Clinical Case Report
Received: 23 October 2022
Accepted: 18 November 2022
DOI: https://doi.org/10.4322/acr.2021.412
ABSTRACT: Solitary fibrous tumor (SFT) is a rare fibroblastic mesenchymal neoplasm with an estimated annual incidence of 0.35 per 100,000 individuals. Doege-Potter syndrome is a paraneoplastic syndrome related to solitary fibrous tumor clinically characterized by hypoglycemia, occurring in less than 5% of cases. Herein, we report a case of metastatic SFT associated with recurrent severe hypoglycemia. A 43-year-old male with a noncontributory medical history presented with a painless and progressive growing mass in the right thigh. The histological evaluation rendered the diagnosis of SFT, and tumor resection was performed. One year after the operation, on the oncological follow-up, he was admitted to the emergency unit, manifesting an early-morning seizure associated with a severe hypoglycemia. The laboratory findings of non-islet cell tumor hypoglycemia (NICTH) in the background of a relapsed metastatic solitary fibrous tumor were consistent with the diagnosis of Doege-Potter syndrome. Hepatic embolization associated with oral glucocorticoid was an efficient palliative treatment to control the hypoglycemic crisis and allow hospital discharge.
Keywords : Solitary Fibrous Tumors, Paraneoplastic Syndromes, Hypoglycemia.
INTRODUCTION
Solitary fibrous tumor (SFT) is a fibroblastic mesenchymal neoplasm, previously classified as hemangiopericytoma. It is a rare tumor, with an estimated annual incidence of 0.35 per 100,000 individuals.1
The pleura is the most involved site, and intrathoracic tumors account for approximately 30% of cases. The main extrapleural site is intraabdominal, including the peritoneum, retroperitoneal soft tissue, and pelvic visceral sites. Less than 10% of SFTs arise from deep tissues of the extremities and abdominal wall.2
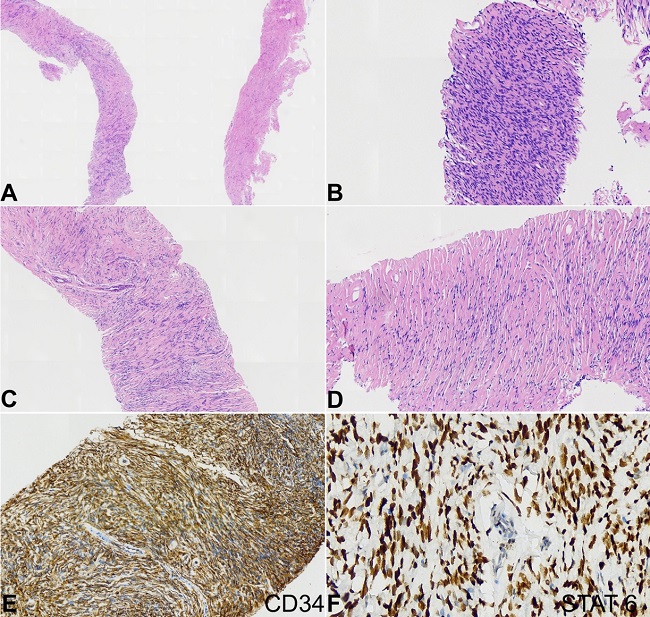
The diagnosis of SFT is based on histopathological features. The conventional marker in immunohistochemistry is CD34, although it lacks specificity since some other mesenchymal tumors may also express this protein (e.g., gastrointestinal stromal tumors). Other non-specific markers include CD117, DOG1, CD99, desmin and Bcl-2. The most sensitive and specific marker is STAT6, derived from the NAB-STAT6 fusion gene, which is recognized as a key factor in SFT tumorigenesis. Strong nuclear STAT6 staining reliably differentiates SFT from other tumors, except from dedifferentiated liposarcomas.3,4
An important paraneoplastic syndrome related to solitary fibrous tumors is hypoglycemia (Doege-Potter syndrome), which occurs in less than 5% of cases. Its pathophysiology is related to the secretion of large insulin-like growth factor 2 (IGF-2).5
Herein, we report a case of metastatic SFT associated with recurrent severe hypoglycemia.
