Reporte de casos
Hipocratismo digital: conociendo sus causas. Reporte de caso
Digital clubbing: knowing its causes. Case Report
Hipocratismo digital: conociendo sus causas. Reporte de caso
Revista de la Facultad de Medicina, vol. 67, núm. 3, pp. 543-546, 2019
Universidad Nacional de Colombia
Recepción: 31 Diciembre 2017
Aprobación: 23 Abril 2018
Resumen
Introducción. : El hipocratismo digital es un signo clínico que afecta principalmente los dedos de las manos y se caracteriza por deformidad en uñas con abombamiento en vidrio de reloj. Puede presentarse en pacientes con cáncer diseminado, enfermedad pulmonar preexistente y dolor óseo, por lo cual es importante considerar esta entidad para un diagnóstico y un tratamiento oportunos.
Presentación del caso. :
Paciente masculino de 86 años con hipocratismo digital, tabaquista en abstinencia, quien ingresa a urgencias por cuadro clínico de 2 meses de evolución consistente en fiebre y pérdida de 19kg de peso. Al examen físico presentaba disminución de ruidos respiratorios en base pulmonar derecha, dedos en palillo de tambor y deformidad ungüeal en manos. La radiografía de tórax mostró opacidad a nivel parahiliar derecho bien definida de 5cm. La tomografía computarizada de tórax mostró masas de bordes irregulares a nivel parahiliar derecho y en segmento apical del lóbulo inferior del pulmón derecho, y derrame pleural ipsilateral. La biopsia guiada por tomografía documentó adenocarcinoma pulmonar bien diferenciado.
Conclusiones. : El hipocratismo digital plantea un desafío en medicina debido a que puede ser difícil llegar a un diagnóstico etiológico y se pueden requerir muchos estudios para su confirmación.
Palabras clave: Tabaquismo+ Osteoartropatía hipertrófica secundaria+ Neoplasias pulmonares (DeCS).
Abstract
Introduction: Digital clubbing is a clinical sign that affects mainly the fingers of the hands and is characterized by a watch-glass deformity of the nails. It may occur in patients with disseminated cancer, preexisting lung disease, and bone pain, so it is important to consider this entity for early diagnosis and timely treatment.
Case presentation: This is the case of an 86-year-old male patient with digital clubbing, with tobacco abstinence, who was admitted to the emergency department due to clinical symptoms of 2 months of evolution consisting of fever and a 19kg weight loss. On physical examination, there was a decrease in respiratory noises in the right lung base, drumstick fingers, and nail deformity in the hands. A chest x-ray showed a well-defined right parahilar opacity of 5cm. a chest CT showed irregular masses at the right parahilar level and in the apical segment of the lower lobe of the right lung, and ipsilateral pleural effusion. CT-guided biopsy was performed, documenting well-differentiated pulmonary adenocarcinoma.
Conclusions: Digital clubbing poses a challenge in medicine because reaching an etiological diagnosis may be difficult and many studies may be required for confirmation.
Keywords: Tobacco Use Disorder, Osteoarthropathy, Secondary Hypertrophic, Lung Neoplasms (MeSH).
Introducción
El hipocratismo digital es uno de los signos clínicos más antiguos de la medicina, su reconocimiento original se ha atribuido a Hipócrates (circa 450 aC) 1, y afecta sobre todo a los dedos de las manos. Se caracteriza por la deformación de las uñas, con abombamiento en vidrio de reloj, y su importancia radica en la necesidad de realizar una adecuada clasificación para brindar un tratamiento oportuno, pues presenta diversas etiologías 2. El objetivo del presente estudio es describir un reporte de caso y a partir del mismo realizar el abordaje clínico y los diagnósticos diferenciales relacionados con el hipocratismo digital.
