Autopsy Case Report
Invasive Candida pneumonia, in association with Candida esophagitis and gastritis, in a presumably immunocompetent patient
Invasive Candida pneumonia, in association with Candida esophagitis and gastritis, in a presumably immunocompetent patient
Autopsy and Case Reports, vol. 13, e2023443, 2023
Hospital Universitário da Universidade de São Paulo
Received: 01 June 2023
Accepted: 27 June 2023
ABSTRACT: Candida pneumonia remains a difficult diagnosis and is most common in immunocompromised individuals. It has been rarely reported in immunocompetent individuals. We present a case of unsuspected Candida pneumonia associated with Candida esophagitis and gastritis discovered on postmortem examination in a presumably immunocompetent patient. The patient was a 71-year-old male who presented with chest pain and was subsequently found to have a myocardial infarction treated with angioplasty and drug-eluting stent placement. The patient’s recovery was complicated by pneumonia refractory to antibiotics, and he went on to experience acute hypoxic respiratory failure, sepsis, disseminated intravascular coagulation (DIC), and ultimately expired. Autopsy revealed evidence of myocardial infarction as well as unsuspected Candida albicans pneumonia, esophagitis, and gastritis. Our case highlights how a presumably immunocompetent individual can develop this infection and how Candida esophagitis and Candida gastritis can be seen in association with Candida pneumonia. Due to the difficulty in diagnosing Candida pneumonia antemortem, autopsies provide a key opportunity to better understand these cases and the factors that may contribute to their development.
Keywords : Candida, pneumonia, esophagitis, gastritis.
INTRODUCTION
Candida pneumonia remains a difficult diagnosis, especially in the antemortem setting. Candida is a frequent contaminant of sputum and bronchoalveolar lavage (BAL) specimens hindering its identification in the rare cases in which it is the causative agent of serious pulmonary disease. Autopsies provide an opportunity to confirm these cases and better elucidate the incidence of this condition, as microscopic demonstration of yeast invasion in lung tissue is required. Candida pneumonia exists in two forms. The primary form commonly occurs following the aspiration of colonized oropharyngeal or gastric contents. The secondary form, which is more common than the primary form, occurs primarily as a result of seeding of the lungs secondary to hematogenous dissemination.1,2Candida pneumonia is most commonly reported in severely immunocompromised individuals, extremely low birth weight infants, and patients with malignant tumors.3 It has been rarely reported in immunocompetent individuals. We present a case of unsuspected Candida pneumonia associated with Candida esophagitis and gastritis discovered on postmortem examination in a presumably immunocompetent patient.
CASE REPORT
A 71-year-old man presented with chest pain for one-day duration. His medical history included hypertension (HTN), type 2 diabetes mellitus (DM), and pulmonary fibrosis (PF). He took medications for HTN, DM, and hypercholesterolemia. However, he was not currently taking any medications related to the history of PF. His social history was notable for daily cigarette smoking (1 pack every 1.5 days) and daily marijuana use (1 joint per day). On hospital day (HD) #1, he reported his chest pain as constant, non-radiating, and left-sided. He had associated nausea and coughing. An electrocardiogram (EKG) showed nonspecific ST and T wave abnormality in the anterolateral leads. Troponin level was elevated at 3.763 ng/mL (RR; 0.00-0.03 ng/mL). A computed tomogram (CT) of the chest showed hyperinflation of the lungs with bullous changes in the lung apices. There was a diffuse interstitial process in the remainder of the lungs, worse in the right middle and right lower lobes.
Acute coronary syndrome protocol was initiated with repeat EKG showing inferior infarction with acute myocardial infarction (MI)/ST elevation MI and repeat troponin of 25. The patient underwent a coronary angiogram, revealing a mid-right coronary artery with 100% occlusion. Balloon angioplasty and drug-eluting stent placement were performed. The patient started desaturating and developed leukocytosis (with initial blood cultures growing Staphylococcus epidermidis) as well as acute kidney injury. He was administered vancomycin, cefepime, and doxycycline. White blood cell count and creatinine level improved, but repeat CT chest imaging showed the development of moderate bilateral pleural effusions, a moderate pericardial effusion, and possible pneumonia. The patient was subsequently transferred to the intensive care unit for acute hypoxic respiratory failure.
