Clinical Case Report and Review
Solid papillary carcinoma of the breast
Solid papillary carcinoma of the breast
Autopsy and Case Reports, vol. 12, e2021352, 2022
Hospital Universitário da Universidade de São Paulo
ABSTRACT: Solid Papillary Carcinoma (SPC) of the breast is a rare tumor with an incidence of less than 1%, mainly affecting elderly females. It is morphologically characterized by well-defined nodules with low-grade nuclear features associated with fibrovascular cores and shows neuroendocrine differentiation. SPC can be in-situ or invasive but has a favorable prognosis. It is a morphological mimicker of some pre-malignant conditions leading to its frequent misdiagnosis. An appropriate immunohistochemical (IHC) panel workup helps in distinguishing this tumor from its various morphological mimics. In this report, we present one such case of SPC with a small focus of invasion, reviewing the literature.
Keywords: Carcinoma, Papillary, Breast Neoplasms, Unilateral Breast Neoplasms, Carcinoma.
INTRODUCTION
Solid papillary carcinoma (SPC) is an uncommon malignancy of elderly females. It has an incidence of less than 1%, with the mean age of presentation being 70 years.1 It is said to originate from expanded ducts and mostly involves the central region of the breast. Morphologically, it is composed of well-circumscribed nodules with fibrovascular cores along with the presence of low-grade ductal cells. Their microscopic appearance may often be misinterpreted for other lesions such as florid ductal hyperplasia, lobular neoplasia, intracystic papillary carcinoma, and low nuclear grade ductal carcinoma in situ (DCIS).2 It usually follows an indolent behavior unless it is associated with invasion. The WHO classification (5th edition, 2019)3 considers carcinoma in situ for staging purposes without demonstrable or doubtful invasive foci.3 It has been documented that upfront metastasis is found in only 0.4% of cases and about 90% are localized lesions.4 On extensive literature search on Medline, PubMed, and Scopus,4 296 cases have been reported to date among pre and post-menopausal females. We hereby present one such case, which was referred to our tertiary care center.
CASE REPORT
A 65-year-old female, with no family history of any malignancy, had presented with a palpable lump in the left breast (upper inner quadrant) associated with bloody nipple discharge of 3 months duration at a peripheral hospital. Sono-mammography revealed a solitary, solid, and incompressible hypoechoic nodule in the retroareolar region, measuring 17.5 x 9 mm, with heterogeneous echotexture and irregular margins, consistent with Breast Imaging Reporting and Data System (BIRADS).3 The patient underwent fine-needle aspiration cytology (FNAC) of the lesion, which was suspected of malignancy. Subsequent core biopsy of the lump was diagnosed as Invasive Lobular Carcinoma. FDG-PET scan revealed an ill-defined, hypermetabolic, heterogeneously enhancing soft tissue nodular lesion involving the upper inner quadrant of the left breast measuring 13 x 9 x 25 mm, with SUV max 4.6 (Figure 1).

No FDG avid lymph nodes were identified in bilateral axillae. She underwent modified radical mastectomy along with left axillary lymph node dissection, and the histopathology was reported as lobular carcinoma-in-situ.
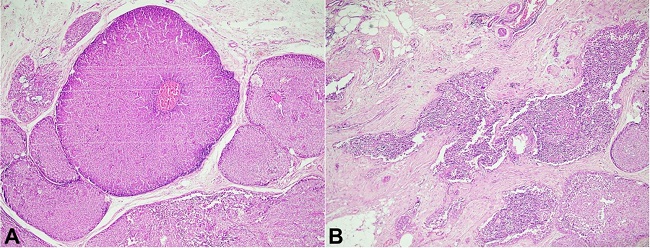
The patient was referred to our center for further management and review of the paraffin-embedded blocks of the resected specimen. The hematoxylin-eosin (H&E) stained sections revealed a tumor arranged in circumscribed large cellular nodules, closely apposed and expanded, separated by bands of the fibrovascular stroma. These nodules had foci of tumor arranged in papillae with fibrovascular cores. The tumor cells were predominantly round to ovoid, most of them showing moderate nuclear pleomorphism and granular eosinophilic cytoplasm with inconspicuous nucleoli. Occasional pseudo rosette formation was seen. However, no cellular palisading was noted. Areas of the extracellular matrix along with foci of stromal invasion were also present (Figure 2).

