Reporte de casos
Abscesos renales en pediatría: reporte de caso
Pediatric renal abscess: Case report
Abscesos renales en pediatría: reporte de caso
Revista de la Facultad de Medicina, vol. 65, núm. 4, pp. 679-682, 2017
Universidad Nacional de Colombia
Recepción: 27 Julio 2016
Aprobación: 29 Septiembre 2016
Resumen: Los abscesos renales y perirrenales hacen parte de un grupo de infecciones poco frecuentes en pediatría que comprometen el parénquima renal y el espacio perinefrítico. Estas entidades no tienen una clínica específica y, por lo tanto, se deben sospechar en todos los pacientes con infección urinaria que no respondan a la terapia antimicrobiana adecuada. De su apropiado diagnóstico dependerá la evolución y el pronóstico del paciente. Si bien el drenaje percutáneo mediante radiología intervencionista es un procedimiento descrito para el tratamiento de esta patología en los adultos, este puede hacer parte del manejo en pediatría. En este artículo, se presenta el caso clínico de un niño de tres años con diagnóstico de absceso renal y su manejo en un centro pediátrico de Bogotá, junto a una revisión actualizada de esta patología.
Palabras clave: Absceso, Riñón, Pediatría (DeCS).
Abstract: Renal and perinephric abscesses are part of a group of rare pediatric infections that compromise the renal parenchyma and the perinephritic space. These entities do not have a specific clinical picture and, therefore, should be suspected in all patients with urinary tract infection that does not respond to antimicrobial therapy. The evolution and prognosis of the patient depend on appropriate diagnosis. Although percutaneous abscess drainage by interventional radiology is indicated for the treatment of this pathology in adults, it could also be considered for pediatric management. This article reports the clinical case of a three-year-old child diagnosed with renal abscess, who was treated in a pediatric center of Bogotá, as well as an updated review of this pathology.
Keywords: Abscess, Kidney, Pediatrics (MeSH).
Introducción
La infección del tracto urinario (ITU) es una enfermedad común en niños que puede generar complicaciones y secuelas, al no llevar cabo su diagnóstico y tratamiento de forma temprana y oportuna. La gravedad de la ITU depende de varios factores entre los cuales se encuentran la presencia de malformaciones del tracto urinario, las interacciones patógeno-hospedero, el estado inmunológico del paciente, la resistencia de las bacterias a los antibióticos, la tardanza en el diagnóstico y el manejo de la infección, entre otros. Dentro de las complicaciones agudas (CA), se incluye la pielonefritis, la nefronía lobar y los abscesos renales como perirrenales. Estos dos últimos son poco comunes en pediatría. Estas CA no se asocian a grupos poblacionales o razas específicas y clínicamente su comportamiento puede ser indistinguible de procesos inflamatorios abdominales o incluso tumorales 1.
Las series de casos reportados han establecido la Escherichia coli y Staphylococcus aureus como los gérmenes aislados con mayor frecuencia 2,3.
El avance en los estudios de imágenes permite realizar un mejor abordaje de estos pacientes, lo que genera manejos más oportunos con mejores desenlaces. En algunos casos, el drenaje percutáneo se ha convertido en uno de los pilares de tratamiento.
En la presente publicación, se expone el caso de un niño con diagnóstico de absceso renal atendido en un centro hospitalario de nivel III de atención, junto a una revisión actualizada de esta patología. Esto, con el fin de incluir esta patología dentro de las posibilidades diagnósticas y revisar las nuevas técnicas de manejo.
Presentación del caso
Paciente masculino de tres años de edad con antecedente de dos episodios de infección urinaria sin datos específicos de sus tratamientos, al parecer sin malformación anatómica, consultó a un centro de salud por cuadro clínico de 5 días de evolución consistente en fiebre de 38°C a 39°C. A su vez, presentó síntomas respiratorios altos, rinorrea y tos, con sintomatología gastrointestinal, deposiciones diarreicas sin moco ni sangre, sin presencia de síntomas urinarios y sin cambios en la orina.
Se diagnosticó amigdalitis bacteriana y se manejó de manera ambulatoria con amoxicilina. Más adelante, hubo una reconsulta por persistencia de los mismos síntomas, pero en esta ocasión fue atendido en urgencias de un centro de salud de III nivel de atención. Al ingreso se encontraba febril, taquicárdico y con dolor a la palpación abdominal superficial y profunda en los cuatro cuadrantes sin signos de irritación peritoneal. Por esto, se iniciaron estudios con el fin de descartar la presencia de infección de origen abdominal, se solicitaron hemograma, proteína C reactiva, uroanálisis y Gram de orina.