On HD #8, his oxygen requirements improved, but he subsequently developed right-sided abdominal pain. Liver function tests revealed high levels of aminotransferases, and a follow-up CT showed mild wall thickening involving the descending colon. Consecutive courses of clindamycin and meropenem were begun. The patient developed worsening dyspnea and fluid overload, requiring intravenous furosemide and thoracentesis. An echocardiogram revealed new right ventricular heart failure and preserved left ventricle ejection fraction (LVEF > 70%). On HD #18, a right ventricular assist device (RVAD) was placed. The patient subsequently developed cough productive of dark-colored sputum. On HD #24, he became severely hypotensive with elevated lactic acid. Vasopressors were initiated. A CT showed findings suggesting bowel ischemia; however, surgical intervention was not recommended due to the patient’s increasing vasopressor requirements. He became somnolent, unresponsive and was intubated with concern for aspiration on intubation. Coffee ground material was subsequently identified in the nasogastric (NG) tube. Due to hemodynamic instability, endoscopy was not performed. The patient had worsening acidosis, coagulopathy, and thrombocytopenia. On HD #26, the patient expired after coding three times.
AUTOPSY FINDINGS
With the consent of the patient’s family, a complete autopsy was performed. He had a subacute myocardial infarction involving the posterior left ventricle and septum, with associated fibrinous pericarditis. There was moderate to severe atherosclerosis of the aorta and coronary arteries, with bilateral pleural and peritoneal effusions. He also had evidence of ischemic colitis. The most notable and significant findings from the autopsy were related to sepsis. He had hypercellular bone marrow for his age, liver with centrilobular necrosis and cholestasis (consistent with shock liver), and evidence of disseminated intravascular coagulopathy (microthrombi in all lobes of the right lung and in perinephric fat). An unsuspected finding was acute Candida pneumonia in the right lung. Grossly, a fibrous pleural adhesion was appreciated between the right lung and diaphragm. Both lungs were heavy and congested with flaccid apical bullae (Figure 1). In the right lung, the parenchyma adjacent to the bullae was notably firm on palpation.

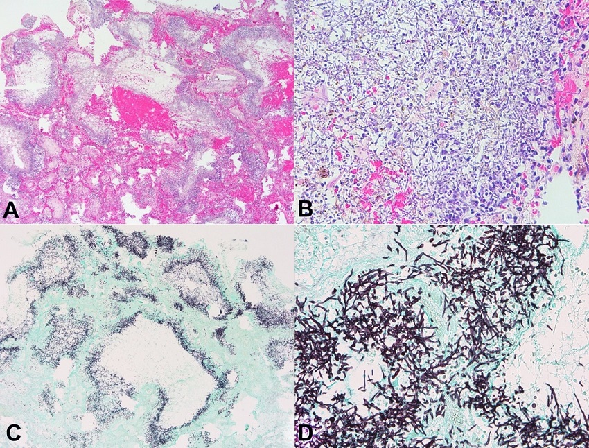
Microscopically, sections from the right upper and middle lobes showed acute pneumonia with cavitary lesions in association with budding yeast and invasive pseudohyphae morphologically consistent with Candida species. In addition to multiple cavitary lesions, the fungal forms were also associated with intra-alveolar hemorrhage and focal hyaline membrane formation (Figure 2A and 2B). A Grocott methenamine silver (GMS) stain highlighted numerous invasive pseudohyphae within the walls of the cavitary lesions (Figures 2C and 2D).

Our routine postmortem cultures revealed the right lung tissue to be positive for Candida species. To determine the exact species, the respective formalin fixed paraffin-embedded (FFPE) tissue was sent to the University of Washington, where polymerase chain reaction (PCR) analysis was performed and detected Candida albicans. Representative sections from the esophagus and stomach also revealed fungal forms consistent with Candida species. Grossly, the esophagus showed focal areas with hemorrhage and ulceration (Figure 3A), and the stomach showed patchy, focal hyperemic areas (Figure 3B).