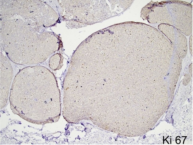
On the immunohistochemical panel reactions, the tumor cells showed strong reactivity for cytokeratin (CK7), synaptophysin, and chromogranin. E-cadherin was retained within the tumor cells. CD34 highlighted the intermixed blood vessels while p63 showed focal loss of myoepithelial cells along with the invasive foci. Breast biomarker studies revealed immunopositivity for estrogen receptor (ER) (Allred score 8/8) and progesterone receptor (PR) (Allred score 8/8), and negativity for Her2 (ASCO/CAP guideline IHC score 0)5 (Figure 3 and 4). The Ki-67 was 15-20% (Figure 5). Hence, a final diagnosis of SPC of the breast (pT2N0) with foci of invasion into the surrounding stroma was rendered. Given the favorable histology and pT2N0 stage, she is currently on adjuvant endocrine therapy.



DISCUSSION
In 1956, the term “Solid Papillary Carcinoma” was first proposed by Maluf and Koerner6 to describe a distinctive breast lesion, occurring especially among the elderly females and microscopically characterized by solid cellular proliferation of neoplastic cells supported by fibrovascular cores and forming circumscribed nodules.7 These neoplastic cells are monomorphous and present low-grade cytological features along with neuroendocrine differentiation. Most of these tumors show increased cellular proliferation, thereby masking the basic papillary properties, hence the name.
It is an uncommon breast lesion and constitutes approximately 1% of breast tumors.4 It is known to arise from the ducts and is considered a variant of ductal carcinoma in situ (DCIS) by some authors.8 These are well-defined lesions and can have mixed cystic and hemorrhagic components. The mean age of presentation is the 7th decade of life; however, it can also affect younger women. Our patient was 65 years old. About 95% of the tumors are unilateral, and approximately 50% arise in the retro-areolar or the subareolar regions; hence, most cases present as a centrally located breast mass with nipple discharge.9 Our patient also presented with an inner quadrant breast mass with bloody nipple discharge.
Mammography detection rates of this tumor range around 50%. Thus, many of the tumors may be mammographically occult.10 Ultrasonography detects around 50% of these tumors as BIRADS-4 or BIRADS-5 lesions. The ultrasonographic features include “frond-like” mass, either solid or complex cystic, within a dilated duct.11 The magnetic resonance imaging (MRI) is another radiological investigation tool with high sensitivity for detecting SPCs.10 A study has highlighted some characteristic features of SPC on MRI, including circumscribed lesion’s margins with heterogeneous signal intensity and rapid enhancement in the initial contrast phase and high apparent diffusion coefficient values with the absence of choline peak. These features may help to distinguish SPC from other invasive breast malignancies.12 The sono-mammography features of our case showed a hard and incompressible left breast mass with heterogeneous echotexture and irregular margins with spiculations, without any cystic changes or necrosis, consistent with BIRADS III lesion. Our patient was not submitted to an MRI study. FDG-PET scan, which is mainly done for the staging, restaging, and evaluation of treatment response in breast cancers, revealed a hypermetabolic soft tissue nodular lesion in the upper inner quadrant of the left breast with no other significant metabolic active disease elsewhere in the body. She was misdiagnosed as a case of ILC on a small biopsy.