Con los resultados de las pruebas de laboratorio, se diagnosticó infección urinaria, por lo que el paciente fue hospitalizado para dar inicio al manejo antibiótico parenteral -cefalosporina de primera generación- previo a toma de urocultivo.
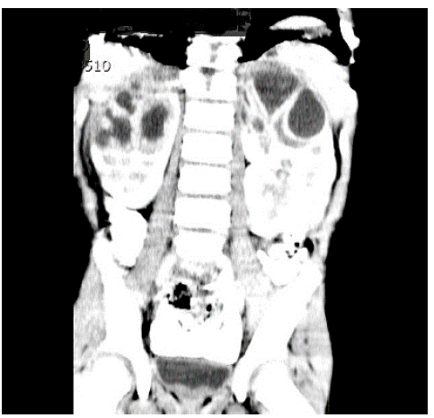
Al inicio, no se solicitaron estudios de imágenes renales mientras se analizaban los tomados en las ITU previas. A las 48 horas de manejo, el paciente persistía con picos febriles, por lo que se decidió llevar a cabo otros estudios complementarios como función renal, cuyo resultado estuvo dentro de límites normales, y una ecografía renal y de vías urinarias que reportó una imagen sugestiva de pielonefritis bilateral de los polos superiores sin poder descartar presencia de abscesos incipientes. Se dispuso continuar con la administración del mismo antibiótico hasta tener el reporte de urocultivo y solicitar una escanografía de abdomen (Figura 1), que reveló lesiones focales hipodensas que comprometen las pirámides de ambos lóbulos superiores de los riñones, las cuales podían relacionarse con proceso infeccioso.

Con este reporte oficial, se programó la toma de estudios complementarios, reactantes de fase aguda y función renal y control imagenológico posterior. Luego de obtener el resultado del urocultivo que indicó positividad para E. coli >100 000 UFC con sensibilidad intermedia a cefalotina, BLEE (betalactamasas de espectro extendido) negativo, se dirigió la terapia antibiótica utilizando una cefalosporina de segunda generación (cefuroxima).
A pesar de este cambio de antibiótico, el paciente se mantuvo febril a las 72 horas, los reactantes de fase aguda permanecieron elevados y la ecografía renal de control manifestó presencia de abscesos en los polos superiores de ambos riñones, las mayores de ellas con diámetro de 27mm para el riñón izquierdo y 24mm para el derecho. Por esto, se amplió el espectro de cubrimiento del antibiótico con ceftriaxona.
Como estudio complementario, la gammagrafía renal mostró imágenes renales aumentadas de tamaño y reveló un extenso defecto que comprometía las dos terceras partes superiores del riñón derecho y la mitad superior del izquierdo. Se consideró que estos hallazgos podían vincularse con un proceso inflamatorio difuso y con la presencia de abscesos a ese nivel.
Dentro de la internación del niño, se requirió valoración por cirugía pediátrica que consideró que el paciente no era candidato de drenaje quirúrgico abierto y se resolvió pedir concepto al servicio de radiología intervencionista, quienes propusieron llevar al paciente a drenaje percutáneo, basados en el poco control de la fiebre y la persistente elevación de los reactantes de fase aguda, pese al uso de ceftriaxona más clindamicina, antibiótico que ya había sido adicionado para ese momento.
El drenaje percutáneo se efectuó sin complicaciones. Se cultivó y se llevó a cabo un Gram a la muestra aspirada, la cual no reportó gérmenes, pero sí una reacción leucocitaria de polimorfonucleares (+++). Se decidió continuar con el tratamiento instaurado hasta tener el reporte de cultivo de drenaje, el cual fue positivo para E. coli sensible a la ceftriaxona. Por esto, se dejó este antibiótico durante tres semanas y se suspendió la clindamicina.
Un último estudio de imágenes fue la uretrocistografía, que documentó reflujo vesicoureteral grado III derecho y II izquierdo. La evolución del paciente fue favorable, al completar el esquema de antibiótico establecido con seguimiento ecográfico, que mostró mejoría de las lesiones.
El servicio de urología pediátrica sugirió que, debido a la presencia del defecto anatómico en la vía urinaria, el paciente era candidato para iniciar profilaxis antibiótica y seguimiento ambulatorio por esta especialidad. Al final, la evolución fue satisfactoria, por lo que se dio egreso al paciente. Los controles de la función renal, uroanálisis y tensión arterial por consulta externa permanecieron dentro de límites normales y los controles por parte de urología pediátrica y pediatría fueron favorables.