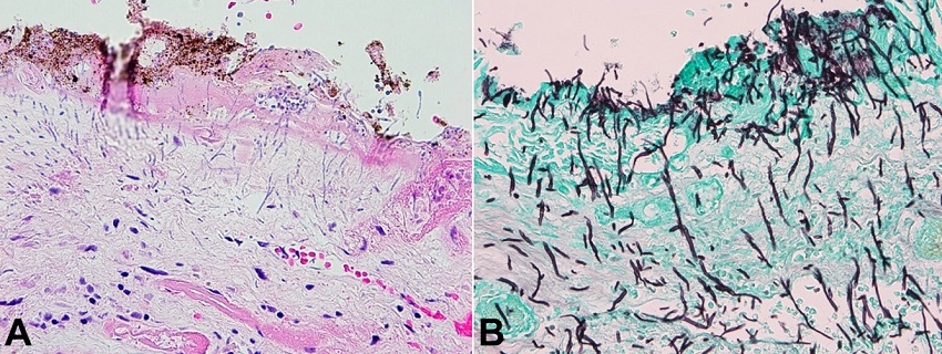
Representative sections from these areas showed ulceration and erosion with budding yeast and pseudohyphae morphologically consistent with Candida species invading the mucosa, with fungal forms highlighted on GMS stain (Figures 4A, 4B, 5A, and 5B).


The background gastric mucosa showed chronic inactive gastritis and autolytic changes. Given the destructive process of the Candida infection in the right lung and the additional sepsis findings found during the autopsy, the immediate cause of death for this patient was Candida pneumonia and sepsis.
DISCUSSION
The most common organisms that cause fungal pneumonia are Aspergillus, Cryptococcus, Mucor, and Pneumocystis jirovecii. Candida encompasses more than two-thirds of cases of fungal infections, but invasive candidiasis rarely presents as Candida pneumonia.4Candida pneumonia remains a rare diagnosis due to the difficulty in obtaining definitive evidence of a true infection. When Gram stains reveal yeast forms, or Candida is grown in sputum cultures, these are generally viewed as contaminants from colonization by these organisms.5 Bronchoalveolar lavages (BALs) are widely used by clinicians to confirm pneumonia and the nature of the associated pathogen. There is a defined culture threshold for bacterial colony-forming units, but this does not exist for fungal organisms. Without this clear definition, one cannot easily distinguish fungal infections from colonization.6 It has been proposed that cytological evidence of phagocytosis of fungal spores and special stains (e.g., GMS) can reveal invasive fungal infection on BAL, especially in patients with pneumonia responding poorly to broad-spectrum antibiotics.7 Common radiologic findings in cases of Candida pneumonia include bronchopneumonia, nodular opacities, lung abscess, and cavitary lesions. However, these findings are nonspecific. A definitive and final diagnosis requires histopathological evidence of invasive disease.
The most common histopathologic finding in Candida pneumonia cases is bronchopneumonia. Other findings include intra-alveolar hemorrhage and exudate, aspirated material, evidence of an inflammatory reaction with micro-abscesses (containing polymorphonuclear cells, lymphocytic cells, or both), and destruction of lung parenchyma adjacent to the abscesses.8Candida pneumonia can occur by two routes, leading to secondary Candida pneumonia or primary Candida pneumonia. The secondary form is more common than the primary form and occurs primarily as a result of hematogenous spread to the lungs in candidiasis. Spread may come from any distant site, such as the skin, gastrointestinal tract, or extensive mucositis. Vascular invasion involving the small pulmonary arteries, arterioles, and capillaries is usually found.6 In the secondary form, miliary nodules are usually present histologically with a necrotizing inflammatory center and a hemorrhagic rim reflecting an intravascular distribution of fungi.9 In contrast, primary Candida pneumonia typically occurs following esophagopharyngeal or gastric aspiration. Concomitant Candida esophagitis and upper respiratory tract colonization are frequently found in primary cases. Given the aspiration of contents directly into the lung, the Candida organisms spread in the airspaces with no vascular invasion.6 In this form, the histologic examination may show the organisms in airways associated with an alveolar filling pattern of bronchopneumonia or, much less commonly, a bronchocentric granulomatosis or suppurative granuloma pattern.3,9
Colonization of the respiratory epithelium by Candida is considered a prerequisite for invasive infections.4 Risk factors for increased Candida load include nicotine and alcohol abuse, DM, aspiration of gastric fluid, and esophageal diverticula.6 Patients also appear at risk if they receive high dose steroids for nonmalignant conditions or prolonged courses of broad-spectrum antibiotics for a complicated medical illness.10 Even with these scenarios, Candida pneumonia still occurs most commonly in neutropenic patients, organ transplant recipients, and other immunocompromised hosts. At baseline, the patient, in this case, had no evidence of being immunocompromised. His history of diabetes and smoking increased his risk for Candida colonization, but it would not be expected to make him susceptible to invasive Candida infection. He had a documented history of pulmonary fibrosis, however there was no evidence he was taking steroids or other immunosuppressive drugs for this condition. We also did not find significant histopathologic evidence of pulmonary fibrosis, even after taking multiple additional lung sections. This patient had a complicated hospital course which may have contributed to disruption in his immunologic response. He was on antibiotics for sixteen consecutive days for concerns of pneumonia and colitis. He also had a poor cardiac function and underwent an invasive procedure with RVAD placement.