Microscopically, SPCs are seen as multiple circumscribed nodules, each representing expanded ducts filled with neoplastic cells. In most cases, these nodules are composed of monomorphic cells with a low to intermediate nuclear grade. Sometimes the cells may appear spindled, and at other times may also appear plasmacytoid with granular eosinophilic cytoplasm and eccentrically-placed nuclei. The tumor nodules appear non-invasive due to their circumscription, and the demonstration of invasion becomes difficult at times.2,3 The papillary architecture is generally not apparent, but pseudo rosettes and nuclear palisading around stromal cores may be identified. Rarely, signet ring morphology may be seen.2,13
SPC characteristically shows intracellular mucinous differentiation, which, when present, clinches its diagnosis. Extracellular mucin production can also be seen; however, such foci need to be differentiated from invasive mucinous carcinoma.13 Mucinous carcinoma, Capella type B, characterized by large sheets of tumor cells with mucin production and neuroendocrine features, may resemble SPC to a large extent, especially when associated with less mucin production (≤50% mucinous component; a poor prognostic factor).14
There are two types of invasion patterns seen in SPC: SPC associated with conventional type of invasive carcinoma, where the invasive component may be composed of a pure invasive ductal carcinoma (IDC), or a mixed morphology composed of mucinous, neuroendocrine-like, IDC, or uncommonly, lobular and tubular subtypes. The invasive carcinoma component is usually low to intermediate-grade in these cases and often shows cytological features similar to the adjacent SPC. The second pattern predominantly shows SPC but with features of stromal invasion, most commonly associated with stromal desmoplasia. In such cases, SPC is often multinodular and shows multiple duct-like structures. SPC is considered invasive when the tumor nests show a characteristic jigsaw growth pattern with ragged and irregular margins.13 Immunohistochemistry plays an important role in the diagnosis of SPC. Loss of myoepithelial layer highlighted by the immunohistochemical loss of p63 is necessary to distinguish it from ductal carcinoma in-situ (DCIS), and may also confirm areas of doubtful invasion. Our case showed the absence of myoepithelial layer within the invasive foci highlighted by the loss of p63. Immuno-negativity of p63 was also seen in many tumor islands, thereby ruling out the solid/ papillary variant of DCIS.
The other helpful immunohistochemical feature for the definite diagnosis is the neuroendocrine differentiation (NED) reported in more than half of all SPC cases.3,15 Even though NED in other types of breast carcinomas has been regarded as a poor prognostic marker, the same is not true for SPC.15,16 The NED demonstrable in SPCs may therefore be considered more of a diagnostic rather than a prognostic marker.
SPC in-situ may be mistaken for other common breast neoplasms, such as papilloma with florid ductal hyperplasia. This lesion has well-formed fibrovascular cores, loss of monomorphism of the neoplastic cells and positivity for high molecular weight cytokeratins, which is negative in SPC.3 This distinction becomes difficult in the presence of overlapping features seen in either entities or when the sample is limited, such as in a core biopsy. The CK5/6 immunopositivity and the NED helps to distinguish between the two.17
Sometimes the histomorphological features of SPC in-situ or SPC with invasion, which is not so apparent, strongly mimic lobular carcinoma in situ (LCIS) as had happened with our case. The distinction between the two needs to be definitely made since LCIS is only a pre-malignant lesion involving different treatment protocols. Histomorphologically, LCIS is primarily a lobulocentric proliferation of small uniform cells, which fill and distend most of the acini in the involved lobule. It commonly involves the terminal duct lobular units (TDLUs). It is composed of small, uniform, round, and loosely cohesive cells, with or without intracytoplasmic mucin vacuoles, dense cytoplasm, and distinct cell membranes. Nuclei are small, monotonous, and eccentric, lack significant atypia or mitoses, and often have inconspicuous nucleoli. Their architectural appearance is characteristically called “marbles in a bag” appearance. Immunohistochemically, LCIS has accompanying myoepithelial cells in various patterns highlighted by markers such as p63, S-100 or smooth muscle myosin heavy chain (SMMHC) and the loss of E-cadherin.18 The solid papillary variant of invasive lobular carcinoma (ILC), which has been found to have a subclonal origin from the classical ILC, also may cause a diagnostic dilemma.19 Therefore, the subtle histomorphological features of solid lobules of monomorphic cell population with areas of papillary architecture, intra and extra-cellular mucin along with the immunohistochemical profile showing NED helps establish a diagnosis of SPC.
