 µm yeast-like forms, consistent with Histoplasma capsulatum. The Ziehl-Neelsen staining failed to demonstrate acid fast bacilli. No malignancy was evidenced (Figure 3C and 3D).

Retrospectively, after the diagnosis had been made, the patient was quizzed about any risky exposure to histoplasmosis. She reported that, because of her work, she had been visiting caves and charcoal mines, and she had been working in a laboratory that was eventually inhabited by bats.
DISCUSSION
A pulmonary nodule is defined, radiographically, as a lesion measuring ≤3 cm surrounded by pulmonary parenchyma; not accompanied by adenopathy, atelectasis, or pleural effusion.1,2 The diagnosis of a pulmonary nodule is a frequent cause of unease for both patient and clinician alike, who fears that it might indicate malignancy. However, in two data sets, the rate of cancer in persons with pulmonary nodules is limited to 3.7%-5.5%.3,4 In this setting, some characteristics may favor the differential diagnosis between benignity and malignancy. According to Midthun et al.,4 the likelihood of malignancy increases with the nodule size, as well as the doubling time of fewer than 400 days. Similarly, a greater degree of contrast enhancement (>20 Hounsfield units [UH]) may indicate malignancy with a sensitivity of 98% and a specificity of 58%. The lack of enhancement by more than 15-20 UH has a positive predictive value for benignity of 95%.5
Some patterns of calcification (diffuse, central, laminar, concentric, and popcorn) are usually a sign of benignity, while the stippled and eccentric patterns are more suspicious of malignancy.6,7 The nodule’s border, the internal characteristics, and its location, may also help in this differentiation. Our patient’s nodule, except for the juxtapleural localization, had no other characteristic that could favor either benign or malignant behavior. In general, small, stable (non-growing) calcified, non-spiculated nodules in non-smokers or patients with no previous history of cancer are somehow considered benign (without certainty), but lesions that deviate from this pattern may be suspected as malignant.
Despite lung cancer mostly involves older patients—or at least after the fifth decade of life—younger patients with lung cancer have been reported.8 Thus, although less probable, our patient’s age could not rule out this possibility. The papillary thyroid carcinoma is well-known for its non-aggressive behavior; however, this tumor may rarely present with pulmonary metastasis alone at the time of the diagnosis or during the follow-up.9,10 The differential diagnosis that could be considered in our case, along with primary or secondary pulmonary neoplasia, could include lung abscess, tuberculoma, lymphoma, granulomatosis with polyangiitis, chondroma, hamartoma, or solitary fibrous tumor of the pleura. As our patient did not present any systemic symptom that could favor inflammation of infectious origin, the past medical history of thyroid carcinoma profoundly influenced the suspicion of metastatic disease. Considering the differential diagnosis and the main diagnostic possibilities, the surgeon opted for a pulmonary wedge resection rather than a percutaneous biopsy for histological confirmation.
Histoplasmosis is a ubiquitous infection caused by the dimorphic fungus H. capsulatum. The transmission occurs via dust and aerosols containing spores (conidia). Recently, the World Health Organization broadened their list of core neglected tropical diseases to include deep mycoses, of which histoplasmosis is one.11
In 1958, Emmons12 reported the fatal case of a child with histoplasmosis whose siblings also became ill after moving to a country house where bats inhabited the attic. Histoplasma was isolated repeatedly from the four sides of the house to a distance of 1.5 meters, establishing the association of histoplasmosis with bat dropings.12 Other sources of infection include exposure to the excreta of chickens and other birds, through cleaning the aviary or using their excreta as fertilizer, for example.13 Occasional or occupational exposure to bat caves has been reported as an important epidemiological risk factor for new cases of histoplasmosis.14-20 For these epidemiological characteristics, histoplasmosis in the immunocompetent patient is more likely to occur in the rural area, or be linked to an occupational hazard. However, in high endemic areas of the globe, histoplasmosis is also considered a cosmopolitan mycosis.21 Along with residing in an endemic region of Brazil, our patient practiced caving and had great occupational exposure to H. capsulatum
Of historical value, there is an exciting story involving this fungus. In 1922, a team led by the British explorer, Howard Carter, discovered the intact tomb of the 18th dynasty pharaoh, Tutankhamun. A few months later, his benefactor, Lord Carnarvon, developed fever, enlarged glands, and pneumonia, and subsequently died. This event generated the largely spread myth of “King Tut's curse.” Recent studies suggest that he might have had histoplasmosis.22,23
The pulmonary forms of this mycosis can be classified as (i) acute pulmonary histoplasmosis that results from a high-inoculum infection; (ii) chronic pulmonary histoplasmosis that happens in the setting of pre-existing abnormal lung architecture such as emphysema; (iii) histoplasmoma, a rare form of the chronic presentation; and (iv) disseminated histoplasmosis defined by the presence of an extrapulmonary foci mostly found in immunocompromised individuals. These classifications depend on the number of inhaled spores, the duration of the infection from the initial symptoms, and the immune status of the host.21
The pulmonary histoplasmoma results from a small number of inhaled spores accompanied by excessive fibrosis after the granuloma formation.24 Usually, a tiny lesion of 2-4 mm is formed and rarely progresses. However, in a few patients (for yet unknown reasons) the lesion grows and reaches up to 4 cm after a variable period.