Toward the end of the patient’s hospital course, he notably had dark-colored sputum and coffee-ground material present in his NG tube following its placement. The dark-colored sputum may have been due to the invasive Candida infection in the lung. The coffee ground material can be attributed to the focal ulceration in the esophagus and the hyperemic erosive areas in the stomach found at autopsy. Ulceration and erosion of the esophageal and gastric mucosa likely disrupted the normal environment and allowed Candida to invade the tissue. Given the invasive forms seen histologically, these fungal organisms could have entered the blood and disseminated to the lung. However, there was no evidence of Candida in the pulmonary vasculature and no evidence of Candida in any “sterile” organs. Also, postmortem blood culture was negative for Candida. Disseminated candidiasis remains a clinical diagnosis, and unfortunately, blood culture is insensitive. However, postmortem blood cultures have been shown to be highly specific indicators of disseminated disease.11
With these findings, primary Candida pneumonia is favored over secondary. Outside of the lung, the esophagus and stomach were the only two areas with invasive Candida infection. We hypothesize that Candida entered this patient’s lung through aspiration. Concern for aspiration was only documented at the time of intubation, but there could have been other unwitnessed events. Considering the presence of Candida in the patient’s esophagus and stomach, aspiration of gastric contents is a plausible source of these fungal organisms in the lung. Evidence of Candida infection was only identified in the right lung. Aspirated gastric contents are more likely to end up in the right lung due to the shorter and straighter anatomy of the right mainstem bronchus. Whether primary or secondary, the microscopic and microbiology culture findings in this case support a diagnosis of Candida pneumonia. Our hospital microbiology lab only resulted the culture with the genus and not the species. To determine the species, we sent the FFPE tissue to an outside lab for PCR resulting in the identification of Candida albicans. We are aware of only two other cases in which the diagnosis of Candida pneumonia was confirmed by PCR, biopsy, and microbiology cultures. One case identified Candida dubliniensis,12 while the other identified C. albicans.3
Candida albicans is the most common pathogen in systemic and pulmonary candidiasis. The development of infections occurs when there is dysbiosis of the normal flora, immune dysfunction, and damage to the muco-intestinal barrier. One of four events is considered necessary for disseminated candidiasis - spread from fungal biofilms, direct damage of mucosal barriers, indirect translocation of the fungal cells phagocytosed by host immune cells, or direct invasion of epithelial cells into blood capillaries and vessels.13C. albicans is present in the form of yeasts in the human microbiome, but its hyphal form is pathogenic. The hyphal form is invasive, actively penetrating host tissue and inducing endocytosis. The main origin of C. albicans is located in the gastrointestinal (GI) tract. Infection with C. albicans mostly occurs after infection of the GI system. Esophagitis caused by C. albicans is commonly seen and is most often superficial. However, complications and invasion with hematogenous dissemination can occur. Rarely, infections in the esophagus can be transmural and lead to perforation.14
Candida esophagitis has often been documented in association with cases of Candida pneumonia.8 However, to our knowledge, this is the first case that also has associated Candida gastritis. Candida is part of the normal flora in the stomach, but infection in the stomach is rare, usually in association with malignancy. Only a few cases have been reported. In one case report, Candida infection in the stomach was seen in conjunction with infection in the esophagus and duodenum. The patient had a history of chronic lymphocytic leukemia and presented with multiple mass-like ulcerations concerning malignancy, but histology revealed ulcerated mucosa, abundant granulation tissue, numerous yeasts, and pseudohyphal fungal forms consistent with Candida.15 Another case involved a large gastric ulcer identified in an immunocompetent patient who developed fever. An initial biopsy revealed Helicobacter pylori-associated gastritis that was treated with a combination of antibiotics. The patient’s fever did not respond, so a biopsy was repeated and demonstrated granulation tissue, numerous yeasts, and pseudohyphal fungal forms consistent with Candida.16 Why the esophagus is more prone to Candida infection than the stomach is still unclear, but it may be due to the protective effects of gastric acid in the stomach.15
As with most fungal infections, involvement of the stomach is more commonly seen in patients with underlying malignancy or those in an immunosuppressed state. It is infrequent in immunocompetent individuals. It also has not been reported in combination with Candida pneumonia. Definitive and probable cases of Candida pneumonia have been associated with aspiration, particularly in immunocompetent patients.6,8,17Candida pneumonia is well documented in cancer and transplant patients, with hematogenous dissemination commonly seen.8,18,19 Invasive infection limited to the lungs or primarily involving the lungs has been rarely reported. With aspiration of oropharyngeal, esophageal, and gastric contents cited in numerous cases, aspiration of Candida infection from the esophagus and stomach was the most likely source of our patient’s infection.