Discusión
Los abscesos renales se definen como colecciones de material purulento que se limitan al parénquima renal, mientras que los abscesos perirrenales están localizados por fuera de la capsula renal, pero dentro de la fascia de Gerota, como se pudo observar en el caso relatado, cuyas lesiones estaban delimitadas en el parénquima renal sin sobrepasar a la capsula que definía el diagnóstico del paciente.
Estas son condiciones graves, con una incidencia que oscila de 1 a 10 casos por cada 10 000 hospitalizaciones en Estados Unidos y con igual incidencia en hombres y mujeres 1. Por el contrario, otras series de caso 4 han mostrado una mayor ocurrencia en hombres con una relación 3:1 respecto a mujeres. En general, se originan a partir de una infección urinaria ascendente con formación de pielonefritis o por medio de siembras hematógenas sobre el parénquima renal en las bacteremias. En ambos casos, las bacterias más comunes son las Gram-negativas, aunque se tiene reportes de casos con Gram-positivas como agente causal 1,3,4. La literatura 3 se refiere a la E. coli y el S. aureus como los agentes causales de esta patología, aunque otros gérmenes con menor prevalencia se reportan de manera no despreciables 2,5. En el caso del paciente de este estudio, se aisló la E. coli como agente causal, de acuerdo con lo reportado en la literatura mundial 3 que cita a esta bacteria como la más comprometida en el desarrollo de esta patología.
Los pacientes pueden presentarse con un amplio espectro de síntomas que incluye fiebre, síntomas urinarios bajos, dolor en flancos, dolor abdominal, dolor lumbar, malestar general, otras alteraciones no específicas y sepsis. Dentro del diagnóstico diferencial del absceso renal, se halla la pielonefritis aguda complicada con necrosis papilar, la pielonefritis enfisematosa, la nefronía lobar aguda, la malacoplaquia, la tuberculosis renal y neoplasias como el carcinoma de células renales o tumor de Wilms que pueden tener una presentación similar. Por esto, es necesario llevar a cabo una adecuada evaluación diagnóstica 4,5,10. Aun así, como se demuestra en el caso clínico presentado, los diagnósticos diferenciales se pueden manifestar como estadios tempranos antes de la aparición del absceso 9.
El diagnóstico de esta patología se basa en una historia clínica adecuada y un examen físico completo. Se deben buscar las asociaciones que empeoran su pronóstico como cálculos renales, alteraciones urinarias, trastornos miccionales, diabetes mellitus (DM) e inmunosupresión 1,3. Los signos encontrados en el examen físico deben establecer o sospechar la presencia de sepsis de origen abdominal, entidad que aumenta la mortalidad. Por su parte, los exámenes de laboratorio son de ayuda para el diagnóstico y el seguimiento y la elevación de la proteína C reactiva y del nitrógeno ureico se han vinculado con mal pronóstico 1. El paciente mencionado presentó una de las asociaciones más frecuente en la ITU: reflujo vesicoureteral, una anomalía del tracto urinario que requiere de manejo adecuado a fin de evitar o disminuir el riesgo de las infecciones del parénquima renal.
En décadas pasadas, esta patología tenía una alta morbimortalidad. En la actualidad, sin embargo, esta se ha reducido de manera significativa en parte gracias a su sospecha diagnóstica temprana y al inicio de un esquema de antibiótico de forma empírica. Es importante destacar el avance que han tenido los estudios por imágenes como la ecografía, la tomografía computarizada y la resonancia nuclear magnética, las cuales han permito aproximarse al diagnóstico de esta patología y son herramientas muy útiles en el seguimiento y el tratamiento de los mismos 4,7. La tomografía axial computarizada (TAC) y la ecografía han sido los métodos más utilizados en el diagnóstico y seguimiento de la patología 1,2,8, siendo estas imágenes fundamentales en los estudios iniciales y en los controles del presente reporte.
Respecto a los estudios por imágenes, la realización de una ultrasonografía renal es una buena decisión en el estudio inicial de los abscesos renales. Sin embargo, este no puede diferenciar un absceso de una pielonefritis no complicada 10. Frente a la ecografía, la tomografía tiene un rendimiento superior para el diagnóstico de absceso renal o perirrenal con una precisión del 90% al 100%. Esta investigación contribuye a aclarar los casos clínicos dudosos y a la evaluación del tamaño de los abscesos renales. En muchas ocasiones, la TAC es necesaria para caracterizar las lesiones 10; este fue el caso de la presente investigación.