Presentación de caso
Paciente masculino de 86 años, tabaquista en abstinencia (60 paquetes/ año), quien ingresa al servicio de urgencias por cuadro clínico de 2 meses de evolución consistente en fiebre y pérdida no intencionada de cerca de 19kg de peso. Al examen físico destaca disminución de los ruidos respiratorios en base pulmonar derecha, no linfadenopatías y dedos en palillo de tambor bilaterales con deformidad ungüeal en manos (Figura 1).

Se aplicaron escalas de valoración geriátrica que en esfera biológica mostraron mini nutritional assessment: 20 puntos (en riesgo de malnutrición); en esfera mental Yesavage: 6 puntos (depresión subsindromal); en examen cognoscitivo-minimental: 16 puntos (deterioro cognoscitivo grave); en esfera social Gijon: 6 puntos (situación social buena, bajo riesgo de institucionalización); en esfera funcional Barthel: 40 puntos (dependencia moderada) y Lawton y Brody: 3 puntos (dependencia moderada en actividades instrumentales), y en velocidad de marcha: 0.3 m/s (disminuida).
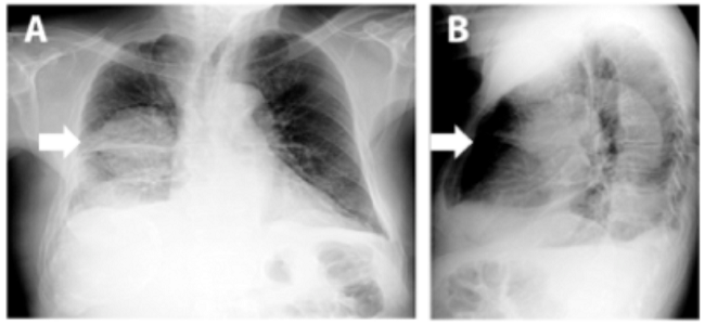
La radiografía de tórax mostró infiltrado intersticial difuso con tractos de fibrosis y engrosamiento pleural; a nivel apical derecho se evidenciaron varias imágenes radiolúcidas que podían estar en relación con bullas. A nivel parahiliar derecho se observa imagen radio-opaca bien definida con diámetro >5cm que pudiese estar en relación con masa pulmonar (Figura 2A). La imagen lateral mostró signos de atrapamiento aéreo, rectificación del arco medio, aorta elongada y ateromatosa y osteopenia generalizada (Figura 2B).

Mediante tomografía computarizada de tórax contrastada (Figura 3) se encontraron: en ápices pulmonares, bulas subpleurales; a nivel parahiliar derecho, una masa de bordes irregulares de 70x75mm; adyacente a esta, otra masa de 53x45mm, y en segmento apical del lóbulo inferior del pulmón derecho, otra masa de 65x61mm de características similares, acompañada de derrame pleural derecho libre de moderado volumen y con espacio pleural izquierdo libre.

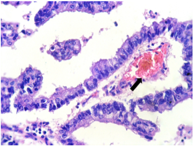
Se realizó biopsia de masa pulmonar derecha con aguja fina guiada por tomografía computarizada; la histopatología documentó pulmón con arquitectura alterada por la presencia de neoplasia epitelial maligna compuesta por formaciones glandulares con focos de necrosis compatibles con adenocarcinoma pulmonar bien diferenciado (Figuras 4 y 5).


Se realizó endoscopia de vías digestivas altas que descartó neoplasia a nivel gástrico. Posteriormente, el paciente y sus familiares se negaron a continuar estudios de extensión e intervenciones adicionales, por lo cual el sujeto fue dado de alta con indicación de manejo paliativo.
Discusión
El hipocratismo digital es un signo clínico muy antiguo 1. Mediante estudios paleopatológicos se han demostrado cambios consistentes con osteoartropatía hipertrófica en restos óseos humanos de la Mesoamérica prehispánica 1.
En 1890, el neurólogo francés Pierre Marie, junto con el químico alemán Eugen Von Bamberger, investigaron cómo las patologías pulmonares provocaban cambios esqueléticos y describieron el síndrome de osteoartropatía hipertrófica pulmonar (OHP) 2.