This patient had a complicated clinical course, and fungal infection did not appear to be a clinical consideration. Initial blood cultures grew S. epidermidis. Blood cultures were performed three additional times and showed no growth. The patient’s respiratory status improved at one point but began worsening again. Given his poor cardiac function, his decline in respiratory function could have been attributed to heart failure and not persistent pneumonia. Imaging did not suggest worsening of his pulmonary infiltrates, but it also did not show improvement. When the patient developed coffee ground emesis, the gastroenterology team considered endoscopy but deferred it due to the patient being hemodynamically unstable. If an endoscopy had been able to be performed, biopsies of the esophagus and stomach may have yielded diagnostic tissue, and the patient could have been started on antifungal treatment. Five days prior to the coffee ground material, the patient had cough productive of dark-colored sputum. Testing of the sputum may have yielded findings of Candida, though it may have been dismissed as a contaminant.
In patients with concern for pneumonia or poor respiratory function with no improvement clinically or radiologically, a fungal infection should be considered as a possibility. Individuals that are presumably immunocompetent may have disruptions in their immune defenses, as we saw in this case, allowing for invasive Candida infection in the esophagus, stomach, and lungs. The gold standard for diagnosing Candida pneumonia continues to be histologic evidence of invasive disease. Many patients are not stable enough to undergo a lung biopsy, so they may never have a definitive antemortem diagnosis. Autopsies provide a key opportunity to better understand these cases and the factors that may contribute to their development. In decedents with a concerning history, such as pneumonia not responding to antibiotics, an autopsy should be recommended. With the extensive sampling of lung tissue and other organs that can be done in autopsies, more cases of Candida pneumonia can be identified.
CONCLUSION
Overall, Candida pneumonia is a rare disorder, occurring more often in immunocompromised and immunosuppressed individuals. Immunocompetent patients can develop Candida pneumonia, though antemortem diagnosis is extremely challenging. Aspiration appears to be a major risk factor, but the factors contributing to this condition in immunocompetent individuals must be assessed further. We describe the complicated clinical course and pathologic findings in a case of Candida pneumonia, where the diagnosis was confirmed by three different modalities (PCR, microbiologic culture, and histopathology). The infection was severe and contributed to the patient’s death. While our case likely involved multiple factors contributing to the development of Candida pneumonia, it highlights how a presumably immunocompetent individual can develop this infection and how not only Candida esophagitis can be seen in relation to the disease but also Candida gastritis. While rare, involvement of the stomach by Candida should be considered in these cases.
REFERENCES
Kobayashi T, Miyazaki Y, Yanagihara K, et al. A probable case of aspiration pneumonia caused by Candida glabrata in a non-neutropenic patient with candidemia. Intern Med. 2005;44(11):1191-4. http://dx.doi.org/10.2169/internalmedicine.44.1191. PMid:16357460.
Meersseman W, Lagrou K, Spriet I, et al. Significance of the isolation of Candida species from airway samples in critically ill patients: a prospective, autopsy study. Intensive Care Med. 2009;35(9):1526-31. http://dx.doi.org/10.1007/s00134-009-1482-8. PMid:19357832.
Dermawan JKT, Ghosh S, Keating MK, Gopalakrishna KV, Mukhopadhyay S. Candida pneumonia with severe clinical course, recovery with antifungal therapy and unusual pathologic findings: a case report. Medicine (Baltimore). 2018;97(2):e9650. http://dx.doi.org/10.1097/MD.0000000000009650. PMid:29480879.