Symptom-wise, an enlightening report of 58 cases by Sutaria et al.25 reveals that half of the patients were asymptomatic and presented to the hospital for evaluation after a routine chest radiogram. The symptomatic half complained most frequently of cough (38%), chest pain (26%), fever (17%), and fatigue (12%), which occurs several weeks after exposure. Weight loss, hemoptysis, and dyspnea were occasionally reported.
As in the patient reported herein, pulmonary histoplasmoma occurs as an isolated coin lesion on the chest x-ray.26 Unfortunately, the calcification deposits were not depicted by the imaging examinations. When present, the pattern of calcification is helpful to the diagnosis, as the calcium deposits in concentric rings, or those found in the center of the lesion, are highly consistent with the diagnosis.27 Also, calcified lesions are encountered more frequently in histoplasmoma than in tuberculoma.15 However, their presence is not an essential finding.28
The diagnosis of histoplasmosis cannot be achieved on the basis of clinical and or radiological information alone. The demonstration of the fungus presence by culture, histological examination, or serological tests is required. The isolation of the fungus on specific culture media is time-consuming and currently lacks sensitivity. There are some available serologic tests for diagnosing current histoplasmosis by antigen or antibody detection. The detection of precipitins by immunodiffusion to the antigens H and M is widely available but with specificity ranging from 70% to 100%. Complement fixation tests for histoplasmosis have a sensitivity range of 70%-90%, but are less specific than immunodiffusion.21 The detection of antibodies by ELISA shows good sensitivity but poor specificity (66%-86%).21 A study in Brazil using a Western blot test strip showed a sensitivity of 94.9% and a specificity of 94.1%.29 Although serologic tests show better results for chronic cases, their sensitivity to diagnose a solitary pulmonary nodule is disappointing,30 and the diagnosis virtually always demands a histopathological analysis.
The best approach for obtaining tissue varies with the location and size of the lesion, as well as the level of suspicion for malignancy. Transthoracic fine-needle aspiration or wedge resection are good options for most patients with peripherally located lesions.25,28
Histologically, the identification of the fungus requires special stains, as routine hematoxylin and eosin staining may not reveal the organisms or may require a skilled pathologist.24,26 Nevertheless, the GMS or periodic acid-Schiff (PAS) staining greatly facilitates the fungi visualization. The yeasts can be found in the necrotic areas and in the center of the granuloma.24 The histological differential diagnosis includes other fungal infections such as blastomycosis, cryptococcosis, coccidioidomycosis, and pneumocytosis. However, these have different morphology and staining characteristics; blastomycosis is much larger in size, ranging from 8 to 15 µm in diameter, and demonstrates broad-based budding; cryptococcus is somewhat pleomorphic, measures 4-10 µm and presents a thick mucinous capsule that stains bright red with mucicarmine; coccidioidomycosis can be diagnosed by the visualization of ruptured or intact 100 μm spherule with endospores, which is better evidenced by calcofluor white fluorescent stain; and pneumocystosis, which measures 4-6 µm, lacks budding with intracystic focus, and exhibits cup- or boat-shaped cysts. Histoplasmosis morphological characteristics involve an oval 2-4 μm, which may show narrow-based buds with cell walls highlighted by GMS and PAS. Fungi may be clustered within the histiocytes and occasionally within neutrophils.31
According to the Infectious Disease Society of America Guidelines, antifungal treatment is not recommended (strength recommendation AIII) for asymptomatic patients with isolated histoplasmoma.27 As the histoplasmoma is usually resected in the pursuit of malignancy detection, no further therapeutic measures are considered necessary, even for lesions greater than 3 cm in diameter, and the prognosis is good.32,33
Our message for the clinician to take away is to have histoplasmoma on their differential diagnosis list when facing a peripheral pulmonary coin lesion in a patient with cough, chest pain, and poor systemic involvement with the aforementioned epidemiology.
The authors retain an informed consent signed by the patient, and the manuscript is in accordance with the Institutional Ethics Committee.