CASE REPORT
A 43-year-old male with no medical history presented with a painless mass in the right thigh, with progressive growth. The patient sought medical attention, and a biopsy was performed. It revealed a spindle cell neoplasm with high cellularity and atypia that favored aggressive biological behavior. The immunohistochemical evaluation showed CD34, CD99, Bcl-2, and STAT6 positivity and negativity for S-100 and epithelial membrane antigen (EMA), thus confirming the diagnosis of a solitary fibrous tumor. As a research protocol, the oncologic treatment was initiated with neoadjuvant radiotherapy, with a total dose of 4000cGy, in 5 fractions. Tumor resection was then performed. Anatomopathological features of the resected tumor of the right thigh are displayed in Figure 1.

One year after the operation, he was admitted to the emergency unit, manifesting an early-morning seizure associated with a glucose level of 33 mg/dL (reference range: 70-99 mg/dL). His initial laboratory findings were unremarkable: HbA1c, renal, hepatic, thyroid, and adrenal function tests were normal. After 6-hour of fasting, the patient’s serum glucose level was 13 mg/dL, IGF1 23 ng/mL, insulin < 0.6 µU/mL, and C-peptide 0.05 nmol/L. Low serum insulin and IGF1 levels suggested high serum IGF2 levels (Table 1).

Imaging studies documented more than ten liver nodules, the largest in segments III (12.5 x 9.3 cm) and VII/VIII (11.2 x 8.8 cm), and osteolytic lesions in the vertebral bodies of D4 and L3, suggestive of metastases (Figure 2). Percutaneous liver biopsy confirmed hepatic metastases of SFT (Figure 3).


The laboratory findings of non-islet cell tumor hypoglycemia (NICTH) in the background of a metastatic solitary fibrous tumor, were consistent with the diagnosis of Doege-Potter syndrome.
Despite adequate oral intake, the patient required continuous intravenous infusion of 10% dextrose in high doses to maintain normoglycemia. Treatment with corticosteroids (prednisone 40 mg/day) was started with a reduction of constant intravenous infusion of 10% dextrose. He underwent transarterial hepatic embolization, aiming at treating dominant metastatic lesions, which allowed complete discontinuation of intravenous glucose infusion and hospital discharge. The patient performed a second elective transarterial hepatic embolization and has been followed for six months without recurrence of hypoglycemia.
DISCUSSION
Surgical resection with negative margins is the mainstay of therapy for the localized solitary fibrous tumor. The behavior of SFT is usually indolent, and local or distant recurrence is not a common feature. However, it is estimated that 10 to 30% of SFTs may recur. Long-term follow-up of these patients is important since late recurrence up to 20 years after the initial presentation is reported.6-8
The management of advanced and metastatic SFT is challenging, and few studies on this rare clinical entity exist. The response to chemotherapy is usually poor and reserved for unresectable tumors and metastatic disease. Traditional chemotherapy agents for soft tissue sarcoma, such as ifosfamide, anthracyclines, and dacarbazine, are considered options for metastatic disease, although they usually have low response rates. Antiangiogenic agents, such as tyrosine kinase inhibitors (i.e., pazopanib, sorafenib), may exhibit antitumor efficacy and constitute options for progressive disease.9-11
The key molecular feature of SFTs is the fusion of two genes, NAB2 (NGFI-A binding protein 2) and STAT6 (signal transducer and activator of transcription 6). The product of the NAB2-STAT6 fusion gene is a chimeric transcription factor that constitutively activates NAB2 target genes. IGF2 is considered one of the target genes, with its expression dysregulated by the chimeric transcription factor. This explains the frequency of paraneoplastic hypoglycemia associated with solitary fibrous tumors (Doege-Potter syndrome).3