Table 1 compares features between florid ductal hyperplasia with papilloma, LCIS and SPC.

Other lesions that this entity may mimic include atypical ductal hyperplasia (ADH) and intracystic papillary carcinoma. Intracystic papillary carcinoma is defined as a solitary, centrally located malignant papillary proliferation involving a cystically dilated duct.20 While ADH does not show the presence of fibrovascular cores microscopically, like those seen in SPC; intracystic papillary carcinoma is characterized by the presence of papillary fronds lined by cuboidal cells that often reveal higher nuclear-grade on cytology.21
SPC may also, less commonly, mimic low-grade DCIS. However, it is to be noted that low-grade DICS, including neuroendocrine DCIS, fails to show a monotonous morphology of cells; and these cells lack the plasmacytoid or spindle cell appearance as seen in cells of SPC. Moreover, the presence of mucin, branching fibrovascular stroma, and ducts encompassed by fibrosis are also not the features of DCIS.21
Recently, there have also been reports of invasive lobular carcinomas (ILC) with a solid-papillary growth pattern mimicking SPC, known as Invasive lobular carcinoma with solid and encapsulated papillary carcinoma growth pattern.22 These cases typically showed focal merging of solid-papillary areas with classic invasive lobular carcinoma at the periphery, coupled with the presence of in situ lobular carcinoma and absent neuroendocrine differentiation, which supported a diagnosis of ILC over SPC. However, a separate study, which also reported a similar case, demonstrated that both the tumor’s solid-papillary and classic lobular components shared a common CDH1 mutation and a number of copy number alterations. In addition, the solid-papillary component had an additional 20q gain and 1p loss that have been reported to occur in the solid variant of invasive lobular carcinoma. It, therefore, concluded that both the solid-papillary and a classic lobular component of the tumor shared a common clonal ancestry. The diagnosis of invasive lobular carcinoma was confirmed by immunohistochemistry, which revealed negative E-cadherin, positive cytoplasmic P120, and deleted myoepithelium.22
With regards to breast biomarkers, SPCs show a luminal phenotype (estrogen and progesterone receptor positivity and Her2 negativity) with a relatively simple genome and a few copies of number alterations.23
Additional genetic features include loss of chromosome 16q and gain of chromosomes 1p and 16p. SPCs are also associated with a higher expression of genes attributing neuroendocrine differentiation, mainly RET, ASCL1 and DOC7.23
Table 2 compares the various cases of SPC reported so far in the literature.

The treatment protocols of SPC are still not well-established and vary from breast-conserving surgery to mastectomy depending upon the extent of the invasive component with or without adjuvant endocrine/chemotherapy. SPC in-situ is considered a variant of DCIS and is staged as pTis and treated on similar lines. The tumor size of SPC with invasion is determined by the invasive component only. The National Comprehensive Cancer Network (NCCN) guidelines mention the consideration of adjuvant endocrine therapy for smaller tumor size SPC (pT1-T3) without lymph node involvement or pN1mi. Adjuvant chemotherapy is definitely indicated in node-positive tumors.24 SPC is a tumor with a favorable prognosis with limited lymph node metastasis observed in only the ones with invasion.3
CONCLUSION
Solid Papillary Carcinoma is seen in older women with a favorable prognosis. It has a morphological overlap with various benign and malignant lesions. It requires a thorough clinical, radiological and immunohistochemical workup to reach a definite diagnosis so that appropriate therapy can be administered for maximum patient benefit.