REFERENCES
1 Hansell DM, Bankier AA, MacMahon H, McLoud TC, Müller NL, Remy J. Fleischner Society: glossary of terms for thoracic imaging. Radiology. 2008;246(3):697-722. http://dx.doi.org/10.1148/radiol.2462070712. PMid:18195376
2 Callister ME, Baldwin DR, Akram AR, et al. British Thoracic Society guidelines for the investigation and management of pulmonary nodules. Thorax. 2015;70(8):794-8
3 McWilliams A, Tammemagi MC, Mayo JR, et al. Probability of cancer in pulmonary nodules detected on first screening CT. N Engl J Med. 2013;369(10):910-9. http://dx.doi.org/10.1056/NEJMoa1214726. PMid:24004118
4 Midthun DE, Swensen S, Jett JR, Hartman TE. O-127 Evaluation of nodules detected by screening for lung cancer with low dose spiral computed tomography. Lung Cancer. 2003;41(2):S40. http://dx.doi.org/10.1016/S0169-5002(03)91785-5.
5 Ohno Y, Nishio M, Koyama H, et al. Dynamic contrast-enhencement CT and MRI for pulmonary nodule assessment. AJR Am J Roentgenol. 2014;202(3):515-29. http://dx.doi.org/10.2214/AJR.13.11888. PMid:24555587
6 Xu DM, van der Zaag-Loonen HJ, Oudkerk M, et al. Smooth or attached solid indeterminate nodules detected at baseline CT screening in the NELSON study: cancer risk during 1 year of follow-up. Radiology. 2009;250(1):264-72. http://dx.doi.org/10.1148/radiol.2493070847. PMid:18984780
7 Good CA, Wilson TW. The solitary circumscribed pulmonary nodule; study of seven hundred five cases encountered roentgenologically in a period of three and one-half years. J Am Med Assoc. 1958;166(3):210-5. http://dx.doi.org/10.1001/jama.1958.02990030008003. PMid:13491327
8 Sacher AG, Dahlberg SE, Heng J, Mach S, Jänne PA, Oxnard GR. Association between younger age and targetable genomic alterations and prognosis in Non-Small-Cell lung cancer. JAMA Oncol. 2016;2(3):313-20. http://dx.doi.org/10.1001/jamaoncol.2015.4482. PMid:26720421
9 Benedict M, Costa J. Metastatic papillary thyroid carcinoma with multifocal synchronous transformation to anaplastic thyroid carcinoma. Case Rep Pathol. 2016;2016:1-5. PMid:27774331
10 Lin JD, Chao TC, Chou SC, Hsueh C. papillary thyroid carcinomas with lung metastases. Thyroid. 2004;14(12):1091-6. http://dx.doi.org/10.1089/thy.2004.14.1091. PMid:15650364
11 Oladele RO, Ayanlowo OO, Richardson MD, Denning DW. Histoplasmosis in Africa: An emerging or neglected disease? PLoS Negl Trop Dis. 2018;12(1):1-12. http://dx.doi.org/10.1371/journal.pntd.0006046. PMid:29346384
12 Emmons CW. Association of bats with histoplasmosis. Public Health Rep. 1958;73(7):590-5. http://dx.doi.org/10.2307/4590196. PMid:13568009
13 Benedict K, Mody RK. Epidemiology of histoplasmosis outbreaks, United States, 1938-3013. Emerg Infect Dis. 2016;22(3):370-8. http://dx.doi.org/10.3201/eid2203.151117. PMid:26890817
14 Cano MV, Hajjeh RA. The epidemiology of histoplasmosis: a review. Semin Respir Infect. 2001;16(2):109-18. http://dx.doi.org/10.1053/srin.2001.24241. PMid:11521243
15 Erkens K, Lademann M, Tintelnot K, Lafrenz M, Kaben U, Reisinger EC. Histoplasmosis group disease in bat researchers returning from Cuba. Dtsch Med Wochenschr. 2002;127(1-2):21-5. http://dx.doi.org/10.1055/s-2002-19428. PMid:11905225
16 Huhn GD, Austin C, Carr M, et al. Two outbreaks of occupationally acquired histoplasmosis: more than workers at risk. Environ Health Perspect. 2005;113(5):585-9. http://dx.doi.org/10.1289/ehp.7484. PMid:15866767
17 Nygård K, Brantsaeter A, Feruglio S, et al. Histoplasmosis among travellers to Central America. Tidsskr Nor Laegeforen. 2006;126(21):2838-42. PMid:17086244
