Abstract: Fibrous dysplasia (FD) is a relatively rare osseous disease of unknown etiology, wherein the normal bone is replaced by collagen-rich tissue, comprising of fibroblasts and variably abundant immature woven bone. Clinically, it may involve a single bone or multiple bones. It commonly arises in the jaw bone, skull, rib, and proximal femur. Those arising in the skull and the jaw are together termed “craniofacial fibrous dysplasia.” The differential diagnosis at this location includes meningioma and metastatic carcinoma. In this report, we highlight two diagnostically challenging cases presenting with orbital swelling and headache as the main complaints. Our first case was misinterpreted as meningioma on intraoperative squash smear, and paraffin sections revealed characteristic features of FD. The second case highlights the morphological feature of non-specific cystic degeneration occurring in FD. Radiographs in such cases show cystic swelling, which is indicative of a secondary aneurysmal bone cyst.
Keywords:Fibrous Dysplasia, MonostoticFibrous Dysplasia, Monostotic,MeningiomaMeningioma,Bone Cysts, AneurysmalBone Cysts, Aneurysmal.
Article / Clinical Case Report
Monostotic craniofacial fibrous dysplasia: report of two cases with interesting histology
Received: 26 January 2019
Accepted: 31 March 2019
Fibrous dysplasia (FD) is a benign intramedullary fibro-osseous lesion, which is regarded as a bone developmental anomaly characterized by replacement of normal bone and its marrow by variably abundant immature woven bone.1,2 Clinically, it may involve single bone (monostotic disease) or multiple bones (polyostotic disease).3 It commonly arises in the jaw bone, skull, rib, and proximal femur. Those arising in the skull and jaw are together termed “craniofacial fibrous dysplasia.”3 The associated clinical symptoms depend upon the affected bone or bones.4
In this report, we highlight the two diagnostically challenging cases presenting with orbital swelling and the history of headache. Our first case was misinterpreted as meningioma on intraoperative squash smear and paraffin sections revealed characteristic features of FD. The second case highlights the rare morphological feature of cystic degeneration occurring in FD. Radiographs in such case show cystic swelling, which is indicative of a secondary aneurysmal bone cyst.5 Cortical destruction with soft tissue extension is usually indicative of malignant transformation and thus needs a thorough histological assessment.6
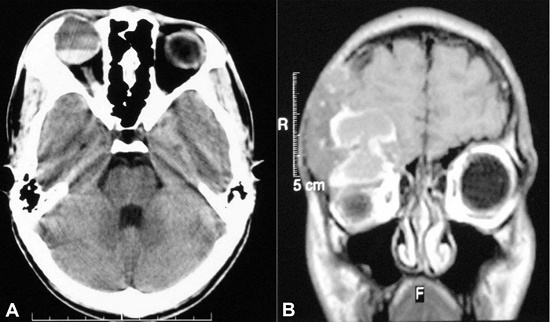
A 35-year-old female presented with left fronto-orbital swelling of 10 years’ duration. She had progressive deterioration of vision in the left eye for 1.5 years, and could barely perceive hand movements close to face. The proptosis increased over the last month. The left eye was displaced inferiorly and medially. No endocrine abnormalities were detected. Radiology revealed a lesion involving the orbital roof, the frontal bone, and the sphenoid wing (Figures 1A and 1B).

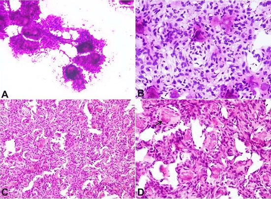
The patient was operated on through a twin-piece craniotomy. Intraoperatively, the lesion was found to be of variable consistency with fibrous, fleshy, and cystic areas. The morphological features at the time of the intraoperative frozen section suggested a meningioma (Figures 2A and 2B).