REFERENCES
1 Guo S, Wang Y, Rohr J, et al. Solid papillary carcinoma of the breast: a special entity needs to be distinguished from conventional invasive carcinoma avoiding over-treatment. Breast. 2016;26:67-72. http://dx.doi.org/10.1016/j.breast.2015.12.015. PMid:27017244.
2 Saremian J, Rosa M. Solid papillary carcinoma of the breast a pathologically and clinically distinct breast tumor. Arch Pathol Lab Med. 2012;136(10):1308-11. http://dx.doi.org/10.5858/arpa.2011-0227-RS. PMid:23020734.
3 Tan PH, Ellis I, Allison K, et al. The 2019 World Health Organization classification of tumours of the breast. Histopathology. 2020;77(2):181-5. http://dx.doi.org/10.1111/his.14091. PMid:32056259.
4 Mac Grogan G, Collins L, Lerwill M, Pakha E, Tan B. Solid papillary carcinoma (insitu and invasive). In: WHO Classification of Tumors Editorial Board, ed. Breast tumors. France: IARC Press; 2019. p. 63-5.
5 Lin X, Matsumoto Y, Nakakimura T, et al. Invasive solid papillary carcinoma with neuroendocrine differentiation of the breast: a case report and literature review. Surg Case Rep. 2020;6(1):143. http://dx.doi.org/10.1186/s40792-020-00905-x. PMid:32562013.
6 Ahn S, Woo JW, Lee K, Park SY. HER2 status in breast cancer: changes in guidelines and complicating factors for interpretation. J Pathol Transl Med. 2020;54(1):34-44. http://dx.doi.org/10.4132/jptm.2019.11.03. PMid:31693827.
7 Maluf H, Koerner F. Solid papillary carcinoma of the breast. A form of intraductal carcinoma with endocrine differentiation frequently associated with mucinous carcinoma. Am J Surg Pathol. 1995;19(11):1237-44. http://dx.doi.org/10.1097/00000478-199511000-00003. PMid:7573685.
8 Nassar H. Solid papillary carcinoma of the breast. Pathol Case Rev. 2009;14(4):157-61. http://dx.doi.org/10.1097/PCR.0b013e3181b6ad5d.
9 Otsuki Y, Yamada M, Shimizu S, et al. Solidpapillary carcinoma of the breast: clinicopathological study of 20 cases. Pathol Int. 2007;57(7):421-9. http://dx.doi.org/10.1111/j.1440-1827.2007.02118.x. PMid:17587241.
10 Clement Z, Jones M. Solid papillary carcinoma of the breast: a review. Int J Surg Med. 2017;3(1):1. http://dx.doi.org/10.5455/ijsm.solid-papillary-carcinoma-of-the-breast.
11 You C, Peng W, Shen X, Zhi W, Yang W, Gu Y. Solid papillary carcinoma of the breast: magnetic resonance mammography, digital mammography, and ultrasound findings. J Comput Assist Tomogr. 2018;42(5):771-5. http://dx.doi.org/10.1097/RCT.0000000000000745. PMid:29613993.
12 Joseph B, Shah B, Shi D. Solid papillary carcinoma of the breast: mammographic and ultrasound appearance with histopathologic correlation. Ann Reviwes Res. 2019;5(3):7-9. http://dx.doi.org/10.19080/ARR.2018.04.555662.
13 Zhang L, Zhuang L, Shi C, et al. A pilot evaluation of magnetic resonance imaging characteristics seen with solid papillary carcinomas of the breast in 4 patients. BMC Cancer. 2017;17(1):525. http://dx.doi.org/10.1186/s12885-017-3518-8. PMid:28784112.
14 Pal SK, Lau SK, Kruper L, et al. Papillary carcinoma of the breast: an overview. Breast Cancer Res Treat. 2010;122(3):637-45. http://dx.doi.org/10.1007/s10549-010-0961-5. PMid:20524058.