18 Disalvo AF. Mycotic morbidity - an occupational risk for mycologists. Mycopathologia. 1987;99(3):147-53. http://dx.doi.org/10.1007/BF00437437. PMid:3309663
19 Tesh RB, Schneidau JD Jr. Naturally occurring histoplasmosis among bat colonies in the Southeastern United States. Am J Epidemiol. 1967;86(3):545-51. http://dx.doi.org/10.1093/oxfordjournals.aje.a120764. PMid:5625363
20 Valdez H, Salata RA. Bat-associated histoplasmosis in returning travelers: case presentation and description of a cluster. J Travel Med. 1999;6(4):258-60. http://dx.doi.org/10.1111/j.1708-8305.1999.tb00529.x. PMid:10575176
21 Guimarães AJ, Nosanchuk JD, Zancopé-Oliveira RM. Diagnosis of Histoplasmosis. Braz J Microbiol. 2006;37(1):1-13. http://dx.doi.org/10.1590/S1517-83822006000100001. PMid:20445761
22 Nelson MR. The mummy’s curse: historical cohort study. BMJ. 2002;325(7378):1482-4. http://dx.doi.org/10.1136/bmj.325.7378.1482. PMid:12493675
23 McCann J. The Pharaoh’s Curse: What do King Tut, Johnny Cash, and Bob Dylan have in common? Chapel Hill: Endeavors; 2009 [cited 2018 Nov 27. Available from: http://endeavors.unc.edu/fall2009/the_pharaohs_curse.php
24 Unis G, Pêgas KL, Severo LC. Histoplasmoma Pulmonar no Rio Grande do Sul. Rev Soc Bras Med Trop. 2005;38(1):11-4. http://dx.doi.org/10.1590/S0037-86822005000100003. PMid:15717088
25 Sutaria MK, Polk JW, Reddy P. Focalized Pulmonary Histoplasmosis (Coin Lesion): A report of 58 cases. Chest. 1972;61(4):361-4. http://dx.doi.org/10.1378/chest.61.4.361. PMid:5020255
26 Galetta D, Pelosi G, Nebuloni M, Spaggiari L. Challenging diagnosis of an unusual solitary pulmonary nodule. Thorac Cardiovasc Surg. 2007;55(2):120-9. http://dx.doi.org/10.1055/s-2006-924407. PMid:17377868
27 Wheat LJ, Freifeld AG, Kleiman MB, et al. Clinical practice guidelines for the management of patients with histoplasmosis: 2007 update by the Infectious Diseases Society of America. Clin Infect Dis. 2007;45(7):807-25. http://dx.doi.org/10.1086/521259. PMid:17806045
28 Ye C, Zhang G, Wang J, Chai Y. Histoplasmosis presenting with solitary pulmonary nodule: Two cases mimicking pulmonary metastases. Niger J Clin Pract. 2015;18(2):304-6. http://dx.doi.org/10.4103/1119-3077.151075. PMid:25666013
29 Almeida MA, Pizzini CV, Damasceno LS, et al. Validation of western blot for Histoplasma capsulatum antibody detection assay. BMC Infect Dis. 2016;16(1):87. http://dx.doi.org/10.1186/s12879-016-1427-0. PMid:26905567
30 Hage CA, Wheat LJ, Loyd J, Allen SD, Blue D, Knox KS. Pulmonary histoplasmosis. Semin Respir Crit Care Med. 2008;29(2):151-65. http://dx.doi.org/10.1055/s-2008-1063854. PMid:18365997
31 Guarner J, Brandt ME. Histopathologic diagnosis of fungal Infections in the 21st century. Clin Microbiol Rev. 2011;24(2):247-80. http://dx.doi.org/10.1128/CMR.00053-10. PMid:21482725
32 Richmond BW, Worrell JA, Bastarache JA, Gervich DH, Slattery WR, Loyd JE. Histoplasmomas of Uncommon Size. Chest. 2013;143(6):1795-8. http://dx.doi.org/10.1378/chest.12-2071. PMid:23732591
33 Wheat LJ, Freifeld AG, Kleiman MB, et al. Clinical practice guidelines for the management of patients with histoplasmosis: 2007 update by the infectious diseases society of America. Clin Infect Dis. 2007;45(7):807-25. http://dx.doi.org/10.1086/521259. PMid:17806045
Notes
Author notes
Correspondence Paulo Marcelo Pontes Gomes de Matos Internal Medicine Department - University of São Paulo School of Medicine Rua Artur de Azevedo, 142, ap 21 - Cerqueira César - São Paulo/SP - Brazil CEP: 05404-000 Phone: +55 (85) 9938-1212 paulo.matos@hc.fm.usp.br
Conflict of interest declaration