Meena DS, Kumar D. Candida pneumonia: an innocent bystander or a silent killer? Med Princ Pract. 2022;31(1):98-102. http://dx.doi.org/10.1159/000520111. PMid:34638123.
Moss BJ, Musher DM. Candida species in community-acquired pneumonia in patients with chronic aspiration. Pneumonia. 2021;13(1):12. http://dx.doi.org/10.1186/s41479-021-00090-x. PMid:34218811.
Schnabel RM, Linssen CF, Guion N, van Mook WN, Bergmans DC. Candida pneumonia in intensive care unit? Open Forum Infect Dis. 2014;1(1):ofu026. http://dx.doi.org/10.1093/ofid/ofu026. PMid:25734099.
Hung W, Yang K. Candida pneumonia diagnosed by bronchoalveolar lavage: a case report. Thorac Med. 2017;32(6):266-71.
Haron E, Vartivarian S, Anaissie E, Dekmezian R, Bodey GP. Primary Candida pneumonia. Experience at a large cancer center and review of the literature. Medicine (Baltimore). 1993;72(3):137-42. http://dx.doi.org/10.1097/00005792-199305000-00001. PMid:8502166.
Leslie KO, Wick MR. Practical pulmonary pathology: a diagnostic approach. 2nd ed. Philadelphia, PA: Saunders Elsevier; 2011.
Barkauskas CE, Perfect JR. Candida pneumonia: what we know and what we don’t. Curr Fungal Infect Rep. 2009;3(1):21-31. http://dx.doi.org/10.1007/s12281-009-0004-z.
Thorn JL, Gilchrist KB, Sobonya RE, Gaur NK, Lipke PN, Klotz SA. Postmortem candidaemia: marker of disseminated disease. J Clin Pathol. 2010;63(4):337-40. http://dx.doi.org/10.1136/jcp.2009.070607. PMid:19939858.
Petty LA, Gallan AJ, Detrick JA, Ridgway JP, Mueller J, Pisano J. Candida dubliniensis pneumonia: a case report and review of literature. Mycopathologia. 2016;181(9-10):765-8. http://dx.doi.org/10.1007/s11046-016-0032-5. PMid:27342836.
Talapko J, Juzbašić M, Matijević T, et al. Candida albicans-the virulence factors and clinical manifestations of infection. J Fungi (Basel). 2021;7(2):79. http://dx.doi.org/10.3390/jof7020079. PMid:33499276.
Gock M, Schäfer M, Perren A, Demartines N, Clavien PA. Fatal esophageal perforation caused by invasive candidiasis. Ann Thorac Surg. 2005;80(3):1120-2. http://dx.doi.org/10.1016/j.athoracsur.2004.02.147. PMid:16122508.
Rajablou M, Ganz RA, Batts KP. Candida infection presenting as multiple ulcerated masses. Gastrointest Endosc. 2007;65(1):164-6. http://dx.doi.org/10.1016/j.gie.2006.05.024. PMid:17137861.
Rai P, Chakraborty SB. Giant fungal gastric ulcer in an immunocompetent individual. Saudi J Gastroenterol. 2012;18(4):282-4. http://dx.doi.org/10.4103/1319-3767.98438. PMid:22824773.
Worthington M. Fatal candida pneumonia in a non-immunosuppressed host. J Infect. 1983;7(2):159-61. http://dx.doi.org/10.1016/S0163-4453(83)90674-6. PMid:6644084.
Kontoyiannis DP, Reddy BT, Torres HA, et al. Pulmonary candidiasis in patients with cancer: an autopsy study. Clin Infect Dis. 2002;34(3):400-3. http://dx.doi.org/10.1086/338404. PMid:11774088.
Awwad M, Peysakhovich Y, Bishara J, Kagan I, Issachar A, Eliakim Raz NA. 47-year-old liver and kidney transplant patient with Candida pneumonia. Isr Med Assoc J. 2022;24(11):781-2. PMid:36436052.
Notes
Author notes
Correspondence Devon Jackson Howard University Hospital (HUH) 2041 Georgia Avenue, Washington, DC, USA Phone: +1 (323) 422-2597devon.l.jackson86@gmail.com
Conflict of interest declaration