El hipocratismo digital afecta en su mayoría a los dedos de las manos y se caracteriza por deformación de las uñas con abombamiento en vidrio de reloj; deformación de la última falange, que se vuelve bulbosa, ensanchada en palillo de tambor; edema, y fluctuación de los tejidos blandos de la base de la uña. El hipocratismo digital puede ser doloroso y acompañado de eritema periungüeal; este presenta diversas causas y las más frecuentes se exponen en la Tabla 1.

El diagnóstico diferencial de hipocratismo digital se debe hacer con artritis, celulitis, quistes óseos en las falanges, nódulos de Heberden, paquidermoperiostosis (autosómica dominante) y curvatura exagerada de la uña (variante normal, sobre todo en la raza negra).
La OHP es un síndrome caracterizado por la proliferación anormal de la piel y tejidos óseos en las partes distales de las extremidades y presenta tres características típicas: deformidad bulbosa peculiar de las puntas de los dedos que se describen convencionalmente como bota, periostosis de los huesos tubulares y derrames sinoviales 3. Se puede presentar en pacientes con cáncer diseminado, enfermedad pulmonar preexistente y dolor óseo 4.
El síndrome de OHP se clasifica en primario y secundario, siendo esta último el más frecuente. Más del 80% de los casos se desarrollan como un síndrome paraneoplásico 5, cerca del 90% se asocian con neoplasia intratorácica y 80% de estos corresponden a pulmón, siendo uno de los más frecuentes el adenocarcinoma de pulmón y rara vez el cáncer de pulmón de células pequeñas 6. Sin embargo, se debe tener en cuenta que el hipocratismo digital primario es un diagnóstico de exclusión una vez descartadas todas las causas secundarias que se vinculan al mismo.
Hasta el momento no se comprende en totalidad la fisiopatología de la OHP; sin embargo, se han propuesto tres teorías:
Hipótesis neurogénica, que mostró mejoría de los síntomas después de la vagotomía unilateral en el lado afectado del tumor, interrumpiendo la vía neural aferente y aliviando así el dolor 7,8.
Hipótesis bioquímica, que propone la liberación de compuestos bioquímicos del propio tumor, dentro de los cuales se encuentran el factor de crecimiento endotelial vascular (VEGF), la hormona del crecimiento y las gonadotropinas 9,10. Hipótesis mecánica, que se basa en la derivación arteriovenosa dentro del sistema pulmonar. Estos shunts permiten que los compuestos vasoactivos, que son normalmente desactivados o fragmentados dentro de los capilares pulmonares, escapen a la circulación periférica 11,12.
Otro mecanismo propuesto es la producción de citoquinas por los megacariocitos que estimulan la producción de factor de crecimiento derivado de plaquetas (PDGF) y el factor de crecimiento tisular por células endoteliales periféricas. Cuando estos precursores de plaquetas no fragmentados por el sistema pulmonar quedan fácilmente atrapados en la microvasculatura periférica, liberando PDGF, VEGF y otras citoquinas responsables de la hipoxia tisular, se produce aumento de la vascularización, vasodilatación, proliferación celular distal de los dedos y, finalmente, hipocratismo digital 13.
La historia clínica y los antecedentes epidemiológicos pueden servir de ayuda en el diagnóstico de hipocratismo digital, por lo que se debe realizar un buen examen clínico para identificar esta entidad. Una vez se realice el diagnóstico se debe diferenciar si es primario o secundario. Para los pacientes con hipocratismo digital unilateral, se deben tener en cuenta antecedentes de déficit neurológico, como por ejemplo hemiplejía y fistulas de diálisis, y descartar la presencia de aneurismas. Para confirmar el diagnóstico en estos casos, se pueden solicitar estudios angiográficos.
La importancia del presente reporte de caso está en describir la presentación clínica de la enfermedad, teniendo en cuenta los diversos diagnósticos diferenciales que tiene dicha entidad, para realizar un diagnóstico oportuno y brindar un tratamiento adecuado.