15 Rakha EA, Ellis IO. Diagnostic challenges in papillary lesions of the breast. Pathology. 2018;50(1):100-10. http://dx.doi.org/10.1016/j.pathol.2017.10.005. PMid:29179906.
16 LaBoy C, Siziopikou K. Breast: Other carcinoma subtypes, WHO Classified - mucinous [Internet]. 2021 [cited 2021 Oct 8]. Available from: PathologyOutlines.com
17 Bogina G, Munari E, Brunelli M, et al. Neuroendocrine differentiation in breast carcinoma: clinicopathological features and outcome. Histopathology. 2016;68(3):422-32. http://dx.doi.org/10.1111/his.12766. PMid:26114478.
18 Kwon SY, Bae YK, Gu MJ, et al. Neuroendocrine differentiation correlates with hormone receptor expression and decreased survival in patients with invasive breast carcinoma. Histopathology. 2014;64(5):647-59. http://dx.doi.org/10.1111/his.12306. PMid:24117859.
19 Rabban JT, Koerner F, Lerwill M. Solid papillary ductal carcinoma in situ versus usual ductal hyperplasia in the breast: a potentially difficult distinction resolved by cytokeratin 5/6. Hum Pathol. 2006;37(7):787-93. http://dx.doi.org/10.1016/j.humpath.2006.02.016. PMid:16784976.
20 Wang Y, Jindal S, Martel M, Wu Y, Schedin P, Troxell M. Myoepithelial cells in lobular carcinoma in situ: distribution and immunophenotype. Hum Pathol. 2016;55:126-34. http://dx.doi.org/10.1016/j.humpath.2016.05.003. PMid:27195907.
21 Christgen M, Bartels S, van Luttikhuizen JL, et al. Subclonal analysis in a lobular breast cancer with classical and solid growth pattern mimicking a solid-papillary carcinoma. J Pathol Clin Res. 2017;3(3):191-202. http://dx.doi.org/10.1002/cjp2.76. PMid:28770103.
22 Yoshimura N, Murakami S, Kaneko M, Sakatani A, Hirabayashi N, Takiyama W. Synchronous bilateral solid papillary carcinomas of the breast. Case Rep Surg. 2013;2013:812129. http://dx.doi.org/10.1155/2013/812129. PMid:23844308.
23 Li X, Lin M, Xu J, et al. New variant of breast-invasive lobular carcinoma with solid and encapsulated papillary carcinoma growth pattern. Breast Cancer. 2021;28(6):1383-8. http://dx.doi.org/10.1007/s12282-021-01285-2. PMid:34363596.
24 Duprez R, Wilkerson PM, Lacroix-triki M, et al. Immunophenotypic and genomic characterisation of papillary carcinomas of the breast. J Pathol. 2012;226(3):427-41. http://dx.doi.org/10.1002/path.3032. PMid:22025283.
25 Tsang WY, Chan JK. Endocrine ductal carcinoma in situ (E-DCIS) of the breast: a form of low-grade DCIS with distinctive clinicopathologic and biologic characteristics. Am J Surg Pathol. 1996;20(8):921-43. http://dx.doi.org/10.1097/00000478-199608000-00002. PMid:8712293.
26 Eusebi V, Damiani S, Ellis I, Azzopardi J, Rosai J. Breast tumor resembling the tall cell variant of papillary thyroid carcinoma: report of 5 cases. Am J Surg Pathol. 2003;27(8):1114-8. http://dx.doi.org/10.1097/00000478-200308000-00008. PMid:12883243.
27 Cameselle-Teijeiro J, Abdulkader I, Barreiro-Morandeira F, Ruiz-Ponte C, Reyes-Santias R, Chavez E. Breast tumor resembling the tall cell variant of papillary thyroid carcinoma: a case report. Int J Surg Pathol. 2006;14(1):79-84. http://dx.doi.org/10.1177/106689690601400116.