El manejo de los abscesos renales comprende tratamiento médico con antibiótico, drenaje percutáneo, drenaje quirúrgico (cirugía abierta) y nefrectomía 1,7. El tratamiento empírico debe iniciarse con la sospecha diagnóstica. Dentro del grupo de antibióticos que se pueden utilizar se hallan las aminopenicilinas, las cefalosporinas y los aminoglucósidos 1, y según las características especiales de cada paciente y condiciones propias de este, se podrán utilizar otros antibióticos hasta tener reporte de cultivos que permitan ajustar su uso.
Debe tenerse en cuenta que las cefalosporinas se utilizan por vía oral e intravenosa con el fin de tratar infecciones del tracto urinario y son antibióticos de amplio espectro con un modo de acción similar al de las penicilinas. Son eficaces contra Staphylococcus, Klebsiella y E. coli y son resistentes a la acción de la mayoría de las betalactamasas, pero no de todas dependiendo de la generación. De esta manera, las cefalosporinas de primera generación tienen una utilidad muy reducida en ITU complicada puesto que la mayoría de las E. coli exhiben resistencia y la probabilidad de empeoramiento en los cuadros graves aumenta e incluso cuando se utilizan, se debe estar atento a la evolución clínica.
Las infecciones causadas por E. coli son cada vez más difíciles de tratar por la proliferación de cepas productoras de BLEE que las hace resistentes a las cefalosporinas, penicilinas, fluoroquinolonas y trimetoprim. Por tanto, se recomienda el uso de cefalosporinas de tercera generación como ceftriaxona o cefotaxima en el tratamiento empírico de la ITU grave, ya que cubren a la E. coli y el S. aureus meticilino sensible. 13,14.
En la evolución del niño tratado, se hizo terapia empírica con cefalosporina de primera generación, de acuerdo con el protocolo del servicio, que después se modificó a ceftriaxona con el resultado del urocultivo. Este último antibiótico fue utilizado hasta el fin del tratamiento.
Históricamente, la cirugía abierta con drenaje y nefrectomía parcial o total era el pilar del manejo, pero se relacionaba con mayor morbilidad. Los últimos reportes 7,11 muestran mayor efectividad con abordajes menos agresivos, basados en la administración prolongada de antibióticos con o sin drenaje percutáneo con punción aspirativa.
Cuando los abscesos tienen un tamaño determinado y no hay respuesta al antibiótico, se recomienda el drenaje percutáneo con una efectividad que va entre 60%-93% 1,3,12. Aunque con mayor evidencia en la población adulta que en los niños, se ha determinado el abordaje del absceso según el tamaño: el manejo de los abscesos menores de 3cm de diámetro es, en esencia, antibioticoterapia con un porcentaje de mejoría que alcanza el 100% en algunas series. En abscesos medianos, de 3cm a 5cm, las punciones percutáneas guiadas por escanografía o ecografía tienen porcentajes de éxito del 66% al 92%. Para los abscesos de más de 5cm de diámetro, se sugiere el uso de drenaje percutáneo con resolución en series reportada en el 73% de los casos. Por último, la cirugía abierta es el procedimiento elegido solo en los pacientes en los que el drenaje percutáneo no funcione 12.
Al inicio, el paciente de este reporte fue tratado con antibioticoterapia dirigida, la cual tuvo una pobre respuesta clínica, manifestada por permanencia de fiebre y reactantes de fase aguda elevados. Por esto, aunque el absceso era limítrofe por su tamaño (mediano) para drenaje percutáneo, se decidió llevar a cabo este procedimiento por radiología intervencionista, que tuvo una respuesta clínica excelente demostrada en la evolución favorable.
Conclusiones
Los abscesos renales y perirrenales son poco frecuentes, si bien deben sospecharse en pacientes con infección de tracto urinario recientes con evolución tórpida o historia de ITU recurrente y pobre respuesta al manejo antibiótico intravenoso. Las imágenes diagnósticas son fundamentales en el establecimiento del diagnóstico, la caracterización de las lesiones y el seguimiento. En cuanto a este tipo de estudio, es necesario resaltar que las lesiones renales pueden no visualizarse en las imágenes iniciales pero pueden manifestarse durante la evolución clínica, por lo que se hace necesario el control con imágenes. Se destaca también el papel importante que cumplen los reactantes de fase aguda a la hora de definir nuevas conductas en el manejo de los pacientes.