Como se pudo observar, el paciente presentó síntomas constitucionales dados por pérdida de peso no intencionada y fiebre; sin embargo, el antecedente de tabaquismo y los hallazgos al examen físico, como los dedos en palillo de tambor, fueron claves para orientar el diagnóstico de una enfermedad interna (paraneoplásica) y poder solicitar los estudios complementarios para confirmar la sospecha clínica. Dentro de estos se pueden solicitar estudios de laboratorio (hemograma, bioquímica, analítica de orina, gasometría y estudio de hormonas tiroideas) y de imagen (radiografía de tórax, radiología ósea y estudios de imagen del aparato digestivo); sin embargo, esto dependerá de la sospecha en cada caso individual 2.
Con respecto al tratamiento, se considera que la medida más eficaz es manejar la enfermedad de base. En el caso de pacientes con adenocarcinoma bronquial, varios estudios han documentado que la resección quirúrgica, la quimioterapia o la quimioradiación conducen a remisión marcada de los síntomas 14.
Sin embargo, muchos pacientes con neoplasias malignas metastásicas no son candidatos a manejo quirúrgico o quimioterapia porque presentan mal estado funcional y condición de fragilidad que le confieren un pobre pronóstico y mayor probabilidad para desarrollar resultados adversos en salud 15. Por lo tanto, es importante realizar una valoración geriátrica multidimensional para individualizar el tratamiento de cada sujeto y definir quiénes son candidatos a manejo curativo o paliativo 16. La valoración geriátrica multidimensional del paciente evidenció malnutrición, alteración cognoscitiva, discapacidad, limitación funcional y síndrome de fragilidad, por lo cual se consideró manejo paliativo.
En estos casos se deben emplear otras medidas terapéuticas dentro de las cuales se encuentran el manejo del dolor mediante uso de analgésicos como fármacos antiinflamatorios no esteroideos, opioides e inhibidores de la ciclooxigenasa-2 (COX-2). Las prostaglandinas derivadas de COX-2 se han implicado en trastornos inflamatorios y neoplásicos 17,18 y se deben tener en cuenta sus efectos adversos, dentro de los cuales se encuentran empeoramiento de la hipertensión arterial, agravamiento de la insuficiencia cardíaca, mayor riesgo de hemorragia cuando se combinan con antagonistas de la vitamina K, disfunción renal y disminución momentánea de la agudeza visual 19.
Conclusiones
El presente caso resalta la importancia de la historia clínica al momento de abordar un paciente con el objetivo de hacer un buen enfoque clínico que permita realizar un abordaje adecuado y oportuno y, de esta manera, hacer uso racional y dirigido de las ayudas diagnósticas solicitadas para confirmar la sospecha clínica y brindar un abordaje terapéutico adecuado. En este sentido, hay que tener en cuenta que el hipocratismo digital puede ser la manifestación de múltiples entidades, dentro de las que se destaca la enfermedad de origen pulmonar.
Consideraciones éticas
Se contó con consentimiento informado por parte del paciente.
Agradecimientos
Ninguno declarado por los autores.
Referencias
1. Martínez-Lavín M, Mansilla J, Pineda C, Pijoán C, Ochoa P. Evidence of hypertrophic osteoarthropathy in human skeletal remains from pre-Hispanic Mesoamerica. Ann Intern Med. 1994;120(3):238-41. http://doi.org/c5jq.
2. Toribio MC, Galnares E. Acropaquias. Medicina de Familia. SEMER-GEN. 2009;35(8):415-7. http://doi.org/btxwxr.
3. Marrie TJ, Brown N. Clubbing of the Digits. Am J Med. 2007;120(11):940-1. http://doi.org/fjw6b5.
4. Martínez-Lavín M, Matucci-Cerinic M, Jajic I, Pineda C. Hypertrophic osteoarthropathy: consensus on its definition, classification, assessment and diagnostic criteria. J Rheumatol. 1993;20(8):1386-7.