Doege-Potter syndrome is a differential diagnosis of non-islet-cell tumor hypoglycemia (NICTH). NICTH is a rare paraneoplastic syndrome often discovered incidentally in the pursuit of the cause of hypoglycemia. Most come from mesenchymal tumors with low malignant potential. It involves anomalous production of IGF-2, which will bind to insulin receptors, causing non-ketotic hypoinsulinemic hypoglycemia. The typical laboratory findings of NICTH include glycemia < 55 mg/dL, insulin < 3 µU/mL, proinsulin < 5 pmol/L, C-peptide < 0.2 nmol/L, beta-hydroxybutyrate < 2.7 mmol/L and the IGF2/IGF1 ratio > 10. Low IGF‑1 levels in patients with NICTH are related to chronic attenuation of GH secretion due to the negative feedback of IGF‑2.8,12,13
There is no clear standard of care for managing non-islet-cell tumor hypoglycemia. Ideal treatment includes complete tumor resection. Glucocorticoids are considered the initial medical therapy of choice in cases where the underlying malignancy is not resectable. Their action is based on impairing insulin action, enhancing gluconeogenesis, and increasing clearance of IGF-2. In addition, it is postulated that IGF-2 may act as an autocrine growth factor for the tumor; thus, IGF-2 clearance could impair tumor growth.14,15
There are case reports of Doege-Potter syndrome that have illustrated the resolution of refractory hypoglycemia with glucocorticoid use in inoperable IGF-2-producing SFT.15 Furthermore, selective arterial embolization of the tumor was previously reported in other cases, as a therapeutic alternative in unresectable tumors or a palliative measure for paraneoplastic hypoglycemia.16-18 In the present case report, both strategies were combined to ensure adequate glycemic control. Resolution of hypoglycemia was achieved without chemotherapy or other systemic treatments, which usually have low response rates.
Besides imaging tests, follow-up monitoring of glucose metabolism and hypoglycemic symptoms may be useful for detecting tumor recurrence and metastasis.19 In our case, the liver and vertebral metastasis diagnosis occurred due to hospital admission with hypoglycemia.
CONCLUSION
This case is unique in its presentation as a rare paraneoplastic syndrome caused by hepatic and bone metastases from the solitary fibrous tumor. It also highlights the difficulty of management when definitive surgical treatment is not feasible, considering the inefficiency of the available systemic therapy. Hepatic embolization associated with oral glucocorticoid was an efficient palliative treatment to resolve the hypoglycemic crisis and allow hospital discharge.
REFERENCES
de Pinieux G, Karanian M, Le Loarer F, et al. Nationwide incidence of sarcomas and connective tissue tumors of intermediate malignancy over four years using an expert pathology review network. PLoS One. 2021;16(2):e0246958. http://dx.doi.org/10.1371/journal.pone.0246958. PMid:33630918.
Olson NJ, Linos K. Dedifferentiated solitary fibrous tumor: a concise review. Arch Pathol Lab Med. 2018;142(6):761-6. http://dx.doi.org/10.5858/arpa.2016-0570-RS. PMid:29848035.
Robinson DR, Wu YM, Kalyana-Sundaram S, et al. Identification of recurrent NAB2-STAT6 gene fusions in solitary fibrous tumor by integrative sequencing. Nat Genet. 2013;45(2):180-5. http://dx.doi.org/10.1038/ng.2509. PMid:23313952.
Tariq MU, Din NU, Abdul-Ghafar J, Park YK. The many faces of solitary fibrous tumor; diversity of histological features, differential diagnosis and role of molecular studies and surrogate markers in avoiding misdiagnosis and predicting the behavior. Diagn Pathol. 2021;16(1):32. http://dx.doi.org/10.1186/s13000-021-01095-2. PMid:33879215.
Khowaja A, Johnson-Rabbett B, Bantle J, Moheet A. Hypoglycemia mediated by paraneoplastic production of Insulin like growth factor-2 from a malignant renal solitary fibrous tumor - clinical case and literature review. BMC Endocr Disord. 2014;14:49. http://dx.doi.org/10.1186/1472-6823-14-49. PMid:24934576.
Gold JS, Antonescu CR, Hajdu C, et al. Clinicopathologic correlates of solitary fibrous tumors. Cancer. 2002;94(4):1057-68. http://dx.doi.org/10.1002/cncr.10328. PMid:11920476.
Georgiesh T, Boye K, Bjerkehagen B. A novel risk score to predict early and late recurrence in solitary fibrous tumour. Histopathology. 2020;77(1):123-32. http://dx.doi.org/10.1111/his.14078. PMid:31991494.