El cubrimiento antibiótico debe iniciarse de forma empírica, según la literatura para Gram-negativos y después dirigirse de acuerdo con el reporte de los cultivos. Por lo tanto, es fundamental obtener muestras para la realización de los mismos a partir de sangre, orina y de material de drenaje. El drenaje percutáneo es cada vez más importante dentro del manejo de los abscesos, pues se ha relacionado con un menor número de complicaciones y una mejor evolución clínica como sucede en los pacientes que no tienen una respuesta adecuada a los antibióticos o en aquellos que deban ser drenados por el tamaño de los abscesos, siendo esta técnica la ideal para evitar las complicaciones de la cirugía abierta. Finalmente, aquel paciente que no tiene indicación de drenaje y es manejado solo con antibióticoterapia requiere de un seguimiento clínico y de estudios por imágenes de manera oportuna para determinar de forma temprana la necesidad de manejo quirúrgico.
Agradecimientos
A la Fundación Hospital de La Misericordia, HOMI.
Referencias
Rubilotta E, Balzarro M, Lacola V, Sarti A, Benito A, Artibani W. Current clinical management of renal and perinephric abscesses. Urologia. 2014;81(3):144-7. http://doi.org/b9wt.
Seguias L, Srinivasan K, Mehta A. Pediatric renal abscess: a 10-year single-center retrospective analysis. Hosp Pediatr. 2012;2(3):161-6.
Baradkar V, Mathur M, Kumar S. Renal abscess due to Escherichia coli in a child. Saudi J Kidney Dis Transpl. 2011;22(6):1215-8.
Comploj E, Cassar W, Farina A, Gasparella P, Tranti E, Palermo S, et al. Conservative management of paediatric renal abscess. J Pediatr Urol. 2013;9(6):1214-7. http://doi.org/f5h6hb.
Vergara-Espitia AV, Gallo-Urina K, Landinez-Millán G, Camacho-Moreno G, Lozano-Triana CJ. Nefronía lobar aguda en un niño: reporte de caso. Rev. Fac. Med. 2015;63(2):321-4. http://doi.org/b9xh.
Hochreiter D, Lin JJ, Singh J, Shetty AK. Renal Abscess Due to Community-acquired Extended-spectrum B-Lactamase-producing Escherichia coli in a 15-Year-old Girl. Urology. 2015;85(6):1480-2. http://doi.org/f3gzbp.
Angel C, Shu T, Green J, Orihuela E, Rodriguez G, Hendrick E. Renal and peri-renal abscesses in children: proposed physio-pathologic mechanisms and treatment algorithm. Pediatr Surg Int. 2003;19(1-2):35-9. http://doi.org/dn9wwh.
Couselo M, Domínguez C, Estornell F, García-Ibarra F. Tratamiento conservador de un absceso renal múltiple. CirPedíatr. 2013;26(3): 150-2.
Bitsori M, Raissaki M, Maraki S, Galanakis E. Acute focal bacterial nephritis, pyonephrosis and renal abscess in children. Pediatr Nephrol. 2015;30(11):1987-93. http://doi.org/f7sqmw.
Srinivasan K, Seguias L. Fever and Renal Mass in a Young Child. Pediatr Ann. 2011;40(9):421-3. http://doi.org/d6sbw8.
Fullá J, Storme O, Fica A, Varas MA, Flores J, Marchant F, et al. Abscesos renales y peri-renales: análisis de 44 casos. Rev. Chil. Infectol. 2009;26(5):445-51. http://doi.org/b3s7xj.
Castillo O, Rubio G, Vidal I, Portalier P. Drenaje percutáneo de absceso renal en niños. Caso clínico. Rev. Chil. Pediatr. 2010;81(2):155-9. http://doi.org/bhstr8.
Ramlakhan S, Singh V, Stone J, Ramtahal A. Clinical options for the treatment of urinary tract infections in children. Clin Med Insights Pediatr. 2014;8:31-7. http://doi.org/b9xk.
Stein R, Dogan HS, Hoebeke P, Kocvara R, Nijman RJ, Radmayr C, et al. Urinary tract infections in children: EAU/ESPU guidelines. Eur Urol. 2015;67(3):546-58. http://doi.org/f22hr8.
Notas
Notas de autor
*Correspondencia: Juan Camilo Castañeda-Hernández. Departamento de Pediatría, Fundación Hospital de la Misericordia. Avenida Caracas No. 1-13, cuarto piso. Teléfono: +57 1 3373824. Bogotá D.C. Colombia. Correo electrónico: jccastanedah@unal.edu.co.
Declaración de intereses