5. Rosenthall L, Kirsh J. Observations of radionuclide imaging in hypertrophic pulmonary osteoarthropathy. Radiology. 1976;120(2):359-62. http://doi.org/c5jr.
6. Ito T, Goto K, Yoh K, Niho S, Ohmatsu H, Kubota K, et al. Hypertrophic pulmonary osteoarthropathy as a paraneoplastic manifestation of lung cancer. J Thorac Oncol. 2010;5(7):976-80. http://doi.org/b9g2hf.
7. Coury C. Hippocration fingers and hypertrophic osteoarthropathy. A study of 350 cases. Br J Dis Chest. 1960;54:202-9.
8. Flayell G. Reversal of pulmonary hypertrophic osteoarthropathy by vagotomy. Lancet. 1956;270(6911):260-2. http://doi.org/d9skkz.
9. Yacoub MH. Vagotomy through mediastinoscopy for pulmonary osteoarthropathy. Br J Dis Chest. 1996;60(3):144-7.
10. Mito K, Maruyama R, Uenishi Y, Arita K. Hypertrophic Pulmonary Osteoarthropathy Associated with Non-small Cell Lung Cancer Demonstrated Growth Hormone-releasing hormone by Immunohistochemical Analysis. Intern Med. 2001;40(6):532-5. http://doi.org/ffv8mt.
11. Nomori H, Kobayashi R, Kubo A, Morinaga S, Shintani Y, Sano T. Lung cancer containing growth hormone-releasing hormone associated with hypertrophic osteoarthropathy. Case report. Scand J Thorac Cardiovasc Surg. 1994;28(3-4):149-52. http://doi.org/dt7pbb.
12. Ferrara N. Vascular endothelial growth factor and the regulation of angiogenesis. Recent Prog Horm Res. 2000;55:15-35.
13. Brown LF, Detmar M, Claffey K, Nagy JA, Feng D, Dvorak AM, et al. Vascular permeability factor/vascular endothelial growth factor: a multifunctional angiogenic cytokine. EXS. 1997;79:233-69.
14. Dvorak HF, Brown LF, Detmar M, Dvorak AM. Vascular permeability factor/vascular endothelial growth factor, microvascular hyperpermeability, and angiogénesis. Am J Pathol. 1995;146(5):1029-39.
15. Albrecht S, Keller A. Postchemotherapeutic Reversibility of Hypertrophic Osteoarthropathy in a Patient with Bronchogenic Adenocarcinoma. Clin Nucl Med. 2003;28(6):463-6. http://doi.org/fwrg46.
16. Huisingh-Scheetz M, Walston J. How should older adults with cancer be evaluated for frailty? J Geriatr Oncol. 2017;8(1):8-15. http://doi.org/f9ttmb.
17. Rotas I, Cito G, Letovanec I, Christodoulou M, Perentes JY. Cyclooxygenase-2 expression in non-small cell lung cancer correlates with hypertrophic osteoarthropathy. Ann Thorac Surg. 2016;101(2):e51-3. http://doi.org/f769td.
18. Nguyen S, Hojjati M. Review of current therapies for secondary hyper-trophic pulmonary osteoarthropathy. Clin Rheumatol. 2011;30(1):7-13. http://doi.org/dq3xrn.
19. López-Zaragoza JL, Gulias-Herrero A, Gutiérrez-Cirios C, Cár-denas-Cortés MC, Carrillo-Maravilla E, Terrazas-Solís H, et al. Actitud ante los inhibidores selectivos de COX-2. Rev Investig Clin. 2005;57(1):6-12.
Notas
Notas de autor
* Correspondencia: José Mauricio Ocampo. Especialización en Geriatria, Facultad de Salud, Universidad del Valle. Calle 4B No. 36-00, edificio: 116, oficina: 3006. Teléfono: +57 2 3212100, ext.: 4012. Santiago de Cali. Colombia. Correo electrónico: jose.m.ocampo@correounivalle.edu.co.