Ishihara H, Omae K, Iizuka J, et al. Late recurrence of a malignant hypoglycemia-inducing pelvic solitary fibrous tumor secreting high-molecular-weight insulin-like growth factor-II: A case report with protein analysis. Oncol Lett. 2016;12(1):479-84. http://dx.doi.org/10.3892/ol.2016.4665. PMid:27347168.
Le Jeune S, Des Guetz G, Bihan H, Cohen R, Coindre JMMJ, Mourad JJ. Refractory hypoglycemia controlled by sorafenib in solitary fibrous tumor. J Clin Oncol. 2013;31(9):e118-21. http://dx.doi.org/10.1200/JCO.2011.40.7999. PMid:23341512.
Mohammed T, Ozcan G, Siddique AS, Araneta RN 3rd, Slater DE, Khan A. Doege-Potter syndrome with a benign solitary fibrous tumor: a case report and literature review. Case Rep Oncol. 2021;14(1):470-6. http://dx.doi.org/10.1159/000512823. PMid:33976622.
Smrke A, Thway K, H Huang P, Jones RL, Hayes AJ. Solitary fibrous tumor: molecular hallmarks and treatment for a rare sarcoma. Future Oncol. 2021;17(27):3627-36. http://dx.doi.org/10.2217/fon-2021-0030. PMid:34409859.
Kawai S, Ariyasu H, Uraki S, et al. Imbalanced expression of IGF2 and PCSK4 is associated with overproduction of big IGF2 in SFT with NICTH: a pilot study. J Clin Endocrinol Metab. 2018;103(7):2728-34. http://dx.doi.org/10.1210/jc.2018-00593. PMid:29897468.
Krishnan L, Clark J. Non-islet cell tumour hypoglycaemia. BMJ Case Rep. 2011;2011:bcr0220113914. http://dx.doi.org/10.1136/bcr.02.2011.3914. PMid:22693317.
Bodnar TW, Acevedo MJ, Pietropaolo M. Management of non-islet-cell tumor hypoglycemia: a clinical review. J Clin Endocrinol Metab. 2014;99(3):713-22. http://dx.doi.org/10.1210/jc.2013-3382. PMid:24423303.
Tsuro K, Kojima H, Okamoto S, et al. Glucocorticoid therapy ameliorated hypoglycemia in insulin-like growth factor-II-producing solitary fibrous tumor. Intern Med. 2006;45(8):525-9. http://dx.doi.org/10.2169/internalmedicine.45.1611. PMid:16702745.
de Boer J, Jager PL, Wiggers T, et al. The therapeutic challenge of a nonresectable solitary fibrous tumor in a hypoglycemic patient. Int J Clin Oncol. 2006;11(6):478-81. http://dx.doi.org/10.1007/s10147-006-0606-1. PMid:17180519.
Sawka A, Toh D. Biochemical challenge: difficult management of recurrent hypoglycaemia in the setting of a massive solitary fibrous tumour of the liver. Intern Med J. 2018;48(6):744-6. http://dx.doi.org/10.1111/imj.13819. PMid:29898268.
Bailly C, Bichali Alroumani M, Douane F, Ansquer C, Drui D. Metastatic solitary fibrous tumor with Doege-Potter Syndrome: hypoglycemia treated by 90Y radioembolization. Clin Nucl Med. 2018;43(3):e93-5. http://dx.doi.org/10.1097/RLU.0000000000001944. PMid:29293132.
Otake S, Kikkawa T, Takizawa M, et al. Hypoglycemia observed on continuous glucose monitoring associated with IGF-2-producing solitary fibrous tumor. J Clin Endocrinol Metab. 2015;100(7):2519-24. http://dx.doi.org/10.1210/jc.2014-4534. PMid:25915566.
Notes
Author notes
CorrespondenceMatheus de Oliveira Andrade Universidade de São Paulo (USP), Instituto do Câncer do Estado de São Paulo, Departamento de Oncologia Clínica Av. Dr. Arnaldo, 251, Cerqueira César, CEP 01246-000, São Paulo, SP, Brasil Phone: +55 (61) 982038298matheus.andrade@hc.fm.usp.br
Conflict of interest declaration