However, the paraffin sections revealed a cellular lesion characterized by sheets of fibroblastic cells on a low magnification, which closely resembled a meningioma (Figure 2C). Intimately admixed within these fibroblast-rich islands were small trabeculae of irregularly shaped immature woven bone devoid of osteoblastic riming, which were noted on a higher magnification (Figure 2D). The central portion in some of these small trabeculae revealed calcification that mimicked psammoma bodies of meningioma, which perhaps are a diagnostic pitfall. Mitosis was extremely rare. Postoperatively the patient improved cosmetically, and her vision improved marginally. The histological features are characteristic as encountered in craniofacial FD.
A 16-year-old male presented with a history of headache and swelling over the right supraorbital region of 25 days’ duration. There was no history of diplopia, nystagmus, or blurred vision. On examination, there was a fixed, non-tender, hard, bony bulge present over the right supraorbital region.
Computed tomography showed a bony expansion and the presence of multiloculated cystic swelling in the orbital part of the right frontal bone, suggestive of an aneurysmal bone cyst (Figures 3A and 3B). With the working diagnosis of a right supra-orbital aneurysmal bone cyst, a right fronto temporoparietal craniotomy with right orbital roof and lateral wall removal were performed.

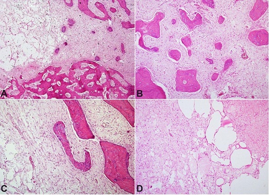
Sections examined from the excised part of the frontal bone showed a normal cortical bone at the periphery, while a lesional tissue was identified in the center (Figure 4A). This center lesion revealed numerous irregular-shaped trabeculae of immature woven bone without osteoblastic rimming (Figures 4B and 4C). Large areas of cystic degeneration were also identified (Figure 4D).

There were no features to suggest an aneurysmal bone cyst, such as blood-filled cystic spaces separated by a spindle cell and multinucleated giant cells.
Based on the histomorphological features, diagnosis of fibrous dysplasia with secondary cystic change was made. Postoperatively, the patient presented a cosmetic improvement and has been symptom-free for the year following surgery.
FD is a developmental tumor-like condition and still remains as a clinicopathologic challenge for many reasons. This is because it may present with clinical and radiographic features that border with other benign fibro-osseous lesions of the skeleton, and occasionally it may be confused with certain elusive types of malignancies.7
The radiological presence of cortical destruction is a harbinger of malignant transformation in patients with FD. This is particularly noted in patients with craniognathic disease who undergo radiotherapy of the affected area. Osteosarcoma accounts for more than half of all the malignant neoplasms in FD, followed by fibrosarcoma and chondrosarcoma, secondary angiosarcomas, and a malignant fibrous histiocytoma.8,9 Secondary cystic degeneration within FD rarely occurs, and is radiologically interpreted as a secondary aneurysmal bone cyst.5
Intraosseous sphenoid wing meningioma can closely mimic FD both clinically and radiologically.10 The microscopy at a low magnification closely mimics a meningioma and is easy to misdiagnose; however, the characteristic features of meningioma—such as a whorling pattern, a syncytial arrangement, and bland nuclear features—are typically absent. The key morphological features of FD include trabeculae of immature woven bone without osteoblastic rimming, which sometimes closely mimics whorls and psammoma bodies of meningioma.10
The metastatic carcinoma is another close differential at this site. However, the epithelial nature of neoplastic cells encountered in a metastatic carcinoma is the distinguishing factor.
Non-epithelial-lined cysts occasionally occur in association with various benign and malignant bone lesions; including FD, giant cell tumor, chondroblastoma, ossifying fibroma, benign osteoblastoma, cemento-osseous dysplasia, and osteosarcoma. These cysts vary in nature; some are aneurysmal bone cysts, while others include simple bone cysts or non-specific cystic degenerations. Non-specific cystic degeneration within FD have been occasionally described in earlier reports.11 In the second case study, FD with non-specific cystic degeneration presented as a rapidly growing scalp mass and mimicked an aneurysmal bone cyst on radiology.
Complete surgical resection is recommended for patients with rapidly expanding FD or with lesions that encroach on the orbit as noticed in case study #1. The growth of FD often tends to stabilize, and occasionally stops when skeletal maturity is attained; hence, surgical intervention in children and adolescents with more extensive lesions should be delayed as long as possible. Radiation therapy is contraindicated owing to the increased risk of malignant transformation. Long-term clinical and radiographic follow-up is recommended in patients with FD.12
FD presenting as fronto-orbital swelling requires careful evaluation by an experienced team of clinicians, radiologists, and pathologists to ensure that it is not overtreated as a malignancy, or misdiagnosed as an aneurysmal bone cyst or meningioma.
Correspondence Kirti Gupta Department of Histopathology - Postgraduate Institute of Medical Education and Research (PGIMER) Sector 12, Chandigarh, India CEP: 160012 Phone: +91 (172) 2755105 / Fax: 0172-2744401 kirtigupta10@yahoo.co.in