28 Wei B, Bu H, Chen H, Zhang H, Li X. Clinicopathological study of solid papillary carcinoma of breast. Zhonghua Bing Li Xue Za Zhi. 2006;35(10):589-93. PMid:17134565.
29 Nicolas MM, Wu Y, Middleton LP, Gilcrease MZ. Loss of myoepithelium is variable in solid papillary carcinoma of the breast. Histopathology. 2007;51(5):657-65. http://dx.doi.org/10.1111/j.1365-2559.2007.02849.x. PMid:17927587.
30 Tosi AL, Ragazzi M, Asioli S, et al. Breast tumor resembling the tall cell variant of papillary thyroid carcinoma: report of 4 cases with evidence of malignant potential. Int J Surg Pathol. 2007;15(1):14-9. http://dx.doi.org/10.1177/1066896906295689. PMid:17172492.
31 Chang S, Fleiszer D, Mesurolle BEI, Khoury M, Omeroglu A. Breast tumor resembling the tall cell variant of papillary thyroid carcinoma. Breast J. 2009;15(5):531-5. http://dx.doi.org/10.1111/j.1524-4741.2009.00773.x. PMid:19594763.
32 Zhong D, Sun P, Liang Z. Clinicopathological features of solid papillary carcinoma in breast. J Diag Path. 2010;17:165-8.
33 Rakha EA, Gandhi N, Climent F, et al. Encapsulated papillary carcinoma of the breast: an invasive tumor with excellent prognosis. Am J Surg Pathol. 2011;35(8):1093-103. http://dx.doi.org/10.1097/PAS.0b013e31821b3f65. PMid:21753694.
34 Masood S, Davis C, Kubik M. Changing the term “breast tumor resembling the tall cell variant thyroid of papillary carcinoma” to “tall cell variant of papillary breast carcinoma”. Adv Anat Pathol. 2012;19(2):108-10. http://dx.doi.org/10.1097/PAP.0b013e318249d090. PMid:22313838.
35 Leena JB, Kini RG, Amber S. Invasive (solid) papillary carcinoma of the breast: a report of two cases. J Clin Diagn Res. 2013;7(6):1150-1. PMid:23905125.
36 Zheng X, Ge R, Meng L, Liu C. Clinicopathological study of solid papillary carcinoma in the breast. China Oncol. 2014;24:208-11.
37 Colella R, Guerriero A, Giansanti M, Sidoni A, Bellezza G. An additional case of breast tumor resembling the tall cell variant of papillary thyroid carcinoma. Int J Surg Pathol. 2015;23(3):217-20. http://dx.doi.org/10.1177/1066896914536222. PMid:24868004.
38 Chiang S, Weigelt B, Wen H, et al. IDH2 mutations define a unique subtype of breast cancer with altered nuclear polarity. Cancer Res. 2016;76(24):7118-29. http://dx.doi.org/10.1158/0008-5472.CAN-16-0298. PMid:27913435.
39 Foschini MP, Asioli S, Foreid S, et al. Solid papillary breast carcinomas resembling the tall cell variant of papillary thyroid neoplasms: a unique invasive tumor with indolent behavior. Am J Surg Pathol. 2017;41(7):887-95. http://dx.doi.org/10.1097/PAS.0000000000000853. PMid:28418993.
40 Şenel F, Karaman H, Eroǧlu M, Tuna Ö. Invasive papillary breast carcinoma, solid variant with neuroendocrine differentiation. Turk J Surg. 2015;33(4):302-4. http://dx.doi.org/10.5152/UCD.2015.3074. PMid:29260140.
Notes
Author notes
Correspondence Prerna Guleria Command Hospital (Southern Command), Department of Pathology Pune-411040, Maharashtra (India) Phone: +91-7807081644prernaguleria@yahoo.co.in
Conflict of interest declaration